Temporomandibular Joint and Otitis Media: A Narrative Review of Implications in Etiopathogenesis and Treatment
Abstract
1. Introduction
2. Aims
3. Methods
4. Relevant Sections
4.1. Shared Phylogenesis and Embryogenesis of Middle Ear and TMJ
4.2. Anatomical Connections between Middle Ear and TMJ and Functional Anatomy
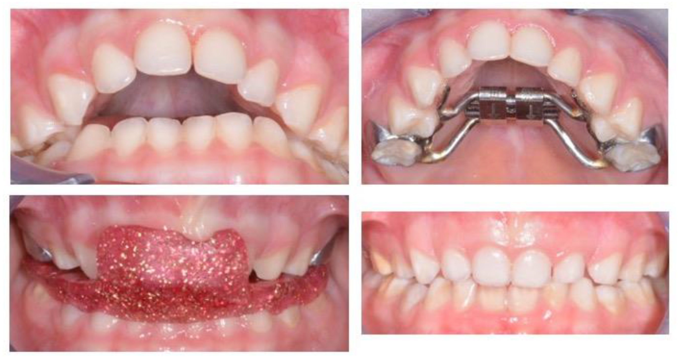
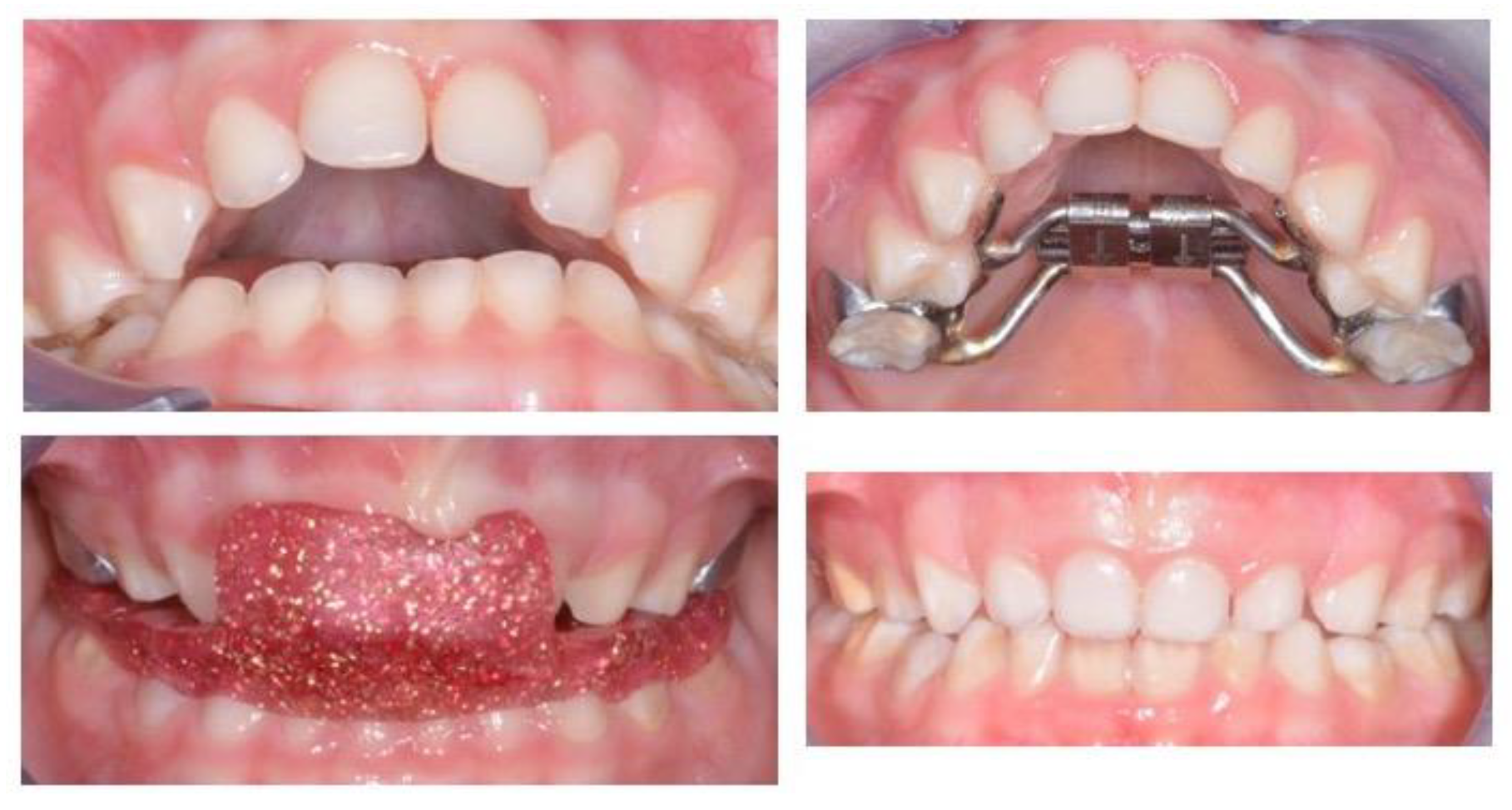
4.3. Role of the Stomatognathic System in the Pathogenesis and Treatment of the OM
5. Discussion
5.1. Prevention
5.2. Unmodifiable Risk Factors
5.3. Modifiable Risk Factors
5.4. Future Directions
5.5. Highlights
- the external and middle ear, the TMJ, the mandible, the ET, and associated musculature and ligaments share interdependent embryogenesis and development;
- these structures have multiple anatomical connections. In particular, ET, TMJ, and masticatory muscles are strictly connected;
- ET function is influenced by the mandibular position and masticatory muscles function; the role of the medial pterygoid muscle is particularly emphasized;
- mandibular position and malocclusion are related to a higher risk of AOM and rAOM; this is particularly evident in children with a deep bite and a crossbite;
- the studies on the effectiveness of orthognathic treatments in preventing rAOM show encouraging results;
- TMJ dysfunction and malocclusion are strongly related to known predisposing factors for AOM, rAOM, and OME; addressing them could further protect the patient from ear inflammations.
6. Conclusions
Author Contributions
Funding
Institutional Review Board Statement
Informed Consent Statement
Data Availability Statement
Conflicts of Interest
References
- O’Neill, P. Acute otitis media. BMJ 1999, 319, 833–835. [Google Scholar] [CrossRef]
- Wallis, S.; Atkinson, H.; Coatesworth, A.P. Chronic otitis media. Postgrad. Med. 2015, 127, 391–395. [Google Scholar] [CrossRef]
- Atkinson, H.; Wallis, S.; Coatesworth, A.P. Acute otitis media. Postgrad. Med. 2015, 127, 386–390. [Google Scholar] [CrossRef] [PubMed]
- Atkinson, H.; Wallis, S.; Coatesworth, A.P. Otitis media with effusion. Postgrad. Med. 2015, 127, 381–385. [Google Scholar] [CrossRef] [PubMed]
- Rovers, M.M.; Schilder, A.G.M.; Zielhuis, G.A.; Rosenfeld, R.M. Otitis media. Lancet Lond. Engl. 2004, 363, 465–473. [Google Scholar] [CrossRef] [PubMed]
- Seibert, J.W.; Danner, C.J. Eustachian Tube Function and the Middle Ear. Otolaryngol. Clin. N. Am. 2006, 39, 1221–1235. [Google Scholar] [CrossRef]
- Schilder, A.G.M.; Marom, T.; Bhutta, M.F.; Casselbrant, M.L.; Coates, H.; Gisselsson-Solén, M.; Hall, A.J.; Marchisio, P.; Ruohola, A.; Venekamp, R.P.; et al. Panel 7: Otitis Media: Treatment and Complications. Otolaryngol. Neck Surg. 2017, 156, S88–S105. [Google Scholar] [CrossRef]
- Bernkopf, E.; Lovato, A.; Bernkopf, G.; Giacomelli, L.; De Vincentis, G.C.; Macrì, F.; de Filippis, C. Outcomes of Recurrent Acute Otitis Media in Children Treated for Dental Malocclusion: A Preliminary Report. BioMed. Res. Int. 2016, 2473059. [Google Scholar] [CrossRef]
- Monson, G.S. Impaired Function as a Result of Closed Bite. J. Natl. Dent. Assoc. 1921, 8, 833–839. [Google Scholar] [CrossRef]
- Wright, W.H. Deafness as Influenced by Malposition of the Jaws. J. Natl. Dent. Assoc. 1920, 7, 979–992. [Google Scholar] [CrossRef]
- Bernkopf, E.; Capriotti, V.; Bernkopf, G.; Cancellieri, E.; D’Alessandro, A.; Marcuzzo, A.V.; Gentili, C.; De Vincentiis, G.C.; Tirelli, G. Oral splint therapy in patients with Menière’s disease and temporomandibular disorder: A long-term, controlled study. Eur. Arch. Oto-Rhino-Laryngol 2022, 1–14, Epub ahead of print. [Google Scholar] [CrossRef] [PubMed]
- Sfondrini, G.; Bianchi, S.; Bricca, C. Frequency of malocclusion in 800 school children in the province of Pavia. Minerva Stomatol. 1977, 26, 69–74. [Google Scholar]
- Ramirez, L.M.; Ballesteros, L.E.; Sandoval, G.P. Topical review: Temporomandibular disorders in an integral otic symptom model. Int. J. Audiol. 2008, 47, 215–227. [Google Scholar] [CrossRef] [PubMed]
- Sheahan, P.; Miller, I.; Sheahan, J.N.; Earley, M.J.; Blayney, A.W. Incidence and outcome of middle ear disease in cleft lip and/or cleft palate. Int. J. Pediatr. Otorhinolaryngol. 2003, 67, 785–793. [Google Scholar] [CrossRef]
- Villaça Avoglio, J.L. Dental occlusion as one cause of tinnitus. Med. Hypotheses. 2019, 130, 109280. [Google Scholar] [CrossRef] [PubMed]
- Anthwal, N.; Thompson, H. The development of the mammalian outer and middle ear. J. Anat. 2016, 228, 217–232. [Google Scholar] [CrossRef] [PubMed]
- Noden, D.M. The role of the neural crest in patterning of avian cranial skeletal, connective, and muscle tissues. Dev. Biol. 1983, 96, 144–165. [Google Scholar] [CrossRef] [PubMed]
- Noden, D.M. Interactions and fates of avian craniofacial mesenchyme. Development 1988, 103, 121–140. [Google Scholar] [CrossRef] [PubMed]
- Trainor, P.A.; Tan, S.S.; Tam, P.P. Cranial paraxial mesoderm: Regionalisation of cell fate and impact on craniofacial development in mouse embryos. Development 1994, 120, 2397–2408. [Google Scholar] [CrossRef]
- Ramírez, L.M.; Ballesteros, L.E.; Sandoval, G.P. Otological symptoms among patients with temporomandibular joint disorders. Rev. Med. Chil. 2007, 135, 1582–1590. [Google Scholar]
- Sivam, S.; Chen, P. Anatomy, Occlusal Contact Relations and Mandibular Movements. In StatPearls; StatPearls Publishing: Tampa, FL, USA, 2022. Available online: http://www.ncbi.nlm.nih.gov/books/NBK570625/ (accessed on 16 October 2022).
- Takano, K.; Takahashi, N.; Ogasawara, N.; Himi, T. The Association of External and Middle Ear Anomaly and Mandibular Morphology in Congenital Microtia. Otol. Neurotol. 2016, 37, 889–894. [Google Scholar] [CrossRef] [PubMed]
- Katsanis, S.H.; Jabs, E.W. Treacher Collins Syndrome; Adam, M.P., Everman, D.B., Mirzaa, G.M., Eds.; GeneReviews® University of Washington: Seattle, WA, USA, 1993. Available online: http://www.ncbi.nlm.nih.gov/books/NBK1532/ (accessed on 16 October 2022).
- Stenberg, A.E.; Nylén, O.; Windh, M.; Hultcrantz, M. Otological problems in children with Turner’s syndrome. Hear. Res. 1998, 124, 85–90. [Google Scholar] [CrossRef] [PubMed]
- Bordoni, B.; Varacallo, M. Anatomy, Head and Neck, Temporomandibular Joint. In StatPearls; StatPearls Publishing: Tampa, FL, USA, 2022. Available online: http://www.ncbi.nlm.nih.gov/books/NBK538486/ (accessed on 19 October 2022).
- Bender, M.E.; Lipin, R.B.; Goudy, S.L. Development of the Pediatric Temporomandibular Joint. Oral. Maxillofac. Surg. Clin. N. Am. 2018, 30, 1–9. [Google Scholar] [CrossRef] [PubMed]
- Parrino, D.; Val, M.; Lovato, A.; de Filippis, C.; Nardini, L.G. Pediatric temporomandibular joint ankylosis and arthritis: Forgotten complications of acute otitis media. Am. J. Otolaryngol. 2022, 43, 103599. [Google Scholar] [CrossRef] [PubMed]
- Koç, A.; Kaya, S. Prevalence of foramen Huschke: Evaluation of the association between mastoid pneumatization volume and the existence of foramen Huschke using cone beam computed tomography. Eur. Arch. Otorhinolaryngol. 2021, 278, 791–796. [Google Scholar] [CrossRef]
- Tysome, J.R.; Sudhoff, H. The Role of the Eustachian Tube in Middle Ear Disease. In Advances in Oto-Rhino-Laryngology; Lloyd, S.K.W., Donnelly, N.P., Eds.; Karger AG: Basel, Switzerland, 2018; Volume 81, pp. 146–152. [Google Scholar] [CrossRef]
- Leuwer, R. Anatomy of the Eustachian Tube. Otolaryngol. Clin. N. Am. 2016, 49, 1097–1106. [Google Scholar] [CrossRef] [PubMed]
- Rathee, M.; Jain, P. Anatomy, Head and Neck, Lateral Pterygoid Muscle. In StatPearls; StatPearls Publishing: Tampa, FL, USA, 2022. Available online: http://www.ncbi.nlm.nih.gov/books/NBK549799/ (accessed on 17 October 2022).
- McDonald, M.H.; Hoffman, M.R.; Gentry, L.R.; Jiang, J.J. New insights into mechanism of Eustachian tube ventilation based on cine computed tomography images. Eur. Arch. Oto-Rhino-Laryngol. 2012, 269, 1901–1907. [Google Scholar] [CrossRef] [PubMed][Green Version]
- Trovato, F.; Orlando, B.; Bosco, M. Occlusal features and masticatory muscles activity. A review of electromyographic studies. Stomatologija 2009, 11, 26–31. [Google Scholar]
- Greenbaum, T.; Pitance, L.; Kedem, R.; Emodi-Perlman, A. The mouth-opening muscular performance in adults with and without temporomandibular disorders: A systematic review. J. Oral Rehabil. 2022, 49, 476–494. [Google Scholar] [CrossRef]
- Froehlich, M.H.; Le, P.T.; Nguyen, S.A.; McRackan, T.R.; Rizk, H.G.; Meyer, T.A. Eustachian Tube Balloon Dilation: A Systematic Review and Meta-analysis of Treatment Outcomes. Otolaryngol. Head. Neck Surg. 2020, 163, 870–882. [Google Scholar] [CrossRef]
- McDonnell, J.P.; Needleman, H.L.; Charchut, S.; Allred, E.N.; Roberson, D.W.; Kenna, M.A.; Jones, D. The Relationship Between Dental Overbite and Eustachian Tube Dysfunction. Laryngoscope 2001, 111, 310–316. [Google Scholar] [CrossRef] [PubMed]
- Costen, J.B. A syndrome of ear and sinus symptoms dependent upon disturbed function of the temporomandibular joint. 1934. Ann. Otol. Rhinol. Laryngol. 1997, 106, 805–819. [Google Scholar] [CrossRef] [PubMed]
- Sicher, H. Temporomandibular articulation in mandibular overclosure. J. Am. Dent. Assoc. 1948, 36, 131–139. [Google Scholar] [CrossRef] [PubMed]
- Niemelä, M.; Uhari, M.; Lautala, P.; Huggare, J. Association of recurrent acute otitis media with nasopharynx dimensions in children. J. Laryngol. Otol. 1994, 108, 299–302. [Google Scholar] [CrossRef] [PubMed]
- Joseph, A.A.; Elbaum, J.; Cisneros, G.J.; Eisig, S.B. A cephalometric comparative study of the soft tissue airway dimensions in persons with hyperdivergent and normodivergent facial patterns. J. Oral Maxillofac. Surg. 1998, 56, 135–140. [Google Scholar] [CrossRef]
- Gremba, A.P.; Weinberg, S.M.; Swarts, J.D.; Casselbrant, M.L. Craniofacial shape in children with and without a positive otitis media history. Int. J. Pediatr. Otorhinolaryngol. 2016, 84, 110–115. [Google Scholar] [CrossRef][Green Version]
- Di Francesco, R.; Paulucci, B.; Nery, C.; Bento, R.F. Craniofacial morphology and otitis media with effusion in children. Int. J. Pediatr. Otorhinolaryngol. 2008, 72, 1151–1158. [Google Scholar] [CrossRef]
- Darendeliler, N.; Dinçer, M.; Soylu, R. The biomechanical relationship between incisor and condylar guidances in deep bite and normal cases. J. Oral Rehabil. 2004, 31, 430–437. [Google Scholar] [CrossRef]
- Macrì, M.; Murmura, G.; Scarano, A.; Festa, F. Prevalence of temporomandibular disorders and its association with malocclusion in children: A transversal study. Front. Public Health 2022, 10, 860833. [Google Scholar] [CrossRef]
- Marasa, F.K.; Ham, B.D. Case Reports Involving the Treatment of Children with Chronic Otitis Media with Effusion Via Craniomandibular Methods. CRANIO® 1988, 6, 256–270. [Google Scholar] [CrossRef]
- Branam, S.R.; Mourino, A.P. Minimizing otitis media by manipulating the primary dental occlusion: Case report. J. Clin. Pediatr. Dent. 1998, 22, 203–206. [Google Scholar] [PubMed]
- Kilic, N.; Oktay, H.; Selimoğlu, E.; Erdem, A. Effects of semirapid maxillary expansion on conductive hearing loss. Am. J. Orthod. Dentofac. Orthop. 2008, 133, 846–851. [Google Scholar] [CrossRef] [PubMed]
- Singh, H.; Maurya, R.K.; Sharma, P.; Kapoor, P.; Mittal, T.; Atri, M. Effects of maxillary expansion on hearing and voice function in non-cleft lip palate and cleft lip palate patients with transverse maxillary deficiency: A multicentric randomized controlled trial. Braz. J. Otorhinolaryngol. 2019, 87, 315–325. [Google Scholar] [CrossRef] [PubMed]
- Fernandes Fagundes, N.C.; Rabello, N.M.; Maia, L.C.; Normando, D.; Ribeiro Mello, K.C.F. Can rapid maxillary expansion cause auditory improvement in children and adolescents with hearing loss? A systematic review. Angle Orthod. 2017, 87, 886–896. [Google Scholar] [CrossRef] [PubMed]
- Marchisio, P.; Principi, N.; Passali, D.; Salpietro, D.C.; Boschi, G.; Chetrì, G.; Caramia, G.; Longhi, R.; Reali, E.; Meloni, G.; et al. Epidemiology and Treatment of Otitis Media with Effusion in Children in the First Year of Primary School. Acta Otolaryngol. 1998, 118, 557–562. [Google Scholar] [CrossRef]
- Gestione Dell’otite Media Acuta in età Pediatrica. Linee Guida 2019. Società Italiana di Pediatria. Published 17 June 2019. Available online: https://sip.it/2019/06/17/gestione-otite-media-acuta-linee-guida/ (accessed on 19 October 2022).
- Pettigrew, M.M.; Alderson, M.R.; Bakaletz, L.O.; Barenkamp, S.J.; Hakansson, A.P.; Mason, K.M.; Nokso-Koivisto, J.; Patel, J.; Pelton, S.I.; Murphy, T.F. Panel 6: Vaccines. Otolaryngol. Neck Surg. 2017, 156, S76–S87. [Google Scholar] [CrossRef]
- Barenkamp, S.J.; Chonmaitree, T.; Hakansson, A.P.; Heikkinen, T.; King, S.; Nokso-Koivisto, J.; Novotny, L.A.; Patel, J.A.; Pettigrew, M.; Swords, W.E. Panel 4: Report of the Microbiology Panel. Otolaryngol. Neck Surg. 2017, 156, S51–S62. [Google Scholar] [CrossRef]
- McCormick, D.P.; Lim-Melia, E.; Saeed, K.; Baldwin, C.D.; Chonmaitree, T. Otitis media: Can clinical findings predict bacterial or viral etiology? Pediatr. Infect. Dis. J. 2000, 19, 256–258. [Google Scholar] [CrossRef]
- Holborow, C. Eustachian tubal function: Changes throughout childhood and neuro-muscular control. J. Laryngol. Otol. 1975, 89, 47–55. [Google Scholar] [CrossRef]
- Marchioni, D.; Alicandri-Ciufelli, M.; Molteni, G.; Artioli, F.L.; Genovese, E.; Presutti, L. Selective epitympanic dysventilation syndrome. Laryngoscope 2010, 120, 1028–1033. [Google Scholar] [CrossRef]
- Capriotti, V.; Dal Cin, E.; Gatto, A.; Boscolo-Rizzo, P.; Danesi, G.; Tirelli, G. Facial ridge management in canal wall down tympanoplasty for middle ear cholesteatoma. J. Laryngol. Otol. 2022, 1–22, Epub ahead of print. [Google Scholar] [CrossRef] [PubMed]
- Homøe, P.; Kværner, K.; Casey, J.R.; Damoiseaux, R.A.; van Dongen, T.M.; Gunasekera, H.; Jensen, R.G.; Kvestad, E.; Morris, P.S.; Weinreich, H.M. Panel 1: Epidemiology and Diagnosis. Otolaryngol. Neck Surg. 2017, 156, S1–S21. [Google Scholar] [CrossRef] [PubMed]
- Picciotti, P.M.; Marca, G.D.; D’Alatri, L.; Lucidi, D.; Rigante, M.; Scarano, E. Tensor veli palatini electromyography for monitoring Eustachian tube rehabilitation in otitis media. J. Laryngol. Otol. 2017, 131, 411–416. [Google Scholar] [CrossRef] [PubMed]
- D’Alatri, L.; Picciotti, P.M.; Marchese, M.R.; Fiorita, A. Alternative treatment for otitis media with effusion: Eustachian tube rehabilitation. Acta Otorhinolaryngol. Ital. 2012, 32, 26–30. [Google Scholar] [PubMed]
- Casselbrant, M.L.; Mandel, E.M.; Fall, P.A.; Rockette, H.E.; Kurs-Lasky, M.; Bluestone, C.D.; Ferrell, R.E. The heritability of otitis media: A twin and triplet study. JAMA 1999, 282, 2125–2130. [Google Scholar] [CrossRef]
- Saghiri, M.A.; Eid, J.; Tang, C.K.; Freag, P. Factors influencing different types of malocclusion and arch form-A review. J. Stomatol. Oral. Maxillofac. Surg. 2021, 122, 185–191. [Google Scholar] [CrossRef]
- Peck, C.C. Biomechanics of occlusion—Implications for oral rehabilitation. J. Oral Rehabil. 2016, 43, 205–214. [Google Scholar] [CrossRef]
- Grippaudo, C.; Paolantonio, E.G.; Antonini, G.; Saulle, R.; La Torre, G.; Deli, R. Association between oral habits, mouth breathing and malocclusion. Acta Otorhinolaryngol. Ital. 2016, 36, 386–394. [Google Scholar] [CrossRef]
- Fan, C.; Guo, L.; Gu, H.; Huo, Y.; Lin, H. Alterations in Oral–Nasal–Pharyngeal Microbiota and Salivary Proteins in Mouth-Breathing Children. Front. Microbiol. 2020, 11, 575550. [Google Scholar] [CrossRef]
- Capriotti, V.; Mattioli, F.; Guida, F.; Marcuzzo, A.V.; Lo Manto, A.; Martone, A.; Molinari, G.; Fabbris, C.; Menegaldo, A.; Calvanese, L.; et al. COVID-19 in the tonsillectomised population. Acta Otorhinolaryngol. Ital. 2021, 41, 197–205. [Google Scholar] [CrossRef]
- Robison, J.G.; Wilson, C.; Otteson, T.D.; Chakravorty, S.S.; Mehta, D.K. Increased eustachian tube dysfunction in infants with obstructive sleep apnea. Laryngoscope 2012, 122, 1170–1177. [Google Scholar] [CrossRef] [PubMed]
- Ungar, O.J.; Rosenzweig, E.; Betito, H.R.; Cavel, O.; Oron, Y.; Handzel, O. Eustachian tube dysfunction in candidates for surgery for obstructive sleep apnoea syndrome. J. Laryngol. Otol. 2020, 134, 81–85. [Google Scholar] [CrossRef] [PubMed]
- Villa, M.P.; Bernkopf, E.; Pagani, J.; Broia, V.; Montesano, M.; Ronchetti, R. Randomized Controlled Study of an Oral Jaw-Positioning Appliance for the Treatment of Obstructive Sleep Apnea in Children with Malocclusion. Am. J. Respir. Crit. Care Med. 2002, 165, 123–127. [Google Scholar] [CrossRef] [PubMed]
- Miura, M.S.; Mascaro, M.; Rosenfeld, R.M. Association between Otitis Media and Gastroesophageal Reflux: A Systematic Review. Otolaryngol. Neck Surg. 2012, 146, 345–352. [Google Scholar] [CrossRef] [PubMed]
- Arad-Cohen, N.; Cohen, A.; Tirosh, E. The relationship between gastroesophageal reflux and apnea in infants. J. Pediatr. 2000, 137, 321–326. [Google Scholar] [CrossRef] [PubMed]




Publisher’s Note: MDPI stays neutral with regard to jurisdictional claims in published maps and institutional affiliations. |
© 2022 by the authors. Licensee MDPI, Basel, Switzerland. This article is an open access article distributed under the terms and conditions of the Creative Commons Attribution (CC BY) license (https://creativecommons.org/licenses/by/4.0/).
Share and Cite
Bernkopf, E.; Cristalli, G.; de Vincentiis, G.C.; Bernkopf, G.; Capriotti, V. Temporomandibular Joint and Otitis Media: A Narrative Review of Implications in Etiopathogenesis and Treatment. Medicina 2022, 58, 1806. https://doi.org/10.3390/medicina58121806
Bernkopf E, Cristalli G, de Vincentiis GC, Bernkopf G, Capriotti V. Temporomandibular Joint and Otitis Media: A Narrative Review of Implications in Etiopathogenesis and Treatment. Medicina. 2022; 58(12):1806. https://doi.org/10.3390/medicina58121806
Chicago/Turabian StyleBernkopf, Edoardo, Giovanni Cristalli, Giovanni Carlo de Vincentiis, Giulia Bernkopf, and Vincenzo Capriotti. 2022. "Temporomandibular Joint and Otitis Media: A Narrative Review of Implications in Etiopathogenesis and Treatment" Medicina 58, no. 12: 1806. https://doi.org/10.3390/medicina58121806
APA StyleBernkopf, E., Cristalli, G., de Vincentiis, G. C., Bernkopf, G., & Capriotti, V. (2022). Temporomandibular Joint and Otitis Media: A Narrative Review of Implications in Etiopathogenesis and Treatment. Medicina, 58(12), 1806. https://doi.org/10.3390/medicina58121806

