Evaluation of the Efficacy of Mineralized Dentin Graft in the Treatment of Intraosseous Defects: An Experimental In Vivo Study
Abstract
1. Introduction
2. Materials and Methods
2.1. Study Design
2.2. Sample Size
2.3. Surgical Procedures
2.4. Preparation of Mineralized Dentin Graft
2.5. Postoperative Care
2.6. Sacrification
2.7. Histologic and Histomorphometric Evaluations
2.8. Statistical Analysis
3. Results
3.1. Clinical Findings
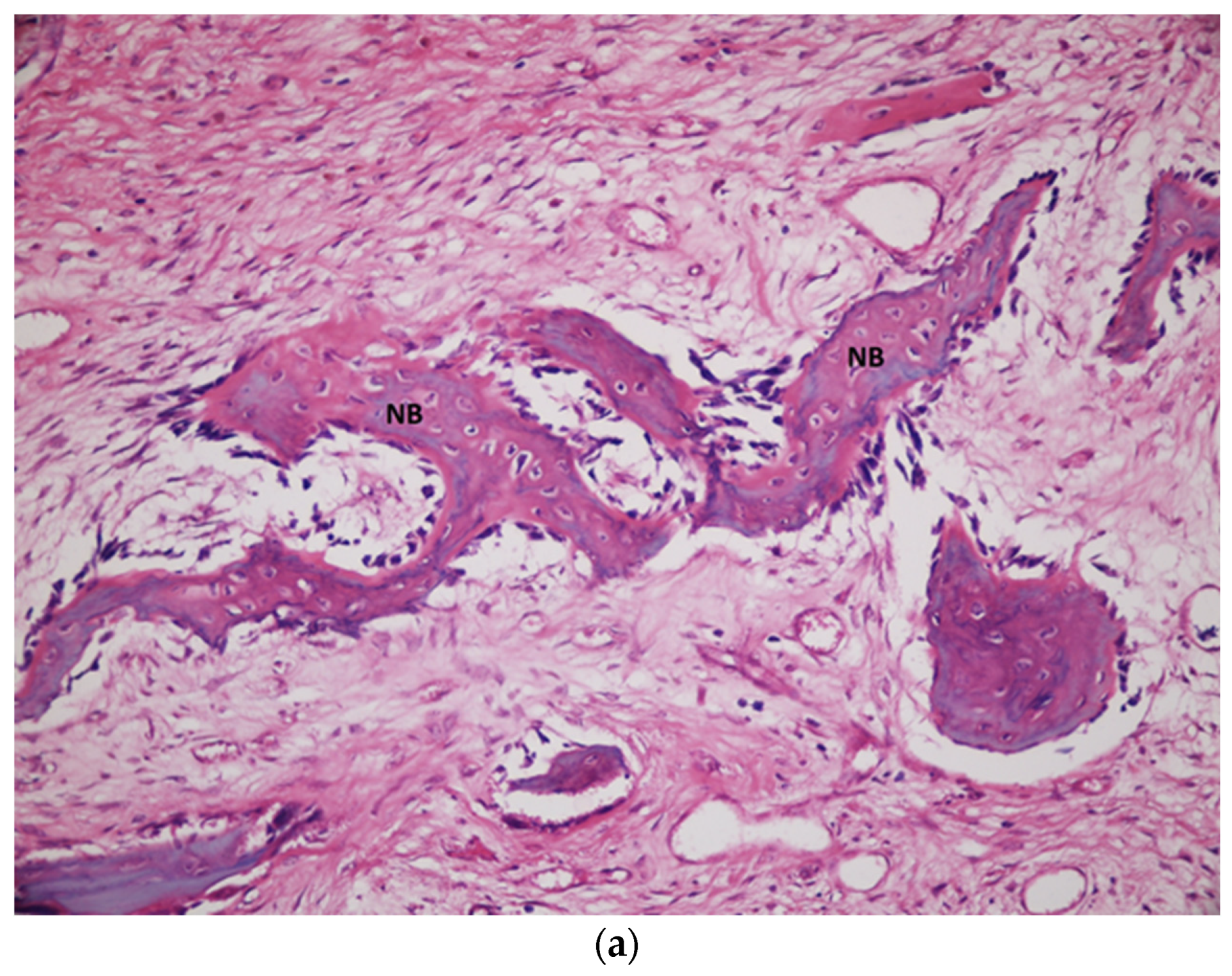
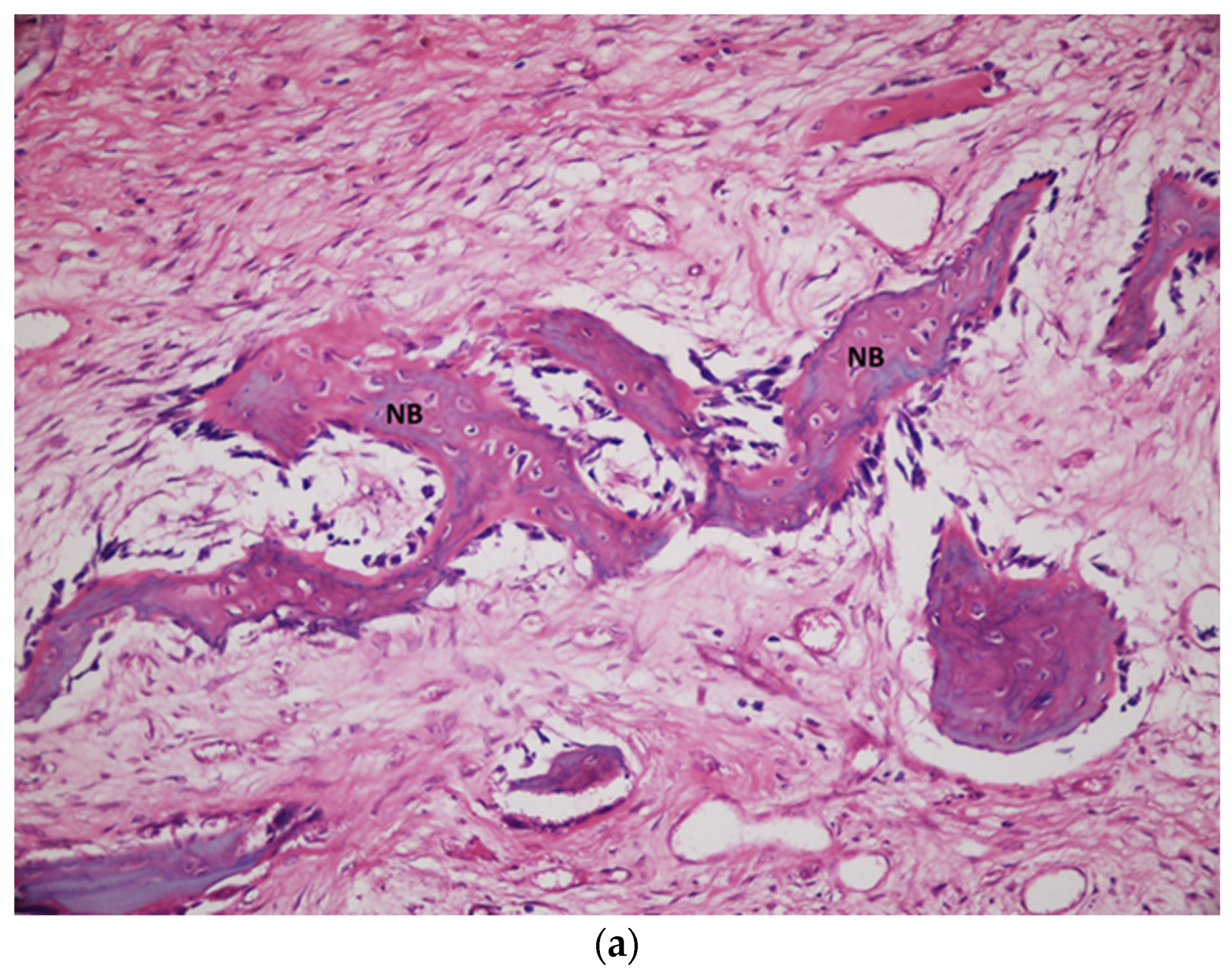
3.2. Histologic and Histomorphometric Findings
4. Discussion
5. Conclusions
Author Contributions
Funding
Institutional Review Board Statement
Conflicts of Interest
References
- Giannoudis, P.V.; Dinopoulos, H.; Tsiridis, E. Bone substitutes: An update. Injury 2005, 36, 20–27. [Google Scholar] [CrossRef]
- Khan, S.N.; Cammisa, F.P., Jr.; Sandhu, H.S.; Diwan, A.D.; Girardi, F.P.; Lane, J.M. The biology of bone grafting. J. Am. Acad. Orthop. Surg. 2005, 13, 77–86. [Google Scholar] [CrossRef] [PubMed]
- Urist, M.R. Bone: Formation by autoinduction. Science 1965, 150, 893–899. [Google Scholar] [CrossRef]
- Morjaria, K.R.; Wilson, R.; Palmer, R.M. Bone healing after tooth extraction with or without an intervention: A systematic review of randomized controlled trials. Clin. Implant Dent. Relat. Res. 2014, 16, 1–20. [Google Scholar] [CrossRef]
- Hallman, M.; Thor, A. Bone substitutes and growth factors as an alternative/complement to autogenous bone for grafting in implant dentistry. Periodontol. 2000 2008, 47, 172–192. [Google Scholar] [CrossRef] [PubMed]
- Nkenke, E.; Stelzle, F. Clinical outcomes of sinus floor augmentation for implant placement using autogenous bone or bone substitutes: A systematic review. Clin. Oral Implants Res. 2009, 20, 124–133. [Google Scholar] [CrossRef]
- Ferreira, M.M.; Brito, A.F.; Brazete, D.; Pereira, I.C.; Carrilho, E.; Abrantes, A.M.; Pires, A.S.; Aguiar, M.J.; Carvalho, L.; Botelho, M.F.; et al. Doping β-TCP as a Strategy for Enhancing the Regenerative Potential of Composite β-TCP-Alkali-Free Bioactive Glass Bone Grafts. Experimental Study in Rats. Materials 2018, 20, 4. [Google Scholar] [CrossRef]
- Hämmerle, C.H.; Jung, R.E.; Yaman, D.; Lang, N.P. Ridge augmentation by applying bioresorbable membranes and deproteinized bovine bone mineral: A report of twelve consecutive cases. Clin. Oral Implants Res. 2008, 19, 19–25. [Google Scholar] [CrossRef]
- Nampo, T.; Watahiki, J.; Enomoto, A.; Taguchi, T.; Ono, M.; Nakano, H.; Yamamoto, G.; Irie, T.; Tachikawa, T.; Maki, K. A new method for alveolar bone repair using extracted teeth for the graft material. J. Periodontol. 2010, 81, 1264–1272. [Google Scholar] [CrossRef]
- Bakhshalian, N.; Hooshmand, S.; Campbell, S.C.; Kim, J.S.; Brummel-Smith, K.; Arjmandi, B.H. Biocompatibility and microstructural analysis of osteopromotive property of allogenic demineralized dentin matrix. Int. J. Oral Maxillofac. Implants 2013, 28, 1655–1662. [Google Scholar] [CrossRef]
- Park, M.; Mah, Y.J.; Kim, D.H.; Kim, E.S.; Park, E.J. Demineralized deciduous tooth as a source of bone graft material: Its biological and physicochemical characteristics. Oral Surg. Oral Med. Oral Pathol. Oral Radiol. 2015, 120, 307–314. [Google Scholar] [CrossRef] [PubMed]
- Koga, T.; Minamizato, T.; Kawai, Y.; Miura, K.I.T.; Nakatani, Y.; Sumita, Y.; Asahina, I. Bone Regeneration Using Dentin Matrix Depends on the Degree of Demineralization and Particle Size. PLoS ONE 2016, 11, e0147235. [Google Scholar] [CrossRef]
- Morrison, S.J.; White, P.M.; Zock, C.; Anderson, D.J. Prospective identification, isolation by flow cytometry, and in vivo self-renewal of multipotent mammalian neural crest stem cells. Cell 1999, 96, 737–749. [Google Scholar] [CrossRef]
- Yoshida, T.; Vivatbutsiri, P.; Morriss-Kay, G.; Saga, Y.; Iseki, S. Cell lineage in mammalian craniofacial mesenchyme. Mech. Dev. 2008, 125, 797–808. [Google Scholar] [CrossRef]
- Kim, Y.K.; Kim, S.G.; Byeon, J.H.; Lee, H.J.; Um, I.U.; Lim, S.C.; Kim, S.Y. Development of a novel bone grafting material using autogenous teeth. Oral Surg. Oral Med. Oral Pathol. Oral Radiol. Endod. 2010, 109, 496–503. [Google Scholar] [CrossRef] [PubMed]
- Akazawa, T.; Murata, M.; Hino, J.; Nakamura, K.; Tazaki, J.; Kikuchi, M.; Arisue, M. Materials design and application of demineralized dentin/apatite composite granules derived from human teeth. Arch. Bioceram. Res. 2007, 7, 25–28. [Google Scholar]
- Murata, M.; Akazawa, T.; Mitsugi, M.; Kabir, M.A.; Um, I.W.; Minamida, Y.; Qin, C. Autograft of dentin materials for bone regeneration. Adv. Biomater. Sci. Biomed. Appl. 2013, 27, 391–403. [Google Scholar]
- Bono, N.; Tarsini, P.; Candiani, G. Demineralized dentin and enamel matrices as suitable substrates for bone regeneration. J. Appl. Biomater. Funct. Mater. 2017, 15, 236–243. [Google Scholar] [CrossRef]
- Binderman, I.; Hallel, G.; Nardy, C.; Yaffe, A.; Sapoznikov, L. A novel procedure to process extracted teeth for immediate grafting of autogenous dentin. J. Interdiscipl. Med. Dent. Sci. 2014, 2, 2–6. [Google Scholar]
- Sperling, I.; Itzkowitz, D.; Kaufman, A.; Binderman, I. A new treatment of heterotransplanted teeth to prevent progression of root resorption. Endod. Dent. Traumatol. 1986, 2, 117–120. [Google Scholar] [CrossRef]
- Andersson, L.; Bodin, I.; Sörensen, S. Progression of root resorption following replantation of human teeth after extended extraoral storage. Endod. Dent. Traumatol. 1989, 5, 38–47. [Google Scholar] [CrossRef]
- Kim, Y.K.; Lee, J.; Um, I.W.; Kim, K.W.; Murata, M.; Akazawa, T.; Mitsugi, M. Tooth-derived bone graft material. J. Korean Assoc. Oral Maxillofac. Surg. 2013, 39, 103–111. [Google Scholar] [CrossRef]
- Andersson, L.; Blomlof, L.; Lindskog, S.; Feiglin, B.; Hammarstrom, L. Tooth ankylosis. Clinical, radiographic and histological assessments. Int. J. Oral Surg. 1984, 13, 423–431. [Google Scholar] [CrossRef]
- Schwartz, Z.; Lohmann, C.H.; Wieland, M.; Cochran, D.L.; Dean, D.D.; Textor, M.; Bonewald, L.F.; Boyan, B.D. Osteoblast proliferation and differentiation on dentin slices are modulated by pretreatment of the surface with tetracycline or osteoclasts. J. Periodontol. 2000, 71, 586–597. [Google Scholar] [CrossRef] [PubMed]
- Mazor, Z.; Horowitz, R.A.; Prasad, H.; Kotsakis, G.A. Healing dynamics following alveolar ridge preservation with autologous tooth structure. Int. J. Periodontics Restor. Dent. 2019, 39, 697–702. [Google Scholar] [CrossRef] [PubMed]
- Yeomans, J.D.; Urist, M.R. Bone induction by decalcified dentine implanted into oral, osseous and muscle tissues. Arch. Oral Biol. 1967, 12, 999–1008. [Google Scholar] [CrossRef]
- Kim, Y.K.; Kim, S.G.; Yun, P.Y.; Yeo, I.S.; Jin, S.C.; Oh, J.S.; Kim, H.J.; Yu, S.K.; Lee, S.Y.; Kim, J.S.; et al. Autogenous teeth used for bone grafting: A comparison with traditional grafting materials. Oral Surg. Oral Med. Oral Pathol. Oral Radiol. 2014, 117, 39–45. [Google Scholar] [CrossRef] [PubMed]
- Andersson, L. Dentin xenografts to experimental bone defects in rabbit tibia are ankylosed and undergo osseous replacement. Dent. Traumatol. 2010, 26, 398–402. [Google Scholar] [CrossRef]
- Kilkenny, C.; Browne, W.; Cuthill, I.C.; Emerson, M.; Altman, D.G. NC3Rs Reporting Guidelines Working Group. Animal research: Reporting in vivo experiments: The ARRIVE guidelines. Br. J. Pharmacol. 2010, 160, 1577–1579. [Google Scholar] [CrossRef]
- Johansson, B.; Grepe, A.; Wannfors, K.; Hirsch, J.M. A clinical study of changes in the volume of bone grafts in the atrophic maxilla. Dentomaxillofac. Radiol. 2001, 30, 157–161. [Google Scholar] [CrossRef]
- Kim, Y.K.; Kim, S.G.; Oh, J.S. Analysis of the inorganic component of autogenous tooth bone graft material. J. Nanosci. Nanotechnol. 2011, 11, 7442–7445. [Google Scholar] [CrossRef]
- Kim, Y.K.; Lee, J.; Yun, J.Y.; Yun, P.Y.; Um, I.W. Comparison of autogenous tooth bone graft and synthetic bone graft materials used for bone resorption around implants after crestal approach sinus lifting: A retrospective study. J. Periodontal. Implant Sci. 2014, 44, 216–221. [Google Scholar] [CrossRef]
- Calvo-Guirado, J.L.; Maté-Sánchez de Val, J.E.; Ramos-Oltra, M.L.; Pérez-Albacete Martínez, C.; Ramírez-Fernández, M.P.; Maiquez-Gosálvez, M.; Gehrke, S.A.; Fernández-Domínguez, M.; Romanos, G.E.; Delgado-Ruiz, R.A. The Use of Tooth Particles as a Biomaterial in Post-Extraction Sockets. Experimental Study in Dogs. Dent. J. 2018, 6, 12. [Google Scholar] [CrossRef] [PubMed]
- Pohl, V.; Schuh, C.; Fischer, M.B.; Haas, R. A New Method Using Autogenous Impacted Third Molars for Sinus Augmentation to Enhance Implant Treatment: Case Series with Preliminary Results of an Open, Prospective Longitudinal Study. Int. J. Oral Maxillofac. Implants 2016, 31, 622–630. [Google Scholar] [CrossRef] [PubMed]
- Valdec, S.; Pasic, P.; Soltermann, A.; Thoma, D.; Stadlinger, B.; Rücker, M. Alveolar ridge preservation with autologous particulated dentin-a case series. Int. J. Implant Dent. 2017, 3, 12. [Google Scholar] [CrossRef] [PubMed]
- Chung, J.H.; Lee, J.H. Study of bone healing pattern in extraction socket after application of demineralized dentin matrix material. J. Korean Assoc. Oral Maxillofac. Surg. 2011, 37, 365–374. [Google Scholar] [CrossRef][Green Version]
- Li, R.; Guo, W.; Yang, B.; Guo, L.; Sheng, L.; Chen, G.; Li, Y.; Zou, Q.; Xie, D.; An, X.; et al. Human treated dentin matrix as a natural scaffold for complete human dentin tissue regeneration. Biomaterials 2011, 32, 4525–4538. [Google Scholar] [CrossRef]
- Elfana, A.; El-Kholy, S.; Saleh, H.A.; Fawzy El-Sayed, K. Alveolar ridge preservation using autogenous whole-tooth versus demineralized dentin grafts: A randomized controlled clinical trial. Clin. Oral Implants Res. 2021, 32, 539–548. [Google Scholar] [CrossRef]
- Pang, K.M.; Um, I.W.; Kim, Y.K.; Woo, J.M.; Kim, S.M.; Lee, J.H. Autogenous demineralized dentin matrix from extracted tooth for the augmentation of alveolar bone defect: A prospective randomized clinical trial in comparison with anorganic bovine bone. Clin. Oral Implants Res. 2017, 28, 809–815. [Google Scholar] [CrossRef]
- Auer, J.A.; Goodship, A.; Arnoczky, S.; Pearce, S.; Price, J.; Claes, L.; von Rechenberg, B.; Hofmann-Amtenbrinck, M.; Schneider, E.; Müller-Terpitz, R.; et al. Refining animal models in fracture research: Seeking consensus in optimising both animal welfare and scientific validity for appropriate biomedical use. BMC Musculoskelet. Disord. 2007, 8, 72. [Google Scholar] [CrossRef]
- Yilmaz, C.; Ersanli, S.; Karabagli, M.; Olgac, V.; Bolukbasi Balcioglu, N. May Autogenous Grafts Increase the Effectiveness of Hyalonect Membranes in Intraosseous Defects: An Experimental In Vivo Study. Medicina 2021, 57, 430. [Google Scholar] [CrossRef] [PubMed]
- Ortiz-Ruiz, A.J.; Teruel-Fernández, J.D.; Alcolea-Rubio, L.A.; Hernández-Fernández, A.; Martínez-Beneyto, Y.; Gispert-Guirado, F. Structural differences in enamel and dentin in human, bovine, porcine, and ovine teeth. Ann. Anat. 2018, 218, 7–17. [Google Scholar] [CrossRef] [PubMed]













| The Amount of New Bone Formation (%) | ||||
|---|---|---|---|---|
| 3rd Week | 6th Week | |||
| Median (Q1–Q3) | Avg ± SD | Median (Q1–Q3) | Avg ± SD | |
| E | 24.4 (23.6–24.8) | 24.21 ± 0.87 | 37.1 (36.4–39.3) | 37.76 ± 1.99 |
| A | 51 (50.2–55) | 52.27 ± 3.61 | 65 (63.7–66.9) | 61.47 ± 1.15 |
| D | 45.3 (43–49.3) | 46.04 ± 3.36 | 69.6 (66–72.6) | 69.48 ± 3.29 |
| X | 45.7 (43.8–47) | 45.49 ± 1.77 | 70 (68.7–71.7) | 70.23 ± 1.84 |
| A + X | 48.4 (46.5–50.8) | 48.33 ± 2.53 | 71.1 (70.4–74.8) | 72.11 ± 2.51 |
| D + X | 45.5 (43.6–47.1) | 45.37 ± 1.85 | 70.7 (68.4–74.4) | 71.25 ± 3.16 |
| d p | <0.001 ** | <0.001 ** | ||
| dd Post Hoc Dunn test | ||||
| E−A | 0.001 ** | 0.030 * | ||
| E−D | 0.015 * | 0.045 * | ||
| E−X | 0.033 * | 0.024 * | ||
| E−A + X | 0.001 ** | 0.001 ** | ||
| E−D + X | 0.043 * | 0.006 ** | ||
| A-D | 0.420 | 0.645 | ||
| A−X | 0.195 | 0.450 | ||
| A−A + X | 1.000 | 0.030 * | ||
| A−D + X | 0.135 | 0.150 | ||
| D−X | 1.000 | 1.000 | ||
| D−A + X | 1.000 | 1.000 | ||
| D−D + X | 1.000 | 1.000 | ||
| X−A + X | 1.000 | 1.000 | ||
| X−D + X | 1.000 | 1.000 | ||
| A + X−D + X | 1.000 | 1.000 | ||
| The Amount of Residual Graft Material (%) | ||||
|---|---|---|---|---|
| 3rd Week | 6th Week | |||
| Min–Max (Median) | Avg ± SD | Min–Max (Median) | Avg ± SD | |
| D | 19.4–24.3 (21) | 21.3 ± 1.88 | 6.4–9.8 (7.4) | 7.79 ± 1.29 |
| X | 33.8–38.8 (35.5) | 35.74 ± 1.93 | 16.3–24.2 (22.6) | 21.57 ± 3 |
| A + X | 14–17.2 (16.2) | 15.83 ± 1.23 | 6.5–11.5 (10.1) | 9.32 ± 2.07 |
| D + X | 22.7–28 (23.7) | 24.63 ± 2.26 | 14.3–19.7 (16.6) | 16.97 ± 2.28 |
| dp | <0.001 ** | <0.001 ** | ||
| dd Post Hoc Dunn test | ||||
| D−X | 0.075 | 0.002 ** | ||
| D−A + X | 1.000 | 1.000 | ||
| D−D + X | 1.000 | 0.090 | ||
| X−A + X | 0.001 ** | 0.030 * | ||
| X−D + X | 1.000 | 1.000 | ||
| A + X−D + X | 0.075 | 0.675 | ||
Publisher’s Note: MDPI stays neutral with regard to jurisdictional claims in published maps and institutional affiliations. |
© 2022 by the authors. Licensee MDPI, Basel, Switzerland. This article is an open access article distributed under the terms and conditions of the Creative Commons Attribution (CC BY) license (https://creativecommons.org/licenses/by/4.0/).
Share and Cite
Özkahraman, N.; Balcıoğlu, N.B.; Soluk Tekkesin, M.; Altundağ, Y.; Yalçın, S. Evaluation of the Efficacy of Mineralized Dentin Graft in the Treatment of Intraosseous Defects: An Experimental In Vivo Study. Medicina 2022, 58, 103. https://doi.org/10.3390/medicina58010103
Özkahraman N, Balcıoğlu NB, Soluk Tekkesin M, Altundağ Y, Yalçın S. Evaluation of the Efficacy of Mineralized Dentin Graft in the Treatment of Intraosseous Defects: An Experimental In Vivo Study. Medicina. 2022; 58(1):103. https://doi.org/10.3390/medicina58010103
Chicago/Turabian StyleÖzkahraman, Nuray, Nilüfer Bölükbaşı Balcıoğlu, Merva Soluk Tekkesin, Yusuf Altundağ, and Serdar Yalçın. 2022. "Evaluation of the Efficacy of Mineralized Dentin Graft in the Treatment of Intraosseous Defects: An Experimental In Vivo Study" Medicina 58, no. 1: 103. https://doi.org/10.3390/medicina58010103
APA StyleÖzkahraman, N., Balcıoğlu, N. B., Soluk Tekkesin, M., Altundağ, Y., & Yalçın, S. (2022). Evaluation of the Efficacy of Mineralized Dentin Graft in the Treatment of Intraosseous Defects: An Experimental In Vivo Study. Medicina, 58(1), 103. https://doi.org/10.3390/medicina58010103

