Clinicopathological Significance and Prognostic Implications of REG4 Immunohistochemical Expression in Colorectal Cancer
Abstract
1. Introduction
2. Materials and Methods
2.1. Patients
2.2. Tissue Array Method
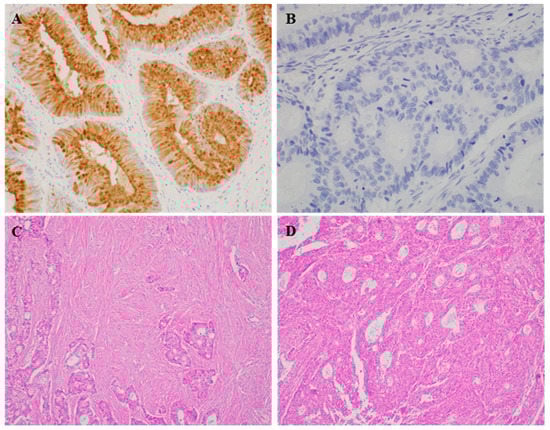
2.3. Immunohistochemical Staining and Evaluation
2.4. Evaluation of Intratumoral Stroma
2.5. Statistical Analysis
3. Results
3.1. Correlation between REG4 Expression and Clinicopathological Characteristics in Colorectal Cancer
3.2. Correlation between REG4 Expression and Prognosis
4. Discussion
5. Conclusions
Author Contributions
Funding
Institutional Review Board Statement
Informed Consent Statement
Data Availability Statement
Conflicts of Interest
References
- Iovanna, J.L.; Dagorn, J.C. The multifunctional family of secreted proteins containing a C-type lectin-like domain linked to a short N-terminal peptide. Biochim. Biophys. Acta 2005, 1723, 8–18. [Google Scholar] [CrossRef] [PubMed]
- Saukkonen, K.; Hagström, J.; Mustonen, H.; Lehtinen, L.; Carpen, O.; Andersson, L.C.; Seppänen, H.; Haglund, C. Prognostic and diagnostic value of REG4 serum and tissue expression in pancreatic ductal adenocarcinoma. Tumour Biol. 2018, 40, 1010428318761494. [Google Scholar] [CrossRef]
- Broekaert, D.; Eyckerman, S.; Lavens, D.; Verhee, A.; Waelput, W.; Vandekerckhove, J.; Tavernier, J. Comparison of leptin- and interleukin-6-regulated expression of the rPAP gene family: Evidence for differential co-regulatory signals. Eur. Cytokine Netw. 2002, 13, 78–85. [Google Scholar] [PubMed]
- Dusetti, N.J.; Frigerio, J.M.; Fox, M.F.; Swallow, D.M.; Dagorn, J.C.; Iovanna, J.L. Molecular cloning, genomic organization, and chromosomal localization of the human pancreatitis-associated protein (PAP) gene. Genomics 1994, 19, 108–114. [Google Scholar] [CrossRef]
- Hartupee, J.C.; Zhang, H.; Bonaldo, M.F.; Soares, M.B.; Dieckgraefe, B.K. Isolation and characterization of a cDNA encoding a novel member of the human regenerating protein family: Reg IV. Biochim. Biophys. Acta 2001, 1518, 287–293. [Google Scholar] [CrossRef]
- Bishnupuri, K.S.; Luo, Q.; Murmu, N.; Houchen, C.W.; Anant, S.; Dieckgraefe, B.K. Reg IV activates the epidermal growth factor receptor/Akt/AP-1 signaling pathway in colon adenocarcinomas. Gastroenterology 2006, 130, 137–149. [Google Scholar] [CrossRef]
- Hu, G.; Shen, J.; Cheng, L.; Guo, C.; Xu, X.; Wang, F.; Huang, L.; Yang, L.; He, M.; Xiang, D.; et al. Reg4 protects against acinar cell necrosis in experimental pancreatitis. Gut 2011, 60, 820–828. [Google Scholar] [CrossRef]
- Rafa, L.; Dessein, A.F.; Devisme, L.; Buob, D.; Truant, S.; Porchet, N.; Huet, G.; Buisine, M.P.; Lesuffleur, T. REG4 acts as a mitogenic, motility and pro-invasive factor for colon cancer cells. Int. J. Oncol. 2010, 36, 689–698. [Google Scholar]
- Eguchi, H.; Ishikawa, O.; Ohigashi, H.; Takahashi, H.; Yano, M.; Nishiyama, K.; Tomita, Y.; Uehara, R.; Takehara, A.; Nakamura, Y.; et al. Serum REG4 Level is a predictive biomarker for the response to preoperative chemoradiotherapy in patients with pancreatic cancer. Pancreas 2009, 38, 7918. [Google Scholar] [CrossRef]
- Mitani, Y.; Oue, N.; Matsumura, S.; Yoshida, K.; Noguchi, T.; Ito, M.; Tanaka, S.; Kuniyasu, H.; Kamata, N.; Yasui, W. Reg IV is a serum biomarker for gastric cancer patients and predicts response to 5-fluorouracil-based chemotherapy. Oncogene 2007, 26, 4383–4393. [Google Scholar] [CrossRef]
- Ohara, S.; Oue, N.; Matsubara, A.; Mita, K.; Hasegawa, Y.; Hayashi, T.; Usui, T.; Amatya, V.J.; Takeshima, Y.; Kuniyasu, H.; et al. Reg IV is an independent prognostic factor for relapse in patientswith clinically localized prostate cancer. Cancer Sci. 2008, 99, 1570–1577. [Google Scholar] [CrossRef]
- Oue, N.; Kuniyasu, H.; Noguchi, T.; Sentani, K.; Ito, M.; Tanaka, S.; Setoyama, T.; Sakakura, C.; Natsugoe, S.; Yasui, W. Serum concentration of Reg IV in patients with colorectal cancer: Overexpression and high serum levels of Reg IV are associated with liver metastasis. Oncology 2007, 72, 371–380. [Google Scholar] [CrossRef] [PubMed]
- Sasahira, T.; Oue, N.; Kirita, T.; Luo, Y.; Bhawal, U.K.; Fujii, K.; Yasui, W.; Kuniyasu, H. Reg IV expression is associated with cell growth and prognosis of adenoid cystic carcinoma in the salivary gland. Histopathology 2008, 53, 667–675. [Google Scholar] [CrossRef] [PubMed]
- Kämäräinen, M.; Heiskala, K.; Knuutila, S.; Heiskala, M.; Winqvist, O.; Andersson, L.C. RELP, a novel human REG-like protein with up-regulated expression in inflammatory and metaplastic gastrointestinal mucosa. Am. J. Pathol. 2003, 163, 11–20. [Google Scholar] [CrossRef]
- Oue, N.; Mitani, Y.; Aung, P.P.; Sakakura, C.; Takeshima, Y.; Kaneko, M.; Noguchi, T.; Nakayama, H.; Yasui, W. Expression and localization of Reg IV in human neoplastic and non-neoplastic tissues: Reg IV expression is associated with intestinal and neuroendocrine differentiation in gastric adenocarcinoma. J. Pathol. 2005, 207, 185–198. [Google Scholar] [CrossRef] [PubMed]
- Tamura, H.; Ohtsuka, M.; Washiro, M.; Kimura, F.; Shimizu, H.; Yoshidome, H.; Kato, A.; Seki, N.; Miyazaki, M. Reg IV expression and clinicopathologic features of gallbladder carcinoma. Hum. Pathol. 2009, 40, 1686–1692. [Google Scholar] [CrossRef]
- Nanakin, A.; Fukui, H.; Fujii, S.; Sekikawa, A.; Kanda, N.; Hisatsune, H.; Seno, H.; Konda, Y.; Fujimori, T.; Chiba, T. Expression of the REG IV gene in ulcerative colitis. Lab. Investig. 2007, 87, 304–314. [Google Scholar] [CrossRef]
- Hayashi, T.; Matsubara, A.; Ohara, S.; Mita, K.; Hasegawa, Y.; Usui, T.; Arihiro, K.; Norimura, S.; Sentani, K.; Oue, N.; et al. Immunohistochemical analysis of Reg IV in urogenital organs: Frequent expression of Reg IV in prostate cancer and potential utility as serum tumor marker. Oncol. Rep. 2009, 21, 95–100. [Google Scholar] [PubMed]
- Heiskala, K.; Giles-Komar, J.; Heiskala, M.; Andersson, L.C. High expression of RELP (Reg IV) in neoplastic goblet cells of appendiceal mucinous cystadenoma and pseudomyxoma peritonei. Virchows Arch. 2006, 448, 295–300. [Google Scholar] [CrossRef]
- Heiskala, K.; Arola, J.T.; Heiskala, M.; Andersson, L.C. Expression of Reg IV and Hath1 in neuroendocrine neoplasms. Histol. Histopathol. 2010, 25, 63–72. [Google Scholar]
- Oue, N.; Hamai, Y.; Mitani, Y.; Matsumura, S.; Oshimo, Y.; Aung, P.P.; Kuraoka, K.; Nakayama, H.; Yasui, W. Gene expression profile of gastric carcinoma: Identification of genes and tags potentially involved in invasion, metastasis, and carcinogenesis by serial analysis of gene expression. Cancer Res. 2004, 64, 2397–2405. [Google Scholar] [CrossRef]
- Zhang, Y.; Lai, M.; Lv, B.; Gu, X.; Wang, H.; Zhu, Y.; Zhu, Y.; Shao, L.; Wang, G. Overexpression of REG IV in colorectal adenoma. Cancer Lett. 2003, 200, 69–76. [Google Scholar] [CrossRef]
- Brenner, H.; Kloor, M.; Pox, C.H. Colorectal cancer. Lancet 2014, 383, 1490–1502. [Google Scholar] [CrossRef]
- Sammarco, G.; Gallo, G.; Vescio, G.; Picciariello, A.; De Paola, G.; Trompetto, M.; Currò, G.; Ammendola, M. Mast Cells, microRNAs and Others: The Role of Translational Research on Colorectal Cancer in the Forthcoming Era of Precision Medicine. J. Clin. Med. 2020, 9, 2852. [Google Scholar] [CrossRef] [PubMed]
- Amin, M.B.; Greene, F.L.; Edge, S.B.; Compton, C.C.; Gershenwald, J.E.; Brookland, R.K.; Meyer, L.; Gress, D.M.; Byrd, D.R.; Winchester, D.P. The AJCC Cancer Stagimg Manual, 8th ed.; Springer: New York, NY, USA, 2016. [Google Scholar]
- Pyo, J.S.; Ko, Y.S.; Kang, G.; Kim, D.H.; Kim, W.H.; Lee, B.L.; Sohn, J.H. Bile acid induces MUC2 expression and inhibits tumor invasion in gastric carcinomas. J. Cancer Res. Clin. Oncol. 2015, 141, 1181–1188. [Google Scholar] [CrossRef]
- Remmele, W.; Stegner, H.E. Recommendation for uniform definition of an immunoreactive score (irs) for immunohistochemical estrogen receptor detection (er-ica) in breast cancer tissue. Pathologe 1987, 8, 138–140. [Google Scholar] [PubMed]
- Okamoto, H. The Reg gene family and Reg proteins: With special attention to the regeneration of pancreatic beta-cells. J. Hepato-Bil. Pancreat. Surg. 1996, 6, 254–262. [Google Scholar] [CrossRef] [PubMed]
- Takehara, A.; Eguchi, H.; Ohigashi, H.; Ishikawa, O.; Kasugai, T.; Hosokawa, M.; Katagiri, T.; Nakamura, Y.; Nakagawa, H. Novel tumor marker REG4 detected in serum of patients with resectable pancreatic cancer and feasibility for antibody therapy targeting REG4. Cancer Sci. 2006, 97, 1191–1197. [Google Scholar] [CrossRef]
- Violette, S.; Festor, E.; Pandrea-Vasile, I.; Mitchell, V.; Adida, C.; Dussaulx, E.; Lacorte, J.; Chambaz, J.; Lacasa, M.; Lesuffleur, T. Reg IV, a new member of the regenerating gene family, is overexpressed in colorectal carcinomas. Int. J. Cancer 2003, 103, 185–193. [Google Scholar] [CrossRef] [PubMed]
- Katsuno, Y.; Ehata, S.; Yashiro, M.; Yanagihara, K.; Hirakawa, K.; Miyazono, K. Coordinated expression of REG4 and aldehyde dehydrogenase 1 regulating tumourigenic capacity of diffuse type gastric carcinoma-initiating cells is inhibited by TGF-β. J. Pathol. 2012, 228, 391–404. [Google Scholar] [CrossRef]
- Bishnupuri, K.S.; Luoi, Q.; Sainathan, S.K.; Kikuchi, K.; Sureban, S.M.; Sabarinathan, M.; Gross, J.H.; Aden, K.; May, R.; Houchen, C.W.; et al. Reg IV regulates normal intestinal and colorectal cancer cell susceptibility to radiation-induced apoptosis. Gastroenterology 2010, 138, 616–626.e1. [Google Scholar] [CrossRef] [PubMed][Green Version]
- Legoffic, A.; Calvo, E.; Cano, C.; Folch-Puy, E.; Barthet, M.; Delpero, J.P.; Ferrés-Masó, M.; Dagorn, J.C.; Closa, D.; Iovanna, J. The reg4 gene, amplified in the early stages of pancreatic cancer development, is a promising therapeutic target. PLoS ONE 2009, 4, e7495. [Google Scholar] [CrossRef]
- Liu, C.M.; Hsieh, C.L.; He, Y.C.; Lo, S.J.; Liang, J.A.; Hsieh, T.F.; Josson, S.; Chung, L.W.K.; Hung, M.C.; Sung, S.Y. In vivo targeting of ADAM9 gene expression using lentivirus-delivered shRNA suppresses prostate cancer growth by regulating REG4 dependent cell cycle progression. PLoS ONE 2013, 8, e53795. [Google Scholar] [CrossRef]
- Zhou, W.; Sun, M.; Wang, D.L.; Wang, Y.; Jin, F.; Zhang, Y.Y.; Yang, L.; Wu, X.L.; Wu, Y.Z. Silencing of RegIV by shRNA causes the loss of stemness properties of cancer stem cells in MKN45 gastric cancer cells. Oncol. Rep. 2013, 30, 2685–2690. [Google Scholar] [CrossRef][Green Version]
- Kawasaki, Y.; Matsumura, K.; Miyamoto, M.; Tsuji, S.; Okuno, M.; Suda, S.; Hiyoshi, M.; Kitayama, J.; Akiyama, T. REG4 is a transcriptional target of GATA6 and is essential for colorectal tumorigenesis. Sci. Rep. 2015, 5, 14291. [Google Scholar] [CrossRef] [PubMed]
- Numata, M.; Oshima, T.; Yoshihara, K.; Watanabe, T.; Tsuchida, K.; Tamagawa, H.; Yamamoto, N.; Shiozawa, M.; Morinaga, S.; Akaike, M.; et al. Relationship between RegIV gene expression to outcomes in colorectal cancer. J. Surg. Oncol. 2011, 104, 205–209. [Google Scholar] [CrossRef] [PubMed]
- Kang, G.; Pyo, J.S.; Kim, N.Y.; Kang, D.W. Clinicopathological significances of tumor–stroma ratio (TSR) in colorectal cancers: Prognostic implication of TSR compared to hypoxia-inducible factor-1α expression and microvessel density. Curr. Oncol. 2021, 28, 1314–1324. [Google Scholar] [CrossRef]
- Kaprio, T.; Hagström, J.; Mustonen, H.; Koskensalo, S.; Andersson, L.C.; Haglund, C. REG4 independently predicts better prognosis in non-mucinous colorectal cancer. PLoS ONE 2014, 9, e109600. [Google Scholar] [CrossRef] [PubMed]
- Lehtinen, L.; Vesterkvist, P.; Roering, P.; Korpela, T.; Hattara, L.; Kaipio, K.; Mpindi, J.P.; Hynninen, J.; Auranen, A.; Dvidson, B.; et al. REG4 is highly expressed in mucinous ovarian cancer: A potential novel serum biomarker. PLoS ONE 2016, 11, e0151590. [Google Scholar] [CrossRef] [PubMed]
- He, X.J.; Jiang, X.T.; Ma, Y.Y.; Xia, Y.Y.; Wang, H.J.; Guan, T.P.; Shao, Q.S.; Tao, H.Q. REG4 contributes to the invasiveness of pancreatic cancer by upregulating MMP-7 and MMP-9. Cancer Sci. 2012, 103, 2082–2091. [Google Scholar] [CrossRef]



| REG4 Expression | p-Value | ||
|---|---|---|---|
| Positive | Negative | ||
| Total (n = 266) | 84 (31.6) | 182 (68.4) | |
| Age (years) | 64.06 ± 12.89 | 63.37 ± 12.95 | 0.686 |
| Sex Male Female | 42 (50.0) 42 (50.0) | 93 (51.1) 89 (48.9) | 0.868 |
| Tumor size ≤5 cm >5 cm | 32 (38.1) 52 (61.9) | 74 (40.7) 108 (59.3) | 0.691 |
| Tumor size (cm) | 5.80 ± 2.16 | 5.30 ± 2.02 | 0.069 |
| Location of tumor Right colon Left colon and rectum | 52 (61.9) 32 (38.1) | 76 (41.8) 106 (58.2) | 0.002 |
| Tumor differentiation Well or Moderate Poorly | 62 (73.8) 22 (26.2) | 149 (81.9) 33 (18.1) | 0.131 |
| Vascular invasion Present Absent | 6 (7.1) 78 (92.9) | 18 (9.9) 164 (90.1) | 0.467 |
| Lymphatic invasion Present Absent | 16 (19.0) 68 (81.0) | 54 (29.7) 128 (70.3) | 0.067 |
| Perineural invasion Present Absent | 9 (10.7) 75 (89.3) | 35 (19.2) 147 (80.8) | 0.082 |
| pT stage pT1-2 pT3-4 | 18 (21.4) 66 (78.6) | 23 (12.6) 159 (87.4) | 0.065 |
| Lymph node metastasis Present Absent | 39 (46.4) 45 (53.6) | 107 (58.8) 75 (41.2) | 0.060 |
| Distant metastasis Present Absent | 9 (10.7) 75 (89.3) | 20 (11.0) 162 (89.0) | 0.947 |
| pTNM stage I–II III–IV | 42 (50.0) 42 (50.0) | 73 (40.1) 109 (59.9) | 0.130 |
| REG4 Expression | p-Value | ||
|---|---|---|---|
| Positive | Negative | ||
| Stroma High Low | 16 (19.0) 68 (81.0) | 65 (35.7) 117 (64.3) | 0.006 |
| Mucinous component Present Absent | 32 (38.1) 52 (61.9) | 14 (7.7) 168 (92.3) | <0.001 |
Publisher’s Note: MDPI stays neutral with regard to jurisdictional claims in published maps and institutional affiliations. |
© 2021 by the authors. Licensee MDPI, Basel, Switzerland. This article is an open access article distributed under the terms and conditions of the Creative Commons Attribution (CC BY) license (https://creativecommons.org/licenses/by/4.0/).
Share and Cite
Kang, G.; Oh, I.; Pyo, J.; Kang, D.; Son, B. Clinicopathological Significance and Prognostic Implications of REG4 Immunohistochemical Expression in Colorectal Cancer. Medicina 2021, 57, 938. https://doi.org/10.3390/medicina57090938
Kang G, Oh I, Pyo J, Kang D, Son B. Clinicopathological Significance and Prognostic Implications of REG4 Immunohistochemical Expression in Colorectal Cancer. Medicina. 2021; 57(9):938. https://doi.org/10.3390/medicina57090938
Chicago/Turabian StyleKang, Guhyun, Ilhwan Oh, Jungsoo Pyo, Dongwook Kang, and Byoungkwan Son. 2021. "Clinicopathological Significance and Prognostic Implications of REG4 Immunohistochemical Expression in Colorectal Cancer" Medicina 57, no. 9: 938. https://doi.org/10.3390/medicina57090938
APA StyleKang, G., Oh, I., Pyo, J., Kang, D., & Son, B. (2021). Clinicopathological Significance and Prognostic Implications of REG4 Immunohistochemical Expression in Colorectal Cancer. Medicina, 57(9), 938. https://doi.org/10.3390/medicina57090938

