A Review of Fixed Drug Eruption with a Special Focus on Generalized Bullous Fixed Drug Eruption
Abstract
1. Introduction
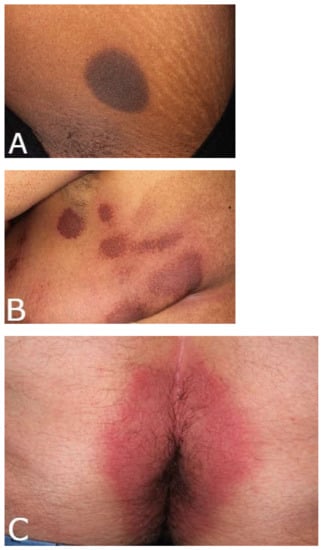
2. Presentation
3. Epidemiology
4. Pathogenesis
5. Associated Agents
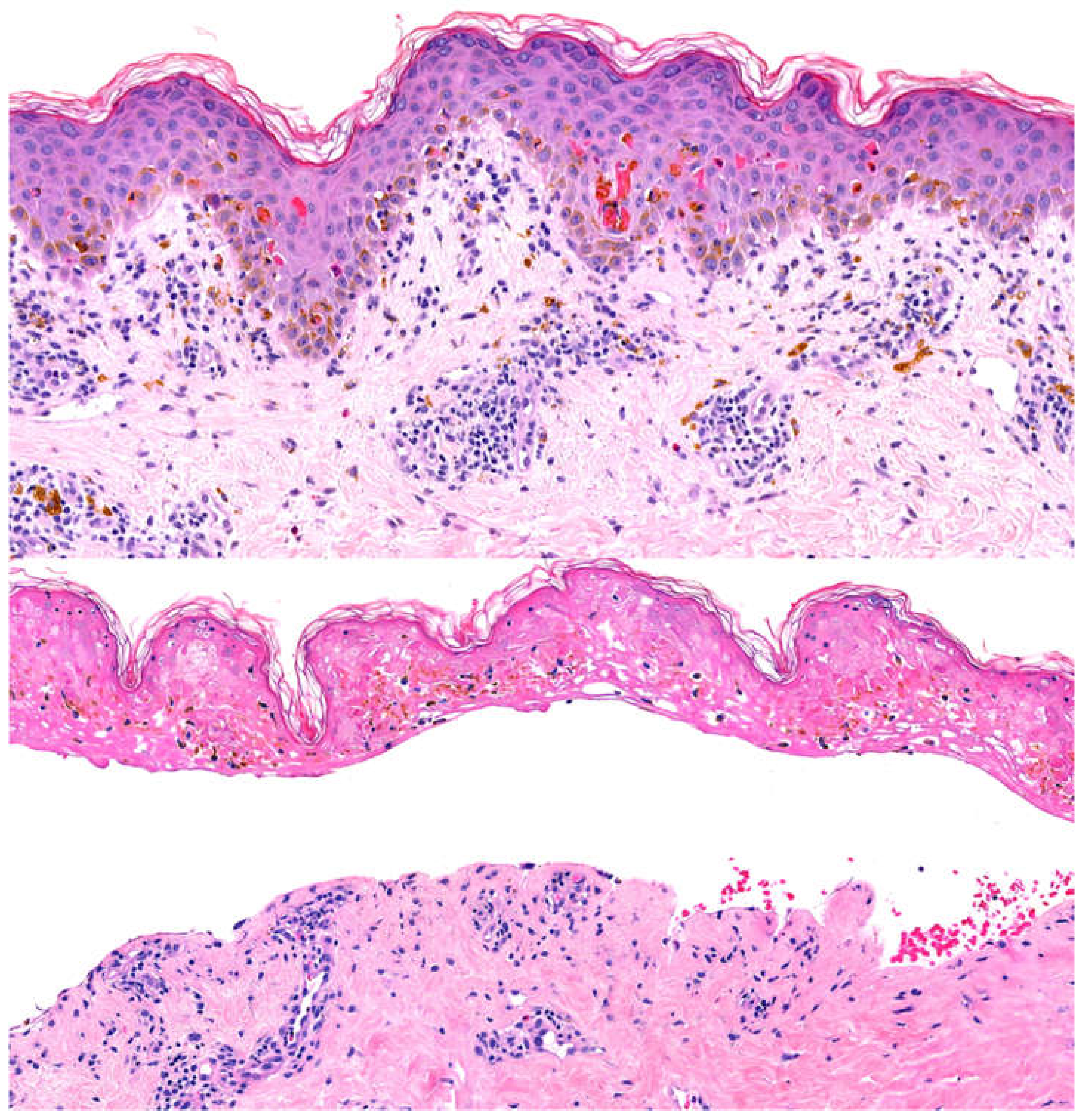
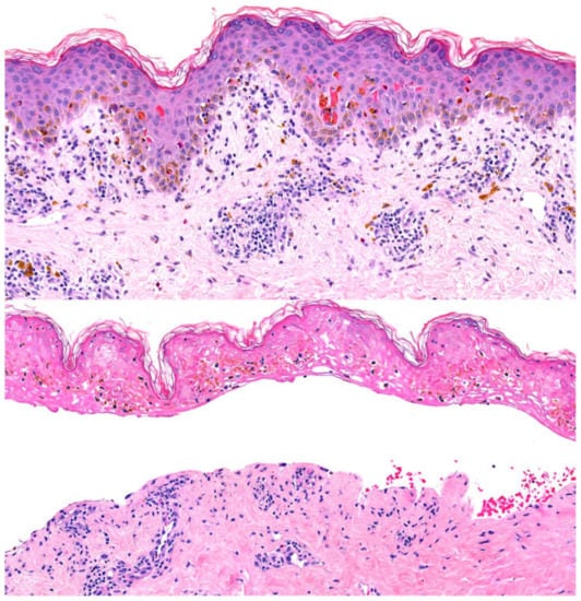
6. Diagnosis
7. Generalized Bullous Fixed Drug Eruption (GBFDE)
7.1. Diagnosis and Distinction from SJS/TEN
7.2. Prognosis
7.3. Treatment
Author Contributions
Funding
Institutional Review Board Statement
Informed Consent Statement
Data Availability Statement
Conflicts of Interest
References
- Baird, B.J.; De Villez, R.L. Widespread Bullous Fixed Drug Eruption Mimicking Toxic Epidermal Necrolysis. Int. J. Dermatol. 1988, 27, 170–174. [Google Scholar] [CrossRef]
- Lisi, P.; Stingeni, L. Fixed drug eruption: Bullous form. Clin. Dermatol. 1993, 11, 461–466. [Google Scholar] [CrossRef]
- Mahboob, A.; Haroon, T.S. Drugs causing fixed eruptions: A study of 450 cases. Int. J. Dermatol. 1998, 37, 833–838. [Google Scholar] [CrossRef] [PubMed]
- Flowers, R.; Brodell, R.; Brents, M.; Wyatt, J.P. Fixed Drug Eruptions: Presentation, Diagnosis, and Management. South. Med. J. 2014, 107, 724–727. [Google Scholar] [CrossRef]
- Pai, V.; Kikkeri, N.; Athanikar, S.; Bhandari, P.; Shukla, P.; Rai, V. Retrospective analysis of fixed drug eruptions among patients attending a tertiary care center in Southern India. Indian J. Dermatol. Venereol. Leprol. 2014, 80, 194. [Google Scholar] [CrossRef] [PubMed]
- Zaouak, A.; Ben Salem, F.; Ben Jannet, S.; Hammami, H.; Fenniche, S. Bullous fixed drug eruption: A potential diagnostic pitfall: A study of 18 cases. Therapies 2019, 74, 527–530. [Google Scholar] [CrossRef]
- Shelley, W.B.; Shelley, E.D. Nonpigmenting fixed drug eruption as a distinctive reaction pattern: Examples caused by sensitivity to pseudoephedrine hydrochloride and tetrahydrozoline. J. Am. Acad. Dermatol. 1987, 17, 403–407. [Google Scholar] [CrossRef]
- Brahimi, N.; Routier, E.; Raison-Peyron, N.; Tronquoy, A.-F.; Pouget-Jasson, C.; Amarger, S.; Machet, L.; Amsler, E.; Claeys, A.; Sassolas, B.; et al. A three-year-analysis of fixed drug eruptions in hospital settings in France. Eur. J. Dermatol. 2010, 20, 461–464. [Google Scholar] [CrossRef]
- Ben Fadhel, N.; Chaabane, A.; Ammar, H.; Ben Romdhane, H.; Soua, Y.; Chadli, Z.; Zili, J.; Boughattas, N.A.; Ben Fredj, N.; Aouam, K.; et al. Clinical features, culprit drugs, and allergology workup in 41 cases of fixed drug eruption. Contact Dermat. 2019, 81, 336–340. [Google Scholar] [CrossRef]
- Heng, Y.; Yew, Y.; Lim, D.; Lim, Y.L. An update of fixed drug eruptions in Singapore. J. Eur. Acad. Dermatol. Venereol. 2014, 29, 1539–1544. [Google Scholar] [CrossRef]
- Özkaya, E. Oral mucosal fixed drug eruption: Characteristics and differential diagnosis. J. Am. Acad. Dermatol. 2013, 69, e51–e58. [Google Scholar] [CrossRef] [PubMed]
- Lee, C.-H.; Chen, Y.-C.; Cho, Y.-T.; Chang, C.-Y.; Chu, C.-Y. Fixed-drug eruption: A retrospective study in a single referral center in northern Taiwan. Dermatol. Sin. 2012, 30, 11–15. [Google Scholar] [CrossRef]
- Mizukawa, Y.; Yamazaki, Y.; Shiohara, T. In vivo dynamics of intraepidermal CD8+ T cells and CD4+ T cells during the evolution of fixed drug eruption. Br. J. Dermatol. 2008, 158, 1230–1238. [Google Scholar] [CrossRef]
- Mizukawa, Y.; Yamazaki, Y.; Teraki, Y.; Hayakawa, J.; Hayakawa, K.; Nuriya, H.; Kohara, M.; Shiohara, T. Direct Evidence for Interferon-γ Production by Effector-Memory-Type Intraepidermal T Cells Residing at an Effector Site of Immunopathology in Fixed Drug Eruption. Am. J. Pathol. 2002, 161, 1337–1347. [Google Scholar] [CrossRef]
- Teraki, Y.; Shiohara, T. IFN-γ–producing effector CD8+ T cells and IL-10–producing regulatory CD4+ T cells in fixed drug eruption. J. Allergy Clin. Immunol. 2003, 112, 609–615. [Google Scholar] [CrossRef]
- Jolly, H.W.; Sherman, I.J.; Carpenter, C.L.; Nesbitt, L.T.; Meek, T.J. Fixed Drug Eruptions to Tetracyclines. Arch. Dermatol. 1978, 114, 1484–1485. [Google Scholar] [CrossRef]
- Pellicano, R.; Lornuto, M.; Ciavarella, G.; Di Giorgio, G.; Gasparini, P. Fixed drug eruptions with feprazone are linked to HLA-B22. J. Am. Acad. Dermatol. 1997, 36, 782–784. [Google Scholar] [CrossRef]
- Pellicano, R.; Silvestris, A.; Iannantuono, M.; Ciavarella, G.; Lomuto, M. Familial occurrence of fixed drug eruptions. Acta Derm. Venereol. 1992, 72, 292–293. [Google Scholar]
- Bhargava, P.; Kuldeep, C.; Mathur, N. Polysensitivity and familiar occurrence in fixed drug eruption. Int. J. Dermatol. 1997, 36, 236. [Google Scholar] [CrossRef]
- Özkaya-Bayazit, E.; Akar, U. Fixed drug eruption induced by trimethoprim-sulfamethoxazole: Evidence for a link to HLA-A30 B13 Cw6 haplotype. J. Am. Acad. Dermatol. 2001, 45, 712–717. [Google Scholar] [CrossRef] [PubMed]
- Hatzis, J.; Noutsis, K.; Hatzidakis, E.; Bassioukas, K.; Perissios, A. Fixed drug eruption in a mother and her son. Cutis 1992, 50, 50–52. [Google Scholar]
- Al Aboud, K.; Ramesh, V.; Al Hawsawi, K. Fixed drug eruption to ibuprofen in daughter and father. J. Drugs Dermatol. 2003, 2, 658–659. [Google Scholar]
- Pellicano, R.; Ciavarella, G.; Lomuto, M.; Di Giorgio, G. Genetic susceptibility to fixed drug eruption: Evidence for a link with HLA-B22. J. Am. Acad. Dermatol. 1994, 30, 52–54. [Google Scholar] [CrossRef]
- Byrd, R.C.; Mournighan, K.J.; Baca-Atlas, M.; Helton, M.R.; Sun, N.Z.; Siegel, M.B. Generalized bullous fixed-drug eruption secondary to the influenza vaccine. JAAD Case Rep. 2018, 4, 953–955. [Google Scholar] [CrossRef] [PubMed]
- Gavin, M.; Sharp, L.; Walker, K.; Behrens, E.; Akin, R.; Stetson, C.L. Contrast-induced generalized bullous fixed drug eruption resembling Stevens-Johnson syndrome. Proc. Bayl. Univ. Med. Cent. 2019, 32, 601–602. [Google Scholar] [CrossRef] [PubMed]
- Sharma, L.; Agarwal, R.; Chopra, A.; Mitra, B. A Cross-Sectional Observational Study of Clinical Spectrum and Prevalence of Fixed Food Eruption in a Tertiary Care Hospital. Indian Derm. Online J. 2020, 11, 361–366. [Google Scholar] [CrossRef]
- Yanguas, I.; Oleaga, J.M.; González-Güemes, M.; Goday, J.; Soloeta, R. Fixed food eruption caused by lentils. J. Am. Acad. Dermatol. 1998, 38, 640–641. [Google Scholar] [CrossRef]
- Bel, B.; Jeudy, G.; Bouilly, D.; Dalac, S.; Vabres, P.; Collet, E. Fixed eruption due to quinine contained in tonic water: Positive patch-testing. Contact Dermat. 2009, 61, 242–244. [Google Scholar] [CrossRef]
- Leleu, C.; Boulitrop, C.; Bel, B.; Vabres, P.; Collet, E.; Jeudy, G. Quinoline Yellow dye-induced fixed food-and-drug eruption. Contact Dermat. 2013, 68, 187–188. [Google Scholar] [CrossRef] [PubMed]
- Tsuruta, D.; Sowa, J.; Kobayashi, H.; Ishii, M. Fixed food eruption caused by lactose identified after oral administration of four unrelated drugs. J. Am. Acad. Dermatol. 2005, 52, 370–371. [Google Scholar] [CrossRef]
- Weyers, W.; Metze, D. Histopathology of drug eruptions–general criteria, common patterns, and differential diagnosis. Dermatol. Pr. Concept. 2001, 1, 33–47. [Google Scholar] [CrossRef] [PubMed]
- Cho, Y.-T.; Lin, J.-W.; Chen, Y.-C.; Chang, C.-Y.; Hsiao, C.-H.; Chung, W.-H.; Chu, C.-Y. Generalized bullous fixed drug eruption is distinct from Stevens-Johnson syndrome/toxic epidermal necrolysis by immunohistopathological features. J. Am. Acad. Dermatol. 2014, 70, 539–548. [Google Scholar] [CrossRef] [PubMed]
- Shiohara, T. Fixed drug eruption: Pathogenesis and diagnostic tests. Curr. Opin. Allergy Clin. Immunol. 2009, 9, 316–321. [Google Scholar] [CrossRef]
- Andrade, P.; Brinca, A.; Gonçalo, M. Patch testing in fixed drug eruptions—A 20-year review. Contact Dermat. 2011, 65, 195–201. [Google Scholar] [CrossRef]
- Vissing, M.B.; Bhasin, A.; Sluzevich, J. The role and histopathology of oral drug challenge in the evaluation of fixed drug eruptions. J. Cutan. Immunol. Allergy 2021. epub ahead of printing. [Google Scholar] [CrossRef]
- Movsisyan, M.; Fiandor, A.; Gonzalez-Muñoz, M.; Quirce, S.; Bellón, T.; Hakobyan, A.; Marques-Mejias, M.A.; Domínguez-Ortega, J.; Cabañas, R. The Lymphocyte Transformation Test Is Useful in the Diagnosis of Fixed Drug Eruption Induced by Etoricoxib. J. Investig. Allergol. Clin. Immunol. 2019, 29, 307–309. [Google Scholar] [CrossRef]
- Kim, M.-H.; Shim, E.-J.; Jung, J.-W.; Sohn, S.-W.; Kang, H.-R. A Case of Allopurinol-Induced Fixed Drug Eruption Confirmed With a Lymphocyte Transformation Test. Allergy Asthma Immunol. Res. 2012, 4, 309–310. [Google Scholar] [CrossRef] [PubMed]
- Demir, S.; Cetin, E.A.; Unal, D.; Coskun, R.; Olgac, M.; Gelincik, A.; Çolakoğlu, B.; Buyukozturk, S. Generalized Fixed Drug Eruption Induced by Fluconazole Without Cross-Reactivity to Itraconazole: Lymphocyte Transformation Test Confirms the Diagnosis. Drug Saf. Case Rep. 2018, 5, 2. [Google Scholar] [CrossRef][Green Version]
- Kawaguchi, K.; Kinoshita, S.; Ishikawa, M.; Sakura, H. Tranexamic acid—Induced fixed drug eruption confirmed by the drug lymphocyte transformation test. Clin. Case Rep. 2019, 7, 2074–2075. [Google Scholar] [CrossRef] [PubMed]
- Patell, R.D.; Dosi, R.V.; Shah, P.C.; Joshi, H.S. Widespread bullous fixed drug eruption. BMJ Case Rep. 2014. [Google Scholar] [CrossRef]
- Lyell, A. Toxic Epidermal Necrolysis: An Eruption Resembling Scalding of the Skin. Br. J. Dermatol. 1956, 68, 355–361. [Google Scholar] [CrossRef] [PubMed]
- Lyell, A. Requiem for toxic epidermal necrolysis. Br. J. Dermatol. 1990, 122, 837–846. [Google Scholar] [CrossRef]
- Lipowicz, S.; Sekula, P.; Ingen-Housz-Oro, S.; Liss, Y.; Sassolas, B.; Dunant, A.; Roujeau, J.-C.; Mockenhaupt, M. Prognosis of generalized bullous fixed drug eruption: Comparison with Stevens-Johnson syndrome and toxic epidermal necrolysis. Br. J. Dermatol. 2013, 168, 726–732. [Google Scholar] [CrossRef] [PubMed]
- Mitre, V.; Applebaum, D.S.; Albahrani, Y.; Hsu, S. Generalized bullous fixed drug eruption imitating toxic epidermal necrolysis: A case report and literature review. Dermatol. Online J. 2017, 23. [Google Scholar] [CrossRef]
- Bataille, M.; Vonarx, M.; Vermersch-Langlin, A. Illustration of diagnostic and prognostic difficulties during the early stages of generalized bullous fixed drug eruptions. Eur. J. Dermatol. 2017, 27, 86–88. [Google Scholar] [CrossRef] [PubMed]
- Ackerman, A.B. Histologic Diagnosis of Inflammatory Skin Disease: An Algorithmic Method Based on Pattern Analysis, 2nd ed.; Williams & Wilkins: Baltimore, MD, USA, 1997. [Google Scholar]
- Weinborn, M.; Barbaud, A.; Truchetet, F.; Beurey, P.; Germain, L.; Cribier, B. Histopathological study of six types of adverse cutaneous drug reactions using granulysin expression. Int. J. Dermatol. 2016, 55, 1225–1233. [Google Scholar] [CrossRef] [PubMed]
- Fujita, Y.; Yoshioka, N.; Abe, R.; Murata, J.; Hoshina, D.; Mae, H.; Shimizu, H. Rapid immunochromatographic test for serum granulysin is useful for the prediction of Stevens-Johnson syndrome and toxic epidermal necrolysis. J. Am. Acad. Dermatol. 2011, 65, 65–68. [Google Scholar] [CrossRef]
- Chen, C.-B.; Kuo, K.L.; Wang, C.-W.; Lu, C.-W.; Hui, R.C.-Y.; Lu, K.-L.; Chang, W.-C.; Chen, W.-T.; Yun, F.; Teng, Y.-C.; et al. Detecting Lesional Granulysin Levels for Rapid Diagnosis of Cytotoxic T lymphocyte–Mediated Bullous Skin Disorders. J. Allergy Clin. Immunol. Pr. 2020, 9, 1327–1337.e3. [Google Scholar] [CrossRef]
- Özkaya, E. Fixed drug eruption: State of the art. J. Dtsch. Dermatol. Ges. 2008, 6, 181–188. [Google Scholar] [CrossRef]
- Dharamsi, F.M.; Michener, M.D.; Dharamsi, J.W. Bullous Fixed Drug Eruption Masquerading as Recurrent Stevens Johnson Syndrome. J. Emerg. Med. 2015, 48, 551–554. [Google Scholar] [CrossRef]
- Jain, A.; Gupta, N. Multifocal Bullous Fixed Drug Erruption Due To Phenytoin: A Lesson Learned. J. Clin. Diagn. Res. 2015, 9, OD04-05. [Google Scholar] [CrossRef]
- Balta, I.; Simsek, H.; Simsek, G.G. Flurbiprofen-induced generalized bullous fixed drug eruption. Hum. Exp. Toxicol. 2013, 33, 106–108. [Google Scholar] [CrossRef]
- Bandino, J.P.; Wohltmann, W.E.; Bray, D.W.; Hoover, A.Z. Naproxen-induced generalized bullous fixed drug eruption. Dermatol. Online J. 2009, 15. [Google Scholar] [CrossRef]
- Makris, M.; Fokoloros, C.; Syrmali, A.; Tsakiraki, Z.; Damaskou, V.; Papadavid, E. Generalized Bullous Fixed Drug Eruption to Fluconazole with Positive Patch Testing and Confirmed Tolerance to Itraconazole. Iran. J. Allergy Asthma Immunol. 2021, 20, 255–259. [Google Scholar] [CrossRef]
- Ada, S.; Yilmaz, S. Ciprofloxacin-induced generalized bullous fixed drug eruption. Indian J. Dermatol. Venereol. Leprol. 2008, 74, 511–512. [Google Scholar] [CrossRef]
- Elsner, P.; Mockenhaupt, M. Generalized Bullous Fixed Drug Eruption Following Metamizole (Re-)Exposure: A Medical Error-analytic Case Study. Acta Derm. Venereol. 2018, 98, 376–377. [Google Scholar] [CrossRef] [PubMed]
- Nitya, S.; Deepa, K.; Mangaiarkkarasi, A.; Karthikeyan, K. Doxycycline induced generalized bullous fixed drug eruption—A case report. J. Young Pharm. 2013, 5, 195–196. [Google Scholar] [CrossRef] [PubMed]
- Das, A.; Podder, I.; Chandra, S.; Gharami, R.C. Doxycycline induced generalized bullous fixed drug eruption. Indian J. Dermatol. 2016, 61, 128. [Google Scholar] [CrossRef]
- Vide, J.; Moreira, C.; Cunha, A.P.; Baldaia, H.; Magina, S.; Azevedo, F. Generalized Bullous Fixed Drug Eruption due to Bromhexine. Dermatol. Online J. 2016, 22. [Google Scholar] [CrossRef]
- Jain, S.P.; Jain, P.A. Bullous, Fixed Drug Eruption to Ciprofloxacin: A Case Report. J. Clin. Diagn. Res. 2013, 7, 744–745. [Google Scholar] [CrossRef]
- Manikandan, R.; Porselvi, A.; Keerthana, G.; Vaishnavi, K.; Girija, S.; Narasimhan, M.; Vijayakumar, T. Cefotaxime induced generalized bullous fixed drug eruption—A case report. Toxicol. Rep. 2018, 5, 1011–1013. [Google Scholar] [CrossRef]
- Mora, P.V.; García, S.; Valenzuela, F.; Morales, C. Generalized bullous fixed drug eruption successfully treated with cyclosporine. Dermatol. Ther. 2020, 33, e13492. [Google Scholar] [CrossRef]
- Malviya, N.; Cyrus, N.; Vandergriff, T.; Mauskar, M. Generalized bullous fixed drug eruption treated with cyclosporine. Dermatol. Online J. 2017, 23. [Google Scholar] [CrossRef]
- Balai, M.; Beniwal, R.; Gupta, L.K.; Khare, A.K.; Mittal, A.; Mehta, S. Cyclosporine in generalized bullous-fixed drug eruption. Indian J. Dermatol. 2018, 63, 432–433. [Google Scholar] [CrossRef]
- Daulatabadkar, B.; Pande, S.; Borkar, M. Generalized bullous fixed drug reaction: A close similarity to stevens-johnson syndrome. Indian J. Drugs Dermatol. 2017, 3, 28. [Google Scholar] [CrossRef]
- Barootes, H.C.; Peebles, E.R.; Matsui, D.; Rieder, M.; Abuzgaia, A.; Mohammed, J.A. Severe Generalized Bullous Fixed Drug Eruption Treated with Cyclosporine: A Case Report and Literature Review. Case Rep. Dermatol. 2021, 13, 154–163. [Google Scholar] [CrossRef]



Publisher’s Note: MDPI stays neutral with regard to jurisdictional claims in published maps and institutional affiliations. |
© 2021 by the authors. Licensee MDPI, Basel, Switzerland. This article is an open access article distributed under the terms and conditions of the Creative Commons Attribution (CC BY) license (https://creativecommons.org/licenses/by/4.0/).
Share and Cite
Anderson, H.J.; Lee, J.B. A Review of Fixed Drug Eruption with a Special Focus on Generalized Bullous Fixed Drug Eruption. Medicina 2021, 57, 925. https://doi.org/10.3390/medicina57090925
Anderson HJ, Lee JB. A Review of Fixed Drug Eruption with a Special Focus on Generalized Bullous Fixed Drug Eruption. Medicina. 2021; 57(9):925. https://doi.org/10.3390/medicina57090925
Chicago/Turabian StyleAnderson, Hannah J., and Jason B. Lee. 2021. "A Review of Fixed Drug Eruption with a Special Focus on Generalized Bullous Fixed Drug Eruption" Medicina 57, no. 9: 925. https://doi.org/10.3390/medicina57090925
APA StyleAnderson, H. J., & Lee, J. B. (2021). A Review of Fixed Drug Eruption with a Special Focus on Generalized Bullous Fixed Drug Eruption. Medicina, 57(9), 925. https://doi.org/10.3390/medicina57090925
