Malignant Gastric Outlet Obstruction Caused by Duodenal Cervix Metastasis in a Young Woman: Rendezvous Technique
Abstract
:1. Introduction
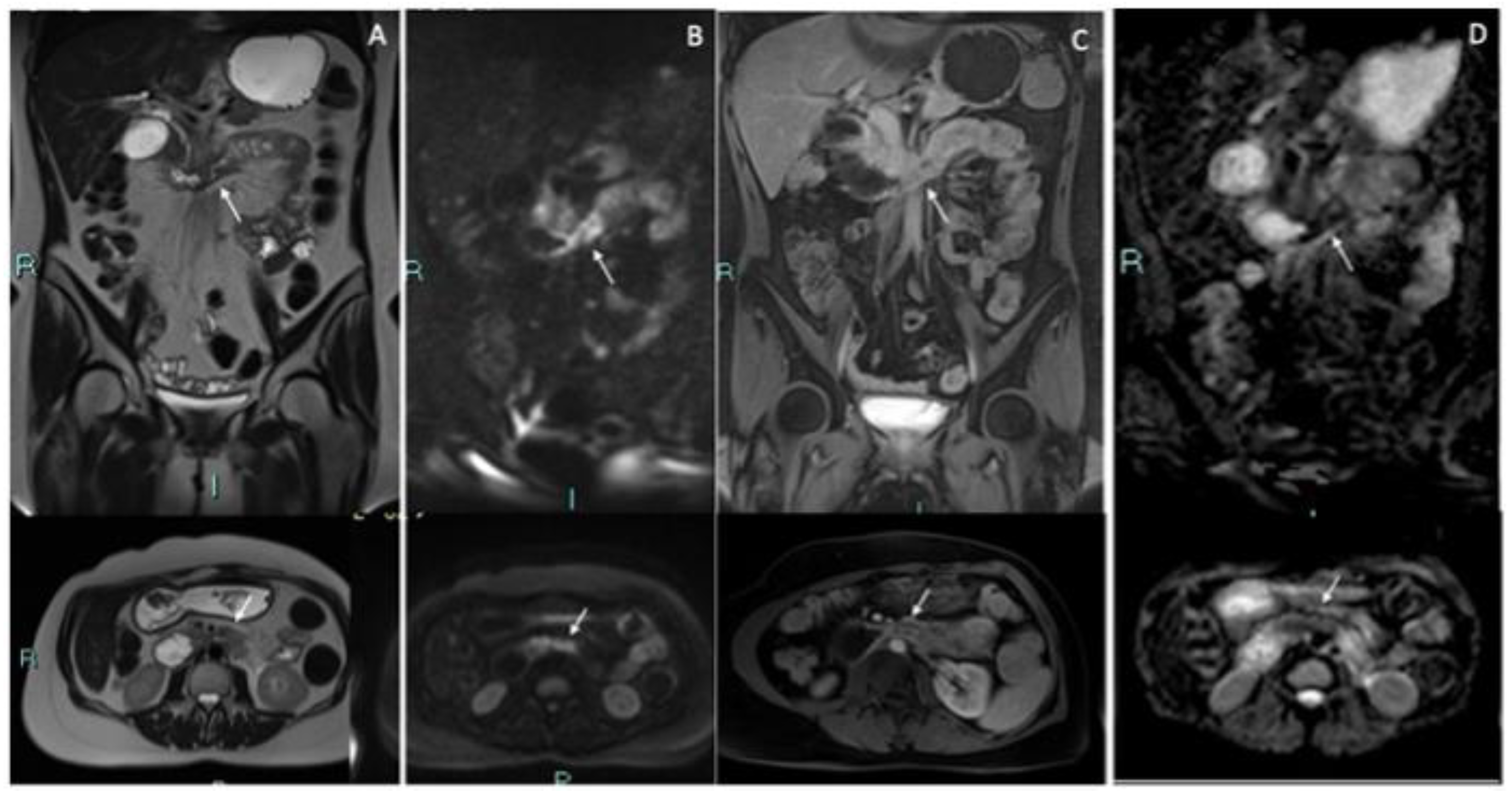
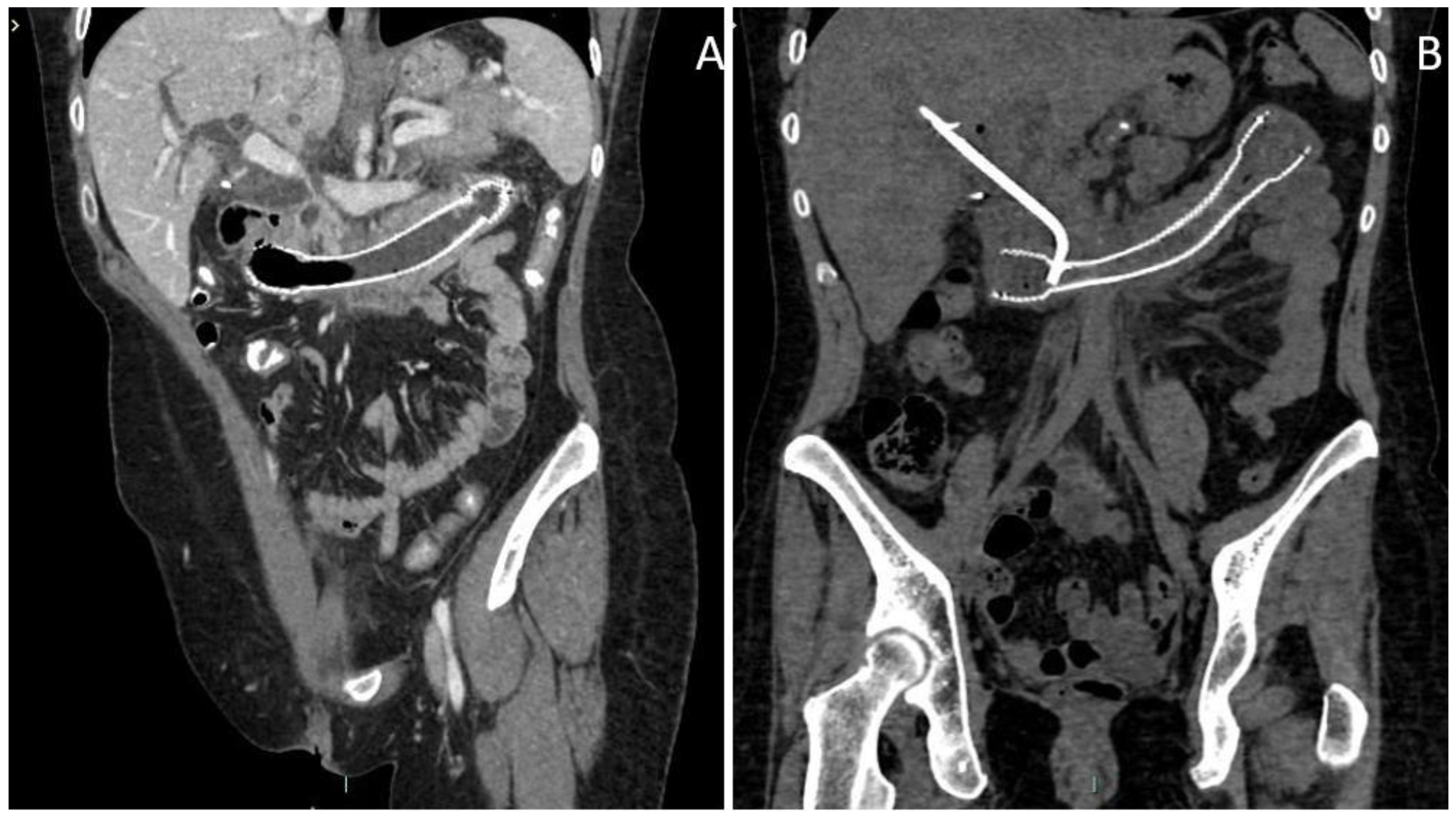
2. Case Discussion
3. Discussion
4. Conclusions
Author Contributions
Funding
Institutional Review Board Statement
Informed Consent Statement
Data Availability Statement
Conflicts of Interest
References
- Kanthan, R.; Senger, J.L.; Diudea, D.; Kanthan, S. A review of duodenal metastases from squamous cell carcinoma of the cervix presenting as an upper gastrointestinal bleed. World J. Surg. Oncol. 2011. [Google Scholar] [CrossRef] [PubMed] [Green Version]
- Troncone, E.; Fugazza, A.; Cappello, A.; Blanco, G.D.V.; Monteleone, G.; Repici, A.; Teoh, A.Y.B.; Anderloni, A. Malignant gastric outlet obstruction: Which is the best therapeutic option? World J. Gastroenterol. 2020. [Google Scholar] [CrossRef] [PubMed]
- Marra, E.; Mercogliano, G.; Tammaro, P.; Tamburrini, S.; Militerno, G.; Pesce, A.; Iannacci, G.; D’Aponte, M.L. A surprising finding of ileal intussusception caused by pleural mesothelioma metastases. J. Surg. Case Rep. 2020, 3, 3. [Google Scholar] [CrossRef]
- Gurian, L.; Ireland, K.; Petty, W.; Katon, R. Carcinoma of the Cervix Involving the Duodenum: Case Report and Review of the Literature. J. Clin. Gastroenterol. 1981, 3, 291–294. [Google Scholar] [CrossRef] [PubMed]
- Boškoski, I.; Tringali, A.; Familiari, P.; Mutignani, M.; Costamagna, G. Self-expandable metallic stents for malignant gastric outlet obstruction. Adv. Ther. 2010. [Google Scholar] [CrossRef] [PubMed]
- Jeurnink, S.M.; Steyerberg, E.W.; van Hooft, J.E.; van Eijck, C.H.; Schwartz, M.P.; Vleggaar, F.P.; Kuipers, E.J.; Siersema, P.D. Surgical gastrojejunostomy or endoscopic stent placement for the palliation of malignant gastric outlet obstruction (SUSTENT study): A multicenter randomized trial. Gastrointest. Endosc. 2010. [Google Scholar] [CrossRef] [PubMed]
- Sasaki, R.; Sakai, Y.; Tsuyuguchi, T.; Nishikawa, T.; Fujimoto, T.; Mikami, S.; Sugiyama, H.; Yokosuka, O. Endoscopic management of unresectable malignant gastroduodenal obstruction with a nitinol uncovered metal stent: A prospective Japanese multicenter study. World J. Gastroenterol. 2016. [Google Scholar] [CrossRef] [PubMed]
- Graber, I.; Dumas, R.; Filoche, B.; Boyer, J.; Coumaros, D.; Lamouliatte, H.; Legoux, J.L.; Napoléon, B.; Ponchon, T. The efficacy and safety of duodenal stenting: A prospective multicenter study. Endoscopy 2007. [Google Scholar] [CrossRef] [PubMed]
- Foco, A.; Garbarini, A.; Goi, M.; Salto, C.; Ghisotti, E.; Lamarca, S.; Farinella, M.; Spinoglio, G.; Iacovoni, P.; Cavallero, G. Use of the rendez-vous technique in endoscopic insertion of biliary prosthesis in malignant obstructive jaundice. Minerva Gastroenterol. e Dietol. 1991, 39, 151–155. [Google Scholar]
- Agha, R.A.; Franchi, T.; Sohrabi, C.; Mathew, G.; Kerwan, A. The SCARE 2020 guideline: Updating consensus Surgical CAse REport (SCARE) guidelines. Int. J. Surg. 2020, 86, 226–230. [Google Scholar] [CrossRef]
- Mathur, S.K.; Pandya, G.P. Solitary metastatic malignant stricture of the ileum: A rare cause of small bowel obstruction (a case report). J. Postgr. Med. 1984, 30, 186. [Google Scholar]
- Lee, T.H.; Park, S.H.; Lee, C.K.; Lee, S.H.; Chung, I.K.; Kim, S.J.; Kim, S.W. Ampulla of Vater Metastasis from Recurrent Uterine Cervix Carcinoma Presenting as Groove Pancreatitis. Gastrointest. Endosc. 2011, 73, 362–363. [Google Scholar] [CrossRef] [PubMed]
- Park, S.W.; Lee, S.S. Which are the most suitable stents for interventional endoscopic ultrasound? J. Clin. Med. 2020, 9, 3595. [Google Scholar] [CrossRef]
- Fiori, A.; Crocetti, E.; Sapienza, D.; Cirocchi, P.; Sterpetti, R.; Miccini, A.V.; Accordino, M.; Costi, M.; Lapolla, S.; Mingoli, P.; et al. Palliative surgery or metallic stent positioning for advanced gastric cancer: Differences in QOL. Medicina 2021, 57, 428. [Google Scholar] [CrossRef] [PubMed]
- Maetani, I.; Tada, T.; Ukita, T.; Inoue, H.; Sakai, Y.; Nagao, J. Comparison of duodenal stent placement with surgical gastrojejunostomy for palliation in patients with duodenal obstructions caused by pancreaticobiliary malignancies. Endoscopy 2004. [Google Scholar] [CrossRef]
- Del Piano, M.; Ballarè, M.; Montino, F.; Todesco, A.; Orsello, M.; Magnani, C.; Garello, E. Endoscopy or surgery for malignant GI outlet obstruction? Gastrointest. Endosc. 2005. [Google Scholar] [CrossRef]
- Espinel, J.; Sanz, O.; Vivas, S.; Jorquera, F.; Muñoz, F.; Olcoz, J.L.; Pinedo, E. Malignant gastrointestinal obstruction: Endoscopic stenting versus surgical palliation. Surg. Endosc. Other Interv. Tech. 2006. [Google Scholar] [CrossRef] [PubMed]
- Dormann, A.J.; Meisner, S.; Verin, N.; Lang, A.W. Self-expanding metal stents for gastroduodenal malignancies: Systematic review of their clinical effectiveness. Endoscopy 2004. [Google Scholar] [CrossRef] [PubMed]
- Wu, C.H.; Lee, M.H.; Tsou, Y.K.; Teng, W.; Lin, C.H.; Sung, K.F.; Liu, N.J. Efficacy and adverse effects of self-expandable metal stent placement for malignant duodenal obstruction: The papilla of vater as a landmark. Cancer Manag. Res. 2020. [Google Scholar] [CrossRef] [PubMed]
- Mutignani, M.; Tringali, A.; Shah, S.G.; Perri, V.; Familiari, P.; Iacopini, F.; Spada, C.; Costamagna, G. Combined endoscopic stent insertion in malignant biliary and duodenal obstruction. Endoscopy 2007. [Google Scholar] [CrossRef] [PubMed]









Publisher’s Note: MDPI stays neutral with regard to jurisdictional claims in published maps and institutional affiliations. |
© 2021 by the authors. Licensee MDPI, Basel, Switzerland. This article is an open access article distributed under the terms and conditions of the Creative Commons Attribution (CC BY) license (https://creativecommons.org/licenses/by/4.0/).
Share and Cite
Marra, E.; Quassone, P.; Tammaro, P.; Cardalesi, C.; D’Avino, R.; Cipolletta, F.; Del Prete, A.; Travaglino, A.; Tamburrini, S.; Ferrandino, G.; et al. Malignant Gastric Outlet Obstruction Caused by Duodenal Cervix Metastasis in a Young Woman: Rendezvous Technique. Medicina 2021, 57, 765. https://doi.org/10.3390/medicina57080765
Marra E, Quassone P, Tammaro P, Cardalesi C, D’Avino R, Cipolletta F, Del Prete A, Travaglino A, Tamburrini S, Ferrandino G, et al. Malignant Gastric Outlet Obstruction Caused by Duodenal Cervix Metastasis in a Young Woman: Rendezvous Technique. Medicina. 2021; 57(8):765. https://doi.org/10.3390/medicina57080765
Chicago/Turabian StyleMarra, Ester, Pasquale Quassone, Pasquale Tammaro, Cinzia Cardalesi, Raffaele D’Avino, Fabio Cipolletta, Anna Del Prete, Angela Travaglino, Stefania Tamburrini, Giovanni Ferrandino, and et al. 2021. "Malignant Gastric Outlet Obstruction Caused by Duodenal Cervix Metastasis in a Young Woman: Rendezvous Technique" Medicina 57, no. 8: 765. https://doi.org/10.3390/medicina57080765
APA StyleMarra, E., Quassone, P., Tammaro, P., Cardalesi, C., D’Avino, R., Cipolletta, F., Del Prete, A., Travaglino, A., Tamburrini, S., Ferrandino, G., Sarti, G., Iannuzzi, M., Maida, P., & Santini, G. (2021). Malignant Gastric Outlet Obstruction Caused by Duodenal Cervix Metastasis in a Young Woman: Rendezvous Technique. Medicina, 57(8), 765. https://doi.org/10.3390/medicina57080765

