COVID-19 during Early Phase of Autologous Stem Cell Transplantation
Abstract
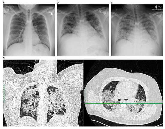
:1. Introduction
2. Discussion
3. Conclusions
Author Contributions
Funding
Institutional Review Board Statement
Informed Consent Statement
Data Availability Statement
Conflicts of Interest
References
- World Health Organization. WHO Coronavirus Disease (COVID-19) Dashboard. Available online: https://covid19.who.int/ (accessed on 3 March 2021).
- Vijenthira, A.; Gong, I.Y.; Fox, T.A.; Booth, S.; Cook, G.; Fattizzo, B.; Martín-Moro, F.; Razanamahery, J.; Riches, J.C.; Zwicker, J.; et al. Outcomes of patients with hematologic malignancies and COVID-19: A systematic review and meta-analysis of 3377 patients. Blood 2020, 136, 2881–2892. [Google Scholar] [CrossRef] [PubMed]
- Sharma, A.; Bhatt, N.S.; Martin, A.S.; Abid, M.B.; Bloomquist, J.; Chemaly, R.F.; Dandoy, C.; Gauthier, J.; Gowda, L.; Perales, M.-A.; et al. Clinical characteristics and outcomes of COVID-19 in haematopoietic stem-cell transplantation recipients: An observational cohort study. Lancet Haematol. 2021, 8, e185–e193. [Google Scholar] [CrossRef]
- Passamonti, F.; Cattaneo, C.; Arcaini, L.; Bruna, R.; Cavo, M.; Merli, F.; Angelucci, E.; Krampera, M.; Cairoli, R.; Della Porta, M.G.; et al. Clinical characteristics and risk factors associated with COVID-19 severity in patients with haematological malignancies in Italy: A retrospective, multicentre, cohort study. Lancet Haematol. 2020, 7, e737–e745. [Google Scholar] [CrossRef]
- Kanellopoulos, A.; Ahmed, M.Z.; Kishore, B.; Lovell, R.; Horgan, C.; Paneesha, S.; Lloyd, R.; Salhan, B.; Giles, H.; Chauhan, S.; et al. COVID-19 in bone marrow transplant recipients: Reflecting on a single centre experience. Br. J. Haematol. 2020, 190, e67–e70. [Google Scholar] [CrossRef] [PubMed]
- COVID-19 Treatment Guidelines Panel. Coronavirus Disease 2019 (COVID-19) Treatment Guidelines. National Institutes of Health. 2020. Available online: https://www.covid19treatmentguidelines.nih.gov (accessed on 24 June 2021).
- Simpson, S.; Kay, F.U.; Abbara, S.; Bhalla, S.; Chung, J.H.; Chung, M.; Henry, T.S.; Kanne, J.P.; Kligerman, S.; Ko, J.P.; et al. Radiological Society of North America Expert Consensus Statement on Reporting Chest CT Findings Related to COVID-19. Endorsed by the Society of Thoracic Radiology, the American College of Radiology, and RSNA—Secondary Publication. J. Thorac. Imaging 2020, 35, 219–227. [Google Scholar] [CrossRef] [PubMed]
- Goldman, J.D.; Lye, D.C.; Hui, D.S.; Marks, K.M.; Bruno, R.; Montejano, R.; Spinner, C.; Galli, M.; Ahn, M.-Y.; Nahass, R.G.; et al. Remdesivir for 5 or 10 Days in Patients with Severe Covid-19. N. Engl. J. Med. 2020, 383, 1827–1837. [Google Scholar] [CrossRef] [PubMed]
- The RECOVERY Collaborative Group. Dexamethasone in Hospitalized Patients with Covid-19—Preliminary Report. N. Engl. J. Med. 2021, 384, 693–704. [Google Scholar] [CrossRef] [PubMed]
- Maiolino, A.; Biasoli, I.; Lima, J.; Portugal, A.C.; Pulcheri, W.; Nucci, M. Engraftment syndrome following autologous hematopoietic stem cell transplantation: Definition of diagnostic criteria. Bone Marrow Transplant. 2003, 31, 393–397. [Google Scholar] [CrossRef] [PubMed] [Green Version]
- Hasan, S.S.; Capstick, T.; Ahmed, R.; Kow, C.S.; Mazhar, F.; a Merchant, H.; Zaidi, S.T.R. Mortality in COVID-19 patients with acute respiratory distress syndrome and corticosteroids use: A systematic review and meta-analysis. Expert Rev. Respir. Med. 2020, 14, 1149–1163. [Google Scholar] [CrossRef] [PubMed]
- ElGohary, G.M.; Hashmi, S.; Styczynski, J.; Kharfan-Dabaja, M.A.; Alblooshi, R.M.; de la Cámara, R.; Mohamed, S.; Alshaibani, A.; Cesaro, S.; El-Aziz, N.A.; et al. The risk and prognosis of COVID-19 infection in cancer patients: A systematic review and meta-analysis. Hematol. Stem Cell Ther. 2020, S1658–S3876, 30122–30129. [Google Scholar] [CrossRef] [PubMed]
- Sultan, A.M.; Mahmoud, H.K.; Fathy, G.M.; Abdelfattah, N.M. The outcome of hematopoietic stem cell transplantation patients with COVID-19 infection. Bone Marrow Transplant. 2020, 1–3. [Google Scholar] [CrossRef] [PubMed]
- Ljungman, P.; Mikulska, M.; de la Camara, R.; Basak, G.W.; Chabannon, C.; Corbacioglu, S.; Duarte, R.; Dolstra, H.; Lankester, A.C.; Mohty, M.; et al. European Society for Blood and Marrow Transplantation. The challenge of COVID-19 and hematopoietic cell transplantation; EBMT recommendations for management of hematopoietic cell transplant recipients, their donors, and patients undergoing CAR T-cell therapy. Bone Marrow Transplant. 2020, 55, 2071–2076. [Google Scholar] [PubMed]
- Spadea, M.; Carraro, F.; Saglio, F.; Vassallo, E.; Pessolano, R.; Berger, M.; Scolfaro, C.; Grassitelli, S.; Fagioli, F. Successfully treated severe COVID-19 and invasive aspergillosis in early hematopoietic cell transplantation setting. Transpl. Infect. Dis. 2021, 23, 13470. [Google Scholar] [CrossRef] [PubMed]
- Borges, L.; Pithon-Curi, T.C.; Curi, R.; Hatanaka, E. COVID-19 and Neutrophils: The Relationship between Hyperinflammation and Neutrophil Extracellular Traps. Mediat. Inflamm. 2020, 2020, 1–7. [Google Scholar] [CrossRef] [PubMed]


Publisher’s Note: MDPI stays neutral with regard to jurisdictional claims in published maps and institutional affiliations. |
© 2021 by the authors. Licensee MDPI, Basel, Switzerland. This article is an open access article distributed under the terms and conditions of the Creative Commons Attribution (CC BY) license (https://creativecommons.org/licenses/by/4.0/).
Share and Cite
Milczarek, S.; Baumert, B.; Sobuś, A.; Wilk-Milczarek, E.; Sommerfeld, K.; Osękowska, B.; Borowiecka, E.; Paczkowska, E.; Łanocha, A.; Poncyliusz, W.; et al. COVID-19 during Early Phase of Autologous Stem Cell Transplantation. Medicina 2021, 57, 724. https://doi.org/10.3390/medicina57070724
Milczarek S, Baumert B, Sobuś A, Wilk-Milczarek E, Sommerfeld K, Osękowska B, Borowiecka E, Paczkowska E, Łanocha A, Poncyliusz W, et al. COVID-19 during Early Phase of Autologous Stem Cell Transplantation. Medicina. 2021; 57(7):724. https://doi.org/10.3390/medicina57070724
Chicago/Turabian StyleMilczarek, Sławomir, Bartłomiej Baumert, Anna Sobuś, Ewa Wilk-Milczarek, Krzysztof Sommerfeld, Bogumiła Osękowska, Ewa Borowiecka, Edyta Paczkowska, Aleksandra Łanocha, Wojciech Poncyliusz, and et al. 2021. "COVID-19 during Early Phase of Autologous Stem Cell Transplantation" Medicina 57, no. 7: 724. https://doi.org/10.3390/medicina57070724
APA StyleMilczarek, S., Baumert, B., Sobuś, A., Wilk-Milczarek, E., Sommerfeld, K., Osękowska, B., Borowiecka, E., Paczkowska, E., Łanocha, A., Poncyliusz, W., Jarosz, K., & Machaliński, B. (2021). COVID-19 during Early Phase of Autologous Stem Cell Transplantation. Medicina, 57(7), 724. https://doi.org/10.3390/medicina57070724

