Diagnosis of Laryngeal Pemphigus Vulgaris Can Be Facilitated Using Advanced Endoscopic Methods
Abstract
:1. Introduction
2. Materials and Methods
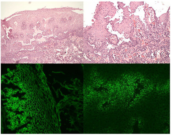
3. Results
4. Discussion
5. Conclusions
Author Contributions
Funding
Institutional Review Board Statement
Informed Consent Statement
Data Availability Statement
Conflicts of Interest
References
- Schmidt, E.; Kasperkiewicz, M.; Joly, P. Pemphigus. Lancet 2019, 394, 882–894. [Google Scholar] [CrossRef]
- Palleria, C.; Bennardo, L.; Dastoli, S.; Iannone, L.F.; Silvestri, M.; Manti, A.; Nisticò, S.P.; Russo, E.; De Sarro, G. Angiotensin-converting-enzyme inhibitors and angiotensin II receptor blockers induced pemphigus: A case series and literature review. Dermatol. Ther. 2019, 32, e12748. [Google Scholar] [CrossRef] [Green Version]
- Kavala, M.; Altıntaş, S.; Kocatürk, E.; Zindancı, İ.; Can, B.; Ruhi, Ç.; Turkoglu, Z. Ear, nose and throat involvement in patients with pemphigus vulgaris: Correlation with severity, phenotype and disease activity. J. Eur. Acad. Dermatol. Venereol. 2011, 25, 1324–1327. [Google Scholar] [CrossRef] [PubMed]
- España, A.; Fernández, S.; Del Olmo, J.; Marquina, M.; Pretel, M.; Ruba, D.; Sánchez-Ibarrola, A. Ear, nose and throat manifestations in pemphigus vulgaris. Br. J. Dermatol. 2007, 156, 733–737. [Google Scholar] [CrossRef] [PubMed]
- Vasiliou, A.; Nikolopoulos, T.P.; Manolopoulos, L.; Yiotakis, J. Laryngeal pemphigus without skin manifestations and review of the literature. Eur. Arch Otorhinolaryngol. 2006, 264, 509–512. [Google Scholar] [CrossRef] [PubMed]
- Hale, E.K.; Bystyn, J.C. Laryngeal and nasal involvement in pemphigus vulgaris. J. Am. Acad. Dermatol. 2001, 44, 609–611. [Google Scholar] [CrossRef]
- Wallner, L.J.; Alexander, R.W. Pemfigus of the larynx. Laryngoscope 1964, 74, 575–586. [Google Scholar] [CrossRef]
- Obregon, G. Pemphigus of the larynx. Ann. Otol. Rhinol. Laryngol. 1957, 66, 649–655. [Google Scholar] [CrossRef]
- Ni, X.-G.; He, S.; Xu, Z.-G.; Gao, L.; Lu, N.; Yuan, Z.; Lai, S.-Q.; Zhang, Y.-M.; Yi, J.-L.; Wang, X.-L.; et al. Endoscopic diagnosis of laryngeal cancer and precancerous lesions by narrow band imaging. J. Laryngol. Otol. 2010, 125, 288–296. [Google Scholar] [CrossRef]
- Rzepakowska, A.; Sielska-Badurek, E.; Żurek, M.; Osuch-Wójcikiewicz, E.; Niemczyk, K. Narrow band imaging for risk stratification of glottic cancer within leukoplakia. Head Neck 2018, 40, 2149–2154. [Google Scholar] [CrossRef] [PubMed]
- Staníková, L.; Walderová, R.; Jančatová, D.; Formanek, M.; Zeleník, K.; Komínek, P. Comparison of narrow band imaging and the Storz Professional Image Enhancement System for detection of laryngeal and hypopharyngeal pathologies. Eur. Arch. Oto-Rhino-Laryngol. 2018, 275, 1819–1825. [Google Scholar] [CrossRef]
- Lukeš, P.; Zabrodsky, M.; Lukesova, E.; Chovanec, M.; Astl, J.; Betka, J.A.; Plzák, J. The Role of NBI HDTV Magnifying Endoscopy in the Prehistologic Diagnosis of Laryngeal Papillomatosis and Spinocellular Cancer. BioMed Res. Int. 2014, 2014, 1–7. [Google Scholar] [CrossRef] [PubMed]
- Puxeddu, R.; Sionis, S.; Gerosa, C.; Carta, F. Enhanced contact endoscopy for the detection of neoangiogenesis in tumors of the larynx and hypopharynx. Laryngoscope 2015, 125, 1600–1606. [Google Scholar] [CrossRef]
- Shoffel-Havakuk, H.; Lahav, Y.; Meidan, B.; Haimovich, Y.; Warman, M.; Hain, M.; Hamzany, Y.; Brodsky, A.; Landau-Zemer, T.; Halperin, D. Does narrow band imaging improve preoperative detection of glottic malignancy? A matched comparison study. Laryngoscope 2017, 127, 894–899. [Google Scholar] [CrossRef] [PubMed]
- Ohki, M.; Kikuchi, S.; Ohata, A.; Sugiki, T.; Kitano, Y.; Yamada, M. Oral, Pharyngeal and Laryngeal Lesions in Mucous Membrane Pemphigoid and Usefulness of Narrow Band Imaging. Otolaryngol. Res. Rev. 2017, 1, 4–8. [Google Scholar]
- Di Pietro, M.; Palleschi, G.M.; Barzacchi, M.; Locatello, L.G.; Ninu, M.B. A case of laryngeal mucous membrane pemphigoid possibly triggered by radiotherapy. Indian J. Dermatol. 2020, 65, 546–547. [Google Scholar] [CrossRef]
- Staníková, L.; Šatanková, J.; Kučová, H.; Walderová, R.; Zeleník, K.; Komínek, P. The role of narrow-band imaging (NBI) endoscopy in optical biopsy of vocal cord leukoplakia. Eur. Arch. Oto-Rhino-Laryngol. 2017, 274, 355–359. [Google Scholar] [CrossRef]
- Klimza, H.; Jackowska, J.; Tokarski, M.; Piersiala, K.; Wierzbicka, M. Narrow band imaging (NBI) for improving the assessment of vocal fold leukoplakia and overcoming the umbrella effect. PLoS ONE 2017, 12, e0180590. [Google Scholar] [CrossRef] [PubMed] [Green Version]
- Ni, X.; Zhu, J.-Q.; Zhang, Q.-Q.; Zhang, B.-G.; Wang, G.-Q. Diagnosis of vocal cord leukoplakia: The role of a novel narrow band imaging endoscopic classification. Laryngoscope 2019, 129, 429–434. [Google Scholar] [CrossRef]
- Arens, C.; Piazza, C.; Andrea, M.; Dikkers, F.G.; Tjon Pian Gi, R.E.A.; Voigt-Zimmermann, Z.; Peretti, G. Proposal for a descriptive guideline of vascular changes in lesions of the vocal folds by the committee on endoscopic laryngeal imaging of the European Laryngological Society. Eur. Arch. Otorhinolaryngol. 2016, 73, 1207–1214. [Google Scholar] [CrossRef] [PubMed]
- Mehlum, C.S.; Rosenberg, T.; Dyrvig, A.-K.; Groentved, A.M.; Kjaergaard, T.; Godballe, C. Can the Ni classification of vessels predict neoplasia? A systematic review and meta-analysis. Laryngoscope 2018, 128, 168–176. [Google Scholar] [CrossRef] [PubMed]
- Sgouros, D.; Apalla, Z.; Ioannides, D.; Katoulis, A.; Rigopoulos, D.; Sotiriou, E.; Stratigos, A.; Vakirlis, E.; Lallas, A. Dermoscopy of Common Inflammatory Disorders. Dermatol. Clin. 2018, 36, 359–368. [Google Scholar] [CrossRef] [PubMed]
- Ingegnoli, F.; Smith, V.; Sulli, A.; Cutolo, M.; Francesca, I.; Vanessa, S.; Alberto, S.; Maurizio, C. Capillaroscopy in Routine Diagnostics: Potentials and Limitations. Curr. Rheumatol. Rev. 2018, 14, 5–11. [Google Scholar] [CrossRef] [PubMed]
- Gregoriou, S.; Koutsoukou, X.A.; Panayotides, I.; Theodoropoulos, K.; Loumou, P.; Prikas, K.; Katoulis, A.; Rigopoulos, D. Pemphigus vulgaris of the epiglottis successfully treated with rituximab. J. Eur. Acad. Dermatol. Venereol. 2015, 29, 1845–1846. [Google Scholar] [CrossRef]





Publisher’s Note: MDPI stays neutral with regard to jurisdictional claims in published maps and institutional affiliations. |
© 2021 by the authors. Licensee MDPI, Basel, Switzerland. This article is an open access article distributed under the terms and conditions of the Creative Commons Attribution (CC BY) license (https://creativecommons.org/licenses/by/4.0/).
Share and Cite
Staníková, L.; Formánek, M.; Hurník, P.; Kántor, P.; Komínek, P.; Zeleník, K. Diagnosis of Laryngeal Pemphigus Vulgaris Can Be Facilitated Using Advanced Endoscopic Methods. Medicina 2021, 57, 686. https://doi.org/10.3390/medicina57070686
Staníková L, Formánek M, Hurník P, Kántor P, Komínek P, Zeleník K. Diagnosis of Laryngeal Pemphigus Vulgaris Can Be Facilitated Using Advanced Endoscopic Methods. Medicina. 2021; 57(7):686. https://doi.org/10.3390/medicina57070686
Chicago/Turabian StyleStaníková, Lucia, Martin Formánek, Pavel Hurník, Peter Kántor, Pavel Komínek, and Karol Zeleník. 2021. "Diagnosis of Laryngeal Pemphigus Vulgaris Can Be Facilitated Using Advanced Endoscopic Methods" Medicina 57, no. 7: 686. https://doi.org/10.3390/medicina57070686
APA StyleStaníková, L., Formánek, M., Hurník, P., Kántor, P., Komínek, P., & Zeleník, K. (2021). Diagnosis of Laryngeal Pemphigus Vulgaris Can Be Facilitated Using Advanced Endoscopic Methods. Medicina, 57(7), 686. https://doi.org/10.3390/medicina57070686

