Mild Fetal Tricuspid Regurgitation in the First Trimester as a Predictor of Perinatal Outcomes
Abstract
1. Introduction
2. Materials and Methods
2.1. Study Design and Participants
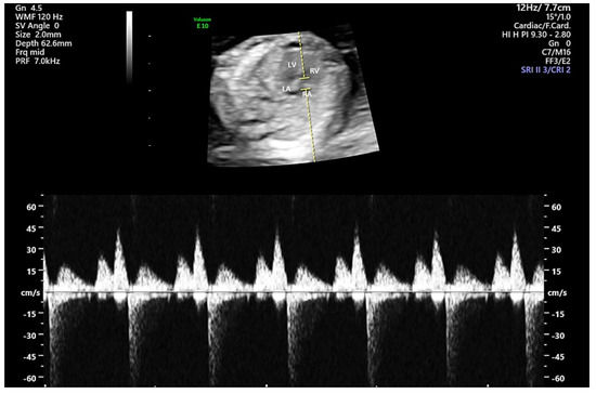
2.2. Procedure
2.3. Statistical Analysis
2.4. Ethics
3. Results
4. Discussion
5. Conclusions
Author Contributions
Funding
Institutional Review Board Statement
Informed Consent Statement
Data Availability Statement
Conflicts of Interest
References
- Falcon, O.; Faiola, S.; Huggon, I.; Allan, L.; Nicolaides, K.H. Fetal tricuspid regurgitation at the 11 + 0 to 13 + 6-week scan: Association with chromosomal defects and reproducibility of the method. Ultrasound Obstet. Gynecol. 2006, 27, 609–612. [Google Scholar] [CrossRef] [PubMed]
- Pereira, S.; Ganapathy, R.; Syngelaki, A.; Maiz, N.; Nicolaides, K.H. Contribution of fetal tricuspid regurgitation in first-trimester screening for major cardiac defects. Obstet. Gynecol. 2011, 117, 1384–1391. [Google Scholar] [CrossRef] [PubMed]
- Huggon, I.; DeFigueiredo, D.; Allan, L. Tricuspid regurgitation in the diagnosis of chromosomal anomalies in the fetus at 11–14 weeks of gestation. Heart 2003, 89, 1071–1073. [Google Scholar] [CrossRef] [PubMed]
- DeVore, G. Trisomy 21: 91% detection rate using second-trimester ultrasound markers. Ultrasound Obstet. Gynecol. Off. J. Int. Soc. Ultrasound Obstet. Gynecol. 2000, 16, 133–141. [Google Scholar] [CrossRef] [PubMed]
- Gembruch, U.; Smrcek, J. The prevalence and clinical significance of tricuspid valve regurgitation in normally grown fetuses and those with intrauterine growth retardation. Ultrasound Obstet. Gynecol. Off. J. Int. Soc. Ultrasound Obstet. Gynecol. 1997, 9, 374–382. [Google Scholar] [CrossRef] [PubMed]
- Messing, B.; Porat, S.; Imbar, T.; Valsky, D.; Anteby, E.; Yagel, S. Mild tricuspid regurgitation: A benign fetal finding at various stages of pregnancy. Ultrasound Obstet. Gynecol. Off. J. Int. Soc. Ultrasound Obstet. Gynecol. 2005, 26, 606–610. [Google Scholar] [CrossRef] [PubMed]
- Mäkikallio, K.; Jouppila, P.; Räsänen, J. Retrograde net blood flow in the aortic isthmus in relation to human fetal arterial and venous circulations. Ultrasound Obstet. Gynecol 2002, 19, 147–152. [Google Scholar] [CrossRef] [PubMed]
- Mäkikallio, K.; Vuolteenaho, O.; Jouppila, P.; Räsänen, J. Ultrasonographic and biochemical markers of human fetal cardiac dysfunction in placental insufficiency. Circulation 2002, 105, 2058–2063. [Google Scholar] [CrossRef] [PubMed]
- Abuhamad, A.Z.; Chaoui, R. A practical Guide to Fetal Echocardiography: Normal and Abnormal Hearts, 2nd ed.; Lippincott Williams & Wilkins: Philadelphia, PA, USA, 2012. [Google Scholar]
- Salomon, L.; Alfirevic, Z.; Da Silva Costa, F.; Deter, R.; Figueras, F.; Ghi, T.; Glanc, P.; Khalil, A.; Lee, W.; Napolitano, R. ISUOG Practice Guidelines: Ultrasound assessment of fetal biometry and growth. Ultrasound Obstet. Gynecol. 2019, 53, 715–723. [Google Scholar] [CrossRef] [PubMed]
- Gestational Hypertension and Preeclampsia: ACOG Practice Bulletin, Number 222. Obstet. Gynecol. 2020, 135, e237–e260. [CrossRef] [PubMed]
- Gardiner, H.M. Response of the fetal heart to changes in load: From hyperplasia to heart failure. Heart 2005, 91, 871–873. [Google Scholar] [CrossRef] [PubMed]
- Metzger, B.E.; Lowe, L.P.; Dyer, A.R.; Trimble, E.R.; Chaovarindr, U.; Coustan, D.R.; Hadden, D.R.; McCance, D.R.; Hod, M.; McIntyre, H.D.; et al. Hyperglycemia and adverse pregnancy outcomes. N. Engl. J. Med. 2008, 358, 1991–2002. [Google Scholar] [CrossRef] [PubMed]
- Ouzounian, J.G.; Hernandez, G.D.; Korst, L.M.; Montoro, M.M.; Battista, L.R.; Walden, C.L.; Lee, R.H. Pre-pregnancy weight and excess weight gain are risk factors for macrosomia in women with gestational diabetes. J. Perinatol. 2011, 31, 717–721. [Google Scholar] [CrossRef] [PubMed]
- Banks, E.H.; Miller, D.A. Perinatal risks associated with borderline amniotic fluid index. Am. J. Obstet. Gynecol. 1999, 180, 1461–1463. [Google Scholar] [CrossRef]
- Choi, S.R. Borderline amniotic fluid index and perinatal outcomes in the uncomplicated term pregnancy. J. Matern. Fetal Neonatal Med. 2016, 29, 457–460. [Google Scholar] [CrossRef] [PubMed]
- Gagnon, R.; Harding, R.; Brace, R.A. Amniotic fluid and fetal urinary responses to severe placental insufficiency in sheep. Am. J. Obstet. Gynecol. 2002, 186, 1076–1084. [Google Scholar] [CrossRef] [PubMed]
- Redman, C.W.; Sargent, I.L. Latest advances in understanding preeclampsia. Science 2005, 308, 1592–1594. [Google Scholar] [CrossRef] [PubMed]
- Zhong, Y.; Tuuli, M.; Odibo, A.O. First-trimester assessment of placenta function and the prediction of preeclampsia and intrauterine growth restriction. Prenat. Diagn. Publ. Affil. Int. Soc. Prenat. Diagn. 2010, 30, 293–308. [Google Scholar] [CrossRef] [PubMed]


| No Mild TR (n = 234) | Mild TR (n = 201) | p-Value | |
|---|---|---|---|
| Age (years) | 32.8 ± 4.5 | 33.3 ± 4.5 | 0.198 |
| Maternal weight at birth (kg) | 70.6 ± 10.4 | 70.2 ± 11.4 | 0.676 |
| Maternal BMI at birth (kg/m2) | 22.5 ± 5.2 | 22.5 ± 3.5 | 0.899 |
| Maternal prepregnancy weight (kg) | 58.4 ± 11.1 | 58.8 ± 10.6 | 0.713 |
| Gestational weight gain | 12.2 ± 5.7 | 11.0 ± 7.4 | 0.067 |
| TR velocity (cm/s) | 11.5 ± 5.3 | 30.1 ± 10.8 | <0.001 |
| Tricuspid E wave velocity (cm/s) | 24.1 ± 6.0 | 29.1 ± 8.3 | <0.001 |
| Tricuspid A wave velocity (cm/s) | 45.5 ± 8.8 | 53.2 ± 12.8 | <0.001 |
| Tricuspid E/A | 0.5 ± 0.1 | 0.5 ± 0.1 | 0.029 |
| Nuchal translucency (mm) | 1.7 ± 0.8 | 1.6 ± 0.8 | 0.867 |
| PAPP-A (MoM) | 1.2 (0.6; 1.8) | 1.2 (0.6; 1.8) | 0.43 |
| Gestational diabetes | 24 (42.1%) | 33 (57.9%) | 0.079 |
| AFI before birth | 9.5 ± 3.4 | 9.6 ± 4.0 | 0.829 |
| Oligohydramnios (AFI < 5 cm) | 20 (43.5%) | 26 (56.5%) | 0.184 |
| < Borderline AFI (AFI < 8 cm) | 80 (47.1%) | 90 (52.9%) | 0.031 |
| Preeclampsia | 8 (50.0%) | 8 (50.0%) | 0.956 |
| Gestational hypertension | 5 (55.6%) | 4 (44.4%) | 1 |
| Stillbirth | 1 (50.0%) | 1 (50.0%) | 1 |
| Sex of the neonate | 0.721 | ||
| Male | 125 (54.8%) | 103 (45.2%) | |
| Female | 109 (52.7%) | 98 (47.3%) | |
| Gestational age at birth (weeks) | 38.1 ± 1.8 | 37.7 ± 2.0 | 0.022 |
| Birth weight (g) | 3124.5 ± 453.3 | 2978.2 ± 528.1 | 0.001 |
| Birth weight percentile | 55.4 ± 24.8 | 49.1 ± 26.9 | 0.012 |
| Small for gestational age | 6 (40.0%) | 9 (60.0%) | 0.408 |
| Apgar score at 1 min | 8.0 ± 1.0 | 8.0 ± 1.1 | 0.434 |
| Apgar score at 5 min | 8.62 ± 0.75 | 8.57 ± 0.85 | 0.511 |
| Placental weight (g) | 713.5 ± 137.2 | 697.7 ± 139.0 | 0.135 |
| Factors Associated with Borderline AFI | ||||
|---|---|---|---|---|
| Crude | Adjusted | |||
| OR (95% CI) | p-Value | OR (95% CI) | p-Value | |
| Age | 1.033 (0.989–1.079) | 0.142 | 1.033 (0.988–1.080) | 0.155 |
| Maternal weight at birth | 1.008 (0.990–1.026) | 0.392 | 1.231 (0.264–NA) | 0.978 |
| Maternal prepregnancy weight | 1.005 (0.987 1.022) | 0.605 | 0.827 (NA–3.777) | 0.98 |
| Maternal BMI at birth | 1.001 (0.957–1.045) | 0.979 | 0.968 (0.852–1.046) | 0.505 |
| Gestational weight gain | 0.999 (0.970–1.030) | 0.934 | 0.825 (NA–3.883) | 0.98 |
| Gestational diabetes | 0.568 (0.300–1.029) | 0.07 | 0.514 (0.312–0.947) | 0.038 |
| Mild TR | 1.561 (1.060–2.303) | 0.024 | 1.602 (1.080–2.384) | 0.019 |
| Factors Associated with Birthweight Percentile | ||||
|---|---|---|---|---|
| Crude | Adjusted | |||
| Beta Coefficient (95% CI) | p-Value | Beta Coefficient (95% CI) | p-Value | |
| Age | 0.163 (−0.384, 0.71) | 0.557 | 0.071 (−0.465, 0.607) | 0.795 |
| Maternal weight at birth | 0.532 (0.312, 0.753) | 0 | 0.194 (−0.631, 1.02) | 0.644 |
| Maternal prepregnancy weight | 0.467 (0.246, 0.688) | 0 | 0.371 (−0.503, 1.244) | 0.404 |
| Maternal BMI at birth | 0.802 (0.259, 1.346) | 0.004 | −0.186 (−1.046, 0.673) | 0.67 |
| Gestational weight gain | 0.28 (−0.095, 0.655) | 0.143 | 0.325 (−0.378, 1.028) | 0.364 |
| Gestational diabetes | 9.764 (2.561, 16.966) | 0.008 | 9.673 (2.554, 16.792) | 0.008 |
| Mild TR | −6.291 (−11.17, −1.412) | 0.012 | −6.593 (−11.38, −1.805) | 0.007 |
Publisher’s Note: MDPI stays neutral with regard to jurisdictional claims in published maps and institutional affiliations. |
© 2021 by the authors. Licensee MDPI, Basel, Switzerland. This article is an open access article distributed under the terms and conditions of the Creative Commons Attribution (CC BY) license (https://creativecommons.org/licenses/by/4.0/).
Share and Cite
Park, J.-E.; Jo, H.-C.; Lee, S.-M.; Baek, J.-C.; Cho, I.-A.; Lee, S.-A. Mild Fetal Tricuspid Regurgitation in the First Trimester as a Predictor of Perinatal Outcomes. Medicina 2021, 57, 637. https://doi.org/10.3390/medicina57060637
Park J-E, Jo H-C, Lee S-M, Baek J-C, Cho I-A, Lee S-A. Mild Fetal Tricuspid Regurgitation in the First Trimester as a Predictor of Perinatal Outcomes. Medicina. 2021; 57(6):637. https://doi.org/10.3390/medicina57060637
Chicago/Turabian StylePark, Ji-Eun, Hyen-Chul Jo, Seon-Mi Lee, Jong-Chul Baek, In-Ae Cho, and Soon-Ae Lee. 2021. "Mild Fetal Tricuspid Regurgitation in the First Trimester as a Predictor of Perinatal Outcomes" Medicina 57, no. 6: 637. https://doi.org/10.3390/medicina57060637
APA StylePark, J.-E., Jo, H.-C., Lee, S.-M., Baek, J.-C., Cho, I.-A., & Lee, S.-A. (2021). Mild Fetal Tricuspid Regurgitation in the First Trimester as a Predictor of Perinatal Outcomes. Medicina, 57(6), 637. https://doi.org/10.3390/medicina57060637
