Neutropenic Enterocolitis and Sepsis: Towards the Definition of a Pathologic Profile
Abstract
:1. Introduction
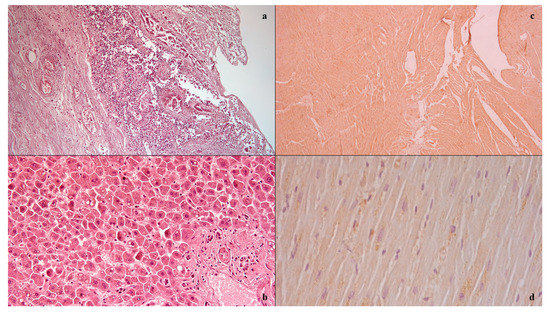
2. Case Report
3. Side Effects of Chemotherapy
4. Literature Review
5. Results
5.1. Etiology
5.2. Kind of Neoplasia and Therapy
5.3. Clinical and Imaging
5.4. Macroscopic and Microscopic Features
5.5. Treatment and Outcomes
| Etiology | Kind of Neoplasia | Chemotherapy | Neutrophils | Imaging-CT | Macroscopic Examination | Microscopic Investigation |
|---|---|---|---|---|---|---|
| Echerichia coli [31,35,43,44,51,52]; Clostridium difficile [33,36,46,50,51]; Bacillus cereus [34]; Enterococcus sbb [33,35,43]; Clostridium septicum [33,36,37]; Stenotrophomonas maltophilia [38]; Citrobacter freundii [39]; Stomatococcos mucilaginosus [40]; Mucormycosis [42]; Fungi [33,34,35,50]; Viruses [33,35]; Aeromonas hydrophila [46]; Enterobacter cloacae [46]; Klebsiella pneumoniae [33,46]; Morganella morganii [52] Streptococcus oralis [52] | Leukemia/lymphoma [31,33,34,35,36,37,38,42,43,46,50,51,52], Lung carcinoma [33], Sarcoma [33], Breast cancer [39,45]; Vulvar cancer [47] | Cyclophosphamide [31,33,38,39,40,45,51]; Vincristine [31,33,40,51]; Methotrexate [33,40,51]; Cytarabine [33,36,42,51,52]; Daunorubicin [33]; Fludarabine [33]; Doxorubicin [33,45]; Idarubicina [34,42]; 6 thioguanine [36,40]; Daunorubicina [36,40,51]; Deoxycoformycin [37]; 5-fluorouracil [39,46]; Epirubicin [39]; Idarubicin [42]; Docetaxel [45]; Mitomycin C [47] | ANC = 1.2 × 109/L [31]; ANC < 0.1 × 109/L [35,44]; ANC < 0.5 × 109/L [35,36]; ANC < 100 × 10 cells/mm3 [40,43]; 14.2% [42]; ANC = 500/mm3 [45]; ANC < 1000 cells/microL [50] | Thickened colon [33,34,42,44,45]; Small bowel dilatation [42]; | Ulcerations [31,43]; Thickening and hemorrhagic walls [36,39,43,45]; Perforation [42,43]; Abscess [43,44] | Mucosal ulceration [31,33,34,36,38,43,51,52]; Granulation tissue [31,45]; Necrosis [33,35,42,43]; Edema [33]; Hemorrhage [33,36,38,43]; Infiltrating organisms in an inflammatory depleted background [33,36,38,39,43,52]; Microabscess [34]; Thrombosis [36,52]; Pseudomembranes [43] |
6. Conclusions
Author Contributions
Funding
Institutional Review Board Statement
Informed Consent Statement
Data Availability Statement
Conflicts of Interest
References
- Snydman, D.R.; Nesher, L.; Rolston, K.V.I. Neutropenic enterocolitis, a growing concern in the era of widespread use of aggressive chemotherapy. Clin. Infect. Dis. 2013, 56, 711–717. [Google Scholar] [CrossRef] [Green Version]
- Davila, M.L. Neutropenic enterocolitis. Curr. Treat. Options Gastroenterol. 2006, 9, 249–255. [Google Scholar] [CrossRef] [PubMed]
- Moran, H.; Yaniv, I.; Ashkenazi, S.; Schwartz, M.; Fisher, S.; Levy, I. Risk factors for typhlitis in pediatric patients with cancer. J. Pediatr. Hematol. Oncol. 2009, 31, 630–634. [Google Scholar] [CrossRef] [PubMed]
- Gorschlüter, M.; Mey, U.; Strehl, J.; Ziske, C.; Schepke, M.; Schmidt-Wolf, I.G.H.; Sauerbruch, T.; Glasmacher, A. Neutropenic enterocolitis in adults: Systematic analysis of evidence quality. Eur. J. Haematol. 2005, 75, 1–13. [Google Scholar] [CrossRef] [PubMed]
- Aksoy, D.Y.; Tanriover, M.D.; Uzun, O.; Zarakolu, P.; Ercis, S.; Ergüven, S.; Oto, A.; Kerimoglu, U.; Hayran, M.; Abbasoglu, O. Diarrhea in neutropenic patients: A prospective cohort study with emphasis on neutropenic enterocolitis. Ann. Oncol. 2007, 18, 183–189. [Google Scholar] [CrossRef]
- Andreyev, H.J.N.; Davidson, S.E.; Gillespie, C.; Allum, W.H.; Swarbrick, E. Practice guidance on the management of acute and chronic gastrointestinal problems arising as a result of treatment for cancer. Gut 2012, 61, 179–192. [Google Scholar] [CrossRef] [Green Version]
- Katz, J.A.; Mahoney, D.H.; Fernbach, D.J.; Wagner, M.L.; Gresik, M.V. Typhlitis. An 18-year experience and postmortem review. Cancer 1990, 65, 1041–1047. [Google Scholar] [CrossRef]
- Jeddi, R.; Achour, M.; Amor, R.B.; Aissaoui, L.; Bouterâa, W.; Kacem, K.; Lakhal, R.B.; Abid, H.B.; BelHadjAli, Z.; Turki, A.; et al. Factors associated with severe sepsis: Prospective study of 94 neutropenic febrile episodes. Hematology 2010, 15, 28–32. [Google Scholar] [CrossRef]
- Pomara, C.; Riezzo, I.; Bello, S.; De Carlo, D.; Neri, M.; Turillazzi, E. A Pathophysiological Insight into Sepsis and Its Correlation with Postmortem Diagnosis. Mediat. Inflamm. 2016, 2016, 4062829. [Google Scholar] [CrossRef] [Green Version]
- Chen, Y.; Pat, B.; Zheng, J.; Cain, L.; Powell, P.; Shi, K.; Sabri, A.; Husain, A.; Dell’italia, L.J. Tumor necrosis factor-α produced in cardiomyocytes mediates a predominant myocardial inflammatory response to stretch in early volume overload. J. Mol. Cell Cardiol. 2010, 49, 70–78. [Google Scholar] [CrossRef] [Green Version]
- Stemmler, H.J.; Kenngott, S.; Diepolder, H.; Heinemann, V. Gastrointestinal toxicity associated with weekly docetaxel treatment. Ann. Oncol. 2002, 13, 978–981. [Google Scholar] [CrossRef] [PubMed]
- Van Vuuren, R.J.; Visagie, M.H.; Theron, A.E.; Joubert, A.M. Antimitotic drugs in the treatment of cancer. Cancer Chemother. Pharmacol. 2015, 76, 1101–1112. [Google Scholar] [CrossRef] [Green Version]
- Boussios, S.; Pentheroudakis, G.; Katsanos, K.; Pavlidis, N. Systemic treatment-induced gastrointestinal toxicity: Incidence, clinical presentation and management. Ann. Gastroenterol. 2012, 25, 106–118. [Google Scholar]
- Chen, E.; Abu-Sbeih, H.; Thirumurthi, S.; Mallepally, N.; Khurana, S.; Wei, D.; Altan, M.; Morris, V.K.; Tan, D.; Barcenas, C.H.; et al. Clinical characteristics of colitis induced by taxane-based chemotherapy. Ann. Gastroenterol. 2020, 33, 59–67. [Google Scholar] [CrossRef]
- Dasari, S.; Bernard Tchounwou, P. Cisplatin in cancer therapy: Molecular mechanisms of action. Eur. J. Pharmacol. 2014, 740, 364–378. [Google Scholar] [CrossRef] [Green Version]
- Weber, G.F.; Weber, G.F. DNA Damaging Drugs. In Molecular Therapies of Cancer; Springer International Publishing: Cham, Switzerland, 2015; pp. 9–112. [Google Scholar] [CrossRef]
- Yang, F.; Teves, S.S.; Kemp, C.J.; Henikoff, S. Doxorubicin, DNA torsion, and chromatin dynamics. Biochim. Biophys. Acta Rev. Cancer 2014, 1845, 84–89. [Google Scholar] [CrossRef] [PubMed] [Green Version]
- Thymidylate Synthase Inhibitor—An Overview|ScienceDirect Topics n.d. Available online: https://www.sciencedirect.com/topics/chemistry/thymidylate-synthase-inhibitor (accessed on 17 April 2021).
- Lee, C.S.; Ryan, E.J.; Doherty, G.A. Gastro-intestinal toxicity of chemotherapeutics in colorectal cancer: The role of inflammation. World J. Gastroenterol. 2014, 20, 3751–3761. [Google Scholar] [CrossRef] [PubMed]
- Tascini, C.; Menichetti, F.; Stefanelli, A.; Loni, C.; Lambelet, P. Clinical efficacy of intravenous colistin therapy in combination with ceftazidime in severe MDR P. aeruginosa systemic infections in two haematological patients. Le Infez. Med. 2006, 14, 41–44. [Google Scholar]
- Garrett, J.; Klimberg, V.S.; Anaissie, E.; Barlogie, B.; Turnage, R.; Badgwell, B.D. The surgical management of abdominal pain in the multiple myeloma patient. Am. J. Surg. 2012, 203, 127–131. [Google Scholar] [CrossRef] [PubMed]
- Teichmann, D.; Cummins, M.; Keogh, S.J.; Rogers, T. The complication of gastro-enteric fistulisation in neutropenic enterocolitis secondary to aplastic anaemia. Pediatr. Blood Cancer 2014, 61, 358–359. [Google Scholar] [CrossRef] [PubMed]
- Royo-Cebrecos, C.; Gudiol, C.; Ardanuy, C.; Pomares, H.; Calvo, M.; Carratalà, J. A fresh look at polymicrobial bloodstream infection in cancer patients. PLoS ONE 2017, 12. [Google Scholar] [CrossRef] [Green Version]
- Slavin, M.A.; Grigg, A.P.; Schwarer, A.P. Fatal anerobic bacteremia after hematopoietic stem cell transplant. Leuk. Lymphoma 2004, 45, 143–145. [Google Scholar] [CrossRef]
- Roghmann, M.C.; McCarter, R.J.; Brewrink, J.; Cross, A.S.; Glenn Morris, J. Clostridium difficile infection is a risk factor for bacteremia due to vancomycin-resistant enterococci (VRE) in VRE-colonized patients with acute leukemia. Clin. Infect. Dis. 1997, 25, 1056–1059. [Google Scholar] [CrossRef] [PubMed]
- Gorschlüter, M.; Glasmacher, A.; Hahn, C.; Leutner, C.; Marklein, G.; Remig, J.; Schmidt-Wolf, I.G.; Sauerbruch, T. Severe abdominal infections in neutropenic patients. Cancer Investig. 2001, 19, 669–677. [Google Scholar] [CrossRef] [PubMed]
- Maiese, A.; Bolino, G.; Mastracchio, A.; Frati, P.; Fineschi, V. An immunohistochemical study of the diagnostic value of TREM-1 as marker for fatal sepsis cases. Biotech. Histochem. 2019, 94, 159–166. [Google Scholar] [CrossRef]
- Heng, M.S.; Barbon Gauro, J.; Yaxley, A.; Thomas, J. Does a neutropenic diet reduce adverse outcomes in patients undergoing chemotherapy? Eur. J. Cancer Care (Engl.) 2020, 29, e13155. [Google Scholar] [CrossRef]
- Polee, M.B.; Verweij, J.; Siersema, P.D.; Tilanus, H.W.; Splinter, T.A.W.; Stoter, G.; Van der Gaast, A. Phase I study of a weekly schedule of a fixed dose of cisplatin and escalating doses of paclitaxel in patients with advanced oesophageal cancer. Eur. J. Cancer 2002, 38, 1495–1500. [Google Scholar] [CrossRef]
- Cioch, M.; Jawniak, D.; Kotwica, K.; Wach, M.; Mańko, J.; Gorący, A.; Klimek, P.; Mazurkiewicz, E.; Jarosz, P.; Hus, M. Biosimilar granulocyte colony-stimulating factor is effective in reducing the duration of neutropenia after autologous peripheral blood stem cell transplantation. Transplant. Proc. 2014, 46, 2882–2884. [Google Scholar] [CrossRef] [PubMed]
- Sadullah, S.; Nagesh, K.; Johnston, D.; McCullough, J.B.; Murray, F.; Cachia, P.G. Recurrent septicaemia in a neutropenic patient with typhlitis. Clin. Lab. Haematol. 1996, 18, 215–217. [Google Scholar] [CrossRef] [PubMed]
- Qasim, A.; Nahas, J. Neutropenic Enterocolitis (Typhlitis); StatPearls Publishing: Treasure Island, FL, USA, 2021. [Google Scholar]
- Sachak, T.; Arnold, M.A.; Naini, B.V.; Graham, R.P.; Shah, S.S.; Cruise, M.; Park, J.Y.; Clark, L.; Lamps, L.; Frankel, W.L.; et al. Neutropenic enterocolitis. Am. J. Surg. Pathol. 2015, 39, 1635–1642. [Google Scholar] [CrossRef]
- Ginsburg, A.S.; Salazar, L.G.; True, L.D.; Disis, M.L. Fatal Bacillus cereus sepsis following resolving neutropenic enterocolitis during the treatment of acute leukemia. Am. J. Hematol. 2003, 72, 204–208. [Google Scholar] [CrossRef]
- Cherif, H.; Axdorph, U.; Kalin, M.; Björkholm, M. Clinical experience of granulocyte transfusion in the management of neutropenic patients with haematological malignancies and severe infection. Scand. J. Infect. Dis. 2013, 45, 112–116. [Google Scholar] [CrossRef]
- King, A.; Rampling, A.; Wight, D.G.D.; Warren, R.E. Neutropenic enterocolitis due to Clostridium septicum infection. J. Clin. Pathol. 1984, 37, 335–343. [Google Scholar] [CrossRef]
- Litam, P.P.; Loughran, T.P. Clostridium septicum bacteremia in a patient with large granular lymphocyte leukemia. Cancer Investig. 1995, 13, 492–494. [Google Scholar] [CrossRef] [PubMed]
- Kaito, S.; Sekiya, N.; Najima, Y.; Sano, N.; Horiguchi, S.; Kakihana, K.; Hishima, T.; Ohashi, K. Fatal neutropenic enterocolitis caused by stenotrophomonas maltophilia: A rare and underrecognized entity. Intern. Med. 2018, 57, 3667–3671. [Google Scholar] [CrossRef] [PubMed] [Green Version]
- Clemons, M.J.; Valle, J.W.; Harris, M.; Ellenbogen, S.; Howell, A. Citrobacter freundii and fatal neutropenic enterocolitis following adjuvant chemotherapy for breast cancer. Clin. Oncol. 1997, 9, 172–175. [Google Scholar] [CrossRef]
- Fanourgiakis, P.; Georgala, A.; Vekemans, M.; Daneau, D.; Heymans, C.; Aoun, M. Bacteremia due to Stomatococcos mucilaginosus in neutropenic patients in the setting of a cancer institute. Clin. Microbiol. Infect. 2003, 9, 1068–1072. [Google Scholar] [CrossRef]
- Moir, C.R.; Scudamore, C.H.; Benny, W.B. Typhlitis: Selective surgical management. Am. J. Surg. 1986, 151, 563–566. [Google Scholar] [CrossRef]
- Yi, H.S.; Sym, S.J.; Park, J.; Cho, E.K.; Shin, D.B.; Lee, J.H. Typhlitis due to mucormycosis after chemotherapy in a patient with acute myeloid leukemia. Leuk. Res. 2010, 34. [Google Scholar] [CrossRef] [PubMed]
- Abu-Sbeih, H.; Ali, F.S.; Chen, E.; Mallepally, N.; Luo, W.; Lu, Y.; Foo, W.C.; Qiao, W.; Okhuysen, P.C.; Adachi, J.A.; et al. Neutropenic enterocolitis: Clinical features and outcomes. Dis. Colon. Rectum. 2020, 63, 381–388. [Google Scholar] [CrossRef]
- Youngs, J.; Suarez, C.; Koh, M.B.C. An unusual presentation of neutropenic enterocolitis (typhlitis). Lancet Infect. Dis. 2016, 16, 618. [Google Scholar] [CrossRef]
- Cherri, S.; Prochilo, T.; Rota, L.; Mutti, S.; Garatti, M.; Liserre, B.; Alberto, Z. Neutropenic Enterocolitis in the Treatment of Solid Tumors: A Case Report and Review of the Literature. Case Rep. Oncol. 2020, 13, 442–448. [Google Scholar] [CrossRef] [PubMed]
- Hsu, T.F.; Huang, H.H.; Yen, D.H.T.; Kao, W.F.; Chen, J.D.; Wang, L.M.; Lee, C.H. ED presentation of neutropenic enterocolitis in adult patients with acute leukemia. Am. J. Emerg. Med. 2004, 22, 276–279. [Google Scholar] [CrossRef] [PubMed]
- Mulayim, N.; Silver, D.F.; Schwartz, P.E.; Higgins, S. Chemoradiation with 5-fluorouracil and mitomycin C in the treatment of vulvar squamous cell carcinoma. Gynecol. Oncol. 2004, 93, 659–666. [Google Scholar] [CrossRef]
- Van Eyken, P.; Fanni, D.; Gerosa, C. Ischemic colitis. In Colitis a Pract. Approach to Colon Biopsy Interpret; Springer International Publishing: Cham, Switzerland, 2014; pp. 139–145. [Google Scholar] [CrossRef]
- Villanacci, V.; Salemme, M. Microscopic colitis. In Colitis a Pract. Approach to Colon Biopsy Interpret; Springer International Publishing: Cham, Switzerland, 2014; pp. 155–163. [Google Scholar] [CrossRef]
- Badgwell, B.D.; Cormier, J.N.; Wray, C.J.; Borthakur, G.; Qiao, W.; Rolston, K.V.; Pollock, R.E. Challenges in surgical management of abdominal pain in the neutropenic cancer patient. Ann. Surg. 2008, 248, 104–109. [Google Scholar] [CrossRef]
- Koea, J.B.; Shaw, J.H.F. Surgical management of neutropenic enterocolitis. Br. J. Surg. 1989, 76, 821–824. [Google Scholar] [CrossRef]
- Cornely, O.A.; Schirmacher, P. Clinical picture: Bacterial translocation in neutropenic sepsis. Lancet 2001, 358, 1842. [Google Scholar] [CrossRef]


Publisher’s Note: MDPI stays neutral with regard to jurisdictional claims in published maps and institutional affiliations. |
© 2021 by the authors. Licensee MDPI, Basel, Switzerland. This article is an open access article distributed under the terms and conditions of the Creative Commons Attribution (CC BY) license (https://creativecommons.org/licenses/by/4.0/).
Share and Cite
Bertozzi, G.; Maiese, A.; Passaro, G.; Tosoni, A.; Mirijello, A.; Simone, S.D.; Baldari, B.; Cipolloni, L.; La Russa, R. Neutropenic Enterocolitis and Sepsis: Towards the Definition of a Pathologic Profile. Medicina 2021, 57, 638. https://doi.org/10.3390/medicina57060638
Bertozzi G, Maiese A, Passaro G, Tosoni A, Mirijello A, Simone SD, Baldari B, Cipolloni L, La Russa R. Neutropenic Enterocolitis and Sepsis: Towards the Definition of a Pathologic Profile. Medicina. 2021; 57(6):638. https://doi.org/10.3390/medicina57060638
Chicago/Turabian StyleBertozzi, Giuseppe, Aniello Maiese, Giovanna Passaro, Alberto Tosoni, Antonio Mirijello, Stefania De Simone, Benedetta Baldari, Luigi Cipolloni, and Raffaele La Russa. 2021. "Neutropenic Enterocolitis and Sepsis: Towards the Definition of a Pathologic Profile" Medicina 57, no. 6: 638. https://doi.org/10.3390/medicina57060638
APA StyleBertozzi, G., Maiese, A., Passaro, G., Tosoni, A., Mirijello, A., Simone, S. D., Baldari, B., Cipolloni, L., & La Russa, R. (2021). Neutropenic Enterocolitis and Sepsis: Towards the Definition of a Pathologic Profile. Medicina, 57(6), 638. https://doi.org/10.3390/medicina57060638

