Myositis-Related Interstitial Lung Disease: A Respiratory Physician’s Point of View
Abstract
1. Introduction
2. Diagnostic Points
2.1. Interview
2.2. Physical Examination
2.2.1. Inspection
2.2.2. Auscultation
2.3. Blood Tests
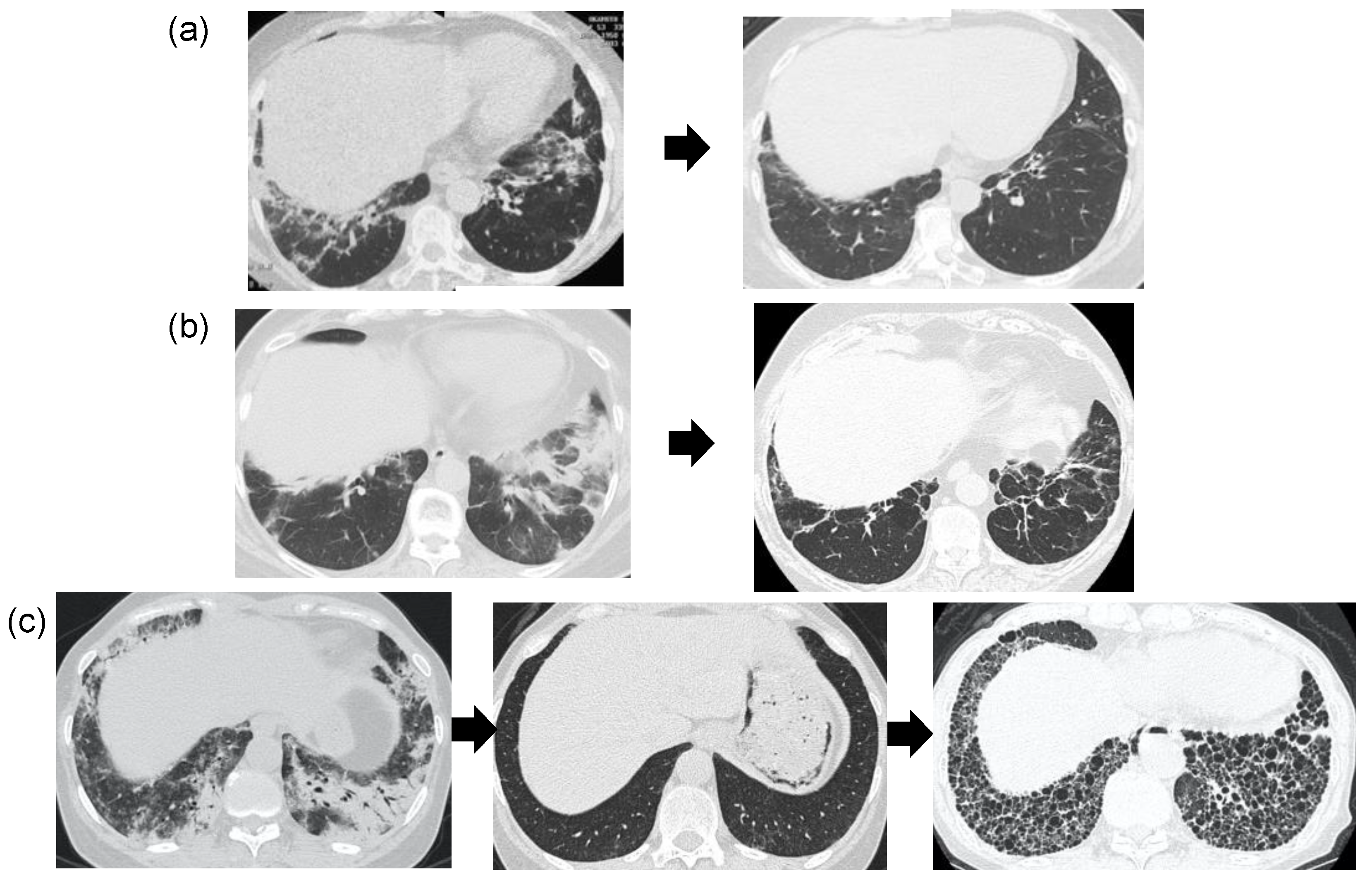
2.4. Imaging Test
2.5. Physiological Examination
2.6. Bronchoalveolar Lavage
2.7. Lung Biopsy
2.7.1. Cryobiopsy
2.7.2. Surgical Lung Biopsy (SLB)
2.8. Multidisciplinary Discussion (MDD)
3. Characteristics of ILD by Antibody Profile
3.1. Anti-ARS Antibody
3.2. Anti-MDA5 Antibody
4. Discussion
5. Conclusions
Funding
Institutional Review Board Statement
Informed Consent Statement
Data Availability Statement
Acknowledgments
Conflicts of Interest
References
- Yoshifuji, H.; Fujii, T.; Kobayashi, S.; Imura, Y.; Fujita, Y.; Kawabata, D.; Usui, T.; Tanaka, M.; Nagai, S.; Umehara, H.; et al. Anti-aminoacyl-tRNA synthetase antibodies in clinical course prediction of interstitial lung disease com-plicated with idiopathic inflammatory myopathies. Autoimmunity 2006, 39, 233–241. [Google Scholar] [CrossRef]
- Takato, H.; Waseda, Y.; Watanabe, S.; Inuzuka, K.; Katayama, N.; Ichikawa, Y.; Yasui, M.; Fujimura, M. Pulmonary manifestations of anti-ARS antibody positive interstitial pneumonia—With or without PM/DM. Respir. Med. 2013, 107, 128–133. [Google Scholar] [CrossRef]
- Tsuji, H.; Nakashima, R.; Hosono, Y.; Imura, Y.; Yagita, M.; Yoshifuji, H.; Hirata, S.; Nojima, T.; Sugiyama, E.; Hatta, K.; et al. Multicenter prospective study of the efficacy and safety of combined immunosuppressive therapy with high-dose glucocorticoid, tacrolimus, and cyclophosphamide in interstitial lung diseases accompanied by anti-melanoma differentiation-associated gene 5-positive dermatomyositis. Arthritis Rheumatol. 2019, 72, 488–498. [Google Scholar]
- Yamasaki, Y.; Yamada, H.; Ohkubo, M.; Yamasaki, M.; Azuma, K.; Ogawa, H.; Mizushima, M.; Ozaki, S. Longterm survival and associated risk factors in patients with adult-onset idiopathic inflammatory myo-pathies and amyopathic dermatomyositis: Experience in a single institute in Japan. J. Rheumatol. 2011, 38, 1636–1643. [Google Scholar] [CrossRef]
- Bottai, M.; Tjärnlund, A.; Santoni, G.; Werth, V.P.; Pilkington, C.; Visser, M.; Alfredsson, L.; Amato, A.A.; Barohn, R.J.; Liang, M.H.; et al. EULAR/ACR classification criteria for adult and juvenile idiopathic inflammatory myopathies and their ma-jor subgroups: A methodology report. Ann. RMD Open 2017, 3, e000507. [Google Scholar] [CrossRef]
- Nakashima, R.; Hosono, Y.; Mimori, T. Clinical significance and new detection system of autoantibodies in myositis with interstitial lung disease. Lupus 2016, 25, 925–933. [Google Scholar] [CrossRef] [PubMed]
- Gono, T.; Kawaguchi, Y.; Hara, M.; Masuda, I.; Katsumata, Y.; Shinozaki, M.; Ota, Y.; Ozeki, E.; Yamanaka, H. Increased ferritin predicts development and severity of acute interstitial lung disease as a complication of dermatomyositis. Rheumatology 2010, 49, 1354–1360. [Google Scholar] [CrossRef] [PubMed]
- Waseda, Y.; Johkoh, T.; Egashira, R.; Sumikawa, H.; Saeki, K.; Watanabe, S.; Matsunuma, R.; Takato, H.; Ichikawa, Y.; Hamaguchi, Y.; et al. Antisynthetase syndrome: Pulmonary computed tomography findings of adult patients with antibodies to aminoacyl-tRNA synthetases. Eur. J. Radiol. 2016, 85, 1421–1426. [Google Scholar] [CrossRef] [PubMed]
- Waseda, Y.; Johkoh, T.; Prosch, H.; Nemec, S.; Saeki, K.; Watanabe, S.; Hamaguchi, Y.; Shiraki, A.; Muro, Y.; Yasui, M.; et al. Chest computed tomography findings of adult patients with antimelanoma differentiation-associated pro-tein 5 antibody-positive interstitial lung disease. Mod. Rheumatol. in press.
- Debray, M.-P.; Borie, R.; Revel, M.-P.; Naccache, J.-M.; Khalil, A.; Toper, C.; Israel-Biet, D.; Estellat, C.; Brillet, P.-Y. Interstitial lung disease in anti-synthetase syndrome: Initial and follow-up CT findings. Eur. J. Radiol. 2015, 84, 516–523. [Google Scholar] [CrossRef]
- Yamakawa, H.; Hagiwara, E.; Kitamura, H.; Iwasawa, T.; Otoshi, R.; Aiko, N.; Katano, T.; Shintani, R.; Ikeda, S.; Okuda, R.; et al. Predictive factors for the long-term deterioration of pulmonary function in interstitial lung disease asso-ciated with anti-aminoacyl-tRNA synthetase antibodies. Respiration 2018, 96, 210–221. [Google Scholar] [CrossRef]
- McCarthy, D.S.; Ostrow, D.N.; Hershfield, E.S. Chronic Obstructive Pulmonary Disease following Idiopathic Pulmonary Fibrosis. Chest 1980, 77, 473–477. [Google Scholar] [CrossRef] [PubMed]
- Castria, D.; Refini, R.; Bargagli, E.; Mezzasalma, F.; Pierli, C.; Rottoli, P. Pulmonary Hypertension in Idiopathic Pulmonary Fibrosis: Prevalence and Clinical Progress. Int. J. Immunopathol. Pharmacol. 2012, 25, 681–689. [Google Scholar] [CrossRef] [PubMed]
- Sanges, S.; Yelnik, C.; Sitbon, O.; Benveniste, O.; Mariampillai, K.; Phillips-Houlbracq, M.; Pison, C.; Deligny, C.; Inamo, J.; Cottin, V.; et al. Pulmonary arterial hypertension in idiopathic inflammatory myopathies. Medicine 2016, 95, e4911. [Google Scholar] [CrossRef]
- Costabel, U. Atlas der Bronchoalveolären Lavage (German); Thieme: Stuttgart, Germany, 1994. [Google Scholar]
- Meyer, K.C.; Raghu, G.; Baughman, R.P.; Brown, K.K.; Costabel, U.; Du Bois, R.M.; Drent, M.; Haslam, P.L.; Kim, D.S.; Nagai, S.; et al. An Official American Thoracic Society Clinical Practice Guideline: The Clinical Utility of Bronchoalveolar Lavage Cellular Analysis in Interstitial Lung Disease. Am. J. Respir. Crit. Care Med. 2012, 185, 1004–1014. [Google Scholar] [CrossRef] [PubMed]
- Hetzel, J.R.; Eberhardt, R.; Herth, F.J.F.; Petermann, C.; Reichle, G.; Freitag, L.; Dobbertin, I.; Franke, K.J.; Stanzel, F.; Beyer, T.; et al. Cryobiopsy increases the diagnostic yield of endobronchial biopsy: A multicentre trial. Eur. Respir. J. 2012, 39, 685–690. [Google Scholar] [CrossRef] [PubMed]
- Troy, L.K.; Grainge, C.; Corte, T.J.; Williamson, J.P.; Vallely, M.P.A.; Cooper, W.; Mahar, A.; Myers, J.L.; Lai, S.; Mulyadi, E.; et al. Diagnostic accuracy of transbronchial lung cryobiopsy for interstitial lung disease diagnosis (COLDICE): A prospective, comparative study. Lancet Respir. Med. 2020, 8, 171–181. [Google Scholar] [CrossRef]
- Tomic, R.; Cortes-Puentes, G.A.; Murugan, P.; Kim, H.J.; Amin, K.; Dincer, H.E. Acute Exacerbation of Interstitial Lung Disease After Cryobiopsy. J. Bronchol. Interv. Pulmonol. 2017, 24, 319–322. [Google Scholar] [CrossRef]
- Kodati, R.; Sehgal, I.S.; Prasad, K.T.; Bal, A.; Agarwal, R.; Dhooria, S. Acute Exacerbation and Progression of Interstitial Lung Disease After Transbronchial Lung Cryobiopsy. J. Bronchol. Interv. Pulmonol. 2019, 26, e68–e72. [Google Scholar] [CrossRef]
- Kronborg-White, S.; Sritharan, S.S.; Madsen, L.B.; Folkersen, B.; Voldby, N.; Poletti, V.; Rasmussen, T.R.; Bendstrup, E. Integration of cryobiopsies for interstitial lung disease diagnosis is a valid and safe diagnostic strat-egy-experiences based on 250 biopsy procedures. J. Thorac. Dis. 2021, 13, 1455–1465. [Google Scholar] [CrossRef]
- Tomassetti, S.; Wells, A.U.; Costabel, U.; Cavazza, A.; Colby, T.V.; Rossi, G.; Sverzellati, N.; Carloni, A.; Cattetta, E.; Buccioli, M.; et al. Bronchoscopic lung cryobiopsy increases diagnostic confidence in the multidisciplinary diagnosis of idi-opathic pulmonary fibrosis. Am. J. Respir. Crit. Med. 2016, 193, 745–752. [Google Scholar] [CrossRef] [PubMed]
- Raghu, G.; Remy-Jardin, M.; Myers, J.L.; Richeldi, L.; Ryerson, C.J.; Lederer, D.J.; Behr, J.; Cottin, V.; Danoff, S.K.; Morell, F.; et al. Diagnosis of Idiopathic Pulmonary Fibrosis. An Official ATS/ERS/JRS/ALAT Clinical Practice Guideline. Am. J. Respir. Crit. Care Med. 2018, 198, e44–e68. [Google Scholar] [CrossRef]
- Raghu, G.; Remy-Jardin, M.; Ryerson, C.J.; Myers, J.L.; Kreuter, M.; Vasakova, M.; Bargagli, E.; Chung, J.H.; Collins, B.F.; Bendstrup, E.; et al. Diagnosis of Hypersensitivity Pneumonitis in Adults. An Official ATS/JRS/ALAT Clinical Practice Guideline. Am. J. Respir. Crit. Care Med. 2020, 202, e36–e69. [Google Scholar] [CrossRef]
- Levi, Y.; Israeli-Shani, L.; Kuchuk, M.; Shochet, G.E.; Koslow, M.; Shitrit, D. Rheumatological Assessment Is Important for Interstitial Lung Disease Diagnosis. J. Rheumatol. 2018, 45, 1509–1514. [Google Scholar] [CrossRef]
- Lorenzis, E.D.; Bossello, S.L.; Varone, F.; Sgalla, G.; Calandriello, L.; Natalello, G.; Iovene, B.; Cicchetti, G.; Gigante, L.; Verardi, L.; et al. Multidisciplinary evaluation of interstitial lung diseases: New opportunities linked to rheumatologist involvement. Diagnostics 2020, 10, 664. [Google Scholar] [CrossRef]
- Hozumi, T.; Fujisawa, T.; Nakashima, R.; Yasui, H.; Suzuki, Y.; Kono, M.; Karayama, M.; Furuhashi, K.; Enomoto, N.; Inui, N.; et al. Efficacy of glucocorticoids and calcineurin inhibitors for anti-aminoacyl-tRNA synthetase antibody-positive polymyositis/dermatomyositis-associated interstitial lung disease: A propensity score-matched analysis. J. Rheumatol. 2019, 46, 509–517. [Google Scholar] [CrossRef]
- Hamaguchi, Y.; Fujimoto, M.; Matsushita, T.; Kaji, K.; Komura, K.; Hasegawa, M.; Kodera, M.; Muroi, E.; Fujikawa, K.; Seishima, M.; et al. Common and distinct clinical features in adult patients with anti-aminoacyl-tRNA synthetase antibod-ies: Heterogeneity within the syndrome. PLoS ONE 2013, 8, e60442. [Google Scholar] [CrossRef]
- Hervier, B.; Devilliers, H.; Stanciu, R.; Meyer, A.; Uzunhan, Y.; Masseau, A.; Dubucquoi, S.; Hatron, P.-Y.; Musset, L.; Wallaert, B.; et al. Hierarchical cluster and survival analysis of antisynthetase syndrome: Phenotype and outcome are corre-lated with anti-tRNA synthetase antibody specificity. Autoimmun. Rev. 2012, 12, 210–217. [Google Scholar] [CrossRef]
- Fujisawa, T.; Hozumi, H.; Kono, M.; Enomoto, N.; Nakamura, Y.; Inui, N.; Nakashima, R.; Imura, Y.; Mimori, T.; Suda, T. Predictive factors for long-term outcome in polymyositis/dermatomyositis-associated interstitial lung dis-eases. Respir. Investig. 2017, 55, 130–137. [Google Scholar] [CrossRef] [PubMed]
- Targoff, I.N. Autoantibodies to aminoacyl-transfer RNA synthetases for isoleucine and glycine. Two additional synthetases are antigenic in myositis. J. Immunol. 1990, 144, 1737–1743. [Google Scholar] [PubMed]
- Nakashima, R.; Imura, Y.; Hosono, Y.; Seto, M.; Murakami, A.; Watanabe, K.; Handa, T.; Mishima, M.; Hirakata, M.; Takeuchi, T.; et al. The multicenter study of a new assay for simultaneous detection of multiple anti-aminoacyl-tRNA syn-thetases in myositis and interstitial pneumonia. PLoS ONE 2014, 9, e85062. [Google Scholar] [CrossRef]
- Bonroy, C.; Van Praet, J.; Smith, V.; Van Steendam, K.; Mimori, T.; Deschepper, E.; Deforce, D.; Devreese, K.; De Keyser, F. Optimization and diagnostic performance of a single multiparameter lineblot in the serological workup of systemic sclerosis. J. Immunol. Methods 2012, 379, 53–60. [Google Scholar] [CrossRef]
- Montagnese, F.; Babačić, H.; Eichhorn, P.; Schoser, B. Evaluating the diagnostic utility of new line immunoassays for myositis antibodies in clinical practice: A retrospective study. J. Neurol. 2019, 266, 1358–1366. [Google Scholar] [CrossRef]
- Hamaguchi, Y.; Kuwana, M.; Takehara, K. Performance evaluation of a commercial line blot assay system for detection of myositis- and systemic sclerosis-related autoantibodies. Clin. Rheumatol. 2020, 39, 3489–3497. [Google Scholar] [CrossRef]
- Yoneyama, M.; Fujita, T. RNA recognition and signal transduction by RIG-I-like receptors. Immunol. Rev. 2008, 227, 54–65. [Google Scholar] [CrossRef] [PubMed]
- Sato, S.; Hirakata, M.; Kuwana, M.; Suwa, A.; Inada, S.; Minori, T.; Nishikawa, T.; Oddis, C.V.; Ikeda, Y. Autoantibodies to a 140-kd polypeptide, CADM-140, in Japanese patients with clinically amyopathic derma-tomyositis. Arthritis Rheum. 2005, 52, 1571–1576. [Google Scholar] [CrossRef] [PubMed]
- Bohan, A.; Peter, J.B. Polymyositis and dermatomyositis-(First of two parts). N. Engl. J. Med. 1975, 292, 344–347. [Google Scholar] [CrossRef] [PubMed]
- Mathews, M.B.; Bernstein, R.M. Myositis autoantibody inhibits histidyl-tRNA synthetase: A model for autoimmunity. Nature 1983, 304, 177–179. [Google Scholar] [CrossRef]
- Christensen, M.L.; Pachman, L.M.; Schneiderman, R.; Patel, D.C.; Friedman, J.M. Prevalence of Coxsackie B virus antibodies in patients with juvenile dermatomyositis. Arthritis Rheum. 1986, 29, 1365–1370. [Google Scholar] [CrossRef] [PubMed]
- Sato, S.; Murakami, A.; Kuwajima, A.; Takehara, K.; Mimori, T.; Kawakami, A.; Mishima, M.; Suda, T.; Seishima, M.; Fujimoto, M.; et al. Clinical utility of an enzyme-linked immunosorbent assay for detecting anti-melanoma differentiation-associated gene 5 autoantibodies. PLoS ONE 2016, 11, e0154285. [Google Scholar] [CrossRef] [PubMed]
- Labrador-Horrillo, M.; Martinez, M.A.; Selva-O’Callaghan, A.; Trallero-Araguas, E.; Balada, E.; Vilardell-Tarres, M.; Juárez, C. Anti-MDA5 Antibodies in a Large Mediterranean Population of Adults with Dermatomyositis. J. Immunol. Res. 2014, 2014, 1–8. [Google Scholar] [CrossRef] [PubMed]
- Takada, T.; Aoki, A.; Asakawa, K.; Sakagami, T.; Moriyama, H.; Narita, I.; Sato, S. Serum cytokine profiles of patients with interstitial lung disease associated with anti-CADM-140/MDA5 antibody positive amyopathic dermatomyositis. Respir. Med. 2015, 109, 1174–1180. [Google Scholar] [CrossRef] [PubMed]
- Abe, Y.; Matsushita, M.; Tada, K.; Yamaji, K.; Takasaki, Y.; Tamura, N. Clinical characteristics and change in the antibody titres of patients with anti-MDA5 antibody-positive in-flammatory myositis. Rheumatology 2017, 56, 1492–1497. [Google Scholar] [CrossRef] [PubMed]
- Muro, Y.; Sugiura, K.; Hoshino, K.; Akiyama, M. Disappearance of anti-MDA-5 autoantibodies in clinically amyopathic DM/interstitial lung disease during disease remission. Rheumatology 2011, 51, 800–804. [Google Scholar] [CrossRef]
- Matsushita, T.; Mizumaki, K.; Kano, M.; Yagi, N.; Tennichi, M.; Takeuchi, A.; Okamoto, Y.; Hamaguchi, Y.; Murakami, A.; Hasegawa, M.; et al. Antimelanoma differentiation-associated protein 5 antibody level is a novel tool for monitoring disease activity in rapidly progressive interstitial lung disease with dermatomyositis. Br. J. Dermatol. 2017, 176, 395–402. [Google Scholar] [CrossRef]
- Gono, T.; Sato, S.; Kawaguchi, Y.; Kuwana, M.; Hanaoka, M.; Katsumata, Y.; Takagi, K.; Baba, S.; Okamoto, Y.; Ota, Y.; et al. Anti-MDA5 antibody, ferritin and IL-18 are useful for the evaluation of response to treatment in interstitial lung disease with anti-MDA5 antibody-positive dermatomyositis. Rheumatology 2012, 51, 1563–1570. [Google Scholar] [CrossRef]
- Gono, T.; Kawaguchi, Y.; Satoh, T.; Kuwana, M.; Katsumata, Y.; Takagi, K.; Masuda, I.; Tochimoto, A.; Baba, S.; Okamoto, Y.; et al. Clinical manifestation and prognostic factor in anti-melanoma differentiation-associated gene 5 anti-body-associated interstitial lung disease as a complication of dermatomyositis. Rheumatology 2010, 49, 1713–1719. [Google Scholar] [CrossRef]
- Fujisawa, T.; Hozumi, H.; Yasui, H.; Suzuki, Y.; Karayama, M.; Furuhashi, K.; Enomoto, N.; Nakamura, Y.; Inui, N.; Suda, T. Clinical significance of serum chitotriosidase level in anti-MDA5 antibody-positive dermatomyo-sitis-associated interstitial lung disease. J. Rheumatol. 2019, 46, 935–942. [Google Scholar] [CrossRef] [PubMed]
- Hozumi, H.; Fujisawa, T.; Nakashima, R.; Johkoh, T.; Sumikawa, H.; Murakami, A.; Enomoto, N.; Inui, N.; Nakamura, Y.; Hosono, Y.; et al. Comprehensive assessment of myositis-specific autoantibodies in polymyositis/dermatomyositis-associated interstitial lung disease. Respir. Med. 2016, 121, 91–99. [Google Scholar] [CrossRef]
- Sato, S.; Masui, K.; Nishina, N.; Kawaguchi, Y.; Kawakami, A.; Tamura, M.; Ikeda, K.; Nunokawa, T.; Tanino, Y.; Asakawa, K.; et al. Initial predictors of poor survival in myositis-associated interstitial lung disease: A multicentre cohort of 497 patients. Rheumatology 2018, 57, 1212–1221. [Google Scholar] [CrossRef]
- Gono, T.; Masui, K.; Nishina, N.; Kawaguchi, Y.; Kawakami, A.; Ikeda, K.; Kirino, Y.; Sugiyama, Y.; Tanino, Y.; Nunokawa, T.; et al. Risk prediction modeling based on a combination of initial serum biomarker levels in polymyo-sitis/dermatomyositis-associated interstitial lung disease. Arthritis Rheumatol. 2021, 73, 677–686. [Google Scholar] [CrossRef] [PubMed]
- Horiike, Y.; Suzuki, Y.; Fujisawa, T.; Yasui, H.; Karayama, M.; Hozumi, H.; Furuhashi, K.; Enomoto, N.; Nakamura, Y.; Inui, N.; et al. Successful classification of macrophage-mannose receptor CD206 in severity of anti-MDA5 antibody posi-tive dermatomyositis associated ILD. Rheumatology 2019, 58, 2143–2152. [Google Scholar] [CrossRef] [PubMed]
- Hozumi, H.; Fujisawa, T.; Enomoto, N.; Nakashima, R.; Enomoto, Y.; Suzuki, Y.; Kono, M.; Karayama, M.; Furuhashi, K.; Murakami, A.; et al. Clinical Utility of YKL-40 in Polymyositis/dermatomyositis-associated Interstitial Lung Disease. J. Rheumatol. 2017, 44, 1394–1401. [Google Scholar] [CrossRef] [PubMed]
- Enomoto, Y.; Suzuki, Y.; Hozumi, H.; Mori, K.; Kono, M.; Karayama, M.; Furuhashi, K.; Fujisawa, T.; Enomoto, N.; Nakamura, Y.; et al. Clinical significance of soluble CD163 in polymyositis-related or dermatomyositis-related interstitial lung disease. Arthritis Res. 2017, 19, 1–9. [Google Scholar] [CrossRef]



| Points | ||
|---|---|---|
| Variable | No Biopsy | Biopsy |
| Age at onset of first related symptoms | ||
| 18–40 years | 1.3 | 1.5 |
| ≥40 years | 2.1 | 2.2 |
| Muscle weakness | ||
| Objective symmetric weakness, usually progressive, of proximal upper extremities | 0.7 | 0.7 |
| Objective symmetric weakness, usually progressive, of proximal lower extremities | 0.8 | 0.5 |
| Neck flexors are relatively weaker than neck extensors | 1.9 | 1.6 |
| In the legs, proximal muscles are relatively weaker than distal muscles | 0.9 | 1.2 |
| Skin manifestations | ||
| Heliotrope rash | 3.1 | 3.2 |
| Gottron’s papules | 2.1 | 2.7 |
| Gottron’s sign | 3.3 | 3.7 |
| Other clinical manifestations | ||
| Dysphagia or esophageal dysmotility | 0.7 | 0.6 |
| Laboratory measurements | ||
| Anti-Jo-1 (anti-histidyl-tRNA synthetase) autoantibody positivity | 3.9 | 3.8 |
| Elevated serum levels of creatine kinase (CK)★ or lactate dehydrogenase (LDH)★ or aspartate aminotransferase (ASAT/AST/SGOT)★ or alanine aminotransferase (ALAT/ALT/SGPT)★ | 1.3 | 1.4 |
| Muscle biopsy features | ||
| Endomysial infiltration of mononuclear cells surrounding, but not invading, myofibers | 1.7 | |
| Perimysial and/or perivascular infiltration of mononuclear cells | 1.2 | |
| Perifascicular atrophy | 1.9 | |
| Rimmed vacuoles | 3.1 | |
| Autoantibodies | Frequency | Significance |
|---|---|---|
| Anti-aminoacyl-tRNA synthetase (ARS) | ~30% | Anti-synthetase syndrome: myositis, ILD, arthritis, Raynaud’s phenomenon, fever, mechanic’s hand |
| Anti-Jo-1 | 15–20% | |
| Anti-PL-7 | <5% | |
| Anti-PL-12 | <5% | |
| Anti-OJ | <5% | |
| Anti-EJ | <5% | |
| Anti-KS | <5% | |
| Anti-phenylalanyl-tRNA synthetase | <1% | |
| Anti-tyrosyl-tRNA synthetase | <1% | |
| Anti-SRP | 5% | Severe disease, resistant to treatment, recurrent |
| Anti-Mi-2 | 5–10% | Childhood and adult DM |
| Anti-MDA5 | 20–35% of DM | CADM, rapidly progressive ILD |
| Anti-TIF1-γ | 20% of DM | DM, malignancy-associated DM |
| Anti-NXP2 (MJ) | 3–15% | DM, JDM, malignancy, skin calcification in children |
| Anti-HMGCR | 5–8% | Necrotizing myopathy, statin-induced myopathy |
| Anti-SAE | 2–8% of DM | DM |
Publisher’s Note: MDPI stays neutral with regard to jurisdictional claims in published maps and institutional affiliations. |
© 2021 by the author. Licensee MDPI, Basel, Switzerland. This article is an open access article distributed under the terms and conditions of the Creative Commons Attribution (CC BY) license (https://creativecommons.org/licenses/by/4.0/).
Share and Cite
Waseda, Y. Myositis-Related Interstitial Lung Disease: A Respiratory Physician’s Point of View. Medicina 2021, 57, 599. https://doi.org/10.3390/medicina57060599
Waseda Y. Myositis-Related Interstitial Lung Disease: A Respiratory Physician’s Point of View. Medicina. 2021; 57(6):599. https://doi.org/10.3390/medicina57060599
Chicago/Turabian StyleWaseda, Yuko. 2021. "Myositis-Related Interstitial Lung Disease: A Respiratory Physician’s Point of View" Medicina 57, no. 6: 599. https://doi.org/10.3390/medicina57060599
APA StyleWaseda, Y. (2021). Myositis-Related Interstitial Lung Disease: A Respiratory Physician’s Point of View. Medicina, 57(6), 599. https://doi.org/10.3390/medicina57060599

