Could DOAC Be a Better Choice Than Warfarin in Low Compliance Patients with Fontan Procedure?
Abstract
1. Introduction
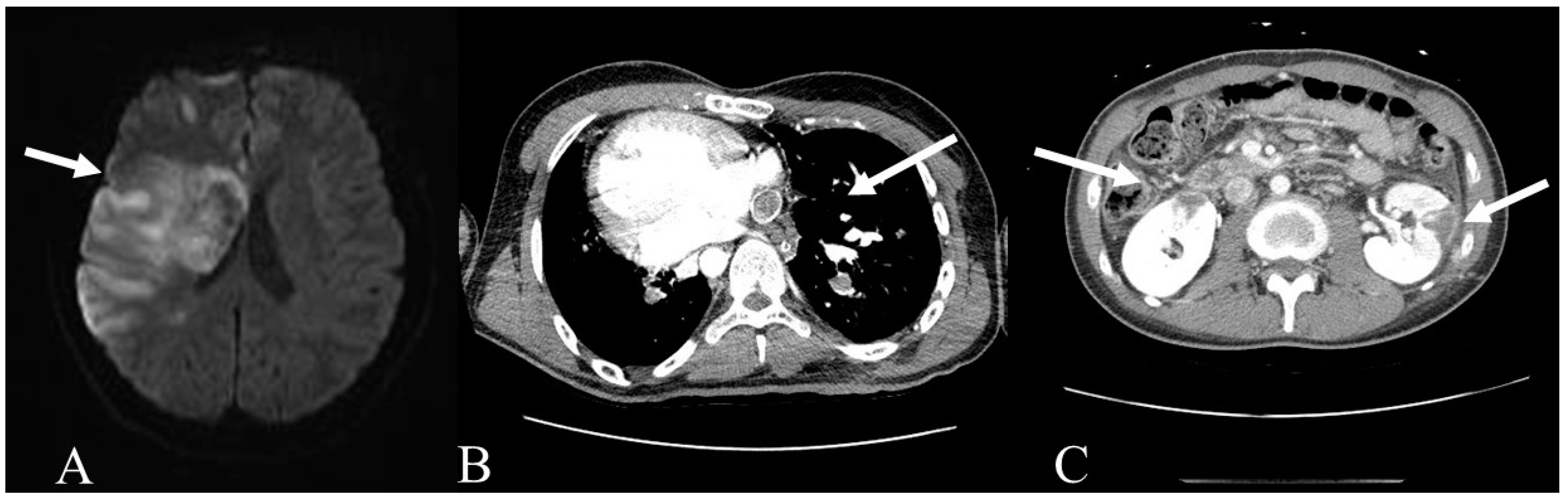
2. Case Report
3. Discussion
4. Conclusions
Author Contributions
Funding
Institutional Review Board Statement
Informed Consent Statement
Data Availability Statement
Conflicts of Interest
Disclosures
References
- Monagle, P.; Cochrane, A.; Roberts, R.; Manlhiot, C.; Weintraub, R.; Szechtman, B.; Hughes, M.; Andrew, M.; McCrindle, B.W.; Fontan Anticoagulation Study, G. A multicenter, randomized trial comparing heparin/warfarin and acetylsalicylic acid as primary thromboprophylaxis for 2 years after the Fontan procedure in children. J. Am. Coll. Cardiol. 2011, 58, 645–651. [Google Scholar] [CrossRef] [PubMed]
- Jacobs, M.L.; Pourmoghadam, K.K.; Geary, E.M.; Reyes, A.T.; Madan, N.; McGrath, L.B.; Moore, J.W. Fontan’s operation: Is aspirin enough? Is coumadin too much? Ann. Thorac. Surg. 2002, 73, 64–68. [Google Scholar] [CrossRef]
- Writing Group Members; January, C.T.; Wann, L.S.; Calkins, H.; Chen, L.Y.; Cigarroa, J.E.; Cleveland, J.C., Jr.; Ellinor, P.T.; Ezekowitz, M.D.; Field, M.E.; et al. 2019 AHA/ACC/HRS focused update of the 2014 AHA/ACC/HRS guideline for the management of patients with atrial fibrillation: A Report of the American College of Cardiology/American Heart Association Task Force on Clinical Practice Guidelines and the Heart Rhythm Society. Heart Rhythm 2019, 16, e66–e93. [Google Scholar] [CrossRef] [PubMed]
- Eikelboom, J.W.; Connolly, S.J.; Brueckmann, M.; Granger, C.B.; Kappetein, A.P.; Mack, M.J.; Blatchford, J.; Devenny, K.; Friedman, J.; Guiver, K.; et al. Dabigatran versus warfarin in patients with mechanical heart valves. N. Engl. J. Med. 2013, 369, 1206–1214. [Google Scholar] [CrossRef] [PubMed]
- Glader, E.L.; Sjölander, M.; Eriksson, M.; Lundberg, M. Persistent use of secondary preventive drugs declines rapidly during the first 2. Stroke 2010, 41, 397–401. [Google Scholar] [CrossRef] [PubMed]
- Salmasi, S.; Loewen, P.S.; Tandun, R.; Andrade, J.G.; De Vera, M.A. Adherence to oral anticoagulants among patients with atrial fibrillation: A systematic review and meta-analysis of observational studies. BMJ Open 2020, 10, e034778. [Google Scholar] [CrossRef] [PubMed]
- Caturano, A.; Galiero, R.; Pafundi, P.C. Atrial Fibrillation and Stroke. A Review on the Use of Vitamin K Antagonists and Novel Oral Anticoagulants. Medicina 2019, 55, 617. [Google Scholar] [CrossRef] [PubMed]
- Attard, C.; Huang, J.; Monagle, P.; Ignjatovic, V. Pathophysiology of thrombosis and anticoagulation post Fontan surgery. Thromb. Res. 2018, 172, 204–213. [Google Scholar] [CrossRef] [PubMed]
- Pina, L.M.; Dong, X.; Zhang, L.; Samtani, M.N.; Michelson, A.D.; Justino, H.; Bonnet, D.; Harris, K.C.; Jefferies, J.; McCrindle, B.W.; et al. Rivaroxaban, a direct Factor Xa inhibitor, versus acetylsalicylic acid as thromboprophylaxis in children post-Fontan procedure: Rationale and design of a prospective, randomized trial (the UNIVERSE study). Am. Heart J. 2019, 213, 97–104. [Google Scholar] [CrossRef] [PubMed]
- Georgekutty, J.; Kazerouninia, A.; Wang, Y.; Ermis, P.R.; Parekh, D.R.; Franklin, W.J.; Lam, W.W. Novel oral anticoagulant use in adult Fontan patients: A single center experience. Congenit. Heart Dis. 2018, 13, 541–547. [Google Scholar] [CrossRef] [PubMed]

Publisher’s Note: MDPI stays neutral with regard to jurisdictional claims in published maps and institutional affiliations. |
© 2021 by the authors. Licensee MDPI, Basel, Switzerland. This article is an open access article distributed under the terms and conditions of the Creative Commons Attribution (CC BY) license (https://creativecommons.org/licenses/by/4.0/).
Share and Cite
Park, J.; Hong, B.-Y.; Kim, J.-S.; Park, J.-G.; Jung, J.; Lim, S.-H. Could DOAC Be a Better Choice Than Warfarin in Low Compliance Patients with Fontan Procedure? Medicina 2021, 57, 465. https://doi.org/10.3390/medicina57050465
Park J, Hong B-Y, Kim J-S, Park J-G, Jung J, Lim S-H. Could DOAC Be a Better Choice Than Warfarin in Low Compliance Patients with Fontan Procedure? Medicina. 2021; 57(5):465. https://doi.org/10.3390/medicina57050465
Chicago/Turabian StylePark, Jisoo, Bo-Young Hong, Joon-Sung Kim, Jung-Geun Park, Jiyoon Jung, and Seong-Hoon Lim. 2021. "Could DOAC Be a Better Choice Than Warfarin in Low Compliance Patients with Fontan Procedure?" Medicina 57, no. 5: 465. https://doi.org/10.3390/medicina57050465
APA StylePark, J., Hong, B.-Y., Kim, J.-S., Park, J.-G., Jung, J., & Lim, S.-H. (2021). Could DOAC Be a Better Choice Than Warfarin in Low Compliance Patients with Fontan Procedure? Medicina, 57(5), 465. https://doi.org/10.3390/medicina57050465

