A Huge Hemorrhagic Epidermoid Cyst of the Perineum with Hypoechoic Semisolid Ultrasonographic Feature Mimicking Scar Endometriosis
Abstract
1. Introduction
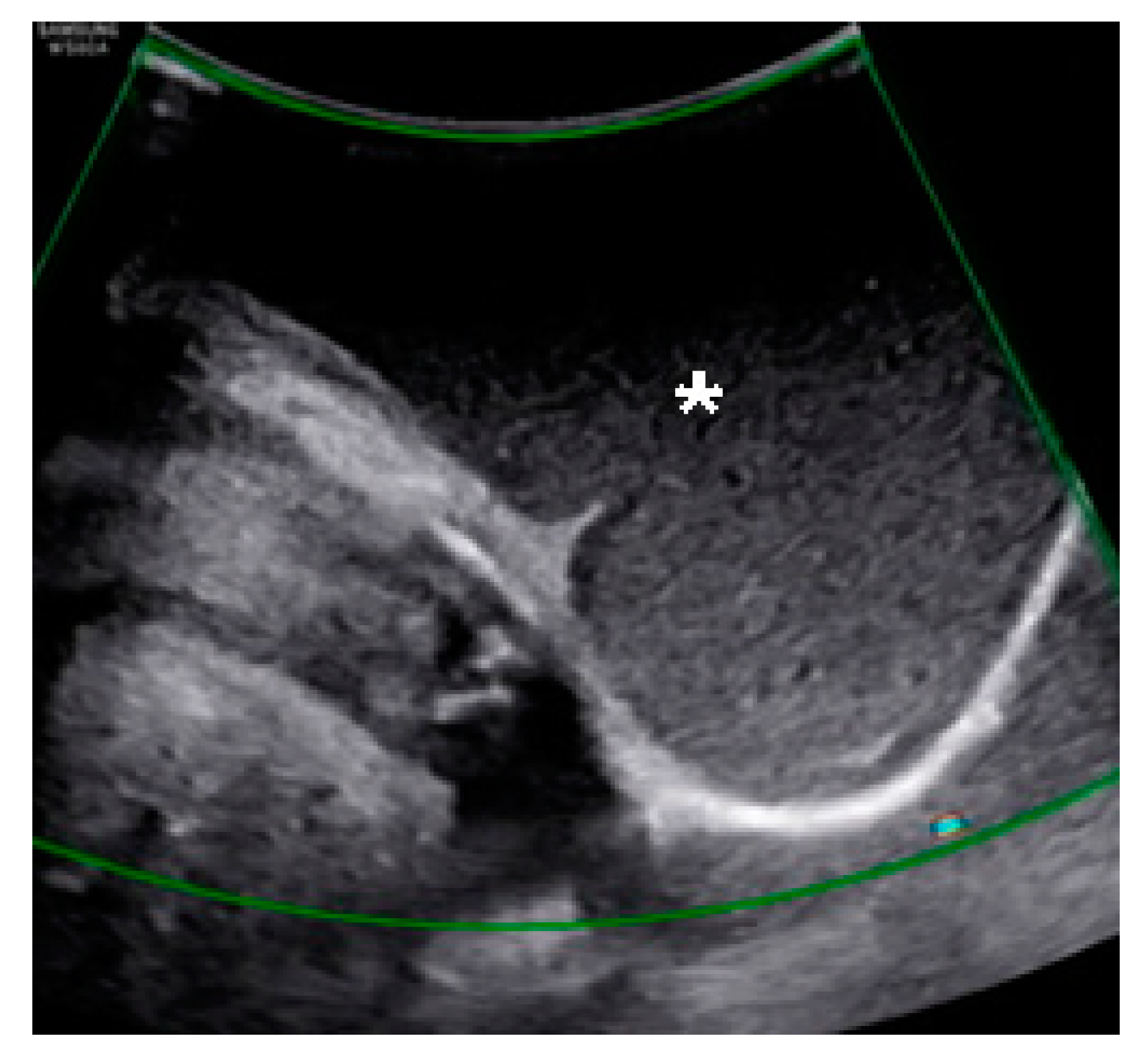
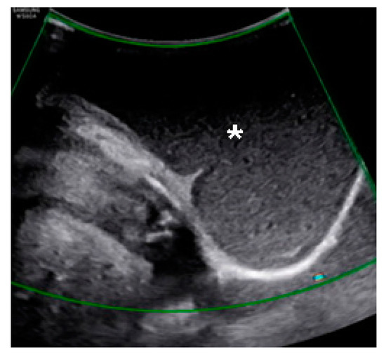
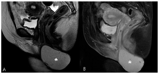
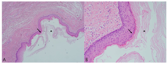
2. Case
3. Discussion
4. Conclusions
Author Contributions
Funding
Institutional Review Board Statement
Informed Consent Statement
Data Availability Statement
Acknowledgments
Conflicts of Interest
References
- Nigam, J.S.; Bharti, J.N.; Nair, V.; Gargade, C.B.; Deshpande, A.H.; Dey, B.; Singh, A. Epidermal cysts: A clinicopathological analysis with emphasis on unusual findings. Int. J. Trichol. 2017, 9, 108. [Google Scholar]
- Kirkham, N. Tumors and cysts of the epidemis. Lever’s Histopathol. Skin 1997, 685–746. [Google Scholar]
- Turkay, R.; Caymaz, I.; Yildiz, B.; Livaoglu, A.; Turkey, B.; Bakir, B. A rare case of epidermoid cyst of perineum: Diffusion-weighted MRI and ultrasonography findings. Radiol. Case Rep. 2013, 8, 593. [Google Scholar] [CrossRef] [PubMed][Green Version]
- Saeed, U.; Mazhar, N. Epidermoid cyst of perineum: A rare case in a young female. BJR Case Rep. 2016, 20150352. [Google Scholar] [CrossRef]
- Park, J.S.; Ko, D.K. A histopathologic study of epidermoid cysts in Korea: Comparison between ruptured and unruptured epidermal cyst. Int. J. Clin. Exp. Pathol. 2013, 6, 242. [Google Scholar]
- Fedele, L.; Fontana, E.; Bianchi, S.; Frontino, G.; Berlanda, N. An unusual case of clitoromegaly. Eur. J. Obstetr. Gynecol. Reprod. Biol. 2008, 140, 287–288. [Google Scholar] [CrossRef]
- Schmidt, A.; Lang, U.; Kiess, W. Epidermal cyst of the clitoris: A rare cause of clitorimegaly. Eur. J. Obstetr. Gynecol. Reprod. Biol. 1999, 87, 163–165. [Google Scholar] [CrossRef]
- Paulus, Y.M.; Wong, A.E.; Chen, B.; Jacobson, M.T. Preputial epidermoid cyst: An atypical case of acquired pseudoclitoromegaly. J. Lower Gen. Tract Dis. 2010, 14, 382–386. [Google Scholar] [CrossRef]
- Kroll, G.L.; Miller, L. Vulvar epithelial inclusion cyst as a late complication of childhood female traditional genital surgery. Am. J. Obstetr. Gynecol. 2000, 183, 509–510. [Google Scholar] [CrossRef] [PubMed]
- Karaman, E.; Çim, N.; Akdemir, Z.; Elçi, E.; Akdeniz, H. Giant vulvar epidermoid cyst in an adolescent girl. Case Rep. Obstetr. Gynecol. 2015, 2015. [Google Scholar] [CrossRef]
- Yang, W.-C.; Huang, W.-C.; Yang, J.-M.; Lee, F.-K. Successful management of a giant primary epidermoid cyst arising in the labia majora. Taiwanese J. Obstetr. Gynecol. 2012, 51, 112–114. [Google Scholar] [CrossRef]
- Pereira, N.; Guilfoil, D.S. Excision of an enlarging vaginal epidermal inclusion cyst during pregnancy: A case report. J. Lower Gen. Tract Dis. 2012, 16, 322–324. [Google Scholar] [CrossRef] [PubMed]
- Lee, H.S.; Joo, K.B.; Song, H.T.; Kim, Y.S.; Park, D.W.; Park, C.K.; Lee, W.M.; Park, Y.W.; Koo, J.H.; Song, S.Y. Relationship between sonographic and pathologic findings in epidermal inclusion cysts. J. Clin. Ultrasound 2001, 29, 374–383. [Google Scholar] [CrossRef] [PubMed]
- Meiches, M.D.; Nurenberg, P. Sonographic appearance of a calcified simple epidermoid cyst of the testis. J. Clin. Ultrasound 1991, 19, 498–500. [Google Scholar] [CrossRef] [PubMed]
- Xu, S.; Wang, W.; Sun, L.P. Comparison of clear cell carcinoma and benign endometriosis in episiotomy scar-two cases report and literature review. BMC Women’s Health 2020, 20, 1–6. [Google Scholar] [CrossRef]
- Shibata, T.; Hatori, M.; Satoh, T.; Ehara, S.; Kokubun, S. Magnetic resonance imaging features of epidermoid cyst in the extremities. Arch. Orthopaedic. Trauma Surg. 2003, 123, 239–241. [Google Scholar] [CrossRef]
- Larrabee, R.; Kylander, D.J. Benign vulvar disorders: Identifying features, practical management of nonneoplastic conditions and tumors. Postgrad. Med. 2001, 109, 151–164. [Google Scholar] [CrossRef] [PubMed]
- Miranda, J.J.; Shahabi, S.; Salih, S.; Bahtiyar, O.M. Vulvar syringoma, report of a case and review of the literature. Yale J. Biol. Med. 2002, 75, 207. [Google Scholar]
- Nucci, M.R.; Fletcher, C. Liposarcoma (atypical lipomatous tumors) of the vulva: A clinicopathologic study of six cases. Int. J. Gynecol. Pathol. 1998, 17, 17–23. [Google Scholar] [CrossRef] [PubMed]
- Rogers, R.; Thorp, J., Jr. Liposarcoma of the vulva: A case report. J. Reprod. Med. 1995, 40, 863–864. [Google Scholar] [PubMed]
- Pehlivan, M.; Özbay, P.Ö.; Temur, M.; Yılmaz, Ö.; Gümüş, Z.; Güzel, A. Epidermal cyst in an unusual site: A case report. Int. J. Surg. Case Rep. 2015, 8, 114–116. [Google Scholar] [CrossRef]
- Çelik, N.; Yalçin, S.; Güçer, S.; Karnak, İ. Clitoral epidermoid cyst secondary to blunt trauma in a 9-year-old child. Turk. J. Pediatr. 2011, 53, 108. [Google Scholar]
- Hughes, J.W.; Guess, M.K.; Hittelman, A.; Yip, S.; Astle, J.; Pal, L.; Inzucchi, S.E.; Dulay, A.T. Clitoral epidermoid cyst presenting as pseudoclitoromegaly of pregnancy. AJP Rep. 2013, 3, 57. [Google Scholar] [PubMed]
- Hsieh, C.; Huang, K.; Kao, M.; Peng, S.; Wang, C. Hemorrhage in intracranial epidermoid cyst. J. Formosan Med. Assoc. 1996, 95, 173–175. [Google Scholar] [PubMed]
- Dong, A.; Wang, Y.; Lu, J.; Zuo, C. FDG uptake in splenic epidermoid cyst with hemorrhage. Clin. Nuclear Med. 2014, 39, 339–341. [Google Scholar] [CrossRef] [PubMed]






Publisher’s Note: MDPI stays neutral with regard to jurisdictional claims in published maps and institutional affiliations. |
© 2021 by the authors. Licensee MDPI, Basel, Switzerland. This article is an open access article distributed under the terms and conditions of the Creative Commons Attribution (CC BY) license (http://creativecommons.org/licenses/by/4.0/).
Share and Cite
Nam, G.; Lee, S.R.; Eum, H.R.; Kim, S.H.; Chae, H.D.; Kim, G.J. A Huge Hemorrhagic Epidermoid Cyst of the Perineum with Hypoechoic Semisolid Ultrasonographic Feature Mimicking Scar Endometriosis. Medicina 2021, 57, 276. https://doi.org/10.3390/medicina57030276
Nam G, Lee SR, Eum HR, Kim SH, Chae HD, Kim GJ. A Huge Hemorrhagic Epidermoid Cyst of the Perineum with Hypoechoic Semisolid Ultrasonographic Feature Mimicking Scar Endometriosis. Medicina. 2021; 57(3):276. https://doi.org/10.3390/medicina57030276
Chicago/Turabian StyleNam, Gina, Sa Ra Lee, Hye Rim Eum, Sung Hoon Kim, Hee Dong Chae, and Gwang Jun Kim. 2021. "A Huge Hemorrhagic Epidermoid Cyst of the Perineum with Hypoechoic Semisolid Ultrasonographic Feature Mimicking Scar Endometriosis" Medicina 57, no. 3: 276. https://doi.org/10.3390/medicina57030276
APA StyleNam, G., Lee, S. R., Eum, H. R., Kim, S. H., Chae, H. D., & Kim, G. J. (2021). A Huge Hemorrhagic Epidermoid Cyst of the Perineum with Hypoechoic Semisolid Ultrasonographic Feature Mimicking Scar Endometriosis. Medicina, 57(3), 276. https://doi.org/10.3390/medicina57030276

