Abdominal Wall Endometriosis: Two Case Reports and Literature Review
Abstract
1. Introduction
2. Patients
2.1. Case 1
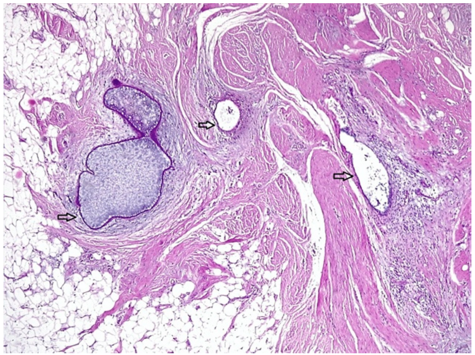
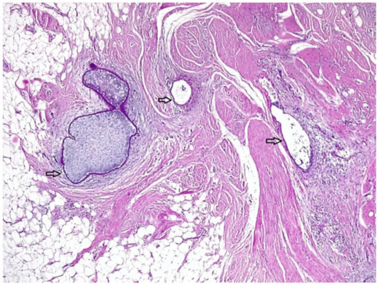
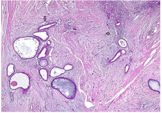
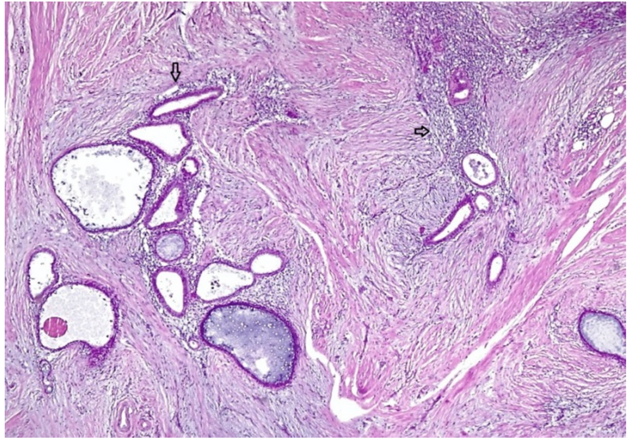
2.2. Case 2
3. Discussion
4. Conclusions
Author Contributions
Funding
Acknowledgments
Conflicts of Interest
References
- Nezhat, F.R.; Shamshirsaz, A.A.; Yildirim, G.; Nezhat, C.; Nezhat, C. Pelvic pain, endometriosis, and the role of the gynecologist. Pediatr. Adolesc. Young Adult Gynecol. 2009, 174–193. [Google Scholar] [CrossRef]
- Sampson, J.A. Heterotopic or misplaced endometrial tissue. Am. J. Obstet. Gynecol. 1925, 10, 649–664. [Google Scholar] [CrossRef]
- Figueira, P.G.M.; Abrão, M.S.; Krikun, G.; Taylor, H.S. Stem cells in endometrium and their role in the pathogenesis of endometriosis. Ann. N. Y. Acad. Sci. 2011, 1221, 10–17. [Google Scholar] [CrossRef]
- Burney, R.O.; Giudice, L.C. Pathogenesis and pathophysiology of endometriosis. Fertil. Steril. 2012, 98, 511–519. [Google Scholar] [CrossRef] [PubMed]
- Guo, S.-W. Epigenetics of endometriosis. Mol. Hum. Reprod. 2009, 15, 587–607. [Google Scholar] [CrossRef] [PubMed]
- Francica, G.; Giardiello, C.; Angelone, G.; Cristiano, S.; Finelli, R.; Tramontano, G. Abdominal wall endometriomas near cesarean delivery scars. J. Ultrasound Med. 2003, 22, 1041–1047. [Google Scholar] [CrossRef] [PubMed]
- Ramdani, A.; Rais, K.; Rockson, O.; Serji, B.; El Harroudi, T. Parietal mass: Two case reports of rare cesarean scar endometriosis. Cureus 2020, 12, e6918. [Google Scholar] [CrossRef]
- Patterson, G.K.; Winburn, G.B. Abdominal wall endometriomas: Report of eight cases. Am. Surg. 1999, 65, 36–39. [Google Scholar]
- Blanco, R.G.; Parithivel, V.S.; Shah, A.K.; Gumbs, M.A.; Schein, M.; Gerst, P.H. Abdominal wall endometriomas. Am. J. Surg. 2003, 185, 596–598. [Google Scholar] [CrossRef]
- Uzunçakmak, C.; Güldaş, A.; Ozçam, H.; Dinç, K. Scar endometriosis: A case report of this uncommon entity and review of the literature. Case Rep. Obstet. Gynecol. 2013, 386783. [Google Scholar] [CrossRef][Green Version]
- Bergqvist, A. Different types of extragenital endometriosis: A review. Gynecol. Endocrinol. 1993, 7, 207–221. [Google Scholar] [CrossRef] [PubMed]
- Koger, K.E.; Shatney, C.H.; Hodge, K.; McClenathan, J.H. Surgical scar endometrioma. Surg. Gynecol. Obstet. 1993, 177, 243–246. [Google Scholar] [PubMed]
- Rezvani, M.; Shaaban, A.M.; Kennedy, A.M. The role of multimodality imaging after cesarean delivery. Ultrasound Q. 2015, 31, 5–18. [Google Scholar] [CrossRef] [PubMed]
- Fatnassi, R.; Mkhinini, I.; Khlifi, A.; Kaabia, O.; Khairi, H. Parietal Endometriosis a Caesarian Section Complication. EC Gynaecol. 2015, 1, 7–13. [Google Scholar]
- Bektas, H.; Bilsel, Y.; Sarı, Y.S.; Ersöz, F.; Koç, O.; Deniz, M.; Boran, B.; Huq, G.E. Abdominal wall endometrioma; a 10-year experience and brief review of the literature. J. Surg. Res. 2010, 164, e77–e81. [Google Scholar] [CrossRef]
- Rivlin, M.E. Leuprolide acetate in the management of cesarean scar endometriosis. Obstet. Gynecol. 1995, 85, 838–839. [Google Scholar] [CrossRef]
- Batioglu, S.; Celikkanat, H.; Ugur, M.; Mollamahmutoglu, L.; Yesilyurt, H.; Kundakci, M. The use of GnRH agonists in the treatment of endometriomas with or without drainage. J. Pak. Med. Assoc. 1996, 46, 30–32. [Google Scholar]
- Takeuchi, H.; Kobori, H.; Kikuchi, I.; Sato, Y.; Mitsuhashi, N. A prospective randomized study comparing endocrinological and clinical effects of two types of GnRH agonists in cases of uterine leiomyomas or endometriosis. J. Obstet. Gynaecol. Res. 2000, 26, 325–331. [Google Scholar] [CrossRef]
- Rana, N.; Thomas, S.; Rotman, C.; Dmowski, W. Decrease in the size of ovarian endometriomas during ovarian suppression in stage IV endometriosis. Role of preoperative medical treatment. J. Reprod. Med. 1996, 41, 384–392. [Google Scholar]
- Agarwal, S.K.; Foster, W.G. Reduction in endometrioma size with three months of aromatase inhibition and progestin add-back. BioMed Res. Int. 2015, 2015, 878517. [Google Scholar] [CrossRef][Green Version]
- Seal, S.L.; Kamilya, G.; Mukherji, J.; De, A.; Ghosh, D.; Majhi, A.K. Aromatase inhibitors in recurrent ovarian endometriomas: Report of five cases with literature review. Fertil. Steril. 2011, 95, 291.e15–291.e18. [Google Scholar] [CrossRef] [PubMed]
- Ashfaq, S.; Can, A.S. Danazol. In Treasure Island; StatPearls Publishing: St. Petersburg, FL, USA, 2020. [Google Scholar]
- Murji, A.; Biberoğlu, K.; Leng, J.; Mueller, M.D.; Römer, T.; Vignali, M.; Yarmolinskaya, M. Use of dienogest in endometriosis: A narrative literature review and expert commentary. Curr. Med. Res. Opin. 2020, 36, 895–907. [Google Scholar] [CrossRef] [PubMed]
- Kavoussi, S.K.; Odenwald, K.C.; As-Sanie, S.; Lebovic, D.I. Incidence of ovarian endometrioma among women with peritoneal endometriosis with and without a history of hormonal contraceptive use. Eur. J. Obstet. Gynecol. Reprod. Biol. 2017, 215, 220–223. [Google Scholar] [CrossRef] [PubMed]
- Practice bulletin No. 114: Management of endometriosis. Obstet. Gynecol. 2010, 116.
- Leyland, N.; Casper, R.; Laberge, P.; Singh, S. Endometriosis: Diagnosis and management. J. Obstet. Gynaecol. Can. 2010, 32, 107–134. [Google Scholar] [CrossRef]
- Vercellini, P.; De Matteis, S.; Somigliana, E.; Buggio, L.; Frattaruolo, M.P.; Fedele, L. Long-term adjuvant therapy for the prevention of postoperative endometrioma recurrence: A systematic review and meta-analysis. Acta Obstet. Gynecol. Scand. 2013, 92, 8–16. [Google Scholar] [CrossRef] [PubMed]
- Takamura, M.; Koga, K.; Osuga, Y.; Takemura, Y.; Hamasaki, K.; Hirota, Y.; Yoshino, O.; Taketani, Y. Post-operative oral contraceptive use reduces the risk of ovarian endometrioma recurrence after laparoscopic excision. Hum. Reprod. 2009, 24, 3042–3048. [Google Scholar] [CrossRef]
- Seracchioli, R.; Mabrouk, M.; Frasca, C.; Manuzzi, L.; Montanari, G.; Keramyda, A.; Venturoli, S. Long-term cyclic and continuous oral contraceptive therapy and endometrioma recurrence: A randomized controlled trial. Fertil. Steril. 2010, 93, 52–56. [Google Scholar] [CrossRef]
- Vercellini, P.; Somigliana, E.; Viganò, P.; De Matteis, S.; Barbara, G.; Fedele, L. Post-operative endometriosis recurrence: A plea for prevention based on pathogenetic, epidemiological and clinical evidence. Reprod. Biomed. Online 2010, 21, 259–265. [Google Scholar] [CrossRef]
- Chen, Y.-J.; Hsu, T.-F.; Huang, B.-S.; Tsai, H.-W.; Chang, Y.-H.; Wang, P.-H. Postoperative maintenance levonorgestrel-releasing intrauterine system and endometrioma recurrence: A randomized controlled study. Am. J. Obstet. Gynecol. 2017, 216, 582.e1–582.e9. [Google Scholar] [CrossRef]
- Abou-Setta, A.M.; Houston, B.; Al-Inany, H.G.; Farquhar, C. Levonorgestrel-releasing intrauterine device (LNG-IUD) for symptomatic endometriosis following surgery. Cochrane Database Syst. Rev. 2013, CD005072. [Google Scholar] [CrossRef] [PubMed]
- Cho, S.; Jung, J.A.; Lee, Y.; Kim, H.Y.; Seo, S.K.; Choi, Y.S.; Lee, J.S.; Lee, B.S. Postoperative levonorgestrel-releasing intrauterine system versus oral contraceptives after gonadotropin-releasing hormone agonist treatment for preventing endometrioma recurrence. Acta Obstet. Gynecol. Scand. 2013, 93, 38–44. [Google Scholar] [CrossRef] [PubMed]
- Harada, T.; Momoeda, M.; Taketani, Y.; Hoshiai, H.; Terakawa, N. Low-dose oral contraceptive pill for dysmenorrhea associated with endometriosis: A placebo-controlled, double-blind, randomized trial. Fertil. Steril. 2008, 90, 1583–1588. [Google Scholar] [CrossRef] [PubMed]
- Muneyyirci-Delale, O.; Anopa, J.; Charles, C.; Mathur, D.; Parris, R.; Cutler, J.B.; Salame, G.; Abulafia, O. Medical management of recurrent endometrioma with long-term norethindrone acetate. Int. J. Womens Health 2012, 4, 149–154. [Google Scholar] [CrossRef][Green Version]
- Bozkurt, M.; Çil, A.S.; Bozkurt, D.K. Intramuscular abdominal wall endometriosis treated by ultrasound-guided ethanol injection. Clin. Med. Res. 2014, 12, 160–165. [Google Scholar] [CrossRef]
- Rehmer, J.M.; Flyckt, R.L.; Goodman, L.R.; Falcone, T. Management of endometriomas. Obstet. Gynecol. Surv. 2019, 74, 232–240. [Google Scholar] [CrossRef]
- Hsu, A.L.; Khachikyan, I.; Stratton, P. Invasive and noninvasive methods for the diagnosis of endometriosis. Clin. Obstet. Gynecol. 2010, 53, 413–419. [Google Scholar] [CrossRef]
- Scardapane, A.; Lorusso, F.; Scioscia, M.; Ferrante, A.; Ianora, A.A.S.; Angelelli, G. Standard high-resolution pelvic MRI vs. low-resolution pelvic MRI in the evaluation of deep infiltrating endometriosis. Eur. Radiol. 2014, 24, 2590–2596. [Google Scholar] [CrossRef]
- Bermot, C.; Labauge, P.; Limot, O.; Louboutin, A.; Fauconnier, A.; Huchon, C. Performance of MRI for the detection of anterior pelvic endometriotic lesions. J. Gynecol. Obstet. Hum. Reprod. 2018, 47, 499–503. [Google Scholar] [CrossRef]
- Burkett, B.J.; Cope, A.; Bartlett, D.J.; Burnett, T.L.; Jones, T.; Venkatesh, S.K.; VanBuren, W.M. MRI impacts endometriosis management in the setting of image-based multidisciplinary conference: A retrospective analysis. Abdom. Radiol. 2020, 45, 1829–1839. [Google Scholar] [CrossRef]
- Yap, S.Z.L.; Leathersich, S.; Lu, J.; Fender, L.; Lo, G. Pelvic MRI staging of endometriosis at 3 T without patient preparation or anti-peristaltic: Diagnostic performance outcomes. Eur. J. Radiol. 2018, 105, 72–80. [Google Scholar] [CrossRef]
- Bazot, M.; Jarboui, L.; Ballester, M.; Touboul, C.; Thomassin-Naggara, I.; Daraï, E. The value of MRI in assessing parametrial involvement in endometriosis. Hum. Reprod. 2012, 27, 2352–2358. [Google Scholar] [CrossRef] [PubMed]
- Valentini, A.L.; Gui, B.; Miccò, M.; Mingote, M.C.; Ninivaggi, V.; Guido, M.; Zannoni, G.F.; Marrucci, E.; Bonomo, L. How to improve MRI accuracy in detecting deep infiltrating colorectal endometriosis: MRI findings vs. laparoscopy and histopathology. Radiol. Med. 2014, 119, 291–297. [Google Scholar] [CrossRef] [PubMed]
- Sengul, I.; Sengul, D.; Kahyaoglu, S.; Kahyaoglu, I. Incisional endometriosis: A report of 3 cases. Can. J. Surg. 2009, 52, 444–445. [Google Scholar] [PubMed]
- Bujold, E. The optimal uterine closure technique during cesarean. N. Am. J. Med. Sci. 2012, 4, 362–363. [Google Scholar]





Publisher’s Note: MDPI stays neutral with regard to jurisdictional claims in published maps and institutional affiliations. |
© 2020 by the authors. Licensee MDPI, Basel, Switzerland. This article is an open access article distributed under the terms and conditions of the Creative Commons Attribution (CC BY) license (http://creativecommons.org/licenses/by/4.0/).
Share and Cite
Doroftei, B.; Armeanu, T.; Maftei, R.; Ilie, O.-D.; Dabuleanu, A.-M.; Condac, C. Abdominal Wall Endometriosis: Two Case Reports and Literature Review. Medicina 2020, 56, 727. https://doi.org/10.3390/medicina56120727
Doroftei B, Armeanu T, Maftei R, Ilie O-D, Dabuleanu A-M, Condac C. Abdominal Wall Endometriosis: Two Case Reports and Literature Review. Medicina. 2020; 56(12):727. https://doi.org/10.3390/medicina56120727
Chicago/Turabian StyleDoroftei, Bogdan, Theodora Armeanu, Radu Maftei, Ovidiu-Dumitru Ilie, Ana-Maria Dabuleanu, and Constantin Condac. 2020. "Abdominal Wall Endometriosis: Two Case Reports and Literature Review" Medicina 56, no. 12: 727. https://doi.org/10.3390/medicina56120727
APA StyleDoroftei, B., Armeanu, T., Maftei, R., Ilie, O.-D., Dabuleanu, A.-M., & Condac, C. (2020). Abdominal Wall Endometriosis: Two Case Reports and Literature Review. Medicina, 56(12), 727. https://doi.org/10.3390/medicina56120727

