Low Sensitivity of Admission Lung US Compared to Chest CT for Diagnosis of Lung Involvement in a Cohort of 82 Patients with COVID-19 Pneumonia
Abstract
1. Introduction
2. Materials and Methods
2.1. Study Design
2.2. Clinical Evaluation
2.3. Chest-CT
2.4. Lung US
2.5. Statistical Analysis
3. Results
3.1. Chest-CT Findings
- A total of 12/82 patients (15%) showed focal and sporadic ground-glass opacities (GGOs), not reaching the pleural surface, associated with smooth interlobular and intralobular septal thickening in both lungs (mild disease). This pattern was observed in younger patients (mean age 38.75 ± 5.17 vs. 71.22 ± 10.46, p < 0.0001 and vs. 80.58 ± 9.25, p < 0.0001), with less severe clinical presentations (mean respiratory rate: 14 ± 1 vs. 20 ± 7, p = 0.004 and vs. 39 ± 9, p < 0.0001; mean SpO2: 96 ± 1 vs. 92 ± 1, p < 0.0001 and vs. 88 ± 3, p < 0.0001) and in spontaneous breathing.
- A total of 58/82 patients (71%) showed a moderate disease characterized by bilateral, patchy, or extensive peripheral GGOs, completely or incompletely adherent to pleura, associated with smooth interlobular and intralobular septal thickening (crazy-paving pattern). Patients in this group, mean aged 71.22 ± 10.46, had mild to moderate forms of pneumonia (mean respiratory rate: 20 ± 7; mean SpO2: 92 ± 1). Forty-two required a conventional oxygen therapy, 5 were on HFNC, 10 required a ventilatory support by CPAP, and 1 needed a support by NIV.
- The remaining 12/82 patients (15%) presented bilateral and peripheral dense pulmonary consolidations (severe disease). In 3 of these patients, there was also a mild pleural effusion. The 12 patients in this group were older (mean age 80.58 ± 9.25 vs. 38.75 ± 5.17, p < 0.0001 and 71.22 ± 10.46, p = 0.005) and had more severe disease (mean respiratory rate: 39 ± 9 vs. 14 ± 1, p < 0.0001 and vs. 20 ± 7, p < 0.0001; mean SpO2: 88 ± 3 vs. 96 ± 1, p < 0.0001 and vs. 92 ± 1, p < 0.0001), with co-morbidities including heart failure (12/12, 100%), diabetes (5/12, 42%), and COPD (6/12, 50%). Nine patients needed a ventilatory support by NIV, and 3 suddenly worsened and required immediate intubation.
3.2. LUS Findings
- A total of 39 patients (48%) did not demonstrate any evidence of pulmonary disease on concurrent lung US. At Chest-CT, among these 39 patients, 11 (28%) presented focal and sporadic GGOs, not adherent to the pleural surface, and 28 (72%) a crazy pattern of bilateral, patchy, or extensive peripheral GGOs.
- In only 1 patient, a focal GGO reaching the pleural surface and measuring 20 mm in diameter at Chest-CT was associated with a non-specific smooth subpleural nodulation at US, measuring approximately 9 mm.
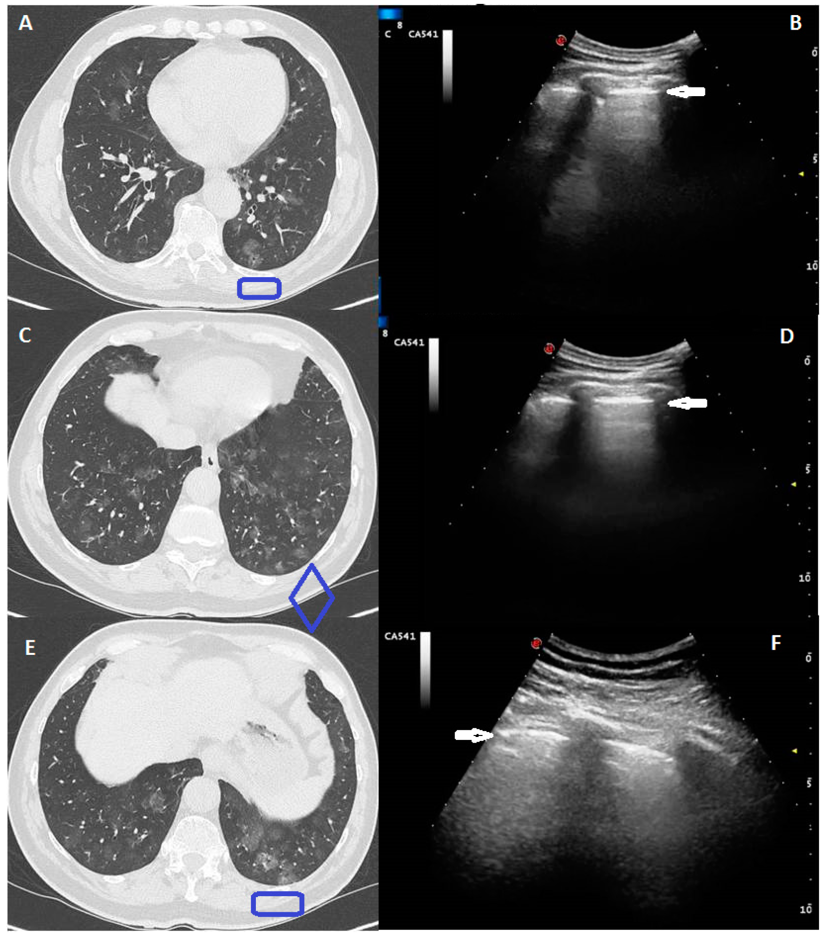
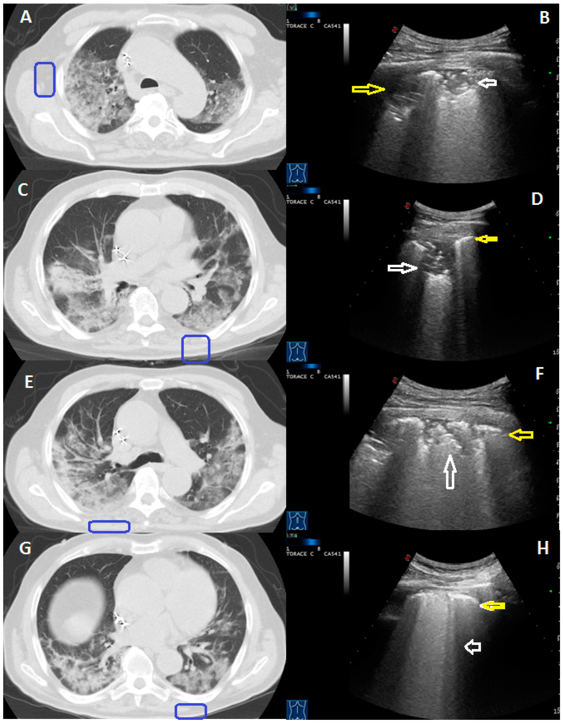
- The Chest-CT crazy pattern of bilateral, patchy, or extensive peripheral GGOs associated with smooth interlobular and intralobular septal thickening was identified at LUS in a total 30/58 patients (52%), with an echographic pattern consisting in a blurred and thickened hyperechoic pleural line, with or without associated subpleural hypoechoic lung striae, and B-lines below the pleural line (Figure 1).
4. Discussion
5. Conclusions
Author Contributions
Funding
Institutional Review Board Statement
Informed Consent Statement
Data Availability Statement
Conflicts of Interest
References
- WHO. Pneumonia of Unknown Cause–China. 2020. Available online: https://www.who.int/csr/don/05-january-2020-pneumonia-of-unkown-cause-china/en/ (accessed on 30 May 2020).
- WHO Announces-COVID-19 Outbreak a Pandemic. 2020. Available online: https://www.euro.who.int/en/health-topics/health-emergencies/coronavirus-covid-19/news/news/2020/3/who-announces-covid-19-outbreak-a-pandemic (accessed on 30 May 2020).
- Cellina, M.; Orsi, M.; Toluian, T.; Pittino, C.V.; Oliva, G. False negative chest X-Rays in patients affected by COVID-19 pneumonia and corresponding chest CT findings. Radiography 2020, 26, e189–e194. [Google Scholar] [CrossRef]
- Fang, Y.; Zhang, H.; Xie, J.; Lin, M.; Ying, L.; Pang, P.; Ji, W. Sensitivity of Chest CT for COVID-19: Comparison to RT-PCR. Radiology 2020, 296, E115–E117. [Google Scholar] [CrossRef]
- Ojha, V.; Mani, A.; Pandey, N.N.; Sharma, S.; Kumar, S. CT in coronavirus disease 2019 (COVID-19): A systematic review of chest CT findings in 4410 adult patients. Eur. Radiol. 2020, 30, 6129–6138. [Google Scholar] [CrossRef] [PubMed]
- Hope, M.D.; Raptis, C.A.; Henry, T.S. Chest Computed Tomography for Detection of Coronavirus Disease 2019 (COVID-19): Don’t Rush the Science. Ann. Intern. Med. 2020, 173, 147–148. [Google Scholar] [CrossRef] [PubMed]
- Raptis, C.A.; Hammer, M.M.; Short, R.G.; Shah, A.; Bhalla, S.; Bierhals, A.J.; Filev, P.D.; Hope, M.D.; Jeudy, J.; Kligerman, S.J.; et al. Chest CT and Coronavirus Disease (COVID-19): A Critical Review of the Literature to Date. Am. J. Roentgenol. 2020, 215, 839–842. [Google Scholar] [CrossRef]
- Sperandeo, M.; Rotondo, A.; Guglielmi, G.; Catalano, D.; Feragalli, B.; Trovato, G.M. Transthoracic ultrasound in the assessment of pleural and pulmonary diseases: Use and limitations. La Radiol. Med. 2014, 119, 729–740. [Google Scholar] [CrossRef]
- Lu, W.; Zhang, S.; Chen, B.; Chen, J.; Xian, J.; Lin, Y.; Shan, H.; Su, Z.Z. A Clinical Study of Noninvasive Assessment of Lung Lesions in Patients with Coronavirus Disease-19 (COVID-19) by Bedside Ultrasound. Ultraschall Med. Eur. J. Ultrasound 2020, 41, 300–307. [Google Scholar] [CrossRef] [PubMed]
- Poggiali, E.; DaCrema, A.; Bastoni, D.; Tinelli, V.; DeMichele, E.; Ramos, P.M.; Marcianò, T.; Silva, M.; Vercelli, A.; Magnacavallo, A. Can Lung US Help Critical Care Clinicians in the Early Diagnosis of Novel Coronavirus (COVID-19) Pneumonia? Radiology 2020, 295, E6. [Google Scholar] [CrossRef]
- Huang, Y.; Wang, S.; Liu, Y.; Zhang, Y.; Zheng, C.; Zheng, Y.; Zhang, C.; Min, W.; Zhou, H.; Yu, M.; et al. A Preliminary Study on the Ultrasonic Manifestations of Peripulmonary Lesions of Non-Critical Novel Coronavirus Pneumonia (COVID-19). SSRN Electron. J. 2020. [Google Scholar] [CrossRef]
- Peng, Q.-Y.; Chinese Critical Care Ultrasound Study Group (CCUSG); Wang, X.-T.; Zhang, L.-N. Findings of lung ultrasonography of novel corona virus pneumonia during the 2019–2020 epidemic. Intensiv. Care Med. 2020, 46, 849–850. [Google Scholar] [CrossRef] [PubMed]
- Quarato, C.M.I.; Venuti, M.; Lacedonia, D.; Simeone, A.; Dimitri, L.M.C.; Rea, G.; Ferragalli, B.; Sperandeo, M. The Role of Transthoracic Ultrasound in the novel Coronavirus Disease (COVID-19): A Reappraisal. Information and Disinformation: Is There Still Place for a Scientific Debate? Front. Med. 2020, 7, 271. [Google Scholar] [CrossRef] [PubMed]
- Bar, S.; Lecourtois, A.; Diouf, M.; Goldberg, E.; Bourbon, C.; Arnaud, E.; Domisse, L.; Dupont, H.; Gosset, P. The association of lung ultrasound images with COVID-19 infection in an emergency room cohort. Anaesthesia 2020, 75, 1620–1625. [Google Scholar] [CrossRef]
- Peyrony, O.; Marbeuf-Gueye, C.; Truong, V.; Giroud, M.; Rivière, C.; Khenissi, K.; Legay, L.; Simonetta, M.; Elezi, A.; Principe, A.; et al. Accuracy of Emergency Department Clinical Findings for Diagnosis of Coronavirus Disease 2019. Ann. Emerg. Med. 2020, 76, 405–412. [Google Scholar] [CrossRef]
- Interim Guidelines for Clinical Specimensfor-COVID-19 CDC. Available online: https://www.cdc.gov/coronavirus/2019-ncov/lab/guidelines-clinical-specimens.html (accessed on 30 May 2020).
- Winck, J.; Scala, R. Non-invasive respiratory support paths in hospitalized patients with COVID-19: Proposal of an algorithm. Pulmonology 2021. [Google Scholar] [CrossRef]
- Simpson, S.; Kay, F.U.; Abbara, S.; Bhalla, S.; Chung, J.H.; Chung, M.; Henry, T.S.; Kanne, J.P.; Kligerman, S.; Ko, J.P.; et al. Radiological Society of North America Expert Consensus Statement on Reporting Chest CT Findings Related to COVID-19. Endorsed by the Society of Thoracic Radiology, the American College of Radiology, and RSNA—Secondary Publication. J. Thorac. Imaging 2020, 35, 219–227. [Google Scholar] [CrossRef] [PubMed]
- Sperandeo, M.; Rea, G. Interstitial Lung Diseases; Springer International Publishing: Berlin, Germany, 2020; pp. 61–82. [Google Scholar]
- Dietrich, C.F.; Hirche, T.O.; Schreiber, D.; Wagner, T.O.F. Ultrasonography of Pleura and Lung. Ultraschall Med. Eur. J. Ultrasound 2003, 24, 303–311. [Google Scholar] [CrossRef] [PubMed]
- Buda, N.; Kosiak, W.; Wełnicki, M.; Skoczylas, A.; Olszewski, R.; Piotrkowski, J.; Skoczyński, S.; Radzikowska, E.; Jassem, E.; Grabczak, E.M.; et al. Recommendations for Lung Ultrasound in Internal Medicine. Diagnostics 2020, 10, 597. [Google Scholar] [CrossRef]
- Kim, H.; Hong, H.; Yoon, S.H. Diagnostic Performance of CT and Reverse Transcriptase Polymerase Chain Reaction for Coronavirus Disease 2019: A Meta-Analysis. Radiology 2020, 296, E145–E155. [Google Scholar] [CrossRef]
- Xu, B.; Xing, Y.; Peng, J.; Zheng, Z.; Tang, W.; Sun, Y.; Xu, C.; Peng, F. Chest CT for detecting COVID-19: A systematic review and meta-analysis of diagnostic accuracy. Eur. Radiol. 2020, 30, 5720–5727. [Google Scholar] [CrossRef]
- Tung-Chen, Y.; de Gracia, M.M.; Díez-Tascón, A.; Alonso-González, R.; Agudo-Fernández, S.; Parra-Gordo, M.L.; Ossaba-Vélez, S.; Rodríguez-Fuertes, P.; Llamas-Fuentes, R. Correlation between Chest Computed Tomography and Lung Ultrasonography in Patients with Coronavirus Disease 2019 (COVID-19). Ultrasound Med. Biol. 2020, 46, 2918–2926. [Google Scholar] [CrossRef] [PubMed]
- Zieleskiewicz, L.; Network, O.B.O.T.A.; Markarian, T.; Lopez, A.; Taguet, C.; Mohammedi, N.; Boucekine, M.; Baumstarck, K.; Besch, G.; Mathon, G.; et al. Comparative study of lung ultrasound and chest computed tomography scan in the assessment of severity of confirmed COVID-19 pneumonia. Intensive Care Med. 2020, 46, 1707–1713. [Google Scholar] [CrossRef]
- Lieveld, A.W.; Kok, B.; Schuit, F.H.; Azijli, K.; Heijmans, J.; van Laarhoven, A.; Assman, N.L.; Kootte, R.S.; Olgers, T.J.; Nanayakkara, P.W.; et al. Diagnosing COVID-19 pneumonia in a pandemic setting: Lung Ultrasound versus CT(LUVCT)-amulticentre, prospective, observational study. ERJ Open Res. 2020, 6. [Google Scholar] [CrossRef]
- Zarrintan, A.; Javadrashid, R.; Tarzamni, M.K.; Zarrintan, A.; Falahatian, M.; Mirza-Aghazadeh-Attari, M. Rapidly progressive COVID-19 viral pneumonia: A report of two patients with a focus on imaging findings. Egypt. J. Radiol. Nucl. Med. 2020, 51, 1–4. [Google Scholar] [CrossRef]
- Xing, C.; Li, Q.; Du, H.; Kang, W.; Lian, J.; Yuan, L. Lung ultrasound findings in patients with COVID-19 pneumonia. Crit. Care 2020, 24, 1–3. [Google Scholar] [CrossRef]
- Yasukawa, K.; Minami, T. Point-of-Care Lung Ultrasound Findings in Patients with COVID-19 Pneumonia. Am. J. Trop. Med. Hyg. 2020, 102, 1198–1202. [Google Scholar] [CrossRef] [PubMed]
- Sperandeo, M.; De Cata, A.; Molinaro, F.; Trovato, F.M.; Catalano, D.; Simeone, A.; Varriale, A.; Martines, G.; Trovato, G.M. Ultrasound signs of pulmonary fibrosis in systemic sclerosis as timely indicators for chest computed tomography. Scand. J. Rheumatol. 2015, 44, 1–10. [Google Scholar] [CrossRef]
- Sperandeo, M.; Filabozzi, P.; Carnevale, V. Ultrasound Diagnosis of Ventilator-Associated Pneumonia. Chest 2016, 149, 1350–1351. [Google Scholar] [CrossRef][Green Version]
- Sperandeo, M.; Varriale, A.; Sperandeo, G.; Polverino, E.; Feragalli, B.; Terracciano, F.; De Sio, I.; Villella, M.; Copetti, M.; Pellegrini, F.; et al. Assessment of ultrasound acoustic artifacts in patients with acute dyspnea: A multicenter study. Acta Radiol. 2012, 53, 885–892. [Google Scholar] [CrossRef] [PubMed]
- Ji, L.; Cao, C.; Lv, Q.; Li, Y.; Xie, M. Serial bedside lung ultrasonography in a critically ill COVID-19 patient. QJM Int. J. Med. 2020, 113, 491–493. [Google Scholar] [CrossRef] [PubMed]
- ACR. Recommendations for the use of Chest Radiography and Computed Tomography (CT) for SuspectedCOVID-19 Infection. American College of Radiology. Available online: https://www.acr.org/Advocacy-and-Economics/ACR-Position-Statements/Recommendations-for-Chest-Radiography-and-CT-for-Suspected-COVID19-Infection (accessed on 30 May 2020).
- Salehi, S.; Abedi, A.; Radmard, A.R.; Sorouri, M.; Gholamrezanezhad, A. Chest Computed Tomography Manifestation of Coronavirus Disease 2019 (COVID-19) in Patients with Cardiothoracic Conditions. J. Thorac. Imaging 2020, 35, W90–W96. [Google Scholar] [CrossRef]
- Lei, J.; Li, J.; Li, X.; Qi, X. CT Imaging of the 2019 Novel Coronavirus (2019-nCoV) Pneumonia. Radiology 2020, 295, 18. [Google Scholar] [CrossRef] [PubMed]
- Mirijello, A.; Zarrelli, M.; Miscio, G.; de Matthaeis, A.; Piscitelli, P.; Carbonelli, C.M.; Di Giorgio, A.; Inglese, M.; Ciliberti, G.L.; Marciano, C.; et al. Diagnosis of COVID-19 in Patients with Negative Nasopharyngeal Swabs: Reliability of Radiological and Clinical Diagnosis and Accuracy versus Serology. Diagnostics 2021, 11, 386. [Google Scholar] [CrossRef]
- Trovato, G.M.; Sperandeo, M. Usefulness of lung ultrasound imaging in COVID-19 pneumonia: The persisting need of safety and evidences. Echocardiography 2020, 37, 1138–1139. [Google Scholar] [CrossRef]
- Kollmann, C. New sonographic techniques for harmonic imaging—Underlying physical principles. Eur. J. Radiol. 2007, 64, 164–172. [Google Scholar] [CrossRef]
- Hangiandreou, N.J. AAPM/RSNA Physics Tutorial for Residents: Topics in US. Radiography 2003, 23, 1019–1033. [Google Scholar] [CrossRef]
- Sperandeo, M.; Trovato, G. Lung Ultrasound in COVID-19 Patients—More Shadows Than Information—Letter to the Editor on the Article “W. LU et al. Ultraschall in Med. 2020 Apr 15.”. Ultraschall Med. Eur. J. Ultrasound 2020, 41, 439–440. [Google Scholar] [CrossRef]


| Demographic Characteristics | |
|---|---|
| Age (mean ± SD) | 67.84 ± 14.01 (20–97) |
| Sex, female (n, %) | 33 (40%) |
| Sex, male (n, %) | 49 (60%) |
| BMI, Kg/m2 (mean ± SD) | 26.92 ± 3.58 (18.07–42.32) |
| Smokers, current or former (n, %) | 11 (13%) |
| Comorbidities | |
| Hypertension (n, %) | 53 (65%) |
| Cardiovascular Diseases (n, %) | 35 (43%) |
| Diabetes (n, %) | 21 (26%) |
| Anamnestic Neoplasm (n, %) | 15 (18%) |
| Autoimmune Disorders (n, %) | 11 (14%) |
| COPD (n, %) Pulmonary Fibrosis (n, %) | 8 (10%) 3 (3%) |
| Symptoms | |
| Fever (n, %) | 62 (76%) |
| Fatigue (n, %) | 59 (72%) |
| Cough (n, %) | 67 (82%) |
| Dyspnea (n, %) | 10 (12%) |
| Respiratory distress (n, %) | 13 (16%) |
| Gastrointestinal symptoms (n, %) | 8 (10%) |
| Ageusia/Anosmia (n, %) | 4 (5%) |
| Conjunctivitis (n, %) | 1 (1%) |
| Onset of symptoms, days (mean ± SD) | 8.56 ± 1.96 (7–14) |
| Physical exam | |
| Body temperature, °C (mean ± SD) | 37.31 ± 0.81 (36.2–39.0) |
| SBP, mmHg (mean ± SD) | 125 ± 13 (90–180) |
| DBP, mmHg (mean ± SD) | 75 ± 10 (50–120) |
| Hearth rate, bpm (mean ± SD) | 93 ± 14 (56–127) |
| Respiratory rate (mean ± SD) | 21 ± 9 (14–50) |
| SpO2, % (mean ± SD) | 92 ± 2 (84–97) |
| Respiratory support required | |
| Spontaneous breathing | 12 (15%) |
| COT | 42 (51%) |
| HFNC | 5 (6%) |
| CPAP | 10 (12%) |
| NIV | 10 (12%) |
| Intubation | 3 (4%) |
| Lung Ultrasound | Chest Computed Tomography | |||
|---|---|---|---|---|
| Focal Ground Glass Opacities (Not Reaching the Pleural Surface) | Peripheral Ground Glass Opacities (“Crazy-Paving” Pattern) | Subpleural Consolidations | Total | |
| No alterations | 11 | 28 | 0 | 39 |
| Thickened and irregular hyperechoic pleural line | 0 | 30 | 0 | 30 |
| ≥3 B-lines (coalescent or not) | 0 | 30 | 0 | |
| Subpleural consolidations | 0 | 0 | 12 | 12 |
| Subpleural hypoechoic nodulation | 1 | 0 | 1 | |
| Total | 12 | 58 | 12 | 82 |
| Sensitivity | 8% (0–38%) | 52% (38–65%) | 100% (74–100%) | 52% (41–64%) |
| Lung Ultrasound | Chest Computed Tomography | |||
|---|---|---|---|---|
| Upper-Middle Zone Predominance | Middle-Lower Zone Predominance | Diffuse Predominance | Total | |
| No alterations | 2 | 6 | 31 | 39 |
| Upper-middle zone | 0 | 0 | 0 | 0 |
| Middle-lower zone | 0 | 23 | 0 | 23 |
| Diffuse | 0 | 0 | 20 | 20 |
| Total | 2 | 29 | 51 | 82 |
| Sensitivity | 0% (0–84%) | 79% (60–92%) | 39% (26–54%) | 52% (41–64%) |
| Lung Ultrasound | Chest Computed Tomography | ||
|---|---|---|---|
| Indeterminate CT Appearance | Typical CT Appearance | Total | |
| No alterations | 11 | 28 | 39 |
| Thickened and irregular hyperechoic pleural line | 0 | 30 | 30 |
| ≥3 B-lines (coalescent or not) | 0 | 30 | |
| Subpleural consolidations | 0 | 12 | 12 |
| Subpleural hypoechoic nodulation | 1 | 1 | |
| Total | 12 | 70 | 82 |
| Sensitivity | 8% (0–38%) | 60% (48–72%) | 52% (41–64%) |
Publisher’s Note: MDPI stays neutral with regard to jurisdictional claims in published maps and institutional affiliations. |
© 2021 by the authors. Licensee MDPI, Basel, Switzerland. This article is an open access article distributed under the terms and conditions of the Creative Commons Attribution (CC BY) license (http://creativecommons.org/licenses/by/4.0/).
Share and Cite
Quarato, C.M.I.; Mirijello, A.; Lacedonia, D.; Russo, R.; Maggi, M.M.; Rea, G.; Simeone, A.; Borelli, C.; Feragalli, B.; Scioscia, G.; et al. Low Sensitivity of Admission Lung US Compared to Chest CT for Diagnosis of Lung Involvement in a Cohort of 82 Patients with COVID-19 Pneumonia. Medicina 2021, 57, 236. https://doi.org/10.3390/medicina57030236
Quarato CMI, Mirijello A, Lacedonia D, Russo R, Maggi MM, Rea G, Simeone A, Borelli C, Feragalli B, Scioscia G, et al. Low Sensitivity of Admission Lung US Compared to Chest CT for Diagnosis of Lung Involvement in a Cohort of 82 Patients with COVID-19 Pneumonia. Medicina. 2021; 57(3):236. https://doi.org/10.3390/medicina57030236
Chicago/Turabian StyleQuarato, Carla Maria Irene, Antonio Mirijello, Donato Lacedonia, Raffaele Russo, Michele Maria Maggi, Gaetano Rea, Annalisa Simeone, Cristina Borelli, Beatrice Feragalli, Giulia Scioscia, and et al. 2021. "Low Sensitivity of Admission Lung US Compared to Chest CT for Diagnosis of Lung Involvement in a Cohort of 82 Patients with COVID-19 Pneumonia" Medicina 57, no. 3: 236. https://doi.org/10.3390/medicina57030236
APA StyleQuarato, C. M. I., Mirijello, A., Lacedonia, D., Russo, R., Maggi, M. M., Rea, G., Simeone, A., Borelli, C., Feragalli, B., Scioscia, G., Barbaro, M. P. F., Massa, V., De Cosmo, S., & Sperandeo, M. (2021). Low Sensitivity of Admission Lung US Compared to Chest CT for Diagnosis of Lung Involvement in a Cohort of 82 Patients with COVID-19 Pneumonia. Medicina, 57(3), 236. https://doi.org/10.3390/medicina57030236

