Perforated Appendicitis and Bowel Incarceration within Morgagni Hernia: A Case Report
Abstract
1. Introduction
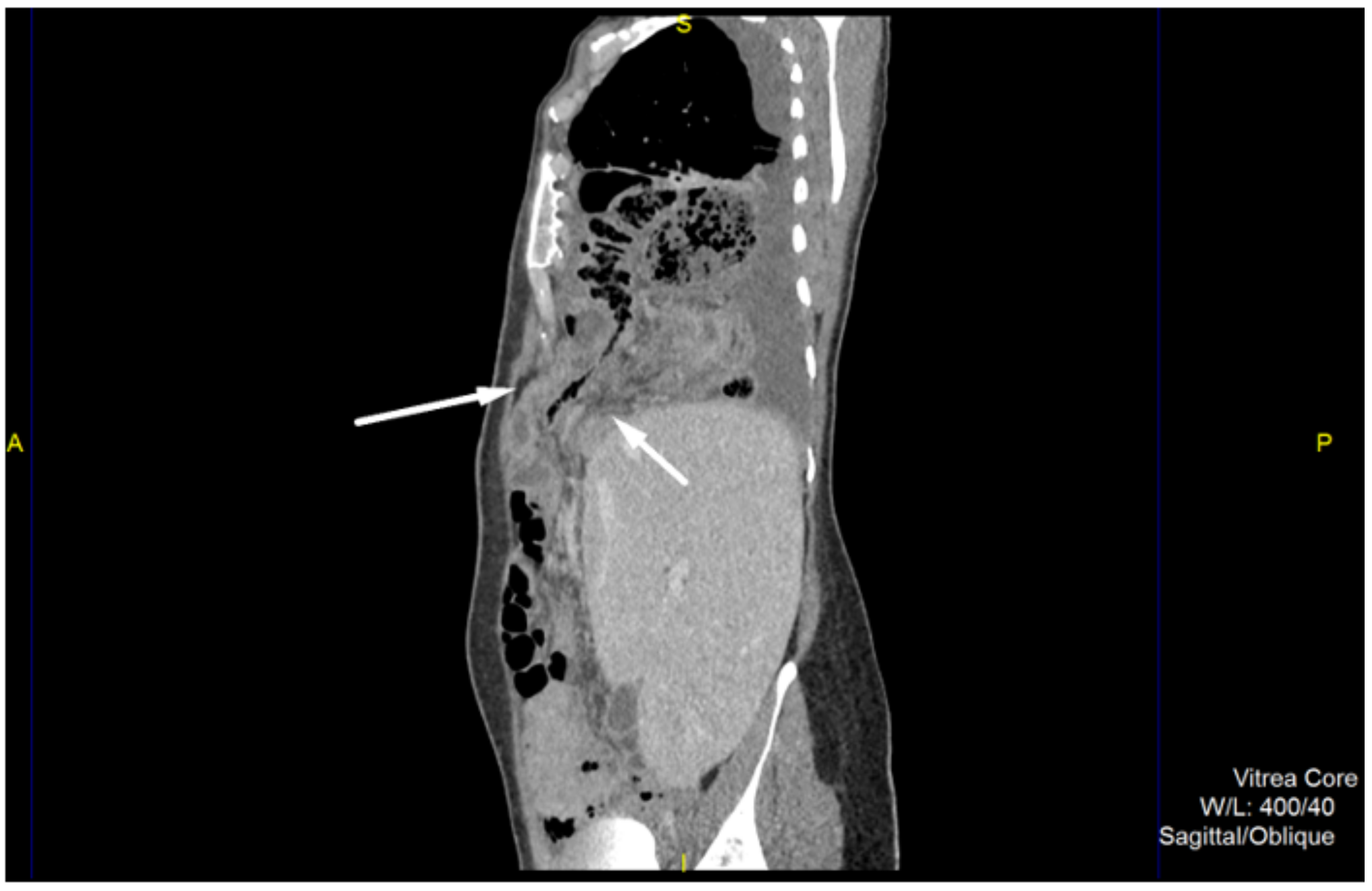
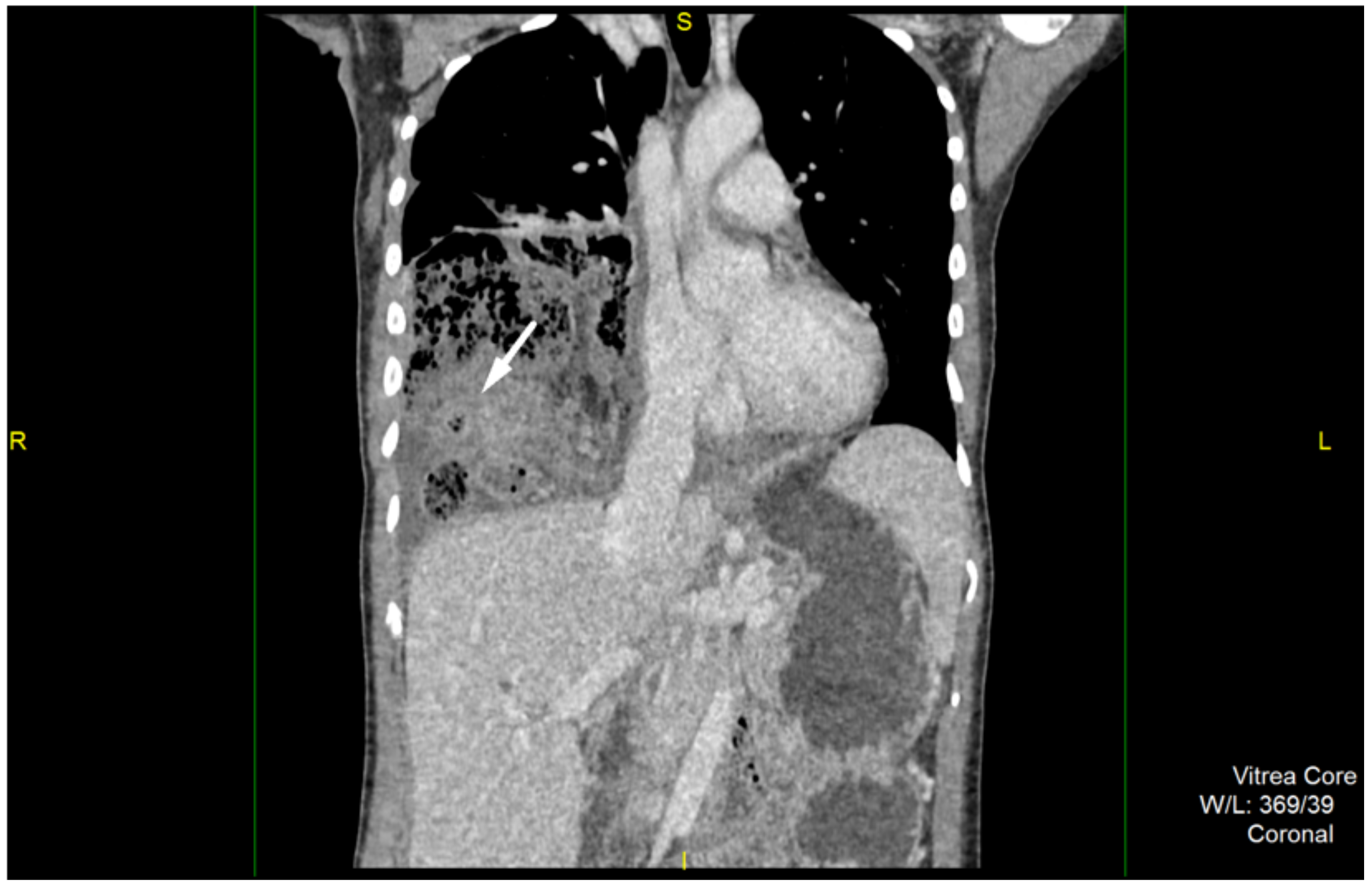
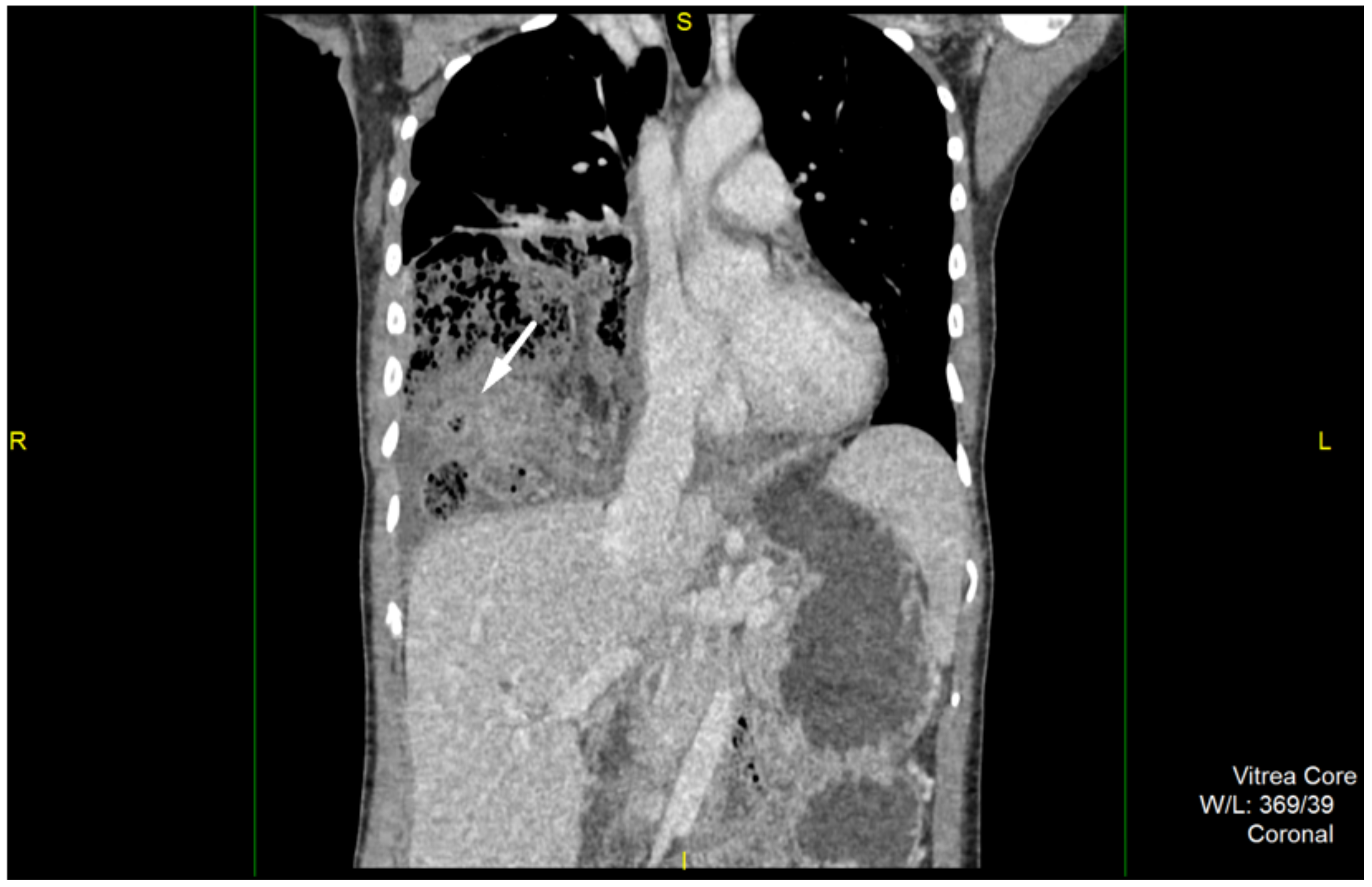
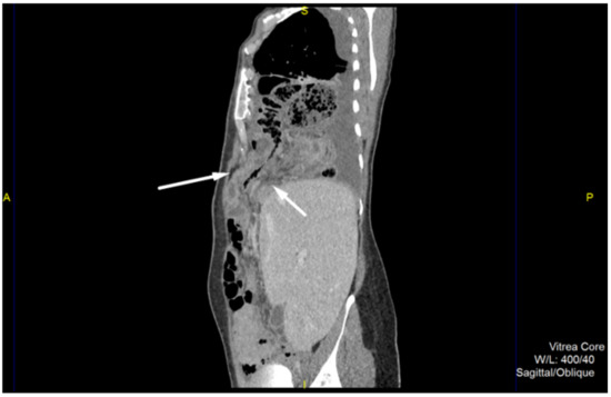
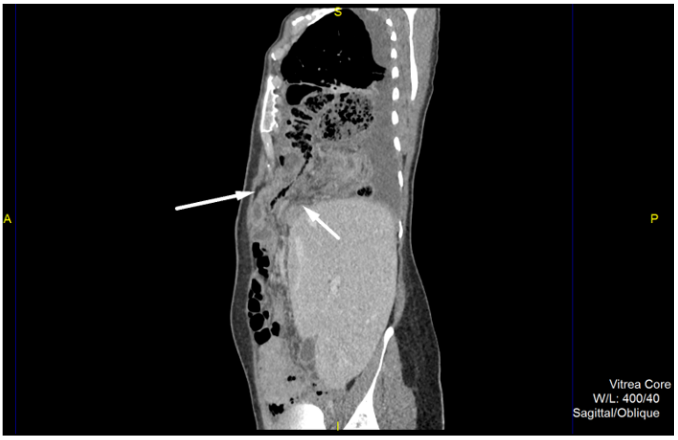
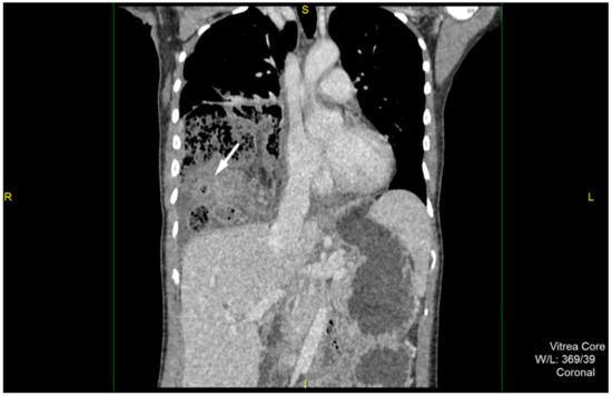
2. Case Report
3. Discussion
4. Conclusions
Author Contributions
Funding
Institutional Review Board Statement
Informed Consent Statement
Data Availability Statement
Conflicts of Interest
References
- Paris, F.; Tarazona, V.; Casillas, M.; Blasco, E.; Canto, A.; Pastor, J.; Acosta, A. Hernia of morgagni. Thorax 1973, 28, 631–636. [Google Scholar] [CrossRef] [PubMed]
- Nasr, A.; Fecteau, A. Foramen of morgagni hernia: Presentation and treatment. Thorac. Surg. Clin. 2009, 19, 463–468. [Google Scholar] [CrossRef] [PubMed]
- Al-Salem, A.H.; Zamakhshary, M.; Al Mohaidly, M.; Al-Qahtani, A.; Abdulla, M.R.; Naga, M.I. Congenital Morgagni’s hernia: A national multicenter study. J. Pediatr. Surg. 2014, 49, 503–507. [Google Scholar] [CrossRef] [PubMed]
- Parsons, C.; Naqvi, S.; Wheeler, R. Intra-thoracic appendicitis in a child with Down’s syndrome. J. Pediatr. Surg. 2013, 48, 29–31. [Google Scholar] [CrossRef] [PubMed]
- Bettini, A.; Ulloa, J.G.; Harris, H. Appendicitis within morgagni hernia and simultaneous paraesophageal hernia. BMC Surg. 2015, 15, 15. [Google Scholar] [CrossRef] [PubMed]
- Horton, J.D.; Hofmann, L.J.; Hetz, S.P. Presentation and management of Morgagni hernias in adults: A review of 298 cases. Surg. Endosc. 2008, 22, 1413–1420. [Google Scholar] [CrossRef] [PubMed]
- Iso, Y.; Sawada, T.; Rokkaku, K.; Furihata, T.; Shimada, M.; Kita, J.; Kubota, K. A case of symptomatic Morgagni’s hernia and a review of Morgagni’s hernia in Japan (263 reported cases). Hernia 2006, 10, 521–524. [Google Scholar] [CrossRef] [PubMed]
- Clark, M.E.; Tabak, B.; Schlussel, A.T.; Meadows, J.M.; Andersen, J.D.; Edwards, M.; Zagorski, S.M. Perforated appendicitis within a morgagni hernia: A laparoscopic repair. CRSLS 2014, 75, 1–5. [Google Scholar] [CrossRef][Green Version]
- Schellhaas, E.; Döbler, O.; Kroesen, A.J.; Buhr, H.J.; Hotz, H.G. Gangrenous intrathoracic appendicitis, a rare cause of right- sided chest pain: Report of a case. Surg. Today 2010, 40, 874–877. [Google Scholar] [CrossRef] [PubMed]
- Barakat, M.J.; Vickers, J.H. Necrotic gangrenous intrathoracic appendix in a marfanoid adult patient: A case report. BMC Surg. 2005, 5, 4. [Google Scholar] [CrossRef] [PubMed]
- Arikan, S.; Dogan, M.B.; Kocakusak, A.; Ersoz, F.; Sari, S.; Duzkoylu, Y.; Nayci, A.E.; Ozoran, E.; Tozan, E.; Dubus, T. Morgagni’s hernia: Analysis of 21 patients with our clinical experience in diagnosis and treatment. Indian J. Surg. 2018, 80, 239–244. [Google Scholar] [CrossRef] [PubMed]
- Testini, M.; Girardi, A.; Isernia, R.M.; De Palma, A.; Catalano, G.; Pezzolla, A.; Gurrado, A. Emergency surgery due to diaphragmatic hernia: Case series and review. World J. Emerg. Surg. 2019, 14, 48. [Google Scholar] [CrossRef] [PubMed]
- Young, M.C.; Saddoughi, S.A.; Aho, J.M.; Harmsen, W.S.; Allen, M.S.; Blackmon, S.H.; Cassivi, S.; Nichols, F.; Shen, R.; Wigle, D.A. Comparison of laparoscopic versus open surgical management of Morgagni hernia. Ann. Thorac. Surg. 2019, 107, 257–261. [Google Scholar] [CrossRef] [PubMed]
- Marin-Blazquez, A.A.; Candel, M.F.; Parra, P.A.; Mendez, M.; Rodenas, J.; Rojas, M.; Carrion, F.; Madrigal, M. Morgagni hernia: Repair with a mesh using laparoscopic surgery. Hernia 2004, 8, 70–72. [Google Scholar] [CrossRef] [PubMed]
- Palanivelu, C.; Rangarajan, M.; Rajapandian, S.; Amar, V.; Parthasarathi, R. Laparoscopic repair of adult diaphragmatic hernias and eventration with primary sutured closure and prosthetic reinforcement: A retrospective study. Surg. Endosc. 2009, 23, 978–985. [Google Scholar] [CrossRef] [PubMed]
- Ulaş, A.B.; Aydın, Y.; Eroğlu, A. Laparoscopic approach in the treatment of Morgagni hernia. Turk. Gogus Kalp Damar. Cerrahisi. Derg. 2020, 28, 514–520. [Google Scholar] [CrossRef] [PubMed]
- Oppelt, P.U.; Askevold, I.; Bender, F.; Liese, J.; Padberg, W.; Hecker, A.; Reichert, M. Morgagni−Larrey diaphragmatic hernia repair in adult patients: A retrospective single-center experience. Hernia 2020, 24, 1–11. [Google Scholar] [CrossRef] [PubMed]
- Sanford, Z.; Weltz, A.S.; Brown, J.; Shockcor, N.; Wu, N.; Park, A.E. Morgagni hernia repair: A review. Surg. Innov. 2018, 25, 389–399. [Google Scholar] [CrossRef] [PubMed]




Publisher’s Note: MDPI stays neutral with regard to jurisdictional claims in published maps and institutional affiliations. |
© 2021 by the authors. Licensee MDPI, Basel, Switzerland. This article is an open access article distributed under the terms and conditions of the Creative Commons Attribution (CC BY) license (http://creativecommons.org/licenses/by/4.0/).
Share and Cite
Mitrovic, M.; Jankovic, A.; Djokic Kovac, J.; Skrobic, O.; Simic, A.; Sabljak, P.; Ivanovic, N. Perforated Appendicitis and Bowel Incarceration within Morgagni Hernia: A Case Report. Medicina 2021, 57, 89. https://doi.org/10.3390/medicina57020089
Mitrovic M, Jankovic A, Djokic Kovac J, Skrobic O, Simic A, Sabljak P, Ivanovic N. Perforated Appendicitis and Bowel Incarceration within Morgagni Hernia: A Case Report. Medicina. 2021; 57(2):89. https://doi.org/10.3390/medicina57020089
Chicago/Turabian StyleMitrovic, Milica, Aleksandra Jankovic, Jelena Djokic Kovac, Ognjan Skrobic, Aleksandar Simic, Predrag Sabljak, and Nenad Ivanovic. 2021. "Perforated Appendicitis and Bowel Incarceration within Morgagni Hernia: A Case Report" Medicina 57, no. 2: 89. https://doi.org/10.3390/medicina57020089
APA StyleMitrovic, M., Jankovic, A., Djokic Kovac, J., Skrobic, O., Simic, A., Sabljak, P., & Ivanovic, N. (2021). Perforated Appendicitis and Bowel Incarceration within Morgagni Hernia: A Case Report. Medicina, 57(2), 89. https://doi.org/10.3390/medicina57020089
