Molecular Proof of a Clinical Concept: Expression of Estrogen Alpha-, Beta-Receptors and G Protein-Coupled Estrogen Receptor 1 (GPER) in Histologically Assessed Common Nevi, Dysplastic Nevi and Melanomas
Abstract
:1. Introduction
2. Materials and Methods
2.1. Study Population
2.2. Inclusion and Exclusion Criteria
2.3. Immunohistochemistry
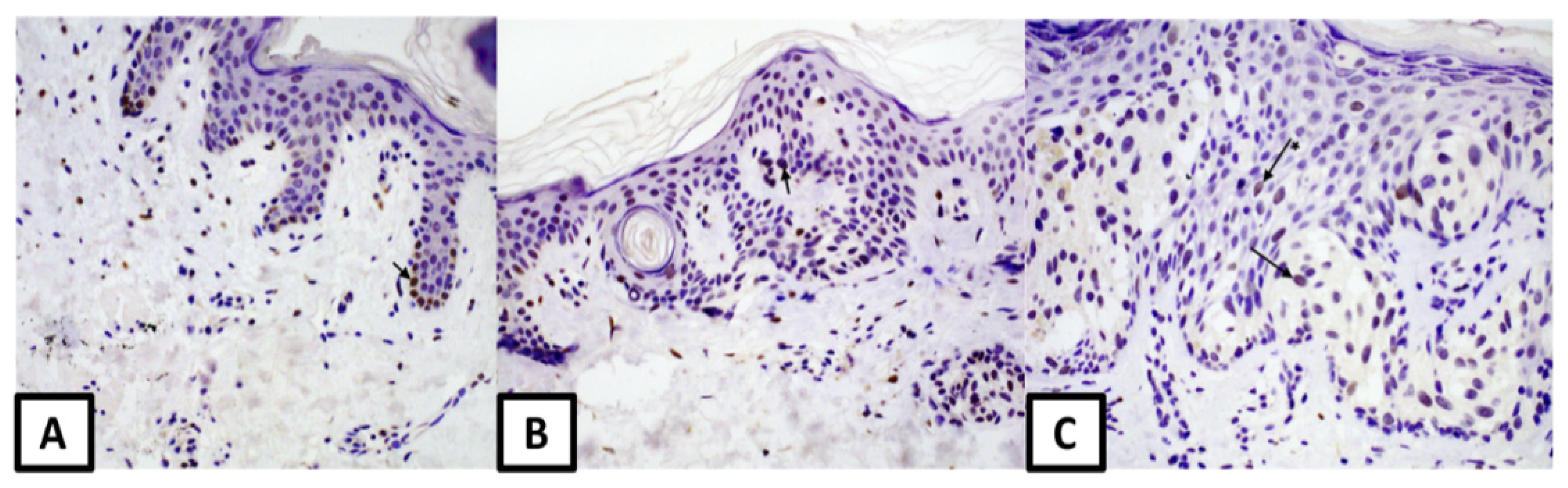
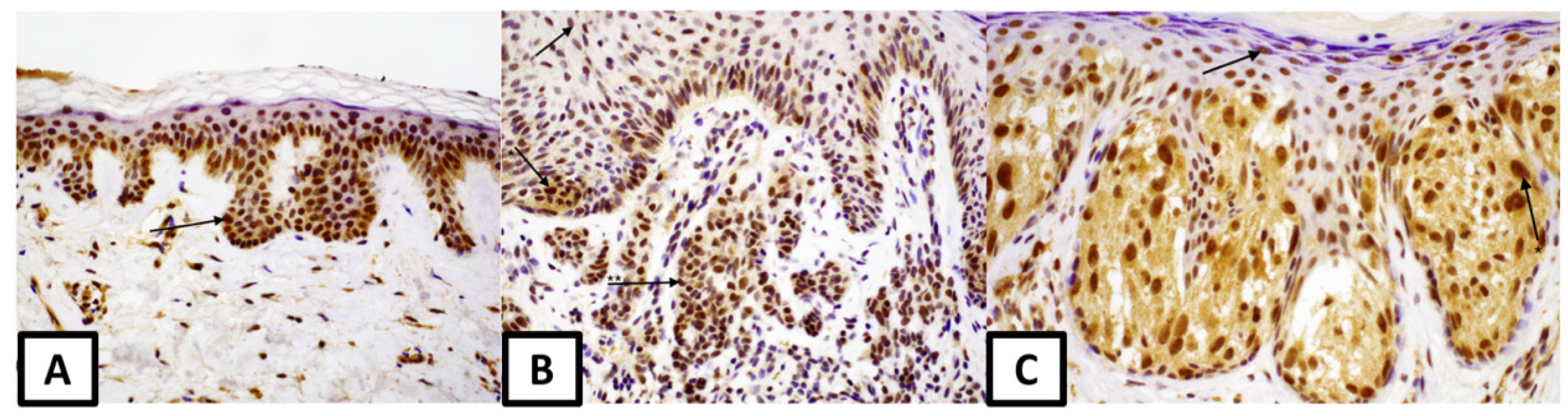
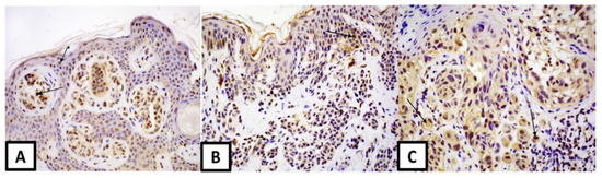
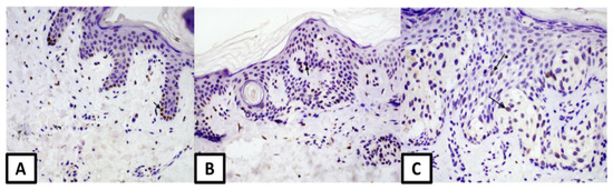
2.4. Assessment of Immunostaining
2.5. Statistical Analysis
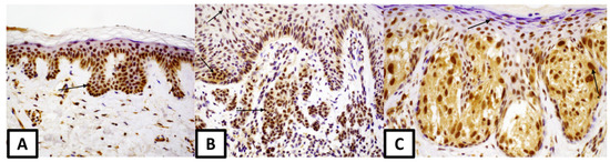
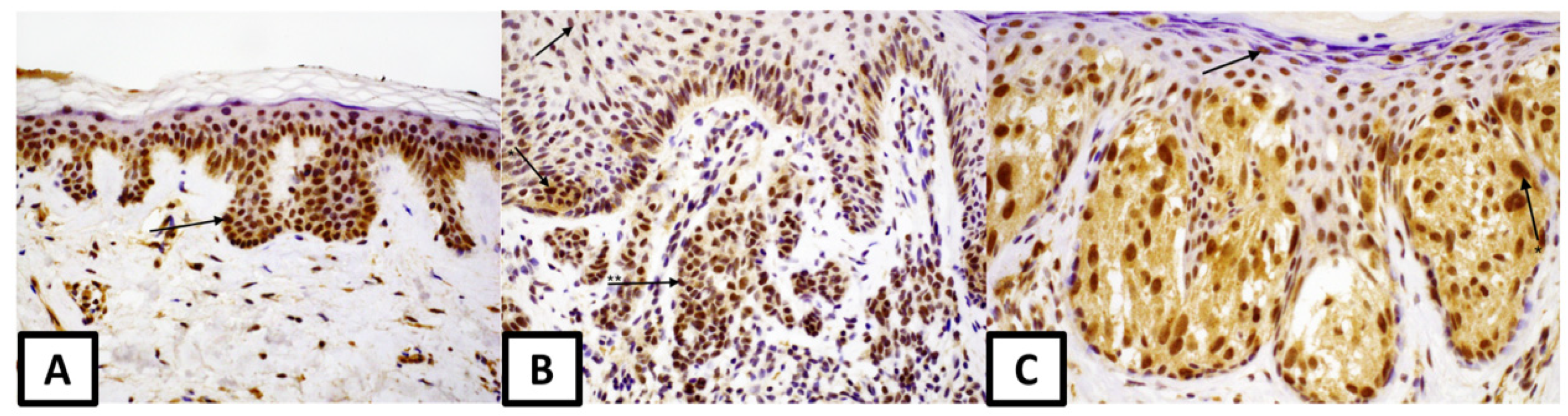
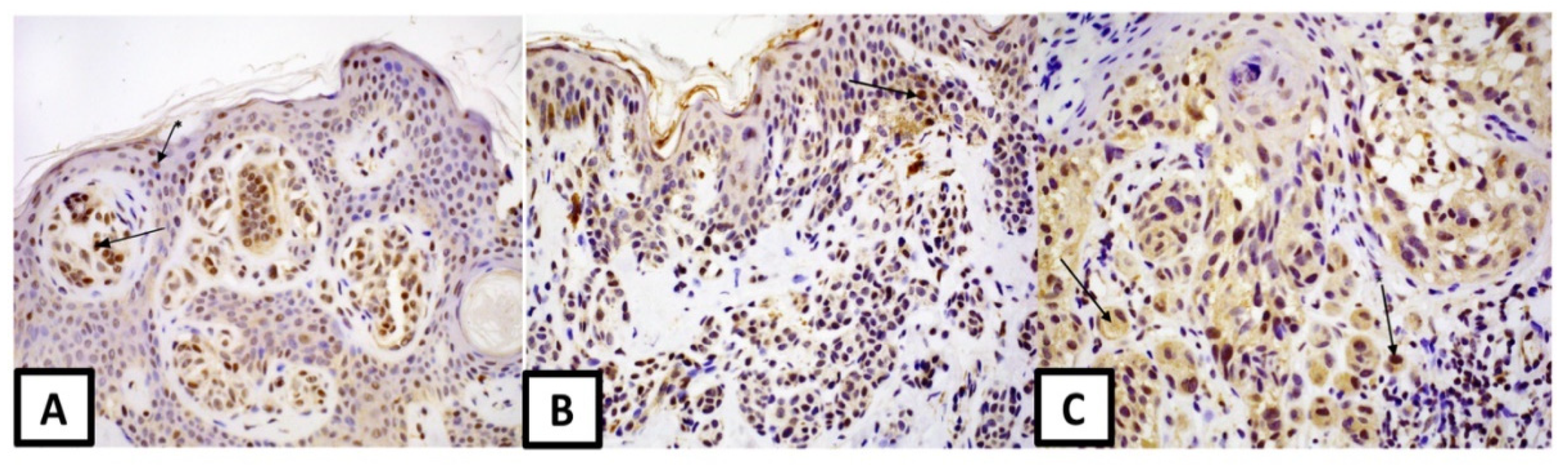
3. Results
4. Discussion
Author Contributions
Funding
Institutional Review Board Statement
Informed Consent Statement
Data Availability Statement
Conflicts of Interest
References
- Yaşar, P.; Ayaz, G.; User, S.D.; Güpür, G.; Muyan, M. Molecular mechanism of estrogen-estrogen receptor signaling. Reprod. Med. Biol. 2016, 16, 4–20. [Google Scholar] [CrossRef] [PubMed]
- Heldring, N.; Pike, A.; Andersson, S.; Matthews, J.; Cheng, G.; Hartman, J.; Tujague, M.; Ström, A.; Treuter, E.; Warner, M.; et al. Estrogen receptors: How do they signal and what are their targets. Physiol. Rev. 2007, 87, 905–931. [Google Scholar] [CrossRef] [PubMed] [Green Version]
- Luo, J.; Liu, D. Does GPER Really Function as a G Protein-Coupled Estrogen Receptor in vivo? Front. Endocrinol. 2020, 11, 148. [Google Scholar] [CrossRef] [PubMed]
- Gregorio, K.C.R.; Laurindo, C.P.; Machado, U.F. Estrogen and Glycemic Homeostasis: The Fundamental Role of Nuclear Estrogen Receptors ESR1/ESR2 in Glucose Transporter GLUT4 Regulation. Cells 2021, 10, 99. [Google Scholar] [CrossRef]
- Gardini, E.S.; Chen, G.G.; Fiacco, S.; Mernone, L.; Willi, J.; Turecki, G.; Ehlert, U. Differential ESR1Promoter Methylation in the Peripheral Blood-Findings from the Women 40+ Healthy Aging Study. Int. J. Mol. Sci. 2020, 21, 3654. [Google Scholar] [CrossRef]
- Brett, J.O.; Spring, L.M.; Bardia, A.; Wander, S.A. ESR1 mutation as an emerging clinical biomarker in metastatic hormone receptor-positive breast cancer. Breast Cancer Res. 2021, 23, 85. [Google Scholar] [CrossRef]
- Englert-Golon, M.; Andrusiewicz, M.; Żbikowska, A.; Chmielewska, M.; Sajdak, S.; Kotwicka, M. Altered Expression of ESR1, ESR2, PELP1 and c-SRC Genes Is Associated with Ovarian Cancer Manifestation. Int. J. Mol. Sci. 2021, 22, 6216. [Google Scholar] [CrossRef]
- Dalewski, B.; Kamińska, A.; Białkowska, K.; Jakubowska, A.; Sobolewska, E. Association of Estrogen Receptor 1 and Tumor Necrosis Factor α Polymorphisms with Temporomandibular Joint Anterior Disc Displacement without Reduction. Dis. Markers 2020, 2, 6351817. [Google Scholar] [CrossRef]
- Li, Y.; Wang, X.; Xu, H.; Li, G.; Huo, Z.; Du, L.; Zhang, K.; Shen, L.; Li, H.; Xu, B. Circ_0040039 May Aggravate Intervertebral Disk Degeneration by Regulating the MiR-874-3p-ESR1 Pathway. Front. Genet. 2021, 2, 656759. [Google Scholar] [CrossRef]
- Kumagai, H.; Miyamoto-Mikami, E.; Hirata, K.; Kikuchi, N.; Kamiya, N.; Hoshikawa, S.; Zempo, H.; Naito, H.; Miyamoto, N.; Fuku, N. ESR1 rs2234693 Polymorphism Is Associated with Muscle Injury and Muscle Stiffness. Med. Sci. Sports Exerc. 2019, 51, 19–26. [Google Scholar] [CrossRef]
- Global Burden of Disease Cancer Collaboration; Fitzmaurice, C.; Abate, D.; Abbasi, N.; Abbastabar, H.; Abd-Allah, F.; Abdel-Rahman, O.; Abdelalim, A.; Abdoli, A.; Abdol-lahpour, I.; et al. Global, Regional, and National Cancer Incidence, Mortality, Years of Life Lost, Years Lived with Disability, and Disability-Adjusted Life-Years for 29 Cancer Groups, 1990 to 2017: A Systematic Analysis for the Global Burden of Disease Study. JAMA Oncol. 2019, 5, 1749–1768. [Google Scholar] [PubMed] [Green Version]
- GBD 2019 Demographics Collaborators. Global age-sex-specific fertility, mortality, healthy life expectancy (HALE), and population estimates in 204 countries and territories, 1950–2019: A comprehensive demographic analysis for the Global Burden of Disease Study 2019. Lancet 2020, 396, 1160–1203. [Google Scholar] [CrossRef]
- GBD 2019 Universal Health Coverage Collaborators. Measuring universal health coverage based on an index of effective coverage of health services in 204 countries and territories, 1990–2019: A systematic analysis for the Global Burden of Disease Study 2019. Lancet 2020, 396, 1250–1284. [Google Scholar] [CrossRef]
- Roh, M.R.; Eliades, P.; Gupta, S.; Grant-Kels, J.M.; Tsao, H. Cutaneous melanoma in women. Int. J. Womens Dermatol. 2017, 3 (Suppl. S1), S11–S15. [Google Scholar] [CrossRef] [PubMed]
- Bradford, P.T.; Anderson, W.F.; Purdue, M.P.; Goldstein, A.M.; Tucker, M.A. Rising melanoma incidence rates of the trunk among younger women in the United States. Cancer Epidemiol. Biomarkers Prev. 2010, 19, 2401–2406. [Google Scholar] [CrossRef] [PubMed] [Green Version]
- Wang, Y.; Zhao, Y.; Ma, S. Racial differences in six major subtypes of melanoma: Descriptive epidemiology. BMC Cancer 2016, 16, 691. [Google Scholar] [CrossRef] [Green Version]
- Rastrelli, M.; Tropea, S.; Rossi, C.R.; Alaibac, M. Melanoma: Epidemiology, risk factors, pathogenesis, diagnosis and classification. In Vivo 2014, 28, 1005–1011. [Google Scholar]
- Damiani, G.; Buja, A.; Grossi, E.; Rivera, M.; De Polo, A.; De Luca, G.; Zorzi, M.; Vecchiato, A.; Del Fiore, P.; Saia, M.; et al. Use of an Artificial Neural Network to Identify Patient Clusters in a Large Cohort of Patients with Melanoma by Simultaneous Analysis of Costs and Clinical Characteristics. Acta Dermato-Venereol. 2020, 100, adv00323. [Google Scholar] [CrossRef]
- Gamba, C.S.; Clarke, C.A.; Keegan, T.H.; Tao, L.; Swetter, S.M. Melanoma survival disadvantage in young, non-Hispanic white males compared with females. JAMA Dermatol. 2013, 149, 912–920. [Google Scholar] [CrossRef] [Green Version]
- Conic, R.R.Z.; Ko, J.; Damiani, G.; Funchain, P.; Knackstedt, T.; Vij, A.; Vidimos, A.; Gastman, B.R. Predictors of sentinel lymph node positivity in thin melanoma using the National Cancer Database. J. Am. Acad. Dermatol. 2019, 80, 441–447. [Google Scholar] [CrossRef]
- Conic, R.R.Z.; Knackstedt, R.; Sussman, T.A.; Rambhia, S.; Damiani, G.; Funchain, P.; Ko, J.; Gastman, B.R. Utilization and impact of immunotherapy in stage IV melanoma using the National Cancer Database. Melanoma Res. 2020, 30, 376–385. [Google Scholar] [CrossRef]
- Lombardo, N.; Della Corte, M.; Pelaia, C.; Piazzetta, G.; Lobello, N.; Del Duca, E.; Bennardo, L.; Nisticò, S.P. Primary Mucosal Melanoma Presenting with a Unilateral Nasal Obstruction of the Left Inferior Turbinate. Medicina 2021, 57, 359. [Google Scholar] [CrossRef]
- Edwards, D.P. Regulation of signal transduction pathways by estrogen and progesterone. Annu. Rev. Physiol. 2005, 2, 335–376. [Google Scholar] [CrossRef]
- Beato, M.; Herrlich, P.; Schütz, G. Steroid hormone receptors: Many actors in search of a plot. Cell 1995, 83, 851–857. [Google Scholar] [CrossRef] [Green Version]
- De Giorgi, V.; Gori, A.; Grazzini, M.; Rossari, S.; Scarfì, F.; Corciova, S.; Verdelli, A.; Lotti, T.; Massi, D. Estrogens, estrogen receptors and melanoma. Expert Rev. Anticancer Ther. 2011, 11, 739–747. [Google Scholar] [CrossRef] [PubMed]
- Di Leo, A.; Messa, C.; Cavallini, A.; Linsalata, M. Estrogens and colorectal cancer. Curr. Drug Targets Immune Endocr. Metabol. Disord. 2001, 1, 1–12. [Google Scholar] [CrossRef]
- Bardin, A.; Boulle, N.; Lazennec, G.; Vignon, F.; Pujol, P. Loss of ERbeta expression as a common step in estrogen-dependent tumor progression. Endocr. Relat. Cancer 2004, 11, 537–551. [Google Scholar] [CrossRef] [PubMed] [Green Version]
- Hall, G.; Phillips, T.J. Estrogen and skin: The effects of estrogen, menopause, and hormone replacement therapy on the skin. J. Am. Acad. Dermatol. 2005, 53, 555–572. [Google Scholar] [CrossRef] [PubMed]
- Kemeny, M.M.; Busch, E.; Stewart, A.K.; Menck, H.R. Superior survival of young women with malignant melanoma. Am. J. Surg. 1998, 175, 437–444. [Google Scholar] [CrossRef]
- Filardo, E.J.; Quinn, J.A.; Bland, K.I.; Frackelton, A.R., Jr. Estrogen-induced activation of Erk-1 and Erk-2 requires the G protein-coupled receptor homolog, GPR30, and occurs via trans-activation of the epidermal growth factor receptor through release of HB-EGF. Mol. Endocrinol. 2000, 14, 1649–1660. [Google Scholar] [CrossRef] [PubMed]
- Pupo, M.; Maggiolini, M.; Musti, A.M. GPER Mediates Non-Genomic Effects of Estrogen. Methods Mol. Biol. 2016, 1366, 471–488. [Google Scholar]
- Roque, C.; Baltazar, G. G protein-coupled estrogen receptor 1 (GPER) activation triggers different signaling pathways on neurons and astrocytes. Neural Regen. Res. 2019, 14, 2069–2070. [Google Scholar]
- Zhou, J.H.; Kim, K.B.; Myers, J.N.; Fox, P.S.; Ning, J.; Bassett, R.L.; Hasanein, H.; Prieto, V.G. Immunohistochemical expression of hormone receptors in melanoma of pregnant women, nonpregnant women, and men. Am. J. Derm. 2014, 36, 74–79. [Google Scholar] [CrossRef] [PubMed]
- Rajabi, P.; Bagheri, M.; Hani, M. Expression of Estrogen Receptor Alpha in Malignant Melanoma. Adv. Biomed. Res. 2017, 6, 14. [Google Scholar] [PubMed]
- Schmidt, A.N.; Nanney, L.B.; Boyd, A.S.; King, L.E., Jr.; Ellis, D.L. Oestrogen receptor-beta expression in melanocytic lesions. Exp. Dermatol. 2006, 15, 971–980. [Google Scholar] [CrossRef]
- Spyropoulos, C.; Melachrinou, M.; Vasilakos, P.; Tzorakoleftherakis, E. Expression of estrogen receptors in melanoma and sentinel lymph nodes; a “female” clinical entity or a possible treatment modality? Eur. J. Gynaecol. Oncol. 2015, 36, 123–130. [Google Scholar] [PubMed]
- De Giorgi, V.; Gori, A.; Gandini, S.; Papi, F.; Grazzini, M.; Rossari, S.; Simoni, A.; Maio, V.; Massi, D. Oestrogen receptor beta and melanoma: A comparative study. Br. J. Dermatol. 2013, 168, 513–519. [Google Scholar] [CrossRef]
- Nading, M.A.; Nanney, L.B.; Boyd, A.S.; Ellis, D.L. Estrogen receptor beta expression in nevi during pregnancy. Exp. Dermatol. 2008, 17, 489–497. [Google Scholar] [CrossRef] [Green Version]
- Ohata, C.; Tadokoro, T.; Itami, S. Expression of estrogen receptor beta in normal skin, melanocytic nevi and malignant melanomas. J. Dermatol. 2008, 35, 215–221. [Google Scholar] [CrossRef]
- Jung, J. Role of G Protein-Coupled Estrogen Receptor in Cancer Progression. Toxicol. Res. 2019, 35, 209–214. [Google Scholar] [CrossRef] [Green Version]
- Filardo, E.J.; Quinn, J.A.; Frackelton, A.R., Jr.; Bland, K.I. Estrogen action via the G protein-coupled receptor, GPR30: Stimulation of adenylyl cyclase and cAMP-mediated attenuation of the epidermal growth factor receptor-to-MAPK signaling axis. Mol. Endocrinol. 2002, 16, 70–84. [Google Scholar] [CrossRef]
- Ge, X.; Guo, R.; Qiao, Y.; Zhang, Y.; Lei, J.; Wang, X.; Li, L.; Hu, D. The G protein-coupled receptor GPR30 mediates the nontranscriptional effect of estrogen on the activation of PI3K/Akt pathway in endometrial cancer cells. Int. J. Gynecol. Cancer 2013, 23, 52–59. [Google Scholar] [CrossRef]
- Fábián, M.; Rencz, F.; Krenács, T.; Brodszky, V.; Hársing, J.; Németh, K.; Balogh, P.; Kárpáti, S. Expression of G protein-coupled oestrogen receptor in melanoma and in pregnancy-associated melanoma. J. Eur. Acad. Dermatol. Venereol. 2017, 31, 1453–1461. [Google Scholar] [CrossRef] [PubMed]
- Girgert, R.; Emons, G.; Gründker, C. Estrogen Signaling in ERα-Negative Breast Cancer: ERβ and GPER. Front. Endocrinol. 2019, 9, 781. [Google Scholar] [CrossRef] [Green Version]
- Filardo, E.J.; Thomas, P. Minireview: G protein-coupled estrogen receptor-1, GPER-1: Its mechanism of action and role in female reproductive cancer, renal and vascular physiology. Endocrinology 2012, 153, 2953–2962. [Google Scholar] [CrossRef] [PubMed] [Green Version]
- Ribeiro, M.P.C.; Santos, A.E.; Custódio, J.B.A. The activation of the G protein-coupled estrogen receptor (GPER) inhibits the proliferation of mouse melanoma K1735-M2 cells. Chem. Biol. Interact. 2017, 2, 176–184. [Google Scholar] [CrossRef]
- Natale, C.A.; Li, J.; Zhang, J.; Dahal, A.; Dentchev, T.; Stanger, B.Z.; Ridky, T.W. Activation of G protein-coupled estrogen receptor signaling inhibits melanoma and improves response to immune checkpoint blockade. Elife 2018, 7, e31770. [Google Scholar] [CrossRef] [PubMed]



| Receptor Expression | p-Value | Comparison of Common Nevi and Dysplastic Nevi—p-Value | Comparison of Common Nevi and Melanomas—p-Value | Comparison of Dysplastic Nevi and Melanomas—p-Value |
|---|---|---|---|---|
| ERα in keratinocytes of margin | 0.22 | 0.99 | 0.37 | 0.49 |
| ERα in keratinocytes of melanocytic lesion | 0.21 | 0.99 | 0.41 | 0.39 |
| ERα in melanocytes of margin | 0.31 | 0.99 | 0.57 | 0.84 |
| ERα in melanocytes of melanocytic lesion | 0.91 | 0.99 | 0.99 | 0.99 |
| ERα in sweat glands | 0.15 | 0.99 | 0.18 | 0.78 |
| ERα in sebaceous glands | 0.19 | 0.99 | 0.28 | 0.56 |
| ERβ in keratinocytes of margin | 0.48 | 0.78 | 0.99 | 0.99 |
| ERβ in keratinocytes of melanocytic lesion | 0.02 * | 0.39 | 0.67 | 0.02 * |
| ERβ in melanocytes of margin | 0.04 * | 0.05 * | 0.67 | 0.71 |
| ERβ in melanocytes of melanocytic lesion | 0.58 | 0.99 | 0.99 | 0.99 |
| ERβ in sweat glands | 0.71 | 0.99 | 0.99 | 0.99 |
| ERβ in sebaceous glands | 0.64 | 0.99 | 0.99 | 0.99 |
| GPER in keratinocytes of margin | 0.82 | 0.99 | 0.99 | 0.99 |
| GPER in keratinocytes of melanocytic lesion | 0.09 | 0.23 | 0.99 | 0.14 |
| GPER in melanocytes of margin | 0.00 * | 0.99 | 0.00 * | 0.02 * |
| GPER in melanocytes of melanocytic lesion cytoplasm | 0.02 * | 0.99 | 0.08 | 0.02 * |
| GPER in melanocytes of melanocytic lesion nucleus | 0.04 * | 0.58 | 0.65 | 0.04 * |
| GPER in sweat glands | 0.01 * | 0.03 * | 0.06 | 0.99 |
| GPER in sebaceous glands | 0.03 * | 0.03 * | 0.26 | 0.99 |
| Common Nevi | Dysplastic Nevi | Melanomas | |||||||
|---|---|---|---|---|---|---|---|---|---|
| Receptors Expression | No | Mean (SD) | Median (IQR) | No | Mean (SD) | Median (IQR) | No | Mean (SD) | Median (IQR) |
| ERα in keratinocytes of margin | 25.00 | 12.00 (14.36) | 5 (5.00–15.00) | 24.00 | 9.83 (9.57) | 7.50 (3.00–15.00) | 24.00 | 8.13 (12.58) | 5.00 (0.00–10.00) |
| ERα in lesion keratinocytes | 25.00 | 11.60 (12.39) | 10.00 (5.00–15.00) | 24.00 | 10.88 (9.70) | 10.00 (5.00–17.50) | 24.00 | 10.00 (16.08) | 5.00 (0.00–12.50) |
| ERα in melanocytes of margin | 25.00 | 42.20 (49.16) | 0.00 (0.00–100.00) | 24.00 | 37.29 (44.79) | 2.50 (0.00–90.00) | 24.00 | 16.46 (30.38) | 0.00 (0.00–15.00) |
| ERα in lesion melanocytes | 25.00 | 16.20 (18.72) | 10.00 (5.00–20.00) | 24.00 | 17.54 (20.07) | 10.00 (5.00–30.00) | 24.00 | 20.63 (26.18) | 5.00 (2.50–35.00) |
| ERα in sweat glands | 21.00 | 8.57 (12.56) | 5.00 (0.00–10.00) | 24.00 | 12.71 (19.50) | 5.00 (0.00–17.50) | 24.00 | 17.50 (19.95) | 10.00 (5.00–30.00) |
| ERα in sebaceous glands | 21.00 | 8.57 (11.20) | 5.00 (0.00–10.00) | 24.00 | 11.67 (16.80) | 5.00 (0.00–17.50) | 24.00 | 17.50 (19.95) | 10.00 (5.00–30.00) |
| ERβ in keratinocytes of margin | 25.00 | 80.40 (16.95) | 90.00 (80.00–90.00) | 24.00 | 85.63 (13.30) | 90.00 (80.00–90.00) | 24.00 | 78.33 (24.96) | 90.00 (70.00–90.00) |
| ERβ in lesion keratinocytes | 25.00 | 83.60 (13.50) | 90.00 (80.00–90.00) | 24.00 | 88.13 (11.87) | 90.00 (90.00–92.50) | 24.00 | 75.21 (23.38) | 80.00 (65.00–90.00) |
| ERβ in melanocytes of margin | 25.00 | 82.80 (26.06) | 90.00 (80.00–90.00) | 24.00 | 90.00 (22.60) | 100.00 (90.00–100.00) | 24.00 | 82.71 (32.40) | 90.00 (90.00–100.00) |
| ERβ in lesion melanocytes | 25.00 | 81.60 (21.15) | 90.00 (80.00–90.00) | 24.00 | 78.75 (23.74) | 90.00 (70.00–92.50) | 24.00 | 68.13 (33.65) | 85.00 (50.00–90.00) |
| ERβ in sweat glands | 22.00 | 84.55 (17.66) | 90.00 (90.00–90.00) | 24.00 | 87.29 (13.75) | 90.00 (80.00–100.00) | 23.00 | 83.26 (21.72) | 90.00 (80.00–95.00) |
| ERβ in sebaceous glands | 19.00 | 83.68 (18.92) | 90.00 (80.00–90.00) | 24.00 | 87.29 (13.75) | 90.00 (80.00–100.00) | 21.00 | 82.14 (22.39) | 90.00 (80.00–90.00) |
| GPER in keratinocytes of margin | 25.00 | 38.00 (24.79) | 40.00 (10.00–50.00) | 24.00 | 40.62 (27.12) | 35.00 (20.00–70.00) | 24.00 | 36.67 (28.96) | 40.00 (10.00–60.00) |
| GPER in lesion keratinocytes | 25.00 | 39.60 (24.28) | 40.00 (20.00–60.00) | 24.00 | 53.96 (28.32) | 60.00 (40.00–75.00) | 24.00 | 37.29 (29.12) | 30.00 (10.00–65.00) |
| GPER in melanocytes of margin | 25.00 | 86.40 (32.90) | 100.00 (100.00–100.00) | 24.00 | 85.42 (33.49) | 100.00 (95.00–100.00) | 24.00 | 55.00 (44.92) | 80.00 (0.00–100.00) |
| GPER in lesion melanocytes-cytoplasm | 25.00 | 53.60 (20.39) | 50.00 (40.00–70.00) | 24.00 | 57.50 (24.00) | 70.00 (40.00–80.00) | 24.00 | 36.67 (28.23) | 30.00 (15.00–60.00) |
| GPER in lesion melanocytes-nucleus | 25.00 | 39.80 (25.76) | 40.00 (20.00–60.00) | 24.00 | 50.63 (28.18) | 45.00 (30.00–75.00) | 24.00 | 30.21 (25.47) | 25.00 (10.00–40.00) |
| GPER in sweat glands | 24.00 | 41.25 (30.08) | 50.00 (10.00–70.00) | 24.00 | 64.79 (26.02) | 70.00 (50.00–80.00) | 23.00 | 62.17 (26.79) | 70.00 (50.00–90.00) |
| GPER in sebaceous glands | 24.00 | 41.67 (29.70) | 50.00 (10.00–70.00) | 24.00 | 64.79 (26.02) | 70.00 (50.00–80.00) | 23.00 | 57.83 (28.44) | 70.00 (40.00–70.00) |
| Pair of Variables | p Value | Median Expression in Melanoma Tissue | Comparison of Common Nevi and Melanomas—p-Value | Median Expression in Margin Tissue | IQR-Expression in Margin Tissue |
|---|---|---|---|---|---|
| Estrogen receptor α expression in healthy skin margin keratinocytes vs. melanoma keratinocytes | 0.11 | 5.00 | 0.00–12.50 | 5.00 | 0.00–10.00 |
| Estrogen receptor α expression in healthy skin margin melanocytes vs. melanoma melanocytes | 0.24 | 5.00 | 2.50–35.00 | 0.00 | 0.00–15.00 |
| Estrogen receptor β expression in healthy skin margin keratinocytes vs. melanoma keratinocytes | 0.20 | 80.00 | 65.00–90.00 | 90.00 | 70.00–90.00 |
| Estrogen receptor β expression in healthy skin margin melanocytes vs. melanoma melanocytes | 0.01 * | 85.00 | 50.00–90.00 | 90.00 | 90.00–100.00 |
| GPER receptor expression in healthy skin margin keratinocytes vs. melanoma keratinocytes | 0.84 | 30.00 | 10.00–65.00 | 40.00 | 10.00–60.00 |
| GPER receptor expression in healthy skin margin melanocytes vs. melanoma melanocytes | 0.02 * 0.03 * | 25.00 nuclear; 30.00 cytoplasmic | 10.00–40.00 nuclear; 15.00–60.00 cytoplasmic | 80.00 nuclear and cytoplasmic | 0.00–100.00 nuclear nad cytoplasmic |
Publisher’s Note: MDPI stays neutral with regard to jurisdictional claims in published maps and institutional affiliations. |
© 2021 by the authors. Licensee MDPI, Basel, Switzerland. This article is an open access article distributed under the terms and conditions of the Creative Commons Attribution (CC BY) license (https://creativecommons.org/licenses/by/4.0/).
Share and Cite
Spałkowska, M.; Dyduch, G.; Broniatowska, E.; Damiani, G.; Wojas-Pelc, A. Molecular Proof of a Clinical Concept: Expression of Estrogen Alpha-, Beta-Receptors and G Protein-Coupled Estrogen Receptor 1 (GPER) in Histologically Assessed Common Nevi, Dysplastic Nevi and Melanomas. Medicina 2021, 57, 1228. https://doi.org/10.3390/medicina57111228
Spałkowska M, Dyduch G, Broniatowska E, Damiani G, Wojas-Pelc A. Molecular Proof of a Clinical Concept: Expression of Estrogen Alpha-, Beta-Receptors and G Protein-Coupled Estrogen Receptor 1 (GPER) in Histologically Assessed Common Nevi, Dysplastic Nevi and Melanomas. Medicina. 2021; 57(11):1228. https://doi.org/10.3390/medicina57111228
Chicago/Turabian StyleSpałkowska, Magdalena, Grzegorz Dyduch, Elżbieta Broniatowska, Giovanni Damiani, and Anna Wojas-Pelc. 2021. "Molecular Proof of a Clinical Concept: Expression of Estrogen Alpha-, Beta-Receptors and G Protein-Coupled Estrogen Receptor 1 (GPER) in Histologically Assessed Common Nevi, Dysplastic Nevi and Melanomas" Medicina 57, no. 11: 1228. https://doi.org/10.3390/medicina57111228
APA StyleSpałkowska, M., Dyduch, G., Broniatowska, E., Damiani, G., & Wojas-Pelc, A. (2021). Molecular Proof of a Clinical Concept: Expression of Estrogen Alpha-, Beta-Receptors and G Protein-Coupled Estrogen Receptor 1 (GPER) in Histologically Assessed Common Nevi, Dysplastic Nevi and Melanomas. Medicina, 57(11), 1228. https://doi.org/10.3390/medicina57111228

