EUS and ERCP in the Same Session for Biliary Stones: From Risk Stratification to Treatment Strategy in Different Clinical Conditions
Abstract
1. Introduction
2. EUS and ERCP Curriculum
3. Management of Choledocholithias
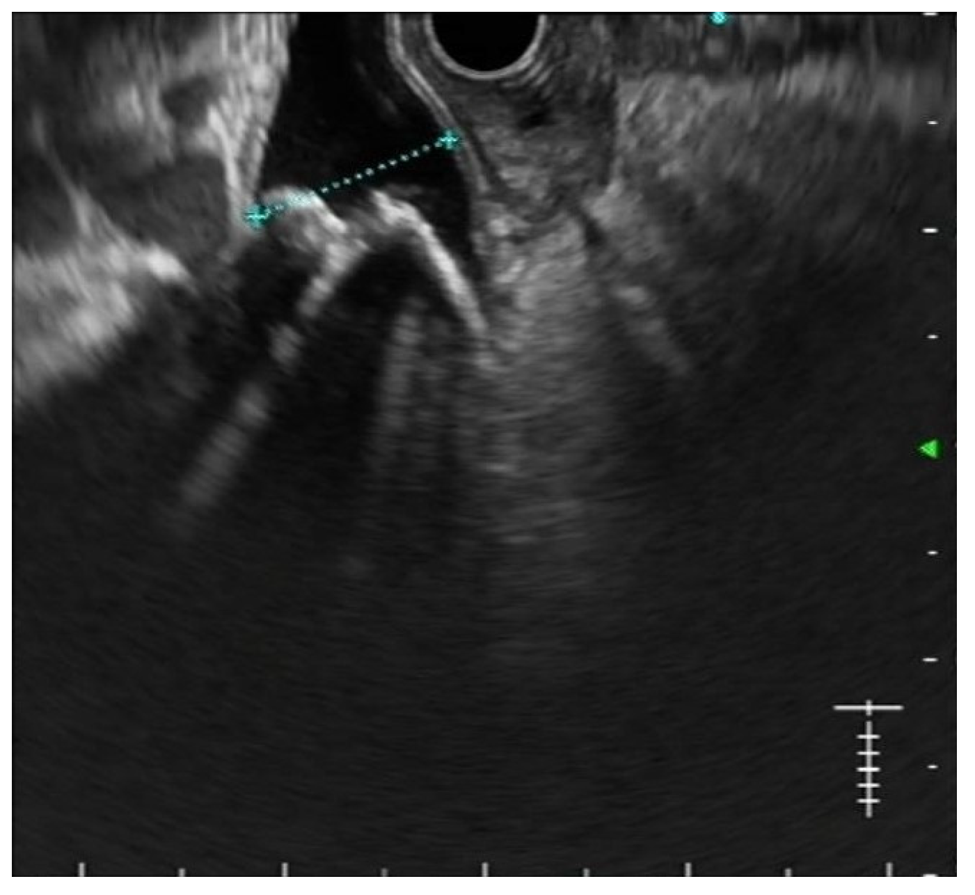
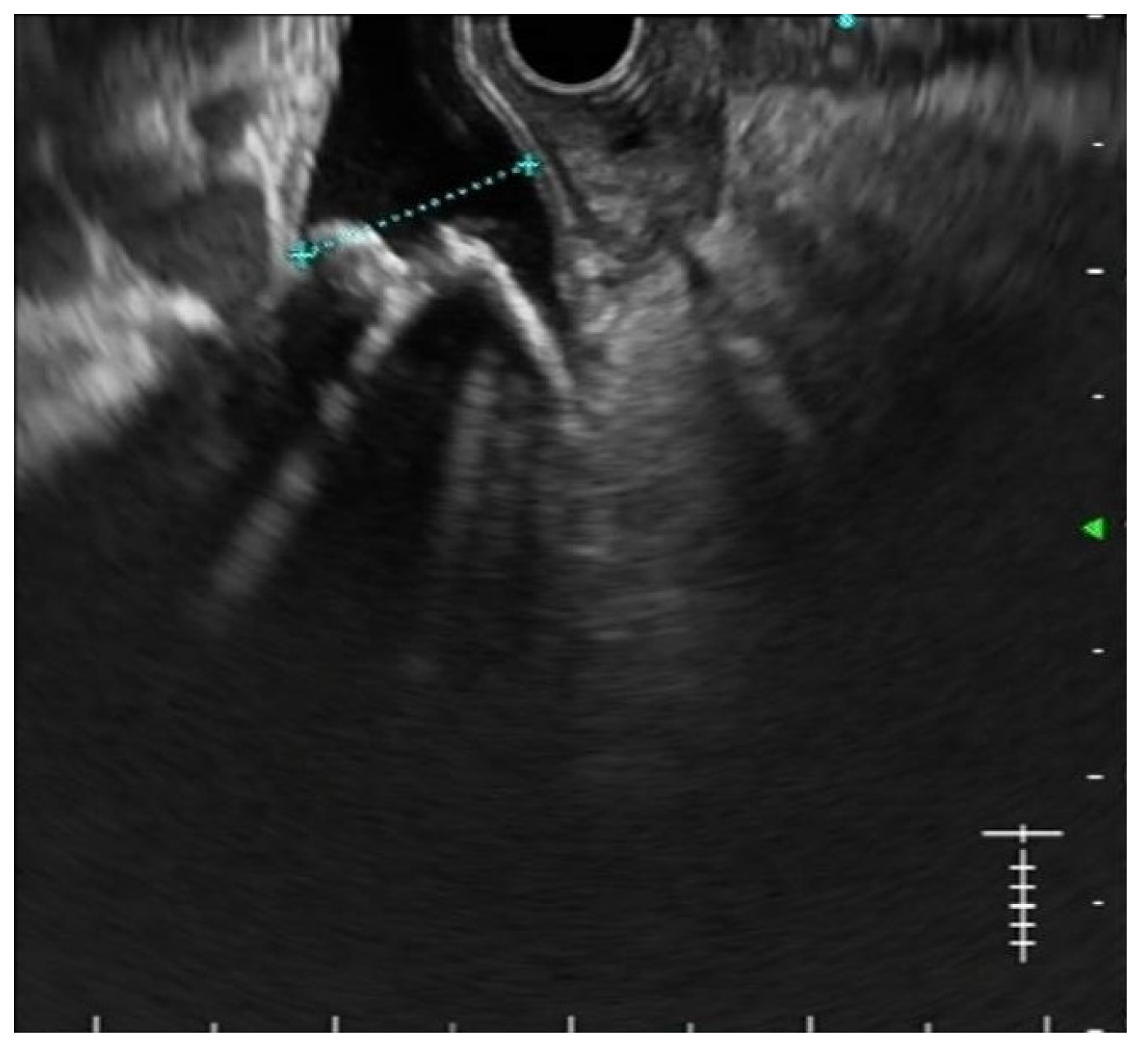
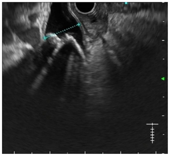
4. EUS before ERCP
5. EUS and ERCP in the Same Session
6. Overcoming ERCP Limitations with EUS
7. Conclusions
Author Contributions
Funding
Institutional Review Board Statement
Informed Consent Statement
Data Availability Statement
Conflicts of Interest
References
- Maple, J.T.; Ikenberry, S.O.; Anderson, M.A.; Appalaneni, V.; Decker, G.A.; Early, D.; Evans, J.A.; Fanelli, R.D.; Fisher, D.; Fisher, L.; et al. The role of endoscopy in the management of choledocholithiasis. Gastrointest. Endosc. 2011, 74, 731–744. [Google Scholar] [CrossRef]
- Garrow, D.; Miller, S.; Sinha, D.; Conway, J.; Hoffman, B.J.; Hawes, R.H.; Romagnuolo, J. Endoscopic Ultrasound: A Meta-analysis of Test Performance in Suspected Biliary Obstruction. Clin. Gastroenterol. Hepatol. 2007, 5, 616–623.e1. [Google Scholar] [CrossRef]
- Fusaroli, P.; Kypraios, D.; Eloubeidi, M.A.; Caletti, G. Levels of Evidence in Endoscopic Ultrasonography: A Systematic Review. Dig. Dis. Sci. 2011, 57, 602–609. [Google Scholar] [CrossRef] [PubMed]
- Fusaroli, P.; Saftoiu, A.; Mancino, M.G.; Caletti, G.; Eloubeidi, M.A. Techniques of image enhancement in EUS (with videos). Gastrointest. Endosc. 2011, 74, 645–655. [Google Scholar] [CrossRef]
- Fusaroli, P.; Serrani, M.; Lisotti, A.; D’Ercole, M.C.; Ceroni, L.; Caletti, G. Performance of the forward-view echoendoscope for pancreaticobiliary examination in patients with status post-upper gastrointestinal surgery. Endosc. Ultrasound 2015, 4, 336–341. [Google Scholar] [CrossRef]
- Sahai, A.; Sun, S.; Guo, J.; Teoh, A.; Arcidiacono, P.; Larghi, A.; Saftoiu, A.; Siddiqui, A.; Arias, B.A.; Jenssen, C.; et al. An international, multi-institution survey on performing EUS-FNA and fine needle biopsy. Endosc. Ultrasound 2020, 9, 319–328. [Google Scholar] [CrossRef] [PubMed]
- Lisotti, A.; Frazzoni, L.; Fuccio, L.; Serrani, M.; Cominardi, A.; Bazzoli, F.; Fusaroli, P. Repeat EUS-FNA of pancreatic masses after nondiagnostic or inconclusive results: Systematic review and meta-analysis. Gastrointest. Endosc. 2020, 91, 1234–1241.e4. [Google Scholar] [CrossRef] [PubMed]
- Fusaroli, P.; Napoleon, B.; Gincul, R.; Lefort, C.; Palazzo, L.; Palazzo, M.; Kitano, M.; Minaga, K.; Caletti, G.; Lisotti, A. The clinical impact of ultrasound contrast agents in EUS: A systematic review according to the levels of evidence. Gastrointest. Endosc. 2016, 84, 587–596.e10. [Google Scholar] [CrossRef]
- Yamashita, Y.; Shimokawa, T.; Napoléon, B.; Fusaroli, P.; Gincul, R.; Kudo, M.; Kitano, M. Value of contrast-enhanced harmonic endoscopic ultrasonography with enhancement pattern for diagnosis of pancreatic cancer: A meta-analysis. Dig. Endosc. 2018, 31, 125–133. [Google Scholar] [CrossRef]
- Johnson, G.; Webster, G.; Boškoski, I.; Campos, S.; Gölder, S.K.; Schlag, C.; Anderloni, A.; Arnelo, U.; Badaoui, A.; Bekkali, N.; et al. Curriculum for ERCP and endoscopic ultrasound training in Europe: European Society of Gastrointestinal Endoscopy (ESGE) Position Statement. Endoscopy 2021, 53, 1071–1087. [Google Scholar]
- De Angelis, C.G.; Rizza, S.; Rizzi, F.; Debernardi-Venon, W.; Caronna, S.; Gaia, S.; Bruno, M. Training in advanced bilio-pancreatic endoscopy. Minerva Gastroenterol. 2021. [Google Scholar] [CrossRef]
- Cohen, S.; Bacon, B.R.; Berlin, J.A.; Fleischer, D.; Hecht, G.A.; Loehrer, P.J.; McNair, A.E.; Mulholland, M.; Norton, N.J.; Rabeneck, L.; et al. National Institutes of Health State of-the-Science Conference Statement: ERCP for diagnosis and therapy. Gastrointest. Endosc. 2002, 56, 803–809. [Google Scholar] [CrossRef]
- Maple, J.T.; Ben-Menachem, T.; Anderson, M.A.; Appalaneni, V.; Banerjee, S.; Cash, B.D.; Fisher, L.; Harrison, M.E.; Fanelli, R.D.; Fukami, N.; et al. The role of endoscopy in the evaluation of suspected choledocholithiasis. Gastrointest. Endosc. 2010, 71, 1–9. [Google Scholar] [CrossRef] [PubMed]
- Buxbaum, J.L.; Fehmi, S.M.A.; Sultan, S.; Fishman, D.S.; Qumseya, B.J.; Cortessis, V.K.; Schilperoort, H.; Kysh, L.; Matsuoka, L.; Yachimski, P.; et al. ASGE guideline on the role of endoscopy in the evaluation and management of choledocholithiasis. Gastrointest. Endosc. 2019, 89, 1075–1105. [Google Scholar] [CrossRef] [PubMed]
- Manes, G.; Paspatis, G.; Aabakken, L.; Anderloni, A.; Arvanitakis, M.; Ah-Soune, P.; Barthet, M.; Domagk, D.; Dumonceau, J.-M.; Gigot, J.-F.; et al. Endoscopic management of common bile duct stones: European Society of Gastrointestinal Endoscopy (ESGE) guideline. Endoscopy 2019, 51, 472–491. [Google Scholar] [CrossRef] [PubMed]
- Kiriyama, S.; Kozaka, K.; Takada, T.; Strasberg, S.M.; Pitt, H.A.; Gabata, T.; Hata, J.; Liau, K.-H.; Miura, F.; Horiguchi, A.; et al. Tokyo Guidelines 2018: Diagnostic criteria and severity grading of acute cholangitis (with videos). J. Hepato-Biliary-Pancreat. Sci. 2017, 25, 17–30. [Google Scholar] [CrossRef]
- Vila, J.; Fernández-Urién, I.; Carrascosa, J. EUS and ERCP: A rationale categorization of a productive partnership. Endosc. Ultrasound 2021, 10, 25–32. [Google Scholar] [CrossRef]
- Petrov, M.S.; Savides, T.J. Systematic review of endoscopic ultrasonography versus endoscopic retrograde cholangiopancreatography for suspected choledocholithiasis. BJS 2009, 96, 967–974. [Google Scholar] [CrossRef]
- Sonnenberg, A.; Enestvedt, B.K.; Bakis, G. Management of Suspected Choledocholithiasis: A Decision Analysis for Choosing the Optimal Imaging Modality. Dig. Dis. Sci. 2015, 61, 603–609. [Google Scholar] [CrossRef]
- Fusaroli, P.; Lisotti, A.; Syguda, A.; D’Ercole, M.C.; Maimone, A.; Fabbri, C.; Cennamo, V.; Cecinato, P.; Cariani, G.; Caletti, G.; et al. Reliability of endoscopic ultrasound in predicting the number and size of common bile duct stones before endoscopic retrograde cholangiopancreatography. Dig. Liver Dis. 2015, 48, 277–282. [Google Scholar] [CrossRef]
- Cotton, P.B.; Eisen, G.; Romagnuolo, J.; Vargo, J.; Baron, T.; Tarnasky, P.; Schutz, S.; Jacobson, B.; Bott, C.; Petersen, B. Grading the complexity of endoscopic procedures: Results of an ASGE working party. Gastrointest. Endosc. 2011, 73, 868–874. [Google Scholar] [CrossRef]
- Anderloni, A. Difficult common bile duct stones: Still “difficult” or just “different”? Endoscopy 2020, 52, 429–430. [Google Scholar] [CrossRef]
- Iles-Shih, L.; Hilden, K.; Adler, D.G. Combined ERCP and EUS in One Session Is Safe in Elderly Patients When Compared to Non-elderly Patients: Outcomes in 206 Combined Procedures. Dig. Dis. Sci. 2012, 57, 1949–1953. [Google Scholar] [CrossRef]
- Vila, J.J.; Kutz, M.; Goñi, S.; Ostiz, M.; Amorena, E.; Prieto, C.; Rodriguez, C.; Fernández-Urien, I.; Jiménez, F.J. Endoscopic and anesthetic feasibility of EUS and ERCP combined in a single session versus two different sessions. World J. Gastrointest. Endosc. 2011, 3, 57–61. [Google Scholar] [CrossRef]
- Benjaminov, F.; Stein, A.; Lichtman, G.; Pomeranz, I.; Konikoff, F.M. Consecutive versus separate sessions of endoscopic ultrasound (EUS) and endoscopic retrograde cholangiopancreatography (ERCP) for symptomatic choledocholithiasis. Surg. Endosc. 2013, 27, 2117–2121. [Google Scholar] [CrossRef] [PubMed][Green Version]
- Fabbri, C.; Polifemo, A.M.; Luigiano, C.; Cennamo, V.; Fuccio, L.; Billi, P.; Maimone, A.; Ghersi, S.; Macchia, S.; Mwangemi, C.; et al. Single session versus separate session endoscopic ultrasonography plus endoscopic retrograde cholangiography in patients with low to moderate risk for choledocholithiasis. J. Gastroenterol. Hepatol. 2009, 24, 1107–1112. [Google Scholar] [CrossRef] [PubMed]
- Klair, J.S.; Zafar, Y.; Ashat, M.; Bomman, S.; Murali, A.R.; Jayaraj, M.; Law, J.; Larsen, M.; Singh, D.P.; Rustagi, T.; et al. Effectiveness and Safety of EUS Rendezvous After Failed Biliary Cannulation With ERCP: A Systematic Review and Proportion Meta-analysis. J. Clin. Gastroenterol. 2021. [Google Scholar] [CrossRef]
- García-Alonso, F.J.; Peñas-Herrero, I.; Sanchez-Ocana, R.; Villarroel, M.; Cimavilla, M.; Bazaga, S.; Sanz, M.D.B.; Gil-Simon, P.; de la Serna-Higuera, C.; Perez-Miranda, M. The role of endoscopic ultrasound guidance for biliary and pancreatic duct access and drainage to overcome the limitations of ERCP: A retrospective evaluation. Endoscopy 2020, 53, 691–699. [Google Scholar] [PubMed]
- Fuentes-Valenzuela, E.; Higuera, C.D.L.S.; Pérez-Miranda, M. Endoscopic ultrasound-guided choledocoduodenostomy with electrocautery-enhanced lumen-apposing metal stent for benign biliary obstruction: When all other options fail. Dig. Endosc. 2021, 33, 670. [Google Scholar] [CrossRef]
- Lisotti, A.; Linguerri, R.; Bacchilega, I.; Cominardi, A.; Marocchi, G.; Fusaroli, P. EUS-guided gallbladder drainage in high-risk surgical patients with acute cholecystitis—procedure outcomes and evaluation of mortality predictors. Surg. Endosc 2021, in press. [Google Scholar] [CrossRef]
- Torres Yuste, R.; Garcia-Alonso, F.J.; Sanchez-Ocana, R.; Cimavilla Roman, M.; Peñas Herrero, I.; Carbajo, A.Y.; De Benito Sanz, M.; Mora Cuadrado, N.; De la Serna Higuera, C.; Perez-Miranda, M. Safety and efficacy of endoscopic ultrasound-guided gallbladder drainage combined with endoscopic retrograde cholangiopancreatography in the same session. Dig. Endosc. 2020, 32, 608–615. [Google Scholar] [CrossRef] [PubMed]

| Main Indications | Technical | Organizational | Clinical |
|---|---|---|---|
| Patients at high risk for CBD stones | Real time information from EUS | Reduction of the hospital length of stay | Reduced risk of cholangitis/acute pancreatitis while waiting after EUS |
| Symptomatic individuals with status post-cholecystectomy | Selecting the optimal approach to the papilla and CBD stone extraction | Reduction of hospital and endoscopy costs | Prompt treatment of cholangitis |
| Pregnant women | Alternative drainage in case of failed cannulation (e.g., rendezvous, EUS-GBD, EUS-CDS) | Cost-effective management of endoscopy unit time | Reduction of diagnostic ERCP due to migration of stones after EUS |
| Fragile patients unfit for surgery | Reduction in overall propofol dose | Combination with EUS-GBD for full treatment of biliary stones | Reduction of endoscopy-related adverse events |
Publisher’s Note: MDPI stays neutral with regard to jurisdictional claims in published maps and institutional affiliations. |
© 2021 by the authors. Licensee MDPI, Basel, Switzerland. This article is an open access article distributed under the terms and conditions of the Creative Commons Attribution (CC BY) license (https://creativecommons.org/licenses/by/4.0/).
Share and Cite
Fusaroli, P.; Lisotti, A. EUS and ERCP in the Same Session for Biliary Stones: From Risk Stratification to Treatment Strategy in Different Clinical Conditions. Medicina 2021, 57, 1019. https://doi.org/10.3390/medicina57101019
Fusaroli P, Lisotti A. EUS and ERCP in the Same Session for Biliary Stones: From Risk Stratification to Treatment Strategy in Different Clinical Conditions. Medicina. 2021; 57(10):1019. https://doi.org/10.3390/medicina57101019
Chicago/Turabian StyleFusaroli, Pietro, and Andrea Lisotti. 2021. "EUS and ERCP in the Same Session for Biliary Stones: From Risk Stratification to Treatment Strategy in Different Clinical Conditions" Medicina 57, no. 10: 1019. https://doi.org/10.3390/medicina57101019
APA StyleFusaroli, P., & Lisotti, A. (2021). EUS and ERCP in the Same Session for Biliary Stones: From Risk Stratification to Treatment Strategy in Different Clinical Conditions. Medicina, 57(10), 1019. https://doi.org/10.3390/medicina57101019

