Airway Foreign Body Mimicking an Endobronchial Tumor Presenting with Pneumothorax in an Adult: A Case Report
Abstract
1. Introduction
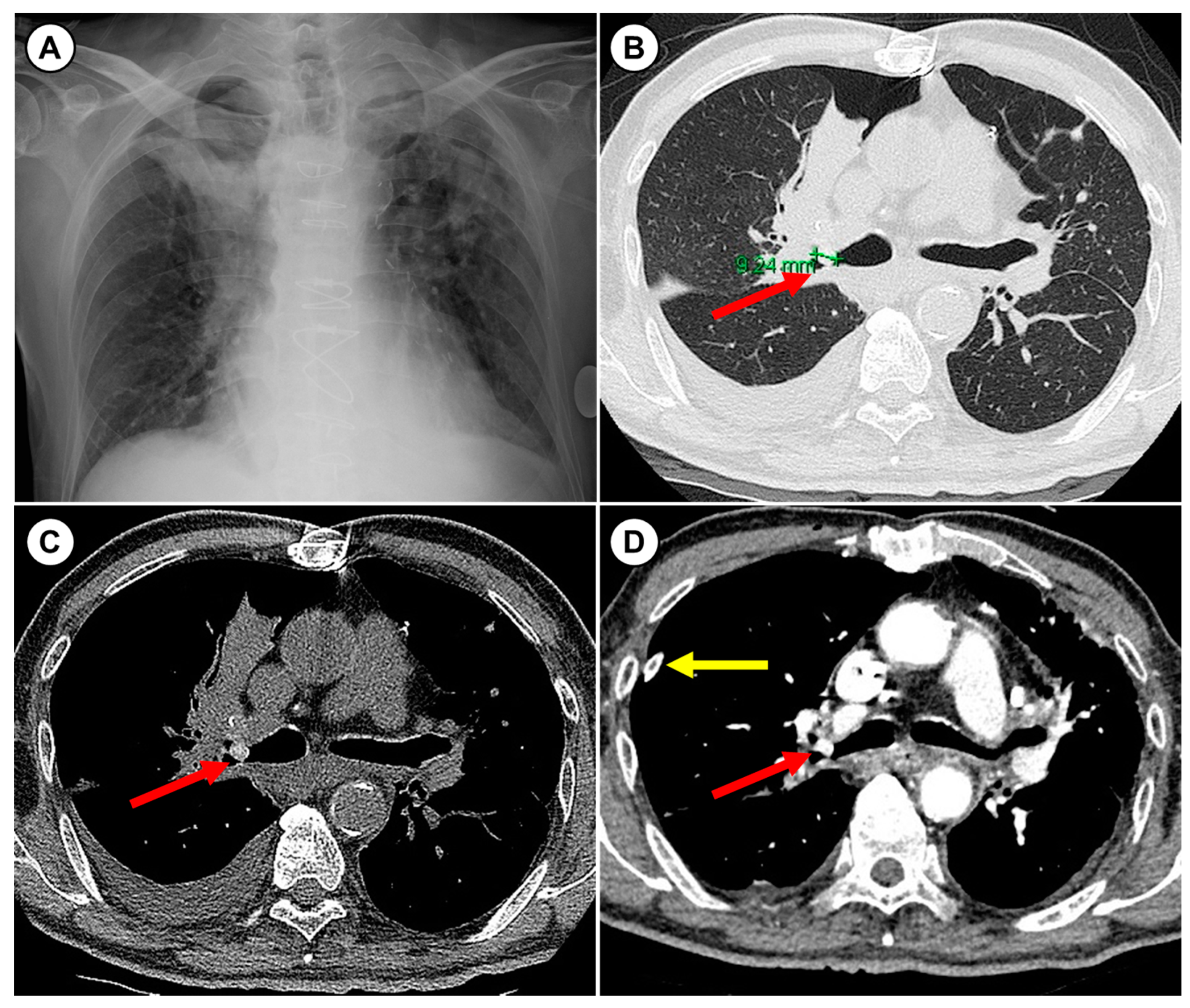
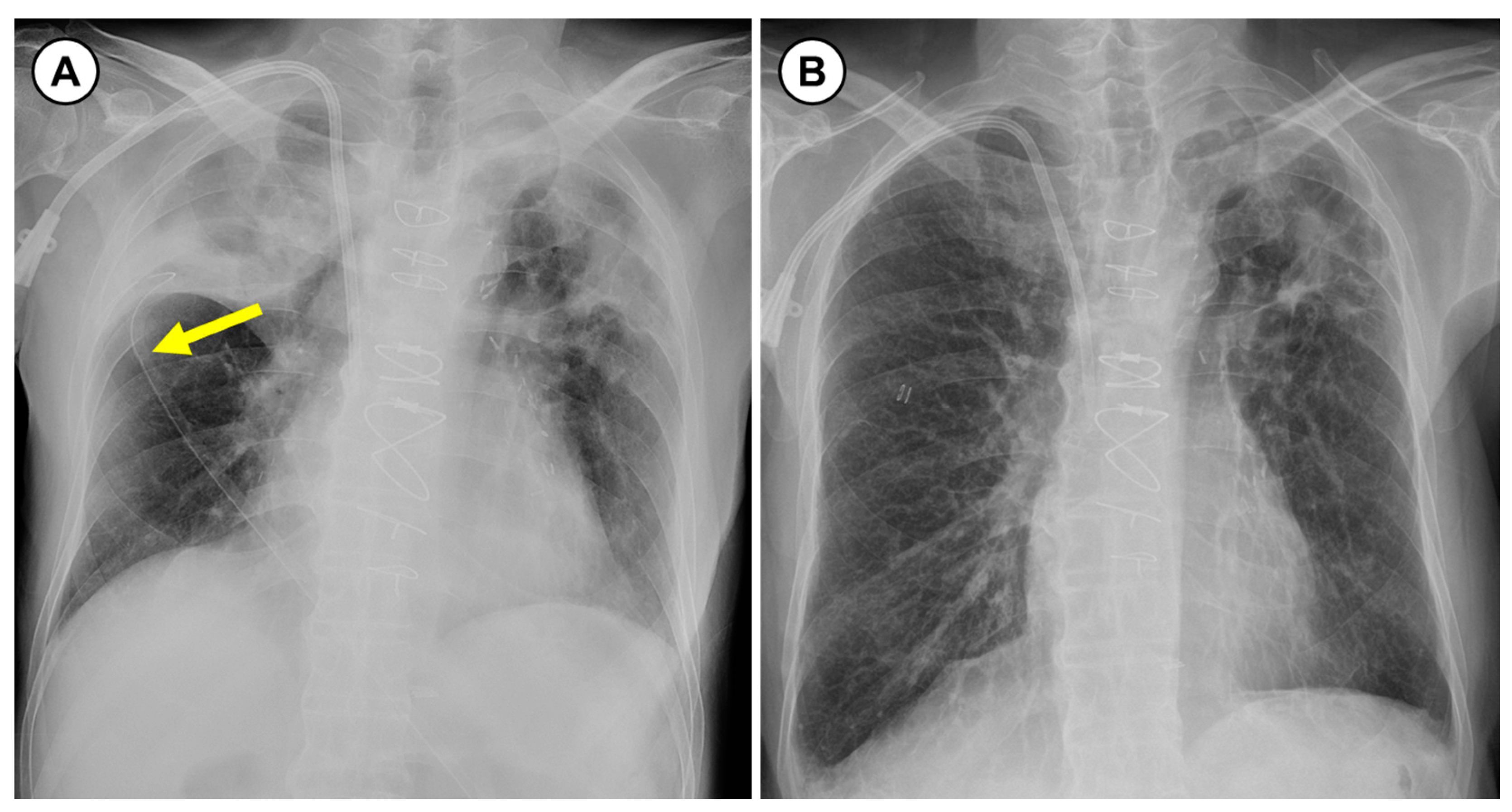
2. Case Presentation
3. Discussion
4. Conclusions
Author Contributions
Funding
Institutional Review Board Statement
Informed Consent Statement
Data Availability Statement
Conflicts of Interest
References
- Tseng, H.J.; Hanna, T.N.; Shuaib, W.; Aized, M.; Khosa, F.; Linnau, K.F. Imaging Foreign Bodies: Ingested, Aspirated, and Inserted. Ann. Emerg. Med. 2015, 66, 570–582.e575. [Google Scholar] [CrossRef]
- Baharloo, F.; Veyckemans, F.; Francis, C.; Biettlot, M.P.; Rodenstein, D.O. Tracheobronchial foreign bodies: Presentation and management in children and adults. Chest 1999, 115, 1357–1362. [Google Scholar] [CrossRef] [PubMed]
- Altuntas, B.; Aydin, Y.; Eroglu, A. Complications of tracheobronchial foreign bodies. Turk. J. Med. Sci. 2016, 46, 795–800. [Google Scholar] [CrossRef] [PubMed]
- Velecharla, M.S.; Shah, K.D.; Bradoo, R.A.; Subramaniasami, G.S.; Joshi, A.A. “AIR LEAK SYNDROME”: An Unusual Presentation of Foreign Body in the Airway. Indian J. Otolaryngol. Head Neck Surg. 2019, 71, 693–695. [Google Scholar] [CrossRef] [PubMed]
- Silva, C.J.T.D.A.E.; Fink, A.M. Case 137: Pneumonia and bronchiectasis secondary to unrecognized peanut impaction. Radiology 2008, 248, 1080–1082. [Google Scholar] [CrossRef] [PubMed]
- Gang, W.; Zhengxia, P.; Hongbo, L.; Yonggang, L.; Jiangtao, D.; Shengde, W.; Chun, W. Diagnosis and treatment of tracheobronchial foreign bodies in 1024 children. J. Pediatric Surg. 2012, 47, 2004–2010. [Google Scholar] [CrossRef] [PubMed]
- Chen, C.H.; Lai, C.L.; Tsai, T.T.; Lee, Y.C.; Perng, R.P. Foreign body aspiration into the lower airway in Chinese adults. Chest 1997, 112, 129–133. [Google Scholar] [CrossRef] [PubMed]
- Ng, J.; Kim, S.; Chang, B.; Lee, K.; Um, S.W.; Kim, H.; Jeong, B.H. Clinical features and treatment outcomes of airway foreign body aspiration in adults. J. Thorac. Dis. 2019, 11, 1056–1064. [Google Scholar] [CrossRef]
- Sehgal, I.S.; Dhooria, S.; Ram, B.; Singh, N.; Aggarwal, A.N.; Gupta, D.; Behera, D.; Agarwal, R. Foreign Body Inhalation in the Adult Population: Experience of 25,998 Bronchoscopies and Systematic Review of the Literature. Respir. Care 2015, 60, 1438–1448. [Google Scholar] [CrossRef]
- Hewlett, J.C.; Rickman, O.B.; Lentz, R.J.; Prakash, U.B.; Maldonado, F. Foreign body aspiration in adult airways: Therapeutic approach. J. Thorac. Dis. 2017, 9, 3398–3409. [Google Scholar] [CrossRef] [PubMed]
- Igarashi, Y.; Norii, T.; Sung-Ho, K.; Nagata, S.; Tagami, T.; Femling, J.; Mizushima, Y.; Yokota, H. New classifications for Life-threatening foreign body airway obstruction. Am. J. Emerg. Med. 2019, 37, 2177–2181. [Google Scholar] [CrossRef] [PubMed]
- Kawai, C.; Miyao, M.; Kotani, H.; Tamaki, K. Bilateral spontaneous pneumothorax secondary to aspiration pneumonia induced by a wristwatch lodged at the pharyngoesophageal junction. Forensic Sci. Med. Pathol. 2015, 11, 249–254. [Google Scholar] [CrossRef] [PubMed]
- Matsuura, H.; Inoue, S.; Atagi, K.; Kawaguchi, M. Life-threatening check valve formation due to tracheobronchial aspergillosis. JA Clin. Rep. 2015, 1, 17. [Google Scholar] [CrossRef] [PubMed][Green Version]
- Weissberg, D.; Refaely, Y. Pneumothorax: Experience with 1199 patients. Chest 2000, 117, 1279–1285. [Google Scholar] [CrossRef] [PubMed]
- Biswas Roy, S.; Ross, M.D.; Madan, N.; Abdelrazek, H.; Edwards, R.; Collum, E.S.; Bremner, R.M.; Patel, V.J.; Panchabhai, T.S. Aspirated Almond Masquerading as an Obstructing Endobronchial Mass Suspicious for Lung Cancer. Case Rep. Pulmonol. 2018, 2018, 3742036. [Google Scholar] [CrossRef] [PubMed]
- Hoskote, S.S.; Saeed, A.I.; Edell, E.S. Endobronchial foreign body mimicking a positron emission tomography-positive lung malignancy. Arch. Bronconeumol. 2016, 52, 484–485. [Google Scholar] [CrossRef] [PubMed]
- Kanchustambham, V.; Schenone, A.; Reichardt, B.A.; Saladi, S.; Mehta, K.; Poddar, N.; Stoeckel, D. All That Glitters Is Not Gold”—A Case of an Occult Foreign Body in the Lung with Elevated 2-[18F]-Fluoro-2-deoxy-D-glucose (FDG) Uptake Mimicking Bronchogenic Carcinoma. Cureus 2017, 9, e990. [Google Scholar] [CrossRef] [PubMed]
- Stevic, R.; Milenkovic, B. Tracheobronchial tumors. J. Thorac. Dis. 2016, 8, 3401–3413. [Google Scholar] [CrossRef] [PubMed]
- Wang, L.; Pudasaini, B.; Wang, X.F. Diagnose of occult bronchial foreign body: A rare case report of undetected Chinese medicine aspiration for 10 long years. Medicine 2016, 95, e4076. [Google Scholar] [CrossRef] [PubMed]



Publisher’s Note: MDPI stays neutral with regard to jurisdictional claims in published maps and institutional affiliations. |
© 2021 by the authors. Licensee MDPI, Basel, Switzerland. This article is an open access article distributed under the terms and conditions of the Creative Commons Attribution (CC BY) license (http://creativecommons.org/licenses/by/4.0/).
Share and Cite
Ha, J.-H.; Jeong, B.-H. Airway Foreign Body Mimicking an Endobronchial Tumor Presenting with Pneumothorax in an Adult: A Case Report. Medicina 2021, 57, 50. https://doi.org/10.3390/medicina57010050
Ha J-H, Jeong B-H. Airway Foreign Body Mimicking an Endobronchial Tumor Presenting with Pneumothorax in an Adult: A Case Report. Medicina. 2021; 57(1):50. https://doi.org/10.3390/medicina57010050
Chicago/Turabian StyleHa, Jun-Ho, and Byeong-Ho Jeong. 2021. "Airway Foreign Body Mimicking an Endobronchial Tumor Presenting with Pneumothorax in an Adult: A Case Report" Medicina 57, no. 1: 50. https://doi.org/10.3390/medicina57010050
APA StyleHa, J.-H., & Jeong, B.-H. (2021). Airway Foreign Body Mimicking an Endobronchial Tumor Presenting with Pneumothorax in an Adult: A Case Report. Medicina, 57(1), 50. https://doi.org/10.3390/medicina57010050

