Pneumoconiosis with a Sarcoid-Like Reaction Other than Beryllium Exposure: A Case Report and Literature Review
Abstract
1. Introduction
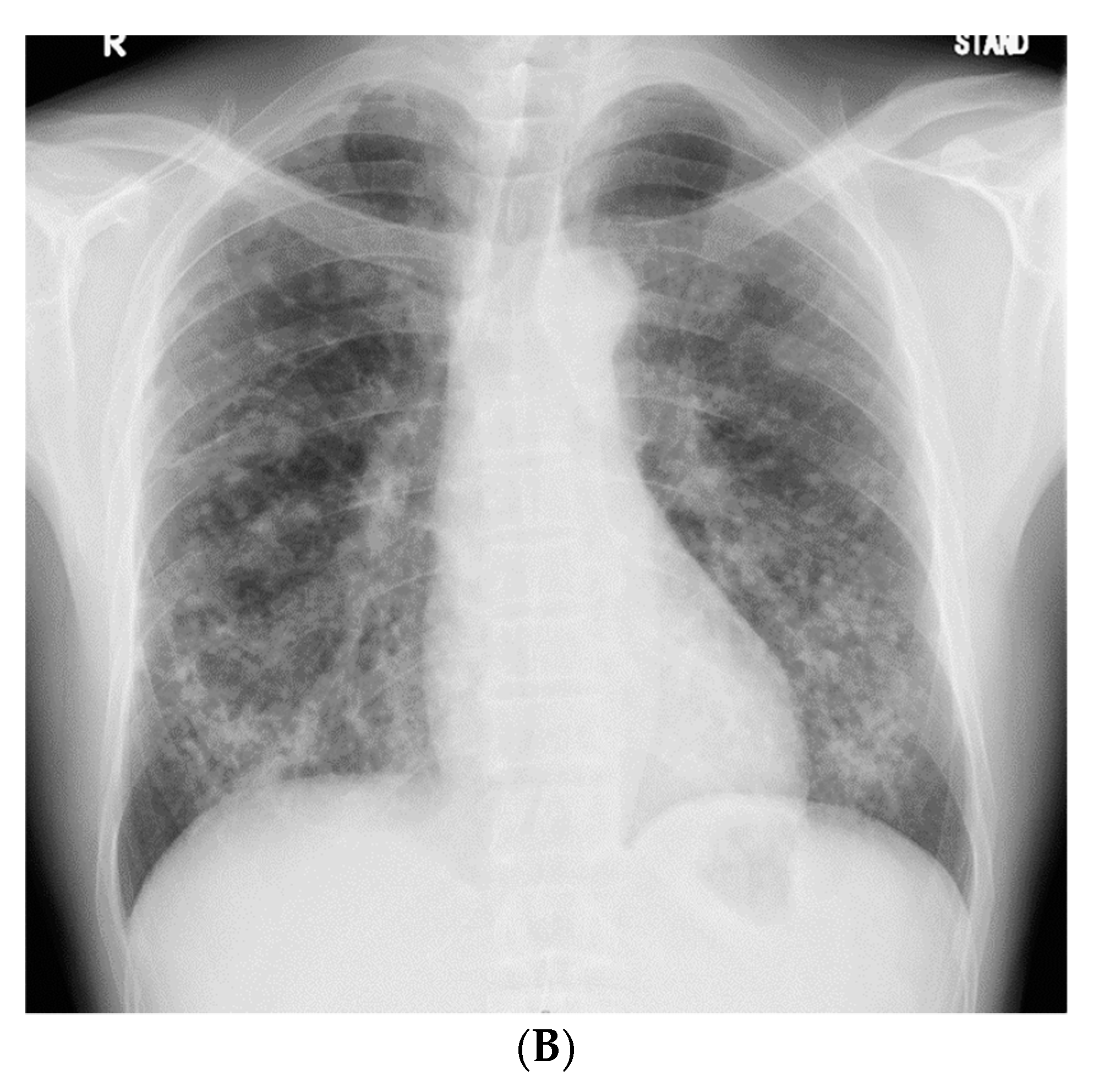
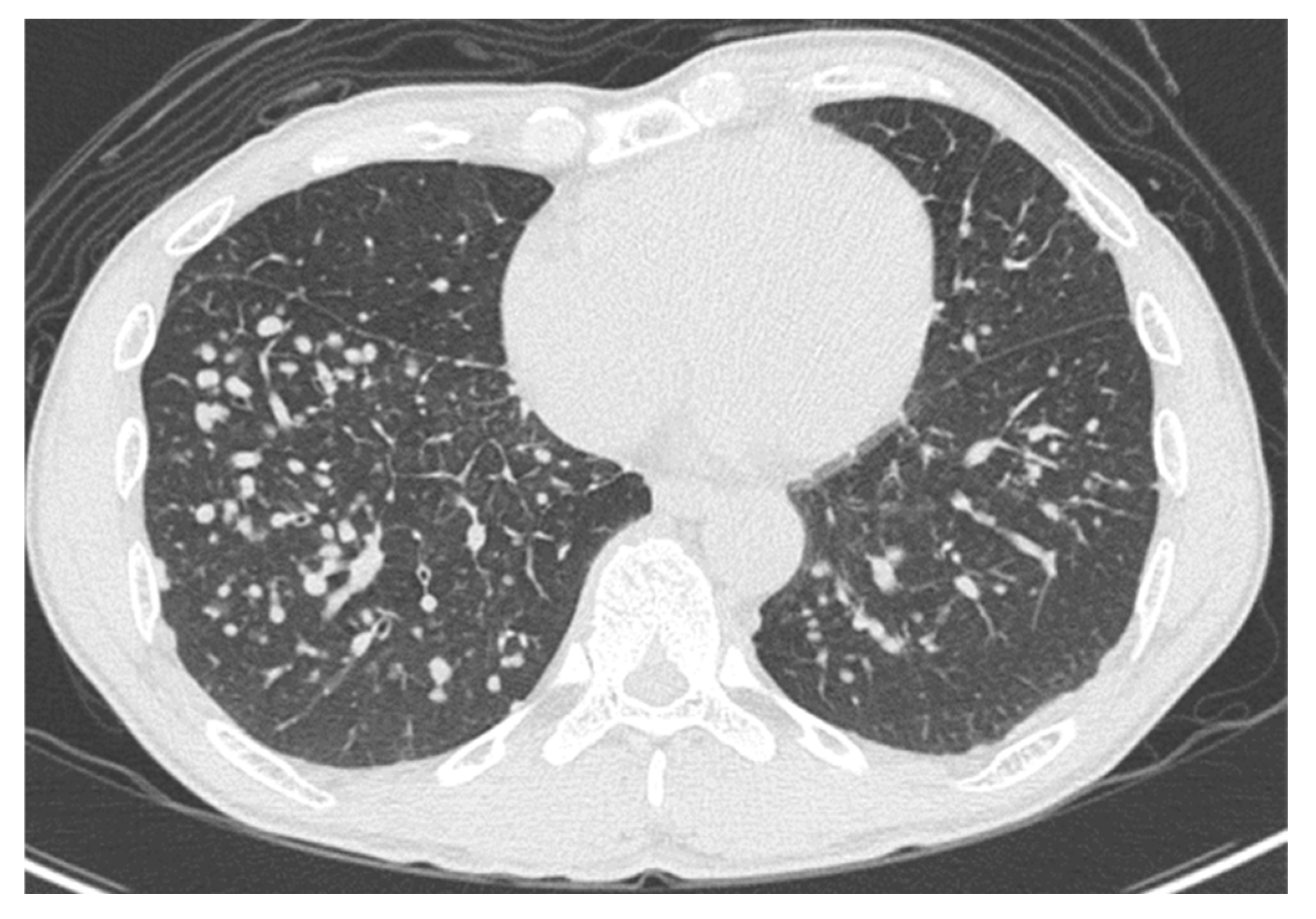
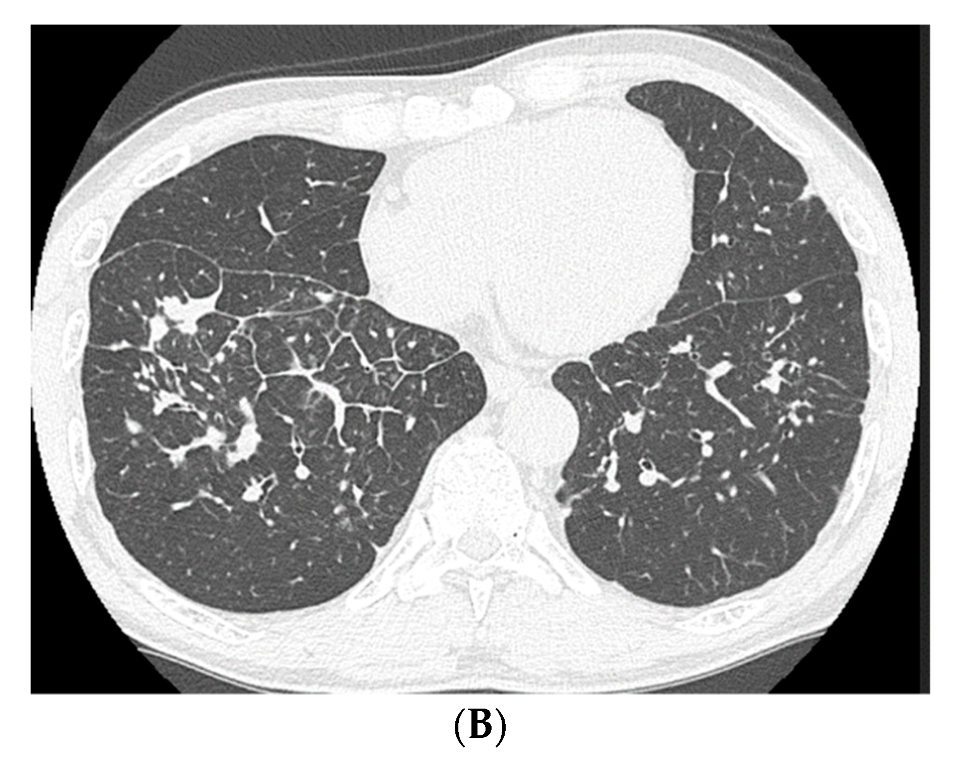
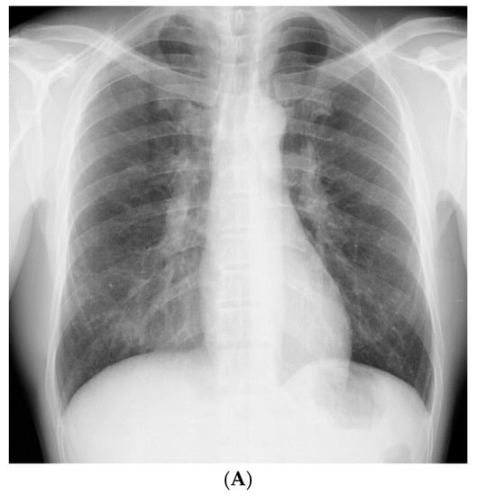
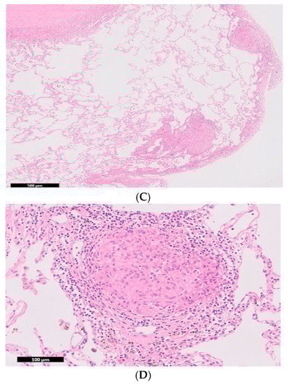
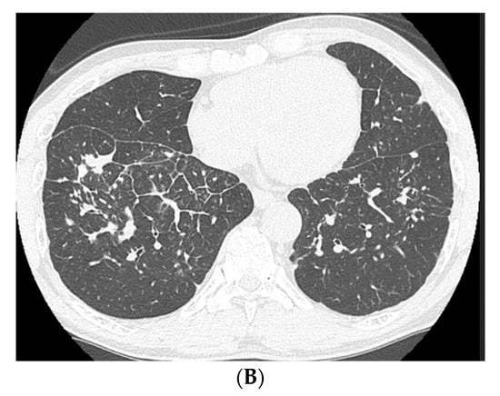
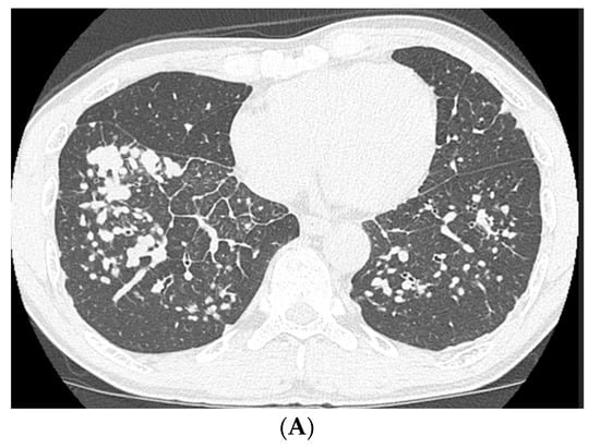
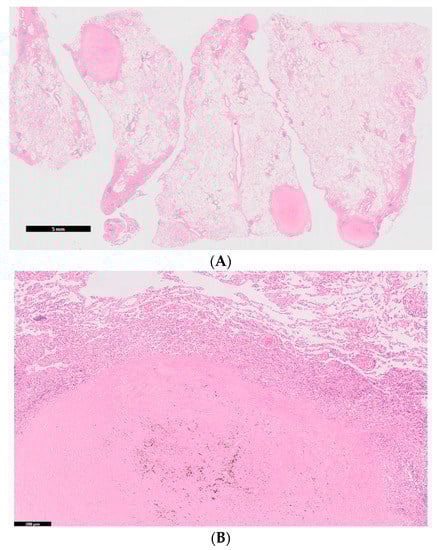
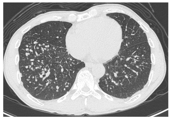
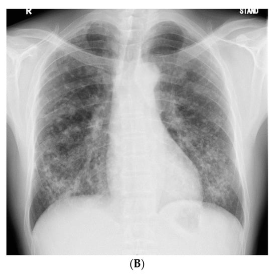
2. Case Presentation
3. Discussion
4. Conclusions
Author Contributions
Funding
Conflicts of Interest
References
- Hardy, H.L.; Tabershaw, I.R. Delayed chemical pneumonitis occurring in workers exposed to beryllium compounds. J. Ind. Hyg. Toxicol. 1946, 28, 197–211. [Google Scholar]
- Drent, M.; Bomans, P.H.; Van Suylen, R.J.; Lamers, R.J.; Bast, A.; Wouters, E.F. Association of man-made mineral fibre exposure and sarcoidlike granulomas. Respir. Med. 2000, 94, 815–820. [Google Scholar] [CrossRef]
- Chen, W.-j.; Monnat, R.J.; Chen, M.; Mottet, N.K. Aluminum induced pulmonary granulomatosis. Hum. Pathol. 1978, 9, 705–711. [Google Scholar] [CrossRef]
- Cao, M.; Cai, H.R.; Meng, F.Q.; Wei, J.Y. Pulmonary sarcoidlike granulomatosis induced by aluminum dust: A case report and literature review. Zhonghua Jie He He Hu Xi Za Zhi Zhonghua Jiehe He Huxi Zazhi Chin. Tubercul. Respir. Dis. 2008, 31, 406–409. [Google Scholar]
- Voisin, C.; Fisekci, F.; Buclez, B.; Didier, A.; Couste, B.; Bastien, F.; Brochard, P.; Pairon, J.C. Mineralogical analysis of the respiratory tract in aluminium oxide-exposed workers. Eur. Respir. J. 1996, 9, 1874–1879. [Google Scholar] [CrossRef]
- Newman, L.S. Metals that cause sarcoidosis. Semin. Respir. Infect. 1998, 13, 212–220. [Google Scholar] [PubMed]
- De Vuyst, P.; Dumortier, P.; Schandene, L.; Estenne, M.; Verhest, A.; Yernault, J.C. Sarcoidlike lung granulomatosis induced by aluminum dusts. Am. Rev. Respir. Dis. 1987, 135, 493–497. [Google Scholar]
- Armbruster, C.; Dekan, G.; Hovorka, A. Granulomatous pneumonitis and mediastinal lymphadenopathy due to photocopier toner dust. Lancet 1996, 348, 690. [Google Scholar] [CrossRef]
- Crummy, F.; Carl, I.; Cameron, C.H.; Heaney, L.G. A possible case of pneumoconiosis in a limestone quarry worker. Occup. Med. (Oxf. Engl.) 2004, 54, 497–499. [Google Scholar] [CrossRef] [PubMed][Green Version]
- Ferreira, A.S.; Moreira, V.B.; Castro, M.C.; Soares, P.J.; Algranti, E.; Andrade, L.R. Case report: Analytical electron microscopy of lung granulomas associated with exposure to coating materials carried by glass wool fibers. Environ. Health Perspect. 2010, 118, 249–252. [Google Scholar] [CrossRef][Green Version]
- Tomioka, H.; Kaneda, T.; Katsuyama, E.; Kitaichi, M.; Moriyama, H.; Suzuki, E. Elemental analysis of occupational granulomatous lung disease by electron probe microanalyzer with wavelength dispersive spectrometer: Two case reports. Respir. Med. Case Rep. 2016, 18, 66–72. [Google Scholar] [CrossRef]
- Drent, M.; Kessels, B.L.; Bomans, P.H.; Wagenaar, S.S.; Henderson, R.F. Sarcoidlike lung granulomatosis induced by glass fibre exposure. Sarcoidosis Vasc. Diffus. Lung Dis. Off. J. WASOG 2000, 17, 86–87. [Google Scholar]
- Xiao, L.; Kookana, A.; McClure, R.; Heraganahally, S. Sarcoid-resembling granulomatous lung disease secondary to occupational magnetite iron dust exposure. Respirol. Case Rep. 2018, 6, e00331. [Google Scholar] [CrossRef] [PubMed]
- Statement on Sarcoidosis. Joint Statement of the American Thoracic Society (ATS), the European Respiratory Society (ERS) and the World Association of Sarcoidosis and Other Granulomatous Disorders (WASOG) adopted by the ATS Board of Directors and by the ERS Executive Committee, February 1999. Am. J. Respir. Crit. Care Med. 1999, 160, 736–755. [Google Scholar]
- Raghu, G.; Remy-Jardin, M.; Ryerson, C.J.; Myers, J.L.; Kreuter, M.; Vasakova, M.; Bargagli, E.; Chung, J.H.; Collins, B.F.; Bendstrup, E.; et al. Diagnosis of Hypersensitivity Pneumonitis in Adults. An Official ATS/JRS/ALAT Clinical Practice Guideline. Am. J. Respir. Crit. Care Med. 2020, 202, e36–e69. [Google Scholar] [CrossRef]
- Fireman, E.; Haimsky, E.; Noiderfer, M.; Priel, I.; Lerman, Y. Misdiagnosis of sarcoidosis in patients with chronic beryllium disease. Sarcoidosis Vasc. Diffus. Lung Dis. Off. J. WASOG 2003, 20, 144–148. [Google Scholar]
- Rossman, M.D.; Kreider, M.E. Is chronic beryllium disease sarcoidosis of known etiology? Sarcoidosis Vasc. Diffus. Lung Dis. Off. J. WASOG 2003, 20, 104–109. [Google Scholar]
- Balmes, J.R.; Abraham, J.L.; Dweik, R.A.; Fireman, E.; Fontenot, A.P.; Maier, L.A.; Muller-Quernheim, J.; Ostiguy, G.; Pepper, L.D.; Saltini, C.; et al. An official American Thoracic Society statement: Diagnosis and management of beryllium sensitivity and chronic beryllium disease. Am. J. Respir. Crit. Care Med. 2014, 190, e34–e59. [Google Scholar] [CrossRef]
- Newman, L.S.; Buschman, D.L.; Newell, J.D., Jr.; Lynch, D.A. Beryllium disease: Assessment with, C.T. Radiology 1994, 190, 835–840. [Google Scholar] [CrossRef]
- Newman, L.S.; Mroz, M.M.; Balkissoon, R.; Maier, L.A. Beryllium sensitization progresses to chronic beryllium disease: A longitudinal study of disease risk. Am. J. Respir. Crit. Care Med. 2005, 171, 54–60. [Google Scholar] [CrossRef]
- Sood, A.; Beckett, W.S.; Cullen, M.R. Variable response to long-term corticosteroid therapy in chronic beryllium disease. Chest 2004, 126, 2000–2007. [Google Scholar] [CrossRef] [PubMed]
- Bernstein, M.; Pairon, J.C.; Morabia, A.; Gaudichet, A.; Janson, X.; Brochard, P. Non-fibrous dust load and smoking in dental technicians: A study using bronchoalveolar lavage. Occup. Environ. Med. 1994, 51, 23–27. [Google Scholar] [CrossRef] [PubMed]
- Kido, T.; Morimoto, Y.; Yatera, K.; Ishimoto, H.; Ogoshi, T.; Oda, K.; Yamasaki, K.; Kawanami, T.; Shimajiri, S.; Mukae, H. The utility of electron microscopy in detecting asbestos fibers and particles in BALF in diffuse lung diseases. BMC Pulm. Med. 2017, 17, 71. [Google Scholar] [CrossRef] [PubMed][Green Version]
- Mitchell, J.; Manning, G.B.; Molyneux, M.; Lane, R.E. Pulmonary fibrosis in workers exposed to finely powdered aluminium. Br. J. Ind. Med. 1961, 18, 10–23. [Google Scholar] [CrossRef] [PubMed]
- Smolková, P.; Nakládalová, M.; Tichý, T.; Hampalová, M.; Kolek, V. Occupational pulmonary aluminosis: A case report. Ind. Health 2014, 52, 147–151. [Google Scholar] [CrossRef] [PubMed]
- Krewski, D.; Yokel, R.A.; Nieboer, E.; Borchelt, D.; Cohen, J.; Harry, J.; Kacew, S.; Lindsay, J.; Mahfouz, A.M.; Rondeau, V. Human health risk assessment for aluminium, aluminium oxide, and aluminium hydroxide. J. Toxicol. Environ. Health Part B Crit. Rev. 2007, 10 (Suppl. 1), 1–269. [Google Scholar] [CrossRef]
- Fireman, E.; Shai, A.B.; Alcalay, Y.; Ophir, N.; Kivity, S.; Stejskal, V. Identification of metal sensitization in sarcoid-like metal-exposed patients by the MELISA® lymphocyte proliferation test—A pilot study. J. Occup. Med. Toxicol. (Lond. Engl.) 2016, 11, 18. [Google Scholar] [CrossRef]
- Frye, B.C.; Quartucci, C.; Rakete, S.; Grubanovic, A.; Höhne, K.; Mangold, F.; Gieré, R.; Müller-Quernheim, J.; Zissel, G. A Cluster of Beryllium Sensitization Traced to the Presence of Beryllium in Concrete Dust. Chest 2020. [Google Scholar] [CrossRef]










Publisher’s Note: MDPI stays neutral with regard to jurisdictional claims in published maps and institutional affiliations. |
© 2020 by the authors. Licensee MDPI, Basel, Switzerland. This article is an open access article distributed under the terms and conditions of the Creative Commons Attribution (CC BY) license (http://creativecommons.org/licenses/by/4.0/).
Share and Cite
Hayashi, F.; Kido, T.; Sakamoto, N.; Zaizen, Y.; Ozasa, M.; Yokoyama, M.; Yura, H.; Hara, A.; Ishimoto, H.; Yamaguchi, H.; et al. Pneumoconiosis with a Sarcoid-Like Reaction Other than Beryllium Exposure: A Case Report and Literature Review. Medicina 2020, 56, 630. https://doi.org/10.3390/medicina56110630
Hayashi F, Kido T, Sakamoto N, Zaizen Y, Ozasa M, Yokoyama M, Yura H, Hara A, Ishimoto H, Yamaguchi H, et al. Pneumoconiosis with a Sarcoid-Like Reaction Other than Beryllium Exposure: A Case Report and Literature Review. Medicina. 2020; 56(11):630. https://doi.org/10.3390/medicina56110630
Chicago/Turabian StyleHayashi, Fumiko, Takashi Kido, Noriho Sakamoto, Yoshiaki Zaizen, Mutsumi Ozasa, Mitsuru Yokoyama, Hirokazu Yura, Atsuko Hara, Hiroshi Ishimoto, Hiroyuki Yamaguchi, and et al. 2020. "Pneumoconiosis with a Sarcoid-Like Reaction Other than Beryllium Exposure: A Case Report and Literature Review" Medicina 56, no. 11: 630. https://doi.org/10.3390/medicina56110630
APA StyleHayashi, F., Kido, T., Sakamoto, N., Zaizen, Y., Ozasa, M., Yokoyama, M., Yura, H., Hara, A., Ishimoto, H., Yamaguchi, H., Miyazaki, T., Obase, Y., Ishimatsu, Y., Eishi, Y., Fukuoka, J., & Mukae, H. (2020). Pneumoconiosis with a Sarcoid-Like Reaction Other than Beryllium Exposure: A Case Report and Literature Review. Medicina, 56(11), 630. https://doi.org/10.3390/medicina56110630

