Major Clues and Pitfalls in the Differential Diagnosis of Parathyroid and Thyroid Lesions Using Fine Needle Aspiration Cytology
Abstract
1. Introduction
2. Materials and Methods
3. Results
3.1. Analysis of Parathyroid Lesions (PLs) Using Ultrasound-Guided FNAC
3.2. Serum PTH and Ionized Calcium Levels
3.3. Comparison of Histological and Initial Cytological Diagnoses
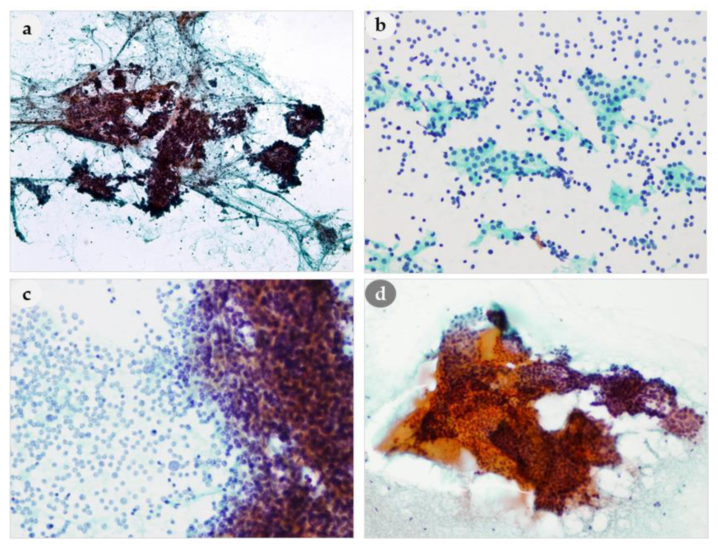
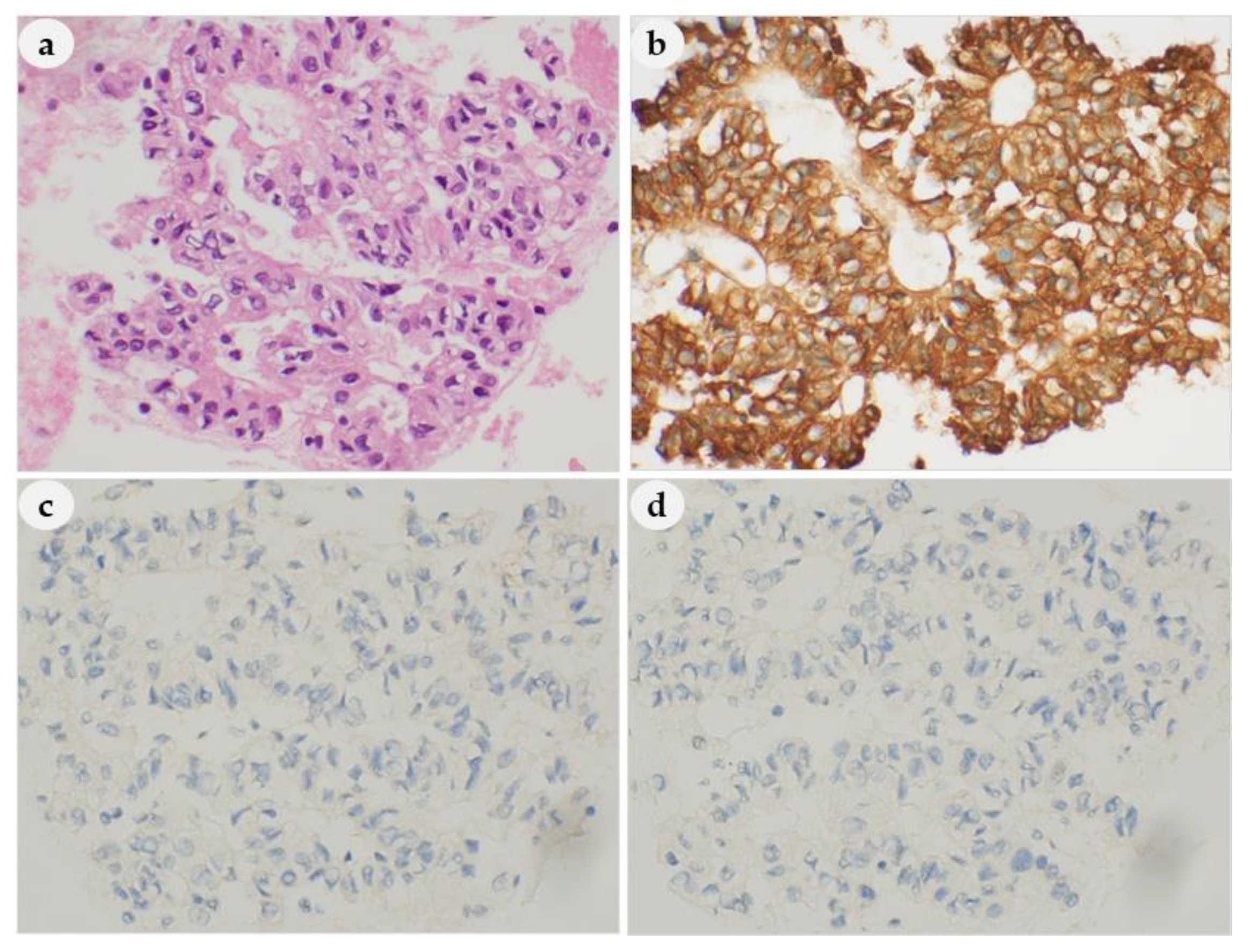
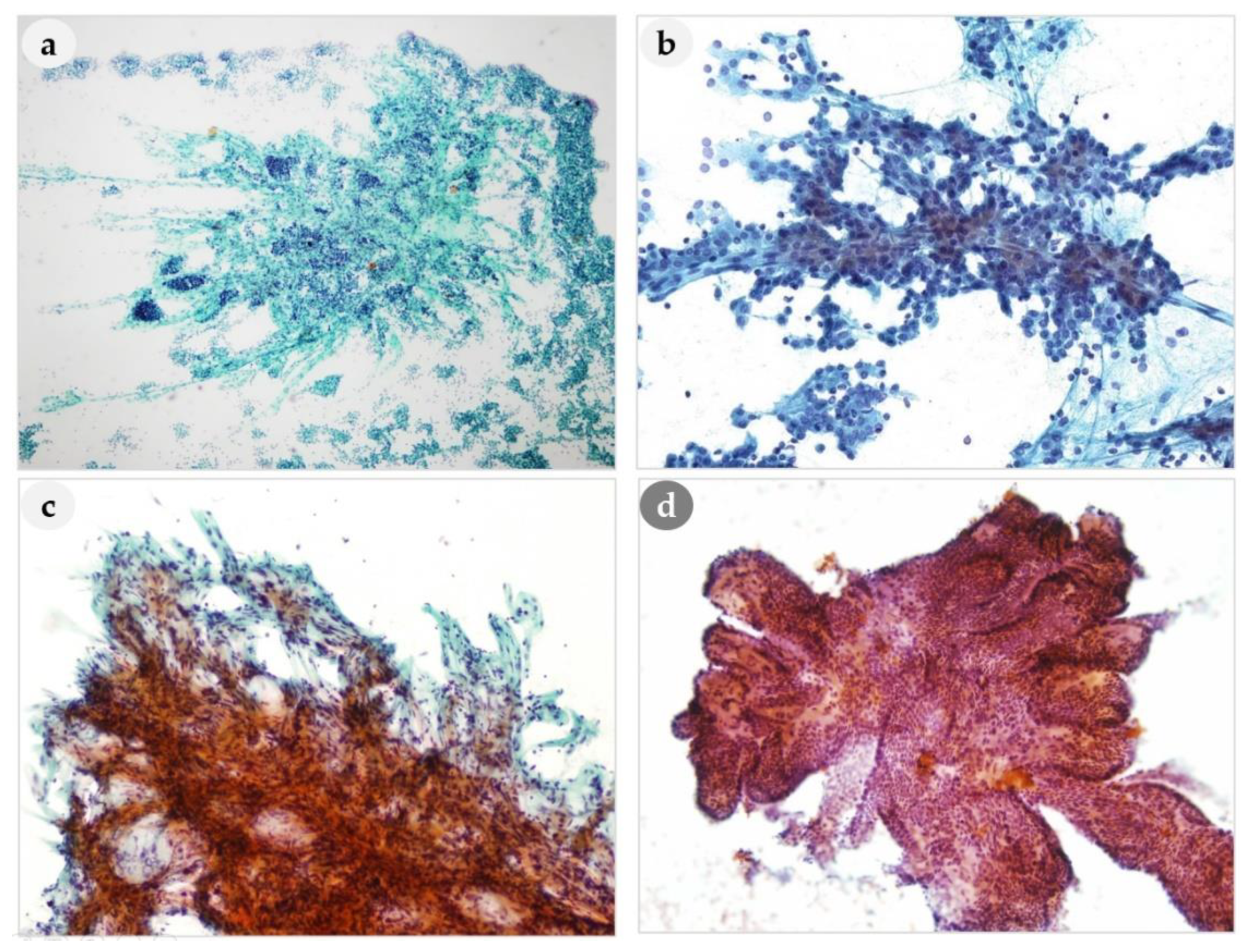
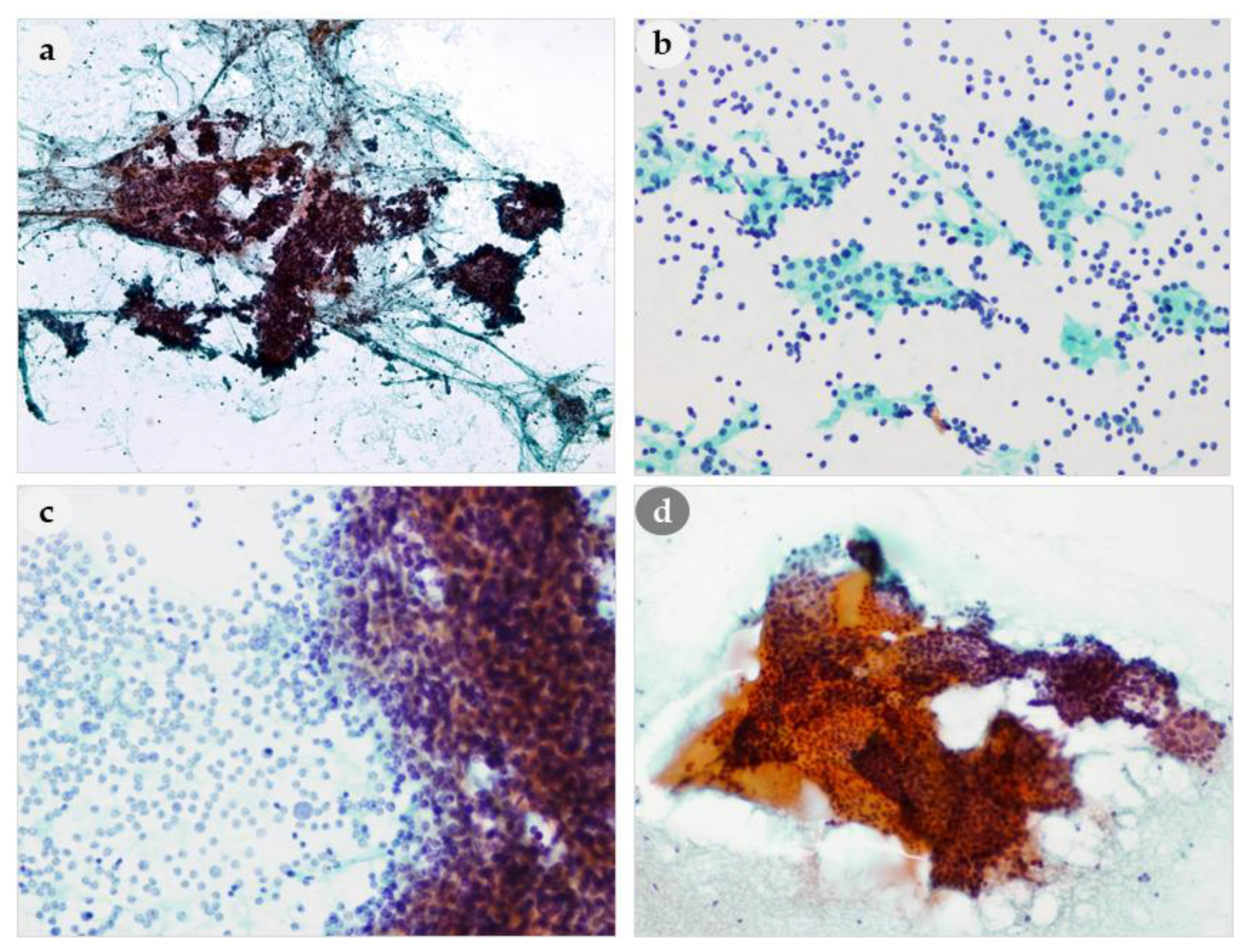
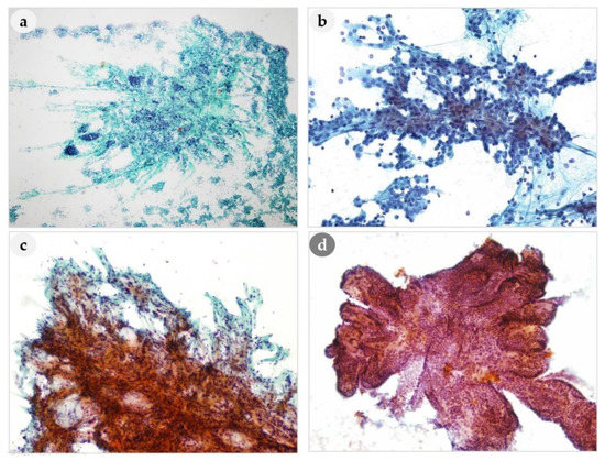
3.4. Cytomorphological Features
3.4.1. Architectural Features
3.4.2. Nuclear Features
3.4.3. Cytoplasmic Features
3.4.4. Background and Extracellular Material
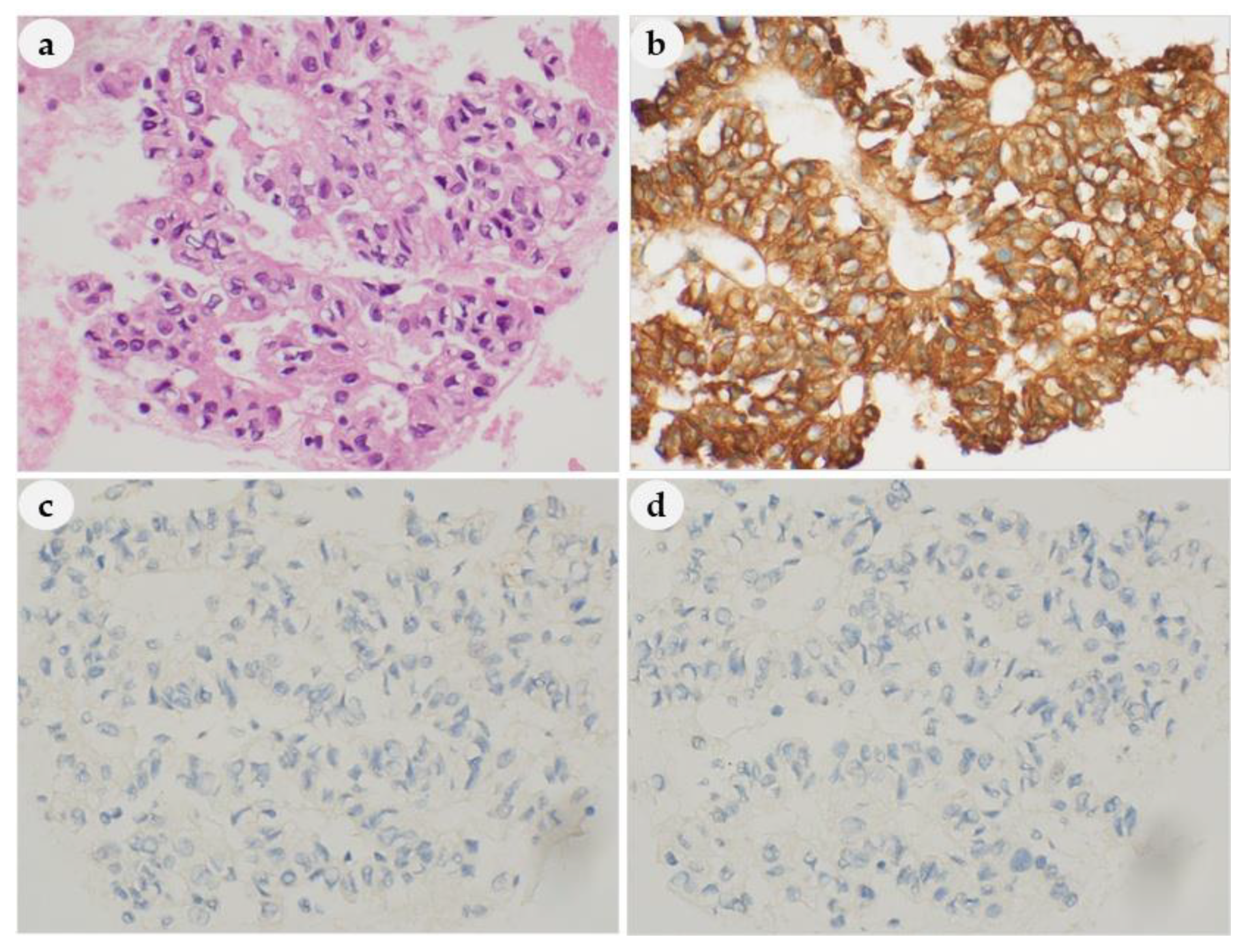
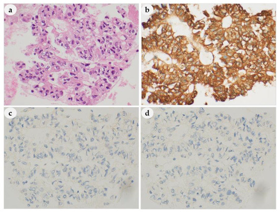
3.5. IHC Staining Results
4. Discussion
5. Conclusions
Author Contributions
Funding
Conflicts of Interest
References
- Baloch, Z.W.; LiVolsi, V.A. Pathology of the parathyroid glands in hyperparathyroidism. Semin Diagn Pathol. 2013, 30, 165–177. [Google Scholar] [CrossRef]
- Mizamtsidi, M.; Nastos, C.; Mastorakos, G.; Dina, R.; Vassiliou, I.; Gazouli, M.; Palazzo, F. Diagnosis, management, histology and genetics of sporadic primary hyperparathyroidism: Old knowledge with new tricks. Endocr. Connect. 2018, 7, R56–R68. [Google Scholar] [CrossRef]
- Attie, J.; Estrin, J.; Khafif, R.; Dweck, F. Parathyroid adenomas discovered incidentally during explorations of the thyroid. Am. J. Surg. 1967, 114, 538–542. [Google Scholar] [CrossRef]
- Heo, I.; Park, S.; Jung, C.W.; Koh, J.S.; Lee, S.-S.; Seol, H.; Choi, H.S.; Cho, S.Y. Fine needle aspiration cytology of parathyroid lesions. Korean J. Pathol. 2013, 47, 466–471. [Google Scholar] [CrossRef]
- Ghervan, C.; Silaghi, C.A.; Nemes, C. Parathyroid incidentaloma detected during thyroid sonography-prevalence and significance beyond images. Med. Ultrason 2012, 14, 187–191. [Google Scholar]
- Zanocco, K.A.; Yeh, M.W.J.E.; Clinics, M. Primary hyperparathyroidism: Effects on bone health. Endocrinol. Metab. Clin. N. Am. 2017, 46, 87–104. [Google Scholar] [CrossRef]
- Silverberg, S.J. Natural history of primary hyperparathyroidism. Endocrinol. Metab. Clin. N. Am. 2000, 29, 451–464. [Google Scholar] [CrossRef]
- Tseng, F.-Y.; Hsiao, Y.-L.; Chang, T.-C. Ultrasound-guided fine needle aspiration cytology of parathyroid lesions. A review of 72 cases. Acta Cytol. 2002, 46, 1029–1036. [Google Scholar] [CrossRef] [PubMed]
- Prasad, M.L.; Khan, A. Tumors of parathyroid gland. In Surgical Pathology of Endocrine and Neuroendocrine Tumors; Khan, A., Ed.; Humana Press: New York, NY, USA, 2009; pp. 99–110. [Google Scholar]
- Frasoldati, A.; Pesenti, M.; Toschi, E.; Azzarito, C.; Zini, M.; Valcavi, R. Detection and diagnosis of parathyroid incidentalomas during thyroid sonography. J. Clin. Ultrasound 1999, 27, 492–498. [Google Scholar] [CrossRef]
- Liu, F.; Gnepp, D.R.; Pisharodi, L.R. Fine needle aspiration of parathyroid lesions. Acta Cytol. 2004, 48, 133–136. [Google Scholar] [CrossRef] [PubMed]
- Han, M.G.; Yoon, J.H.; Kim, S.J.; Kim, H.K.; Cho, J.S.; Kang, H.-C. Comparison of Ultrasonography and 99m Tc-sestamibi scan for preoperative localization of parathyroid adenoma. Korean J. Med. 2015, 89, 48–53. [Google Scholar] [CrossRef]
- Sacks, B.; Pallotta, J.; Cole, A.; Hurwitz, J. Diagnosis of parathyroid adenomas: Efficacy of measuring parathormone levels in needle aspirates of cervical masses. AJR Am. J. Roentgenol. 1994, 163, 1223–1226. [Google Scholar] [CrossRef] [PubMed]
- Friedman, M.; Shimaoka, K.; Lopez, C.; Shedd, D.J. Parathyroid adenoma diagnosed as papillary carcinoma of thyroid on needle aspiration smears. Acta Cytol. 1983, 27, 337. [Google Scholar] [PubMed]
- Layfield, L.J. Fine needle aspiration cytology of cystic parathyroid lesions. A cytomorphologic overlap with cystic lesions of the thyroid. Acta Cytol. 1991, 35, 447–450. [Google Scholar]
- Marco, V.; Carrasco, M.; Marco, C.; Bauza, A. Cytomorphology of a mediastinal parathyroid cyst. Report of a case mimicking malignancy. Acta Cytol. 1983, 27, 688–692. [Google Scholar]
- Kim, M.J.; Kim, E.-K.; Park, S.I.; Kim, B.M.; Kwak, J.Y.; Kim, S.J.; Youk, J.H.; Park, S.H. US-guided fine-needle aspiration of thyroid nodules: Indications, techniques, results. Radiographics 2008, 28, 1869–1886. [Google Scholar] [CrossRef]
- Nathan, N.A.; Narayan, E.; Smith, M.M.; Horn, M.J. Cell block cytology: Improved preparation and its efficacy in diagnostic cytology. Am. J. Clin. Pathol. 2000, 114, 599–606. [Google Scholar] [CrossRef]
- Dimashkieh, H.; Krishnamurthy, S. Ultrasound guided fine needle aspiration biopsy of parathyroid gland and lesions. Cytojournal. 2006, 28, 3:6. [Google Scholar]
- Löwhagen, T. Cytologic presentation of thyroid tumors in aspiration biopsy smear. A review of 60cases. Acta Cytol. 1974, 18, 192–197. [Google Scholar]
- Tsai, T.-H.; Chang, T.-C.; Chiang, C.-P. Nuclear area measurements of parathyroid adenoma, parathyroid hyperplasia and thyroid follicular adenoma. A comparison. Anal. Quant. Cytol. Histol. 1997, 19, 45–48. [Google Scholar]
- Wong, N.; Mihai, R.; Sheffield, E.A.; Calder, C.J.; Farndon, J.R. Imprint cytology of parathyroid tissue in relation to other tissues of the neck and mediastinum. Acta Cytol. 2000, 44, 109–113. [Google Scholar] [CrossRef] [PubMed]
- Agarwal, C.; Kaushal, M. Parathyroid lesions: Difficult diagnosis on cytology. Diagn Cytopathol. 2016, 44, 704–709. [Google Scholar] [CrossRef] [PubMed]
- Kini, U.; Shariff, S.; Thomas, J.A. Ultrasonically guided fine needle aspiration of the parathyroid. A report of two cases. Acta Cytol. 1993, 37, 747–751. [Google Scholar]
- Abati, A.; Skarulis, M.C.; Shawker, T.; Solomon, D. Ultrasound-guided fine-needle aspiration of parathyroid lesions: A morphological and immunocytochemical approach. Hum. Pathol. 1995, 26, 338–343. [Google Scholar] [CrossRef]
- Mincione, G.; Borrelli, D.; Cicchi, P.; Ipponi, P.; Fiorini, A. Fine needle aspiration cytology of parathyroid adenoma. A review of seven cases. Acta Cytol. 1986, 30, 65–69. [Google Scholar]
- Goellner, J.R.; Caudill, J.L. Intranuclear holes (cytoplasmic pseudoinclusions) in parathyroid neoplasms, or “holes happen”. Cancer 2000, 90, 41–46. [Google Scholar] [CrossRef]
- Halbauer, M.; Crepinko, I.; Tomć, H.B.; Simonović, I. Fine needle aspiration cytology in the preoperative diagnosis of ultrasonically enlarged parathyroid glands. Acta Cytol. 1991, 35, 728–735. [Google Scholar]
- Bondeson, L.; Bondeson, A.G.; Nissborg, A.; Thompson, N.W. Cytopathological variables in parathyroid lesions: A study based on 1600 cases of hyperparathyroidism. Diagn Cytopathol. 1997, 16, 476–482. [Google Scholar] [CrossRef]
- Giorgadze, T.; Stratton, B.; Baloch, Z.W.; LiVolsi, V.A. Oncocytic parathyroid adenoma: Problem in cytological diagnosis. Diagn Cytopathol. 2004, 31, 276–280. [Google Scholar] [CrossRef]
- Cho, M.; Oweity, T.; Brandler, T.C.; Fried, K.; Levine, P. Distinguishing parathyroid and thyroid lesions on ultrasound-guided fine-needle aspiration: A correlation of clinical data, ancillary studies, and molecular analysis. Cancer Cytopathol. 2017, 125, 674–682. [Google Scholar] [CrossRef]
- Agarwal, A.M.; Bentz, J.S.; Hungerford, R.; Abraham, D. Parathyroid fine-needle aspiration cytology in the evaluation of parathyroid adenoma: Cytologic findings from 53 patients. Diagn Cytopathol. 2009, 37, 407–410. [Google Scholar] [CrossRef] [PubMed]
- Absher, K.J.; Truong, L.D.; Khurana, K.K.; Ramzy, I. Parathyroid cytology: Avoiding diagnostic pitfalls. Head Neck 2002, 24, 157–164. [Google Scholar] [CrossRef] [PubMed]
- Lloyd, R.; Osamura, R.; Klöppel, G.; Rosai, J. WHO Classification of Tumours of Endocrine Organs, 4th ed.; IARC Press: Lyon, France, 2017; Volume 10, p. 155. [Google Scholar]
- Erickson, L.A.; Mete, O. Immunohistochemistry in diagnostic parathyroid pathology. Endocr. Pathol. 2018, 29, 113–129. [Google Scholar] [CrossRef] [PubMed]
- Owens, C.L.; Rekhtman, N.; Sokoll, L.; Ali, S.Z. Parathyroid hormone assay in fine-needle aspirate is useful in differentiating inadvertently sampled parathyroid tissue from thyroid lesions. Diagn Cytopathol. 2008, 36, 227–231. [Google Scholar] [CrossRef] [PubMed]
- Wuertz, F.G.; Kresnik, E.; Malle, P.; Hyden, M.; Lind, P.; Rogatsch, H.; Gallowitsch, H.J. Fine-needle aspiration with immunohistochemistry using a modified scrape cell block technique for the diagnosis of thyroid and parathyroid nodules. Acta Cytol. 2016, 60, 118–130. [Google Scholar] [CrossRef]
- Tseleni-Balafouta, S.; Gakiopoulou, H.; Kavantzas, N.; Agrogiannis, G.; Givalos, N. Parathyroid proliferations: A source of diagnostic pitfalls in FNA of thyroid. Cancer Cytopathol. 2007, 111, 130–136. [Google Scholar] [CrossRef]
- Chang, T.-C.; Tung, C.-C.; Hsiao, Y.-L.; Chen, M.-H. Immunoperoxidase staining in the differential diagnosis of parathyroid from thyroid origin in fine needle aspirates of suspected parathyroid lesions. Acta Cytol. 1998, 42, 619–624. [Google Scholar] [CrossRef]







| Characteristics | No. of Cases (%) | |
|---|---|---|
| Gender | Male | 10 (22) |
| Female | 36 (78) | |
| Age (mean age 48.6) | ≤40 | 12 (26) |
| 41–50 | 14 (30) | |
| ≥51 | 20 (44) | |
| Size of the lesion (range 0.2–5.6 cm) | <2.0 cm | 29 (63) |
| 2.0–3.0 cm | 10 (22) | |
| >3.0 cm | 7 (15) | |
| Location | Normal parathyroid position | 6 (13) |
| Intrathyroidal | 3 (6) | |
| Posterior to thyroid gland | 16 (35) | |
| Inferior to thyroid gland | 10 (22) | |
| Paratracheal | 9 (20) | |
| Neck | 2 (4) | |
| Ultrasonography | Parathyroid lesion | 33 (72) |
| Nodular hyperplasia of thyroid | 6 (13) | |
| Papillary thyroid carcinoma | 2 (4) | |
| Lymph node metastasis | 2 (4) | |
| TB lymphadenopathy | 1 (2) | |
| Suture granuloma | 1 (2) | |
| Indeterminate nodule of thyroid | 1 (2) | |
| MIBI scintigraphy | Parathyroid adenoma (PA) | 36 (92) |
| No evidence of PH or PA | 2 (5) | |
| Adenomatous goiter, more likely than PA | 1 (3) | |
| Not done | 7 |
| Histologic Diagnosis No. of Cases (%) | PTH Level No. of Cases (%) | Ionized Calcium Level No. of Cases (%) | ||
|---|---|---|---|---|
| High | Normal | High | Normal | |
| PH, n = 3 (%) | 3 (100) | 0 (0) | 2 (67) | 1 (33) |
| PA, n = 34 (%) | 30 (88) | 4 (11) | 31 (91) | 3 (9) |
| APA, n = 1 (%) | 1 (100) | 0 (0) | 1 (100) | 0 (0) |
| PC, n = 7 (%) | 7 (100) | 0 (0) | 6 (86) | 1 (14) |
| Total, n = 45 (%) | 41 (91) | 4 (9) | 40 (89) | 5 (11) |
| Initial FNAC Diagnosis No. of Cases (%) | Histological Diagnosis No. of Cases (%) | |||
|---|---|---|---|---|
| PH n = 3 (%) | PA n = 35 (%) | APA n = 1 (%) | PC n = 7 (%) | |
| Parathyroid neoplasm | ||||
| 31 (67) | 2 (67) | 21 (60) | 1 (100) | 7 (100) |
| Benign (non-specific) | ||||
| 5 (11) | 0 (0) | 5 (14) | 0 (0) | 0 (0) |
| Nodular hyperplasia of thyroid | ||||
| 4 (9) | 1 (33) | 3 (9) | 0 (0) | 0 (0) |
| Atypical cells | ||||
| 5 (11) | 0 (0) | 5 (14) | 0 (0) | 0 (0) |
| Metastatic PTC | ||||
| 1 (2) | 0 (0) | 1 (3) | 0 (0) | 0 (0) |
| Cytologic Characteristics | Histologic Diagnosis No. of Cases (%) | |||||
|---|---|---|---|---|---|---|
| PH n = 3 (%) | PA n = 35 (%) | APA n = 1 (%) | PC n = 7 (%) | Total n = 46 (%) | ||
| Architecture | Follicular structures | 0 (0) | 14 (40) | 0 (0) | 0 (0) | 14 (30) |
| Papillary-like cluster with vascular core | 1 (33) | 23 (66) | 1 (100) | 7 (100) | 32 (70) | |
| Tight clusters | 2 (67) | 21 (60) | 1 (100) | 6 (86) | 30 (65) | |
| Loose clusters | 3 (100) | 28 (80) | 1 (100) | 7 (100) | 39 (85) | |
| Dispersed cells | 1 (33) | 18 (51) | 0 (0) | 4 (57) | 23 (50) | |
| Nuclei | Anisonucleosis | 1 (33) | 17 (49) | 0 (0) | 6 (86) | 24 (52) |
| Stippled chromatin | 3 (100) | 35 (100) | 1 (100) | 7 (100) | 46 (100) | |
| Nucleoli | 2 (67) | 22 (63) | 0 (0) | 6 (86) | 30 (65) | |
| Intranuclear pseudoinclusions | 0 (0) | 7 (20) | 0 (0) | 5 (71) | 12 (26) | |
| Nuclear grooving | 1 (33) | 5 (14) | 0 (0) | 3 (43) | 9 (20) | |
| Cytoplasm | Vacuolation | 0 (0) | 2 (6) | 0 (0) | 2 (29) | 4 (9) |
| Granularity | 3 (100) | 35 (100) | 1 (100) | 7 (100) | 46 (100) | |
| Oxyphilic | 0 (0) | 7 (20) | 0 (0) | 0 (0) | 7 (15) | |
| Background | Colloid-like material | 1 (33) | 7 (22) | 0 (0) | 3 (43) | 11 (24) |
| Macrophages | 1 (33) | 4 (13) | 0 (0) | 3 (43) | 8 (17) | |
| Bare nuclei | 3 (100) | 29 (83) | 1 (100) | 7 (100) | 40 (87) | |
Publisher’s Note: MDPI stays neutral with regard to jurisdictional claims in published maps and institutional affiliations. |
© 2020 by the authors. Licensee MDPI, Basel, Switzerland. This article is an open access article distributed under the terms and conditions of the Creative Commons Attribution (CC BY) license (http://creativecommons.org/licenses/by/4.0/).
Share and Cite
Ha, H.J.; Kim, E.J.; Kim, J.-S.; Shin, M.-S.; Noh, I.; Park, S.; Koh, J.S.; Lee, S.-S. Major Clues and Pitfalls in the Differential Diagnosis of Parathyroid and Thyroid Lesions Using Fine Needle Aspiration Cytology. Medicina 2020, 56, 558. https://doi.org/10.3390/medicina56110558
Ha HJ, Kim EJ, Kim J-S, Shin M-S, Noh I, Park S, Koh JS, Lee S-S. Major Clues and Pitfalls in the Differential Diagnosis of Parathyroid and Thyroid Lesions Using Fine Needle Aspiration Cytology. Medicina. 2020; 56(11):558. https://doi.org/10.3390/medicina56110558
Chicago/Turabian StyleHa, Hwa Jeong, Eun Ju Kim, Jung-Soon Kim, Myung-Soon Shin, Insup Noh, Sunhoo Park, Jae Soo Koh, and Seung-Sook Lee. 2020. "Major Clues and Pitfalls in the Differential Diagnosis of Parathyroid and Thyroid Lesions Using Fine Needle Aspiration Cytology" Medicina 56, no. 11: 558. https://doi.org/10.3390/medicina56110558
APA StyleHa, H. J., Kim, E. J., Kim, J.-S., Shin, M.-S., Noh, I., Park, S., Koh, J. S., & Lee, S.-S. (2020). Major Clues and Pitfalls in the Differential Diagnosis of Parathyroid and Thyroid Lesions Using Fine Needle Aspiration Cytology. Medicina, 56(11), 558. https://doi.org/10.3390/medicina56110558

