Changes in Morphology and Presence of Pinopodes in Endometrial Cells during the Luteal Phase in Women with Infertility Problems: A Pilot Study
Abstract
1. Introduction
2. Materials and Methods
2.1. Human Subjects
2.2. Histology
2.3. Transmission Electron Microscopy
2.4. Scanning Electron Microscopy
3. Results
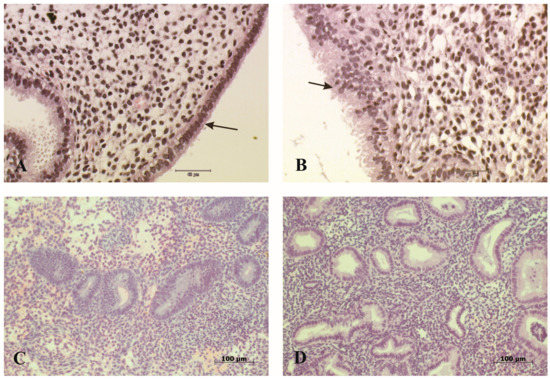
3.1. Histology
3.2. TEM
3.3. SEM
4. Discussion
5. Conclusions
Author Contributions
Funding
Acknowledgments
Conflicts of Interest
References
- The ESHRE Capri Workshop Group. Europe the continent with the lowest fertility. Hum. Reprod. Update 2010, 6, 590–602. [Google Scholar]
- Boivin, J.; Bunting, L.; Collins, J.A.; Nygren, K.G. International estimates of infertility prevalence and treatment-seeking: Potential need and demand for infertility medical care. Hum. Reprod. 2007, 22, 1506–1512. [Google Scholar] [CrossRef] [PubMed]
- Spira, A. Epidemiology of human reproduction. Hum. Reprod. 1986, 1, 111–115. [Google Scholar] [CrossRef] [PubMed]
- Bourgain, C.; Devroey, P. The endometrium in stimulated cycles for IVF. Hum. Reprod. Update 2003, 9, 515–522. [Google Scholar] [CrossRef] [PubMed]
- Johannisson, E.; Nilsson, L. Scanning electron microscopic study of the human endometrium. Fertil. Steril. 1972, 23, 613–625. [Google Scholar] [CrossRef]
- Lopata, A.; Bentin-Ley, U.; Enders, A. Pinopodes and implantation. Rev. Endocr. Metab. Disord. 2002, 3, 77–86. [Google Scholar] [CrossRef] [PubMed]
- Nikas, G. Pinopodes as markers of endometrial receptivity in clinical practice. Hum. Reprod. 1999, 14, 99–106. [Google Scholar] [CrossRef] [PubMed]
- Stavreus-Evers, A.; Nikas, G.; Sahlin, L.; Eriksson, H.; Landgren, B.M. Formation of pinopodes in human endometrium is associated with the concentrations of progesterone and progesterone receptors. Fertil. Steril. 2001, 76, 782–791. [Google Scholar] [CrossRef]
- Nikas, G.; Drakakis, P.; Loutradis, D.; Mara-Skoufari, C.; Koumantakis, E.; Michalas, S.; Psychoyos, A. Uterine pinopodes as markers of the ‘nidation window’ in cycling women receiving exogenous oestradiol and progesterone. Hum. Reprod. 1995, 10, 1208–1213. [Google Scholar] [CrossRef] [PubMed]
- Quinn, C.E.; Ryan, E.; Claessens, E.A.; Greenblatt, E.; Hawrylyshyn, P.; Cruicshank, B.; Hannam, T.; Dunk, C.; Casper, R.F. The presence of pinopodes in the human endometrium does not delineate the implantation window. Fertil. Steril. 2007, 87, 1015–1021. [Google Scholar] [CrossRef] [PubMed]
- Qiong, Z.; Jie, H.; Yonggang, W.; Bin, X.; Jing, Z.; Yanping, L. Clinical validation of pinopode as a marker of endometrial receptivity: A randomized controlled trial. Fertil. Steril. 2017, 108, 513–517. [Google Scholar] [CrossRef] [PubMed]
- Jin, X.Y.; Zhao, L.J.; Luo, D.H.; Liu, L.; Dai, Y.D.; Hu, X.X.; Wang, Y.Y.; Lin, X.; Hong, F.; Li, T.C.; et al. Pinopode score around the time of implantation is predictive of successful implantation following frozen embryo transfer in hormone replacement cycles. Hum. Reprod. 2017, 32, 2394–2403. [Google Scholar] [CrossRef] [PubMed]
- Coutifaris, C.; Myers, E.R.; Guzick, D.S.; Diamond, M.P.; Carson, S.A.; Legro, R.S.; McGovern, P.G.; Schlaff, W.D.; Carr, B.R.; Steinkampf, M.P.; et al. Histological dating of timed endometrial biopsy tissue is not related to fertility status. Fertil. Steril. 2004, 82, 1264–1272. [Google Scholar] [CrossRef] [PubMed]
- Noyes, R.W.; Hertig, A.T.; Rock, J. Dating the endometrial biopsy. Fertil. Steril. 1950, 1, 3–25. [Google Scholar] [CrossRef]
- Acosta, A.A.; Elberger, L.; Borghi, M.; Calamera, J.C.; Chemes, H.; Doncel, G.F.; Kliman, H.; Lema, B.; Lustig, L.; Papier, S. Endometrial dating and determination of the window of implantation in healthy fertile women. Fertil. Steril. 2000, 73, 788–798. [Google Scholar] [CrossRef]
- Stavreus-Evers, A.; Aghajanova, J.; Brismar, H.; Eriksson, H.; Landgren, B.M.; Hovatta, O. Co-existence of heparing-binding epidermal growth factor-like growth-factor and pinopodes in human endometrium at the time of implantation. Mol. Hum. Reprod. 2002, 8, 765–769. [Google Scholar] [CrossRef] [PubMed]
- Ferenczy, A.; Richard, R.M.; Agate, F.J.; Perkerson, M.L.; Dempsey, E.W. Scanning electron microscopy of the human endometrial surface epithelium. Fertil. Steril. 1972, 23, 515–521. [Google Scholar] [CrossRef]
- Xu, B.; Sun, X.; Li, L.; Wu, L.; Zhang, A.; Feng, Y. Pinopodes, leukemia inhibitory factor, integrin-β3, and mucin-1 expression in the peri-implantation endometrium of women with unexplained recurrent pregnancy loss. Fertil. Steril. 2012, 98, 389–395. [Google Scholar] [CrossRef] [PubMed]
- Quinn, C.E.; Casper, R.F. Pinopodes: A questionable role in endometrial receptivity. Hum. Reprod. Update 2009, 15, 229–236. [Google Scholar] [CrossRef] [PubMed]
- Develioglu, O.H.; Hsiu, J.G.; Nikas, G.; Toner, J.P.; Oehninger, S.; Jones, H.W., Jr. Endometrial estrogen and progesterone receptor and pinopode expression in stimulated cycles of oocyte donors. Fertil. Steril. 1999, 71, 1040–1047. [Google Scholar] [CrossRef]




| Patient No. | Age (Years) | Previous IVF Failure | LH+ | Phase Lag | Estradiol (pmol/L) | Progesterone (nmol/L) | Testosterone (nmol/L) |
|---|---|---|---|---|---|---|---|
| 1 | 29 | 1 | 6 | + | 756 | 53.7 | 1.45 |
| 2 | 36 | 1 | 6 | − | 727 | ≤0.64 | ≤0.49 |
| 3 | 38 | 1 | 7 | − | 474 | 25.8 | 2.8 |
| 4 | 32 | 1 | 8 | + | 822 | 66.5 | 1.96 |
| 5 | 31 | 2 | 9 | − | 602 | 33.4 | 1.78 |
| 6 | 30 | 1 | 10 | − | 437 | 30.2 | 2.58 |
| 7 | 40 | 1 | 10 | − | 536 | 38.2 | 0.87 |
| 8 | 28 | 1 | 10 | + | 492 | 17.8 | 2.28 |
| 9 | 38 | 2 | 10 | + | 709 | 49.3 | 0.91 |
| 10 | 34 | 2 | 6 | + | 148 | 3.21 | 1.35 |
| Patient No. | Endom. Thickness (mm) | Gland-to-Stroma Ratio | Spiral Arteries | SEM Investigations | ||
|---|---|---|---|---|---|---|
| Ciliated Cells (%) | Secretory Cells (%) | Pinopodes/Type | ||||
| 1 | 9.8 | 1:2 | − | 47.1 | 52.9 | 0 |
| 2 | 6.9 | 1:2 | + | 49.4 | 50.6 | 14F/10R |
| 3 | 16.4 | 2:1 | + | 12.9 | 87.1 | 18/F |
| 4 | 12.8 | 1:1 | + | 28.1 | 71.9 | 24/F |
| 5 | 11.5 | 1:1 | + | 8.0 | 92.0 | 14/R |
| 6 | 7.9 | 2:1 | + | 30.7 | 69.3 | 8/F |
| 7 | 8.3 | 1:1 | + | 19.3 | 80.7 | 0 |
| 8 | 10.4 | 1:1 | − | 24.8 | 75.2 | 0 |
| 9 | 11 | 1:2 | − | 23.1 | 76.9 | 0 |
| 10 | 11.6 | 1:2 | − | 19.0 | 81.0 | 0 |
© 2018 by the authors. Licensee MDPI, Basel, Switzerland. This article is an open access article distributed under the terms and conditions of the Creative Commons Attribution (CC BY) license (http://creativecommons.org/licenses/by/4.0/).
Share and Cite
Aunapuu, M.; Kibur, P.; Järveots, T.; Arend, A. Changes in Morphology and Presence of Pinopodes in Endometrial Cells during the Luteal Phase in Women with Infertility Problems: A Pilot Study. Medicina 2018, 54, 69. https://doi.org/10.3390/medicina54050069
Aunapuu M, Kibur P, Järveots T, Arend A. Changes in Morphology and Presence of Pinopodes in Endometrial Cells during the Luteal Phase in Women with Infertility Problems: A Pilot Study. Medicina. 2018; 54(5):69. https://doi.org/10.3390/medicina54050069
Chicago/Turabian StyleAunapuu, Marina, Piret Kibur, Tõnu Järveots, and Andres Arend. 2018. "Changes in Morphology and Presence of Pinopodes in Endometrial Cells during the Luteal Phase in Women with Infertility Problems: A Pilot Study" Medicina 54, no. 5: 69. https://doi.org/10.3390/medicina54050069
APA StyleAunapuu, M., Kibur, P., Järveots, T., & Arend, A. (2018). Changes in Morphology and Presence of Pinopodes in Endometrial Cells during the Luteal Phase in Women with Infertility Problems: A Pilot Study. Medicina, 54(5), 69. https://doi.org/10.3390/medicina54050069
