Bromelain and Curcumin Oral Supplementation for Refractory Inherited Retinal Dystrophy-Related Macular Oedema: Changes in Macular Thickness and Visual Acuity over 12 Months
Abstract
1. Introduction
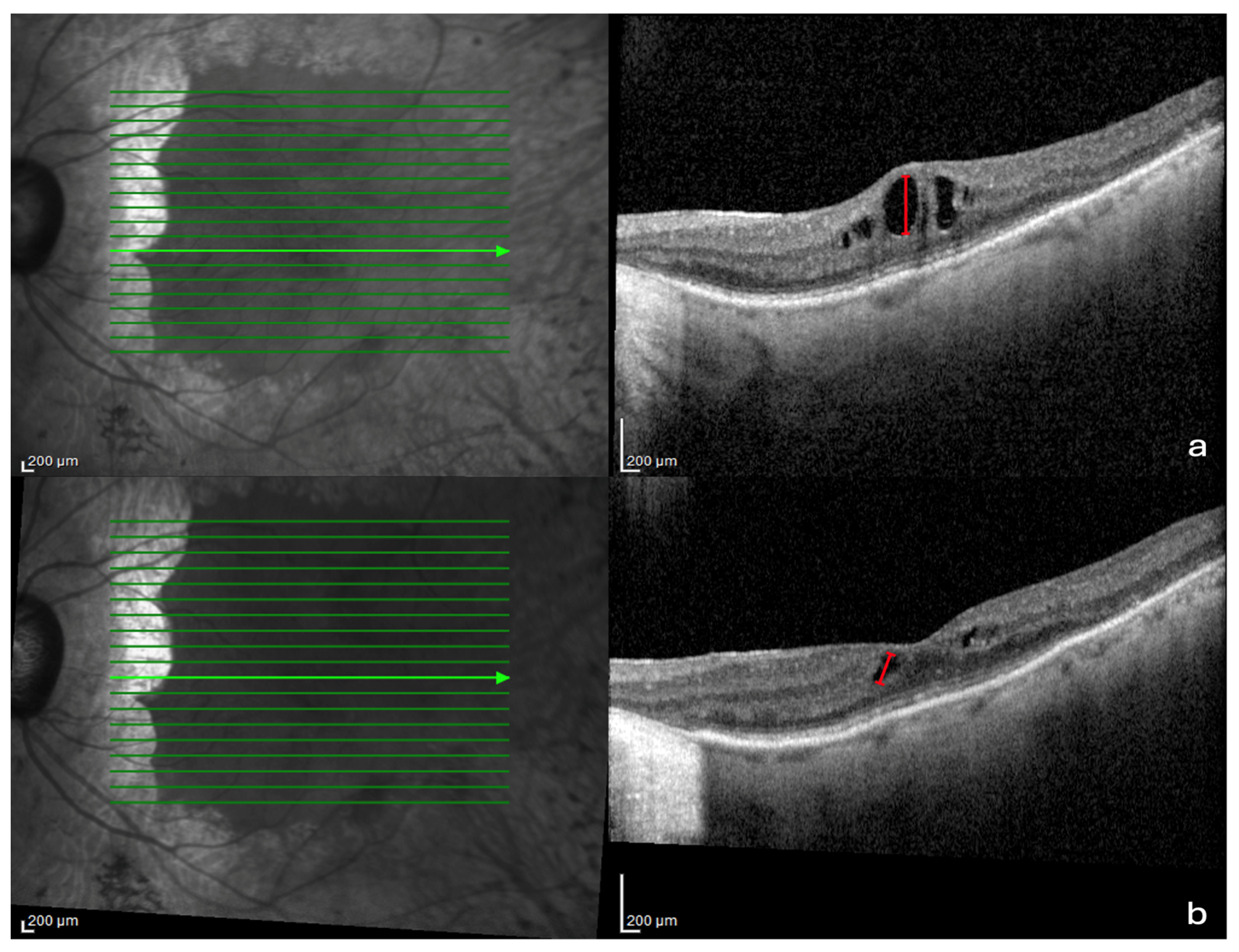
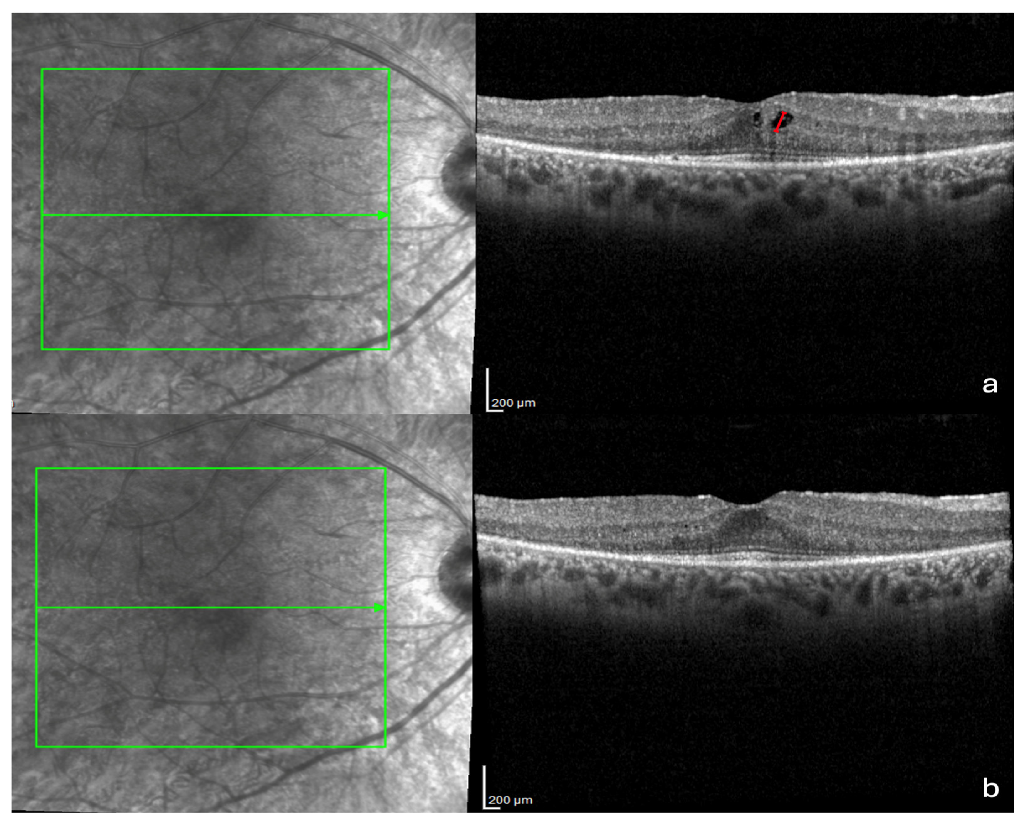
2. Results
3. Discussion
4. Materials and Methods
4.1. Study Design and Participants
4.2. Inclusion Criteria Were
- Age between 18 and 60.
- Clinically assessed IRD condition with conclusive genetic testing.
- Presence of persistent IRD-related CMO for more than 6 months after standard therapy administration (systemic or topical acetazolamide, repeated intravitreal slow-release dexamethasone implants or repeated intravitreal administration of anti-VEGF).
- Patient with IRD-related CMO reluctant to continue systemic or topical acetazolamide, repeated intravitreal slow-release dexamethasone implants, or repeated intravitreal administration of anti-VEGF.
- Patient with IRD-related CMO with continuous 12-month intake of curcumin and bromelain tablets, Retinil Forte®, Mesofarma S.R.L., Mosorrofa, Italy (1 capsule every day on fast, containing 250 mg of bromelain and 100 mg of curcumin), after suspension of the above-mentioned CMO therapeutic options because they were ineffective or not tolerated.
- Patient with available clinical records of BCVA, ophthalmological evaluation, fundus imaging and OCT scans at the time of initiation of intake of bromelain and curcumin tablets and after 12 months of intake.
- Eyes with preserved sub-foveal EZ at V1 and V2 observed by OCT scans.
4.3. Exclusion Criteria Were
- Ocular surgery 6 months before the initiation of the intake of bromelain and curcumin tablets;
- CMO due to diabetic retinopathy, retinal vascular occlusions or other systemic illnesses;
- Presence of macular traction (epiretinal membrane, vitreomacular adhesion, vitreomacular traction, lamellar or full-thickness macular hole) on OCT scans;
- CMO due to ocular trauma;
- CMO due to inflammatory systemic, retinal and/or choroidal disorders.
4.4. Ophthalmological and Visual Assessments
4.5. Imaging and Structural Assessments
4.6. Statistical Analysis
5. Conclusions
Author Contributions
Funding
Institutional Review Board Statement
Informed Consent Statement
Data Availability Statement
Acknowledgments
Conflicts of Interest
Abbreviations
| ART | Automatic Real-Time |
| AZM | Acetazolamide |
| BCVA | Best-Corrected Visual Acuity |
| BRB | Blood–Retinal Barrier |
| CAIs | Carbonic Anhydrase Inhibitors |
| CMO | Cystoid Macular Oedema |
| CMT | Central Macular Thickness |
| DMO | Diabetic Macular Oedema |
| EZ | Ellipsoid Zone |
| FAF | Fundus Autofluorescence |
| INL | Inner Nuclear Layer |
| IOP | Intraocular Pressure |
| IQR | Interquartile Range |
| IRD | Inherited Retinal Dystrophies |
| IVT-DEX | Slow-Release Intravitreal Dexamethasone Implant |
| LE | Left Eye |
| N | Number of Eyes |
| NF-jB | Nuclear Factor jB |
| OCT | Optical Coherence Tomography |
| ONL | Outer Nuclear Layer |
| PPAR- c | Peroxisome Proliferator-Activated Receptor-c |
| RD | Retinitis Pigmentosa |
| RE | Right Eye |
| RPE | Retinal Pigment Epithelium |
| SD | Standard Deviation |
| TNF-α | Tumour Necrosis Factor α |
| VEGF | Vascular Endothelial Growth Factor |
References
- Ziccardi, L.; Cordeddu, V.; Gaddini, L.; Matteucci, A.; Parravano, M.; Malchiodi-Albedi, F.; Varano, M. Gene Therapy in Retinal Dystrophies. Int. J. Mol. Sci. 2019, 20, 5722. [Google Scholar] [CrossRef]
- Hamel, C. Retinitis pigmentosa. Orphanet J. Rare Dis. 2006, 1, 40. [Google Scholar] [CrossRef]
- Ferrari, S.; Di Iorio, E.; Barbaro, V.; Ponzin, D.; Sorrentino, F.S.; Parmeggiani, F. Retinitis pigmentosa: Genes and disease mechanisms. Curr. Genom. 2011, 12, 238–249. [Google Scholar] [CrossRef]
- Buckley, T.M.W.; Jolly, J.K.; Josan, A.S.; Wood, L.J.; Cehajic-Kapetanovic, J.; MacLaren, R.E. Clinical applications of microperimetry in RPGR-related retinitis pigmentosa: A review. Acta Ophthalmol. 2021, 99, 819–825. [Google Scholar]
- Lupo, S.; Cannata, R.; Marenco, M.; Grenga, P.L.; Vingolo, E.M. Visual function and choroidal thickness in retinitis pigmentosa. Investig. Ophthalmol. Vis. Sci. 2022, 32, 21–27. [Google Scholar]
- Hajali, M.; Fishman, G.A.; Anderson, R.J. The prevalence of cystoid macular oedema in retinitis pigmentosa patients determined by optical coherence tomography. Br. J. Ophthalmol. 2008, 92, 1065–1068. [Google Scholar] [CrossRef]
- Spalton, D.J.; Rahi, A.H.; Bird, A.C. Immunological studies in retinitis pigmentosa associated with retinal vascular leakage. Br. J. Ophthalmol. 1978, 62, 183–187. [Google Scholar] [CrossRef]
- Kent, D.; Vinores, S.A.; Campochiaro, P.A. Macular oedema: The role of soluble mediators. Br. J. Ophthalmol. 2000, 84, 542–545. [Google Scholar] [CrossRef]
- Miyake, K.; Ibaraki, N. Prostaglandins and cystoid macular edema. Surv. Ophthalmol. 2002, 47, 203–218. [Google Scholar] [CrossRef]
- Arrigo, A.; Aragona, E.; Perra, C.; Bianco, L.; Antropoli, A.; Saladino, A.; Berni, A.; Basile, G.; Pina, A.; Bandello, F.; et al. Characterizing macular edema in retinitis pigmentosa through a combined structural and microvascular optical coherence tomography investigation. Sci. Rep. 2023, 13, 800. [Google Scholar] [CrossRef]
- Hee, M.R.; Puliafito, C.A.; Wong, C.; Duker, J.S.; Reichel, E.; Rutledge, B.; Schuman, J.S.; Swanson, E.A.; Fujimoto, J.G. Quantitative assessment of macular edema with optical coherence tomography. Arch Ophthalmol. 1995, 113, 1019–1029. [Google Scholar]
- Kim, Y.J.; Joe, S.G.; Lee, D.H.; Lee, J.Y.; Kim, J.G.; Yoon, Y.H. Correlations between spectral-domain OCT measurements and visual acuity in cystoid macular edema associated with retinitis pigmentosa. Investig. Ophthalmol. Vis. Sci. 2013, 54, 1303–1309. [Google Scholar] [CrossRef]
- Arrigo, A.; Aragona, E.; Antropoli, A.; Bianco, L.; Bandello, F.; Parodi, M.B. The impact of cystoid maculopathy in USH2A retinitis pigmentosa: A Retrospective 5-year Analysis. Retina 2025, 45, 1959–1966. [Google Scholar] [CrossRef]
- Chen, C.; Liu, X.; Peng, X. Management of Cystoid Macular Edema in Retinitis Pigmentosa: A Systematic Review and Meta-Analysis. Front. Med. 2022, 9, 895208. [Google Scholar] [CrossRef]
- Park, U.C.; Park, J.H.; Ma, D.J.; Cho, I.H.; Oh, B.L.; Yu, H.G. A randomized paired-eye trial of intravitreal dexamethasone implant for cystoid macular edema in retinitis pigmentosa. Retina 2020, 40, 1359–1366. [Google Scholar] [CrossRef]
- Peddada, K.V.; Brown, A.; Verma, V.; Nebbioso, M. Therapeutic potential of curcumin in major retinal pathologies. Int. Ophthalmol. 2019, 39, 725–734. [Google Scholar] [CrossRef]
- Rathnavelu, V.; Alitheen, N.B.; Sohila, S.; Kanagesan, S.; Ramesh, R. Potential role of bromelain in clinical and therapeutic applications. Biomed. Rep. 2016, 5, 283–288. [Google Scholar] [CrossRef]
- Mazzolani, F.; Togni, S.; Giacomelli, L.; Eggenhoffner, R.; Franceschi, F. Oral administration of a curcumin-phospholipid formulation (Meriva®) for treatment of chronic diabetic macular edema: A pilot study. Eur. Rev. Med. Pharmacol. Sci. 2018, 22, 3617–3625. [Google Scholar]
- Carnevali, A.; Vaccaro, S.; Borselli, M.; Bousyf, S.; Lamonica, L.; Randazzo, G.; Giannaccare, G.; Scorcia, V. Anatomical and Functional Effects of an Oral Supplementation of Bromelain and Curcugreen in Patients with Focal Diabetic Macular Edema. J. Clin. Med. 2023, 12, 7318. [Google Scholar] [CrossRef]
- Vingolo, E.M.; Calabro, M.; Mascolo, S.; Miccichè, F.; Casillo, L.; Lupo, S.; Menna, F. Diabetic Macular Edema in Maintenance Intravitreal Scheduling. Pharmaceutics 2025, 17, 605. [Google Scholar] [CrossRef]
- Lang, A.; Carass, A.; Swingle, E.K.; Al-Louzi, O.; Bhargava, P.; Saidha, S.; Ying, H.S.; Calabresi, P.A.; Prince, J.L. Automatic segmentation of microcystic macular edema in OCT. Biomed. Opt. Express 2014, 15, 155–169. [Google Scholar] [CrossRef]
- Antropoli, A.; Arrigo, A.; Caprara, C.; Bianco, L.; Mercuri, S.; Berni, A.; Passerini, I.; Gambarotta, S.; Sodi, A.; Bandello, F.; et al. Optical coherence tomography (OCT) and OCT-angiography in syndromic versus non-syndromic USH2A-associated retinopathy. Eur. J. Ophthalmol. 2025, 35, 106–111. [Google Scholar] [CrossRef]
- Gaudric, A.; Audo, I.; Vignal, C.; Couturier, A.; Boulanger-Scemama, É.; Tadayoni, R.; Cohen, S.Y. Non-vasogenic cystoid maculopathies. Prog. Retin. Eye Res. 2022, 91, 101092. [Google Scholar] [CrossRef]
- Bhargava, P.; Calabresi, P.A. The expanding spectrum of aetiologies causing retinal microcystic macular change. Brain 2013, 136, 3212–3214. [Google Scholar] [CrossRef]
- Strong, S.; Liew, G.; Michaelides, M. Retinitis pigmentosa-associated cystoid macular oedema: Pathogenesis and avenues of intervention. Br. J. Ophthalmol. 2017, 101, 31–37. [Google Scholar] [CrossRef]
- Hamann, S. Molecular mechanisms of water transport in the eye. Int. Rev. Cytol. 2002, 215, 395–431. [Google Scholar] [CrossRef] [PubMed]
- Reichenbach, A.; Wurm, A.; Pannicke, T.; Iandiev, I.; Wiedemann, P.; Bringmann, A. Müller cells as players in retinal degeneration and edema. Graefe’s Arch. Clin. Exp. Ophthalmol. 2007, 245, 627–636. [Google Scholar] [CrossRef] [PubMed]
- Català-Mora, J.; Santamaría Álvarez, J.F.; Kyriakou, D.; Alforja, S.; Barraso Rodrigo, M.; Blasco Palacio, P.B.; Casaroli-Marano, R.; Cobos Martín, E.; Coco Martín, R.M.; Esmerado, C.; et al. Protocol for the treatment of cystoid macular edema secondary to retinitis pigmentosa and other inherited retinal dystrophies. Arch. Soc. Esp. Oftalmol. 2024, 99, 67–81. [Google Scholar] [CrossRef]
- Veritti, D.; Sarao, V.; De Nadai, K.; Chizzolini, M.; Parmeggiani, F.; Perissin, L.; Lanzetta, P. Dexamethasone Implant Produces Better Outcomes than Oral Acetazolamide in Patients with Cystoid Macular Edema Secondary to Retinitis Pigmentosa. J. Ocul. Pharmacol. Ther. 2020, 36, 190–197. [Google Scholar] [CrossRef] [PubMed]
- Moldow, B.; Sander, B.; Larsen, M.; Engler, C.; Li, B.; Rosenberg, T.; Lund-Andersen, H. The effect of acetazolamide on passive and active transport of fluorescein across the blood-retina barrier in retinitis pigmentosa complicated by macular oedema. Graefe’s Arch. Clin. Exp. Ophthalmol. 1998, 236, 881–889. [Google Scholar] [CrossRef]
- Strong, S.A.; Hirji, N.; Quartilho, A.; Kalitzeos, A.; Michaelides, M. Retrospective cohort study exploring whether an association exists between spatial distribution of cystoid spaces in cystoid macular oedema secondary to retinitis pigmentosa and response to treatment with carbonic anhydrase inhibitors. Br. J. Ophthalmol. 2019, 103, 233–237. [Google Scholar] [CrossRef] [PubMed]
- Newsome, D.A.; Michels, R.G. Detection of lymphocytes in the vitreous gel of patients with retinitis pigmentosa. Am. J. Ophthalmol. 1988, 105, 596–602. [Google Scholar] [CrossRef]
- Yoshida, N.; Ikeda, Y.; Notomi, S.; Ishikawa, K.; Murakami, Y.; Hisatomi, T.; Enaida, H.; Ishibashi, T. Clinical evidence of sustained chronic inflammatory reaction in retinitis pigmentosa. Ophthalmology 2013, 120, 100–105. [Google Scholar] [CrossRef]
- Munia, I.; Gafray, L.; Bringer, M.A.; Goldschmidt, P.; Proukhnitzky, L.; Jacquemot, N.; Cercy, C.; Ramchani Ben Otman, K.; Errera, M.H.; Ranchon-Cole, I. Cytoprotective Effects of Natural Highly Bio-Available Vegetable Derivatives on Human-Derived Retinal Cells. Nutrients 2020, 12, 879. [Google Scholar] [CrossRef]
- Chiosi, F.; Rinaldi, M.; Campagna, G.; Manzi, G.; De Angelis, V.; Calabrò, F.; D’Andrea, L.; Tranfa, F.; Costagliola, C. Effect of a Fixed Combination of Curcumin, Artemisia, Bromelain, and Black Pepper Oral Administration on Optical Coherence Tomography Angiography Indices in Patients with Diabetic Macular Edema. Nutrients 2022, 6, 1520. [Google Scholar] [CrossRef]
- Aytulun, A.; Cruz-Herranz, A.; Aktas, O.; Balcer, L.J.; Balk, L.; Barboni, P.; Blanco, A.A.; Calabresi, P.A.; Costello, F.; Sanchez-Dalmau, B.; et al. APOSTEL 2.0 Recommendations for Reporting Quantitative Optical Coherence Tomography Studies. Neurology 2021, 13, 68–79. [Google Scholar] [CrossRef] [PubMed]
- Helmy, Y.M.; Atta Allah, H.R. Optical coherence tomography classification of diabetic cystoid macular edema. Clin. Ophthalmol. 2013, 7, 1731–1737. [Google Scholar] [CrossRef] [PubMed][Green Version]


| N a | V1 b | V2 c | V1 b vs. V2 c (S; p) | ||
|---|---|---|---|---|---|
| Microcystic CMO d | 10 | BCVA e | 0.95; (0.77–1.00) | 1.00; (0.67–1.00) | 0.20; 0.655 |
| CMT f | 280; (252–312) | 277; (234–301) | 1.60; 0.206 | ||
| Macrocystic CMO d | 10 | BCVA e | 0.60; (0.50–0.80) | 0.60; (0.50–0.70) | 4.00; 0.046 |
| CMT f | 365; (343.0–372) | 331.0; (311.0–350.0) | 3.60; 0.035 |
| V1 a (W, p) | V2 b (W, p) | |
|---|---|---|
| BCVA c | 147.5; 0.009 | 142.0; 0.004 |
| CMT d | 55.0; <0.001 | 64.0; 0.001 |
Disclaimer/Publisher’s Note: The statements, opinions and data contained in all publications are solely those of the individual author(s) and contributor(s) and not of MDPI and/or the editor(s). MDPI and/or the editor(s) disclaim responsibility for any injury to people or property resulting from any ideas, methods, instructions or products referred to in the content. |
© 2026 by the authors. Licensee MDPI, Basel, Switzerland. This article is an open access article distributed under the terms and conditions of the Creative Commons Attribution (CC BY) license.
Share and Cite
D’Andrea, M.; Dell’Aquila, C.; Barbano, L.; Menna, F.; Renzo, A.D.; Colacino, G.; Marenco, M.; Dell’Omo, R.; Parisi, V.; Ziccardi, L. Bromelain and Curcumin Oral Supplementation for Refractory Inherited Retinal Dystrophy-Related Macular Oedema: Changes in Macular Thickness and Visual Acuity over 12 Months. Pharmaceuticals 2026, 19, 602. https://doi.org/10.3390/ph19040602
D’Andrea M, Dell’Aquila C, Barbano L, Menna F, Renzo AD, Colacino G, Marenco M, Dell’Omo R, Parisi V, Ziccardi L. Bromelain and Curcumin Oral Supplementation for Refractory Inherited Retinal Dystrophy-Related Macular Oedema: Changes in Macular Thickness and Visual Acuity over 12 Months. Pharmaceuticals. 2026; 19(4):602. https://doi.org/10.3390/ph19040602
Chicago/Turabian StyleD’Andrea, Mattia, Carmen Dell’Aquila, Lucilla Barbano, Feliciana Menna, Antonio Di Renzo, Gaspare Colacino, Marco Marenco, Roberto Dell’Omo, Vincenzo Parisi, and Lucia Ziccardi. 2026. "Bromelain and Curcumin Oral Supplementation for Refractory Inherited Retinal Dystrophy-Related Macular Oedema: Changes in Macular Thickness and Visual Acuity over 12 Months" Pharmaceuticals 19, no. 4: 602. https://doi.org/10.3390/ph19040602
APA StyleD’Andrea, M., Dell’Aquila, C., Barbano, L., Menna, F., Renzo, A. D., Colacino, G., Marenco, M., Dell’Omo, R., Parisi, V., & Ziccardi, L. (2026). Bromelain and Curcumin Oral Supplementation for Refractory Inherited Retinal Dystrophy-Related Macular Oedema: Changes in Macular Thickness and Visual Acuity over 12 Months. Pharmaceuticals, 19(4), 602. https://doi.org/10.3390/ph19040602

