Meta-Analysis on the Prevalence and Significance of Incidental Findings in the Thyroid Gland Using Other PET Radiopharmaceuticals Beyond [18F]FDG
Abstract
1. Introduction
2. Methods
2.1. Review Question, Working Group, and Review Protocol
2.2. Search Strategy
2.3. Study Selection
2.4. Data Extraction and Quality Assessment
2.5. Statistical Analysis
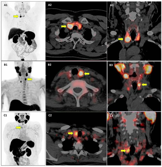
3. Results
3.1. Literature Search
3.2. Qualitative Synthesis
3.2.1. Radiolabeled Somatostatin Analogues
3.2.2. Radiolabeled Choline
3.2.3. Radiolabeled PSMA Ligands
3.2.4. Radiolabeled FAPI
3.3. Quantitative Synthesis
4. Discussion
4.1. Literature Data
4.2. Limitations and Suggestions for Future Research
5. Conclusions
Author Contributions
Funding
Institutional Review Board Statement
Informed Consent Statement
Data Availability Statement
Conflicts of Interest
References
- O’Sullivan, J.W.; Muntinga, T.; Grigg, S.; Ioannidis, J.P.A. Prevalence and outcomes of incidental imaging findings: Umbrella review. BMJ 2018, 361, k2387. [Google Scholar] [CrossRef] [PubMed]
- Alabousi, M.; Wilson, E.; Al-Ghetaa, R.K.; Patlas, M.N. General Review on the Current Management of Incidental Findings on Cross-Sectional Imaging: What Guidelines to Use, How to Follow Them, and Management and Medical-Legal Considerations. Radiol. Clin. N. Am. 2021, 59, 501–509. [Google Scholar] [CrossRef] [PubMed]
- Costanzo, R.; Scalia, G.; Strigari, L.; Ippolito, M.; Paolini, F.; Brunasso, L.; Sciortino, A.; Iacopino, D.G.; Maugeri, R.; Ferini, G.; et al. Nuclear medicine imaging modalities to detect incidentalomas and their impact on patient management: A systematic review. J. Cancer Res. Clin. Oncol. 2024, 150, 368. [Google Scholar] [CrossRef]
- Juweid, M.E.; Al-Qasem, S.F.; Khuri, F.R.; Gallamini, A.; Lohmann, P.; Ziellenbach, H.J.; Mottaghy, F.M. Beyond fluorodeoxyglucose: Molecular imaging of cancer in precision medicine. CA Cancer J. Clin. 2025, 75, 226–242. [Google Scholar] [CrossRef] [PubMed]
- Fisher, S.B.; Perrier, N.D. The incidental thyroid nodule. CA Cancer J. Clin. 2018, 68, 97–105. [Google Scholar] [CrossRef]
- Sharbidre, K.G.; Lockhart, M.E.; Tessler, F.N. Incidental Thyroid Nodules on Imaging: Relevance and Management. Radiol. Clin. N. Am. 2021, 59, 525–533. [Google Scholar] [CrossRef] [PubMed]
- Nguyen, X.V.; Job, J.; Fiorillo, L.E.; Sipos, J. Thyroid Incidentalomas: Practice Considerations for Radiologists in the Age of Incidental Findings. Radiol. Clin. N. Am. 2020, 58, 1019–1031. [Google Scholar] [CrossRef]
- Signore, A.; Campagna, G. Evidence-based medicine: Reviews and meta-analysis. Clin. Transl. Imaging 2023, 11, 109–112. [Google Scholar] [CrossRef]
- Bhandari, M.; Giannoudis, P.V. Evidence-based medicine: What it is and what it is not. Injury 2006, 37, 302–306. [Google Scholar] [CrossRef]
- Puig, S.; Felder-Puig, R. Evidence-based radiology: A new approach to evaluate the clinical practice of radiology. Rofo 2006, 178, 671–679. [Google Scholar] [CrossRef]
- Kim, K.W.; Lee, J.; Choi, S.H.; Huh, J.; Park, S.H. Systematic Review and Meta-Analysis of Studies Evaluating Diagnostic Test Accuracy: A Practical Review for Clinical Researchers-Part I. General Guidance and Tips. Korean J. Radiol. 2015, 16, 1175–1187. [Google Scholar] [CrossRef]
- Lee, J.; Kim, K.W.; Choi, S.H.; Huh, J.; Park, S.H. Systematic Review and Meta-Analysis of Studies Evaluating Diagnostic Test Accuracy: A Practical Review for Clinical Researchers-Part II. Statistical Methods of Meta-Analysis. Korean J. Radiol. 2015, 16, 1188–1196. [Google Scholar] [CrossRef]
- Shim, S.R.; Kim, S.J.; Lee, J. Diagnostic test accuracy: Application and practice using R software. Epidemiol. Health. 2019, 41, e2019007. [Google Scholar] [CrossRef]
- Sadeghi, R.; Zakavi, R.; Kakhki, V.R. How to apply the evidence-based medicine concept to nuclear medicine diagnostic studies—A review. Nucl. Med. Rev. Cent. East Eur. 2009, 12, 59–64. [Google Scholar] [PubMed]
- Cronin, P.; Kelly, A.M.; Altaee, D.; Foerster, B.; Petrou, M.; Dwamena, B.A. How to Perform a Systematic Review and Meta-analysis of Diagnostic Imaging Studies. Acad. Radiol. 2018, 25, 573–593. [Google Scholar] [CrossRef]
- Hong, J.U.; Kim, J.H.; Lee, K.H.; Lee, M.; Hyun, I.Y.; Cho, S.G.; Kim, Y.J.; Lee, H.Y.; Kim, G.R. Characteristics, trend, and methodological quality of systematic reviews and meta-analyses in nuclear medicine: A bibliometric analysis of studies published between 2005 and 2016. Medicine 2019, 98, e15785. [Google Scholar] [CrossRef] [PubMed]
- Park, J.Y.; Lee, K.H.; Ku, Y.J.; Cho, S.G.; Kim, Y.J.; Lee, H.Y.; Kim, J.H. Characteristics, Trends, and Quality of Systematic Review and Meta-Analysis in General Radiology between 2007 and 2015. Acad. Radiol. 2017, 24, 1013–1022. [Google Scholar] [CrossRef] [PubMed]
- Alabousi, M.; Alabousi, A.; McGrath, T.A.; Cobey, K.D.; Budhram, B.; Frank, R.A.; Nguyen, F.; Salameh, J.P.; Dehmoobad Sharifabadi, A.; McInnes, M.D.F. Epidemiology of systematic reviews in imaging journals: Evaluation of publication trends and sustainability? Eur. Radiol. 2019, 29, 517–526. [Google Scholar] [CrossRef]
- Sardanelli, F.; Bashir, H.; Berzaczy, D.; Cannella, G.; Espeland, A.; Flor, N.; Helbich, T.; Hunink, M.; Malone, D.E.; Mann, R.; et al. The role of imaging specialists as authors of systematic reviews on diagnostic and interventional imaging and its impact on scientific quality: Report from the EuroAIM Evidence-based Radiology Working Group. Radiology 2014, 272, 533–540. [Google Scholar] [CrossRef]
- Jones, C.M.; Athanasiou, T. Diagnostic accuracy meta-analysis: Review of an important tool in radiological research and decision making. Br. J. Radiol. 2009, 82, 441–446. [Google Scholar] [CrossRef]
- Jones, C.M.; Ashrafian, H.; Skapinakis, P.; Arora, S.; Darzi, A.; Dimopoulos, K.; Athanasiou, T. Diagnostic accuracy meta-analysis: A review of the basic principles of interpretation and application. Int. J. Cardiol. 2010, 140, 138–144. [Google Scholar] [CrossRef] [PubMed]
- Scappaticcio, L.; Piccardo, A.; Treglia, G.; Poller, D.N.; Trimboli, P. The dilemma of 18F-FDG PET/CT thyroid incidentaloma: What we should expect from FNA. A systematic review and meta-analysis. Endocrine 2021, 73, 540–549. [Google Scholar] [CrossRef]
- de Leijer, J.F.; Metman, M.J.H.; van der Hoorn, A.; Brouwers, A.H.; Kruijff, S.; van Hemel, B.M.; Links, T.P.; Westerlaan, H.E. Focal Thyroid Incidentalomas on 18F-FDG PET/CT: A Systematic Review and Meta-Analysis on Prevalence, Risk of Malignancy and Inconclusive Fine Needle Aspiration. Front. Endocrinol. 2021, 12, 723394. [Google Scholar] [CrossRef]
- Nayan, S.; Ramakrishna, J.; Gupta, M.K. The Proportion of Malignancy in Incidental Thyroid Lesions on 18-FDG PET Study: A Systematic Review and Meta-analysis. Otolaryngol. Head Neck Surg. 2014, 151, 190–200. [Google Scholar] [CrossRef] [PubMed]
- Qu, N.; Zhang, L.; Lu, Z.W.; Wie, W.J.; Zhang, Y.; Ji, Q.H. Risk of malignancy in focal thyroid lesions identified by (18)F-fluorodeoxyglucose positron emission tomography or positron emission tomography/computed tomography: Evidence from a large series of studies. Tumour Biol. 2014, 35, 6139–6147. [Google Scholar] [CrossRef] [PubMed]
- Treglia, G.; Bertagna, F.; Sadeghi, R.; Verburg, F.A.; Ceriani, L.; Giovanella, L. Focal thyroid incidental uptake detected by 18F-fluorodeoxyglucose positron emission tomography. Meta-analysis on prevalence and malignancy risk. Nuklearmedizin 2013, 52, 130–136. [Google Scholar] [CrossRef]
- Bertagna, F.; Treglia, G.; Piccardo, A.; Giubbini, R. Diagnostic and clinical significance of F-18-FDG-PET/CT thyroid incidentalomas. J. Clin. Endocrinol. Metab. 2012, 97, 3866–3875. [Google Scholar] [CrossRef] [PubMed]
- Soelberg, K.K.; Bonnema, S.J.; Brix, T.H.; Hegedüs, L. Risk of malignancy in thyroid incidentalomas detected by 18F-fluorodeoxyglucose positron emission tomography: A systematic review. Thyroid 2012, 22, 918–925. [Google Scholar] [CrossRef]
- Shie, P.; Cardarelli, R.; Sprawls, K.; Fulda, K.G.; Taur, A. Systematic review: Prevalence of malignant incidental thyroid nodules identified on fluorine-18 fluorodeoxyglucose positron emission tomography. Nucl. Med. Commun. 2009, 30, 742–748. [Google Scholar] [CrossRef]
- Piccardo, A.; Trimboli, P.; Foppiani, L.; Treglia, G.; Ferrarazzo, G.; Massollo, M.; Bottoni, G.; Giovanella, L. PET/CT in thyroid nodule and differentiated thyroid cancer patients. The evidence-based state of the art. Rev. Endocr. Metab. Disord. 2019, 20, 47–64. [Google Scholar] [CrossRef]
- Albano, D.; Treglia, G.; Giovanella, L.; Giubbini, R.; Bertagna, F. Detection of thyroiditis on PET/CT imaging: A systematic review. Hormones 2020, 19, 341–349. [Google Scholar] [CrossRef] [PubMed]
- Sadeghi, R.; Treglia, G. Systematic reviews and meta-analyses of diagnostic studies: A practical guideline. Clin. Transl. Imaging 2017, 5, 83–87. [Google Scholar] [CrossRef]
- Page, M.J.; McKenzie, J.E.; Bossuyt, P.M.; Boutron, I.; Hoffmann, T.C.; Mulrow, C.D.; Shamseerf, L.; Tetzlaff, J.M.; Akli, E.A.; Brennan, S.E.; et al. The PRISMA 2020 statement: An updated guideline for reporting systematic reviews. J. Clin. Epidemiol. 2021, 134, 178–189. [Google Scholar] [CrossRef]
- NIH Quality Assessment Tools. Available online: https://www.nhlbi.nih.gov/health-topics/study-quality-assessment-tools (accessed on 31 December 2024).
- Sjöstedt, S.M.S.; Hahn, C.H.; Rasmussen, Å.K.; Oturai, P.S.; Cramon, P.K. Abnormal uptake related to the thyroid gland on somatostatin receptor-targeted PET imaging: Reported prevalence and rate of thyroid malignancy and parathyroid adenomas. Endocr. Connect. 2024, 13, e240419. [Google Scholar] [CrossRef] [PubMed]
- Wright, K.; Fisher, J.C.; Rothberger, G.D.; Prescott, J.D.; Allendorf, J.D.; Patel, K.; Suh, I. Incidental 68Ga-DOTATATE uptake in thyroid nodules: Is guideline-directed management still appropriate? Surgery 2024, 175, 228–233. [Google Scholar] [CrossRef] [PubMed]
- Kohlenberg, J.D.; Panda, A.; Johnson, G.B.; Castro, M.R. Radiologic and clinicopathologic characteristics of thyroid nodules with focal 68Ga-DOTATATE PET activity. Nucl. Med. Commun. 2021, 42, 510–516. [Google Scholar] [CrossRef]
- Nockel, P.; Millo, C.; Keutgen, X.; Klubo-Gwiezdzinska, J.; Shell, J.; Patel, D.; Nilubol, N.; Herscovitch, P.; Sadowski, S.M.; Kebebew, E. The Rate and Clinical Significance of Incidental Thyroid Uptake as Detected by Gallium-68 DOTATATE Positron Emission Tomography/Computed Tomography. Thyroid 2016, 26, 831–835. [Google Scholar] [CrossRef] [PubMed]
- Kunikowska, J.; Matyskiel, R.; Zemczak, A.; Strzelczyk, J.; Pawlak, D.; Królicki, L.; Kos-Kudła, B. How often do we see incidental 68Ga-DOTATATE thyroid uptake in PET/CT in patients with neuroendocrine tumours? Endokrynol. Pol. 2015, 66, 231–236. [Google Scholar] [CrossRef]
- Grünig, H.; Strobel, K.; Zander, A.; Pérez Lago, M.D.S.; Lima, T.; Wicke, C.; Fischli, S.; Bhure, U. Significance of incidental thyroid 18 F-fluorocholine uptake in patients with hyperparathyroidism imaged for localizing hyperfunctioning parathyroid glands. Nucl. Med. Commun. 2024, 45, 938–946. [Google Scholar] [CrossRef]
- Frota Lima, L.M.; Bogsrud, T.V.; Gharib, H.; Ryder, M.; Johnson, G.; Durski, J. Risk of malignancy in thyroid nodules with increased 11C-Choline uptake detected incidentally on PET/CT: A diagnostic accuracy study. Medicine 2024, 103, e39602. [Google Scholar] [CrossRef]
- Broos, W.A.M.; Knol, R.J.J.; Zant, F.M.V.; Schaper, N.C.; Wondergem, M. Incidental Findings on 18F-Fluorocholine PET/CT for Parathyroid Imaging. World J. Nucl. Med. 2022, 21, 192–199. [Google Scholar] [CrossRef]
- Roland, A.; Drouet, C.; Boulahdour, H.; Cochet, A.; De Bari, B. Unusual uptakes on 18F-fluorocholine positron emission tomography/computed tomography (PET/CT): A retrospective study of 368 prostate cancer patients referred for a biochemical recurrence or an initial staging. Quant. Imaging Med. Surg. 2021, 11, 172–182. [Google Scholar] [CrossRef] [PubMed]
- Albano, D.; Durmo, R.; Bertagna, F.; Giubbini, R. 18F-choline PET/CT incidental thyroid uptake in patients studied for prostate cancer. Endocrine 2019, 63, 531–536. [Google Scholar] [CrossRef] [PubMed]
- Calabria, F.; Chiaravalloti, A.; Cicciò, C.; Gangemi, V.; Gullà, D.; Rocca, F.; Gallo, G.; Cascini, G.L.; Schillaci, O. PET/CT with 18F-choline: Physiological whole bio-distribution in male and female subjects and diagnostic pitfalls on 1000 prostate cancer patients: 18F-choline PET/CT bio-distribution and pitfalls. A southern Italian experience. Nucl. Med. Biol. 2017, 51, 40–54. [Google Scholar] [CrossRef] [PubMed]
- Çerçi Koçar, İ.; Özcan, P.P.; Koç, Z.P.; Süle, M.; Akbay, E.; Gen, R.; Sezer, K. Retrospective analysis of thyroid incidentalomas detected by [68Ga]Ga-PSMA-11 PET/CT. Endocrine 2024, 86, 302–309. [Google Scholar] [CrossRef]
- Donswijk, M.L.; Piek, M.W.; Cheung, Z.; Wondergem, M.; Stokkel, M.P.M.; de Boer, J.P.; van der Ploeg, I.M.C. Incidence of PSMA PET thyroid incidentaloma depends on analysis method and tracer. Eur. Radiol. 2023, 33, 3377–3385. [Google Scholar] [CrossRef]
- Piek, M.W.; de Vries, L.H.; Donswijk, M.L.; de Keizer, B.; de Boer, J.P.; Lodewijk, L.; van Leeuwaarde, R.S.; Vriens, M.R.; Hartemink, K.J.; van der Ploeg, I.M.C. Retrospective analysis of PSMA PET/CT thyroid incidental uptake in adults: Incidence, diagnosis, and treatment/outcome in a tertiary cancer referral center and University Medical Center. Eur. J. Nucl. Med. Mol. Imaging 2022, 49, 2392–2400. [Google Scholar] [CrossRef]
- Perry, E.; Talwar, A.; Sharma, S.; O’Connor, D.; Wong, L.M.; Taubman, K.; Sutherland, T.R. Non-prostate cancer tumours: Incidence on 18F-DCFPyL PSMA PET/CT and uptake characteristics in 1445 patients. Eur. J. Nucl. Med. Mol. Imaging 2022, 49, 3277–3288. [Google Scholar] [CrossRef]
- Gossili, F.; Petersen, L.J.; Zacho, H.D. The frequency of thyroid incidental findings and risk of malignancy detected by 68Ga-labeled prostate-specific membrane antigen PET/CT in prostate cancer. Hell. J. Nucl. Med. 2020, 23, 240–245. [Google Scholar]
- Keidar, Z.; Gill, R.; Goshen, E.; Israel, O.; Davidson, T.; Morgulis, M.; Pirmisashvili, N.; Ben-Haim, S. 68Ga-PSMA PET/CT in prostate cancer patients—Patterns of disease, benign findings and pitfalls. Cancer Imaging 2018, 18, 39. [Google Scholar] [CrossRef]
- Osman, M.M.; Iravani, A.; Hicks, R.J.; Hofman, M.S. Detection of Synchronous Primary Malignancies with 68Ga-Labeled Prostate-Specific Membrane Antigen PET/CT in Patients with Prostate Cancer: Frequency in 764 Patients. J. Nucl. Med. 2017, 58, 1938–1942. [Google Scholar] [CrossRef] [PubMed]
- Pabst, K.M.; Kessler, L.; Ferdinandus, J.; Hamacher, R.; Bartel, T.; Siveke, J.T.; Nader, M.; Brandenburg, T.; Desaulniers, M.; Herrmann, K.; et al. [68Ga]Ga-FAPI versus 2-[18F]FDG PET/CT in patients with autoimmune thyroiditis: A case control study. EJNMMI Res. 2024, 14, 66. [Google Scholar] [CrossRef]
- Kou, Y.; Jiang, X.; Yao, Y.; Shen, J.; Jiang, X.; Chen, S.; Lu, H.; Wang, X.; Zhao, M.; Xiao, D.; et al. Physiological tracer distribution and benign lesion incidental uptake of Al18F-NOTA-FAPI-04 on PET/CT imaging. Nucl. Med. Commun. 2022, 43, 847–854. [Google Scholar] [CrossRef] [PubMed]
- Liu, H.; Yang, X.; Liu, L.; Lei, L.; Wang, L.; Chen, Y. Clinical Significance of Diffusely Increased Uptake of 68Ga-FAPI in Thyroid Gland. Front. Med. 2021, 8, 782231. [Google Scholar] [CrossRef] [PubMed]
- Randles, R.; Finnegan, A. Guidelines for writing a systematic review. Nurse Educ. Today 2023, 125, 105803. [Google Scholar] [CrossRef]
- Chooi, J.E.; Ravindiran, A.; Balasubramanian, S.P. The influence of incidental detection of thyroid nodule on thyroid cancer risk and prognosis—A systematic review. Clin. Endocrinol. 2022, 96, 246–254. [Google Scholar] [CrossRef]
- Pishdad, R.; Treglia, G.; Mehta, A.; Santhanam, P. Somatostatin receptor imaging of thyroid tissue and differentiated thyroid cancer using gallium-68-labeled radiotracers-a review of clinical studies. Endocrine 2024, 85, 566–575. [Google Scholar] [CrossRef]
- Kunte, S.C.; Wenter, V.; Toms, J.; Lindner, S.; Unterrainer, M.; Eilsberger, F.; Jurkschat, K.; Wängler, C.; Wängler, B.; Schirrmacher, R.; et al. PET/CT imaging of differentiated and medullary thyroid carcinoma using the novel SSTR-targeting peptide [18F]SiTATE—First clinical experiences. Eur. J. Nucl. Med. Mol. Imaging 2025, 52, 900–912. [Google Scholar] [CrossRef]
- Almeida, L.S.; Santos, A.; Assumpção, L.; Costa, T.O.; Araujo, M.; Lima, M.; Zantut-Wittmann, D.E.; Etchebehere, E. 68 Ga-DOTATATE PET/CT Versus 18 F-FDG PET/CT in TENIS Syndrome: A Head-to-Head Comparison with Elevated and Suppressed TSH Levels in Papillary Thyroid Carcinoma—A Pilot Study. Clin. Nucl. Med. 2024, 49, 1004–1013. [Google Scholar] [CrossRef]
- Nazar, A.K.; Basu, S. Radiolabeled Somatostatin Analogs for Cancer Imaging. Semin. Nucl. Med. 2024, 54, 914–940. [Google Scholar] [CrossRef]
- Volpe, F.; Nappi, C.; Zampella, E.; Di Donna, E.; Maurea, S.; Cuocolo, A.; Klain, M. Current Advances in Radioactive Iodine-Refractory Differentiated Thyroid Cancer. Curr. Oncol. 2024, 31, 3870–3884. [Google Scholar] [CrossRef]
- Gild, M.L.; Kumar, S.; Fuchs, T.L.; Glover, A.; Sidhu, S.; Sywak, M.; Tsang, V.; Gill, A.J.; Robinson, B.G.; Schembri, G.; et al. The Clinical Utility of Gallium-68-DOTATATE Positron Emission Tomography Scanning in Medullary Thyroid Cancer. Endocr. Pract. 2024, 30, 218–224. [Google Scholar] [CrossRef] [PubMed]
- Bani, J.; Morland, D.; Hubelé, F.; Ignat, M.; Latge, A.; Bourahla, K.; Zalzali, M.; Vix, M.; Taïeb, D.; Imperiale, A. Dual-Time-Point 18F-Fluorocholine PET/CT Improves Characterization of Thyroid Nodules in Patients Referred for Primary Hyperparathyroidism: A Proof of Concept Study. Clin. Nucl. Med. 2021, 46, 965–970. [Google Scholar] [CrossRef] [PubMed]
- Jamsek, J.; Hocevar, M.; Bergant, D.; Zaletel, K.; Rep, S.; Lezaic, L. Diagnostic value of [18F]Fluorocholine PET/CT in detection of primary medullary thyroid cancer. Ann. Nucl. Med. 2021, 35, 429–437. [Google Scholar] [CrossRef] [PubMed]
- Ciappuccini, R.; Licaj, I.; Lasne-Cardon, A.; Babin, E.; de Raucourt, D.; Blanchard, D.; Bastit, V.; Saguet-Rysanek, V.; Lequesne, J.; Peyronnet, D.; et al. 18F-Fluorocholine Positron Emission Tomography/Computed Tomography is a Highly Sensitive but Poorly Specific Tool for Identifying Malignancy in Thyroid Nodules with Indeterminate Cytology: The Chocolate Study. Thyroid 2021, 31, 800–809. [Google Scholar] [CrossRef]
- Ciappuccini, R.; Jeanne, C.; Bardet, S. Incidental focal thyroid uptake on 18F-Choline PET-CT: Need to rule out thyroid cancer. Endocrine 2018, 62, 729–730. [Google Scholar] [CrossRef]
- Piccardo, A.; Trimboli, P.; Puntoni, M.; Foppiani, L.; Treglia, G.; Naseri, M.; Bottoni, G.L.; Massollo, M.; Sola, S.; Ferrarazzo, G.; et al. Role of 18F-Choline Positron Emission Tomography/Computed Tomography to Detect Structural Relapse in High-Risk Differentiated Thyroid Cancer Patients. Thyroid 2019, 29, 549–556. [Google Scholar] [CrossRef]
- Rizzo, A.; Racca, M.; Dall’Armellina, S.; Delgado Bolton, R.C.; Albano, D.; Dondi, F.; Bertagna, F.; Annunziata, S.; Treglia, G. Potential Role of PSMA-Targeted PET in Thyroid Malignant Disease: A Systematic Review. Diagnostics 2023, 13, 564. [Google Scholar] [CrossRef]
- Eilsberger, F.; Luster, M.; Librizzi, D.; Rodepeter, F.; Holzer, K.; Pfestroff, A. Medullary Thyroid Carcinoma presenting as an Incidentaloma on Gallium-68-PSMA-PET/CT—Systematic Literature Review and Case Report. Nuklearmedizin 2022, 61, 458–461. [Google Scholar] [CrossRef]
- Verma, P.; Malhotra, G.; Meshram, V.; Chandak, A.; Sonavane, S.; Lila, A.R.; Bandgar, T.R.; Asopa, R.V. Prostate-Specific Membrane Antigen Expression in Patients with Differentiated Thyroid Cancer with Thyroglobulin Elevation and Negative Iodine Scintigraphy Using 68Ga-PSMA-HBED-CC PET/CT. Clin. Nucl. Med. 2021, 46, e406–e409. [Google Scholar] [CrossRef]
- Verma, P.; Malhotra, G.; Agrawal, R.; Sonavane, S.; Meshram, V.; Asopa, R.V. Evidence of Prostate-Specific Membrane Antigen Expression in Metastatic Differentiated Thyroid Cancer Using 68Ga-PSMA-HBED-CC PET/CT. Clin. Nucl. Med. 2018, 43, e265–e268. [Google Scholar] [CrossRef] [PubMed]
- Shi, Y.; Feng, Y.; Xu, L.; Li, W.; Guan, L.; Zuo, R.; Liu, S.; Pang, H.; Wang, Z. The value of gallium-68 prostate-specific membrane antigen PET/CT and 2-[18F]fluoro-2-deoxy-D-glucose PET/CT in the detection of thyroid cancer lesions: A prospective head-to-head comparison. Br. J. Radiol. 2023, 97, 1501–1510. [Google Scholar] [CrossRef] [PubMed]
- Coerts, H.I.; de Keizer, B.; Verburg, F.A. Advances in the Development of Positron Emission Tomography Tracers for Improved Detection of Differentiated Thyroid Cancer. Cancers 2024, 16, 1401. [Google Scholar] [CrossRef] [PubMed]
- Rizzo, A.; Albano, D.; Dondi, F.; Cioffi, M.; Muoio, B.; Annunziata, S.; Racca, M.; Bertagna, F.; Piccardo, A.; Treglia, G. Diagnostic yield of FAP-guided positron emission tomography in thyroid cancer: A systematic review. Front. Med. 2024, 11, 1381863. [Google Scholar] [CrossRef]
- Guglielmo, P.; Alongi, P.; Baratto, L.; Conte, M.; Abenavoli, E.M.; Buschiazzo, A.; Celesti, G.; Dondi, F.; Filice, R.; Gorica, J.; et al. FAPi-Based Agents in Thyroid Cancer: A New Step towards Diagnosis and Therapy? A Systematic Review of the Literature. Cancers 2024, 16, 839. [Google Scholar] [CrossRef]
- Hadjitheodorou, P.; Roll, W.; Alevroudis, E.; Kyrou, K.; Adamou, G.; Fesas, A.; Pourkhessalian, M.R.; Kalogirou, C.; Tsechelidis, I.; Vrachimis, A. Head-to-head comparison of 18F-FDG versus 18F-FAPI-74 PET in radioactive-iodine refractory differentiated thyroid cancer patients. Hell. J. Nucl. Med. 2025, 28, 2–7. [Google Scholar]
- Isik, E.G.; Has Simsek, D.; Gul, N.; Erturk, S.M.; Buyukkaya, F.; Soyluk Selcukbiricik, O.; Iscan, A.Y.; Özkan, Z.G.; Sanli, Y.; Mudun, A.; et al. Head-to-Head Comparison of 68Ga-FAPI-04 and 68Ga-DOTA-TATE PET/CT in Recurrent Medullary Thyroid Cancer. Clin. Nucl. Med. 2024, 50, e80–e86. [Google Scholar] [CrossRef]
- Pishdad, R.; Santhanam, P. Current and Emerging Radiotracers and Technologies for Detection of Advanced Differentiated Thyroid Cancer: A Narrative Review. Cancers 2025, 17, 425. [Google Scholar] [CrossRef]
- Giovanella, L.; Treglia, G.; Iakovou, I.; Mihailovic, J.; Verburg, F.A.; Luster, M. EANM practice guideline for PET/CT imaging in medullary thyroid carcinoma. Eur. J. Nucl. Med. Mol. Imaging 2020, 47, 61–77. [Google Scholar] [CrossRef]


| PET Tracer | Ref. | Patients with TIP | Patients with Focal or Heterogeneous TIP | Patients with PET Scans | Prevalence of TIP | Prevalence of Focal or Heterogeneous TIP | Patients with Focal or Heterogeneous TIP Further Evaluated | Patients with Verified Malignant Focal or Heterogeneous TIP | Percentage of Malignant Focal or Heterogeneous TIP Among Those Further Evaluated | Overall Risk of Malignancy of Focal or Heterogeneous TIP | Final Diagnosis of Malignant TIP |
|---|---|---|---|---|---|---|---|---|---|---|---|
| Radiolabeled somatostatin analogues | [35] | 42 | 42 | 1808 | 2.3% | 2.3% | 16 | 5 | 31.3% | 11.9% | 2 MTC + 3 metastasis |
| [36] | 61 | 44 | 837 | 7.3% | 5.3% | 33 | 2 | 6.1% | 4.5% | 2 PTC | |
| [37] | NA | 80 | 1927 | NC | 4.2% | 26 | 1 | 3.8% | 1.3% | 1 MTC | |
| [38] | 26 | 14 | 237 | 11.0% | 5.9% | 10 | 3 | 30.0% | 21.4% | 3 PTC | |
| [39] | 46 | 12 | 1150 | 4.0% | 1.0% | 12 | 1 | 8.3% | 8.3% | 1 PTC | |
| Pooled values (95%CI) | 175 | 192 | 5959 | 5.6% (3.0–8.2) | 3.5% (1.9–5.1) | 97 | 12 | 9.9% (1.8–18.0) | 5.7% (0.5–10.9) | ||
| Radiolabeled choline | [40] | 25 | 17 | 195 | 12.8% | 8.7% | 17 | 2 | 11.8% | 11.8% | 2 PTC |
| [41] | NA | 103 | 10,047 | NC | 1.0% | 74 | 9 | 12.2% | 8.7% | 7 PTC + 1 SCC + 1 lymphoma | |
| [42] | 50 | 10 | 388 | 12.9% | 2.6% | 8 | 2 | 25.0% | 20.0% | 1 PTC + 1 metastasis | |
| [43] | 3 | 1 | 368 | 0.8% | 0.3% | 1 | 0 | 0.0% | 0.0% | - | |
| [44] | NA | 9 | 368 | NC | 2.4% | 8 | 2 | 25.0% | 22.2% | 2 PTC | |
| [45] | 15 | NA | 1000 | 1.5% | NC | NA | 0 | NC | NC | - | |
| Pooled values (95%CI) | 93 | 140 | 12,366 | 6.1% (2.6–9.5) | 1.7% (0.7–2.7) | 108 | 15 | 13.4% (7.0–19.7) | 10.1% (5.1–15.0) | ||
| Radiolabeled PSMA ligands | [46] | 67 | 36 | 769 | 8.7% | 4.7% | 36 | 4 | 11.1% | 11.1% | 4 PTC |
| [47] | 110 | 31 | 502 | 21.9% | 6.2% | 4 | 1 | 25.0% | 3.2% | 1 PTC | |
| [48] | 61 | 43 | 5434 | 1.1% | 0.8% | 25 | 3 | 12.0% | 7.0% | 1 FTC + 1 HCC + 1 metastasis | |
| [49] | 7 | 7 | 1445 | 0.5% | 0.5% | 6 | 0 | 0.0% | 0.0% | - | |
| [50] | 13 | 8 | 341 | 3.8% | 2.3% | 8 | 2 | 25.0% | 25.0% | 1 PTC + 1 metastasis | |
| [51] | 9 | 6 | 438 | 2.1% | 1.4% | 6 | 0 | 0.0% | 0.0% | - | |
| [52] | 6 | 6 | 764 | 0.8% | 0.8% | 6 | 1 | 16.7% | 16.7% | 1 PTC | |
| Pooled values (95%CI) | 273 | 137 | 9693 | 4.2% (2.7–5.7) | 1.9% (1.1–2.6) | 91 | 11 | 11.7% (5.2–18.1) | 6.5% (2.5–10.5) | ||
| Radiolabeled FAPI | [53] | 6 | NA | 556 | 1.1% | NC | NA | 0 | NC | NC | - |
| [54] | 4 | NA | 20 | 20.0% | NC | NA | 0 | NC | NC | - | |
| [55] | 39 | NA | 815 | 4.8% | NC | NA | 0 | NC | NC | 1 lymphoma | |
| Pooled values (95%CI) | 49 | NA | 1391 | 3.6% (0–7.5) | NC | NA | 0 | NC | NC |
Disclaimer/Publisher’s Note: The statements, opinions and data contained in all publications are solely those of the individual author(s) and contributor(s) and not of MDPI and/or the editor(s). MDPI and/or the editor(s) disclaim responsibility for any injury to people or property resulting from any ideas, methods, instructions or products referred to in the content. |
© 2025 by the authors. Licensee MDPI, Basel, Switzerland. This article is an open access article distributed under the terms and conditions of the Creative Commons Attribution (CC BY) license (https://creativecommons.org/licenses/by/4.0/).
Share and Cite
Iacovitti, C.M.; Albano, D.; Rizzo, A.; Piccardo, A.; Cuzzocrea, M.; Paone, G.; Trimboli, P.; Treglia, G. Meta-Analysis on the Prevalence and Significance of Incidental Findings in the Thyroid Gland Using Other PET Radiopharmaceuticals Beyond [18F]FDG. Pharmaceuticals 2025, 18, 723. https://doi.org/10.3390/ph18050723
Iacovitti CM, Albano D, Rizzo A, Piccardo A, Cuzzocrea M, Paone G, Trimboli P, Treglia G. Meta-Analysis on the Prevalence and Significance of Incidental Findings in the Thyroid Gland Using Other PET Radiopharmaceuticals Beyond [18F]FDG. Pharmaceuticals. 2025; 18(5):723. https://doi.org/10.3390/ph18050723
Chicago/Turabian StyleIacovitti, Cesare Michele, Domenico Albano, Alessio Rizzo, Arnoldo Piccardo, Marco Cuzzocrea, Gaetano Paone, Pierpaolo Trimboli, and Giorgio Treglia. 2025. "Meta-Analysis on the Prevalence and Significance of Incidental Findings in the Thyroid Gland Using Other PET Radiopharmaceuticals Beyond [18F]FDG" Pharmaceuticals 18, no. 5: 723. https://doi.org/10.3390/ph18050723
APA StyleIacovitti, C. M., Albano, D., Rizzo, A., Piccardo, A., Cuzzocrea, M., Paone, G., Trimboli, P., & Treglia, G. (2025). Meta-Analysis on the Prevalence and Significance of Incidental Findings in the Thyroid Gland Using Other PET Radiopharmaceuticals Beyond [18F]FDG. Pharmaceuticals, 18(5), 723. https://doi.org/10.3390/ph18050723

