Correction: Alves et al. Evaluation of Cytotoxicity and Acute Oral Toxicity of Saline Extract and Protein-Rich Fraction from Moringa oleifera Lam. Leaves. Pharmaceuticals 2024, 17, 1045
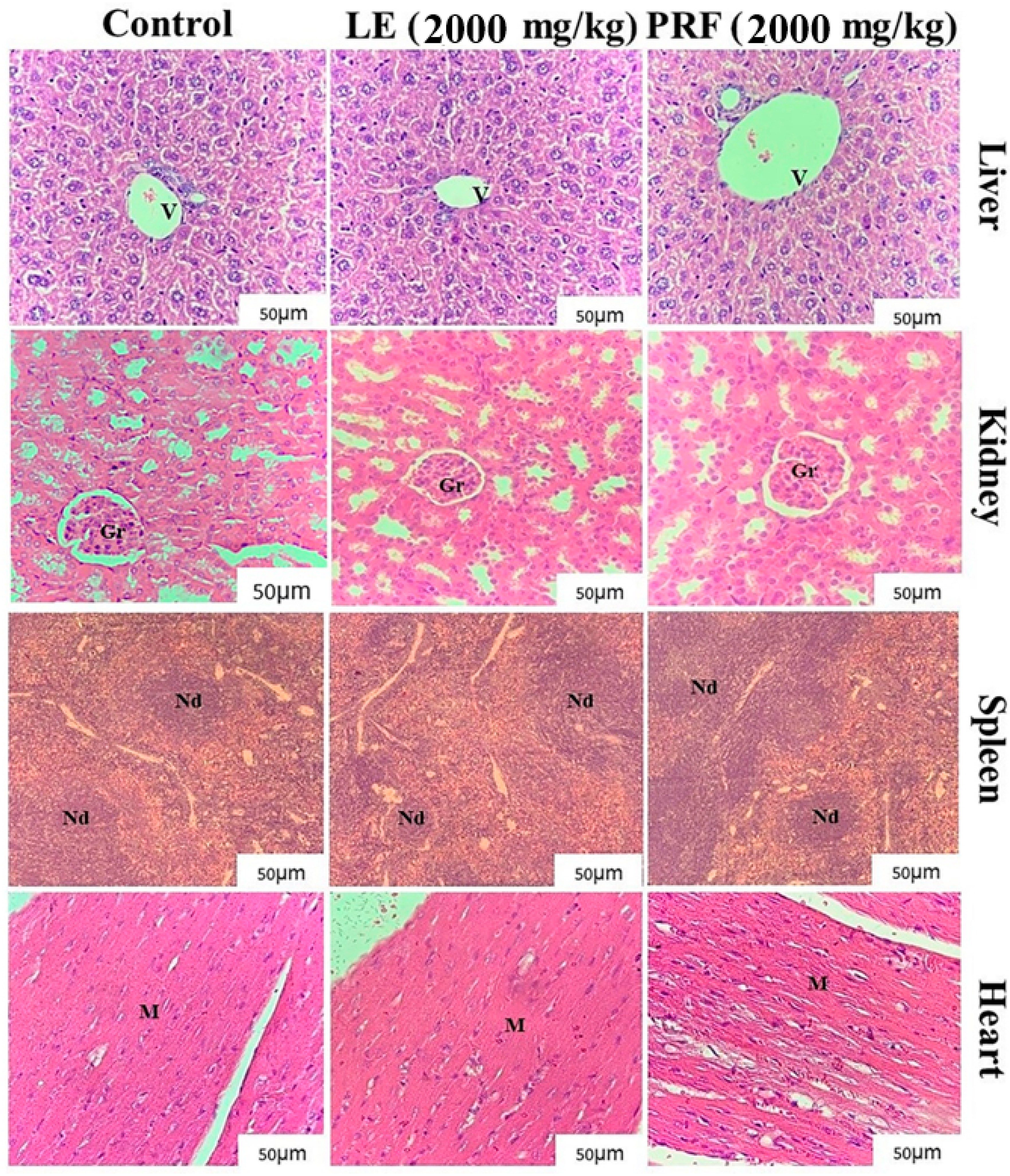
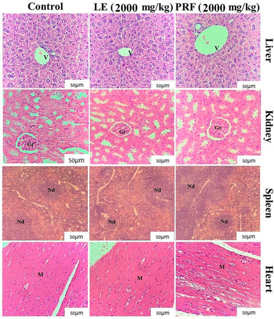
Figure Legend
Reference
- Alves, R.R.d.V.; de Oliveira, A.M.; dos Prazeres, G.B.; da Silva, A.R.; Costa, F.F.; Barros, B.R.d.S.; Souza, T.G.d.S.; Coelho, L.C.B.B.; de Melo, C.M.L.; Ferreira, M.R.A.; et al. Evaluation of Cytotoxicity and Acute Oral Toxicity of Saline Extract and Protein-Rich Fraction from Moringa oleifera Lam. Leaves. Pharmaceuticals 2024, 17, 1045. [Google Scholar] [CrossRef] [PubMed]

Disclaimer/Publisher’s Note: The statements, opinions and data contained in all publications are solely those of the individual author(s) and contributor(s) and not of MDPI and/or the editor(s). MDPI and/or the editor(s) disclaim responsibility for any injury to people or property resulting from any ideas, methods, instructions or products referred to in the content. |
© 2025 by the authors. Licensee MDPI, Basel, Switzerland. This article is an open access article distributed under the terms and conditions of the Creative Commons Attribution (CC BY) license (https://creativecommons.org/licenses/by/4.0/).
Share and Cite
Alves, R.R.d.V.; de Oliveira, A.M.; dos Prazeres, G.B.; da Silva, A.R.; Costa, F.F.; Barros, B.R.d.S.; Souza, T.G.d.S.; Coelho, L.C.B.B.; de Melo, C.M.L.; Ferreira, M.R.A.; et al. Correction: Alves et al. Evaluation of Cytotoxicity and Acute Oral Toxicity of Saline Extract and Protein-Rich Fraction from Moringa oleifera Lam. Leaves. Pharmaceuticals 2024, 17, 1045. Pharmaceuticals 2025, 18, 454. https://doi.org/10.3390/ph18040454
Alves RRdV, de Oliveira AM, dos Prazeres GB, da Silva AR, Costa FF, Barros BRdS, Souza TGdS, Coelho LCBB, de Melo CML, Ferreira MRA, et al. Correction: Alves et al. Evaluation of Cytotoxicity and Acute Oral Toxicity of Saline Extract and Protein-Rich Fraction from Moringa oleifera Lam. Leaves. Pharmaceuticals 2024, 17, 1045. Pharmaceuticals. 2025; 18(4):454. https://doi.org/10.3390/ph18040454
Chicago/Turabian StyleAlves, Robson Raion de Vasconcelos, Alisson Macário de Oliveira, Gabryella Borges dos Prazeres, Abdênego Rodrigues da Silva, Franciele Florencio Costa, Bárbara Rafaela da Silva Barros, Talita Giselly dos Santos Souza, Luana Cassandra Breintenbach Barroso Coelho, Cristiane Moutinho Lagos de Melo, Magda Rhayanny Assunção Ferreira, and et al. 2025. "Correction: Alves et al. Evaluation of Cytotoxicity and Acute Oral Toxicity of Saline Extract and Protein-Rich Fraction from Moringa oleifera Lam. Leaves. Pharmaceuticals 2024, 17, 1045" Pharmaceuticals 18, no. 4: 454. https://doi.org/10.3390/ph18040454
APA StyleAlves, R. R. d. V., de Oliveira, A. M., dos Prazeres, G. B., da Silva, A. R., Costa, F. F., Barros, B. R. d. S., Souza, T. G. d. S., Coelho, L. C. B. B., de Melo, C. M. L., Ferreira, M. R. A., Soares, L. A. L., Chagas, C. A., Macedo, M. L. R., Napoleão, T. H., Fernandes, M. P., & Paiva, P. M. G. (2025). Correction: Alves et al. Evaluation of Cytotoxicity and Acute Oral Toxicity of Saline Extract and Protein-Rich Fraction from Moringa oleifera Lam. Leaves. Pharmaceuticals 2024, 17, 1045. Pharmaceuticals, 18(4), 454. https://doi.org/10.3390/ph18040454

