Cardioprotective Effects of Ferulic Acid Through Inhibition of Advanced Glycation End Products in Diabetic Rats with Isoproterenol-Induced Myocardial Infarction
Abstract
1. Introduction
2. Results
2.1. The Effect of Ferulic Acid on Body Weight, Left Ventricle Weight (LV), and Heart Weight (HtWt)-to-Body Weight (BWt) Ratios
2.2. The Effect of Ferulic Acid on ECG Patterns
2.3. The Effect of Ferulic Acid on Cardiac Enzymes
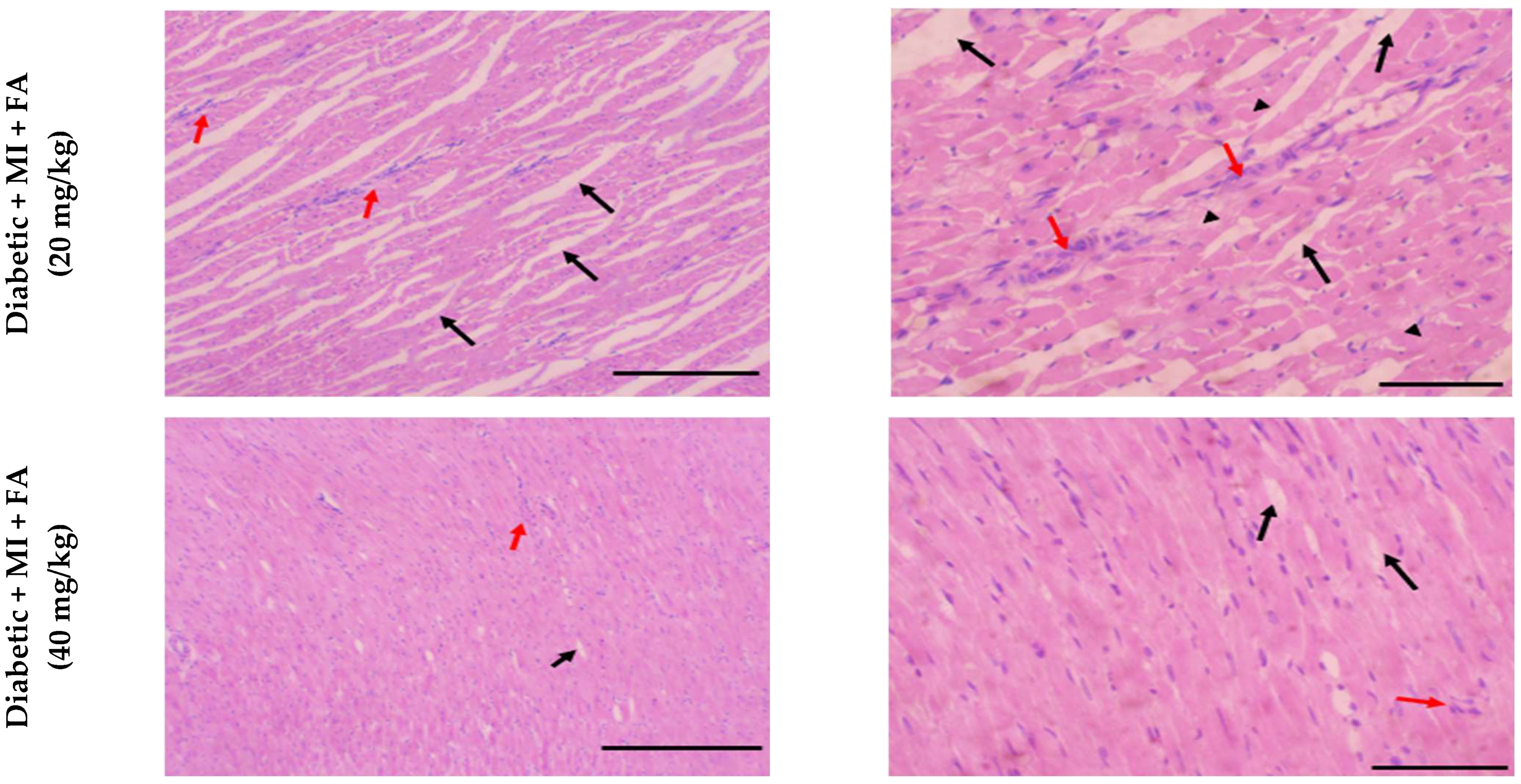
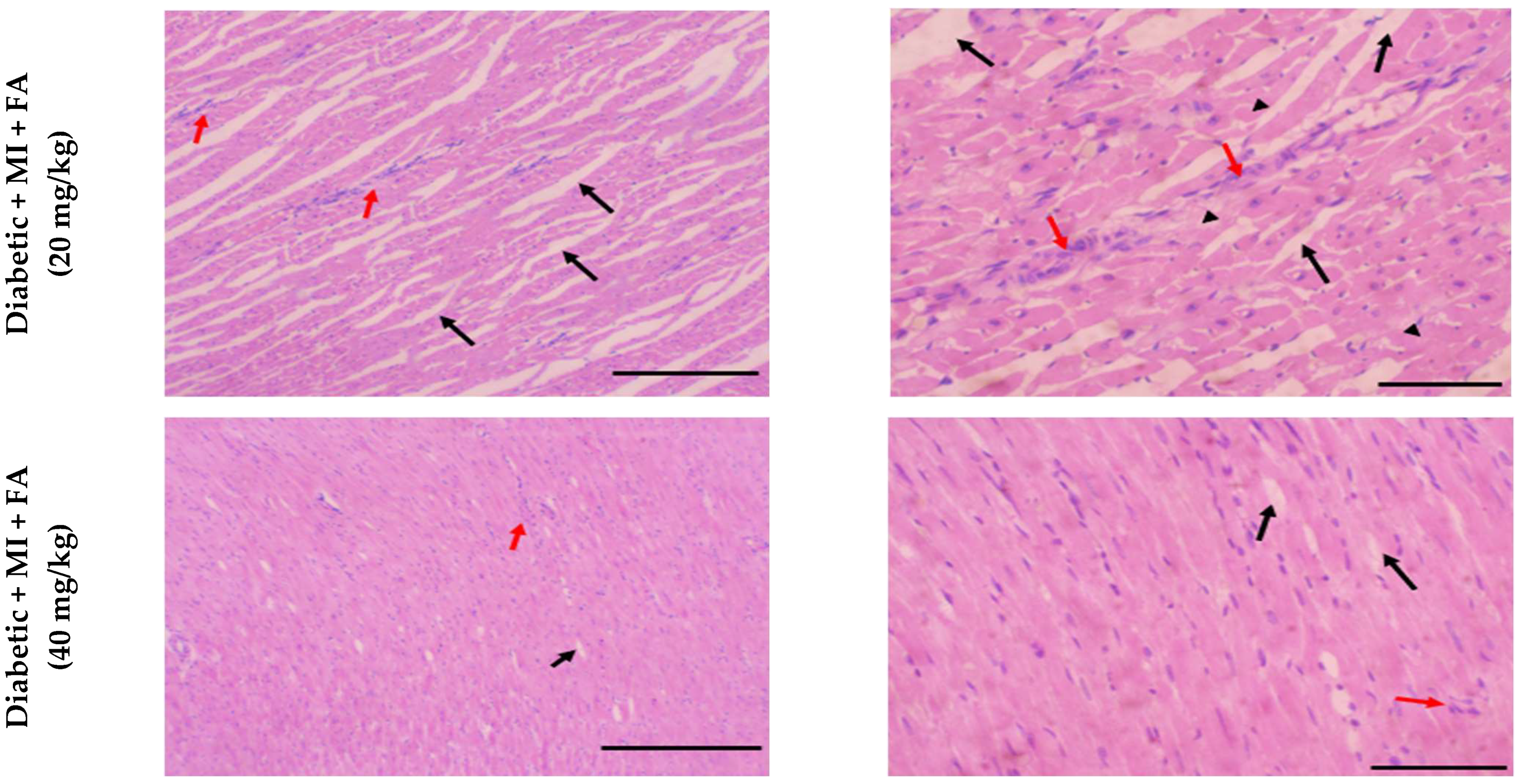
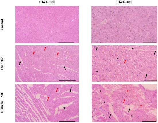
2.4. Histopathological Examinations of the Cardiac Tissues in the Experimental Groups
2.5. The Effect of Treatment with Various Doses of Ferulic Acid (20 or 40 mg/kg) on Cardiac TNF-α as an Inflammatory Marker
2.6. The Effect of Treatment with Diverse Doses of Ferulic Acid (20 or 40 mg/kg) on Cardiac MDA as an Oxidative Marker
2.7. Effect of Treatment with Diverse Doses of Ferulic Acid (20 or 40 mg/kg) on Cardiac AGE–RAGE by PCR
3. Discussion
4. Materials and Methods
4.1. Experimental Animals
4.2. Chemicals and Drugs
4.3. Induction of Type 2 Diabetes and Acute Myocardial Infarction
4.4. Experimental Design
4.5. Electrophysiology
Blood Sampling
4.6. Processing of the Heart
4.7. Determination of Serum Cardiac Biomarkers
4.8. Determination of TNF-α and MDA
4.9. Histopathological Examination of Heart Tissues
4.10. Determination of AGEs and RAGE by Quantitative Real-Time PCR Analysis Using Heart Tissue
- AGEs: Forward: GCT CTG ATA TCG GTG ACC CT; Reverse: TCG TAG TTG TGG TGG TCG AT.
- RAGE: Forward: GGA CAG TGT GGC TCG AAT CC; Reverse: CAA TTC CGA TAG CTG GAA GGA.
- β-actin (internal control): Forward: ACC CTA AGG CCA ACC GTG AA; Reverse: ACA GCC TGG ATG GCT ACG TAC A.
Statistical Analysis
5. Conclusions
Author Contributions
Funding
Institutional Review Board Statement
Informed Consent Statement
Data Availability Statement
Acknowledgments
Conflicts of Interest
References
- Khodeer, D.M. Beyond Glycemic Control: Cardiovascular, Renal, and Hepatic Benefits of GLP-1 Receptor Agonists. Spectr. Sci. J. 2024, 1, 15–26. [Google Scholar] [CrossRef]
- Eltamany, E.E.; Nafie, M.S.; Khodeer, D.M.; El-Tanahy, A.H.H.; Abdel-Kader, M.S.; Badr, J.M.; Abdelhameed, R.F.A. Rubia Tinctorum Root Extracts: Chemical Profile and Management of Type II Diabetes Mellitus. RSC Adv. 2020, 10, 24159–24168. [Google Scholar] [CrossRef]
- Al Hroob, A.M.; Abukhalil, M.H.; Hussein, O.E.; Mahmoud, A.M. Pathophysiological Mechanisms of Diabetic Cardiomyopathy and the Therapeutic Potential of Epigallocatechin-3-Gallate. Biomed. Pharmacother. 2019, 109, 2155–2172. [Google Scholar] [CrossRef] [PubMed]
- Williams, R.; Colagiuri, S.; Chan, J.; Gregg, E.; Ke, C.; Lim, L.-L.; Yang, X. IDF Atlas 9th Edition 2019; IDF: Brussels, Belgium, 2019; ISBN 978-2-930229-87-4. Available online: https://diabetesatlas.org/upload/resources/material/20200302_133351_IDFATLAS9e-final-web.pdf (accessed on 4 December 2024).
- Buettner, R.; Schunter, M. Efficient Machine Learning Based Detection of Heart Disease. In Proceedings of the 2019 IEEE International Conference on E-health Networking, Application & Services HealthCom, Bogota, Colombia, 14–16 October 2019; pp. 1–6. [Google Scholar] [CrossRef]
- Abdelaziz, A.S.; Kamel, M.A.; Ahmed, A.I.; Shalaby, S.I.; El-Darier, S.M.; Beshbishy, A.M.; Batiha, G.E.-S.; Alomar, S.Y.; Khodeer, D.M. Chemotherapeutic Potential of Epimedium Brevicornum Extract: The CGMP-Specific Pde5 Inhibitor as Anti-Infertility Agent Following Long-Term Administration of Tramadol in Male Rats. Antibiotics 2020, 9, 318. [Google Scholar] [CrossRef] [PubMed]
- Shin, S.Y.; Lee, J.; Park, J.; Lee, Y.; Ahn, S.; Lee, J.H.; Koh, D.; Lee, Y.H.; Lim, Y. Design, Synthesis, and Biological Activities of 1-Aryl-(3-(2-Styryl)Phenyl)Prop-2-En-1-Ones. Bioorg. Chem. 2019, 83, 438–449. [Google Scholar] [CrossRef]
- Khodeer, D.M.; Bilasy, S.E.; Farag, N.E.; Mehana, A.E.; Elbaz, A.A. Sitagliptin Protects Diabetic Rats with Acute Myocardial Infarction through Induction of Angiogenesis: Role of IGF-1 and VEGF. Can. J. Physiol. Pharmacol. 2019, 97, 1053–1063. [Google Scholar] [CrossRef]
- Anderson, J.L.; Morrow, D.A. Acute Myocardial Infarction. N. Engl. J. Med. 2017, 376, 2053–2064. [Google Scholar] [CrossRef]
- Khodeer, D.M.; Nasr, A.M.; Swidan, S.A.; Shabayek, S.; Khinkar, R.M.; Aldurdunji, M.M.; Ramadan, M.A.; Badr, J.M. Characterization, Antibacterial, Antioxidant, Antidiabetic, and Anti-Inflammatory Activities of Green Synthesized Silver Nanoparticles Using Phragmanthera austroarabica A.G. Mill and J.A. Nyberg Extract. Front. Microbiol. 2023, 13, 1078061. [Google Scholar] [CrossRef]
- Benetos, A.; Petrovic, M.; Strandberg, T. Hypertension Management in Older and Frail Older Patients. Circ. Res. 2019, 124, 1045–1060. [Google Scholar] [CrossRef]
- Anderson, E.J.; Kypson, A.P.; Rodriguez, E.; Anderson, C.A.; Lehr, E.J.; Neufer, P.D. Substrate-Specific Derangements in Mitochondrial Metabolism and Redox Balance in the Atrium of the Type 2 Diabetic Human Heart. J. Am. Coll. Cardiol. 2009, 54, 1891–1898. [Google Scholar] [CrossRef]
- Elkelish, A. New Plant Extracts toward Multidrug Resistance: The Convergence of Nanotechnology and Nanoscience. Spectr. Sci. J. 2024, 1, 396119. [Google Scholar] [CrossRef]
- Sharma, M.; Kishore, K.; Gupta, S.K.; Joshi, S.; Arya, D.S. Cardioprotective Potential of Ocimum Sanctum in Isoproterenol Induced Myocardial Infarction in Rats. Mol. Cell. Biochem. 2001, 225, 75–83. [Google Scholar] [CrossRef] [PubMed]
- Aihara, M.; Dobashi, K.; Iizuka, K.; Nakazawa, T.; Mori, M. Comparison of Effects of Y-27632 and Isoproterenol on Release of Cytokines from Human Peripheral T Cells. Int. Immunopharmacol. 2003, 3, 1619–1625. [Google Scholar] [CrossRef] [PubMed]
- Silván, J.M.; Assar, S.H.; Srey, C.; Dolores del Castillo, M.; Ames, J.M. Control of the Maillard Reaction by Ferulic Acid. Food Chem. 2011, 128, 208–213. [Google Scholar] [CrossRef]
- Yao, Q.; Liang, Y.; Shao, Y.; Bian, W.; Fu, H.; Xu, J.; Sui, L.; Yao, B.; Li, M. Advanced Glycation End Product Concentrations in Follicular Fluid of Women Undergoing IVF/ICSI with a GnRH Agonist Protocol. Reprod. BioMed. Online 2018, 36, 20–25. [Google Scholar] [CrossRef]
- Matsui, T.; Nakamura, N.; Ojima, A.; Nishino, Y.; Yamagishi, S.-i. Sulforaphane Reduces Advanced Glycation End Products (AGEs)-Induced Inflammation in Endothelial Cells and Rat Aorta. Nutr. Metab. Cardiovasc. Dis. 2016, 26, 797–807. [Google Scholar] [CrossRef]
- Sato, N.; Li, W.; Tsubaki, M.; Higai, K.; Takemoto, M.; Sasaki, T.; Onoda, T.; Suzuki, T.; Koike, K. Flavonoid Glycosides from Japanese Camellia Oil Cakes and Their Inhibitory Activity against Advanced Glycation End-Products Formation. J. Funct. Foods 2017, 35, 159–165. [Google Scholar] [CrossRef]
- Mamdouh, A.M.; Khodeer, D.M.; Tantawy, M.A.; Moustafa, Y.M. In-Vitro and in-Vivo Investigation of Amygdalin, Metformin, and Combination of Both against Doxorubicin on Hepatocellular Carcinoma. Life Sci. 2021, 285, 119961. [Google Scholar] [CrossRef]
- Navarrete, S.; Alarcón, M.; Palomo, I. Aqueous Extract of Tomato (Solanum lycopersicum L.) and Ferulic Acid Reduce the Expression of TNF-α and IL-1β in LPS-Activated Macrophages. Molecules 2015, 20, 15319–15329. [Google Scholar] [CrossRef]
- Chaudhary, A.; Jaswal, V.S.; Choudhary, S.; Sonika; Sharma, A.; Beniwal, V.; Tuli, H.S.; Sharma, S. Ferulic Acid: A Promising Therapeutic Phytochemical and Recent Patents Advances. Recent. Pat. Inflamm. Allergy Drug Discov. 2019, 13, 115–123. [Google Scholar] [CrossRef]
- Di Loreto, A.; Bosi, S.; Montero, L.; Bregola, V.; Marotti, I.; Sferrazza, R.E.; Dinelli, G.; Herrero, M.; Cifuentes, A. Determination of Phenolic Compounds in Ancient and Modern Durum Wheat Genotypes. Electrophoresis 2018, 39, 2001–2010. [Google Scholar] [CrossRef] [PubMed]
- Zduńska, K.; Dana, A.; Kolodziejczak, A.; Rotsztejn, H. Antioxidant Properties of Ferulic Acid and Its Possible Application. Ski. Pharmacol. Physiol. 2018, 31, 332–336. [Google Scholar] [CrossRef] [PubMed]
- Liu, H.; Chen, Z.; Shen, L.; Guo, X.; Ji, D. Well Modelling Methods in Thermal Reservoir Simulation. Oil Gas Sci. Technol.—Rev. IFP Energies Nouv. 2020, 75, 63. [Google Scholar] [CrossRef]
- Chaikijurajai, T.; Tang, W.H.W. Myeloperoxidase: A Potential Therapeutic Target for Coronary Artery Disease. Expert. Opin. Ther. Tar. 2020, 24, 695–705. [Google Scholar] [CrossRef] [PubMed]
- Li, X.; Wu, J.; Xu, F.; Chu, C.; Li, X.; Shi, X.; Zheng, W.; Wang, Z.; Jia, Y.; Xiao, W. Use of Ferulic Acid in the Management of Diabetes Mellitus and Its Complications. Molecules 2022, 27, 6010. [Google Scholar] [CrossRef]
- Sun, S.; Ruan, Y.; Yan, M.; Xu, K.; Yang, Y.; Shen, T.; Jin, Z. Ferulic Acid Alleviates Oxidative Stress-Induced Cardiomyocyte Injury by the Regulation of miR-499-5p/P21 Signal Cascade. Evid.-Based Complement. Altern. Med. 2021, 2021, 1921457. [Google Scholar] [CrossRef]
- Reasner, C.A. Reducing Cardiovascular Complications of Type 2 Diabetes by Targeting Multiple Risk Factors. J. Cardiovasc. Pharmacol. 2008, 52, 136–144. [Google Scholar] [CrossRef]
- Elshourbagy, N. The Effects of Carvedilol and Q10 On Isoprenaline-Induced Cardiotoxicity: Electrocardiographic, Biochemical and Histopathological Evaluation in Rats. Al-Azhar J. Pharm. Sci. 2016, 54, 148–158. [Google Scholar] [CrossRef]
- Perrone, A.; Giovino, A.; Benny, J.; Martinelli, F. Advanced Glycation End Products (AGEs): Biochemistry, Signaling, Analytical Methods, and Epigenetic Effects. Oxid. Med. Cell. Longev. 2020, 2020, 3818196. [Google Scholar] [CrossRef]
- Vadakedath, S.; Kandi, V. Role of Advanced Glycation End Products (AGE) in Health and Disease: An Overview. Biochem. Physiol. 2018, 7, 1000246. [Google Scholar] [CrossRef]
- Barrett, E.J.; Liu, Z.; Khamaisi, M.; King, G.L.; Klein, R.; Klein, B.E.K.; Hughes, T.M.; Craft, S.; Freedman, B.I.; Bowden, D.W.; et al. Diabetic Microvascular Disease: An Endocrine Society Scientific Statement. J. Clin. Endocrinol. Metab. 2017, 102, 4343–4410. [Google Scholar] [CrossRef] [PubMed]
- Khalid, M.; Petroianu, G.; Adem, A. Advanced Glycation End Products and Diabetes Mellitus: Mechanisms and Perspectives. Biomolecules 2022, 12, 542. [Google Scholar] [CrossRef] [PubMed]
- Nowotny, K.; Jung, T.; Höhn, A.; Weber, D.; Grune, T. Advanced Glycation End Products and Oxidative Stress in Type 2 Diabetes Mellitus. Biomolecules 2015, 5, 194–222. [Google Scholar] [CrossRef]
- Singh, V.P.; Bali, A.; Singh, N.; Jaggi, A.S. Advanced Glycation End Products and Diabetic Complications. Korean J. Physiol. Pharmacol. 2014, 18, 1–14. [Google Scholar] [CrossRef] [PubMed]
- Shen, Y.; Xu, Z.; Sheng, Z. Ability of Resveratrol to Inhibit Advanced Glycation End Product Formation and Carbohydrate-Hydrolyzing Enzyme Activity, and to Conjugate Methylglyoxal. Food Chem. 2017, 216, 153–160. [Google Scholar] [CrossRef]
- Liu, J.; He, Y.; Wang, S.; He, Y.; Wang, W.; Li, Q.; Cao, X. Ferulic Acid Inhibits Advanced Glycation End Products (AGEs) Formation and Mitigates the AGEs-Induced Inflammatory Response in HUVEC Cells. J. Funct. Foods 2018, 48, 19–26. [Google Scholar] [CrossRef]
- Srinivasan, M.; Sudheer, A.R.; Menon, V.P. Ferulic Acid: Therapeutic Potential Through Its Antioxidant Property. J. Clin. Biochem. Nutr. 2007, 40, 92–100. [Google Scholar] [CrossRef]
- Jung, E.H.; Kim, S.R.; Hwang, I.K.; Ha, T.Y. Hypoglycemic Effects of a Phenolic Acid Fraction of Rice Bran and Ferulic Acid in C57BL/KsJ-Db/Db Mice. J. Agric. Food Chem. 2007, 55, 9800–9804. [Google Scholar] [CrossRef]
- Sri Balasubashini, M.; Rukkumani, R.; Menon, V.P. Protective Effects of Ferulic Acid on Hyperlipidemic Diabetic Rats. Acta Diabetol. 2003, 40, 118–122. [Google Scholar] [CrossRef]
- Ha, H.; Lee, H.B. Reactive Oxygen Species as Glucose Signaling Molecules in Mesangial Cells Cultured under High Glucose. Kidney Int. Suppl. 2000, 77, S19–S25. [Google Scholar] [CrossRef]
- Ziyadeh, F.N. Mediators of Diabetic Renal Disease: The Case for Tgf-Beta as the Major Mediator. J. Am. Soc. Nephrol. 2004, 15 (Suppl. S1), S55–S57. [Google Scholar] [CrossRef] [PubMed]
- Lin, F.-H.; Lin, J.-Y.; Gupta, R.D.; Tournas, J.A.; Burch, J.A.; Selim, M.A.; Monteiro-Riviere, N.A.; Grichnik, J.M.; Zielinski, J.; Pinnell, S.R. Ferulic Acid Stabilizes a Solution of Vitamins C and E and Doubles Its Photoprotection of Skin. J. Investig. Dermatol. 2005, 125, 826–832. [Google Scholar] [CrossRef] [PubMed]
- Nirmala, C.; Puvanakrishnan, R. Protective Role of Curcumin against Isoproterenol Induced Myocardial Infarction in Rats. Mol. Cell. Biochem. 1996, 159, 85–93. [Google Scholar] [CrossRef] [PubMed]
- Patel, V.; Upaganlawar, A.; Zalawadia, R.; Balaraman, R. Cardioprotective Effect of Melatonin against Isoproterenol Induced Myocardial Infarction in Rats: A Biochemical, Electrocardiographic and Histoarchitectural Evaluation. Eur. J. Pharmacol. 2010, 644, 160–168. [Google Scholar] [CrossRef]
- Nagoor Meeran, M.F.; Jagadeesh, G.S.; Selvaraj, P. Thymol Attenuates Inflammation in Isoproterenol Induced Myocardial Infarcted Rats by Inhibiting the Release of Lysosomal Enzymes and Downregulating the Expressions of Proinflammatory Cytokines. Eur. J. Pharmacol. 2015, 754, 153–161. [Google Scholar] [CrossRef]
- Padmanabhan, M.; Mainzen Prince, P.S. S-Allylcysteine Ameliorates Isoproterenol-Induced Cardiac Toxicity in Rats by Stabilizing Cardiac Mitochondrial and Lysosomal Enzymes. Life Sci. 2007, 80, 972–978. [Google Scholar] [CrossRef]
- Lim, K.H.; Ko, D.; Kim, J.-H. Cardioprotective Potential of Korean Red Ginseng Extract on Isoproterenol-Induced Cardiac Injury in Rats. J. Ginseng Res. 2013, 37, 273–282. [Google Scholar] [CrossRef]
- Szasz. Proceedings of the Second International Symposium on Clinical Enzymology. San Diego, U.S.A., February 1979. Clin. Biochem. 1979, 12, 189–290. [Google Scholar]
- Zhang, J.; Knapton, A.; Lipshultz, S.E.; Weaver, J.L.; Herman, E.H. Isoproterenol-Induced Cardiotoxicity in Sprague-Dawley Rats: Correlation of Reversible and Irreversible Myocardial Injury with Release of Cardiac Troponin T and Roles of iNOS in Myocardial Injury. Toxicol. Pathol. 2008, 36, 277–278. [Google Scholar] [CrossRef]
- Vatandoust, N.; Rami, F.; Salehi, A.R.; Khosravi, S.; Dashti, G.; Eslami, G.; Momenzadeh, S.; Salehi, R. Novel High-Fat Diet Formulation and Streptozotocin Treatment for Induction of Prediabetes and Type 2 Diabetes in Rats. Adv. Biomed. Res. 2018, 7, 107. [Google Scholar] [CrossRef]
- Jain, P.G.; Mahajan, U.B.; Shinde, S.D.; Surana, S.J. Cardioprotective Role of FA against Isoproterenol Induced Cardiac Toxicity. Mol. Biol. Rep. 2018, 45, 1357–1365. [Google Scholar] [CrossRef] [PubMed]
- Buhl, S.N.; Jackson, K.Y. Optimal Conditions and Comparison of Lactate Dehydrogenase Catalysis of the Lactate-to-Pyruvate and Pyruvate-to-Lactate Reactions in Human Serum at 25, 30, and 37 Degrees C. Clin. Chem. 1978, 24, 828–831. [Google Scholar] [CrossRef] [PubMed]
- Würzburg, U.; Hennrich, N.; Lang, H.; Prellwitz, W.; Neumeier, D.; Knedel, M. Bestimmung der Aktivität von Creatinkinase MB im Serum unter Verwendung inhibierender Antikörper. Klin. Wochenschr. 1976, 54, 357–360. [Google Scholar] [CrossRef] [PubMed]
- Acikel, M.; Buyukokuroglu, M.E.; Erdogan, F.; Aksoy, H.; Bozkurt, E.; Senocak, H. Protective Effects of Dantrolene against Myocardial Injury Induced by Isoproterenol in Rats: Biochemical and Histological Findings. Int. J. Cardiol. 2005, 98, 389–394. [Google Scholar] [CrossRef]







| Groups | Baseline BWt (g) | Final BWt (g) | % Change BWt | LV Weight to BWt (g/g) ×10−3 | HtWt to BWt (g/g) ×10−3 |
|---|---|---|---|---|---|
| Control | 159.0 ± 3.6 | 187.7 ± 4.5 c | 18.0 ± 0.8 b | 1.1 ± 0.1 b | 3.7 ± 0.6 a |
| Diabetic | 159.0 ± 3.2 | 207.0 ± 3.7 b | 29.9 ± 4.3 ab | 1.3 ± 0.1 a | 4.1 ± 0.3 a |
| Diabetic + MI | 168.3 ± 2.1 | 226.0 ± 3.6 a | 34.3 ± 27 a | 1.3 ± 0.01 a | 4.3 ± 0.2 a |
| Diabetic + MI + FA (20 mg/kg) | 166.3 ± 2.7 | 202.7 ± 5.4 bc | 22.0 ± 5.6 b | 1.2 ± 0.1 ab | 4.1 ± 0.2 a |
| Diabetic + MI + FA (40 mg/kg) | 163.1 ± 4.4 | 191.7 ± 3.7 bc | 17.9 ± 4.7 b | 1.2 ± 0.1 ab | 4.0 ± 0.1 a |
| F test | 2.48 | 11.39 | 6.54 | 5.07 | 1.41 |
| p-Value 0.05 | 0.111ns | 0.0010 ** | 0.0075 ** | 0.017 ** | 0.29 |
| Groups | BGL (mM/L) | Insulin (μIU/mL) | HOMA-IR Index |
|---|---|---|---|
| Control | 5.13 ± 0.06 b | 4.90 ± 0.26 e | 1.77 ± 0.06 c |
| Diabetic | 7.90 ± 0.52 b | 17.20 ± 0.20 c | 5.70 ± 0.44 bc |
| Diabetic + MI | 10.60 ± 2.04 a | 37.20 ± 2.65 a | 17.60 ± 3.99 a |
| Diabetic + MI + FA (20 mg/kg) | 6.1 ± 0.10 b | 20.60 ± 2.65 b | 6.43 ± 0.91 b |
| Diabetic + MI + FA (40 mg/kg) | 6.00 ± 0.26 b | 9.47 ± 0.95 d | 2.97 ± 0.60 bc |
| F test | 6.32 | 155.49 | 34.16 |
| p-Value 0.05 | 0.008 ** | <0.0001 ** | <0.0001 ** |
Disclaimer/Publisher’s Note: The statements, opinions and data contained in all publications are solely those of the individual author(s) and contributor(s) and not of MDPI and/or the editor(s). MDPI and/or the editor(s) disclaim responsibility for any injury to people or property resulting from any ideas, methods, instructions or products referred to in the content. |
© 2025 by the authors. Licensee MDPI, Basel, Switzerland. This article is an open access article distributed under the terms and conditions of the Creative Commons Attribution (CC BY) license (https://creativecommons.org/licenses/by/4.0/).
Share and Cite
Bekheit, S.O.; Kolieb, E.; El-Awady, E.-S.E.; Alwaili, M.A.; Alharthi, A.; Khodeer, D.M. Cardioprotective Effects of Ferulic Acid Through Inhibition of Advanced Glycation End Products in Diabetic Rats with Isoproterenol-Induced Myocardial Infarction. Pharmaceuticals 2025, 18, 319. https://doi.org/10.3390/ph18030319
Bekheit SO, Kolieb E, El-Awady E-SE, Alwaili MA, Alharthi A, Khodeer DM. Cardioprotective Effects of Ferulic Acid Through Inhibition of Advanced Glycation End Products in Diabetic Rats with Isoproterenol-Induced Myocardial Infarction. Pharmaceuticals. 2025; 18(3):319. https://doi.org/10.3390/ph18030319
Chicago/Turabian StyleBekheit, Sarah Ouda, Eman Kolieb, El-Sayed E. El-Awady, Maha Abdullah Alwaili, Afaf Alharthi, and Dina M. Khodeer. 2025. "Cardioprotective Effects of Ferulic Acid Through Inhibition of Advanced Glycation End Products in Diabetic Rats with Isoproterenol-Induced Myocardial Infarction" Pharmaceuticals 18, no. 3: 319. https://doi.org/10.3390/ph18030319
APA StyleBekheit, S. O., Kolieb, E., El-Awady, E.-S. E., Alwaili, M. A., Alharthi, A., & Khodeer, D. M. (2025). Cardioprotective Effects of Ferulic Acid Through Inhibition of Advanced Glycation End Products in Diabetic Rats with Isoproterenol-Induced Myocardial Infarction. Pharmaceuticals, 18(3), 319. https://doi.org/10.3390/ph18030319

