Potential of Essential Oils from Cymbopogon winterianus Jowitt: Promising Evaluation for the Control of Mollusks and Embryos of Biomphalaria glabrata and Schistosoma mansoni Cercariae
Abstract
1. Introduction
2. Results
2.1. EO Characterization
2.2. Molluscicidal Assay
2.3. Biochemical Analysis
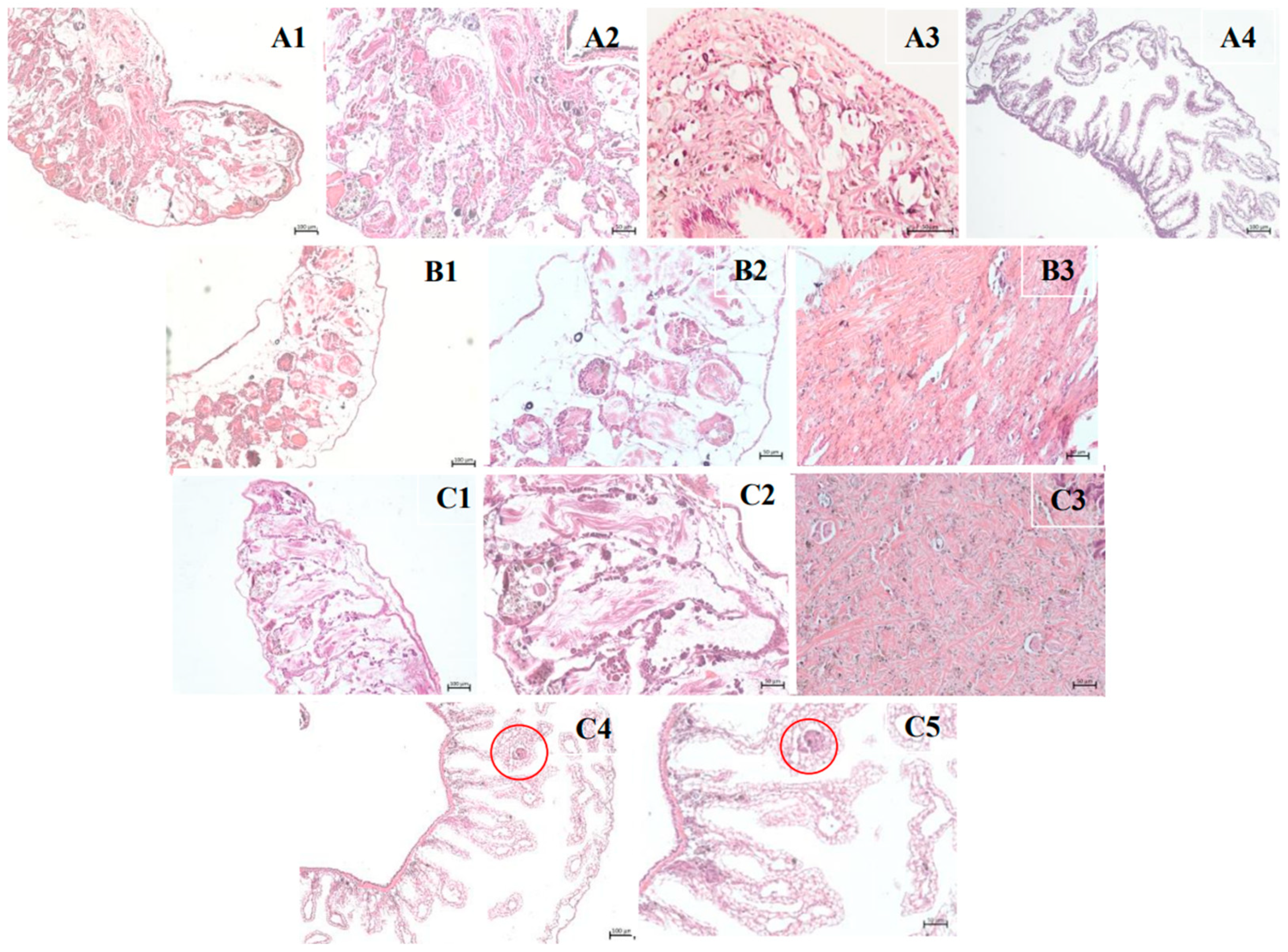
2.4. Histopathological Analysis of Species Biomphalaria glabrata
2.5. Toxicity Assay on Species Biomphalaria tenagophila and Physella acuta
2.6. Ecotoxicity in Algae
2.7. Ovicidal Assay
2.8. Cercaricidal Assay
2.9. In Vivo Acute Toxicity Assay
2.10. Hematological and Biochemical Analysis
2.11. Effect of Cymbopogon winterianus EO on Acetylcholinesterase
3. Discussion
4. Materials and Methods
4.1. Collect
4.2. EO Extraction
4.3. Chemic Characterization of EO from Leaves of Cymbopogon winterianus
4.4. Biological Assays
4.4.1. Raising and Maintenance of Mollusks
4.4.2. Molluscicidal Assay
4.5. Biochemical Analysis
4.6. Histopathological Analysis of Species Biomphalaria glabrata
4.7. Toxicity Assay on Species Biomphalaria tenagophila and Physella acuta
4.7.1. Raising and Maintenance of Mollusks
4.7.2. Molluscicidal Assay of Species Biomphalaria tenagophila and Physella acuta
4.8. Algae Collection
4.8.1. Isolation of Species (I) and Individual Cells (II)
4.8.2. Cultivation of Isolated Species
4.8.3. Ecotoxicity Assay on Algae
4.9. Ovicidal Assay
4.10. Cercaricidal Assay
4.11. In Vivo Acute Toxicity Assay
Hematological and Biochemical Analysis
4.12. Effect of Cymbopogon winterianus EO on Acetylcholinesterase
4.13. Data Analysis
5. Conclusions
Author Contributions
Funding
Institutional Review Board Statement
Informed Consent Statement
Data Availability Statement
Conflicts of Interest
References
- Mitra, A.K.; Mawson, A.R. Doenças Tropicais Negligenciadas: Epidemiologia e Carga Global. Trop. Med. Infect. Dis. 2017, 2, 36. [Google Scholar] [CrossRef]
- Xue, Q.; Deng, Y.; Liu, Y.; Wang, Y.; Hu, W.; Huang, Y.; Yang, K. A retrospective analysis of schistosomiasis related literature from 2011–2020: Focusing on the next decade. Acta Trop. 2023, 238, 106750, ISSN 0001-706X. [Google Scholar] [CrossRef]
- Chala, B. Avanços no diagnóstico da esquistossomose: Foco nos desafios e abordagens futuras. Int. J. Gen. Med. 2023, 16, 983–995. [Google Scholar] [CrossRef] [PubMed]
- WHO. Schistosomiasis. 2023. Available online: https://www.who.int/health-topics/schistosomiasis#tab=tab_1 (accessed on 19 August 2023).
- WHO. Schistosomiasis. 2020. Available online: https://www.who.int/en/news-room/fact-sheets/detail/schistosomiasis (accessed on 15 February 2020).
- Ministério da Saúde; Secretaria de Vigilância em Saúde; Departamento de Vigilância Epidemiológica. Vigilância da Esquistossomose Mansoni: Diretrizes Técnicas, 4th ed.; Série A. Normas e Manuais, Técnicos; Ministério da Saúde: Brasília, Brazil; Secretaria de Vigilância em Saúde: Brasília, Brazil; Departamento de Vigilância das Doenças Transmissíveis: Brasília, Brazil; Ministério da Saúde: Brasília, Brazil, 2014; 144p. [Google Scholar]
- Leite, J.C.V.A.; Rangel, L.S.; Gomes, K.N.F.; Albuquerque, R.D.D.G.; Santos, J.A.A.; Faria, R.X. Effects of Abelmoschus esculentus Extracts and Fractions on Embryos and Adult Individuals of Biomphalaria glabrata (Say, 1818) and on Schistosoma mansoni Cercariae. Separations 2024, 11, 99. [Google Scholar] [CrossRef]
- EPA. Prevention, Pesticides and Toxic Substances; United Satates Environmental Protection Agency: Washington, DC, USA, 1999. Available online: https://www3.epa.gov/pesticides/chem_search/reg_actions/reregistration/fs_PC-077401_1-Nov-99.pdf (accessed on 11 June 2024).
- Machado, F.P.; Rangel, L.S.; Gomes, K.N.F.; Santos, J.A.A.; Faria, R.X.; Santos, M.G.; Fernandes, C.P.; Rocha, L. Potential of Ocotea indecora (Schott) Mez essential oil nanoemulsion in schistosomiasis control: Molluskicidal effects. Exp. Parasitol. 2024, 259, 108717. [Google Scholar] [CrossRef] [PubMed]
- Jara, M.O.; Williams, R.O. The challenge of repurposing niclosamide: Considering pharmacokinetic parameters, routes of administration, and drug metabolism. J. Drug Deliv. Sci. Technol. 2023, 81, 104187. [Google Scholar] [CrossRef]
- Pavoni, L.; Roman, P.; Marco, C.; Giulia, B.; Filippo, M.; Valeria, Z.; Angelo, C.; Andrea, L.; Fabrizio, B.; Benelli, G. Micro e Nanoemulsões Verdes para Gerenciamento de Parasitas, Vetores e Pragas. Nanomateriais 2019, 9, 1285. [Google Scholar] [CrossRef]
- Rangel, L.S.; Gomes, K.N.F.G.; Santos, J.A.A.; Faria, R.X. Bioactivity of substances isolated from natural products on mollusks Biomphalaria glabrata (SAY, 1818) (Planorbidae): A review. Braz. J. Biol. 2023, 83, e266526. [Google Scholar] [CrossRef] [PubMed]
- Paula-Andrade, C.; Coelho, P.R.S.; Nascimento, R.A.P.; Mota, P.M.P.C.; Romano-Silva, M.A.; Alvarenga, K.A.F. Development of a natural molluskicide prototype kit (MoluSchall) for the control of schistosomiais mansoni transmission. J. Braz. Soc. Trop. Med. 2019, 52, e20190252. [Google Scholar] [CrossRef]
- Quintans-Júnior, L.J.; Souza, T.T.; Leite, B.S.; Lessa, N.M.N.; Bonjardim, L.R.; Santos, M.R.V.; Alves, P.B.; Blank, A.F.; Antoniolli, A.R. Phythochemical screening and anticonvulsant activity of Cymbopogon winterianus (Poaceae) leaf essencial oil in rodents. Phytomedicine 2008, 15, 619–624. [Google Scholar] [CrossRef]
- Bricarello, P.A.; Barros, G.P.; Seugling, J.; Podestá, R.; Valerino, M.B.; Mazzarino, L. Ovicidal, larvicidal and oviposition repelling action of a nanoemulsion of citronella essencial oil (Cymbopogon winterianus) on Cochliomyia hominivorax (Diptera: Calliphoridae). J. Asia-Pac. Entomol. 2021, 24, 724–730. [Google Scholar] [CrossRef]
- Rammal, M.; Adnan, B.; Chaden, H.; Abbas, S.; Mikhael, B.; Maya, A.; Khodor, H.H.; Mohammad, E.; Mohamad, T.R. Cymbopogon winterianus (Java Citronella Plant): A Multi-Faceted Approach for Food Preservation, Insecticidal Effects, and Bread Application. Foods 2024, 13, 803. [Google Scholar] [CrossRef]
- Vicentini, V.B.; Pratissoli, D.; Queiroz, V.T.; Costa, A.V.; Pinheiro, P.F.; Zinger, F.D.; Rondelli, V.M. Ethanol extract of Cymbopogon winterianus on mortality and number of eggs of Tetranychus urticae. Ciência Rural. 2015, 45, 1154–1159. [Google Scholar] [CrossRef][Green Version]
- Silva, M.R.; Ximenes, R.M.; Costa, J.G.M.; Leal, K.A.M.; Lopes, A.A.; Viana, G.S.B. Naunyn-Schmiedeberg’s. Arch. Pharmacol. 2010, 381, 415–426. [Google Scholar] [CrossRef] [PubMed]
- Wany, A.; Kumar, A.; Nallapeta, S.; Jha, S.; Nigam, V.K.; Pandey, D.M. Extraction and characterization of essencial oil components based on geraniol and citronellol from Java citronella (Cymbopogon winterianus Jowitt). Plant Growth Regul. 2014, 73, 133–145. [Google Scholar] [CrossRef]
- Leite, B.L.S.; Rangel, R.B.; Angelo, R.A.; Sara, M.T.; Adriano, A.S.; Araújo, A.F.B.; Blank, A.F.; Estevam, C.S.; Cambui, E.V.; Bonjardim, L.R.; et al. Assessment of Antinociceptive, Anti-Inflammatory and Antioxidant Properties of Cymbopogon Winterianus Leaf Essential Oil. Pharm. Biol. 2010, 48, 1164–1169. [Google Scholar] [CrossRef]
- Maurya, A.; Himanshu, Y.; Richa, S.; Anoop, K.V.; Durga, P.M.; Amritesh, C.S.; Ramesh, K.S. Antifungal Efficacy and Phytochemical Characterization of Citronella (Cymbopogon Winterianus Jowitt Ex Bor) Essential Oil against Fungal Pathogens Causing Severe Diseases in Mentha Arvensis L. J. Essent. Oil Bear. Plants 2024, 27, 230–240. [Google Scholar] [CrossRef]
- Oliveira, W.A.; Pereira, F.O.; Luna, G.C.D.G.; Lima, I.O.; Wanderley, P.A.; Lima, R.B.; Lima, E.O. Antifungal activity of Cymbopogon winterianus Jowitt Ex Bor against Candida albicans. Braz. J. Microbiol. 2011, 42, 433–441. [Google Scholar] [CrossRef] [PubMed]
- Ankur, G.A.; Rawat, P.; Singh, M.; Mullick, S. Development and Characterization of Cymbopogon winterianus (Jowitt) Essential Oil-Based Nano-Emulsion for Larvicidal and Antifeedant Activity Against Spodoptera litura (Fab.) (Lepidoptera: Noctuidae). BioNanoScience 2024, 14, 3108–3123. [Google Scholar] [CrossRef]
- Rodrigues, K.A.F.; Dias, C.N.; Amaral, F.M.M.; Moraes, D.F.C.; Mouchrek Filho, V.E.; Andrade, E.H.A.; Maia, J.G.S. Atividades moluscicida e larvicida e composição do óleo essencial de Cymbopogon winterianus. Pharm. Biol. 2013, 51, 1293–1297. [Google Scholar] [CrossRef] [PubMed]
- Costa, A.V.; Almeida, B.R.; Gonçalves, L.V.; Crico, K.B.; Ignacchiti, M.D.C.; Pereira Junior, O.S.; Pinheiro, P.F.; Queiroz, V.T. Efeito moluscicida do óleo essencial de Cymbopogon winterianus Jowitt (Poaceae) sobre Lymnaea columella (Say, 1817) e Biomphalaria tenagophila (D’Orbigny, 1835). Rev. Bras. Plantas Med. 2015, 17, 707–712. [Google Scholar] [CrossRef]
- Pereira, P.S.; Oliveira, C.V.B.; Maia, A.J.; Vega-Gomez, M.C.; Rolón, M.; Coronel, C.; Duarte, A.E.; Coutinho, H.D.M.; Siyadatpanah, A.; Norouzi, R.; et al. Avaliação do efeito antiparasitário in vitro do óleo essencial de Cymbopogon winterianus e análise da sua composição química. Molecules 2022, 27, 2753. [Google Scholar] [CrossRef]
- Pereira, L.P.L.A.; Ribeiro, E.C.G.; Brito, M.C.A.; Silveira, D.P.B.; Araruna, F.O.S.; Araruna, F.B.; Leite, J.A.C.; Dias, A.A.S.; Firmo, W.C.A.; Borges, M.O.R.; et al. Essential oils as molluskicidal agents against schistosomiasis transmitting snails—A review. Acta Trop. 2020, 209, 105489, ISSN 0001-706X. [Google Scholar] [CrossRef] [PubMed]
- World Health Organization. Report of the Scientific Working Group on Plant Molluskicide & Guidelines for Evaluation of Plant Molluskicides; TDR/SC 4-SWE; WHO: Geneva, Switzerland, 1983. [Google Scholar]
- Santos, J.A.A.; Cavalcante, V.P.; Rangel, L.S.; Leite, J.C.V.A.; Faria, R.X. A new technique using low volumes: A new technique to assess the molluskicidal activity using low volumes. Evid.-Based Complement. Altern. Med. 2017, 2017, 3673197. [Google Scholar] [CrossRef] [PubMed]
- Pan, C. The general histology and topographic micranatomu of Australorbis glabratus. Bull. Mus. Comp. Zool. 1958, 119, 235–299. Available online: http://biostor.org/reference/854 (accessed on 15 October 2024).
- Alberto-Silva, A.C.; Garcia, J.S.; Mota, E.M.; Martins, F.G.; Pinheiro, J.; Mello-Silva, C.C. Reproductive alterations of Biomphalaria glabrata (Say, 1818) infected with Angiostrongylus cantonensis (Chen, 1935) and exposed to Euphorbia milii var. hislopii latex. Braz. J. Biol. 2022, 82, e259628. [Google Scholar] [CrossRef] [PubMed]
- Pile, E.A.M.; Pastor, N.; Santos, J.Á.; Barros, J.S.L. Histological change in Biomphalaria glabrata, Say, 1818, Schistosoma mansoni intermediary host, submitted to Niclosamide. Braz. J. Vet. Res. Anim. Sci. 2022, 39, 218–219. [Google Scholar]
- Martins, D.L.; Silva, N.A.A.; Ferreira, V.F.; Rangel, L.S.; Santos, J.A.A.; Faria, R.X. Molluskicidal activity of 3-aryl-2-hydroxy-1,4-naphthoquinones against Biomphalaria glabrata. Acta Trop. 2022, 231, 106414, ISSN 0001-706X. [Google Scholar] [CrossRef]
- OCDE—Organização para Cooperação e Desenvolvimento Econômico. Teste n° 201: Algas e cianobactérias de água doce, teste de inibição do crescimento. Guidel. Test. Chem. 2004, 201, 1–15. [Google Scholar]
- Mello-Silva, C.C.; Villar, M.M.; Vasconcellos, M.C.; Pinheiro, J.; Rodrigues, M.L. Physiological changes in Biomphalaria glabrata say, 1818 (pulmonata: Planorbidae) caused by sublethal concentrations of the latex of Euphorbia splendens var. hislopii N. E. B (Euphorbiaceae). Memórias do Instituto Oswaldo Cruz 2006, 101, 3–8. [Google Scholar] [CrossRef]
- Mello-Silva, C.C.; Villar, M.M.; Vasconcellos, M.C.; Pinheiro, J.; Rodrigues, M.L. Carbohydrate metabolism alterations in Biomphalaria glabrata infected with Schistosoma mansoni and Exposed to Euphorbia splendens var. hislopii latex. Memórias do Instituto Oswaldo Cruz 2010, 105, 492–495. [Google Scholar] [CrossRef]
- Johnson, T.O.; Ojo, O.A.; Ikiriko, S.; Ogunkua, J.; Akinyemi, G.O.; Rotimi, D.E.; Oche, J.-R.; Adegboyega, A.E. Biochemical evaluation and molecular docking assessment of Cymbopogon citratus as a natural source of acetylcholine esterase (AChE)-targeting insecticides. Biochem. Biophys. Rep. 2021, 28, 101175. [Google Scholar] [CrossRef] [PubMed]
- Hung, N.H.; Quan, P.M.; Satyal, P.; Dai, D.N.; Hoa, V.V.; Huy, N.G.; Giang, L.D.; Ha, N.T.; Huong, L.T.; Hien, V.T.; et al. Acetylcholinesterase Inhibitory Activities of Essential Oils from Vietnamese Traditional Medicinal Plants. Molecules 2022, 27, 7092. [Google Scholar] [CrossRef]
- Adams, R.P. Identification of Essential Oil Components by Gas Chromatography/Mass Spectrometry, 4th ed.; Allured Publ.: Carol Stream, IL, USA, 2007. [Google Scholar]
- Silva, Y.R.R.; Silva, L.D.; Rocha, T.L.; Santos, D.B.; Bezerra, J.C.B.; Machado, K.B.; Paula, J.A.M.; Amaral, V.C.S. Molluskicidal activity of Persea americana Mill. (Lauraceae) stem bark ethanolic extract against the snail Biomphalaria glabrata (Say, 1818): A novel plant-derived molluskicide? Annais Braz. Acad. Sci. 2020, 92, 2–16. [Google Scholar]
- Guillard, R.R.L.; Lorenzen, C.J. Yellow-green algae with chlorophyllide. J. Phycol. 1972, 8, 10–14. [Google Scholar]
- Syuhada, N.H.; Merican, F.; Zaki, S.; Broady, P.A.; Convey, P.; Muangmai, N. Strong and widespread cycloheximide resistance in Stichococcus-like eukaryotic algal taxa. Sci. Rep. 2022, 12, 1080. [Google Scholar] [CrossRef]
- Azam, F.; Hemmingsen, B.B.; Volcani, B.E. Gerrnanium incorporation into the silica of diatom cell walls. Arch. Mikrobiol. 1973, 92, 11–20. [Google Scholar] [CrossRef]
- Chiappino, M.L.; Azam, F.; Volcani, B.E. Effect of germanic acid on developing cell walls of diatoms. Protoplasma 1977, 93, 191–204. [Google Scholar] [CrossRef]
- Bischoff, H.W.; Bold, H.C. Some soil algae from enchanted rock and related algal species. In Phycological Studies IV; No. 6318; University of Texas Publ.: Austin, TX, USA, 1963; pp. 1–95. [Google Scholar]
- Gorham, P.R.; Mclachlan, J.; Hammer, U.T.; Kim, W.K. Isolation and culture of toxic strains of Anabaena flos-aquae (Lingb.). Verhandlungen Int. Ver. Limnol. 1964, 15, 769–780. [Google Scholar]
- Ellman, G.L.; Courtney, K.D.; Andres, V., Jr.; Featherstone, R.M. A new and rapid colorimetric determination of acetylcholinesterase activity. Biochem. Pharmacol. 1961, 7, 88–95. [Google Scholar] [CrossRef] [PubMed]











| Retention Time | Arithmetic Index | Arithmetic Index Calculated | Substances | % |
|---|---|---|---|---|
| 7.029 | 974 | 991 | β-pinene | 0.1 |
| 8.264 | 1024 | 1028 | Limonene | 0.5 |
| 10.825 | 1095 | 1101 | Linalool | 0.6 |
| 12.630 | 1145 | 1146 | Isopulegol | 0.7 |
| 12.883 | 1148 | 1152 | Citronellal | 29.2 |
| 16.091 | 1223 | 1230 | Citronellol | 10.5 |
| 17.204 | 1249 | 1256 | Geraniol | 25.0 |
| 21.313 | 1350 | 1352 | Citronellyl acetate | 2.1 |
| 22.615 | 1379 | 1383 | Geranyl acetate | 3.7 |
| 22.930 | 1389 | 1391 | β-elemene | 1.6 |
| 26.557 | 1480 | 1479 | Germacrene D | 1.6 |
| 28.258 | 1528 | 1520 | Zonarene | 1.8 |
| 29.281 | 1548 | 1549 | Elemol | 9.6 |
| 30.288 | 1574 | 1575 | Germacrene D-4-ol | 1.2 |
| 32.820 | 1644 | 1642 | Muurolol (=Torreyol) | 1.4 |
| 33.298 | 1652 | 1655 | α-Cadinol | 3.3 |
| Total Identified | 92.9 | |||
| Stage of the Mollusk Biomphalaria glabrata | LC50 (mg/L) | LC90 (mg/L) |
|---|---|---|
| Adult (10–12 mm) | 82.65 | 115.35 |
| Young (6–8 mm) | 60.62 | 74.21 |
| Young (3–5 mm) | 47.20 | 60.72 |
| Substances | 24 h | 72 h | 168 h | 30 Days |
|---|---|---|---|---|
| Survival (%) | ||||
| Control | 100.0 | 100.0 | 100.0 | 100.0 |
| Cymbopogon winterianus EO | 100.0 | 100.0 | 100.0 | 100.0 |
| Substances | 24 h | 72 h | 168 h | 75 Days |
|---|---|---|---|---|
| Survival (%) | ||||
| Control | 100.0 | 100.0 | 100.0 | 100.0 |
| Cymbopogon winterianus EO | 100.0 | 100.0 | 100.0 | 0.0 |
| Acute Toxicity (24 Hours) | ||||
|---|---|---|---|---|
| Substance Used | Number of Mice | Sex | Mortality | Signs and Symptoms of Toxicity |
| Saline | 10 | Females | 0/10 | No animal showed signs of toxicity |
| Dimethyl sulfoxide (DMSO) 1000 mg/kg | 15 | Females | 0/15 | No animal showed signs of toxicity |
| Dimethyl sulfoxide (DMSO) 100 mg/kg | 15 | Females | 0/15 | No animal showed signs of toxicity |
| EO 1000 mg/kg | 15 | Females | 0/15 | No animal showed signs of toxicity |
| EO 100 mg/kg | 15 | Females | 0/15 | No animal showed signs of toxicity |
| Administrations | ||||
|---|---|---|---|---|
| Saline Solution 0.9% | DMSO | EO | ||
| Red Series | Reference Values | |||
| Red blood cell count | 9.46 | 8.22 | 8.77 | 8.2 to 10.2 million/mm3 |
| Hemoglobin dosage | 14.4 | 13.4 | 13.9 | 14.4 to 15.7 g/dL |
| Hematocrit assessment | 49.3 | 45.0 | 47.4 | 59.42 to 49.18% |
| Mean corpuscular volume | 54.2 | 54.7 | 54.0 | 41.3 to 55.5 fm3 |
| Mean corpuscular hemoglobin | 15.2 | 16.3 | 15.8 | 14.9 to 16.5 pg |
| Average hemoglobin concentration | 28.0 | 29.8 | 29.3 | 27.4 to 32.0 g/dL |
| White series | ||||
| Leukocyte count | 4.1 | 4.2 | 4.9 | 3.8 to 5.7 thousand/mm3 |
| Platelet | ||||
| Platelet Count | 1038 | 1078 | 1122 | 901 to 1167 thousand/mm3 |
| Biochemistry | ||||
| Albumin | 2.6 | 2.4 | 2.8 | 2.5–4.8 g/dL |
| Calcium | 9.0 | 8.5 | 8.5 | 5.9–9.4 mg/dL |
| Aspartate aminotransferase (AST) | 467.0 | 73.0 | 700.0 | 59–247 U/L |
| Alanine aminotransferase (ALT) | 320.0 | 31.0 | 515.0 | 28–132 U/L |
| Lactate dehydrogenase (LDH) | 1234.0 | 460.0 | 1526.0 | 1105–3993 U/L |
| Alkaline phosphatase | 156.0 | 204.0 | 185.0 | 62–209 U/L |
| Creatinine | <0.2 | <0.2 | <0.2 | 0.2–0.8 mg/dL |
| Enzymatic Activity (% Control) | |||
|---|---|---|---|
| eeAChE | hAChE | hBChE | |
| Mean ± Sepm | Mean ± Sepm | Mean ± Sepm | |
| H2O | 100.7 ± 2.5 | 100.7 ± 1.8 | 101.6 ± 0.9 |
| DMSO (0.1%) | 92.9 ± 2.3 | 99 ± 2.7 | 93.6 ± 3.7 |
| Rivastigmine (50 µM) | 1.4 ± 2.8 | 1.1 ± 0.4 | 7.2 ± 7.8 |
| C. winterianus EO (100 µg/mL) | 93.2 ± 3.9 | 103 ± 5.3 | 83.4 ± 4.4 |
Disclaimer/Publisher’s Note: The statements, opinions and data contained in all publications are solely those of the individual author(s) and contributor(s) and not of MDPI and/or the editor(s). MDPI and/or the editor(s) disclaim responsibility for any injury to people or property resulting from any ideas, methods, instructions or products referred to in the content. |
© 2025 by the authors. Licensee MDPI, Basel, Switzerland. This article is an open access article distributed under the terms and conditions of the Creative Commons Attribution (CC BY) license (https://creativecommons.org/licenses/by/4.0/).
Share and Cite
Farias Gomes, K.N.; Machado, F.P.; Mota, E.M.; da Silva, A.C.R.; Xavier, M.G.; Menezes, J.T.d.C.e.; do Valle, A.F.; da Silva, L.L.; Leite, B.d.F.; Rocha, L.; et al. Potential of Essential Oils from Cymbopogon winterianus Jowitt: Promising Evaluation for the Control of Mollusks and Embryos of Biomphalaria glabrata and Schistosoma mansoni Cercariae. Pharmaceuticals 2025, 18, 318. https://doi.org/10.3390/ph18030318
Farias Gomes KN, Machado FP, Mota EM, da Silva ACR, Xavier MG, Menezes JTdCe, do Valle AF, da Silva LL, Leite BdF, Rocha L, et al. Potential of Essential Oils from Cymbopogon winterianus Jowitt: Promising Evaluation for the Control of Mollusks and Embryos of Biomphalaria glabrata and Schistosoma mansoni Cercariae. Pharmaceuticals. 2025; 18(3):318. https://doi.org/10.3390/ph18030318
Chicago/Turabian StyleFarias Gomes, Keyla Nunes, Francisco Paiva Machado, Ester Maria Mota, Ana Cláudia Rodrigues da Silva, Mikaella Gonçalves Xavier, Joana Tostes da Cunha e Menezes, Anita Ferreira do Valle, Leandro Louback da Silva, Beatriz de Frias Leite, Leandro Rocha, and et al. 2025. "Potential of Essential Oils from Cymbopogon winterianus Jowitt: Promising Evaluation for the Control of Mollusks and Embryos of Biomphalaria glabrata and Schistosoma mansoni Cercariae" Pharmaceuticals 18, no. 3: 318. https://doi.org/10.3390/ph18030318
APA StyleFarias Gomes, K. N., Machado, F. P., Mota, E. M., da Silva, A. C. R., Xavier, M. G., Menezes, J. T. d. C. e., do Valle, A. F., da Silva, L. L., Leite, B. d. F., Rocha, L., & Faria, R. X. (2025). Potential of Essential Oils from Cymbopogon winterianus Jowitt: Promising Evaluation for the Control of Mollusks and Embryos of Biomphalaria glabrata and Schistosoma mansoni Cercariae. Pharmaceuticals, 18(3), 318. https://doi.org/10.3390/ph18030318

