Effects of Free and Nanoencapsulated Benznidazole in Acute Trypanosoma cruzi Infection: Role of Cholinergic Pathway and Redox Status
Abstract
1. Introduction
2. Results
2.1. T. cruzi Infection Confirmation
2.2. T. cruzi Infection Promotes Anemia, Thrombocytopenia, and Granulocytopenia
2.3. Hepatic and Renal Alterations Occur Even with Treatment
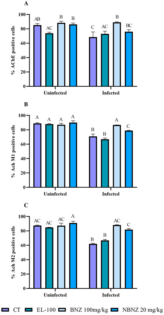
2.4. Benznidazole Improves Cholinergic Signaling
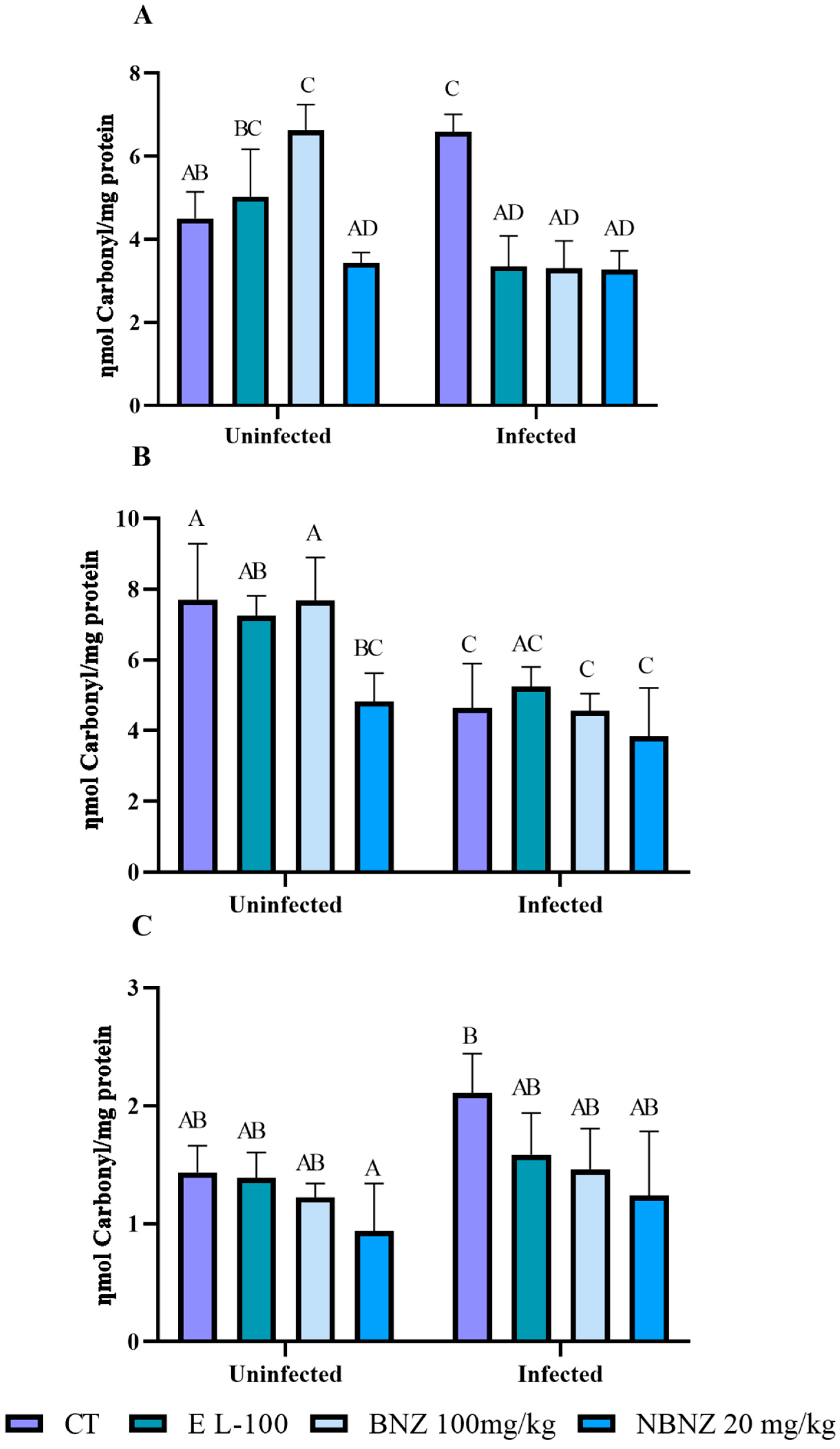
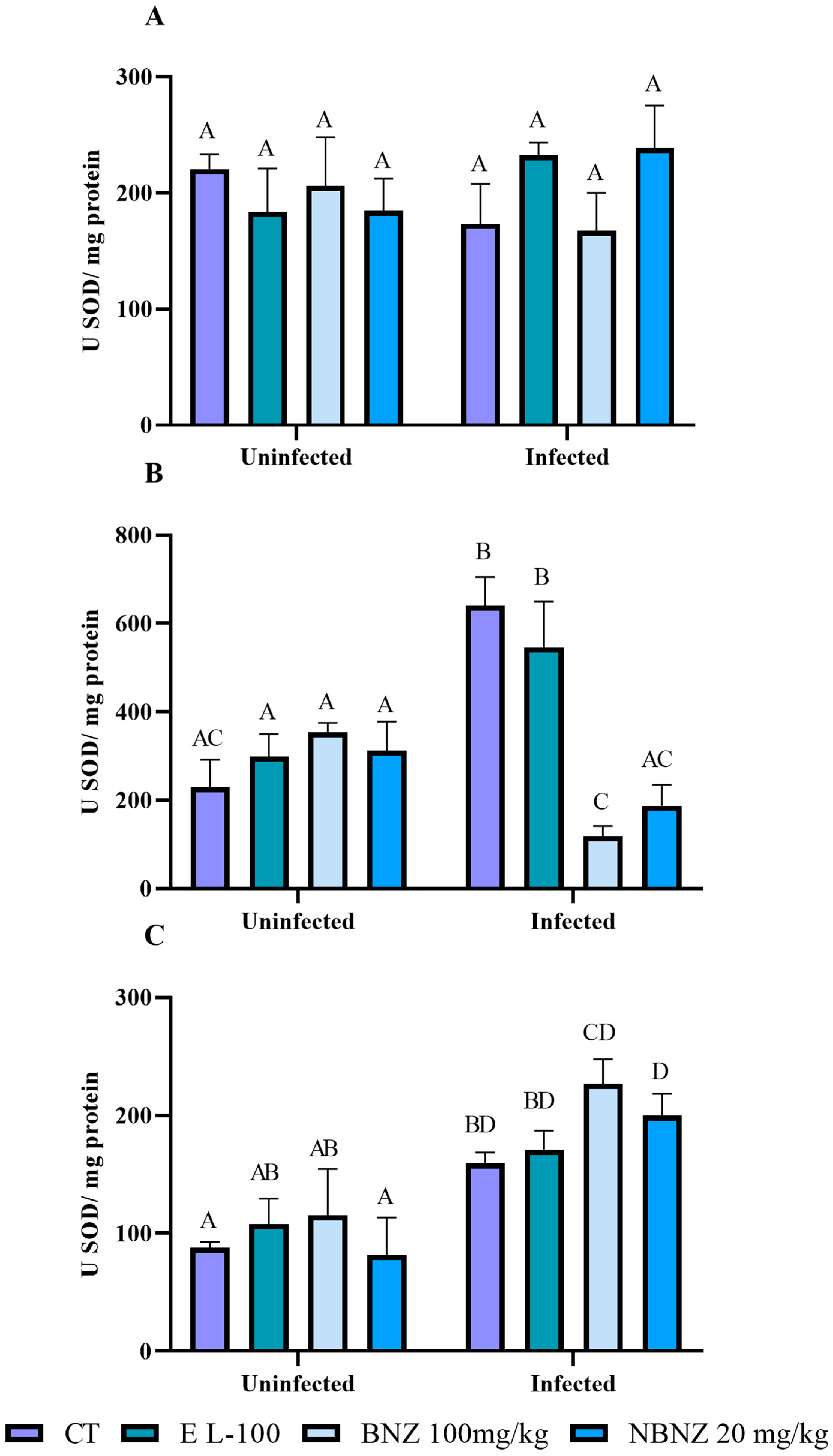
2.5. Oxidative Status on Acute T. cruzi Infection
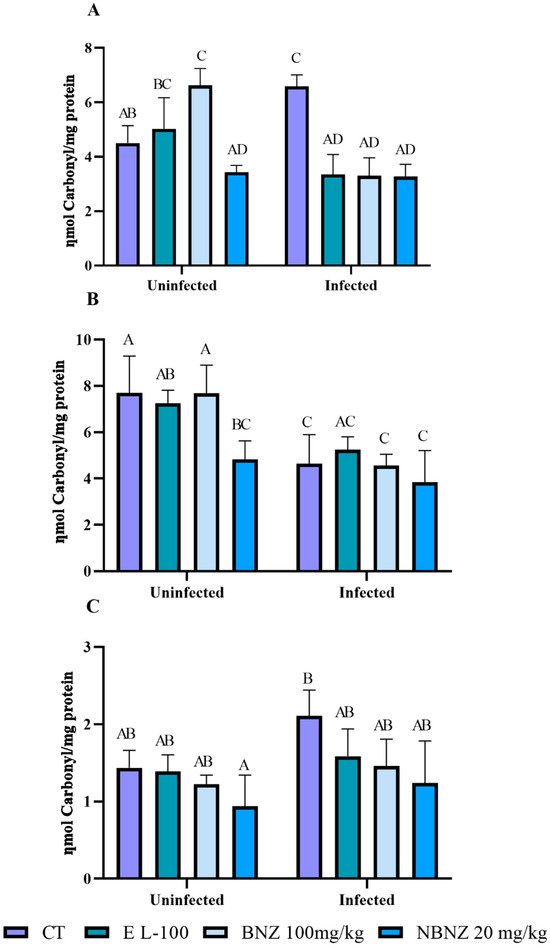
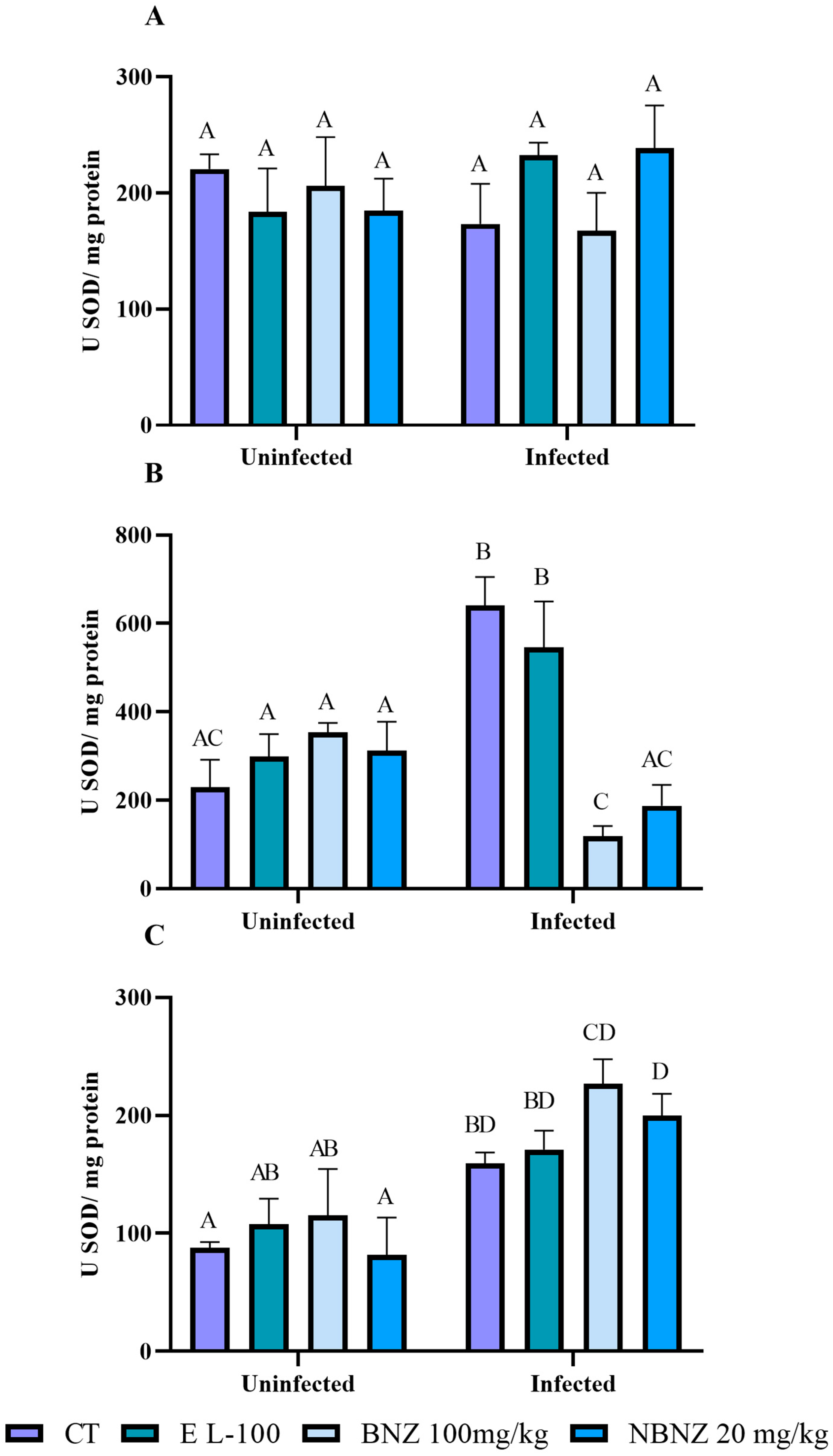
2.6. Evaluation of the Antioxidant Capacity of Free and Nanoencapsulated Benznidazole During T. cruzi Infection
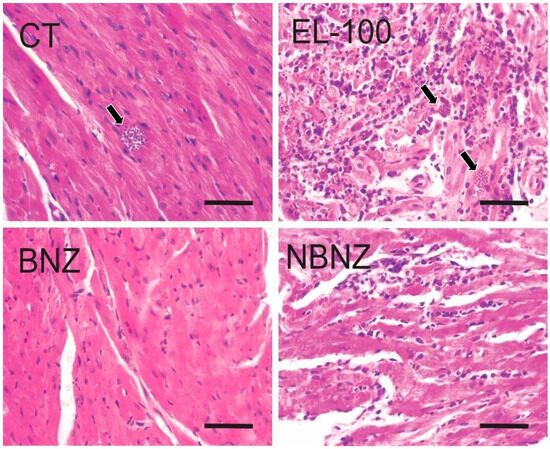
2.7. Histopathological Analysis
3. Discussion
4. Materials and Methods
4.1. Benznidazole Nanocapsule Development
4.2. Experimental Design I
4.2.1. Treatment
4.2.2. Animals and Infection
4.3. Monitoring of Parasitemia Evolution
4.4. Hematological Parameter Evaluation
4.5. Biochemical Parameters
4.6. Mononuclear-Rich Lymphocyte Isolation from Spleen
4.7. Cholinergic System Evaluation
4.7.1. AChE Assay in Lymphocytes
4.7.2. AChE Assay in Whole Blood
4.7.3. Cerebral AChE Enzymatic Assay
4.7.4. BuChE
4.8. Lymphocyte Cytometry
4.9. Oxidative Parameters
4.10. Antioxidant Determination
4.11. Protein Determination
4.12. Histopathology Assay
4.13. Statistical Analysis
5. Conclusions
Supplementary Materials
Author Contributions
Funding
Institutional Review Board Statement
Informed Consent Statement
Data Availability Statement
Acknowledgments
Conflicts of Interest
References
- WHO: World Health Organization, 2020. Chagas Disease (Also Known as American Trypanosomiasis)—Fact Sheet. Available online: https://www.who.int/news-room/fact-sheets/detail/chagas-disease-(american-trypanosomiasis) (accessed on 15 July 2022).
- Martins-Melo, F.R.; MCCastro, G.L. Werneck, Levels and trends in Chagas disease-related mortality in Brazil, 2000–2019. Acta Trop. 2021, 220, 105948. [Google Scholar] [CrossRef] [PubMed]
- Tanowitz, H.B.; Kirchhoff, L.V.; Simon, D.; Morris, S.A.; Weiss, L.M.; Wittner, M. Chagas’ disease. Clin. Microbiol. Rev. 1992, 5, 400–419. [Google Scholar] [CrossRef] [PubMed]
- Teixeira, A.R.L.; Hecht, M.M.; Guimaro, M.C.; Sousa, A.O.; Nitz, N. Pathogenesis of Chagas’ Disease: Parasite Persistence and Autoimmunity. Clin. Microbiol. Rev. 2011, 24, 592–630. [Google Scholar] [CrossRef] [PubMed]
- Teixeira, A.R.L.; Nascimento, R.; Sturm, N.R. Evolution and pathology in Chagas disease. Mem. Inst. Oswaldo Cruz 2006, 101, 463–491. [Google Scholar] [CrossRef] [PubMed]
- Tomlinson, S.; Vandekerckhove, F.; Frevert, U.; Nussenzweig, V. The induction of Trypanosoma cruzi trypomastigote to amastigote transformation by low pH. Parasitology 1995, 110, 547–554. [Google Scholar] [CrossRef]
- Andrade, L.O.; Andrews, N.W. The Trypanosoma cruzi-host-cell interplay: Location, invasion, retention. Nat. Rev. Microbiol. 2005, 3, 819–823. [Google Scholar] [CrossRef]
- Palmeiro-Roldán, R.; Fonseca-Berzal, C.; Gómez-Barrio, A.; Arán, V.J.; Escario, J.A.; Torrado-Durán, S.; Torrado-Santiago, S. Development of novel benznidazole formulations: Physicochemical characterization and in vivo evaluation on parasitemia reduction in Chagas disease. Int. J. Pharm. 2014, 472, 110–117. [Google Scholar] [CrossRef]
- Davanço, M.G.; Campos, M.L.; Rosa, T.A.; Padilha, E.C.; Alzate, A.H.; Rolim, L.A.; Rolim-Neto, P.J.; Peccinini, R.G. Benznidazole Extended-Release Tablets for Improved Treatment of Chagas Disease: Preclinical Pharmacokinetic Study. Antimicrob. Agents Chemother. 2016, 60, 2492–2498. [Google Scholar] [CrossRef]
- Morillo, C.A.; Waskin, H.; Sosa-Estani, S.; Bangher, M.d.C.; Cuneo, C.; Milesi, R.; Mallagray, M.; Apt, W.; Beloscar, J.; STOP-CHAGAS Investigators; et al. Benznidazole and Posaconazole in Eliminating Parasites in Asymptomatic T. cruzi carriers: The STOP-CHAGAS trial. J. Am. Coll. Cardiol. 2017, 69, 939–947. [Google Scholar] [CrossRef]
- Rajão, M.A.; Furtado, C.; Alves, C.L.; Passos-Silva, D.G.; de Moura, M.B.; Schamber-Reis, B.L.; Kunrath-Lima, M.; Zuma, A.A.; Vieira-Da-Rocha, J.P.; Garcia, J.B.F.; et al. Unveiling Benznidazole’s Mechanism of Action Through Overexpression of DNA Repair Proteins in Trypanosoma cruzi. Environ. Mol. Mutagen. 2014, 55, 309–321. [Google Scholar] [CrossRef]
- Gomes, D.C.; Medeiros, T.S.; Alves Pereira, E.L.; da Silva, J.F.O.; de Freitas Oliveira, J.W.; Fernandes-Pedrosa, M.F.; de Sousa da Silva, M.; da Silva-Júnior, A.A. From Benznidazole to New Drugs: Nanotechnology Contribution in Chagas Disease. Int. J. Mol. Sci. 2023, 24, 13778. [Google Scholar] [CrossRef] [PubMed]
- Islan, G.A.; Duran, M.; Cacicedo, M.L.; Nakazato, G.; Kobayashi, R.K.T.; Martinez, D.S.T.; Castro, G.R.; Duran, N. Nanopharmaceuticals as a Solution to Neglected Diseases: Is It Possible? Acta Trop. 2017, 170, 16–42. [Google Scholar] [CrossRef] [PubMed]
- Quezada, C.Q.; Azevedo, C.S.; Charneau, S.; Santana, J.M.; Chorilli, M.; Carneiro, M.B.; Bastos, I.M.D. Advances in Nanocarriers as Drug Delivery Systems in Chagas Disease. Int. J. Nanomed. 2019, 14, 6407–6424. [Google Scholar] [CrossRef] [PubMed]
- Chuenkova, M.V.; PereiraPerrin, M. Neurodegeneration and Neuroregeneration in Chagas Disease. Chagas Dis. Part B 2011, 76, 195–233. [Google Scholar] [CrossRef]
- Gupta, S.; Wen, J.-J.; Garg, N.J. Oxidative Stress in Chagas Disease. Interdiscip. Perspect. Infect. Dis. 2009, 2009, 190354. [Google Scholar] [CrossRef]
- Wen, J.-J.; Vyatkina, G.; Garg, N. Oxidative damage during chagasic cardiomyopathy development: Role of mitochondrial oxidant release and inefficient antioxidant defense. Free Radic. Biol. Med. 2004, 37, 1821–1833. [Google Scholar] [CrossRef]
- Zacks, M.A.; Wen, J.-J.; Vyatkina, G.; Bhatia, V.; Garg, N. An overview of chagasic cardiomyopathy: Pathogenic importance of oxidative stress. An. Acad. Bras. Ciências 2005, 77, 695–715. [Google Scholar] [CrossRef]
- Borges, D.C.; Araújo, N.M.; Cardoso, C.R.; Lazo Chica, J.E. Different parasite inocula determine the modulation of the immune response and outcome of experimental Trypanosoma cruzi infection. Immunology 2013, 138, 145–156. [Google Scholar] [CrossRef]
- Silva, A.D.; Bottari, N.B.; do Carmo, M.D.; Baldissera, M.D.; Souza, C.F.; Machado, V.S.; Morsch, V.M.; Schetinger, M.R.C.; Mendes, R.E.; Monteiro, S.G.; et al. Chagas disease: Modulation of the inflammatory response by acetylcholinesterase in hematological cells and brain tissue. Mol. Cell. Biochem. 2017, 438, 59–65. [Google Scholar] [CrossRef]
- Kawashima, K.; Fujii, T. The lymphocytic cholinergic system and its contribution to the regulation of immune activity. Life Sci. 2003, 74, 675–696. [Google Scholar] [CrossRef]
- Tayebati, S.K.; El-Assouad, D.; Ricci, A.; Amenta, F. Amenta, Immunochemical and immunocytochemical characterization of cholinergic markers in human peripheral blood lymphocytes. J. Neuroimmunol. 2002, 132, 147–155. [Google Scholar] [CrossRef] [PubMed]
- Tuček, S. Choline Acetyltransferase and the Synthesis of Acetylcholine. In The Cholinergic Synapse; Handbook of Experimental Pharmacology; Whittaker, V.P., Ed.; Springer: Berlin/Heidelberg, Germany, 1988; Volume 86. [Google Scholar] [CrossRef]
- Soreq, H.; Seidman, S. Acetylcholinesterase—New roles for an old actor. Nat. Rev. Neurosci. 2001, 2, 294–302. [Google Scholar] [CrossRef] [PubMed]
- Ecobichon, D.; Comeau, A. Pseudocholinesterases of mammalian plasma: Physicochemical properties and organophosphate inhibition in eleven species. Toxicol. Appl. Pharmacol. 1973, 24, 92–100. [Google Scholar] [CrossRef] [PubMed]
- Taylor, P.; Brown, J.H. Acetylcholine. In Basic Neurochemistry: Molecular, Cellular and Medical Aspects, 6th ed.; Siegel, G.J., Agranoff, B.W., Albers, R.W., Fisher, S.K., Uhler, M.D., Eds.; Lippincott-Raven: Philadelphia, PA, USA, 1999; Chapter 11. Available online: https://www.ncbi.nlm.nih.gov/books/NBK20374/ (accessed on 10 June 2022).
- Li, B.; Stribley, J.A.; Ticu, A.; Xie, W.; Schopfer, L.M.; Hammond, P.; Brimijoin, S.; Hinrichs, S.H.; Lockridge, O. Abundant Tissue Butyrylcholinesterase and Its Possible Function in the Acetylcholinesterase Knockout Mouse. J. Neurochem. 2000, 75, 1320–1331. [Google Scholar] [CrossRef] [PubMed]
- D’Elia Zanella, L.G.; Chies, A.B.; Spadella, M.A.; Therezo, A.L.S.; de Souza Rossignoli, P.; Frei, F.; Martins, L.P.A. The enigmatic role of cholinergic reflex in the pathogenesis of Chagas disease. Parasitol. Res. 2014, 113, 2113–2120. [Google Scholar] [CrossRef]
- Ribeiro, R.F.; Motta, M.H.; Härter, A.P.G.; Flores, F.C.; Beck, R.C.R.; Schaffazick, S.R.; Silva, C.d.B.d. Spray-dried powders improve the controlled release of antifungal tioconazole-loaded polymeric nanocapsules compared to with lyophilized products. Mater. Sci. Eng. C 2016, 59, 875–884. [Google Scholar] [CrossRef]
- Pinazo, M.-J.; Muñoz, J.; Posada, E.; López-Chejade, P.; Gállego, M.; Ayala, E.; del Cacho, E.; Soy, D.; Gascon, J. Tolerance of Benznidazole in Treatment of Chagas’ Disease in Adults. Antimicrob. Agents Chemother. 2010, 54, 4896–4899. [Google Scholar] [CrossRef]
- Junior, P.A.S.; Molina, I.; Murta, S.M.F.; Sánchez-Montalvá, A.; Salvador, F.; Corrêa-Oliveira, R.; Carneiro, C.M. Experimental and Clinical Treatment of Chagas Disease: A Review. Am. J. Trop. Med. Hyg. 2017, 97, 1289–1303. [Google Scholar] [CrossRef]
- Pavan, T.B.S.; da Silva, J.W.; Martins, L.C.; Costa, S.C.B.; de Almeida, E.A. Hepatic changes by benznidazole in a specific treatment for Chagas disease. PLoS ONE 2018, 13, e0200707. [Google Scholar] [CrossRef]
- Barrias, E.S.; de Carvalho, T.M.U.; De Souza, W. Trypanosoma cruzi: Entry into Mammalian Host Cells and Parasitophorous Vacuole Formation. Front. Immunol. 2013, 4, 186. [Google Scholar] [CrossRef]
- Moreira, N.M.; Zanoni, J.N.; de Oliveira Dalálio, M.M.; de Almeida Araújo, E.J.; Braga, C.F.; de Araújo, S.M. Physical exercise protects myenteric neurons and reduces parasitemia in Trypanosoma cruzi infection. Exp. Parasitol. 2014, 141, 68–74. [Google Scholar] [CrossRef] [PubMed]
- Fracasso, M.; Bottari, N.B.; da Silva, A.D.; Grando, T.H.; Pillat, M.M.; Ulrich, H.; Vidal, T.; de Andrade, C.M.; Monteiro, S.G.; Nascimento, L.F.N.; et al. Effects of resveratrol on the differentiation fate of neural progenitor cells of mouse embryos infected with Trypanosoma cruzi. Microb. Pathog. 2019, 132, 156–161. [Google Scholar] [CrossRef] [PubMed]
- Sousa, L.; Azevedo, M.L.; Rocha, D.; Andrade, A.L.; Amparo, T.; dos Santos, O.; Seibert, J.; Pereira, L.; Vieira, P.; Carneiro, C.; et al. Trypanocidal Activity and Increased Solubility of Benznidazole Incorporated in PEG 4000 and Its Derivatives. J. Braz. Chem. Soc. 2021, 32, 1162–1172. [Google Scholar] [CrossRef]
- Caldas, I.S.; Santos, E.G.; Novaes, R.D. An evaluation of benznidazole as a Chagas disease therapeutic. Expert Opin. Pharmacother. 2019, 20, 1797–1807. [Google Scholar] [CrossRef] [PubMed]
- Castro, J.A.; Demecca, M.M.; Bartel, L.C. Toxic Side Effects of Drugs Used to Treat Chagas’ Disease (American Trypanosomiasis). Hum. Exp. Toxicol. 2006, 25, 471–479. [Google Scholar] [CrossRef]
- Cançado, J.R. Criteria of Chagas disease cure. Mem. Inst. Oswaldo Cruz 1999, 94, 331–335. [Google Scholar] [CrossRef]
- Cançado, J.R. Long term evaluation of etiological treatment of Chagas disease with benznidazole. Rev. Inst. Med. Trop. São Paulo 2002, 44, 29–37. [Google Scholar] [CrossRef]
- Chagas, C. Nova tripanozomiaze humana: Estudos sobre a morfolojia e o ciclo evolutivo do Schizotrypanum cruzi n. gen., n. sp., ajente etiolojico de nova entidade morbida do homem. Mem. Inst. Oswaldo Cruz 1909, 1, 159–218. [Google Scholar] [CrossRef]
- Roberts, D.J. Hematologic Changes Associated with Specific Infections in the Tropics. Hematol./Oncol. Clin. N. Am. 2016, 30, 395–415. [Google Scholar] [CrossRef]
- Villalba-Alemán, E.; Justinico, D.L.; Sarandy, M.M.; Novaes, R.D.; Freitas, M.B.; Gonçalves, R.V. Haematological alterations in non-human hosts infected with Trypanosoma cruzi: A systematic review. Parasitology 2018, 146, 142–160. [Google Scholar] [CrossRef]
- Marcondes, M.C.; Borelli, P.; Yoshida, N.; Russo, M. Acute Trypanosoma cruzi infection is associated with anemia, thrombocytopenia, leukopenia, and bone marrow hypoplasia: Reversal by nifurtimox treatment. Microbes Infect. 2000, 2, 347–352. [Google Scholar] [CrossRef] [PubMed]
- Ferraz, F.N.; Bilotti, C.C.; Aleixo, D.L.; Herrero, J.C.M.; Junior, A.D.D.N.; de Araújo, S.M. Hematological and parasitological changes in mice experimentally infected by Trypanosoma cruzi and treated with biotherapy 7dH. Eur. J. Integr. Med. 2014, 6, 664–671. [Google Scholar] [CrossRef]
- dos Santos, V.R.C.; Antunes, D.; De Souza, D.D.S.M.; Moreira, O.C.; Lima, I.C.D.A.; A Farias-De-Oliveira, D.; Lobo, J.P.; De Meis, E.; Coura, J.R.; Savino, W.; et al. Human acute Chagas disease: Changes in factor VII, activated protein C and hepatic enzymes from patients of oral outbreaks in Pará State (Brazilian Amazon). Mem. Inst. Oswaldo Cruz 2020, 115, e190364. [Google Scholar] [CrossRef] [PubMed]
- Lemos, J.R.D.; Rodrigues, W.F.; Miguel, C.B.; Parreira, R.C.; Miguel, R.B.; de Paula Rogerio, A.; Oliveira, C.J.F.; Chica, J.E.L. Influence of Parasite Load on Renal Function in Mice Acutely Infected with Trypanosoma cruzi. PLoS ONE 2013, 8, e71772. [Google Scholar] [CrossRef] [PubMed]
- Silva Junior, G.B.; Antunes, V.V.H.; Barros, M.M.E.J.G.; Daher, E.D.F. Chagas disease-associated kidney injury—A review. Nefrol. Latinoam. 2017, 14, 22–26. [Google Scholar] [CrossRef]
- Da Silva, A.S.; Monteiro, S.G.; Gonçalves, J.F.; Spanevello, R.; Schmatz, R.; Oliveira, C.B.; Costa, M.M.; França, R.T.; Jaques, J.A.; Schetinger, M.R.C.; et al. Trypanosoma evansi: Immune response and acetylcholinesterase activity in lymphocytes from infected rats. Exp. Parasitol. 2011, 127, 475–480. [Google Scholar] [CrossRef]
- Kawashima, K. Expression of non-neuronal acetylcholine in lymphocytes and its contribution to the regulation of immune function. Front. Biosci. 2004, 9, 2063. [Google Scholar] [CrossRef]
- Fujii, T.; Mashimo, M.; Moriwaki, Y.; Misawa, H.; Ono, S.; Horiguchi, K.; Kawashima, K. Physiological functions of the cholinergic system in immune cells. J. Pharmacol. Sci. 2017, 134, 1–21. [Google Scholar] [CrossRef]
- Fujii, T.; Mashimo, M.; Moriwaki, Y.; Misawa, H.; Ono, S.; Horiguchi, K.; Kawashima, K. Expression and Function of the Cholinergic System in Immune Cells. Front. Immunol. 2017, 8, 1085. [Google Scholar] [CrossRef]
- Reale, M.; Costantini, E.; Di Nicola, M.; D’angelo, C.; Franchi, S.; D’aurora, M.; Di Bari, M.; Orlando, V.; Galizia, S.; Ruggieri, S.; et al. Butyrylcholinesterase and Acetylcholinesterase polymorphisms in Multiple Sclerosis patients: Implication in peripheral inflammation. Sci. Rep. 2018, 8, 1319. [Google Scholar] [CrossRef]
- Dalle-Donne, I.; Rossi, R.; Giustarini, D.; Milzani, A.; Colombo, R. Protein carbonyl groups as biomarkers of oxidative stress. Clin. Chim. Acta 2003, 329, 23–38. [Google Scholar] [CrossRef] [PubMed]
- Fracasso, M.; Bottari, N.B.; Monteiro, S.G.; Garzon, L.R.; de Souza, L.A.F.; Schetinger, M.R.C.; Da Silva, A.S. Resveratrol impacts in oxidative stress in liver during Trypanosoma cruzi infection. Microb. Pathog. 2021, 153, 104800. [Google Scholar] [CrossRef] [PubMed]
- Dröge, W. Free Radicals in the Physiological Control of Cell Function. Physiol. Rev. 2002, 82, 47–95. [Google Scholar] [CrossRef] [PubMed]
- Barbosa, J.L.; Thiers, C.A.; Pereira, B.d.B.; Nascimento, E.M.D.; Frazon, C.M.R.; Budni, P.; Filho, D.W.; Pedrosa, R.C. Impact of the use of benznidazole followed by antioxidant supplementation in the prevalence of ventricular arrhythmias in patients with chronic Chagas disease: Pilot study. Am. J. Ther. 2016, 23, 1474–1483. [Google Scholar] [CrossRef] [PubMed]
- Patterson, S.; Wyllie, S. Nitro drugs for the treatment of trypanosomatid diseases: Past. present, and future prospects. Trends Parasitol. 2014, 30, 289–298. [Google Scholar] [CrossRef]
- Martins, G.A.; Cardoso, M.A.; Aliberti, J.C.; Silva, J.S. Nitric oxide-induced apoptotic cell death in the acute phase of Trypanosoma cruzi infection in mice. Immunol. Lett. 1998, 63, 113–120. [Google Scholar] [CrossRef]
- Younès-Chennoufi, A.; Hontebeyrie-Joskowicz, M.; Tricottet, V.; Eisen, H.; Reynes, M.; Said, G. Persistence of Trypanosoma cruzi antigens in the inflammatory lesions of chronically infected mice. Trans. R. Soc. Trop. Med. Hyg. 1988, 82, 77–83. [Google Scholar] [CrossRef]
- Vespa, G.N.; Cunha, F.Q.; Silva, J.S. Nitric oxide is involved in control of Trypanosoma cruzi-induced parasitemia and directly kills the parasite in vitro. Infect. Immun. 1994, 62, 5177–5182. [Google Scholar] [CrossRef]
- Baldissera, M.D.; Oliveira, C.B.; Rech, V.C.; Rezer, J.F.P.; Sagrillo, M.R.; Alves, M.P.; da Silva, A.P.; Leal, D.B.; Boligon, A.A.; Athayde, M.L.; et al. Treatment with essential oil of Achyrocline satureioides in rats infected with Trypanosoma evansi: Relationship between protective effect and tissue damage. Pathol.-Res. Pract. 2014, 210, 1068–1074. [Google Scholar] [CrossRef]
- Halliwell, B. Oxidants and human disease: Some new concepts. FASEB J. 1987, 1, 358–364. [Google Scholar] [CrossRef]
- Halliwell, B. How to Characterize a Biological Antioxidant. Free Radic. Res. Commun. 1990, 9, 1–32. [Google Scholar] [CrossRef] [PubMed]
- Floreani, M.; Napoli, E.; Quintieri, L.; Palatini, P. Oral administration of trans- resveratrol to Guinea pigs increases cardiac DT-diaphorase and catalase activities and protects isolated atria from menadione toxicity. Life Sci. 2003, 72, 2741–2750. [Google Scholar] [CrossRef] [PubMed]
- Colato, R.P.; Brazão, V.; Vale, G.T.D.; Santello, F.H.; Sampaio, P.A.; Tirapelli, C.R.; Pereira-Da-Silva, G.; Do Prado, J.C., Jr. Cytokine modulation, oxidative stress and thymic dysfunctions: Role of age-related changes in the experimental Trypanosoma cruzi infection: Age-related thymic dysfunctions and Trypanosoma cruzi infection. Cytokine 2018, 111, 88–96. [Google Scholar] [CrossRef] [PubMed]
- Pereira, S.S.; Pereira, S.S.; Trindade, S.; Trindade, S.; De Niz, M.; De Niz, M.; Figueiredo, L.M.; Figueiredo, L.M. Tissue tropism in parasitic diseases. Open Biol. 2019, 9, 190036. [Google Scholar] [CrossRef]
- da Silva, A.D.; Fracasso, M.; Bottari, N.B.; Gundel, S.; Ourique, A.F.; Assmann, C.E.; Ferreira, D.A.; Castro, M.F.; Reichert, K.P.; de Souza, L.A.; et al. Trypanosoma cruzi: Does the intake of nanoencapsulated benznidazole control acute infections? Exp. Parasitol. 2023, 249, 108520. [Google Scholar] [CrossRef]
- Filardi, L.S.; Brener, Z. Susceptibility and natural resistance of Trypanosoma cruzi strains to drugs used clinically in Chagas disease. Trans. R. Soc. Trop. Med. Hyg 1987, 81, 755–759. [Google Scholar] [CrossRef]
- Brener, Z.Z. Therapeutic activity and criterion of cure on mice experimentally infected with Trypanosoma cruzi. Rev. Inst. Med. Trop. Sao Paulo 1962, 4, 389–396. [Google Scholar] [PubMed]
- Lachaud, L.; Chabbert, E.; Dubessay, P.; Reynes, J.; Lamothe, J.; Bastien, P. Comparison of Various Sample Preparation Methods for PCR Diagnosis of Visceral Leishmaniasis Using Peripheral Blood. J. Clin. Microbiol. 2001, 39, 613–617. [Google Scholar] [CrossRef]
- Doleski, P.H.; Adefegha, S.A.; Cabral, F.L.; Leal, D.B. Characterization of E-NTPDase (EC 3.6.1.5) activity in hepatic lymphocytes: A different activity profile from peripheral lymphocytes. Cell Biochem. Funct. 2017, 35, 105–112. [Google Scholar] [CrossRef]
- Ellman, G.L.; Courtney, K.D.; Andres, V., Jr.; Featherstone, R.M. Featherstone. A new and rapid colorimetric determination of acetylcholinesterase activity. Biochem. Pharmacol. 1961, 7, 88–95. [Google Scholar] [CrossRef]
- Fitzgerald, B. Modulation of Muscarinic Receptors and Acetylcholinesterase Activity in Lymphocytes and in Brain Areas Following Repeated Organophosphate Exposure in Rats. Fundam. Appl. Toxicol. 1993, 20, 210–216. [Google Scholar] [CrossRef] [PubMed]
- Worek, F.; Mast, U.; Kiderlen, D.; Diepold, C.; Eyer, P. Improved determination of acetylcholinesterase activity in human whole blood. Clin. Chim. Acta 1999, 288, 73–90. [Google Scholar] [CrossRef] [PubMed]
- Rocha, J.B.; Emanuelli, T.; Pereira, M.E. Effects of early undernutrition on kinetic parameters of brain acetylcholinesterase from adult rats. Acta Neurobiol. Exp. 1993, 53, 431–437. [Google Scholar] [PubMed]
- Levine, R.L.; Garland, D.; Oliver, C.N.; Amici, A.; Climent, I.; Lenz, A.G.; Ahn, B.W.; Shaltiel, S.; Stadtman, E.R. Determination of carbonyl content in oxidatively modified proteins. Methods Enzymol. 1990, 186, 464–478. [Google Scholar] [CrossRef] [PubMed]
- Jentzsch, A.M.; Bachmann, H.; Fürst, P.; Biesalski, H.K. Improved analysis of malondialdehyde in human body fluids. Free Radic. Biol. Med. 1996, 20, 251–256. [Google Scholar] [CrossRef] [PubMed]
- Miranda, K.M.; Espey, M.G.; Wink, D.A. A Rapid, Simple Spectrophotometric Method for Simultaneous Detection of Nitrate and Nitrite. Nitric Oxide 2001, 5, 62–71. [Google Scholar] [CrossRef]
- Halliwell, B.; Gutteridge, J.M. Gutteridge Free Radicals in Biology and Medicine, 4th ed.; Oxford University Press: Oxford, UK, 2007. [Google Scholar]
- Nelson, D.P.; Kiesow, L.A. Enthalpy of decomposition of hydrogen peroxide by catalase at 25 °C (with molar extinction coefficients of H2O2 solutions in the UV). Anal. Biochem. 1972, 49, 474–478. [Google Scholar] [CrossRef]
- Aebi, H. Catalase in vitro. In Methods in Enzymology: Volume 105 Oxygen Radicals in Biological Systems; Academic Press: New York, NY, USA, 1984; pp. 121–126. [Google Scholar] [CrossRef]
- Misra, H.P.; Fridovich, I. The role of superoxide anion in the autoxidation of epinephrine and a simple assay for superoxide dismutase. J. Biol. Chem. 1972, 247, 3170–3175. [Google Scholar] [CrossRef] [PubMed]
- Habig, W.H.; Pabst, M.J.; Jakoby, W.B. Glutathione S-Transferases. J. Biol. Chem. 1974, 249, 7130–7139. [Google Scholar] [CrossRef]
- Ellman, G.L. Tissue sulfhydryl groups. Arch. Biochem. Biophys. 1959, 82, 70–77. [Google Scholar] [CrossRef]
- Bradford, M.M. A rapid and sensitive method for the quantitation of microgram quantities of protein utilizing the principle of protein-dye binding. Anal. Biochem. 1976, 72, 248–254. [Google Scholar] [CrossRef] [PubMed]














| Treatments | Erythrocytes (×10⁶/µL) | Hemoglobin (g/dL) | Hematocrit (%) | Platelets (/µL) | Leukocytes (/µL) | Granulocytes (/µL) | Lymphocytes (/µL) | Monocytes (/µL) | |
|---|---|---|---|---|---|---|---|---|---|
| CT | UN | 8.17 A ± 0.26 | 13.22 A ± 0.44 | 39.40 A ± 1.41 | 798666.67 A ± 207258.93 | 1833.33 AB ± 1427.81 | 426.33 AB ± 239.53 | 1351.67 AB ± 1090.71 | 55.33 A ± 104.50 |
| IN | 5.17 B ± 0.17 | 8.16 B ± 0.26 | 24.40 B ± 0.69 | 392200.00 B ± 144771.19 | 1240.00 AB ± 536.65 | 163.20 B ± 81.15 | 1026.00 AB ± 494.17 | 50.80 A ± 43.47 | |
| EL-100 | UN | 8.00 A ± 0.54 | 12.95 A ± 0.76 | 38.48 A ± 2.48 | 791000.00 A ± 229249.50 | 2900.00 AB ± 1739.73 | 1017.50 AC ± 708.64 | 1706.00 AB ± 1056.41 | 176.50 A ± 161.68 |
| IN | 5.38 B ± 0.74 | 8.375 B ± 1.34 | 25.02 B ± 3.26 | 425500.00 B ± 176722.94 | 3575.00 B ± 464.57 | 425.25 B ± 518.04 | 2882.50 B ± 666.54 | 267.25 A ± 214.43 | |
| BNZ (100 mg/kg) | UN | 7.77 A ± 0.48 | 12.40 A ± 0.91 | 37.04 A ± 2.55 | 748000.00 AB ± 68025.73 | 2220.00 AB ± 1465.26 | 491.60 AB ± 201.37 | 1678.20 AB ± 1236.35 | 50.20 A ± 50.88 |
| IN | 7.72 A ± 0.58 | 12.68 A ± 0.97 | 37.57 A ± 2.76 | 835833.33 A ± 116214.31 | 3116.67 AB ± 941.09 | 424.67 B ± 130.03 | 2639.17 AB ± 929.64 | 52.83 A ± 31.56 | |
| NBNZ (20 mg/kg) | UN | 7.76 A ± 0.43 | 12.80 A ± 1.09 | 37.62 A ± 2.89 | 913500.00 A ± 141778.34 | 1216.67 A ± 552.87 | 306.67 B ± 112.91 | 859.00 A ± 413.83 | 51.00 A ± 37.79 |
| IN | 6.01 B ± 0.60 | 9.45 B ± 1.01 | 28.92 B ± 2.80 | 780666.67 A ± 101653.66 | 5916.67 C ± 994.81 | 832.50 C ± 457.93 | 4902.50 C ± 957.21 | 181.67 A ± 112.77 |
| Treatments | AST | ALT | Creatinine | Urea | |
|---|---|---|---|---|---|
| CT | UN | 126.50 A ± 9.81 | 31.00 A ± 1.15 | 0.43 A ± 0.049 | 52.00 A ± 3.46 |
| IN | 448.25 B ± 5.5 | 174.5 C ± 5 | 0.625 BC ± 0.05 | 123.5 C ± 3.31 | |
| EL-100 | UN | 147.75 A ± 1.5 | 32.25 A ± 2.5 | 0.43 A ± 0.049 | 43.75 B ± 1.5 |
| IN | 2764.25 C ± 10.5 | 241 D ± 4.76 | 0.53 AB ± 0.05 | 87.25 D ± 1.5 | |
| BNZ (100 mg/kg) | UN | 132.33 A ± 15.37 | 24.25 B ± 3.40 | 0.56 A ± 0.12 | 43.75 B ± 2.5 |
| IN | 144.5 A ± 3 | 37.75 E ± 1.5 | 0.68 C ± 0.05 | 45.25 B ± 2.87 | |
| NBNZ (20 mg/kg) | UN | 99.00 A ± 6.92 | 23.50 B ± 5.19 | 0.45 A ± 0.05 | 36.50 B ± 0.57 |
| IN | 807 D ± 34.43 | 61 F ± 1.63 | 0.53 AB ± 0.05 | 27.00 E ± 0.81 |
Disclaimer/Publisher’s Note: The statements, opinions and data contained in all publications are solely those of the individual author(s) and contributor(s) and not of MDPI and/or the editor(s). MDPI and/or the editor(s) disclaim responsibility for any injury to people or property resulting from any ideas, methods, instructions or products referred to in the content. |
© 2024 by the authors. Licensee MDPI, Basel, Switzerland. This article is an open access article distributed under the terms and conditions of the Creative Commons Attribution (CC BY) license (https://creativecommons.org/licenses/by/4.0/).
Share and Cite
da Silva, A.D.; Fracasso, M.; Bottari, N.B.; Palma, T.V.; Engelmann, A.M.; Castro, M.F.V.; Assmann, C.E.; Mostardeiro, V.; Reichert, K.P.; Nauderer, J.; et al. Effects of Free and Nanoencapsulated Benznidazole in Acute Trypanosoma cruzi Infection: Role of Cholinergic Pathway and Redox Status. Pharmaceuticals 2024, 17, 1397. https://doi.org/10.3390/ph17101397
da Silva AD, Fracasso M, Bottari NB, Palma TV, Engelmann AM, Castro MFV, Assmann CE, Mostardeiro V, Reichert KP, Nauderer J, et al. Effects of Free and Nanoencapsulated Benznidazole in Acute Trypanosoma cruzi Infection: Role of Cholinergic Pathway and Redox Status. Pharmaceuticals. 2024; 17(10):1397. https://doi.org/10.3390/ph17101397
Chicago/Turabian Styleda Silva, Aniélen D., Mateus Fracasso, Nathieli B. Bottari, Taís V. Palma, Ana M. Engelmann, Milagros F. V. Castro, Charles E. Assmann, Vitor Mostardeiro, Karine P. Reichert, Jelson Nauderer, and et al. 2024. "Effects of Free and Nanoencapsulated Benznidazole in Acute Trypanosoma cruzi Infection: Role of Cholinergic Pathway and Redox Status" Pharmaceuticals 17, no. 10: 1397. https://doi.org/10.3390/ph17101397
APA Styleda Silva, A. D., Fracasso, M., Bottari, N. B., Palma, T. V., Engelmann, A. M., Castro, M. F. V., Assmann, C. E., Mostardeiro, V., Reichert, K. P., Nauderer, J., da Veiga, M. L., da Rocha, M. I. U. M., Milleti, L. C., das Neves, G. B., Gundel, S., Ourique, A. F., Monteiro, S. G., Morsch, V. M., Chitolina, M. R., & Da Silva, A. S. (2024). Effects of Free and Nanoencapsulated Benznidazole in Acute Trypanosoma cruzi Infection: Role of Cholinergic Pathway and Redox Status. Pharmaceuticals, 17(10), 1397. https://doi.org/10.3390/ph17101397

