Metabolomic Analysis of Stephania tetrandra–Astragalus membranaceus Herbal Pair-Improving Nephrotic Syndrome Identifies Activation of IL-13/STAT6 Signaling Pathway
Abstract
1. Introduction
2. Results
2.1. Efficacy Evaluation of FJ, HQ, and FH in Rats with NS
2.1.1. General Morphological Observation
2.1.2. Histopathology Analysis
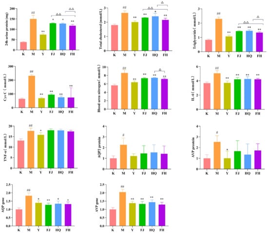
2.1.3. Blood Urea Nitrogen, Triglycerides, Cholesterol, Cys C, TNF-α, IL-6, Urinary Protein, AQP2 Gene, AQP2 Protein, AVP Gene, and AVP Protein Detection
2.2. Effects of FJ, HQ, and FH on Gene Expression of Apoptosis Factors and IL-13/STAT6 Signal Pathway in Renal Tissue
2.3. Multi-Attribute Comprehensive Index Analysis of Efficacy
2.4. GC–MS Analysis
2.4.1. Multivariate Statistical Analysis of Metabolites
2.4.2. Potential Biomarkers Screened by Qualitative Metabolomics Analysis
2.4.3. Enrichment and Analysis of Metabolic Pathway
2.4.4. Multi-Attribute Comprehensive Index Analysis of Metabolism
2.5. Pearson Correlation between Various Endogenous Metabolites and Efficacy Indicators
3. Discussion
3.1. Effect of FH on Lipid Metabolism in NS
3.2. Effect of FH on Inflammation in NS
3.3. Effects of FH on Water-Liquid Metabolism in NS
3.4. Effects of FH on Endogenous Metabolism of NS
4. Materials and Methods
4.1. Ethics Statement
4.2. Chemicals
4.3. FJ, HQ and FH Preparations
4.4. Establishment on Animal Model of NS
4.5. Western Blotting Assay
4.6. Efficacy Evaluation of FJ, HQ, and FH in Rats with NS
4.6.1. Histopathology Analysis
4.6.2. BUN, Triglycerides, Cholesterol, Cys C, TNF-α, IL-6, Urinary Protein, AQP2 Gene, AQP2 Protein, AVP Gene, AVP Protein Detection
4.7. Serum and Urine Samples Collection
4.8. Serum and Urine Sample Preparation
4.9. GC–MS Analysis
4.10. Data Processing and Statistical Analysis
5. Conclusions
Supplementary Materials
Author Contributions
Funding
Institutional Review Board Statement
Informed Consent Statement
Data Availability Statement
Conflicts of Interest
References
- Wang, C.S.; Greenbaum, L.A. Nephrotic Syndrome. Pediatr. Clin. North. Am. 2019, 66, 73–85. [Google Scholar] [CrossRef] [PubMed]
- Agrawal, S.; Zaritsky, J.J.; Fornoni, A.; Smoyer, W.E. Dyslipidaemia in nephrotic syndrome: Mechanisms and treatment. Nat. Rev. Nephrol. 2018, 14, 57–70. [Google Scholar] [CrossRef] [PubMed]
- Zheng, Y.; Hou, L.; Wang, X.L.; Zhao, C.G.; Du, Y. A review of nephrotic syndrome and atopic diseases in children. Transl. Androl. Urol. 2021, 10, 475–482. [Google Scholar] [CrossRef] [PubMed]
- Wang, Y.; Bu, J.; Zhang, Q.; Chen, K.; Zhang, J.; Bao, X. Expression pattern of aquaporins in patients with primary nephrotic syndrome with edema. Mol. Med. Rep. 2015, 12, 5625–5632. [Google Scholar] [CrossRef] [PubMed]
- Liu, X.; Zhou, Q.G.; Zhu, X.C.; Xie, L.; Cai, B.C. Screening for Potential Active Components of Fangji Huangqi Tang on the Treatment of Nephrotic Syndrome by Using Integrated Metabolomics Based on “Correlations Between Chemical and Metabolic Profiles”. Front. Pharmacol. 2019, 10, 1261. [Google Scholar] [CrossRef]
- Guo, Q.; Pei, X.H.; Chu, A.J.; Guo, Y.B.; Fan, Y.Y.; Wang, C.H.; Zhang, S.J.; Sun, S.Q.; Liu, Y.F.; Wang, X. The mechanism of action of Fangji Huangqi Decoction on epithelial-mesenchymal transition in breast cancer using high-throughput next-generation sequencing and network pharmacology. J. Ethnopharmacol. 2022, 284, 114793. [Google Scholar] [CrossRef]
- Zhang, C.; Zhong, Z.; Sang, W.; Ghorbani, F.; Ghalandari, B.; Mohamadali, M.; Irani, S.; Qian, Z.; Yi, C.; Yu, B. The Dibenzyl Isoquinoline Alkaloid Berbamine Ameliorates Osteoporosis by Inhibiting Bone Resorption. Front. Endocrinol. 2022, 13, 885507. [Google Scholar] [CrossRef]
- Jiang, Y.; Liu, M.; Liu, H.; Liu, S. A critical review: Traditional uses, phytochemistry, pharmacology and toxicology of Stephania tetrandra S. Moore (Fen Fang Ji). Phytochem. Rev. 2020, 19, 449–489. [Google Scholar] [CrossRef]
- Liu, X.; Wang, X.; Zhu, T.; Zhu, H.; Zhu, X.; Cai, H.; Cao, G.; Xu, X.; Niu, M.; Cai, B. Study on spectrum-effect correlation for screening the effective components in Fangji Huangqi Tang basing on ultra-high performance liquid chromatography-mass spectrometry. Phytomedicine 2018, 47, 81–92. [Google Scholar] [CrossRef]
- Auyeung, K.K.; Han, Q.B.; Ko, J.K. Astragalus membranaceus: A Review of its Protection Against Inflammation and Gastrointestinal Cancers. Am. J. Chin. Med. 2016, 44, 1–22. [Google Scholar] [CrossRef]
- Liu, P.; Zhao, H.; Luo, Y. Anti-Aging Implications of Astragalus Membranaceus (Huangqi): A Well-Known Chinese Tonic. Aging Dis. 2017, 8, 868–886. [Google Scholar] [CrossRef]
- Liu, X.; Wei, F.; Liu, H.; Zhao, S.; Du, G.; Qin, X. Integrating hippocampal metabolomics and network pharmacology deciphers the antidepressant mechanisms of Xiaoyaosan. J. Ethnopharmacol. 2021, 268, 113549. [Google Scholar] [CrossRef]
- Wu, G.S.; Li, H.K.; Zhang, W.D. Metabolomics and its application in the treatment of coronary heart disease with traditional Chinese medicine. Chin. J. Nat. Med. 2019, 17, 321–330. [Google Scholar] [CrossRef]
- Rinschen, M.M.; Ivanisevic, J.; Giera, M.; Siuzdak, G. Identification of bioactive metabolites using activity metabolomics. Nat. Rev. Mol. Cell. Biol. 2019, 20, 353–367. [Google Scholar] [CrossRef]
- Bujak, R.; Struck-Lewicka, W.; Markuszewski, M.J.; Kaliszan, R. Metabolomics for laboratory diagnostics. J. Pharm. Biomed. Anal. 2015, 113, 108–120. [Google Scholar] [CrossRef]
- Papadimitropoulos, M.P.; Vasilopoulou, C.G.; Maga-Nteve, C.; Klapa, M.I. Untargeted GC-MS Metabolomics. Methods Mol. Biol. 2018, 1738, 133–147. [Google Scholar] [CrossRef]
- Qu, C.; Tang, Y.P.; Shi, X.Q.; Zhou, G.S.; Shang, E.X.; Shang, L.L.; Guo, J.M.; Liu, P.; Zhao, J.; Zhao, B.C.; et al. Comparative study on promoting blood effects of Danshen-Honghua herb pair with different preparations based on chemometrics and multi-attribute comprehensive index methods. Zhongguo Zhong yao za zhi = Zhongguo zhongyao zazhi = China J. Chin. Mater. Med. 2017, 42, 3017–3025. [Google Scholar] [CrossRef]
- Wang, X.Q.; Wang, L.; Tu, Y.C.; Zhang, Y.C. Traditional Chinese Medicine for Refractory Nephrotic Syndrome: Strategies and Promising Treatments. Evid. Based Complement. Alternat. Med. 2018, 2018, 8746349. [Google Scholar] [CrossRef]
- Liang, C.L.; Zhang, P.C.; Wu, J.B.; Liu, B.H.; Yu, H.; Lu, R.R.; Jie, Z.; Zhou, J.Y. Zhen-wu-tang attenuates Adriamycin-induced nephropathy via regulating AQP2 and miR-92b. Biomed. Pharmacother. 2019, 109, 1296–1305. [Google Scholar] [CrossRef]
- Tu, Y.; Sun, W.; Wan, Y.G.; Che, X.Y.; Pu, H.P.; Yin, X.J.; Chen, H.L.; Meng, X.J.; Huang, Y.R.; Shi, X.M. Huangkui capsule, an extract from Abelmoschus manihot (L.) medic, ameliorates adriamycin-induced renal inflammation and glomerular injury via inhibiting p38MAPK signaling pathway activity in rats. J. Ethnopharmacol. 2013, 147, 311–320. [Google Scholar] [CrossRef]
- Vaziri, N.D. Disorders of lipid metabolism in nephrotic syndrome: Mechanisms and consequences. Kidney Int. 2016, 90, 41–52. [Google Scholar] [CrossRef] [PubMed]
- Camici, M. The Nephrotic Syndrome is an immunoinflammatory disorder. Med. Hypotheses. 2007, 68, 900–905. [Google Scholar] [CrossRef] [PubMed]
- Rayego-Mateos, S.; Marquez-Expósito, L.; Rodrigues-Diez, R.; Sanz, A.B.; Guiteras, R.; Doladé, N.; Rubio-Soto, I.; Manonelles, A.; Codina, S.; Ortiz, A.; et al. Molecular Mechanisms of Kidney Injury and Repair. Int. J. Mol. Sci. 2022, 23, 1542. [Google Scholar] [CrossRef] [PubMed]
- Zhou, L.; Kawate, T.; Liu, X.; Kim, Y.B.; Zhao, Y.; Feng, G.; Banerji, J.; Nash, H.; Whitehurst, C.; Jindal, S.; et al. STAT6 phosphorylation inhibitors block eotaxin-3 secretion in bronchial epithelial cells. Bioorg. Med. Chem. 2012, 20, 750–758. [Google Scholar] [CrossRef] [PubMed]
- Nepal, S.; Tiruppathi, C.; Tsukasaki, Y.; Farahany, J.; Mittal, M.; Rehman, J.; Prockop, D.J.; Malik, A.B. STAT6 induces expression of Gas6 in macrophages to clear apoptotic neutrophils and resolve inflammation. Proc. Natl. Acad. Sci. USA 2019, 116, 16513–16518. [Google Scholar] [CrossRef]
- Kitsou, K.; Askiti, V.; Mitsioni, A.; Spoulou, V. The immunopathogenesis of idiopathic nephrotic syndrome: A narrative review of the literature. Eur. J. Pediatr. 2022, 181, 1395–1404. [Google Scholar] [CrossRef]
- Zhang, Q.; Wu, G.; Guo, S.; Liu, Y.; Liu, Z. Effects of tristetraprolin on doxorubicin (adriamycin)-induced experimental kidney injury through inhibiting IL-13/STAT6 signal pathway. Am. J. Transl. Res. 2020, 12, 1203–1221. [Google Scholar]
- Ren, D.; Fu, Y.; Wang, L.; Liu, J.; Zhong, X.; Yuan, J.; Jiang, C.; Wang, H.; Li, Z. Tetrandrine ameliorated Alzheimer’s disease through suppressing microglial inflammatory activation and neurotoxicity in the 5XFAD mouse. Phytomedicine 2021, 90, 153627. [Google Scholar] [CrossRef]
- Jiang, Y.; Liu, J.; Zhou, Z.; Liu, K.; Liu, C. Fangchinoline Protects Against Renal Injury in Diabetic Nephropathy by Modulating the MAPK Signaling Pathway. Exp. Clin. Endocrinol. Diabetes 2020, 128, 499–505. [Google Scholar] [CrossRef]
- Wang, P.C.; Wang, S.X.; Yan, X.L.; He, Y.Y.; Wang, M.C.; Zheng, H.Z.; Shi, X.G.; Tan, Y.H.; Wang, L.S. Combination of paeoniflorin and calycosin-7-glucoside alleviates ischaemic stroke injury via the PI3K/AKT signalling pathway. Pharm. Biol. 2022, 60, 1469–1477. [Google Scholar] [CrossRef]
- Tian, L.; Zhao, J.L.; Kang, J.Q.; Guo, S.B.; Zhang, N.; Shang, L.; Zhang, Y.L.; Zhang, J.; Jiang, X.; Lin, Y. Astragaloside IV Alleviates the Experimental DSS-Induced Colitis by Remodeling Macrophage Polarization Through STAT Signaling. Front. Immunol. 2021, 12, 740565. [Google Scholar] [CrossRef]
- Ray, E.C.; Rondon-Berrios, H.; Boyd, C.R.; Kleyman, T.R. Sodium retention and volume expansion in nephrotic syndrome: Implications for hypertension. Adv. Chronic. Kidney Dis. 2015, 22, 179–184. [Google Scholar] [CrossRef]
- Yu, Y.; Kang, Y.F.; Li, K.S.; Chen, Z.H.; Zhang, L.; Zhang, H.M.; Zhang, M. Expression and clinical significance of aquaporin-1 and ET-1 in urine of children with congenital hydronephrosis. Eur. Rev. Med. Pharmacol. Sci. 2017, 21, 4141–4146. [Google Scholar]
- Peces, R.; Mena, R.; Peces, C.; Santos-Simarro, F.; Fernández, L.; Afonso, S.; Lapunzina, P.; Selgas, R.; Nevado, J. Severe congenital nephrogenic diabetes insipidus in a compound heterozygote with a new large deletion of the AQP2 gene. A case report. Mol. Genet. Genomic. Med. 2019, 7, e00568. [Google Scholar] [CrossRef]
- Cheung, P.W.; Bouley, R.; Brown, D. Targeting the Trafficking of Kidney Water Channels for Therapeutic Benefit. Annu. Rev. Pharmacol. Toxicol. 2020, 60, 175–194. [Google Scholar] [CrossRef]
- Törnroth-Horsefield, S.; Chivasso, C.; Strandberg, H.; D’Agostino, C.; O’Neale, C.V.T.; Schey, K.L.; Delporte, C. Insight into the Mammalian Aquaporin Interactome. Int. J. Mol. Sci. 2022, 23, 9615. [Google Scholar] [CrossRef]
- Markou, A.; Unger, L.; Abir-Awan, M.; Saadallah, A.; Halsey, A.; Balklava, Z.; Conner, M.; Törnroth-Horsefield, S.; Greenhill, S.D.; Conner, A.; et al. Molecular mechanisms governing aquaporin relocalisation. Biochim. Biophys. Acta Biomembr. 2022, 1864, 183853. [Google Scholar] [CrossRef]
- Portillo, F.; Vázquez, J.; Pajares, M.A. Protein-protein interactions involving enzymes of the mammalian methionine and homocysteine metabolism. Biochimie 2020, 173, 33–47. [Google Scholar] [CrossRef]
- Long, Y.; Nie, J. Homocysteine in Renal Injury. Kidney Dis. 2016, 2, 80–87. [Google Scholar] [CrossRef]
- Mills, E.; O’Neill, L.A. Succinate: A metabolic signal in inflammation. Trends. Cell. Biol. 2014, 24, 313–320. [Google Scholar] [CrossRef]
- Duann, P.; Lin, P.H. Mitochondria Damage and Kidney Disease. Adv. Exp. Med. Biol. 2017, 982, 529–551. [Google Scholar] [CrossRef] [PubMed]
- Wang, X.; Liu, X.; Cai, H.; Pei, K.; Cao, G.; Xu, X.; Shi, F.; Cai, B. Ultra high performance liquid chromatography with tandem mass spectrometry method for the determination of tetrandrine and fangchinoline in rat plasma after oral administration of Fangji Huangqi Tang and Stephania tetrandra S. Moore extracts. J. Sep. Sci. 2015, 38, 1286–1293. [Google Scholar] [CrossRef] [PubMed]
- Tan, J.; Wang, J.; Geng, L.; Yue, Y.; Wu, N.; Zhang, Q. Comparative Study of Fucoidan from Saccharina japonica and Its Depolymerized Fragment on Adriamycin-Induced Nephrotic Syndrome in Rats. Mar. Drugs 2020, 18, 137. [Google Scholar] [CrossRef] [PubMed]
- Reagan-Shaw, S.; Nihal, M.; Ahmad, N. Dose translation from animal to human studies revisited. Faseb J. 2008, 22, 659–661. [Google Scholar] [CrossRef]
- Li, X.; Yin, M.; Gu, J.; Hou, Y.; Tian, F.; Sun, F. Metabolomic Profiling of Plasma Samples from Women with Recurrent Spontaneous Abortion. Med. Sci. Monit. 2018, 24, 4038–4045. [Google Scholar] [CrossRef]









| NO | RT (min) | Endogenous Metabolites | VIP | p | K-M | M-FJ | M-HQ | M-FH |
|---|---|---|---|---|---|---|---|---|
| S1 | 3.427 | Cysteine | 1.87 | 0.01 | ↑ | ↓ | ↓ | ↓ |
| S2 | 3.515 | Lactic acid | 1.04 | 0.04 | ↑ | ↑ | ↑ | ↑ |
| S3 | 3.757 | L-methionine | 1.38 | 0 | ↑ | ↓ | ↓ | ↓ |
| S4 | 3.760 | L-isoleucine | 2.31 | 0.03 | ↑ | ↓ | ↓ | ↓ |
| S5 | 3.764 | Valine | 2.38 | 0.03 | ↑ | ↓ | ↓ | ↓ |
| S6 | 3.764 | Glycine | 2.74 | 0.04 | ↑ | ↓ | ↓ | ↓ |
| S7 | 5.075 | Citric acid | 1.25 | 0.02 | ↓ | ↓ | ↓ | ↑ |
| S8 | 5.078 | Pyruvic acid | 2.24 | 0 | ↓ | - | - | ↑ |
| S9 | 16.390 | Succinic acid | 2.19 | 0 | ↓ | ↑ | ↑ | ↑ |
| S10 | 18.151 | L-aspartic acid | 1.63 | 0 | ↓ | ↑ | ↑ | ↑ |
| S11 | 18.156 | Lactose | 1.49 | 0 | ↓ | ↑ | ↑ | ↑ |
| S12 | 18.955 | Maltose | 1.15 | 0 | ↑ | ↑ | ↓ | ↓ |
| U1 | 36.635 | Glycine | 4.11 | 0.01 | ↓ | ↑ | ↑ | ↑ |
| U2 | 36.621 | Pyruvic acid | 1.38 | 0.02 | ↓ | ↑ | ↑ | ↑ |
| U3 | 36.628 | Glutaric acid | 1.92 | 0.02 | ↓ | ↑ | ↑ | ↑ |
| U4 | 36.617 | Adipic acid | 1.11 | 0.02 | ↓ | ↓ | ↓ | ↑ |
| U5 | 36.617 | Uric acid | 2.9 | 0.02 | ↓ | ↓ | ↓ | ↑ |
| U6 | 36.853 | 4-Pyridoxic acid | 4.96 | 0.01 | ↓ | ↑ | ↑ | ↑ |
Disclaimer/Publisher’s Note: The statements, opinions and data contained in all publications are solely those of the individual author(s) and contributor(s) and not of MDPI and/or the editor(s). MDPI and/or the editor(s) disclaim responsibility for any injury to people or property resulting from any ideas, methods, instructions or products referred to in the content. |
© 2023 by the authors. Licensee MDPI, Basel, Switzerland. This article is an open access article distributed under the terms and conditions of the Creative Commons Attribution (CC BY) license (https://creativecommons.org/licenses/by/4.0/).
Share and Cite
Xu, B.; Yao, M.; Liu, Z.; Zhang, S.; Wang, B.; Han, Y.; Gao, J.; Wu, D.; Wang, X. Metabolomic Analysis of Stephania tetrandra–Astragalus membranaceus Herbal Pair-Improving Nephrotic Syndrome Identifies Activation of IL-13/STAT6 Signaling Pathway. Pharmaceuticals 2023, 16, 88. https://doi.org/10.3390/ph16010088
Xu B, Yao M, Liu Z, Zhang S, Wang B, Han Y, Gao J, Wu D, Wang X. Metabolomic Analysis of Stephania tetrandra–Astragalus membranaceus Herbal Pair-Improving Nephrotic Syndrome Identifies Activation of IL-13/STAT6 Signaling Pathway. Pharmaceuticals. 2023; 16(1):88. https://doi.org/10.3390/ph16010088
Chicago/Turabian StyleXu, Baiyang, Mengxue Yao, Zilu Liu, Shanshan Zhang, Bin Wang, Yanquan Han, Jiarong Gao, Deling Wu, and Xiaoli Wang. 2023. "Metabolomic Analysis of Stephania tetrandra–Astragalus membranaceus Herbal Pair-Improving Nephrotic Syndrome Identifies Activation of IL-13/STAT6 Signaling Pathway" Pharmaceuticals 16, no. 1: 88. https://doi.org/10.3390/ph16010088
APA StyleXu, B., Yao, M., Liu, Z., Zhang, S., Wang, B., Han, Y., Gao, J., Wu, D., & Wang, X. (2023). Metabolomic Analysis of Stephania tetrandra–Astragalus membranaceus Herbal Pair-Improving Nephrotic Syndrome Identifies Activation of IL-13/STAT6 Signaling Pathway. Pharmaceuticals, 16(1), 88. https://doi.org/10.3390/ph16010088
