Refractory Age-Related Macular Degeneration Due to Concurrent Central Serous Chorioretinopathy in Previously Well-Controlled Eyes
Abstract
1. Introduction
2. Case Presentation
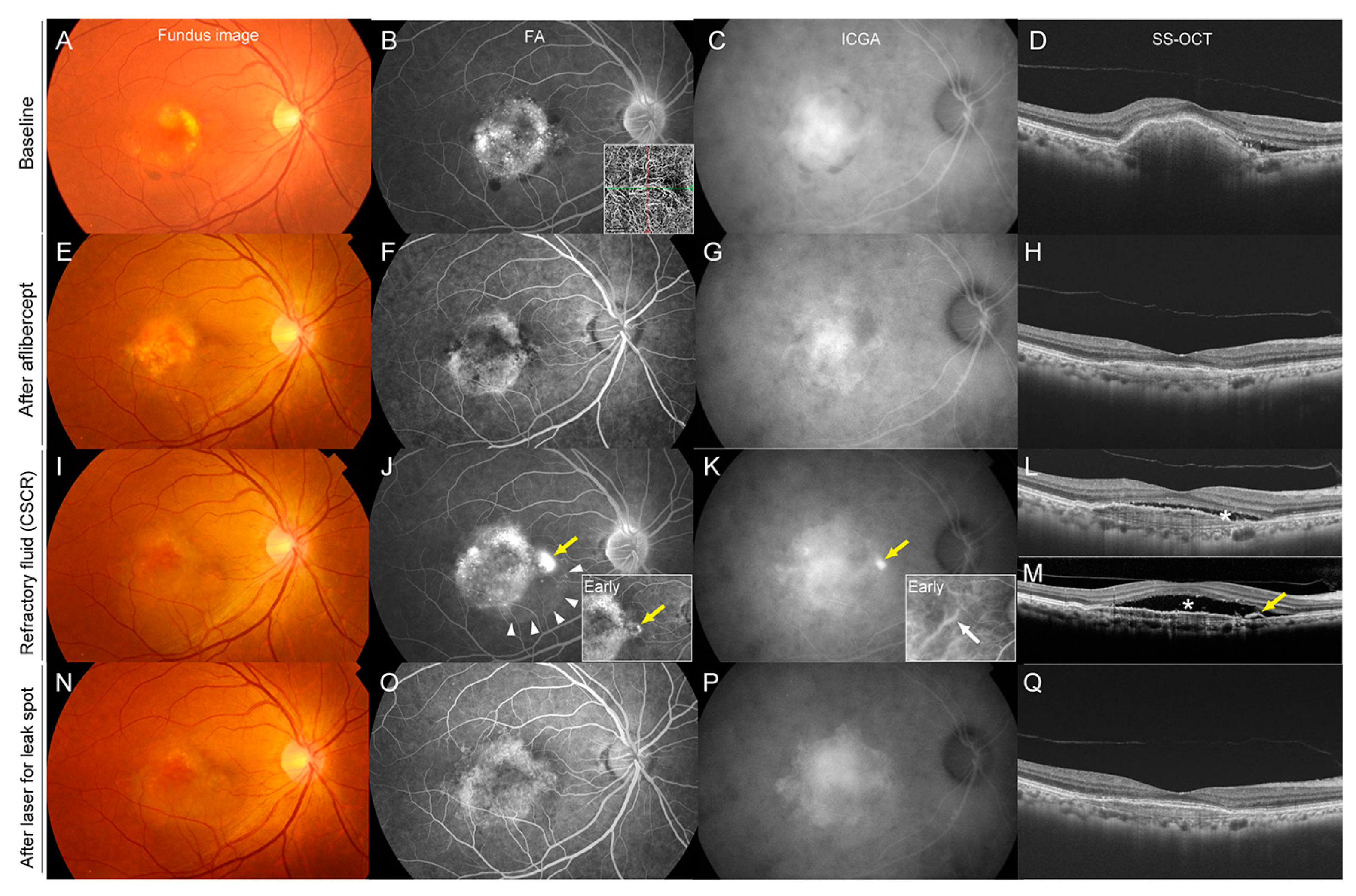
2.1. Case 1
2.2. Case 2
3. Discussion
4. Conclusions
Author Contributions
Funding
Institutional Review Board Statement
Informed Consent Statement
Data Availability Statement
Conflicts of Interest
References
- Bressler, N.M. Age-related macular degeneration is the leading cause of blindness. JAMA 2004, 291, 1900–1901. [Google Scholar] [CrossRef] [PubMed]
- Schaal, S.; Kaplan, H.J.; Tezel, T.H. Is there tachyphylaxis to intravitreal anti-vascular endothelial growth factor pharmacotherapy in age-related macular degeneration? Ophthalmology 2008, 115, 2199–2205. [Google Scholar] [CrossRef] [PubMed]
- Forooghian, F.; Cukras, C.; Meyerle, C.B.; Chew, E.Y.; Wong, W.T. Tachyphylaxis after intravitreal bevacizumab for exudative age-related macular degeneration. Retina 2009, 29, 723–731. [Google Scholar] [CrossRef] [PubMed]
- Gasperini, J.L.; Fawzi, A.; Khondkaryan, A.; Lam, L.; Chong, L.P.; Eliott, D.; Walsh, A.C.; Hwang, J.; Sadda, S.R. Bevacizumab and ranibizumab tachyphylaxis in the treatment of choroidal neovascularisation. Br. J. Ophthalmol. 2012, 96, 14–20. [Google Scholar] [CrossRef] [PubMed]
- Hara, C.; Wakabayashi, T.; Fukushima, Y.; Sayanagi, K.; Kawasaki, R.; Sato, S.; Sakaguchi, H.; Nishida, K. Tachyphylaxis during treatment of exudative age-related macular degeneration with aflibercept. Graefes Arch. Clin. Exp. Ophthalmol. 2019, 257, 2559–2569. [Google Scholar] [CrossRef] [PubMed]
- Menchini, U.; Virgili, G.; Lanzatta, P.; Ferrari, E. Indocyanine green angiography in central serous chorioretinopathy. ICG angiography in CSC. Int. Ophthalmol. 1997, 21, 57–69. [Google Scholar] [CrossRef] [PubMed]
- Spaide, R.F.; Hall, L.; Haas, A.; Campears, L.; Yannuzzi, L.A.; Fisher, Y.L.; Guyer, D.R.; Slakter, J.S.; Sorenson, J.A.; Orlock, D.A. Indocyanine green videoangiography of older patients with central serous chorioretinopathy. Retina 1996, 16, 203–2013. [Google Scholar] [CrossRef] [PubMed]
- Warrow, D.J.; Hoang, Q.V.; Freud, K.B. Pachychoroid pigment epitheliopathy. Retina 2013, 33, 1659–1672. [Google Scholar] [CrossRef] [PubMed]
- Pang, C.E.; Freund, K.B. Pachychoroid neovasculopathy. Retina 2015, 35, 1–9. [Google Scholar] [CrossRef] [PubMed]
- Bae, S.H.; Heo, J.; Kim, C.; Kim, T.W.; Shin, J.Y.; Lee, J.Y.; Song, S.J.; Park, T.K.; Moon, S.W.; Chung, H. Low-fluence photodynamic therapy versus ranibizumab for chronic central serous chorioretinopathy: One-year results of a randomized trial. Ophthalmology 2014, 121, 558–565. [Google Scholar] [CrossRef] [PubMed]


Disclaimer/Publisher’s Note: The statements, opinions and data contained in all publications are solely those of the individual author(s) and contributor(s) and not of MDPI and/or the editor(s). MDPI and/or the editor(s) disclaim responsibility for any injury to people or property resulting from any ideas, methods, instructions or products referred to in the content. |
© 2023 by the authors. Licensee MDPI, Basel, Switzerland. This article is an open access article distributed under the terms and conditions of the Creative Commons Attribution (CC BY) license (https://creativecommons.org/licenses/by/4.0/).
Share and Cite
Hara, C.; Wakabayashi, T.; Sayanagi, K.; Nishida, K. Refractory Age-Related Macular Degeneration Due to Concurrent Central Serous Chorioretinopathy in Previously Well-Controlled Eyes. Pharmaceuticals 2023, 16, 89. https://doi.org/10.3390/ph16010089
Hara C, Wakabayashi T, Sayanagi K, Nishida K. Refractory Age-Related Macular Degeneration Due to Concurrent Central Serous Chorioretinopathy in Previously Well-Controlled Eyes. Pharmaceuticals. 2023; 16(1):89. https://doi.org/10.3390/ph16010089
Chicago/Turabian StyleHara, Chikako, Taku Wakabayashi, Kaori Sayanagi, and Kohji Nishida. 2023. "Refractory Age-Related Macular Degeneration Due to Concurrent Central Serous Chorioretinopathy in Previously Well-Controlled Eyes" Pharmaceuticals 16, no. 1: 89. https://doi.org/10.3390/ph16010089
APA StyleHara, C., Wakabayashi, T., Sayanagi, K., & Nishida, K. (2023). Refractory Age-Related Macular Degeneration Due to Concurrent Central Serous Chorioretinopathy in Previously Well-Controlled Eyes. Pharmaceuticals, 16(1), 89. https://doi.org/10.3390/ph16010089

