Novel Bile Salt Stabilized Vesicles-Mediated Effective Topical Delivery of Diclofenac Sodium: A New Therapeutic Approach for Pain and Inflammation
Abstract
1. Introduction
2. Results and Discussion
2.1. Experimental Design and Statistical Analysis
2.2. DNa-BSVCs Characterization
2.2.1. Effect of Independent Variables on EE%
2.2.2. Effect of Independent Variables on VS
2.2.3. Effect of Independent Variables on ZP
2.2.4. Effect of Independent Variables on Ex Vivo Skin Permeation Study
2.2.5. Formulation Optimization
2.3. Optimized DNa-BSVC Characterization
2.3.1. In Vitro Release Evaluation
2.3.2. Morphological Evaluation
2.3.3. Fourier Transform Infrared Spectroscopy Study (FTIR) of the Optimized DNa-BSVC Formulation
2.4. Characterization of DNA-BSVC Hydrogels
2.4.1. Rheological Characterization of the Hydrogel Formulations
2.4.2. Ex Vivo Permeation Study
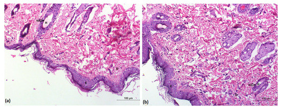
2.5. Histopathological Study
2.6. In Vivo Pharmacological Study
2.6.1. Rat Paw Volume % Inhibition
2.6.2. Cyclooxygenase 2 (COX-2) and Interleukine 6 (IL-6) Paw Tissue
2.6.3. Nuclear Factor Erythroid 2 (Nrf-2) and Hemoxygenase-1 (HO-1) Serum Levels
2.6.4. Histopathological Study
Microscopic Examination (Routine H& E Staining)
3. Materials and Methods
3.1. Materials
3.2. Methods
3.2.1. Preliminary Study
3.2.2. Design and Optimization of Experiments
3.2.3. Preparation of Diclofenac Sodium-Loaded Bilosomes (DNa-BSVCs)
3.2.4. Characterization of the Experimental Runs
Vesicle Size (VS), Polydispersity Index (PDI) and Surface Charge Analysis (ZP)
DNa Entrapment
Ex Vivo Skin Permeation Study
Selection of Optimized DNa-BSVC
3.2.5. Optimized DNa-BSVC Characterization
In Vitro Release Evaluation
Morphological Evaluation
Fourier Transform Infrared Spectroscopy (FTIR) of the Optimized DNa-BSVC
3.2.6. Formulation of DNa-BSVC-Based Gel
3.2.7. Characterization of DNa-BSVC Based Gels
Rheological Characterization of the Hydrogel Formulations
Ex Vivo Permeability Study
3.2.8. Animal Experiment
Histopathological Investigation of the DNa-BSVC-Based Gel
3.2.9. In Vivo Study of DNa-BSVCs Based Gel
Animals
Experimental Design
Induction of Rat Paw Edema
Measurement of Rat Paw Volume
Serum Sampling
Tissue Sampling
Biomarkers Estimated Using ELISA Technique
3.2.10. Statistical Analysis
4. Conclusions
Supplementary Materials
Author Contributions
Funding
Institutional Review Board Statement
Informed Consent Statement
Data Availability Statement
Acknowledgments
Conflicts of Interest
References
- Chen, L.; Deng, H.; Cui, H.; Fang, J.; Zuo, Z.; Deng, J.; Li, Y.; Wang, X.; Zhao, L. Inflammatory responses and inflammation-associated diseases in organs. Oncotarget 2018, 9, 7204. [Google Scholar] [CrossRef] [PubMed]
- Zhou, Y.; Hong, Y.; Huang, H. Triptolide attenuates inflammatory response in membranous glomerulo-nephritis rat via downregulation of NF-κB signaling pathway. Kidney Blood Press. Res. 2016, 41, 901–910. [Google Scholar] [CrossRef] [PubMed]
- Netea, M.G.; Balkwill, F.; Chonchol, M.; Cominelli, F.; Donath, M.Y.; Giamarellos-Bourboulis, E.J.; Golenbock, D.; Gresnigt, M.S.; Heneka, M.T.; Hoffman, H.M.; et al. A guiding map for inflammation. Nat. Immunol. 2017, 18, 826–831. [Google Scholar] [CrossRef] [PubMed]
- Amaral, E.P.; Vinhaes, C.L.; Oliveira-de-Souza, D.; Nogueira, B.; Akrami, K.M.; Andrade, B.B. The interplay between systemic inflammation, oxidative stress, and tissue remodeling in tuberculosis. Antioxid. Redox Signal. 2021, 34, 471–485. [Google Scholar] [CrossRef] [PubMed]
- Zhang, H.; Shang, C.; Tian, Z.; Amin, H.K.; Kassab, R.B.; Abdel Moneim, A.E.; Zhang, Y. Diallyl disulfide suppresses inflammatory and oxidative machineries following carrageenan injection-induced paw edema in mice. Mediat. Inflamm. 2020, 2020, 8508906. [Google Scholar] [CrossRef]
- Lima, A.C.; Amorim, D.; Laranjeira, I.; Almeida, A.; Reis, R.L.; Ferreira, H.; Pinto-Ribeiro, F.; Neves, N.M. Modulating inflammation through the neutralization of Interleukin-6 and tumor necrosis factor-α by biofunctionalized nanoparticles. J. Control. Release 2021, 331, 491–502. [Google Scholar] [CrossRef]
- Campbell, N.K.; Fitzgerald, H.K.; Dunne, A. Regulation of inflammation by the antioxidant haem oxygenase 1. Nat. Rev. Immunol. 2021, 21, 411–425. [Google Scholar] [CrossRef]
- Bindu, S.; Mazumder, S.; Bandyopadhyay, U. Non-steroidal anti-inflammatory drugs (NSAIDs) and organ damage: A current perspective. Biochem. Pharmacol. 2020, 180, 114147. [Google Scholar] [CrossRef]
- Roth, S.H. Nonsteroidal anti-inflammatory drug gastropathy: New avenues for safety. Clin. Interv. Aging 2011, 6, 125. [Google Scholar] [CrossRef][Green Version]
- Salem, H.F.; Nafady, M.M.; Kharshoum, R.M.; el-Ghafar, A.; Omnia, A.; Farouk, H.O. Novel enhanced therapeutic efficacy of dapoxetine HCl by nano-vesicle transdermal gel for treatment of carrageenan-induced rat paw edema. AAPS PharmSciTech 2020, 21, 113. [Google Scholar] [CrossRef]
- Salem, H.F.; Kharshoum, R.M.; Abou-Taleb, H.A.; Farouk, H.O.; Zaki, R.M. Fabrication and appraisal of simvastatin via tailored niosomal nanovesicles for transdermal delivery enhancement: In vitro and in vivo assessment. Pharmaceutics 2021, 13, 138. [Google Scholar] [CrossRef]
- Gupta, M.; Agrawal, U.; Vyas, S.P. Nanocarrier-based topical drug delivery for the treatment of skin diseases. Expert Opin. Drug Deliv. 2012, 9, 783–804. [Google Scholar] [CrossRef] [PubMed]
- El Menshawe, S.F.; Aboud, H.M.; Elkomy, M.H.; Kharshoum, R.M.; Abdeltwab, A.M. A novel nanogel loaded with chitosan decorated bilosomes for transdermal delivery of terbutaline sulfate: Artificial neural network optimization, in vitro characterization and in vivo evaluation. Drug Deliv. Transl. Res. 2020, 10, 471–485. [Google Scholar] [CrossRef] [PubMed]
- Lee, E.H.; Kim, A.; Oh, Y.K.; Kim, C.K. Effect of edge activators on the formation and transfection efficiency of ultradeformable liposomes. Biomaterials 2005, 26, 205–210. [Google Scholar] [CrossRef] [PubMed]
- Honeywell-Nguyen, P.L.; Bouwstra, J.A. Vesicles as a tool for transdermal and dermal delivery. Drug Discov. Today Technol. 2005, 2, 67–74. [Google Scholar] [CrossRef] [PubMed]
- Waglewska, E.; Pucek-Kaczmarek, A.; Bazylińska, U. Novel surface-modified bilosomes as functional and biocompatible nanocarriers of hybrid compounds. Nanomaterials 2020, 10, 2472. [Google Scholar] [CrossRef]
- Elkomy, M.H.; Alruwaili, N.K.; Elmowafy, M.; Shalaby, K.; Zafar, A.; Ahmad, N.; Alsalahat, I.; Ghoneim, M.M.; Eissa, E.M.; Eid, H.M. Surface-Modified Bilosomes Nanogel Bearing a Natural Plant Alkaloid for Safe Management of Rheumatoid Arthritis Inflammation. Pharmaceutics 2022, 14, 563. [Google Scholar] [CrossRef]
- Stojančević, M.; Pavlović, N.; Goločorbin-Kon, S.; Mikov, M. Application of bile acids in drug formulation and delivery. Front. Life Sci. 2013, 7, 112–122. [Google Scholar] [CrossRef]
- Ahmed, S.; Kassem, M.A.; Sayed, S. Bilosomes as promising nanovesicular carriers for improved transdermal delivery: Construction, in vitro optimization, ex vivo permeation and in vivo evaluation. Int. J. Nanomed. 2020, 15, 9783. [Google Scholar] [CrossRef]
- Al-Mahallawi, A.M.; Abdelbary, A.A.; Aburahma, M.H. Investigating the potential of employing bilosomes as a novel vesicular carrier for transdermal delivery of tenoxicam. Int. J. Pharm. 2015, 485, 329–340. [Google Scholar] [CrossRef]
- Khalil, R.M.; Abdelbary, A.; Kocova El-Arini, S.; Basha, M.; El-Hashemy, H.A. Evaluation of bilosomes as nanocarriers for transdermal delivery of tizanidine hydrochloride: In vitro and ex vivo optimization. J. Liposome Res. 2019, 29, 171–182. [Google Scholar] [CrossRef]
- Ammar, H.O.; Mohamed, M.I.; Tadros, M.I.; Fouly, A.A. Transdermal delivery of ondansetron hydrochloride via bilosomal systems: In vitro, ex vivo, and in vivo characterization studies. AAPS PharmSciTech 2018, 19, 2276–2287. [Google Scholar] [CrossRef]
- Chai, Q.; Jiao, Y.; Yu, X. Hydrogels for biomedical applications: Their characteristics and the mechanisms behind them. Gels 2017, 3, 6. [Google Scholar] [CrossRef]
- Oliveira, I.M.; Fernandes, D.C.; Cengiz, I.F.; Reis, R.L.; Oliveira, J.M. Hydrogels in the treatment of rheumatoid arthritis: Drug delivery systems and artificial matrices for dynamic in vitro models. J. Mater. Sci. Mater. Med. 2021, 32, 74. [Google Scholar] [CrossRef]
- Li, J.; Mooney, D.J. Designing hydrogels for controlled drug delivery. Nat. Rev. Mater. 2016, 1, 16071. [Google Scholar] [CrossRef]
- Geckil, H.; Xu, F.; Zhang, X.; Moon, S.; Demirci, U. Engineering hydrogels as extracellular matrix mimics. Nanomedicine 2010, 5, 469–484. [Google Scholar] [CrossRef]
- Abdelbary, A.A.; Abd-Elsalam, W.H.; Al-Mahallawi, A.M. Fabrication of novel ultradeformable bilosomes for enhanced ocular delivery of terconazole: In vitro characterization, ex vivo permeation and in vivo safety assessment. Int. J. Pharm. 2016, 513, 688–696. [Google Scholar] [CrossRef]
- Vardhan, M.V.; Sankaraiah, G.; Yohan, M.; Rao, H.J. Optimization of Parameters in CNC milling of P20 steel using Response Surface methodology and Taguchi Method. Mater. Today Proc. 2017, 4, 9163–9169. [Google Scholar] [CrossRef]
- Mohamed, M.I.; Abdelbary, A.A.; Kandil, S.M.; Mahmoud, T.M. Preparation and evaluation of optimized zolmitriptan niosomal emulgel. Drug Dev. Ind. Pharm. 2019, 45, 1157–1167. [Google Scholar] [CrossRef]
- Abdelbary, G.; El-Gendy, N. Niosome-encapsulated gentamicin for ophthalmic controlled delivery. AAPS PharmSciTech 2008, 9, 740–747. [Google Scholar] [CrossRef]
- El Zaafarany, G.M.; Awad, G.A.; Holayel, S.M.; Mortada, N.D. Role of edge activators and surface charge in developing ultradeformable vesicles with enhanced skin delivery. Int. J. Pharm. 2010, 397, 164–172. [Google Scholar] [CrossRef] [PubMed]
- Hao, Y.; Zhao, F.; Li, N.; Yang, Y. Studies on a high encapsulation of colchicine by a niosome system. Int. J. Pharm. 2002, 244, 73–80. [Google Scholar] [CrossRef]
- Zafar, A.; Alruwaili, N.K.; Imam, S.S.; Alotaibi, N.H.; Alharbi, K.S.; Afzal, M.; Ali, R.; Alshehri, S.; Alzarea, S.I.; Elmowafy, M.; et al. Bioactive Apigenin loaded oral nano bilosomes: Formulation optimization to preclinical assessment. Saudi Pharm. J. 2021, 29, 269–279. [Google Scholar] [CrossRef]
- Salem, H.F.; Nafady, M.M.; Ali, A.A.; Khalil, N.M.; Elsisi, A.A. Evaluation of Metformin Hydrochloride Tailoring Bilosomes as an Effective Transdermal Nanocarrier. Int. J. Nanomed. 2022, 17, 1185. [Google Scholar] [CrossRef]
- Niu, M.; Tan, Y.N.; Guan, P.; Hovgaard, L.; Lu, Y.; Qi, J.; Lian, R.; Li, X.; Wu, W. Enhanced oral absorption of insulin-loaded liposomes containing bile salts: A mechanistic study. Int. J. Pharm. 2014, 460, 119–130. [Google Scholar] [CrossRef]
- Aboud, H.M.; Mahmoud, M.O.; Abdeltawab Mohammed, M.; Shafiq Awad, M.; Sabry, D. Preparation and appraisal of self-assembled valsartan-loaded amalgamated Pluronic F127/Tween 80 polymeric micelles: Boosted cardioprotection via regulation of Mhrt/Nrf2 and Trx1 pathways in cisplatin-induced cardiotoxicity. J. Drug Target. 2020, 28, 282–299. [Google Scholar] [CrossRef]
- Cho, H.J.; Park, J.W.; Yoon, I.S.; Kim, D.D. Surface-modified solid lipid nanoparticles for oral delivery of docetaxel: Enhanced intestinal absorption and lymphatic uptake. Int. J. Nanomed. 2014, 9, 495. [Google Scholar]
- Nagarwal, R.C.; Kant, S.; Singh, P.N.; Maiti, P.; Pandit, J.K. Polymeric nanoparticulate system: A potential approach for ocular drug delivery. J. Control. Release 2009, 136, 2–13. [Google Scholar] [CrossRef]
- Yoshioka, T.; Sternberg, B.; Florence, A.T. Preparation and properties of vesicles (niosomes) of sorbitan monoesters (Span 20, 40, 60 and 80) and a sorbitan triester (Span 85). Int. J. Pharm. 1994, 105, 1–6. [Google Scholar] [CrossRef]
- Abdelbary, G.A.; Aburahma, M.H. Oro-dental mucoadhesive proniosomal gel formulation loaded with lornoxicam for management of dental pain. J. Liposome Res. 2015, 25, 107–121. [Google Scholar] [CrossRef]
- Housaindokht, M.R.; Pour, A.N. Study the effect of HLB of surfactant on particle size distribution of hematite nanoparticles prepared via the reverse microemulsion. Solid State Sci. 2012, 14, 622–625. [Google Scholar] [CrossRef]
- Abdelbary, G. Ocular ciprofloxacin hydrochloride mucoadhesive chitosan-coated liposomes. Pharm. Dev. Technol. 2011, 16, 44–56. [Google Scholar] [CrossRef] [PubMed]
- Dai, Y.; Zhou, R.; Liu, L.; Lu, Y.; Qi, J.; Wu, W. Liposomes containing bile salts as novel ocular delivery systems for tacrolimus (FK506): In vitro characterization and improved corneal permeation. Int. J. Nanomed. 2013, 8, 1921. [Google Scholar]
- Opatha, S.A.T.; Titapiwatanakun, V.; Chutoprapat, R. Transfersomes: A promising nanoencapsulation technique for transdermal drug delivery. Pharmaceutics 2020, 12, 855. [Google Scholar] [CrossRef] [PubMed]
- Aziz, D.E.; Abdelbary, A.A.; Elassasy, A.I. Investigating superiority of novel bilosomes over niosomes in the transdermal delivery of diacerein: In vitro characterization, ex vivo permeation and in vivo skin deposition study. J. Liposome Res. 2019, 29, 73–85. [Google Scholar] [CrossRef] [PubMed]
- Abraham Lingan, M. Formulation and Evaluation of Topical Drug Delivery System Containing Clobetasol Propionate Niosomes. Ph.D. Dissertation, Madurai Medical College, Madurai, India, 2008. [Google Scholar]
- Abdellatif, M.M.; Khalil, I.A.; Khalil, M.A. Sertaconazole nitrate loaded nanovesicular systems for targeting skin fungal infection: In-vitro, ex-vivo and in-vivo evaluation. Int. J. Pharm. 2017, 527, 1–11. [Google Scholar] [CrossRef]
- Ali, M.F.M.; Salem, H.F.; Abdelmohsen, H.F.; Attia, S.K. Preparation and clinical evaluation of nano-transferosomes for treatment of erectile dysfunction. Drug Des. Dev. Ther. 2015, 9, 2431. [Google Scholar]
- Abbas, H.; El-Feky, Y.A.; Al-Sawahli, M.M.; El-Deeb, N.M.; El-Nassan, H.B.; Zewail, M. Development and optimization of curcumin analog nano-bilosomes using 21.31 full factorial design for anti-tumor profiles improvement in human hepatocellular carcinoma: In-vitro evaluation, in-vivo safety assay. Drug Deliv. 2022, 29, 714–727. [Google Scholar] [CrossRef]
- Fahmy, A.M.; El-Setouhy, D.A.; Habib, B.A.; Tayel, S.A. Enhancement of transdermal delivery of haloperidol via spanlastic dispersions: Entrapment efficiency vs. particle size. AAPS PharmSciTech 2019, 20, 95. [Google Scholar] [CrossRef]
- Walve, J.R.; Bakliwal, S.R.; Rane, B.R.; Pawar, S.P. Transfersomes: A surrogated carrier for transdermal drug delivery system. Int. J. Appl. Biol. Pharm. Technol. 2011, 2, 204–213. [Google Scholar]
- Som, I.; Bhatia, K.; Yasir, M. Status of surfactants as penetration enhancers in transdermal drug delivery. J. Pharm. Bioallied Sci. 2012, 4, 2. [Google Scholar] [PubMed]
- Ananthapadmanabhan, K.P.; Yu, K.K.; Meyers, C.L.; Aronson, M.P. Binding of surfactants to stratum corneum. J. Soc. Cosmet. Chem. 1996, 47, 185–200. [Google Scholar]
- El Menshawe, S.F.; Nafady, M.M.; Aboud, H.M.; Kharshoum, R.M.; Elkelawy, A.M.M.H.; Hamad, D.S. Transdermal delivery of fluvastatin sodium via tailored spanlastic nanovesicles: Mitigated Freund’s adjuvant-induced rheumatoid arthritis in rats through suppressing p38 MAPK signaling pathway. Drug Deliv. 2019, 26, 1140–1154. [Google Scholar] [CrossRef]
- Al-Mahallawi, A.M.; Khowessah, O.M.; Shoukri, R.A. Nano-transfersomal ciprofloxacin loaded vesicles for non-invasive trans-tympanic ototopical delivery: In-vitro optimization, ex-vivo permeation studies, and in-vivo assessment. Int. J. Pharm. 2014, 472, 304–314. [Google Scholar] [CrossRef] [PubMed]
- Abbas, H.; Refai, H.; El Sayed, N.; Rashed, L.A.; Mousa, M.R.; Zewail, M. Superparamagnetic iron oxide loaded chitosan coated bilosomes for magnetic nose to brain targeting of resveratrol. Int. J. Pharm. 2021, 610, 121244. [Google Scholar] [CrossRef]
- Chen, Y.; Lu, Y.; Chen, J.; Lai, J.; Sun, J.; Hu, F.; Wu, W. Enhanced bioavailability of the poorly water-soluble drug fenofibrate by using liposomes containing a bile salt. Int. J. Pharm. 2009, 376, 153–160. [Google Scholar] [CrossRef]
- Rathore, C.; Upadhyay, N.K.; Sharma, A.; Lal, U.R.; Raza, K.; Negi, P. Phospholipid nanoformulation of thymoquinone with enhanced bioavailability: Development, characterization and anti-inflammatory activity. J. Drug Deliv. Sci. Technol. 2019, 52, 316–324. [Google Scholar] [CrossRef]
- Sokolov, S.V.; Tschulik, K.; Batchelor-McAuley, C.; Jurkschat, K.; Compton, R.G. Reversible or not? Distinguishing agglomeration and aggregation at the nanoscale. Anal. Chem. 2015, 87, 10033–10039. [Google Scholar] [CrossRef]
- Ahmed, Y.M.; Orfali, R.; Hamad, D.S.; Rateb, M.E.; Farouk, H.O. Sustainable Release of Propranolol Hydrochloride Laden with Biconjugated-Ufasomes Chitosan Hydrogel Attenuates Cisplatin-Induced Sciatic Nerve Damage in In Vitro/In Vivo Evaluation. Pharmaceutics 2022, 14, 1536. [Google Scholar] [CrossRef]
- Zameer, S.; Ali, J.; Vohora, D.; Najmi, A.K.; Akhtar, M. Development, optimisation and evaluation of chitosan nanoparticles of alendronate against Alzheimer’s disease in intracerebroventricular streptozotocin model for brain delivery. J. Drug Target. 2021, 29, 199–216. [Google Scholar] [CrossRef]
- Chaudhary, H.; Rohilla, A.; Rathee, P.; Kumar, V. Optimization and formulation design of carbopol loaded Piroxicam gel using novel penetration enhancers. Int. J. Biol. Macromol. 2013, 55, 246–253. [Google Scholar] [CrossRef] [PubMed]
- Vlachou, M.; Hani, N.; Efentakis, M.; Tarantili, P.A.; Andreopoulos, A.G. Polymers for use in controlled release systems: The effect of surfactants on their swelling properties. J. Biomater. Appl. 2000, 15, 65–77. [Google Scholar] [CrossRef] [PubMed]
- Majithiya, R.J.; Ghosh, P.K.; Umrethia, M.L.; Murthy, R.S. Thermoreversible-mucoadhesive gel for nasal delivery of sumatriptan. AAPS PharmSciTech 2006, 7, E80–E86. [Google Scholar] [CrossRef]
- Zheng, P.; Zeng, B.; Zhou, C.; Liu, M.; Fang, Z.; Xu, X.; Zeng, L.; Chen, J.; Fan, S.; Du, X.; et al. Gut microbiome remodeling induces depressive-like behaviors through a pathway mediated by the host’s metabolism. Mol. Psychiatry 2016, 21, 786–796. [Google Scholar] [CrossRef] [PubMed]
- Singh, R.M.; Kumar, A.; Pathak, K. Thermally triggered mucoadhesive in situ gel of loratadine: β-cyclodextrin complex for nasal delivery. AAPS PharmSciTech 2013, 14, 412–424. [Google Scholar] [CrossRef]
- Gregory, N.S.; Harris, A.L.; Robinson, C.R.; Dougherty, P.M.; Fuchs, P.N.; Sluka, K.A. An overview of animal models of pain: Disease models and outcome measures. J. Pain 2013, 14, 1255–1269. [Google Scholar] [CrossRef]
- Tandoh, A.; Danquah, C.A.; Benneh, C.K.; Adongo, D.W.; Boakye-Gyasi, E.; Woode, E. Effect of Diclofenac and Andrographolide Combination on Carrageenan-Induced Paw Edema and Hyperalgesia in Rats. Dose-Response 2022, 20, 15593258221103846. [Google Scholar] [CrossRef]
- Ercan, N.; Uludag, M.O.; Agis, E.R.; Demirel-Yilmaz, E. The anti-inflammatory effect of diclofenac is considerably augmented by topical capsaicinoids-containing patch in carrageenan-induced paw oedema of rat. Inflammopharmacology 2013, 21, 413–419. [Google Scholar] [CrossRef]
- Md, S.; Alhakamy, N.A.; Aldawsari, H.M.; Kotta, S.; Ahmad, J.; Akhter, S.; Shoaib Alam, M.; Khan, M.A.; Awan, Z.; Sivakumar, P.M. Improved analgesic and anti-inflammatory effect of diclofenac sodium by topical nanoemulgel: Formulation development—In vitro and in vivo studies. J. Chem. 2020, 2020, 4071818. [Google Scholar] [CrossRef]
- Anita, C.; Munira, M.; Mural, Q.; Shaily, L. Topical nanocarriers for management of rheumatoid arthritis: A review. Biomed. Pharmacother. 2021, 141, 111880. [Google Scholar] [CrossRef]
- Chien, G.C.; Mathur, S.; Harvey, R.; Harden, R. Topical diclofenac in the treatment of post-incisional neuropathic pain: Case report. J. Pain 2013, 14, S86. [Google Scholar] [CrossRef]
- Sakat, S.S.; Mani, K.; Demidchenko, Y.O.; Gorbunov, E.A.; Tarasov, S.A.; Mathur, A.; Epstein, O.I. Retracted article: Release-Active Dilutions of Diclofenac Enhance Anti-inflammatory Effect of Diclofenac in Carrageenan-Induced Rat Paw Edema Model. Inflammation 2014, 37, 1–9. [Google Scholar] [CrossRef] [PubMed]
- Gunaydin, C.; Bilge, S.S. Effects of nonsteroidal anti-inflammatory drugs at the molecular level. Eurasian J. Med. 2018, 50, 116. [Google Scholar] [CrossRef]
- Yilmaz, Ç.; Köksoy, S.; Çeker, T.; Aslan, M. Diclofenac down-regulates COX-2 induced expression of CD44 and ICAM-1 in human HT29 colorectal cancer cells. Naunyn-Schmiedeberg’s Arch. Pharmacol. 2021, 394, 2259–2272. [Google Scholar] [CrossRef]
- Bago, Á.; Íñiguez, M.A.; Serrador, J.M. Nitric oxide and electrophilic cyclopentenone prostaglandins in redox signaling, regulation of cytoskeleton dynamics and intercellular communication. Front. Cell Dev. Biol. 2021, 9, 673973. [Google Scholar] [CrossRef] [PubMed]
- Brenner, D.R.; Scherer, D.; Muir, K.; Schildkraut, J.; Boffetta, P.; Spitz, M.R.; Le Marchand, L.; Chan, A.T.; Goode, E.L.; Ulrich, C.M.; et al. A review of the application of inflammatory biomarkers in epidemiologic cancer research. Cancer Epidemiol. Prev. Biomark. 2014, 23, 1729–1751. [Google Scholar] [CrossRef] [PubMed]
- Saleem, M.; Iftikhar, A.; Asif, M.; Hussain, K.; Shah, P.A.; Saleem, A.; Akhtar, M.F.; Tanzeem, M.; Yaseen, H.S. Asphodelus tenuifolius extracts arrested inflammation and arthritis through modulation of TNF-α, NF-κB, ILs, and COX-2 activities in in vivo models. Inflammopharmacology 2021, 29, 483–497. [Google Scholar] [CrossRef]
- Yonezawa, Y.; Kihara, T.; Ibi, K.; Senshu, M.; Nejishima, H.; Takeda, Y.; Imai, K.; Ogawa, H. Olive-derived hydroxytyrosol shows anti-inflammatory effect without gastric damage in rats. Biol. Pharm. Bull. 2019, 42, 1120–1127. [Google Scholar] [CrossRef]
- Srivastava, A.; Dixit, A.B.; Paul, D.; Tripathi, M.; Sarkar, C.; Chandra, P.S.; Banerjee, J. Comparative analysis of cytokine/chemokine regulatory networks in patients with hippocampal sclerosis (HS) and focal cortical dysplasia (FCD). Sci. Rep. 2017, 7, 15904. [Google Scholar] [CrossRef]
- Ali, A.G.; Gorial, F.; Mahmood, A. The anti-rheumatoid activity of niclosamide in collagen-induced arthritis in rats. Arch. Rheumatol. 2019, 34, 426. [Google Scholar]
- Gonçalves, R.M.; Pereira, A.C.L.; Pereira, I.O.; Oliveira, M.J.; Barbosa, M.A. Macrophage response to chitosan/poly-(γ-glutamic acid) nanoparticles carrying an anti-inflammatory drug. J. Mater. Sci. Mater. Med. 2015, 26, 167. [Google Scholar] [CrossRef] [PubMed]
- Son, D.H.; Yang, D.J.; Sun, J.S.; Kim, S.K.; Kang, N.; Kang, J.Y.; Choi, Y.H.; Lee, J.H.; Moh, S.H.; Shin, D.M.; et al. A novel peptide, nicotinyl–isoleucine–valine–histidine (Na–IVH), promotes antioxidant gene expression and wound healing in HaCaT cells. Mar. Drugs 2018, 16, 262. [Google Scholar] [CrossRef] [PubMed]
- Rahman, M.S.; Alam, M.B.; Kim, Y.K.; Madina, M.H.; Fliss, I.; Lee, S.H.; Yoo, J.C. Activation of Nrf2/HO-1 by Peptide YD1 Attenuates Inflammatory Symptoms through Suppression of TLR4/MYyD88/NF-κB Signaling Cascade. Int. J. Mol. Sci. 2021, 22, 5161. [Google Scholar] [CrossRef]
- Li, D.; Ding, Z.; Du, K.; Ye, X.; Cheng, S. Reactive oxygen species as a link between antioxidant pathways and autophagy. Oxidative Med. Cell. Longev. 2021, 2021, 5583215. [Google Scholar] [CrossRef] [PubMed]
- Chen, Z.; Zuo, Z.; Chen, K.; Yang, Z.; Wang, F.; Fang, J.; Cui, H.; Guo, H.; Ouyang, P.; Chen, Z.; et al. Activated Nrf-2 pathway by vitamin E to attenuate testicular injuries of rats with sub-chronic cadmium exposure. Biol. Trace Elem. Res. 2022, 200, 1722–1735. [Google Scholar] [CrossRef]
- Singh, R.D.; Barry, M.A.; Croatt, A.J.; Ackerman, A.W.; Grande, J.P.; Diaz, R.M.; Vile, R.G.; Agarwal, A.; Nath, K.A. The spike protein of SARS-CoV-2 induces heme oxygenase-1: Pathophysiologic implications. Biochim. Biophys. Acta (BBA) Mol. Basis Dis. 2022, 1868, 166322. [Google Scholar] [CrossRef]
- D’Amico, R.; Cordaro, M.; Fusco, R.; Peritore, A.F.; Genovese, T.; Gugliandolo, E.; Crupi, R.; Mandalari, G.; Caccamo, D.; Cuzzocrea, S.; et al. Consumption of Cashew (Anacardium occidentale L.) Nuts Counteracts Oxidative Stress and Tissue Inflammation in Mild Hyperhomocysteinemia in Rats. Nutrients 2022, 14, 1474. [Google Scholar] [CrossRef]
- Yeligar, S.M.; Machida, K.; Kalra, V.K. Ethanol-induced HO-1 and NQO1 are differentially regulated by HIF-1α and Nrf2 to attenuate inflammatory cytokine expression. J. Biol. Chem. 2010, 285, 35359–35373. [Google Scholar] [CrossRef]
- Manchope, M.F.; Calixto-Campos, C.; Coelho-Silva, L.; Zarpelon, A.C.; Pinho-Ribeiro, F.A.; Georgetti, S.R.; Baracat, M.M.; Casagrande, R.; Verri, W.A., Jr. Naringenin inhibits superoxide anion-induced inflammatory pain: Role of oxidative stress, cytokines, Nrf-2 and the NO−cGMP−PKG−KATPChannel signaling pathway. PLoS ONE 2016, 11, e0153015. [Google Scholar]
- Burayk, S.; Oh-Hashi, K.; Kandeel, M. Drug Discovery of New Anti-Inflammatory Compounds by Targeting Cyclooxygenases. Pharmaceuticals 2022, 15, 282. [Google Scholar] [CrossRef]
- Triastuti, A.; Pradana, D.A.; Saputra, D.E.; Lianika, N.; Wicaksono, H.R.; Anisari, T.D.; Widyarini, S. Anti-rheumatoid activity of a hexane-insoluble fraction from Plantago major in female Wistar rats induced by Complete Freund’s Adjuvant. J. Tradit. Complementary Med. 2022, 12, 219–224. [Google Scholar] [CrossRef] [PubMed]
- Shewaiter, M.A.; Hammady, T.M.; El-Gindy, A.; Hammadi, S.H.; Gad, S. Formulation and characterization of leflunomide/diclofenac sodium microemulsion base-gel for the transdermal treatment of inflammatory joint diseases. J. Drug Deliv. Sci. Technol. 2021, 61, 102110. [Google Scholar] [CrossRef]
- Chang, M.C.; Chiang, P.F.; Kuo, Y.J.; Peng, C.L.; Chen, K.Y.; Chiang, Y.C. Hyaluronan-Loaded Liposomal Dexamethasone–Diclofenac Nanoparticles for Local Osteoarthritis Treatment. Int. J. Mol. Sci. 2021, 22, 665. [Google Scholar] [CrossRef]
- El-Badry, M.; Fetih, G.; Fathalla, D.; Shakeel, F. Transdermal delivery of meloxicam using niosomal hydrogels: In vitro and pharmacodynamic evaluation. Pharm. Dev. Technol. 2015, 20, 820–826. [Google Scholar] [CrossRef] [PubMed]
- Salem, H.F.; Nafady, M.M.; Ewees, M.G.E.D.; Hassan, H.; Khallaf, R.A. Rosuvastatin calcium-based novel nanocubic vesicles capped with silver nanoparticles-loaded hydrogel for wound healing management: Optimization employing Box–Behnken design: In vitro and in vivo assessment. J. Liposome Res. 2022, 32, 45–61. [Google Scholar] [CrossRef]
- Mahmood, S.; Taher, M.; Mandal, U.K. Experimental design and optimization of raloxifene hydrochloride loaded nanotransfersomes for transdermal application. Int. J. Nanomed. 2014, 9, 4331. [Google Scholar]
- Aboud, H.M.; Hassan, A.H.; Ali, A.A.; Abdel-Razik, A.R.H. Novel in situ gelling vaginal sponges of sildenafil citrate-based cubosomes for uterine targeting. Drug Deliv. 2018, 25, 1328–1339. [Google Scholar] [CrossRef]
- Thapa, C.; Ahad, A.; Aqil, M.; Imam, S.S.; Sultana, Y. Formulation and optimization of nanostructured lipid carriers to enhance oral bioavailability of telmisartan using Box–Behnken design. J. Drug Deliv. Sci. Technol. 2018, 44, 431–439. [Google Scholar] [CrossRef]
- Salem, H.F.; Nafady, M.M.; Kharshoum, R.M.; Abd el-Ghafar, O.A.; Farouk, H.O. Mitigation of rheumatic arthritis in a rat model via transdermal delivery of dapoxetine HCl amalgamated as a nanoplatform: In vitro and in vivo assessment. Int. J. Nanomed. 2020, 15, 1517. [Google Scholar] [CrossRef]
- Alam, S.; Aslam, M.; Khan, A.; Imam, S.S.; Aqil, M.; Sultana, Y.; Ali, A. Nanostructured lipid carriers of pioglitazone for transdermal application: From experimental design to bioactivity detail. Drug Deliv. 2016, 23, 601–609. [Google Scholar] [CrossRef]
- Fouad, S.A.; Shamma, R.N.; Basalious, E.B.; El-Nabarawi, M.A.; Tayel, S.A. Novel instantly-soluble transmucosal matrix (ISTM) using dual mechanism solubilizer for sublingual and nasal delivery of dapoxetine hydrochloride: In-vitro/in-vivo evaluation. Int. J. Pharm. 2016, 505, 212–222. [Google Scholar] [CrossRef] [PubMed]
- Eid, H.M.; Naguib, I.A.; Alsantali, R.I.; Alsalahat, I.; Hegazy, A.M. Novel Chitosan-Coated Niosomal Formulation for Improved Management of Bacterial Conjunctivitis: A Highly Permeable and Efficient Ocular Nanocarrier for Azithromycin. J. Pharm. Sci. 2021, 110, 3027–3036. [Google Scholar] [CrossRef] [PubMed]
- Ahmed, A.A.K.; Naik, H.B.; Sherigara, B.S. Synthesis and characterization of chitosan-based pH-sensitive semi-interpenetrating network microspheres for controlled release of diclofenac sodium. Carbohydr. Res. 2009, 344, 699–706. [Google Scholar] [CrossRef] [PubMed]
- Aboud, H.M.; Hussein, A.K.; Zayan, A.Z.; Makram, T.S.; Sarhan, M.O.; El-Sharawy, D.M. Tailoring of Selenium-Plated Novasomes for Fine-Tuning Pharmacokinetic and Tumor Uptake of Quercetin: In Vitro Optimization and In Vivo Radiobiodistribution Assessment in Ehrlich Tumor-Bearing Mice. Pharmaceutics 2022, 14, 875. [Google Scholar] [CrossRef] [PubMed]
- Elkomy, M.H.; El Menshawe, S.F.; Eid, H.M.; Ali, A.M. Development of a nanogel formulation for transdermal delivery of tenoxicam: A pharmacokinetic–pharmacodynamic modeling approach for quantitative prediction of skin absorption. Drug Dev. Ind. Pharm. 2017, 43, 531–544. [Google Scholar] [CrossRef]
- Higuchi, T. Theoretical analysis of rate of release of solid drugs dispersed in solid matrices. J. Pharm. Sci. 1963, 52, 1145–1149. [Google Scholar] [CrossRef]
- Aboud, H.M.; Ali, A.A.; El Menshawe, S.F.; Abd Elbary, A. Development, optimization, and evaluation of carvedilol-loaded solid lipid nanoparticles for intranasal drug delivery. AAPS PharmSciTech 2016, 17, 1353–1365. [Google Scholar] [CrossRef]
- Bancroft, J.D.; Gamble, M. Theory and Practice of Histological Techniques; Elsevier Health Sciences: Amsterdam, The Netherlands, 2008. [Google Scholar]
- Chaudhari, S.P.; Baviskar, D.T. Anti-inflammatory activity of Xanthium indicum on carrageenan-induced paw edema in rats. Adv. Tradit. Med. 2021, 21, 835–840. [Google Scholar] [CrossRef]
- Ivanova, E.A.; Matyushkin, A.I.; Vasilchuk, A.G.; Voronina, T.A. Ability of mexidol to enhance antiexudative effect of diclofenac sodium and etoricoxib in rats and mice with carrageenan-induced edema. Mosc. Univ. Biol. Sci. Bull. 2021, 76, 46–51. [Google Scholar] [CrossRef]
- Newbould, B.B. Chemotherapy of arthritis induced in rats by mycobacterial adjuvant. Br. J. Pharmacol. Chemother. 1963, 21, 127–136. [Google Scholar] [CrossRef]
- Xiong, J.; Wang, K.; Yuan, C.; Xing, R.; Ni, J.; Hu, G.; Chen, F.; Wang, X. Luteolin protects mice from severe acute pancreatitis by exerting HO-1-mediated anti-inflammatory and antioxidant effects. Int. J. Mol. Med. 2017, 39, 113–125. [Google Scholar] [CrossRef]
- Sireesh, D.; Dhamodharan, U.; Ezhilarasi, K.; Vijay, V.; Ramkumar, K.M. Association of NF-E2 related factor 2 (Nrf2) and inflammatory cytokines in recent onset type 2 diabetes mellitus. Sci. Rep. 2018, 8, 5126. [Google Scholar] [CrossRef] [PubMed]
- Liao, J.C.; Tsai, J.C.; Peng, W.H.; Chiu, Y.J.; Sung, P.J.; Tsuzoki, M.; Kuo, Y.H. Anti-inflammatory activity of N-(3-florophenyl) ethylcaffeamide in mice. Int. J. Mol. Sci. 2013, 14, 15199–15211. [Google Scholar] [CrossRef] [PubMed]
- Saleem, A.; Saleem, M.; Akhtar, M.F.; Shahzad, M.; Jahan, S. Polystichum braunii extracts inhibit Complete Freund’s adjuvant-induced arthritis via upregulation of I-κB, IL-4, and IL-10, downregulation of COX-2, PGE2, IL-1β, IL-6, NF-κB, and TNF-α, and subsiding oxidative stress. Inflammopharmacology 2020, 28, 1633–1648. [Google Scholar] [CrossRef] [PubMed]












| Source | EE% | VS | ZP | Q21 | ||||
|---|---|---|---|---|---|---|---|---|
| F | p Value | F | p Value | F | p Value | F | p Value | |
| Model | 19.93 | 0.0006 | 22.17 | 0.0004 | 10.12 | 0.0049 | 12.25 | 0.0028 |
| X1 = A = Span type | 67.28 | <0.0001 | 85.93 | <0.0001 | 0.4340 | 0.5311 | 0.4599 | 0.5195 |
| X2 = B = Bile salt type | 6.16 | 0.0287 | 1.08 | 0.3892 | 4.49 | 0.0557 | 23.25 | 0.0008 |
| X3 = C = Bile salt amount | 0.12 | 0.7399 | 0.59 | 0.4670 | 31.09 | 0.0008 | 2.03 | 0.1973 |
| Adjusted R2 | 0.8731 | 0.8850 | 0.7684 | 0.8038 | ||||
| R2 | 0.9193 | 0.9268 | 0.8526 | 0.8750 | ||||
| %CV | 4.49 | 18.97 | 20.10 | 10.94 | ||||
| Predicted R2 | 0.7622 | 0.7850 | 0.5669 | 0.6326 | ||||
| Adequate precision | 11.3421 | 10.59 | 8.8439 | 9.3077 | ||||
| SD | 3.59 | 83.78 | 11.13 | 103.48 | ||||
| C | ||||||||
| Formulation | Dependent Variables | |||||||
|---|---|---|---|---|---|---|---|---|
| A: Span Type | B: Bile Salt Type | C: Bile Salt Amount (mg) | Y1: EE% | Y2: Vesicle Size (nm) | Y3: ZP (mV) | Y4: Q21 (µg/cm2) | PDI | |
| S1 | S40 | SDC | 8 | 75.30 ± 7.76 | 688.9 ± 9.24 | −61.5 ± 10.32 | 999.6 ± 26.02 | 0.47 |
| S2 | S40 | SC | 8 | 69.1 ± 10.66 | 520.6 ± 8.91 | −26.90 ± 4.20 | 749.8 ± 23.35 | 0.37 |
| S3 | S60 | SDC | 8 | 87.6 ± 11.23 | 280.2 ± 0.78 | −59.00 ± 9.45 | 1268.1 ± 38.25 | 0.35 |
| S4 | S40 | SGC | 18 | 72.9 ± 8.96 | 620.6 ± 5.67 | −82.1 ± 12.63 | 972.6 ± 33.87 | 0.40 |
| S5 | S60 | SC | 18 | 81.4 ± 0.56 | 166.7 ± 2.56 | −56.80 ± 7.14 | 765.3 ± 32.60 | 0.32 |
| S6 | S60 | SGC | 18 | 90.6 ± 6.44 | 226.6 ± 7.81 | −81.7 ± 11.23 | 867.2 ± 32.77 | 0.36 |
| S7 | S60 | SC | 8 | 88.2 ± 9.52 | 120.4 ± 0.65 | −24.60 ± 3.47 | 582.9 ± 32.14 | 0.31 |
| S8 | S40 | SGC | 8 | 71.9 ± 5.31 | 630.2 ± 3.56 | −28.90 ± 4.65 | 856.4 ± 35.33 | 0.43 |
| S9 | S60 | SGC | 8 | 90.6 ± 1.45 | 298.2 ± 4.67 | −23.80 ± 2.65 | 963.5 ± 37.52 | 0.38 |
| S10 | S40 | SC | 18 | 61.7 ± 3.44 | 780.4 ± 0.99 | −68.70 ± 8.65 | 755.6 ± 30.21 | 0.62 |
| S11 | S40 | SDC | 18 | 78.6 ± 2.37 | 754.5 ± 6.22 | −76.80 ± 6.89 | 1220.1 ± 43.89 | 0.49 |
| S12 | S60 | SDC | 18 | 93.2 ± 2.21 | 212.9 ± 0.56 | −73.6 ± 13.24 | 1350.2 ± 45.41 | 0.33 |
| Optimized formulation | S60 | SDC | 18 | |||||
| Formulation | Lag Time (h) | Jss (µg/cm2 h) | Kp (cm/h) | EI |
|---|---|---|---|---|
| S1 | 4.51 ± 0.068 | 58.87 ± 0.67 | 0.0196 ± 0.005 | 2.74 ± 0.467 |
| S2 | 5.37 ± 0.332 | 48.11 ± 1.22 | 0.0160 ± 0.001 | 2.06 ± 0.662 |
| S3 | 4.97 ± 0.121 | 71.64 ± 0.45 | 0.0238 ± 0.007 | 3.48 ± 0.661 |
| S4 | 6.17 ± 0.235 | 63.51 ± 0.36 | 0.0652 ± 0.007 | 2.67 ± 0.056 |
| S5 | 5.15 ± 0.213 | 49.00 ± 0.56 | 0.0163 ± 0.005 | 2.10 ± 0.324 |
| S6 | 3.63 ± 0.346 | 50.69 ± 0.89 | 0.0168 ± 0.001 | 2.38 ± 0.789 |
| S7 | 2.42 ± 0.091 | 31.97 ± 0.98 | 0.0106 ± 0.004 | 1.60 ± 0.567 |
| S8 | 4.01 ± 0.042 | 50.39 ± 0.66 | 0.0167 ± 0.008 | 2.35 ± 0.789 |
| S9 | 6.52 ± 0.245 | 65.53 ± 0.78 | 0.0218 ± 0.009 | 2.64 ± 1.45 |
| S10 | 1.52 ± 0.056 | 41.53 ± 1.64 | 0.0138 ± 0.005 | 2.07 ± 2.67 |
| S11 | 2.71 ± 0.049 | 65.33 ± 0.452 | 0.0217 ± 0.003 | 3.35 ± 0.185 |
| S12 | 6.23 ± 0.032 | 87.24 ± 0. 356 | 0.0290 ± 0.006 | 3.70 ± 0.861 |
| Drug solution | 6.17 ± 0.345 | 23.44 ± 0.743 | 0.0078 ± 0.003 | - |
| Response Variables | Experimental Value | Expected Value | Prediction Error (%) * |
|---|---|---|---|
| EE% | 95.41%, | 91.82% | 3.76 |
| VS | 275.33 nm | 278.542 nm | 1.17 |
| ZP | −86.32 mV | −83.53 mV | 3.23 |
| Q21 | 1273.85 µg/cm2 | 1241.92 µg/cm2 | 2.51 |
| Formulation | At 37 °C | Farrow’s Constant N | Flow Behavior | Area of Hysteresis Loop (Dyne/cm2.sec) | |
|---|---|---|---|---|---|
| Viscosity (Min) (cp) | Viscosity (Max) (cp) | ||||
| DNa hydrogel | 970 ± 83.2 | 3816 ± 152.7 | 2.48 ± 0.07 | Shear rate thinning with thixotropy | 1224.60 ± 102.56 |
| DNa-BSVC hydrogel | 1423 ± 113.4 | 4135 ± 172.2 | 1.85 ± 0.04 | Shear rate thinning with thixotropy | 1956.19 ± 134.85 |
| Response Variables | Normal Control (Inhibit. %) | P.C (CA 1%) (Inhibit. %) | DNa- Based Gel (Inhibit. %) | DNa-BSVC Gel (Inhibit. %) |
|---|---|---|---|---|
| Zero time | 0.99 ± 0.014 | 0.85 ± 0.150 | 0.85 ± 0.150 | 0.99 ± 0.014 |
| 1 h | 1.49 ± 0.008 (50.9%) (a,b,c) | 1.75 ± 0.016 (11.3%) (a,b) | 1.75 ± 0.016 (11.3%) (a,b) | 1.49 ± 0.008 (50.9%) (a,b,c) |
| 2 h | 1.40 ± 0.004 (59.6%) (a,b,c) | 1.69 ± 0.018 (15.3%) (a,b) | 1.69 ± 0.018 (15.3%) (a,b) | 1.40 ± 0.004 (59.6%) (a,b,c) |
| 3 h | 1.34 ± 0.008 (65.2%) (a,b,c) | 1.64 ± 0.010 (20.3%) (a,b) | 1.64 ± 0.010 (20.3%) (a,b) | 1.34 ± 0.008 (65.2%) (a,b,c) |
| 4 h | 1.31 ± 0.006 (67.9%) (a,b,c) | 1.61 ± 0.008 (22.7%) (a,b) | 1.61 ± 0.008 (22.7%) (a,b) | 1.31 ± 0.006 (67.9%) (a,b,c) |
| 5 h | 1.29 ± 0.005 (69.1%) (a,b,c) | 1.60 ± 0.007 (23.2%) (a,b) | 1.60 ± 0.007 (23.2%) (a,b) | 1.29 ± 0.005 (69.1%) (a,b,c) |
| Variable | Design Level | ||
|---|---|---|---|
| Low (−1) | Medium (0) | High (+1) | |
| Independent variables | |||
| A = Span type | Span 40 | Span 60 | |
| B = Bile salt type | SC | SDC | SGC |
| C = Bile salt amount (mg) | 8 | 18 | |
Publisher’s Note: MDPI stays neutral with regard to jurisdictional claims in published maps and institutional affiliations. |
© 2022 by the authors. Licensee MDPI, Basel, Switzerland. This article is an open access article distributed under the terms and conditions of the Creative Commons Attribution (CC BY) license (https://creativecommons.org/licenses/by/4.0/).
Share and Cite
Mahmoud, T.M.; Nafady, M.M.; Farouk, H.O.; Mahmoud, D.M.; Ahmed, Y.M.; Zaki, R.M.; Hamad, D.S. Novel Bile Salt Stabilized Vesicles-Mediated Effective Topical Delivery of Diclofenac Sodium: A New Therapeutic Approach for Pain and Inflammation. Pharmaceuticals 2022, 15, 1106. https://doi.org/10.3390/ph15091106
Mahmoud TM, Nafady MM, Farouk HO, Mahmoud DM, Ahmed YM, Zaki RM, Hamad DS. Novel Bile Salt Stabilized Vesicles-Mediated Effective Topical Delivery of Diclofenac Sodium: A New Therapeutic Approach for Pain and Inflammation. Pharmaceuticals. 2022; 15(9):1106. https://doi.org/10.3390/ph15091106
Chicago/Turabian StyleMahmoud, Tamer M., Mohamed M. Nafady, Hanan O. Farouk, Dina M. Mahmoud, Yasmin M. Ahmed, Randa Mohammed Zaki, and Doaa S. Hamad. 2022. "Novel Bile Salt Stabilized Vesicles-Mediated Effective Topical Delivery of Diclofenac Sodium: A New Therapeutic Approach for Pain and Inflammation" Pharmaceuticals 15, no. 9: 1106. https://doi.org/10.3390/ph15091106
APA StyleMahmoud, T. M., Nafady, M. M., Farouk, H. O., Mahmoud, D. M., Ahmed, Y. M., Zaki, R. M., & Hamad, D. S. (2022). Novel Bile Salt Stabilized Vesicles-Mediated Effective Topical Delivery of Diclofenac Sodium: A New Therapeutic Approach for Pain and Inflammation. Pharmaceuticals, 15(9), 1106. https://doi.org/10.3390/ph15091106

