Analgesics Induce Alterations in the Expression of SARS-CoV-2 Entry and Arachidonic-Acid-Metabolizing Genes in the Mouse Lungs
Abstract
1. Introduction
2. Results
2.1. Physical Observation
2.2. Histological Analysis
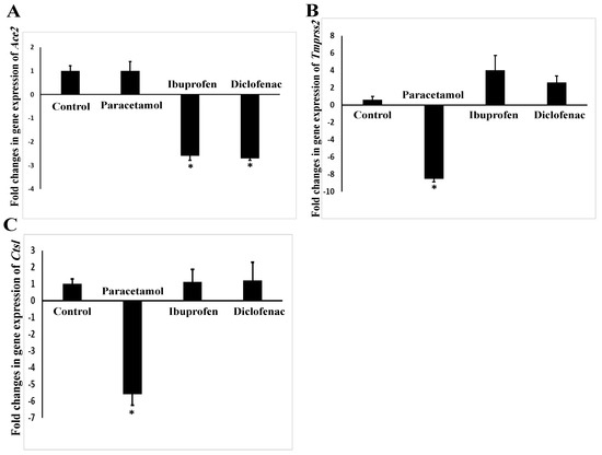
2.3. mRNA Levels of SARS-CoV-2 Entry Gene
2.4. mRNA Levels of Arachidonic-Acid-Metabolizing cox Gene
2.5. mRNA Levels of Arachidonic-Acid-Metabolizing alox Gene
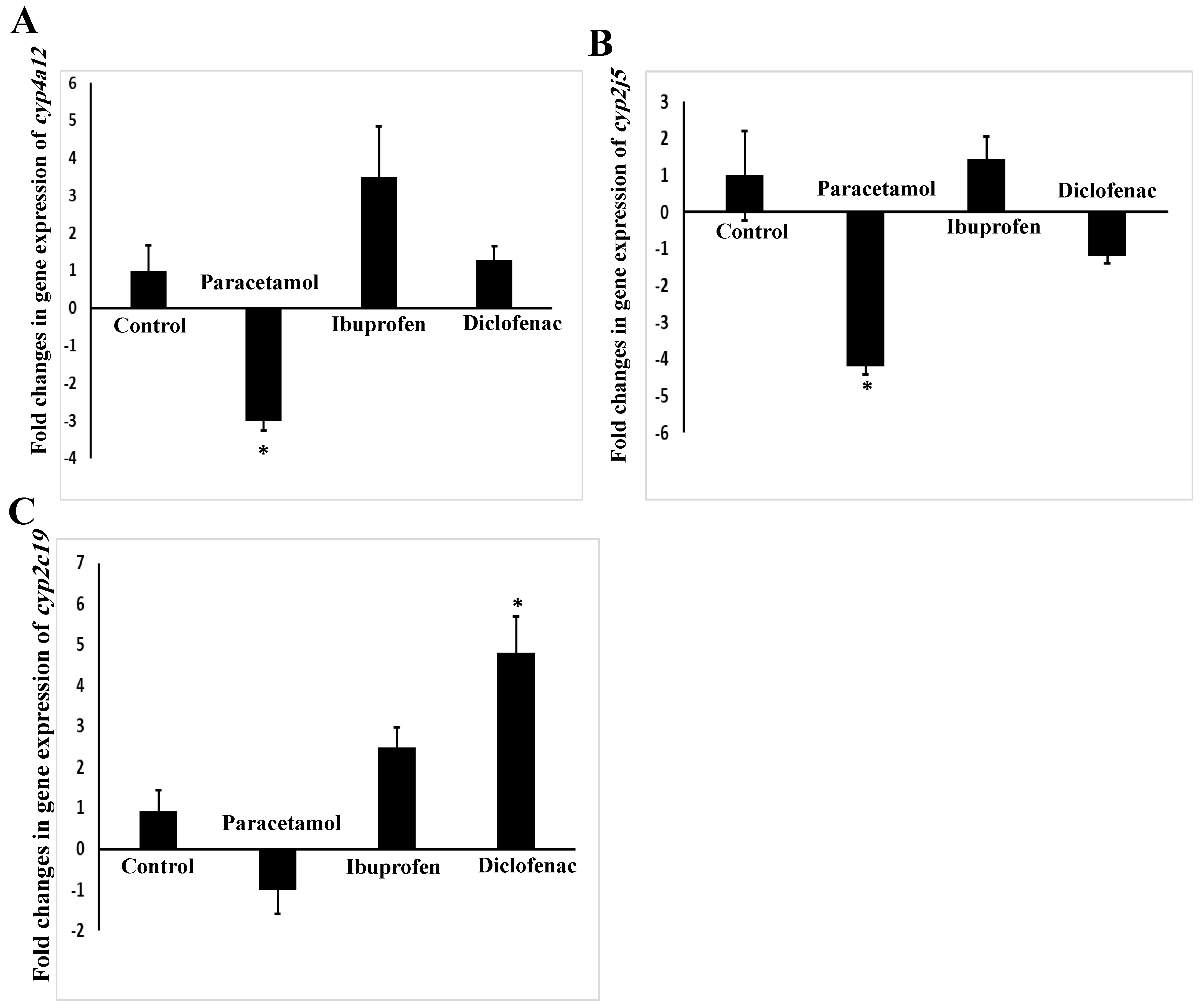
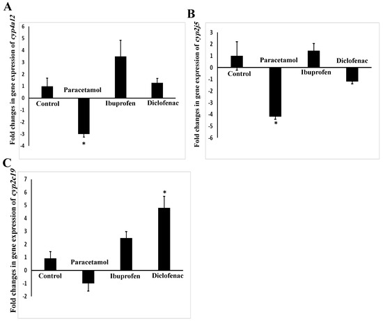
2.6. mRNA Levels of Arachidonic-Acid-Metabolizing cyp450 Gene
3. Discussion
4. Material and Methods
4.1. Chemicals
4.2. Experimental Animals
4.3. Experimental Protocol
- (1)
- Control group: the mice received a once-daily intraperitoneal dose of 50% polyethylene glycol 400, the vehicle used for the solubilization of analgesic drugs.
- (2)
- Paracetamol group: the mice were administered a once-daily intraperitoneal injection of 50 mg/kg paracetamol.
- (3)
- Ibuprofen group: the mice were administered a once-daily intraperitoneal injection of 19.68 mg/kg ibuprofen.
- (4)
- Diclofenac group: the mice were treated with a once-daily intraperitoneal injection of 10 mg/kg diclofenac.
4.4. Physical Observation
4.5. Histological Analysis
4.6. RNA Extraction and cDNA Synthesis
4.7. Gene Expression Analysis
4.8. Statistical Analysis
5. Conclusions
Author Contributions
Funding
Institutional Review Board Statement
Informed Consent Statement
Data Availability Statement
Acknowledgments
Conflicts of Interest
References
- Zhu, N.; Zhang, D.; Wang, W.; Li, X.; Yang, B.; Song, J.; Zhao, X.; Huang, B.; Shi, W.; Lu, R. A novel coronavirus from patients with pneumonia in China, 2019. N. Engl. J. Med. 2020, 382, 727–733. [Google Scholar] [CrossRef]
- Cui, J.; Li, F.; Shi, Z.-L. Origin and evolution of pathogenic coronaviruses. Nat. Rev. Microbiol. 2019, 17, 181–192. [Google Scholar] [CrossRef]
- Zhou, F.; Yu, T.; Du, R.; Fan, G.; Liu, Y.; Liu, Z.; Xiang, J.; Wang, Y.; Song, B.; Gu, X. Clinical course and risk factors for mortality of adult inpatients with COVID-19 in Wuhan, China: A retrospective cohort study. Lancet 2020, 395, 1054–1062. [Google Scholar] [CrossRef]
- Li, W.; Moore, M.J.; Vasilieva, N.; Sui, J.; Wong, S.K.; Berne, M.A.; Somasunsdaran, M.; Sullivan, J.L.; Luzuriaga, K.; Greenough, T.C. Angiotensin-converting enzyme 2 is a functional receptor for the SARS coronavirus. Nature 2003, 426, 450–454. [Google Scholar] [CrossRef]
- Glowacka, I.; Bertram, S.; Müller, M.A.; Allen, P.; Soilleux, E.; Pfefferle, S.; Steffen, I.; Tsegaye, T.S.; He, Y.; Gnirss, K. Evidence that TMPRSS2 activates the severe acute respiratory syndrome coronavirus spike protein for membrane fusion and reduces viral control by the humoral immune response. J. Virol. 2011, 85, 4122–4134. [Google Scholar] [CrossRef]
- Matsuyama, S.; Nao, N.; Shirato, K.; Kawase, M.; Saito, S.; Takayama, I.; Nagata, N.; Sekizuka, T.; Katoh, H.; Kato, F. Enhanced isolation of SARS-CoV-2 by TMPRSS2-expressing cells. Proc. Natl. Acad. Sci. USA 2020, 117, 7001–7003. [Google Scholar] [CrossRef] [PubMed]
- Hafeez, A.; Ahmad, S.; Siddqui, S.A.; Ahmad, M.; Mishra, S. A Review of COVID-19 (Coronavirus Disease-2019) Diagnosis, Treatments and Prevention. Eurasian J. Med. Oncol. 2019, 4, 116–125. [Google Scholar]
- Israfil, S.M.H.; Sarker, M.M.R.; Rashid, P.T.; Talukder, A.A.; Kawsar, K.A.; Khan, F.; Akhter, S.; Poh, C.L.; Mohamed, I.N.; Ming, L.C. Clinical Characteristics and Diagnostic Challenges of COVID-19: An Update From the Global Perspective. Front. Public Health 2020, 8, 567395. [Google Scholar] [CrossRef]
- Ng, S.L.; Ong, Y.S.; Khaw, K.Y.; Teh, S.P.; Tan, C.S.; Ming, L.C.; Chan, K.G.; Lee, L.H.; Goh, B.H. Focused Review: Potential Rare and Atypical Symptoms as Indicator for Targeted COVID-19 Screening. Medicina 2021, 57, 189. [Google Scholar] [CrossRef] [PubMed]
- Little, P. Non-steroidal anti-inflammatory drugs and COVID-19. BMJ 2020, 368, m1185. [Google Scholar] [CrossRef] [PubMed]
- Srivastava, P.; Vyas, V.K.; Variya, B.; Patel, P.; Qureshi, G.; Ghate, M. Synthesis, anti-inflammatory, analgesic, 5-lipoxygenase (5-LOX) inhibition activities, and molecular docking study of 7-substituted coumarin derivatives. Bioorg. Chem. 2016, 67, 130–138. [Google Scholar] [CrossRef] [PubMed]
- Jarrar, Y.B.; Jarrar, Q.; Abu-Shalhoob, M. Effects of nonsteroidal anti-inflammatory drugs on the expression of arachidonic acid-metabolizing Cyp450 genes in mouse hearts, kidneys and livers. Prostaglandins Other Lipid Mediat. 2019, 141, 14–21. [Google Scholar] [CrossRef] [PubMed]
- Day, M. COVID-19: Ibuprofen should not be used for managing symptoms, say doctors and scientists. BMJ 2020, 368, m1086. [Google Scholar] [CrossRef] [PubMed]
- Pergolizzi, J.V.; Varrassi, G.; Magnusson, P.; LeQuang, J.A.; Paladini, A.; Taylor, R.; Wollmuth, C.; Breve, F.; Christo, P. COVID-19 and NSAIDS: A Narrative Review of Knowns and Unknowns. Pain Ther. 2020, 9, 353–358. [Google Scholar] [CrossRef] [PubMed]
- Smart, L.; Fawkes, N.; Goggin, P.; Pennick, G.; Rainsford, K.; Charlesworth, B.; Shah, N. A narrative review of the potential pharmacological influence and safety of ibuprofen on coronavirus disease 19 (COVID-19), ACE2, and the immune system: A dichotomy of expectation and reality. Inflammopharmacology 2020, 28, 1141–1152. [Google Scholar] [CrossRef]
- da Silva Oliveira, G.L.; Machado, K.C.; Machado, K.C.; Feitosa, C.M.; de Castro Almeida, F.R. Non-clinical toxicity of β-caryophyllene, a dietary cannabinoid: Absence of adverse effects in female Swiss mice. Regul. Toxicol. Pharmacol. 2018, 92, 338–346. [Google Scholar] [CrossRef]
- Olaleye, O.A.; Kaur, M.; Onyenaka, C.C. Ambroxol Hydrochloride Inhibits the Interaction between Severe Acute Respiratory Syndrome Coronavirus 2 Spike Protein’s Receptor Binding Domain and Recombinant Human ACE2. bioRxiv 2020. [Google Scholar] [CrossRef]
- Saheb Sharif-Askari, N.; Saheb Sharif-Askari, F.; Alabed, M.; Tayoun, A.A.; Loney, T.; Uddin, M.; Senok, A.; Al Heialy, S.; Hamoudi, R.; Kashour, T. Effect of Common Medications on the Expression of SARS-CoV-2 Entry Receptors in Kidney Tissue. Clin. Transl. Sci. 2020, 13, 1048–1054. [Google Scholar] [CrossRef]
- Lauder, S.N.; Taylor, P.R.; Clark, S.R.; Evans, R.L.; Hindley, J.P.; Smart, K.; Leach, H.; Kidd, E.J.; Broadley, K.J.; Jones, S.A. Paracetamol reduces influenza-induced immunopathology in a mouse model of infection without compromising virus clearance or the generation of protective immunity. Thorax 2011, 66, 368–374. [Google Scholar] [CrossRef]
- Du, F.; Liu, B.; Zhang, S. COVID-19: The role of excessive cytokine release and potential ACE2 down-regulation in promoting hypercoagulable state associated with severe illness. J. Thromb. Thrombolysis 2020, 51, 313–329. [Google Scholar] [CrossRef]
- Lucarini, L.; Durante, M.; Sgambellone, S.; Lanzi, C.; Bigagli, E.; Akgul, O.; Masini, E.; Supuran, C.T.; Carta, F. Effects of New NSAID-CAI Hybrid Compounds in Inflammation and Lung Fibrosis. Biomolecules 2020, 10, 1307. [Google Scholar] [CrossRef] [PubMed]
- Graham, G.G.; Scott, K.F. Mechanisms of action of paracetamol and related analgesics. Inflammopharmacology 2003, 11, 401–413. [Google Scholar] [CrossRef] [PubMed]
- Thenarasu, V.; Gurunathan, D.; Selvarasu, K. Comparison of Efficacy of Diclofenac and Paracetamol as Preemptive Analgesic Agent. Biomed. Pharmacol. J. 2018, 11, 1699–1706. [Google Scholar] [CrossRef]
- Gazal, G.; Al-Samadani, K.H. Comparison of paracetamol, ibuprofen, and diclofenac potassium for pain relief following dental extractions and deep cavity preparations. Saudi Med. J. 2017, 38, 284. [Google Scholar] [CrossRef]
- Roumeliotis, A.K.; Roumeliotis, S.K.; Panagoutsos, S.A.; Tsetsos, F.; Georgitsi, M.; Manolopoulos, V.; Paschou, P.; Passadakis, P.S. Association of ALOX12 gene polymorphism with all-cause and cardiovascular mortality in diabetic nephropathy. Int. Urol. Nephrol. 2018, 50, 321–329. [Google Scholar] [CrossRef] [PubMed]
- Zheng, Z.; Li, Y.; Jin, G.; Huang, T.; Zou, M.; Duan, S. The biological role of arachidonic acid 12-lipoxygenase (ALOX12) in various human diseases. Biomed. Pharmacother. 2020, 129, 110354. [Google Scholar] [CrossRef] [PubMed]
- Sirois, P. Leukotrienes: One step in our understanding of asthma. Respir. Investig. 2019, 57, 97–110. [Google Scholar] [CrossRef] [PubMed]
- Lo, P.C.; Tsai, Y.T.; Lin, S.K.; Lai, J.N. Risk of asthma exacerbation associated with nonsteroidal anti-inflammatory drugs in childhood asthma: A nationwide population-based cohort study in Taiwan. Medicine 2016, 95, e5109. [Google Scholar] [CrossRef]
- Thomsen, S.F.; Kyvik, K.O.; Skadhauge, L.; Steffensen, I.; Backer, V. Intake of paracetamol and risk of asthma in adults. J. Asthma 2008, 45, 675–676. [Google Scholar] [CrossRef]
- Micallef, J.; Soeiro, T.; Annie-Pierre, J.B. Non-steroidal anti-inflammatory drugs, pharmacology, and COVID-19 infection. Therapies 2020, 75, 355–362. [Google Scholar] [CrossRef]
- Wang, J.; Lian, G.; Luo, L.; Wang, T.; Xu, C.; Wang, H.; Xie, L. Role of 20-hydroxyeicosatetraenoic acid in pulmonary hypertension and proliferation of pulmonary arterial smooth muscle cells. Pulm. Pharmacol. Ther. 2020, 64, 101948. [Google Scholar] [CrossRef]
- Chen, L.; Joseph, G.; Zhang, F.F.; Nguyen, H.; Jiang, H.; Gotlinger, K.H.; Falck, J.R.; Yang, J.; Schwartzman, M.L.; Guo, A.M. 20-HETE contributes to ischemia-induced angiogenesis. Vasc. Pharmacol. 2016, 83, 57–65. [Google Scholar] [CrossRef]
- Guo, Y.; Weller, P.; Farrell, E.; Cheung, P.; Fitch, B.; Clark, D.; Wu, S.-y.; Wang, J.; Liao, G.; Zhang, Z. In silico pharmacogenetics of warfarin metabolism. Nat. Biotechnol. 2006, 24, 531–536. [Google Scholar] [CrossRef]
- Jarrar, Y.; Al-Doaiss, A.; Alfaifi, M.; Shati, A.; Al-Kahtani, M.; Jarrar, B. The influence of five metallic nanoparticles on the expression of major drug-metabolizing enzyme genes with correlation of inflammation in mouse livers. Environ. Toxicol. Pharmacol. 2020, 80, 103449. [Google Scholar] [CrossRef]
- Canadian Council on Animal Care. CCAC Guidelines: Mice. 2019. Available online: https://ccac.ca/en/standards/guidelines/types-of-animals.html (accessed on 22 May 2022).
- Centers for Disease Control and Prevention. Interim Clinical Guidance for Management of Patients with Confirmed Coronavirus Disease (COVID-19); Centers for Disease Control and Prevention: Atlanta, GA, USA, 2020.
- Hou, F.; Li, S.; Wang, J.; Kang, X.; Weng, Y.; Xing, G. Identification and validation of reference genes for quantitative real-time PCR studies in long yellow daylily, Hemerocallis citrina Borani. PLoS ONE 2017, 12, e0174933. [Google Scholar] [CrossRef]
- Jarrar, Y.B.; Al-Essa, L.; Kilani, A.; Hasan, M.; Al-Qerem, W. Alterations in the gene expression of drug and arachidonic acid-metabolizing Cyp450 in the livers of controlled and uncontrolled insulin-dependent diabetic mice. Diabetes Metab. Syndr. Obes. Targets Ther. 2018, 11, 483. [Google Scholar] [CrossRef]
- Bickford, J.S.; Mueller, C.; Newsom, K.J.; Barilovits, S.J.; Beachy, D.E.; Herlihy, J.D.; Keeler, B.; Flotte, T.R.; Nick, H.S. Effect of allergy and inflammation on eicosanoid gene expression in CFTR deficiency. J. Cyst. Fibros. 2013, 12, 258–265. [Google Scholar] [CrossRef][Green Version]
- Veres-Székely, A.; Pap, D.; Sziksz, E.; Jávorszky, E.; Rokonay, R.; Lippai, R.; Tory, K.; Fekete, A.; Tulassay, T.; Szabó, A.J. Selective measurement of α smooth muscle actin: Why β-actin can not be used as a housekeeping gene when tissue fibrosis occurs. BMC Mol. Biol. 2017, 18, 12. [Google Scholar] [CrossRef]
- Yousefifard, M.; Zali, A.; Zarghi, A.; Madani Neishaboori, A.; Hosseini, M.; Safari, S. Non-steroidal anti-inflammatory drugs in management of COVID-19; a systematic review on current evidence. Int. J. Clin. Pract. 2020, 74, e13557. [Google Scholar] [CrossRef]







| Gene Name | Forward | Reverse | Size | Annealing Temp. (°C) | Reported in | 
|---|---|---|---|---|---|
| ACE2 | ATTCACCCAACACTTGAGCC | TGTCCATCGAGTCATAAGGGT | 213 | 55 | This study | 
| Cts l | AGGAAAATGGAGGTCTGGACT | GCAACAGAAATAGGCCCCAC | 205 | 58 | This study | 
| TMPRSS2 | CGTTCCCGTATACTCCAGGT | CGTTCCCGTATACTCCAGGT | 221 | 58 | This study | 
| cyp3a11 | ACAAACAAGCAGGGATGGAC | GGTAGAGGAGCACCAAGCTG | 250 | 53 | [38] | 
| cyp2c29 | AGGAGTTTCCCAACCCAGAG | TTCTTTTGGGTGGACCAGAG | 203 | 53 | [38] | 
| cyp2j5 | GGGCCACTCCAGAAGTGTT | CTGGCTGGAGAAAGGATGAG | 235 | 53 | [38] | 
| cyp4a12 | GCCTTCATCACAACCCAACT | GGTATGGGGATTGGGACTCT | 226 | 53 | [39] | 
| alox12 | TGACGATGGAGACCGTGATG | GCT TTGGTCCTTGGGTCT GA | 223 | 58 | [39] | 
| alox15 | AAA GGCACTCTGTTTGAAGCG | CACCAAGTGTCCCCTCAG AAG | 204 | 59 | [38] | 
| cox2 | CCTCCATTGACCAGAGCAGA | GTGCTCGGCTTCCAGTATTG | 247 | 58 | [40] | 
| b-Actin | CCCCTGAGGAGCACCGTGTG | ATGGCTGGGGTGTTGAAGGT | 106 | 53 | [41] | 
| Publisher’s Note: MDPI stays neutral with regard to jurisdictional claims in published maps and institutional affiliations. | 
© 2022 by the authors. Licensee MDPI, Basel, Switzerland. This article is an open access article distributed under the terms and conditions of the Creative Commons Attribution (CC BY) license (https://creativecommons.org/licenses/by/4.0/).
Share and Cite
Khirfan, F.; Jarrar, Y.; Al-Qirim, T.; Goh, K.W.; Jarrar, Q.; Ardianto, C.; Awad, M.; Al-Ameer, H.J.; Al-Awaida, W.; Moshawih, S.; et al. Analgesics Induce Alterations in the Expression of SARS-CoV-2 Entry and Arachidonic-Acid-Metabolizing Genes in the Mouse Lungs. Pharmaceuticals 2022, 15, 696. https://doi.org/10.3390/ph15060696
Khirfan F, Jarrar Y, Al-Qirim T, Goh KW, Jarrar Q, Ardianto C, Awad M, Al-Ameer HJ, Al-Awaida W, Moshawih S, et al. Analgesics Induce Alterations in the Expression of SARS-CoV-2 Entry and Arachidonic-Acid-Metabolizing Genes in the Mouse Lungs. Pharmaceuticals. 2022; 15(6):696. https://doi.org/10.3390/ph15060696
Chicago/Turabian StyleKhirfan, Fatima, Yazun Jarrar, Tariq Al-Qirim, Khang Wen Goh, Qais Jarrar, Chrismawan Ardianto, Mohammad Awad, Hamzeh J. Al-Ameer, Wajdy Al-Awaida, Said Moshawih, and et al. 2022. "Analgesics Induce Alterations in the Expression of SARS-CoV-2 Entry and Arachidonic-Acid-Metabolizing Genes in the Mouse Lungs" Pharmaceuticals 15, no. 6: 696. https://doi.org/10.3390/ph15060696
APA StyleKhirfan, F., Jarrar, Y., Al-Qirim, T., Goh, K. W., Jarrar, Q., Ardianto, C., Awad, M., Al-Ameer, H. J., Al-Awaida, W., Moshawih, S., & Ming, L. C. (2022). Analgesics Induce Alterations in the Expression of SARS-CoV-2 Entry and Arachidonic-Acid-Metabolizing Genes in the Mouse Lungs. Pharmaceuticals, 15(6), 696. https://doi.org/10.3390/ph15060696
 
         
                                                


 
       