Characterization of Leptin and Leptin Receptor Gene in the Siberian Sturgeon (Acipenser baerii): Molecular Cloning, Tissue Distribution, and Its Involvement in Feeding Regulation
Abstract
1. Introduction
2. Results
2.1. Analysis of Leptin Sequence
2.2. Tissue Distribution of Leptin and Lepr mRNA in Different Tissues of Juvenile Siberian Sturgeon
2.3. Relationship Between Leptin Systerm and Feeding Status
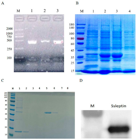
2.4. Recombinant Ssleptin Expression
2.5. Effect of Ssleptin on Food Intake
2.6. Ssleptin Action on Genes Related to Feeding in Siberian Sturgeon
2.7. Ssleptin Action on Signaling Pathway Genes Associated with Appetite
3. Discussion
3.1. Siberian Sturgeon Leptin Structure
3.2. Tissue Distribution of Leptin and Leptin Receptor
3.3. Fasting Influenced Leptin Expression in the Hypothalamus and Liver
3.4. Ssleptin Inhibited Food Intake of Siberian Sturgeon
3.5. Ssleptin Stimulated Lepr/JAK2/AKT/AMPKα2 in the Hypothalamus of Siberian Sturgeon
4. Materials and Methods
4.1. Experimental Animals
4.2. Cloning of Siberian Sturgeon Leptin and Leptin Receptor and Sequence Analysis
4.3. Tissue Distribution and Fasting Experiments
4.4. Prokaryotic Expression of Leptin Recombinant Protein
4.5. Food Intake Determination
4.6. Regulation of Ssleptin on the Expression of Appetite Related Genes
4.7. Real-Time Quantitative PCR Analysis
4.8. SDS-PAGE and Western Blotting
4.9. Statistical Analysis
5. Conclusions
Supplementary Materials
Author Contributions
Funding
Institutional Review Board Statement
Informed Consent Statement
Data Availability Statement
Conflicts of Interest
References
- Zhang, Y.; Proenca, R.; Maffei, M.; Barone, M.; Leopold, L.; Friedman, J.M. Positional cloning of the mouse obese gene and its human homologue. Nature 1994, 372, 425–432. [Google Scholar] [CrossRef]
- Blanco, A.M.; Soengas, J.L. Leptin signalling in teleost fish with emphasis in food intake regulation. Mol. Cell Endocrinol. 2021, 526, 111209. [Google Scholar] [CrossRef] [PubMed]
- Han, D.; Miao, H.; Nie, Q.; Miao, S.; Zhang, Q.; Zhang, W.; Mai, K. Leptin and its receptor in turbot Scophthalmus maximus: Cloning, characterization and expression response to ratios of dietary carbohydrate-lipid. Fish Physiol. Biochem. 2016, 42, 1665–1679. [Google Scholar] [CrossRef]
- Gong, Y.; Luo, Z.; Zhu, Q.L.; Zheng, J.L.; Tan, X.Y.; Chen, Q.L.; Lin, Y.C.; Lu, R.H. Characterization and tissue distribution of leptin, leptin receptor and leptin receptor overlapping transcript genes in yellow catfish Pelteobagrus fulvidraco. Gen. Comp. Endocrinol. 2013, 182, 1–6. [Google Scholar] [CrossRef] [PubMed]
- Murashita, K.; Uji, S.; Yamamoto, T.; Rønnestad, I.; Kurokawa, T. Production of recombinant leptin and its effects on food intake in rainbow trout (Oncorhynchus mykiss). Comp. Biochem. Physiol. Part B Biochem. Mol. Biol. 2008, 150, 377–384. [Google Scholar] [CrossRef] [PubMed]
- Yuan, X.C.; Liang, X.F.; Cai, W.J.; Li, A.X.; Huang, D.; He, S. Differential Roles of Two Leptin Gene Paralogues on Food Intake and Hepatic Metabolism Regulation in Mandarin Fish. Front. Endocrinol. 2020, 11, 438. [Google Scholar] [CrossRef] [PubMed]
- Shpilman, M.; Hollander-Cohen, L.; Ventura, T.; Gertler, A.; Levavi-Sivan, B. Production, gene structure and characterization of two orthologs of leptin and a leptin receptor in tilapia. Gen. Comp. Endocrinol. 2014, 207, 74–85. [Google Scholar] [CrossRef] [PubMed]
- Gorissen, M.; Bernier, N.J.; Nabuurs, S.B.; Flik, G.; Huising, M.O. Two divergent leptin paralogues in zebrafish (Danio rerio) that originate early in teleostean evolution. J. Endocrinol. 2009, 201, 329–339. [Google Scholar] [CrossRef]
- Xu, Y.; Zhang, Y.; Wang, B.; Liu, X.; Liu, Q.; Song, X.; Shi, B.; Ren, K. Leptin and leptin receptor genes in tongue sole (Cynoglossus semilaevis): Molecular cloning, tissue distribution and differential regulation of these genes by sex steroids. Comp. Biochem. Physiol. Part A Mol. Integr. Physiol. 2018, 224, 11–22. [Google Scholar] [CrossRef]
- Zhang, H.; Chen, H.; Zhang, Y.; Li, S.; Lu, D.; Zhang, H.; Meng, Z.; Liu, X.; Lin, H. Molecular cloning, characterization and expression profiles of multiple leptin genes and a leptin receptor gene in orange-spotted grouper (Epinephelus coioides). Gen. Comp. Endocrinol. 2013, 181, 295–305. [Google Scholar] [CrossRef]
- Rønnestad, I.; Nilsen, T.O.; Murashita, K.; Angotzi, A.R.; Moen, A.-G.G.; Stefansson, S.O.; Kling, P.; Björnsson, B.T.; Kurokawa, T. Leptin and leptin receptor genes in Atlantic salmon: Cloning, phylogeny, tissue distribution and expression correlated to long-term feeding status. Gen. Comp. Endocrinol. 2010, 168, 55–70. [Google Scholar] [CrossRef] [PubMed]
- Huising, M.O.; Geven, E.J.; Kruiswijk, C.P.; Nabuurs, S.B.; Stolte, E.H.; Spanings, F.A.; Verburg-van Kemenade, B.M.; Flik, G. Increased leptin expression in common Carp (Cyprinus carpio) after food intake but not after fasting or feeding to satiation. Endocrinology 2006, 147, 5786–5797. [Google Scholar] [CrossRef]
- Yan, A.F.; Chen, T.; Chen, S.; Ren, C.H.; Hu, C.Q.; Cai, Y.M.; Liu, F.; Tang, D.S. Goldfish Leptin-AI and Leptin-AII: Function and Central Mechanism in Feeding Control. Int. J. Mol. Sci. 2016, 17, 783. [Google Scholar] [CrossRef] [PubMed]
- Volkoff, H.; Peter, R.E. Characterization of two forms of cocaine- and amphetamine-regulated transcript (CART) peptide precursors in goldfish: Molecular cloning and distribution, modulation of expression by nutritional status, and interactions with leptin. Endocrinology 2001, 142, 5076–5088. [Google Scholar] [CrossRef] [PubMed]
- de Pedro, N.; Martínez-Alvarez, R.; Delgado, M.J. Acute and chronic leptin reduces food intake and body weight in goldfish (Carassius auratus). J. Endocrinol. 2006, 188, 513–520. [Google Scholar] [CrossRef] [PubMed]
- Anderson, W.G.; Schreier, A.; Crossman, J.A. Conservation aquaculture—A sturgeon story. In Fish Physiology; Elsevier: Amsterdam, The Netherlands, 2022; Volume 39, pp. 39–109. [Google Scholar]
- Chebanov, M.; Williot, P. An Assessment of the Characteristics of World Production of Siberian Sturgeon Destined to Human Consumption. In The Siberian Sturgeon (Acipenser baerii, Brandt, 1869) Volume 2—Farming; Williot, P., Nonnotte, G., Chebanov, M., Eds.; Springer International Publishing: Cham, Switzerland, 2018; pp. 217–286. [Google Scholar]
- Zhang, X.; Tang, N.; Qi, J.; Wang, S.; Hao, J.; Wu, Y.; Chen, H.; Tian, Z.; Wang, B.; Chen, D.; et al. CCK reduces the food intake mainly through CCK1R in Siberian sturgeon (Acipenser baerii Brandt). Sci. Rep. 2017, 7, 12413. [Google Scholar] [CrossRef]
- Chen, H.; Zhang, X.; Hao, J.; Chen, D.; Liu, J.; Gao, Y.; Zhu, J.; Wu, H.; Lin, F.; Pu, Y.; et al. Molecular cloning, expression analysis, and appetite regulatory effect of peptide YY in Siberian sturgeon (Acipenser baerii). Gene 2015, 563, 172–179. [Google Scholar] [CrossRef] [PubMed]
- Yuan, D.; Gao, Y.; Zhang, X.; Wang, B.; Chen, H.; Wu, Y.; Chen, D.; Wang, Z.; Li, Z. NPY and NPY receptors in the central control of feeding and interactions with CART and MC4R in Siberian sturgeon. Gen. Comp. Endocrinol. 2019, 284, 113239. [Google Scholar] [CrossRef] [PubMed]
- Denver, R.J.; Bonett, R.M.; Boorse, G.C. Evolution of leptin structure and function. Neuroendocrinology 2011, 94, 21–38. [Google Scholar] [CrossRef] [PubMed]
- Chen, H.; Wang, B.; Zhou, B.; Qi, J.; Tang, N.; Wang, S.; Tian, Z.; Wang, M.; Xu, S.; Yu, N.; et al. Characterization, phylogeny, and responses of leptin to different nutritional states in critically endangered Yangtze sturgeon (Acipenser dabryanus). Aquaculture 2020, 525, 735296. [Google Scholar] [CrossRef]
- Li, Y.; Zhou, Y.; Lei, L.; Deng, X.; Duan, Y.; Xu, J.; Fu, S.; Long, R.; Yuan, D.; Zhou, C. Molecular cloning and tissue distribution of the leptin gene in gibel carp (Carassius auratus gibelio): Regulation by postprandial and long-term fasting treatment. Comp. Biochem. Physiol. A Mol. Integr. Physiol. 2022, 266, 111156. [Google Scholar] [CrossRef] [PubMed]
- Yuan, D.; Wang, T.; Zhou, C.; Lin, F.; Chen, H.; Wu, H.; Wei, R.; Xin, Z.; Li, Z. Leptin and cholecystokinin in Schizothorax prenanti: Molecular cloning, tissue expression, and mRNA expression responses to periprandial changes and fasting. Gen. Comp. Endocrinol. 2014, 204, 13–24. [Google Scholar] [CrossRef]
- Kurokawa, T.; Uji, S.; Suzuki, T. Identification of cDNA coding for a homologue to mammalian leptin from pufferfish, Takifugu rubripes. Peptides 2005, 26, 745–750. [Google Scholar] [CrossRef] [PubMed]
- Kurokawa, T.; Murashita, K. Genomic characterization of multiple leptin genes and a leptin receptor gene in the Japanese medaka, Oryzias latipes. Gen. Comp. Endocrinol. 2009, 161, 229–237. [Google Scholar] [CrossRef]
- Flier, J.S.; Maratos-Flier, E. Lasker lauds leptin. Cell 2010, 143, 9–12. [Google Scholar] [CrossRef] [PubMed]
- Ohga, H.; Matsumori, K.; Kodama, R.; Kitano, H.; Nagano, N.; Yamaguchi, A.; Matsuyama, M. Two leptin genes and a leptin receptor gene of female chub mackerel (Scomber japonicus): Molecular cloning, tissue distribution and expression in different obesity indices and pubertal stages. Gen. Comp. Endocrinol. 2015, 222, 88–98. [Google Scholar] [CrossRef] [PubMed]
- Copeland, D.L.; Duff, R.J.; Liu, Q.; Prokop, J.; Londraville, R.L. Leptin in teleost fishes: An argument for comparative study. Front. Physiol. 2011, 2, 26. [Google Scholar] [CrossRef] [PubMed]
- Liu, C.Z.; He, A.Y.; Ning, L.J.; Luo, Y.; Li, D.L.; Zhang, M.L.; Chen, L.Q.; Du, Z.Y. Leptin Selectively Regulates Nutrients Metabolism in Nile Tilapia Fed on High Carbohydrate or High Fat Diet. Front. Endocrinol. 2018, 9, 574. [Google Scholar] [CrossRef]
- Morini, M.; Pasquier, J.; Dirks, R.; van den Thillart, G.; Tomkiewicz, J.; Rousseau, K.; Dufour, S.; Lafont, A.G. Duplicated leptin receptors in two species of eel bring new insights into the evolution of the leptin system in vertebrates. PLoS ONE 2015, 10, e0126008. [Google Scholar] [CrossRef] [PubMed]
- Pfundt, B.; Sauerwein, H.; Mielenz, M. Leptin mRNA and protein immunoreactivity in adipose tissue and liver of rainbow trout (Oncorhynchus mykiss) and immunohistochemical localization in liver. Anat. Histol. Embryol. 2009, 38, 406–410. [Google Scholar] [CrossRef]
- Tinoco, A.B.; Nisembaum, L.G.; Isorna, E.; Delgado, M.J.; de Pedro, N. Leptins and leptin receptor expression in the goldfish (Carassius auratus). Regulation by food intake and fasting/overfeeding conditions. Peptides 2012, 34, 329–335. [Google Scholar] [CrossRef] [PubMed]
- Trombley, S.; Maugars, G.; Kling, P.; Björnsson, B.T.; Schmitz, M. Effects of long-term restricted feeding on plasma leptin, hepatic leptin expression and leptin receptor expression in juvenile Atlantic salmon (Salmo salar L.). Gen. Comp. Endocrinol. 2012, 175, 92–99. [Google Scholar] [CrossRef]
- Mankiewicz, J.L.; Cleveland, B.M. Characterization of a Leptin Receptor Paralog and Its Response to Fasting in Rainbow Trout (Oncorhynchus mykiss). Int. J. Mol. Sci. 2021, 22, 7732. [Google Scholar] [CrossRef] [PubMed]
- Angotzi, A.R.; Stefansson, S.O.; Nilsen, T.O.; Øvrebø, J.I.; Andersson, E.; Taranger, G.L.; Rønnestad, I. Identification of a novel leptin receptor duplicate in Atlantic salmon: Expression analyses in different life stages and in response to feeding status. Gen. Comp. Endocrinol. 2016, 235, 108–119. [Google Scholar] [CrossRef] [PubMed]
- Lin, J.; Barb, C.R.; Matteri, R.L.; Kraeling, R.R.; Chen, X.; Meinersmann, R.J.; Rampacek, G.B. Long form leptin receptor mRNA expression in the brain, pituitary, and other tissues in the pig. Domest. Anim. Endocrinol. 2000, 19, 53–61. [Google Scholar] [CrossRef] [PubMed]
- Douros, J.D.; Baltzegar, D.A.; Mankiewicz, J.; Taylor, J.; Yamaguchi, Y.; Lerner, D.T.; Seale, A.P.; Grau, E.G.; Breves, J.P.; Borski, R.J. Control of leptin by metabolic state and its regulatory interactions with pituitary growth hormone and hepatic growth hormone receptors and insulin like growth factors in the tilapia (Oreochromis mossambicus). Gen. Comp. Endocrinol. 2017, 240, 227–237. [Google Scholar] [CrossRef] [PubMed]
- Xie, M.; Gao, J.; Wu, H.; Cheng, X.; Zhang, Z.; Song, R.; Li, S.; Zhou, J.; Li, C.; Zeng, G. Molecular Characterization and Expression Pattern of leptin in Yellow Cheek Carp (Elopichthys bambusa) and Its Transcriptional Changes in Response to Fasting and Refeeding. Biology 2023, 12, 758. [Google Scholar] [CrossRef] [PubMed]
- Won, E.T.; Baltzegar, D.A.; Picha, M.E.; Borski, R.J. Cloning and characterization of leptin in a Perciform fish, the striped bass (Morone saxatilis): Control of feeding and regulation by nutritional state. Gen. Comp. Endocrinol. 2012, 178, 98–107. [Google Scholar] [CrossRef] [PubMed]
- Ge, T.T.; Yao, X.X.; Zhao, F.L.; Zou, X.H.; Yang, W.; Cui, R.J.; Li, B.J. Role of leptin in the regulation of food intake in fasted mice. J. Cell. Mol. Med. 2020, 24, 4524–4532. [Google Scholar] [CrossRef] [PubMed]
- Li, G.G.; Liang, X.F.; Xie, Q.; Li, G.; Yu, Y.; Lai, K. Gene structure, recombinant expression and functional characterization of grass carp leptin. Gen. Comp. Endocrinol. 2010, 166, 117–127. [Google Scholar] [CrossRef] [PubMed]
- Johnson, R.M.; Johnson, T.M.; Londraville, R.L. Evidence for leptin expression in fishes. J. Exp. Zool. 2000, 286, 718–724. [Google Scholar] [CrossRef]
- Audira, G.; Sarasamma, S.; Chen, J.R.; Juniardi, S.; Sampurna, B.P.; Liang, S.T.; Lai, Y.H.; Lin, G.M.; Hsieh, M.C.; Hsiao, C.D. Zebrafish Mutants Carrying Leptin a (lepa) Gene Deficiency Display Obesity, Anxiety, Less Aggression and Fear, and Circadian Rhythm and Color Preference Dysregulation. Int. J. Mol. Sci. 2018, 19, 4038. [Google Scholar] [CrossRef]
- López, M.; Seoane, L.; García, M.C.; Lago, F.; Casanueva, F.F.; Señarís, R.; Diéguez, C. Leptin regulation of prepro-orexin and orexin receptor mRNA levels in the hypothalamus. Biochem. Biophys. Res. Commun. 2000, 269, 41–45. [Google Scholar] [CrossRef] [PubMed]
- De Solis, A.J.; Del Río-Martín, A.; Radermacher, J.; Chen, W.; Steuernagel, L.; Bauder, C.A.; Eggersmann, F.R.; Morgan, D.A.; Cremer, A.L.; Sué, M.; et al. Reciprocal activity of AgRP and POMC neurons governs coordinated control of feeding and metabolism. Nat. Metab. 2024, 6, 473–493. [Google Scholar] [CrossRef] [PubMed]
- Zhang, X.; Gao, Y.; Tang, N.; Qi, J.; Wu, Y.; Hao, J.; Wang, S.; Chen, D.; Li, Z. One evidence of cocaine-and amphetamine-regulated transcript (CART) has the bidirectional effects on appetite in Siberian sturgeon (Acipenser baerii). Fish. Physiol. Biochem. 2017, 44, 411–422. [Google Scholar] [CrossRef] [PubMed]
- Yuan, D.; Wei, R.; Wang, T.; Wu, Y.; Lin, F.; Chen, H.; Liu, J.; Gao, Y.; Zhou, C.; Chen, D.; et al. Appetite regulation in Schizothorax prenanti by three CART genes. Gen. Comp. Endocrinol. 2015, 224, 194–204. [Google Scholar] [CrossRef] [PubMed]
- Murashita, K.; Kurokawa, T.; Ebbesson, L.O.; Stefansson, S.O.; Rønnestad, I. Characterization, tissue distribution, and regulation of agouti-related protein (AgRP), cocaine- and amphetamine-regulated transcript (CART) and neuropeptide Y (NPY) in Atlantic salmon (Salmo salar). Gen. Comp. Endocrinol. 2009, 162, 160–171. [Google Scholar] [CrossRef] [PubMed]
- Subramanian, K.S.; Lauer, L.T.; Hayes, A.M.R.; Décarie-Spain, L.; McBurnett, K.; Nourbash, A.C.; Donohue, K.N.; Kao, A.E.; Bashaw, A.G.; Burdakov, D.; et al. Hypothalamic melanin-concentrating hormone neurons integrate food-motivated appetitive and consummatory processes in rats. Nat. Commun. 2023, 14, 1755. [Google Scholar] [CrossRef] [PubMed]
- Sahu, A. Evidence suggesting that galanin (GAL), melanin-concentrating hormone (MCH), neurotensin (NT), proopiomelanocortin (POMC) and neuropeptide Y (NPY) are targets of leptin signaling in the hypothalamus. Endocrinology 1998, 139, 795–798. [Google Scholar] [CrossRef] [PubMed]
- Matsuda, K.; Shimakura, S.; Maruyama, K.; Miura, T.; Uchiyama, M.; Kawauchi, H.; Shioda, S.; Takahashi, A. Central administration of melanin-concentrating hormone (MCH) suppresses food intake, but not locomotor activity, in the goldfish, Carassius auratus. Neurosci. Lett. 2006, 399, 259–263. [Google Scholar] [CrossRef] [PubMed]
- Qu, D.; Ludwig, D.S.; Gammeltoft, S.; Piper, M.; Pelleymounter, M.A.; Cullen, M.J.; Mathes, W.F.; Przypek, R.; Kanarek, R.; Maratos-Flier, E. A role for melanin-concentrating hormone in the central regulation of feeding behaviour. Nature 1996, 380, 243–247. [Google Scholar] [CrossRef] [PubMed]
- Jiang, H.; Gallet, S.; Klemm, P.; Scholl, P.; Folz-Donahue, K.; Altmüller, J.; Alber, J.; Heilinger, C.; Kukat, C.; Loyens, A.; et al. MCH Neurons Regulate Permeability of the Median Eminence Barrier. Neuron 2020, 107, 306–319.e309. [Google Scholar] [CrossRef] [PubMed]
- Air, E.L.; Benoit, S.C.; Clegg, D.J.; Seeley, R.J.; Woods, S.C. Insulin and leptin combine additively to reduce food intake and body weight in rats. Endocrinology 2002, 143, 2449–2452. [Google Scholar] [CrossRef] [PubMed][Green Version]
- Koch, C.; Augustine, R.A.; Steger, J.; Ganjam, G.K.; Benzler, J.; Pracht, C.; Lowe, C.; Schwartz, M.W.; Shepherd, P.R.; Anderson, G.M.; et al. Leptin rapidly improves glucose homeostasis in obese mice by increasing hypothalamic insulin sensitivity. J. Neurosci. Off. J. Soc. Neurosci. 2010, 30, 16180–16187. [Google Scholar] [CrossRef] [PubMed]
- Yan, P.; Jia, J.; Yang, G.; Wang, D.; Sun, C.; Li, W. Duplication of neuropeptide Y and peptide YY in Nile tilapia Oreochromis niloticus and their roles in food intake regulation. Peptides 2017, 88, 97–105. [Google Scholar] [CrossRef] [PubMed]
- Velasco, C.; Comesaña, S.; Conde-Sieira, M.; Míguez, J.M.; Soengas, J.L. Effects of CCK-8 and GLP-1 on fatty acid sensing and food intake regulation in trout. J. Mol. Endocrinol. 2019, 62, 101–116. [Google Scholar] [CrossRef]
- Tang, N.; Liu, Y.; Tian, Z.; Xu, S.; Wang, M.; Chen, H.; Wang, B.; Li, Y.; Wang, Y.; Yang, S.; et al. Characterization, tissue distribution of resistin gene and the effect of fasting and refeeding on resistin mRNA expression in Siberian sturgeon (Acipenser baerii). J. Fish. Biol. 2020, 97, 508–514. [Google Scholar] [CrossRef] [PubMed]
- Tovar, S.; Nogueiras, R.; Tung, L.Y.; Castañeda, T.R.; Vázquez, M.J.; Morris, A.; Williams, L.M.; Dickson, S.L.; Diéguez, C. Central administration of resistin promotes short-term satiety in rats. Eur. J. Endocrinol. 2005, 153, R1–R5. [Google Scholar] [CrossRef] [PubMed]
- Singhal, N.S.; Lazar, M.A.; Ahima, R.S. Central resistin induces hepatic insulin resistance via neuropeptide Y. J. Neurosci. Off. J. Soc. Neurosci. 2007, 27, 12924–12932. [Google Scholar] [CrossRef] [PubMed]
- Gong, N.; Jönsson, E.; Björnsson, B.T. Acute anorexigenic action of leptin in rainbow trout is mediated by the hypothalamic Pi3k pathway. J. Mol. Endocrinol. 2016, 56, 227–238. [Google Scholar] [CrossRef]
- Cheng, W.; Ndoka, E.; Hutch, C.; Roelofs, K.; MacKinnon, A.; Khoury, B.; Magrisso, J.; Kim, K.S.; Rhodes, C.J.; Olson, D.P.; et al. Leptin receptor-expressing nucleus tractus solitarius neurons suppress food intake independently of GLP1 in mice. JCI Insight 2020, 5, e134359. [Google Scholar] [CrossRef] [PubMed]
- Michel, M.; Page-McCaw, P.S.; Chen, W.; Cone, R.D. Leptin signaling regulates glucose homeostasis, but not adipostasis, in the zebrafish. Proc. Natl. Acad. Sci. USA 2016, 113, 3084–3089. [Google Scholar] [CrossRef]
- Du, K.; Stöck, M.; Kneitz, S.; Klopp, C.; Woltering, J.M.; Adolfi, M.C.; Feron, R.; Prokopov, D.; Makunin, A.; Kichigin, I.; et al. The sterlet sturgeon genome sequence and the mechanisms of segmental rediploidization. Nat. Ecol. Evol. 2020, 4, 841–852. [Google Scholar] [CrossRef] [PubMed]
- Alhadeff, A.L.; Hayes, M.R.; Grill, H.J. Leptin receptor signaling in the lateral parabrachial nucleus contributes to the control of food intake. Am. J. Physiol. Regul. Integr. Comp. Physiol. 2014, 307, R1338–R1344. [Google Scholar] [CrossRef] [PubMed]
- Boyle, C.A.; Kola, P.K.; Oraegbuna, C.S.; Lei, S. Leptin excites basolateral amygdala principal neurons and reduces food intake by LepRb-JAK2-PI3K-dependent depression of GIRK channels. J. Cell Physiol. 2024, 239, e31117. [Google Scholar] [CrossRef] [PubMed]
- Conde-Sieira, M.; Capelli, V.; Álvarez-Otero, R.; Comesaña, S.; Liñares-Pose, L.; Velasco, C.; López, M.; Soengas, J.L. Differential Role of Hypothalamic AMPKα Isoforms in Fish: An Evolutive Perspective. Mol. Neurobiol. 2019, 56, 5051–5066. [Google Scholar] [CrossRef] [PubMed]
- Tanida, M.; Yamamoto, N.; Shibamoto, T.; Rahmouni, K. Involvement of hypothalamic AMP-activated protein kinase in leptin-induced sympathetic nerve activation. PLoS ONE 2013, 8, e56660. [Google Scholar] [CrossRef]









| Primers | Sequence (5′-3′) | Usage |
|---|---|---|
| leptin-f | GAATGAACTATCCAATTGTACCCC | Clone |
| leptin-r | CTCAGCATTTCTTTAGTTGATCCA | |
| lepr-f | CTGATTTTCAACCTCCCACA | |
| lepr-r | GAGCAGCCTACATACTTCTTCTT | |
| leptin-yf | CGCGCGGAATTCTGGCCTGTTCCAGTTGATAAA | Recombinant protein |
| leptin-yr | CCCCCCAAGCTTGCATTTCTTTAGTTGATCCAAGTTT | |
| leptin-qf | TCCTCCAGTGATAAAGCCCT | RT-qPCR |
| leptin-qr | ATACTGCCAGCGACCGAAT | |
| lepr-qf | CTGCTTGTGACGCTTGC | |
| lepr-qr | AGGTTTCCGATGGTTTCT | |
| npy-qf | GCTGGCTACCGTGGCTTTC | |
| npy-qr | GACTGGACCTCTTCCCATACCT | |
| agrp-qf | AGGCTGTGCGTCTCAGTGTC | |
| agrp-qr | GAATCGGAAGTCCTGTATCGG | |
| orexin-qf | GCTCCTGGTATGTGCCCT | |
| orexin-qr | GGGTTCGGTCTCCACAGT | |
| ghrelin-qf | CCAAGGTGACACGTCGAGATTC | |
| ghrelin-qr | GCTGTCCTTCTTGGCACTTG | |
| cart-qf | CGACTGTGGTTGAGAGCCG | |
| cart-qr | GACAGTCACACAACTTGCCGAT | |
| pomc-qf | AGCACCACCCTTAGCGTTCT | |
| pomc-qr | ACCTCTTGTCATCCCGCCT | |
| mch-qf | AACAGACACCTGCCTTAC | |
| mch-qr | AACAGACACCTGCCTTAC | |
| insulin-qf | CTGCTTGCTTTGCTTGTCTT | |
| insulin-qr | CTTCATTTTGTTGGGAGTGT | |
| resistin-qf | TAGAGGGAGCCTGGTGGATT | |
| resistin-qr | AGGTCTGGTCATTGCGGATA | |
| cck-qf | GAGGGTAGTCCTGTAGCATCTGA | |
| cck-qr | TTCTACCAGACGAGCCTTTCC | |
| pyy-qf | AGGCAGAGGTATGGCAAGCG | |
| pyy-qr | GGAGGGTCAGGAGACGGGAT | |
| β-actin-qf | GTTGGTATGGGACAGAAGGACA | |
| β-actin-qr | CCAGTTGGTAACAATGCCGT |
Disclaimer/Publisher’s Note: The statements, opinions and data contained in all publications are solely those of the individual author(s) and contributor(s) and not of MDPI and/or the editor(s). MDPI and/or the editor(s) disclaim responsibility for any injury to people or property resulting from any ideas, methods, instructions or products referred to in the content. |
© 2025 by the authors. Licensee MDPI, Basel, Switzerland. This article is an open access article distributed under the terms and conditions of the Creative Commons Attribution (CC BY) license (https://creativecommons.org/licenses/by/4.0/).
Share and Cite
Wu, H.; Li, J.; Jiang, K.; Li, Y.; Yu, Z.; Wang, B.; Zhou, B.; Zhang, X.; Tang, N.; Li, Z. Characterization of Leptin and Leptin Receptor Gene in the Siberian Sturgeon (Acipenser baerii): Molecular Cloning, Tissue Distribution, and Its Involvement in Feeding Regulation. Int. J. Mol. Sci. 2025, 26, 1968. https://doi.org/10.3390/ijms26051968
Wu H, Li J, Jiang K, Li Y, Yu Z, Wang B, Zhou B, Zhang X, Tang N, Li Z. Characterization of Leptin and Leptin Receptor Gene in the Siberian Sturgeon (Acipenser baerii): Molecular Cloning, Tissue Distribution, and Its Involvement in Feeding Regulation. International Journal of Molecular Sciences. 2025; 26(5):1968. https://doi.org/10.3390/ijms26051968
Chicago/Turabian StyleWu, Hongwei, Jiamei Li, Kezhen Jiang, Yingzi Li, Zhaoxiong Yu, Bin Wang, Bo Zhou, Xin Zhang, Ni Tang, and Zhiqiong Li. 2025. "Characterization of Leptin and Leptin Receptor Gene in the Siberian Sturgeon (Acipenser baerii): Molecular Cloning, Tissue Distribution, and Its Involvement in Feeding Regulation" International Journal of Molecular Sciences 26, no. 5: 1968. https://doi.org/10.3390/ijms26051968
APA StyleWu, H., Li, J., Jiang, K., Li, Y., Yu, Z., Wang, B., Zhou, B., Zhang, X., Tang, N., & Li, Z. (2025). Characterization of Leptin and Leptin Receptor Gene in the Siberian Sturgeon (Acipenser baerii): Molecular Cloning, Tissue Distribution, and Its Involvement in Feeding Regulation. International Journal of Molecular Sciences, 26(5), 1968. https://doi.org/10.3390/ijms26051968
