Urtica dioica Aqueous Leaf Extract: Chemical Composition and In Vitro Evaluation of Biological Activities
Abstract
1. Introduction
2. Results
2.1. Chemical Profile of the Aqueous Extract of Urtica dioica Leaves
2.2. Antimicrobial Activity
2.3. Antioxidant Activity
2.4. Cytotoxic Effects of AEUD on HCT-116 Tumor Cells
2.5. AEUD Induces Apoptosis of HCT-116 Colon Cancer Cells
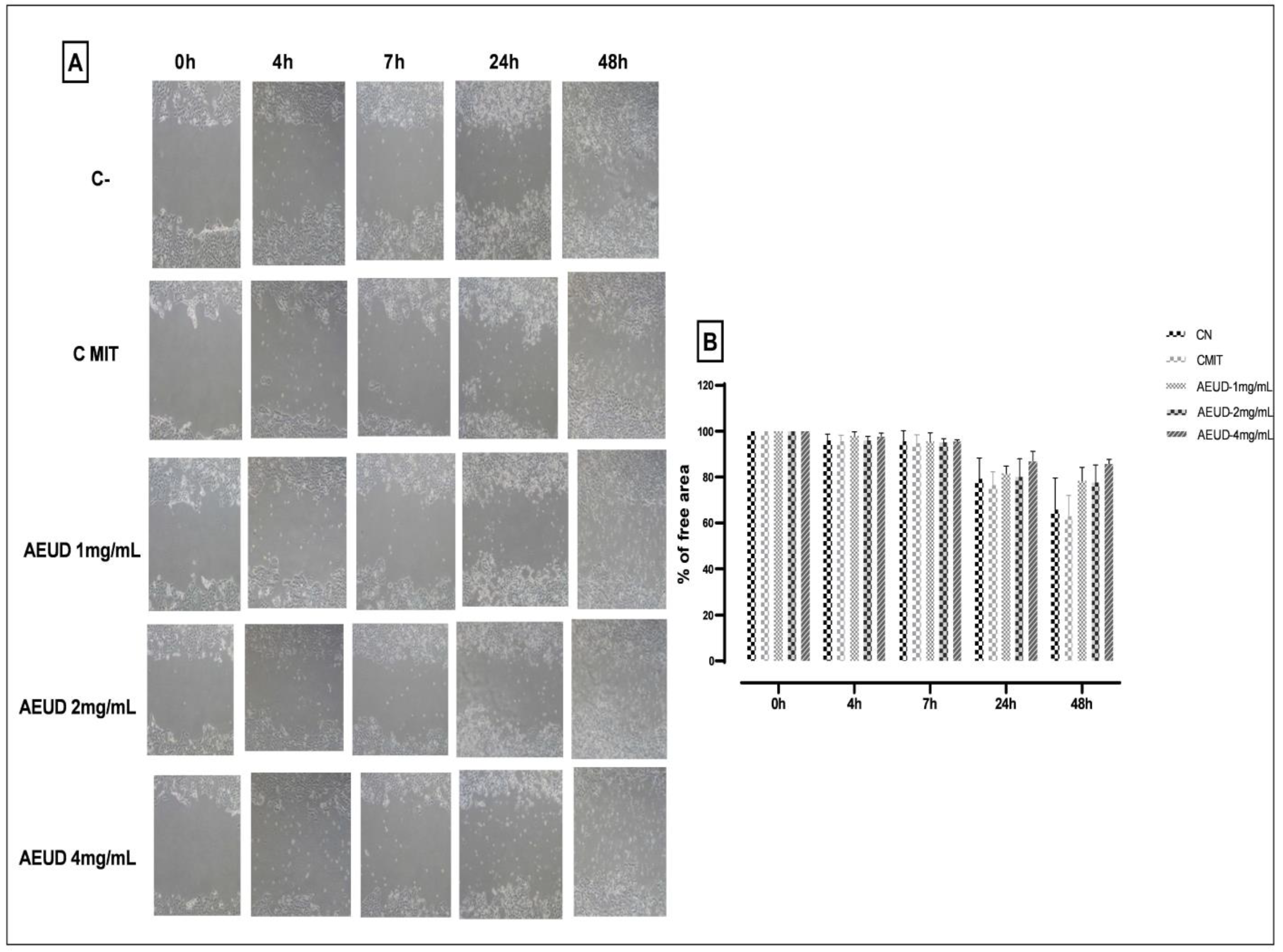
2.6. AEUD Inhibits Migration of HCT-116 Tumor Cells
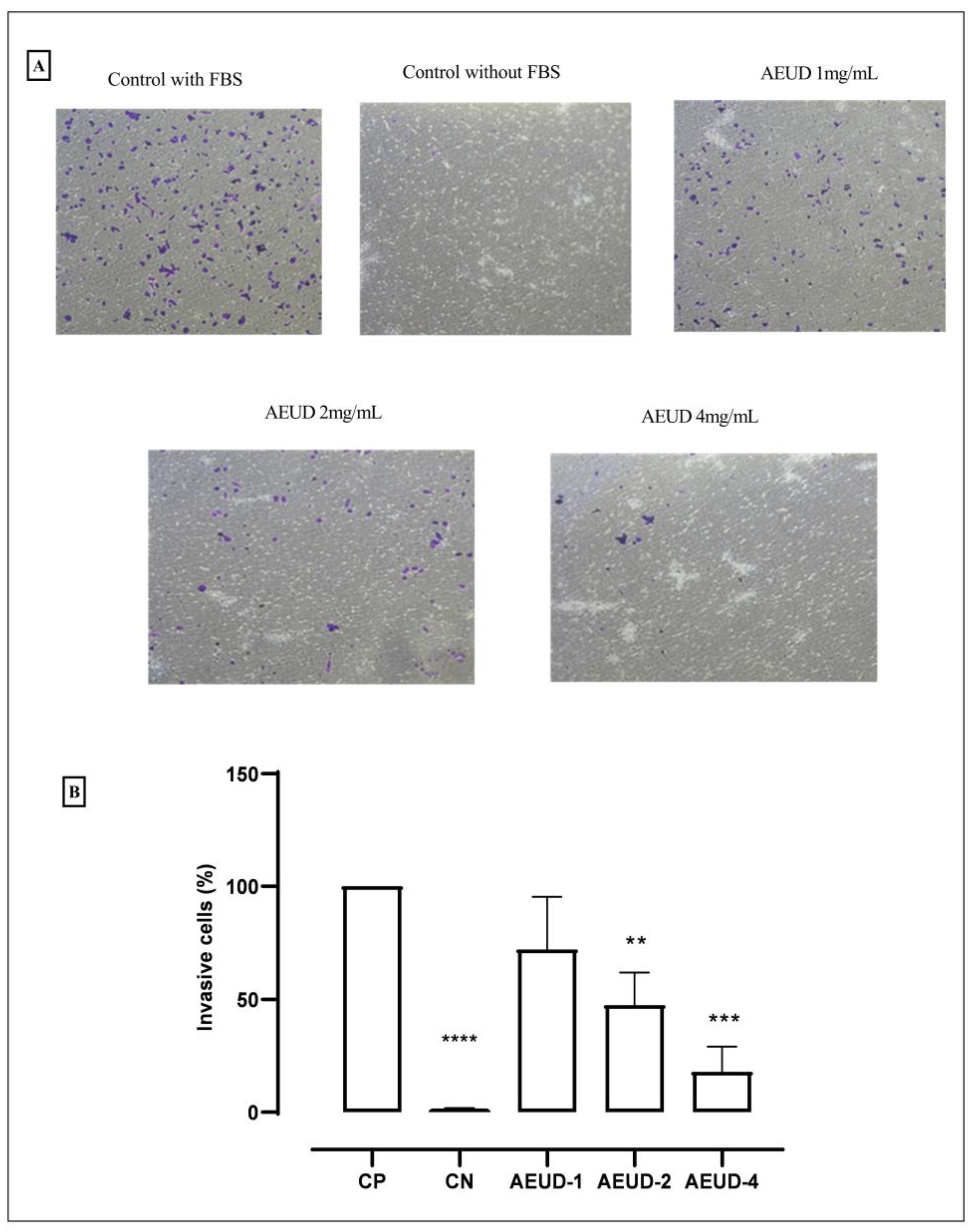
2.7. AEUD Inhibits Invasion of HCT-116 Tumor Cells
3. Discussion
4. Materials and Methods
4.1. AEUD Preparation
4.2. Non-Targeted Metabolomics Characterization of Urtica dioica Leaf Extract
4.2.1. Ultra-High-Performance Liquid Chromatography
4.2.2. High-Resolution Mass Spectrometry
4.2.3. Raw Data Processing
4.3. In Vitro Evaluation of Antibacterial Activity
4.3.1. Bacterial Strains
4.3.2. Disc-Diffusion Test
4.3.3. Determination of Minimum Inhibitory Concentration (MIC)
4.3.4. Determination of Minimum Bactericidal Concentration (MBC)
4.4. In Vitro Evaluation of Antioxidant Activity
4.4.1. Free Radical Scavenging Activity (DPPH Assay)
4.4.2. Total Radical Scavenging Capacity (ABTS Assay)
4.4.3. Free Reducing Antioxidant Power (FRAP)
4.4.4. Ferrous Ion-Chelating Ability Assay
4.5. In Vitro Evaluation of Antitumor Activity
4.5.1. Cell Line and Cell Culture Conditions
4.5.2. Cell Viability Assay
4.5.3. Cell Cycle Analysis
4.5.4. Migration/Mobility (“Wound Healing”) Assay
4.5.5. Transwell Invasion Assay
4.6. Numerical Data Analysis
5. Conclusions
Supplementary Materials
Author Contributions
Funding
Institutional Review Board Statement
Informed Consent Statement
Data Availability Statement
Conflicts of Interest
References
- di Tizio, A.; Łuczaj, Ł.J.; Quave, C.L.; Redžić, S.; Pieroni, A. Traditional food and herbal uses of wild plants in the ancient South-Slavic diaspora of Mundimitar/Montemitro (Southern Italy). J. Ethnobiol. Ethnomed. 2012, 8, 21. [Google Scholar] [CrossRef] [PubMed]
- Uprety, Y.; Poudel, R.C.; Shrestha, K.K.; Rajbhandary, S.; Tiwari, N.N.; Shrestha, U.B.; Asselin, H. Diversity of use and local knowledge of wild edible plant resources in Nepal. J. Ethnobiol. Ethnomed. 2012, 8, 16. [Google Scholar] [CrossRef] [PubMed]
- Valiathan, M.S. Healing plants. Curr. Sci. 1998, 75, 1122–1126. [Google Scholar]
- Calixto, J.B.; Beirith, A.; Ferreira, J.; Santos, A.R.; Filho, V.C.; Yunes, R.A. Naturally occurring antinociceptive substance from plants. Phytother. Res. 2000, 14, 401–418. [Google Scholar] [CrossRef] [PubMed]
- Pant, V. Himalayan stinging nettle: Rich source of protein and minerals. J. Ethnobiol. Trad. Med. Photon. 2019, 130, 1487–1509. [Google Scholar]
- Singh, M.; Kali, G. Study on morpho-anatomical and histo-chemical charaterisation of stinging nettle, Urtica dioica L. in Uttarakhand, India. J. Pharmacogn. Phytochem. 2019, 8, 4325–4331. [Google Scholar]
- Abdeltawab, A.A.; Ullah, Z.; Al-Othman, A.M.; Ullah, R.; Hussain, I.; Ahmad, S.; Talha, M. Evaluation of the chemical composition and element analysis of Urtica dioica. Afr. J. Pharm. Pharmacol. 2012, 6, 1555–1558. [Google Scholar]
- Allardic, P. Association of Official Analytical Chemists, Official Methods of Analysis-Animal Feed Section. In A–Z of Companion Planting; Cassell Publishers Ltd.: London, UK, 1994; AOAC1993. [Google Scholar]
- Safamehr, A.; Mirahmadi, M.; Nobakht, A.Y. Effect of nettle (Urtica dioica) medicinal plant on growth performance, immune responses, and serum biochemical parameters of broiler chickens. Int. Res. J. Appl. Basic Sci. 2012, 3, 721–728. [Google Scholar]
- Said, A.A.H.; Otmani, I.S.E.; Derfoufi, S.; Benmoussa, A. Highlights on nutritional and therapeutic value of stinging nettle (Urtica dioica L.). Int. J. Pharm. Sci. 2015, 7, 8–14. [Google Scholar]
- Singh, R.; Dar, S.A.; Sharma, P. Antibacterial activity and toxicological evaluation of semipurified hexane extract of Urtica dioica leaves. Res. J. Med. Plants. 2012, 6, 123–135. [Google Scholar]
- Rodríguez-Fragoso, L.; Reyes-Esparza, J.; Burchiel, S.W.; Herrera-Ruiz, D.; Torres, E. Risks and benefits of commonly used herbal medicines in Mexico. Toxicol. Appl. Pharmacol. 2008, 227, 125–135. [Google Scholar] [CrossRef] [PubMed]
- Das, B.M.; Petruzzello, S.J. The use of active living every day to improve mass transit district employees’ physical activity affect and enjoyment. Int. J. Health Promot. Educ. 2015, 53, 147–155. [Google Scholar] [CrossRef]
- Jan, K.N.; Zarafshan, K.; Singh, S. Stinging nettle (Urtica dioica L.): A reservoir of nutrition and bioactive components with great functional potential. J. Food Meas. Charact. 2017, 11, 423–433. [Google Scholar] [CrossRef]
- AlShuwayeb, M.H.; Al-Khatibe, A.J. Molecular and chemical therapeutic features of Urtica species. Eur. Sci. J. 2013, 9, 253–261. [Google Scholar]
- Di Virgilio, N.; Papazoglou, E.G.; Jankauskiene, Z.; Di Lonardo, S.; Praczyk, M.; Wielgusz, K. The potential of stinging nettle (Urtica dioica L.) as a crop with multiple uses. Ind. Crops Prod. 2015, 68, 42–49. [Google Scholar] [CrossRef]
- Vajić, U.-J.; Grujić-Milanović, J.; Ţivković, J.; Šavikin, K.; Gođevac, D.; Miloradović, Z.; Bugarski, B.; Mihailović-Stanojević, N. Optimization of extraction of stinging nettle leaf phenolic compounds using response surface methodology. Ind. Crops Prod. 2015, 74, 912–917. [Google Scholar] [CrossRef]
- Orčić, D.; Franciškovic, M.; Bekvalac, K.; Svirčev, E.; Beara, I.; Lesjak, M.; Mimica-Dukić, N. Quantitative determination of plant phenolics in Urtica dioica extracts by high-performance liquid chromatography coupled with tandem mass spectrometric detection. Food Chem. 2014, 143, 48–53. [Google Scholar] [CrossRef]
- Kudritsata, S.E.; Filman, G.M.; Zagorodskaya, L.M.; Chikovani, D.M. Carotenoids of Urtica dioica. Chem. Nat. Compd. 1986, 22, 604–605. [Google Scholar] [CrossRef]
- Rafajlovska, V.; Kavrakovski, Z.; Simonovska, J.; Srbinoska, M. Determination of protein and mineral contents in stinging nettle. Qual. Life 2013, 4, 26–30. [Google Scholar] [CrossRef]
- Zhu, W.; Lv, C.; Wang, J.; Gao, Q.; Zhu, H.; Wen, H. Patuletin induces apoptosis of human breast cancer SK-BR-3 cell line via inhibiting fatty acid synthase gene expression and activity. Oncol. Lett. 2017, 14, 7449–7454. [Google Scholar] [CrossRef]
- Alvarado-Sansininea, J.J.; Sánchez-Sánchez, L.; López-Muñoz, H.; Escobar, M.L.; Flores-Guzmán, F.; Tavera-Hernández, R.; Jiménez-Estrada, M. Quercetagetin and patuletin: Antiproliferative, necrotic and apoptotic activity in tumor cell lines. Molecules 2018, 23, 2579. [Google Scholar] [CrossRef]
- Anantharaju, P.G.; Gowda, P.C.; Vimalambike, M.G.; Madhunapantula, S.V. An overview on the role of dietary phenolics for the treatment of cancers. Nutr. J. 2016, 15, 99. [Google Scholar] [CrossRef] [PubMed]
- Kamatou, G.P.P.; Viljoen, A.M. A review of the application and pharmacological properties of α-bisabolol and α-bisabolol-rich oils. J. Am. Oil Chem. Soc. 2010, 87, 1–7. [Google Scholar] [CrossRef]
- Farzami, B.; Ahmadvand, D.; Vardasbi, S.; Majin, F.J.; Khaghani, S. Induction of insulin secretion by a component of Urtica dioica leave extract in perifused Islets of Langerhans and its in vivo effects in normal and streptozotocin diabetic rats. J. Ethnopharmacol. 2003, 89, 47–53. [Google Scholar] [CrossRef] [PubMed]
- Domola, M.S.; Vu, V.; Robson-Doucette, C.A.; Sweeney, G.; Wheeler, M.B. Insulin memetics in U. dioica: Structural and computational analysis of Urtica dioica extracts. Phytother. Res. 2010, 24 (Suppl. S2), S175–S182. [Google Scholar] [CrossRef]
- Daferera, D.J.; Ziogas, B.N.; Polissiou, M.G. GC-MS analysis of essential oils from some Greek aromatic plants and their fungitoxicity on Penicillium digitatum. J. Agric. Food Chem. 2000, 48, 2576–2581. [Google Scholar] [CrossRef]
- Del Río, D.; Rodríguez-Mateos, A.; Spencer, J.P.E.; Tognolini, M.; Borges, G.; Crozier, A. Dietary (poly)phenolics in human health: Structures, bioavailability, and evidence of protective effects against chronic diseases. Antioxid. Redox Signal. 2013, 18, 1818–1892. [Google Scholar] [CrossRef]
- Soković, M.; Marin, D.P.; Brkić, D.; van Griensven, L.J.L.D. Chemical composition and antibacterial activity of essential oils against human pathogenic bacteria. Food 2008, 1, 220–226. Available online: https://edepot.wur.nl/43268 (accessed on 20 January 2025).
- Modarresi-Chahardehi, A.; Ibrahim, D.; Fariza-Sulaiman, S.; Aboulhassani, F. Determination of antimicrobial activity of various extracts of stinging nettle (Urtica dioica). J. Med. Plant. 2012, 11, 98–104. [Google Scholar]
- Khanam, Z.; Wen, C.S.; Bhat, I.U.H. Phytochemical screening and antimicrobial activity of root and stem extracts of wild Eurycoma longifolia Jack (Tongkat Ali). J. King Saud Univ. Sci. 2015, 27, 23–30. [Google Scholar] [CrossRef]
- Ramtin, M.; Massiha, A.; Khoshkholgh-Pahlaviani, M.R.M.; Issazadeh, K.; Assmar, M.; Zarrabi, S. In vitro antimicrobial activity of Iris pseudacorus and Urtica dioica. Zahedan J. Res. Med. Sci. 2014, 16, 35–39. [Google Scholar]
- Kiaei, E.; Mazandarani, M.; Ghaemi, E. Antibacterial activity of 7 species of medicinal plants on bacteria isolated from UTI patients in Golestan province. J. Med. Plants. 2010, 9, 74–83. (In Persian) [Google Scholar]
- Oroujalian, F.; Kasra Kermanshahi, R.; Azizi, M.; Basami, M.R. Synergistic antibacterial activity of the essential oils from three medicinal plants against some important food-borne pathogens by microdilution method. Iranian J. Med. Aromatic Plants Res. 2010, 26, 133–146. [Google Scholar]
- Khosravinia, S.; Ziaratnia, S.M.; Bagheri, A.; Marashi, S.H. Investigation of antibacterial effects of cell suspension culture and comparison by essential oils and seed extract in Bunium persicum. J. Res. Innov. Food Sci. Technol. 2013, 2, 79–92. [Google Scholar]
- Lee, A.S.; de Lencastre, H.; Garau, J.; Kluytmans, J.; Malhotra-Kumar, S.; Peschel, A.; Harbarth, S. Methicillin-resistant Staphylococcus aureus. Nat. Rev. Dis. Primers 2018, 4, 18033. [Google Scholar] [CrossRef]
- Paitan, Y. Current trends in antimicrobial resistance of Escherichia coli. Curr. Top. Microbiol. Immunol. 2018, 416, 181–211. [Google Scholar]
- Bahramianfard, H.; Derakhshandeh, A.; Naziri, Z.; Khaltabadi Farahani, R. Prevalence, virulence factor and antimicrobial resistance analysis of Salmonella enteritidis from poultry and egg samples in Iran. BMC Vet. Res. 2021, 17, 196. [Google Scholar] [CrossRef]
- Pieroni, A.; Janiak, V.; Dürr, C.; Lüdeke, S.; Trachsel, E.; Heinrich, M. In vitro antioxidant activity of non-cultivated vegetables of ethnic Albanians in southern Italy. Phytother. Res. 2002, 16, 467–473. [Google Scholar] [CrossRef]
- Shabir, S.; Yousuf, S.; Singh, S.K.; Vamanu, E.; Singh, M.P. Ethnopharmacological effects of Urtica dioica, matricaria Chamomilla, and Murraya koenigii on rotenone-exposed D. melanogaster: An attenuation of cellular, biochemical, and organismal markers. Antioxidants 2022, 11, 1623. [Google Scholar] [CrossRef]
- Kukríc, Z.Z.; Topalíc-Trivunovíc, L.N.; Kukavica, B.M.; Matoš, S.B.; Pavicíc, S.S.; Boroja, M.M.; Savíc, A.V. Characterization of antioxidant and antimicrobial activities of nettle leaves (Urtica dioica L.). Acta Period. Technol. 2012, 43, 257–272. [Google Scholar] [CrossRef]
- Fattahi, S.; Ardekani, A.M.; Zabihi, E.; Abedian, Z.; Mostafazadeh, A.; Pourbagher, R.; Akhavan-Niaki, H. Antioxidant and apoptotic effects of an aqueous extract of Urtica dioica on the MCF-7 human breast cancer cell line. Asian Pac. J. Cancer Prev. 2013, 14, 5317–5323. [Google Scholar] [CrossRef] [PubMed]
- Sidaoui, F.; Belghith, S.I.; Barth, D.; Trabelsi-Ayadi, M.; Cherif, J.K. Study of Tunisian nettle leaves (Urtica dioica L.): Mineral composition and antioxidant capacity of their extracts obtained by maceration and supercritical fluid extraction. Int. J. Pharmacogn. Phytochem. Res. 2015, 7, 707–713. [Google Scholar]
- Carvalho, A.R.; Costa, G.; Figueirinha, A.; Liberal, J.; Prior, J.A.; Lopes, M.C.; Cruz, M.T.; Batista, M.T. Urtica spp.: Phenolic composition, safety, antioxidant and anti-inflammatory activities. Food Res. Int. 2017, 99, 485–494. [Google Scholar] [CrossRef] [PubMed]
- Moniruzzaman, M.; Dutta, S.D.; Hexiu, J.; Ganguly, K.; Lim, K.-T.; Kim, J. Polyphenol derived bioactive carbon quantum dotincorporated multifunctional hydrogels as an oxidative stress attenuator for antiaging and in vivo wound-healing applications. Biomater. Sci. 2022, 10, 3527–3539. [Google Scholar] [CrossRef]
- Razika, L.; Thanina, A.C.; Nadjiba, C.-M.; Narimen, B.; Mahdi, D.M.; Karim, A. Antioxidant and wound healing potential of saponins extracted from the leaves of Algerian Urtica dioica L. Pak. J. Pharm. Sci. 2017, 30, 1023–1029. [Google Scholar]
- Zarea, K.; Beiranvand, S.; Ghanbari, S.; Tuvesson, H. Incidence of gastrointestinal cancers in Iran: A systematic review. Jundishapur J. Chronic Dis. Care 2017, 6, e37224. [Google Scholar] [CrossRef]
- Lu, J.-H.; Chou, Y.-R.; Deng, Y.-H.; Huang, M.-S.; Chien, S.-T.; Quynh, B.T.N.; Wu, C.-Y.; Achtmann, E.A.P.; Cheng, H.-S.; Dubey, N.K.; et al. The novel herbal cocktail AGA alleviates oral cancer through inducing apoptosis, inhibited migration and promotion of cell cycle arrest at SubG1 phase. Cancers 2020, 12, 3214. [Google Scholar] [CrossRef]
- Ait-Mohamed, O.; Battisti, V.; Joliot, V.; Fritsch, L.; Pontis, J.; Medjkane, S.; Redeuilh, C.; Lamouir, A.; Fahy, C.; Rholam, M.; et al. Acetonic extract of Buxus sempervirens induces cell cycle arrest, apoptosis and autophagy in breast cancer cells. PLoS ONE 2011, 6, e24537. [Google Scholar] [CrossRef]
- Konrad, L.; Müller, H.-H.; Lenz, C.; Laubinger, H.; Aumüller, G.; Lichius, J.J. Antiproliferative effect on human prostate cancer cells by a stinging nettle root (Urtica dioica) extract. Planta Med. 2000, 66, 44–47. [Google Scholar] [CrossRef]
- Gözüm, S.; Tezel, A.; Koc, M. Complementary alternative treatments used by patients with cancer in eastern Turkey. Cancer Nurs. 2003, 26, 230–236. [Google Scholar] [CrossRef]
- Nahata, A.; Dixit, V. Ameliorative effects of stinging nettle (Urtica dioica) on testosterone-induced prostatic hyperplasia in rats. Andrologia 2012, 44 (Suppl. S1), 396–409. [Google Scholar] [CrossRef] [PubMed]
- Mohammadi, A.; Mansoori, B.; Aghapour, M.; Baradaran, P.C.; Shajari, N.; Davudian, S.; Salehi, S.; Baradaran, B. The herbal medicine Utrica dioica inhibits proliferation of colorectal cancer cell line by inducing apoptosis and arrest at the g2/m phase. J. Gastrointest. Cancer 2016, 47, 187–195. [Google Scholar] [CrossRef] [PubMed]
- Harput, U.S.; Saracoglu, I.; Ogihara, Y. Stimulation of lymphocyte proliferation and inhibition of nitric oxide production by aqueous Urtica dioica extract. Phytother. Res. 2005, 19, 346–348. [Google Scholar] [CrossRef] [PubMed]
- Katiyar, S.K. Green tea prevents non-melanoma skin cancer by enhancing DNA repair. Arch. Biochem. Biophys. 2011, 508, 152–158. [Google Scholar] [CrossRef]
- Li, T.; Zhu, J.; Guo, L.; Shi, X.; Liu, Y.; Yang, X. Differential effects of polyphenols enriched extracts from hawthorn fruit peels and fleshes on cell cycle and apoptosis in human MCF-7 breast carcinoma cells. Food Chem. 2013, 141, 1008–1018. [Google Scholar] [CrossRef]
- Huang, S.; Wang, L.-L.; Xue, N.-N.; Li, C.; Guo, H.-H.; Ren, T.-K.; Zhan, Y.; Li, W.-B.; Zhang, J.; Chen, X.-G.; et al. Chlorogenic acid effectively treats cancers through induction of cancer cell differentiation. Theranostics 2019, 9, 6745–6763. [Google Scholar] [CrossRef]
- Ito, K.; Nakazato, T.; Yamato, K.; Miyakawa, Y.; Yamada, T.; Hozumi, N.; Segawa, K.; Ikeda, Y.; Kizaki, M. Induction of apoptosis in leukemic cells by homovanillic acid derivative, capsaicin, through oxidative stress: Implication of phosphorylation of p53 at Ser-15 residue by reactive oxygen species. Cancer Res. 2004, 64, 1071–1078. [Google Scholar] [CrossRef]
- Cárdenas, C.; Quesada, A.R.; Medina, M.A. Evaluation of the anti-angiogenic effect of aloe-emodin. Cell. Mol. Life Sci. 2006, 63, 3083–3089. [Google Scholar] [CrossRef]
- Rey-Blanes, C.; Pérez-Portero, Y.; Morris-Quevedo, H.J.; Casas, V.; Abdala, R.; Quesada, A.R.; Martínez-Poveda, B.; Medina, M.A. In vitro evaluation of the antitumoral and antiangiogenic effects of extracts from Spondias mombin L. leaves. Biomed. Pharmacother. 2020, 131, 110716. [Google Scholar] [CrossRef]
- Mansoori, B.; Mohammadi, A.; Hashemzadeh, S.; Shirjang, S.; Baradaran, A.; Asadi, M.; Baradaran, B. Urtica dioica extract suppresses miR-21 and metastasis-related genes in breast cancer. Biomed. Pharmacother. 2017, 93, 95–102. [Google Scholar] [CrossRef]
- Nazeer, R.A.; Sampath Kumar, N.S.; Jai Ganesh, R. In vitro and in vivo studies on the antioxidant activity of fish peptide isolated from the croaker (Otolithes ruber) muscle protein hydrolysate. Peptides 2012, 35, 261–268. [Google Scholar] [CrossRef] [PubMed]
- Siddhuraju, P. The antioxidant activity and free radical-scavenging capacity of phenolics of raw and dry heated moth bean (Vigna aconitifolia) (Jacq.) Marechal seed extracts. Food Chem. 2006, 99, 149–157. [Google Scholar] [CrossRef]
- Yildirim, A.; Mavi, A.; Kara, A.A. Determination of antioxidant and antimicrobial activities of Rumex crispus L. extracts. J. Agric. Food Chem. 2001, 49, 4083–4089. [Google Scholar] [CrossRef] [PubMed]
- Decker, E.A.; Welch, B. Role of ferritin as a lipid oxidation catalyst in muscle food. J. Agric. Food Chem. 1990, 38, 674–677. [Google Scholar] [CrossRef]







| Compound | Molecular Formula | Annotation MW | m/z | Calculated MW | Mass Error (ppm) | RT (min) | Reference Ion |
|---|---|---|---|---|---|---|---|
| 2-Hydroxycinnamic acid | C9 H8 O3 | 164.04734 | 165.05466 | 164.04738 | 0.21 | 46.229 | [M+H]+1 |
| 3,4-Dihydroxybenzaldehyde | C7 H6 O3 | 138.03169 | 139.03893 | 138.03165 | −0.33 | 45.023 | [M+H]+1 |
| 4-Hydroxycoumarine | C9 H6 O3 | 162.03169 | 163.03888 | 162.03160 | −0.56 | 61.499 | [M+H]+1 |
| 4-Methylumbelliferone hydrate | C10 H8 O3 | 176.04734 | 209.08083 | 176.04728 | −0.38 | 25.641 | [M+H+MeOH]+1 |
| alpha-Bisabolol | C15 H26 O | 222.19837 | 223.20572 | 222.19844 | 0.35 | 47.887 | [M+H]+1 |
| alpha-Bisabolol, acetate | C17 H28 O2 | 264.20893 | 247.20554 | 264.20872 | −0.80 | 38.134 | [M+H-H2O]+1 |
| alpha-Farnesene | C15 H24 | 204.18780 | 205.19513 | 204.18786 | 0.27 | 46.802 | [M+H]+1 |
| alpha-Pinene | C10 H16 | 136.12520 | 137.13272 | 136.12544 | 1.79 | 0.094 | [M+H]+1 |
| Angelic acid | C5 H8 O2 | 100.05243 | 101.06010 | 100.05283 | 3.98 | 41.247 | [M+H]+1 |
| Azulene | C10 H8 | 128.06260 | 129.07001 | 128.06273 | 1.02 | 32.950 | [M+H]+1 |
| Bisabolol oxide A | C15 H26 O2 | 238.19328 | 239.20044 | 238.19316 | −0.49 | 35.740 | [M+H]+1 |
| Caffeic acid | C9 H8 O4 | 180.04226 | 181.04964 | 180.04250 | 1.34 | 46.627 | [M+H]+1 |
| Catechol | C6 H6 O2 | 110.03678 | 111.04445 | 110.03717 | 3.57 | 38.796 | [M+H]+1 |
| Chamazulene | C14 H16 | 184.12520 | 185.13251 | 184.12523 | 0.16 | 42.687 | [M+H]+1 |
| Ethyl protocatechuate | C9 H10 O4 | 182.05791 | 183.06531 | 182.05803 | 0.67 | 14.681 | [M+H]+1 |
| p-Coumaric acid | C9 H8 O3 | 164.04734 | 165.05460 | 164.04732 | −0.15 | 20.856 | [M+H]+1 |
| Strains | Zone of Inhibition (mm) 1 | |
|---|---|---|
| AEUD (20 µL/disc) | Gentamicin (10 UI/disc) | |
| Gram positive | ||
| S. aureus ATCC29213 | 6 ± 0 | 30 |
| E. faecalis ATCC29212 | 10 ± 1 | 33 |
| B. cereus ATCC11778 | 6 ± 0 | 30 |
| L. monocytogenes ATCC7644 | 6 ± 0 | 30 |
| Gram negative | ||
| E. coli ATCC25983 | 6 ± 0 | 30 |
| P. aeruginosa ATCC27853 | 13 ± 1 | 30 |
| S. enteritidis ATCC13076 | 6 ± 0 | 31 |
| S. typhimirium ATCC14028 | 14 ± 0 | 37 |
| Shigella flexneri | 6 ± 0 | 33 |
| Strains | MIC (mg/mL) | MBC (mg/mL) | Bacterial Activity |
|---|---|---|---|
| Gram positive | |||
| S. aureus ATCC29213 | 6.25 | 50 | Bacteriostatic |
| E. faecalis ATCC29212 | 0.39 | 0.39 | Bactericidal |
| B. cereus ATCC 11778 | 0.39 | 0.39 | Bactericidal |
| L. monocytogenes ATCC7644 | 1.56 | 1.56 | Bactericidal |
| Gram negative | |||
| E. coli ATCC25983 | 0.195 | 50 | Bacteriostatic |
| P. aeruginosa ATCC27853 | 0.39 | 50 | Bacteriostatic |
| S. enteritidis ATCC13076 | 12.5 | 25 | Bactericidal |
| S. typhimirium ATCC14028 | 1.562 | 1.562 | Bactericidal |
| Shigella flexneri | 12.5 | 25 | Bactericidal |
Disclaimer/Publisher’s Note: The statements, opinions and data contained in all publications are solely those of the individual author(s) and contributor(s) and not of MDPI and/or the editor(s). MDPI and/or the editor(s) disclaim responsibility for any injury to people or property resulting from any ideas, methods, instructions or products referred to in the content. |
© 2025 by the authors. Licensee MDPI, Basel, Switzerland. This article is an open access article distributed under the terms and conditions of the Creative Commons Attribution (CC BY) license (https://creativecommons.org/licenses/by/4.0/).
Share and Cite
Dakhli, N.; López-Jiménez, A.; Cárdenas, C.; Hraoui, M.; Dhaouafi, J.; Bernal, M.; Sebai, H.; Medina, M.Á. Urtica dioica Aqueous Leaf Extract: Chemical Composition and In Vitro Evaluation of Biological Activities. Int. J. Mol. Sci. 2025, 26, 1220. https://doi.org/10.3390/ijms26031220
Dakhli N, López-Jiménez A, Cárdenas C, Hraoui M, Dhaouafi J, Bernal M, Sebai H, Medina MÁ. Urtica dioica Aqueous Leaf Extract: Chemical Composition and In Vitro Evaluation of Biological Activities. International Journal of Molecular Sciences. 2025; 26(3):1220. https://doi.org/10.3390/ijms26031220
Chicago/Turabian StyleDakhli, Nouha, Auxiliadora López-Jiménez, Casimiro Cárdenas, Manel Hraoui, Jihene Dhaouafi, Manuel Bernal, Hichem Sebai, and Miguel Ángel Medina. 2025. "Urtica dioica Aqueous Leaf Extract: Chemical Composition and In Vitro Evaluation of Biological Activities" International Journal of Molecular Sciences 26, no. 3: 1220. https://doi.org/10.3390/ijms26031220
APA StyleDakhli, N., López-Jiménez, A., Cárdenas, C., Hraoui, M., Dhaouafi, J., Bernal, M., Sebai, H., & Medina, M. Á. (2025). Urtica dioica Aqueous Leaf Extract: Chemical Composition and In Vitro Evaluation of Biological Activities. International Journal of Molecular Sciences, 26(3), 1220. https://doi.org/10.3390/ijms26031220

