Overexpression of Myo-Inositol Oxygenase (TaMIOXA) Enhances the Drought and High-Temperature Resistance of Triticum aestivum L.
Abstract
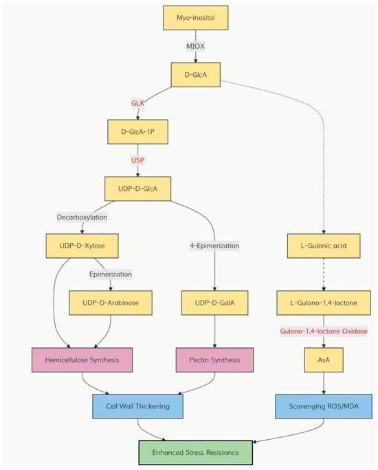
1. Introduction
2. Results
2.1. Gene Sequence Information of Myo-Inositol Oxygenase
2.2. Changes in Myo-Inositol Oxygenase Transcription Level Under Drought and High-Temperature Stress
2.3. Construction of Wheat MIOXA Overexpression Lines
2.4. Detection of Various Indicators of Overexpressing Strains
2.4.1. Phenotype of Drought and High-Temperature Treatment
2.4.2. Detection of Physiological Indexes
3. Discussion
4. Materials and Methods
4.1. Isolation and Cloning of TaMIOXA
4.2. Bioinformatics Analysis of TaMIOXA
4.3. Expression Analysis of the TaMIOXA Gene
4.4. Preparation of Vector and Transformation of Wheat Plants
4.5. Plant Materials and Treatments
4.6. Analysis of Physiological Indicators After Stress Overexpression of TaMIOXA in Wheat
5. Conclusions
Supplementary Materials
Author Contributions
Funding
Institutional Review Board Statement
Informed Consent Statement
Data Availability Statement
Acknowledgments
Conflicts of Interest
Abbreviations
| TaMIOXA | myo-inositol oxygenase gene in Triticum aestivum A-genome (Triticum urartu) |
| TaMIOXB | myo-inositol oxygenase gene in Triticum aestivum B-genome (Aegilops speltoides) |
| TaMIOXD | myo-inositol oxygenase gene in Triticum aestivum D-genome (Aegilops tauschii) |
| B207 A | TaMIOXA overexpressing lines of wheat cultivar Bainong 207 |
| Y13 A | TaMIOXA overexpressing lines of wheat cultivar Yangmai 13 |
| Z7698 A | TaMIOXA overexpressing lines of wheat cultivar Zhengmai 7698 |
| B207 CK | control line of wheat cultivar Bainong 207 |
| Y13 CK | control line of wheat cultivar Yangmai 13 |
| Z7698 CK | control line of wheat cultivar Zhengmai 7698 |
| CAT | catalase |
| SOD | superoxide dismutase |
| POD | peroxidase |
| GlcA | glucuronic acid |
| ASA | ascorbic acid |
| MDA | malondialdehyde |
References
- Wang, Y.; Yang, M.; Wei, S.; Qin, F.; Zhao, H.; Suo, B. Identification of Circular RNAs and Their Targets in Leaves of Triticum aestivum L. under Dehydration Stress. Front. Plant Sci. 2016, 7, 2024. [Google Scholar] [CrossRef]
- Zhang, Y.; Wang, J.; Li, Y.; Zhang, Z.; Yang, L.; Wang, M.; Zhang, Y.; Zhang, J.; Li, C.; Li, L.; et al. Wheat TaSnRK2.10 phosphorylates TaERD15 and TaENO1 and confers drought tolerance when overexpressed in rice. Plant Physiol. 2023, 191, 1344–1364. [Google Scholar] [CrossRef]
- Li, H.; Yu, M.; Zhu, X.; Nai, F.; Yang, R.; Wang, L.; Liu, Y.; Wei, Y.; Ma, X.; Yu, H.; et al. TaGSr contributes to low-nitrogen tolerance by optimizing nitrogen uptake and assimilation in Arabidopsis. Environ. Exp. Bot. 2024, 219, 105657. [Google Scholar] [CrossRef]
- Reynolds, M.P.; Lewis, J.M.; Ammar, K.; Basnet, B.R.; Crespo-Herrera, L.; Crossa, J.; Dhugga, K.S.; Dreisigacker, S.; Juliana, P.; Karwat, H.; et al. Harnessing translational research in wheat for climate resilience. J. Exp. Bot. 2021, 72, 5134–5157. [Google Scholar] [CrossRef] [PubMed]
- Rathor, P.; Rouleau, V.; Gorim, L.Y.; Chen, G.; Thilakarathna, M.S. Humalite enhances the growth, grain yield, and protein content of wheat by improving soil nitrogen availability and nutrient uptake. J. Plant Nutr. Soil Sci. 2024, 187, 247–259. [Google Scholar] [CrossRef]
- Zhao, G.; Xu, H.; Zhang, P.; Su, X.; Zhao, H. Effects of 2,4-epibrassinolide on photosynthesis and Rubisco activase gene expression in Triticum aestivum L. seedlings under a combination of drought and heat stress. Plant Growth Regul. 2017, 81, 377–384. [Google Scholar] [CrossRef]
- Xiong, W.; Reynolds, M.P. Wheat breeding strategies for increased climate resilience. Nat. Clim. Change 2024, 14, 791–792. [Google Scholar] [CrossRef]
- Li, H.; Xu, H.; Zhang, P.; Gao, M.; Wang, D.; Zhao, H. High temperature effects on D1 protein turnover in three wheat varieties with different heat susceptibility. Plant Growth Regul. 2017, 81, 1–9. [Google Scholar] [CrossRef]
- Perdomo, J.A.; Capó-Bauçà, S.; Carmo-Silva, E.; Galmés, J. Rubisco and Rubisco Activase Play an Important Role in the Biochemical Limitations of Photosynthesis in Rice, Wheat, and Maize under High Temperature and Water Deficit. Front. Plant Sci. 2017, 8, 490. [Google Scholar] [CrossRef]
- Liu, J.; Hasanuzzaman, M.; Wen, H.; Zhang, J.; Peng, T.; Sun, H.; Zhao, Q. High temperature and drought stress cause abscisic acid and reactive oxygen species accumulation and suppress seed germination growth in rice. Protoplasma 2019, 256, 1217–1227. [Google Scholar] [CrossRef]
- Ding, H.; Ma, D.; Huang, X.; Hou, J.; Wang, C.; Xie, Y.; Wang, Y.; Qin, H.; Guo, T. Exogenous hydrogen sulfide alleviates salt stress by improving antioxidant defenses and the salt overly sensitive pathway in wheat seedlings. Acta Physiol. Plant. 2019, 41, 123. [Google Scholar] [CrossRef]
- Guo, X.; Xin, Z.; Yang, T.; Ma, X.; Zhang, Y.; Wang, Z.; Ren, Y.; Lin, T. Metabolomics Response for Drought Stress Tolerance in Chinese Wheat Genotypes (Triticum aestivum). Plants 2020, 9, 520. [Google Scholar] [CrossRef] [PubMed]
- Maseyk, K.; Lin, T.; Cochavi, A.; Schwartz, A.; Yakir, D. Quantification of leaf-scale light energy allocation and photoprotection processes in a Mediterranean pine forest under extensive seasonal drought. Tree Physiol. 2019, 39, 1767–1782. [Google Scholar] [CrossRef] [PubMed]
- Bouremani, N.; Cherif-Silini, H.; Silini, A.; Bouket, A.C.; Luptakova, L.; Alenezi, F.N.; Baranov, O.; Belbahri, L. Plant Growth-Promoting Rhizobacteria (PGPR): A Rampart against the Adverse Effects of Drought Stress. Water 2023, 15, 418. [Google Scholar] [CrossRef]
- Zhang, L.; Yan, S.; Zhang, S.; Yan, P.; Wang, J.; Zhang, H. Glutathione, carbohydrate and other metabolites of Larix olgensis A. Henry reponse to polyethylene glycol-simulated drought stress. PLoS ONE 2021, 16, e0253780. [Google Scholar] [CrossRef]
- Liu, F.; Zhao, Y.; Wang, X.; Wang, B.; Xiao, F.; He, K. Physiological response and drought resistance evaluation of Gleditsia sinensis seedlings under drought-rehydration state. Sci. Rep. 2023, 13, 19963. [Google Scholar] [CrossRef]
- Bi, H.; Shi, J.; Kovalchuk, N.; Luang, S.; Bazanova, N.; Chirkova, L.; Zhang, D.; Shavrukov, Y.; Stepanenko, A.; Tricker, P.; et al. Overexpression of the TaSHN1 transcription factor in bread wheat leads to leaf surface modifications, improved drought tolerance, and no yield penalty under controlled growth conditions. Plant Cell Environ. 2018, 41, 2549–2566. [Google Scholar] [CrossRef]
- Xue, R.L.; Wang, S.Q.; Xu, H.L.; Zhang, P.J.; Li, H.; Zhao, H.J. Progesterone increases photochemical efficiency of photosystem II in wheat under heat stress by facilitating D1 protein phosphorylation. Photosynthetica 2017, 55, 664–670. [Google Scholar] [CrossRef]
- Chen, Y.; Yu, X. Endoplasmic reticulum stress-responsive microRNAs are involved in the regulation of abiotic stresses in wheat. Plant Cell Rep. 2023, 42, 1433–1452. [Google Scholar] [CrossRef]
- Qi, X.; Xu, W.; Zhang, J.; Guo, R.; Zhao, M.; Hu, L.; Wang, H.; Dong, H.; Li, Y. Physiological characteristics and metabolomics of transgenic wheat containing the maize C4 phosphoenolpyruvate carboxylase (PEPC) gene under high temperature stress. Protoplasma 2017, 254, 1017–1030. [Google Scholar] [CrossRef]
- Zhao, Y.; Cheng, X.; Liu, X.; Wu, H.; Bi, H.; Xu, H. The Wheat MYB Transcription Factor TaMYB31 Is Involved in Drought Stress Responses in Arabidopsis. Front. Plant Sci. 2018, 9, 1426. [Google Scholar] [CrossRef]
- Zhao, Y.; He, J.; Liu, M.; Miao, J.; Ma, C.; Feng, Y.; Qian, J.; Li, H.; Bi, H.; Liu, W. The SPL transcription factor TaSPL6 negatively regulates drought stress response in wheat. Plant Physiol. Biochem. 2024, 206, 108264. [Google Scholar] [CrossRef]
- Dai, X.; Wang, Y.; Chen, Y.; Li, H.; Xu, S.; Yang, T.; Zhang, X.; Su, X.; Xia, Z. Overexpression of NtDOG1L-T Improves Heat Stress Tolerance by Modulation of Antioxidant Capability and Defense-, Heat-, and ABA-Related Gene Expression in Tobacco. Front. Plant Sci. 2020, 11, 568489. [Google Scholar] [CrossRef]
- Wang, H.; Wang, M.; Xia, Z. Overexpression of a maize SUMO conjugating enzyme gene (ZmSCE1e) increases Sumoylation levels and enhances salt and drought tolerance in transgenic tobacco. Plant Sci. 2019, 281, 113–121. [Google Scholar] [CrossRef]
- Wang, Z.; Zhao, X.; Ren, Z.; Abou-Elwafa, S.F.; Pu, X.; Zhu, Y.; Dou, D.; Su, H.; Cheng, H.; Liu, Z.; et al. ZmERF21 directly regulates hormone signaling and stress-responsive gene expression to influence drought tolerance in maize seedlings. Plant Cell Environ. 2022, 45, 312–328. [Google Scholar] [CrossRef]
- Mushtaq, N.; Wang, Y.; Fan, J.; Li, Y.; Ding, J. Down-Regulation of Cytokinin Receptor Gene SlHK2 Improves Plant Tolerance to Drought, Heat, and Combined Stresses in Tomato. Plants 2022, 11, 154. [Google Scholar] [CrossRef] [PubMed]
- Zhao, Y.; Miao, J.; He, J.; Tian, X.; Gao, K.; Ma, C.; Tian, X.; Men, W.; Li, H.; Bi, H.; et al. Wheat heat shock factor TaHsfA2d contributes to plant responses to phosphate deficiency. Plant Physiol. Biochem. 2022, 185, 178–187. [Google Scholar] [CrossRef] [PubMed]
- Alok, A.; Singh, S.; Kumar, P.; Bhati, K.K. Potential of engineering the myo-inositol oxidation pathway to increase stress resilience in plants. Mol. Biol. Rep. 2022, 49, 8025–8035. [Google Scholar] [CrossRef] [PubMed]
- Ivanov Kavkova, E.; Blöchl, C.; Tenhaken, R. The Myo-inositol pathway does not contribute to ascorbic acid synthesis. Plant Biol. 2019, 21 (Suppl. 1), 95–102. [Google Scholar] [CrossRef]
- Li, Z.; Liu, Z.; Wei, Y.; Liu, Y.; Xing, L.; Liu, M.; Li, P.; Lu, Q.; Peng, R. Genome-wide identification of the MIOX gene family and their expression profile in cotton development and response to abiotic stress. PLoS ONE 2021, 16, e0254111. [Google Scholar] [CrossRef]
- Nepal, N.; Yactayo-Chang, J.P.; Medina-Jiménez, K.; Acosta-Gamboa, L.M.; González-Romero, M.E.; Arteaga-Vázquez, M.A.; Lorence, A. Mechanisms underlying the enhanced biomass and abiotic stress tolerance phenotype of an Arabidopsis MIOX over-expresser. Plant Direct 2019, 3, e00165. [Google Scholar] [CrossRef]
- Liu, L.; Li, J.F.; Guo, Z.P.; Su, H.; Wang, D.; Guo, R.R. Henan Province: Precise measures to fully ensure the water supply demand for drought resistance, planting and seedling protection. China Flood Drought Manag. 2024, 34, 81–82. [Google Scholar]
- Carril, P.; da Silva, A.B.; Tenreiro, R.; Cruz, C. An Optimized in situ Quantification Method of Leaf H2O2 Unveils Interaction Dynamics of Pathogenic and Beneficial Bacteria in Wheat. Front. Plant Sci. 2020, 11, 889. [Google Scholar] [CrossRef] [PubMed]
- Moskala, R.; Reddy, C.C.; Minard, R.D.; Hamilton, G.A. An oxygen-18 tracer investigation of the mechanism of myo-inositol oxygenase. Biochem. Biophys. Res. Commun. 1981, 99, 107–113. [Google Scholar] [CrossRef] [PubMed]
- Lorence, A.; Chevone, B.I.; Mendes, P.; Nessler, C.L. myo-inositol oxygenase offers a possible entry point into plant ascorbate biosynthesis. Plant Physiol. 2004, 134, 1200–1205. [Google Scholar] [CrossRef] [PubMed]
- Munir, S.; Mumtaz, M.A.; Ahiakpa, J.K.; Liu, G.; Chen, W.; Zhou, G.; Zheng, W.; Ye, Z.; Zhang, Y. Genome-wide analysis of Myo-inositol oxygenase gene family in tomato reveals their involvement in ascorbic acid accumulation. BMC Genom. 2020, 21, 284. [Google Scholar] [CrossRef]
- Xue, Z. Main Pathway and Key Gene Contribution to the Increasing AsA Concentration in Cucumber Leaves under Nitrogen Deficiency; Chinese Academy of Agricultural Sciences: Beijing, China, 2016. [Google Scholar]
- Tatineni, S.; Alexander, J.; Qu, F. Differential Synergistic Interactions Among Four Different Wheat-Infecting Viruses. Front. Microbiol. 2021, 12, 800318. [Google Scholar] [CrossRef]
- Wang, C.; Gan, J.; Mi, X. On four species of the genus Argiope Audouin, 1826 (Araneae, Araneidae) from China. Zookeys 2021, 1019, 15–34. [Google Scholar] [CrossRef]
- Wang, X.; Qin, Z.; Zhang, M.; Shang, B.; Li, Z.; Zhao, M.; Tang, Q.; Tang, Q.; Luo, J. Immunogenicity and protection of recombinant self-assembling ferritin-hemagglutinin nanoparticle influenza vaccine in mice. Clin. Exp. Vaccine Res. 2025, 14, 23–34. [Google Scholar] [CrossRef]
- Sayers, E.W.; Bolton, E.E.; Brister, J.R.; Canese, K.; Chan, J.; Comeau, D.C.; Connor, R.; Funk, K.; Kelly, C.; Kim, S.; et al. Database resources of the national center for biotechnology information. Nucleic Acids Res. 2022, 50, D20–D26. [Google Scholar] [CrossRef]
- Tan, B.; Yan, L.; Li, H.; Lian, X.; Cheng, J.; Wang, W.; Zheng, X.; Wang, X.; Li, J.; Ye, X.; et al. Genome-wide identification of HSF family in peach and functional analysis of PpHSF5 involvement in root and aerial organ development. PeerJ 2021, 9, e10961. [Google Scholar] [CrossRef] [PubMed]
- Wu, Z.; Du, Y.; Li, Z.; Guo, R.; Li, Y.; Wei, J.; Yin, X.; Su, L. Soldier Caste-Specific Protein 1 Is Involved in Soldier Differentiation in Termite Reticulitermes aculabialis. Insects 2022, 13, 502. [Google Scholar] [CrossRef] [PubMed]
- Valdés-Tresanco, M.S.; Valdés-Tresanco, M.E.; Valiente, P.A.; Moreno, E. AMDock: A versatile graphical tool for assisting molecular docking with AutoDock Vina and AutoDock4. Biol. Direct 2020, 15, 12. [Google Scholar] [CrossRef] [PubMed]
- Wang, L.; Li, H.; Zhao, C.; Li, S.; Kong, L.; Wu, W.; Kong, W.; Liu, Y.; Wei, Y.; Zhu, J.K.; et al. The inhibition of protein translation mediated by AtGCN1 is essential for cold tolerance in Arabidopsis thaliana. Plant Cell Environ. 2017, 40, 56–68. [Google Scholar] [CrossRef]
- Galbiati, M.; Matus, J.T.; Francia, P.; Rusconi, F.; Cañón, P.; Medina, C.; Conti, L.; Cominelli, E.; Tonelli, C.; Arce-Johnson, P. The grapevine guard cell-related VvMYB60 transcription factor is involved in the regulation of stomatal activity and is differentially expressed in response to ABA and osmotic stress. BMC Plant Biol. 2011, 11, 142. [Google Scholar] [CrossRef]
- Wang, Y.; Yang, K.; Bai, C.; Yin, D.; Li, G.; Qi, K.; Wang, G.; Li, Y. Development of a SYBR Green I real-time PCR for the detection of the orf virus. AMB Express 2017, 7, 21. [Google Scholar] [CrossRef]
- Zhang, L.; Cui, X.; Yang, L.; Raziq, A.; Hao, S.; Zeng, W.; Huang, J.; Cao, Y.; Duan, Q. Nontransformation methods for studying signaling pathways and genes involved in Brassica rapa pollen-stigma interactions. Plant Physiol. 2024, 196, 1802–1812. [Google Scholar] [CrossRef]
- Gao, Y.; Yang, J.; Duan, W.; Ma, X.; Qu, L.; Xu, Z.; Yang, Y.; Xu, J. NtRAV4 negatively regulates drought tolerance in Nicotiana tabacum by enhancing antioxidant capacity and defence system. Plant Cell Rep. 2022, 41, 1775–1788. [Google Scholar] [CrossRef]
- Sirohi, R.; Tarafdar, A.; Kumar Gaur, V.; Singh, S.; Sindhu, R.; Rajasekharan, R.; Madhavan, A.; Binod, P.; Kumar, S.; Pandey, A. Technologies for disinfection of food grains: Advances and way forward. Food Res. Int. 2021, 145, 110396. [Google Scholar] [CrossRef]
- Ji, X.; Hou, H.; Wang, X.; Qiu, Y.; Ma, Y.; Wang, S.; Guo, S.; Huang, S.; Zhang, C. Effect of dietary Glycyrrhiza polysaccharides on growth performance, hepatic antioxidant capacity and anti-inflammatory capacity of broiler chickens. Res. Vet. Sci. 2024, 167, 105114. [Google Scholar] [CrossRef]
- Wang, Y.; Li, X.; Liu, N.; Wei, S.; Wang, J.; Qin, F.; Suo, B. The iTRAQ-based chloroplast proteomic analysis of Triticum aestivum L. leaves subjected to drought stress and 5-aminolevulinic acid alleviation reveals several proteins involved in the protection of photosynthesis. BMC Plant Biol. 2020, 20, 96. [Google Scholar] [CrossRef]
- Su, X.; Fan, X.; Shao, R.; Guo, J.; Wang, Y.; Yang, J.; Yang, Q.; Guo, L. Physiological and iTRAQ-based proteomic analyses reveal that melatonin alleviates oxidative damage in maize leaves exposed to drought stress. Plant Physiol. Biochem. 2019, 142, 263–274. [Google Scholar] [CrossRef]
- Choudhury, F.K.; Rivero, R.M.; Blumwald, E.; Mittler, R. Reactive oxygen species, abiotic stress and stress combination. Plant J. 2017, 90, 856–867. [Google Scholar] [CrossRef]
- Ali, B.; Kumar, S.; Sui, X.; Niu, J.; Yang, J.; Zheng, M.; Tang, Y.; Li, H. Exogenous acetylsalicylic acid mitigates cold stress in common bean seedlings by enhancing antioxidant defense and photosynthetic efficiency. Front. Plant Sci. 2025, 16, 1589706. [Google Scholar] [CrossRef]













| Survival Count (Plants) | Initial Count (Plants) | Survival Rate (%) | ||
|---|---|---|---|---|
| CK | B207 CK | 2 | 30 | 6.67 |
| Y13 CK | 4 | 30 | 13.33 | |
| Z7698 CK | 0 | 30 | 0 | |
| TaMIOXA overexpression | B207 A | 5 | 30 | 16.67 |
| Y13 A | 16 | 30 | 53.33 | |
| Z7698 A | 12 | 30 | 40 |
Disclaimer/Publisher’s Note: The statements, opinions and data contained in all publications are solely those of the individual author(s) and contributor(s) and not of MDPI and/or the editor(s). MDPI and/or the editor(s) disclaim responsibility for any injury to people or property resulting from any ideas, methods, instructions or products referred to in the content. |
© 2025 by the authors. Licensee MDPI, Basel, Switzerland. This article is an open access article distributed under the terms and conditions of the Creative Commons Attribution (CC BY) license (https://creativecommons.org/licenses/by/4.0/).
Share and Cite
Zhang, S.; Huang, S.; Lei, L.; Zhang, K.; Liu, Y.; Shi, P.; Wang, D.; Zhou, W.; Qi, W.; Zhang, Z.; et al. Overexpression of Myo-Inositol Oxygenase (TaMIOXA) Enhances the Drought and High-Temperature Resistance of Triticum aestivum L. Int. J. Mol. Sci. 2025, 26, 10894. https://doi.org/10.3390/ijms262210894
Zhang S, Huang S, Lei L, Zhang K, Liu Y, Shi P, Wang D, Zhou W, Qi W, Zhang Z, et al. Overexpression of Myo-Inositol Oxygenase (TaMIOXA) Enhances the Drought and High-Temperature Resistance of Triticum aestivum L. International Journal of Molecular Sciences. 2025; 26(22):10894. https://doi.org/10.3390/ijms262210894
Chicago/Turabian StyleZhang, Sen, Shuaitao Huang, Lanxiang Lei, Kunpu Zhang, Yuhang Liu, Pengfei Shi, Daowen Wang, Wenmei Zhou, Wenjing Qi, Zihan Zhang, and et al. 2025. "Overexpression of Myo-Inositol Oxygenase (TaMIOXA) Enhances the Drought and High-Temperature Resistance of Triticum aestivum L." International Journal of Molecular Sciences 26, no. 22: 10894. https://doi.org/10.3390/ijms262210894
APA StyleZhang, S., Huang, S., Lei, L., Zhang, K., Liu, Y., Shi, P., Wang, D., Zhou, W., Qi, W., Zhang, Z., Liu, Y., Zheng, W., & Cheng, K. (2025). Overexpression of Myo-Inositol Oxygenase (TaMIOXA) Enhances the Drought and High-Temperature Resistance of Triticum aestivum L. International Journal of Molecular Sciences, 26(22), 10894. https://doi.org/10.3390/ijms262210894

