Mesenchymal Stromal Cells Derived from Canine Adipose Tissue: Evaluation of the Effect of Different Shipping Vehicles Used for Clinical Administration
Abstract
1. Introduction
2. Results
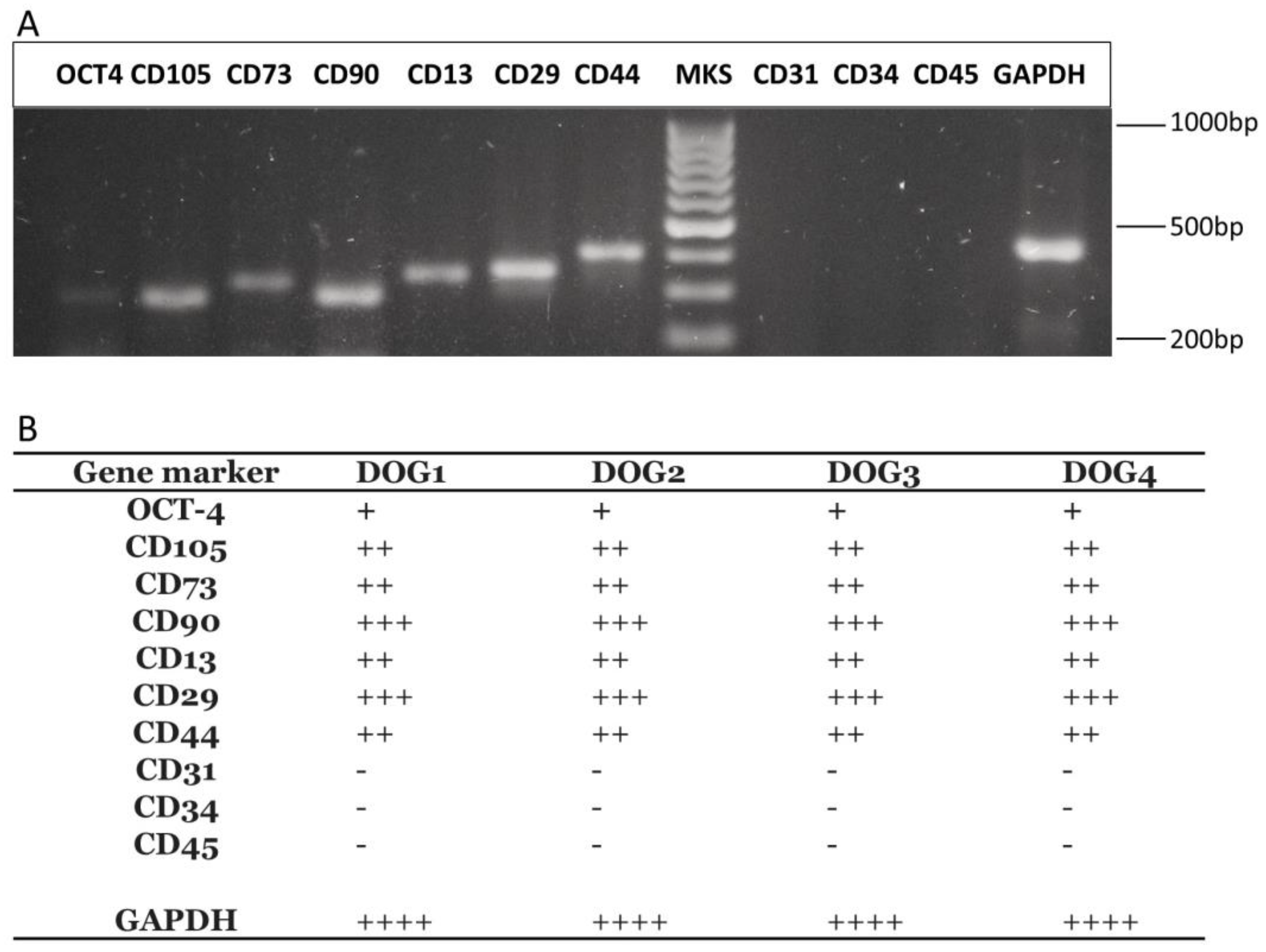
2.1. Phenotypic Characterization and Differentiation of AD-MSCs
2.2. Effects of Different Vehicles on Cells Stored for 2 and 4 h
2.3. Effects of Different Vehicles on Cells Stored for 24 h in Different Carrier Solutions
2.4. Gene Expression Analysis
3. Discussion
4. Materials and Methods
4.1. Ethics Statement
4.2. Cell Isolation and Culture
4.3. AD-MSCs Differentiation
4.4. Preparation of Cell Vehicles
4.5. Evaluation of Cell Viability and Vitality
4.5.1. Evaluation of Cell Viability and Vitality at 2 and 4 h
4.5.2. Evaluation of Cell Viability and Vitality at 24 h
4.6. Gene Expression Analysis
4.7. Antioxidant Activity
4.8. Statistical Analysis
5. Conclusions
Supplementary Materials
Author Contributions
Funding
Institutional Review Board Statement
Data Availability Statement
Conflicts of Interest
References
- Mimeault, M.; Batra, S.K. Recent Progress on Tissue-Resident Adult Stem Cell Biology and Their Therapeutic Implications. Stem Cell Rev. 2008, 4, 27–49. [Google Scholar] [CrossRef] [PubMed]
- De Bakker, E.; Van Ryssen, B.; De Schauwer, C.; Meyer, E. Canine Mesenchymal Stem Cells: State of the Art, Perspectives as Therapy for Dogs and as a Model for Man. Vet. Q. 2013, 33, 225–233. [Google Scholar] [CrossRef] [PubMed]
- Jimenez-Puerta, G.; Marchal, J.; López-Ruiz, E.; Gálvez-Martín, P. Role of Mesenchymal Stromal Cells as Therapeutic Agents: Potential Mechanisms of Action and Implications in Their Clinical Use. J. Clin. Med. 2020, 9, 445. [Google Scholar] [CrossRef] [PubMed]
- Prządka, P.; Buczak, K.; Frejlich, E.; Gąsior, L.; Suliga, K.; Kiełbowicz, Z. The Role of Mesenchymal Stem Cells (MSCs) in Veterinary Medicine and Their Use in Musculoskeletal Disorders. Biomolecules 2021, 11, 1141. [Google Scholar] [CrossRef] [PubMed]
- Ribitsch, I.; Burk, J.; Delling, U.; Geißler, C.; Gittel, C.; Jülke, H.; Brehm, W. Basic Science and Clinical Application of Stem Cells in Veterinary Medicine. In Bioreactor Systems for Tissue Engineering II; Kasper, C., Griensven, M., Pörtner, R., Eds.; Springer: Berlin/Heidelberg, Germany, 2010; pp. 219–263. ISBN 978-3-642-16050-9. [Google Scholar]
- Williams, L.B.; Co, C.; Koenig, J.B.; Tse, C.; Lindsay, E.; Koch, T.G. Response to Intravenous Allogeneic Equine Cord Blood-Derived Mesenchymal Stromal Cells Administered from Chilled or Frozen State in Serum and Protein-Free Media. Front. Vet. Sci. 2016, 3, 56. [Google Scholar] [CrossRef] [PubMed]
- Arnoczky, S.P.; Delos, D.; Rodeo, S.A. What Is Platelet-Rich Plasma? Oper. Tech. Sports Med. 2011, 19, 142–148. [Google Scholar] [CrossRef]
- Fortier, L.A.; Travis, A.J. Stem Cells in Veterinary Medicine. Stem Cell Res. Ther. 2011, 2, 9. [Google Scholar] [CrossRef] [PubMed]
- Barrachina, L.; Romero, A.; Zaragoza, P.; Rodellar, C.; Vázquez, F.J. Practical Considerations for Clinical Use of Mesenchymal Stem Cells: From the Laboratory to the Horse. Vet. J. 2018, 238, 49–57. [Google Scholar] [CrossRef]
- Ivanovska, A.; Wang, M.; Arshaghi, T.E.; Shaw, G.; Alves, J.; Byrne, A.; Butterworth, S.; Chandler, R.; Cuddy, L.; Dunne, J.; et al. Manufacturing Mesenchymal Stromal Cells for the Treatment of Osteoarthritis in Canine Patients: Challenges and Recommendations. Front. Vet. Sci. 2022, 9, 897150. [Google Scholar] [CrossRef]
- Sultana, T.; Dayem, A.A.; Lee, S.B.; Cho, S.-G.; Lee, J.I. Effects of Carrier Solutions on the Viability and Efficacy of Canine Adipose-Derived Mesenchymal Stem Cells. BMC Vet. Res. 2022, 18, 26. [Google Scholar] [CrossRef]
- Bahsoun, S.; Coopman, K.; Akam, E.C. The Impact of Cryopreservation on Bone Marrow-Derived Mesenchymal Stem Cells: A Systematic Review. J. Transl. Med. 2019, 17, 397. [Google Scholar] [CrossRef] [PubMed]
- Martinello, T.; Bronzini, I.; Maccatrozzo, L.; Mollo, A.; Sampaolesi, M.; Mascarello, F.; Decaminada, M.; Patruno, M. Canine Adipose-Derived-Mesenchymal Stem Cells Do Not Lose Stem Features after a Long-Term Cryopreservation. Res. Vet. Sci. 2011, 91, 18–24. [Google Scholar] [CrossRef] [PubMed]
- Atouf, F. Cell-Based Therapies Formulations: Unintended Components. AAPS J. 2016, 18, 844–848. [Google Scholar] [CrossRef] [PubMed]
- Haack-Sørensen, M.; Kastrup, J. Cryopreservation and Revival of Mesenchymal Stromal Cells. In Mesenchymal Stem Cell Assays and Applications; Vemuri, M., Chase, L.G., Rao, M.S., Eds.; Methods in Molecular Biology; Humana Press: Totowa, NJ, USA, 2011; pp. 161–174. ISBN 978-1-60761-999-4. [Google Scholar]
- François, M.; Copland, I.B.; Yuan, S.; Romieu-Mourez, R.; Waller, E.K.; Galipeau, J. Cryopreserved Mesenchymal Stromal Cells Display Impaired Immunosuppressive Properties as a Result of Heat-Shock Response and Impaired Interferon-γ Licensing. Cytotherapy 2012, 14, 147–152. [Google Scholar] [CrossRef]
- Bronzini, I.; Patruno, M.; Iacopetti, I.; Martinello, T. Influence of Temperature, Time and Different Media on Mesenchymal Stromal Cells Shipped for Clinical Application. Vet. J. 2012, 194, 121–123. [Google Scholar] [CrossRef] [PubMed]
- Teshima, T.; Matsumoto, H.; Michishita, M.; Matsuoka, A.; Shiba, M.; Nagashima, T.; Koyama, H. Allogenic Adipose Tissue-Derived Mesenchymal Stem Cells Ameliorate Acute Hepatic Injury in Dogs. Stem Cells Int. 2017, 2017, 3892514. [Google Scholar] [CrossRef] [PubMed]
- Maki, C.B.; Beck, A.; Wallis, C.-B.C.C.; Choo, J.; Ramos, T.; Tong, R.; Borjesson, D.L.; Izadyar, F. Intra-Articular Administration of Allogeneic Adipose Derived MSCs Reduces Pain and Lameness in Dogs with Hip Osteoarthritis: A Double Blinded, Randomized, Placebo Controlled Pilot Study. Front. Vet. Sci. 2020, 7, 570. [Google Scholar] [CrossRef]
- Nam, A.; Han, S.-M.; Go, D.-M.; Kim, D.-Y.; Seo, K.-W.; Youn, H.-Y. Long-Term Management with Adipose Tissue-Derived Mesenchymal Stem Cells and Conventional Treatment in a Dog with Hepatocutaneous Syndrome. J. Vet. Intern. Med. 2017, 31, 1514–1519. [Google Scholar] [CrossRef]
- Ardanaz, N.; Vázquez, F.J.; Romero, A.; Remacha, A.R.; Barrachina, L.; Sanz, A.; Ranera, B.; Vitoria, A.; Albareda, J.; Prades, M.; et al. Inflammatory Response to the Administration of Mesenchymal Stem Cells in an Equine Experimental Model: Effect of Autologous, and Single and Repeat Doses of Pooled Allogeneic Cells in Healthy Joints. BMC Vet. Res. 2016, 12, 65. [Google Scholar] [CrossRef]
- Guercio, A.; Di Marco, P.; Casella, S.; Cannella, V.; Russotto, L.; Purpari, G.; Di Bella, S.; Piccione, G. Production of Canine Mesenchymal Stem Cells from Adipose Tissue and Their Application in Dogs with Chronic Osteoarthritis of the Humeroradial Joints. Cell Biol. Int. 2012, 36, 189–194. [Google Scholar] [CrossRef]
- Angelone, M.; Conti, V.; Biacca, C.; Battaglia, B.; Pecorari, L.; Piana, F.; Gnudi, G.; Leonardi, F.; Ramoni, R.; Basini, G.; et al. The Contribution of Adipose Tissue-Derived Mesenchymal Stem Cells and Platelet-Rich Plasma to the Treatment of Chronic Equine Laminitis: A Proof of Concept. Int. J. Mol. Sci. 2017, 18, 2122. [Google Scholar] [CrossRef] [PubMed]
- Steffen, F.; Smolders, L.A.; Roentgen, A.M.; Bertolo, A.; Stoyanov, J. Bone Marrow-Derived Mesenchymal Stem Cells as Autologous Therapy in Dogs with Naturally Occurring Intervertebral Disc Disease: Feasibility, Safety, and Preliminary Results. Tissue Eng. Part C Methods 2017, 23, 643–651. [Google Scholar] [CrossRef] [PubMed]
- Cruz, F.F.; Borg, Z.D.; Goodwin, M.; Sokocevic, D.; Wagner, D.; McKenna, D.H.; Rocco, P.R.M.; Weiss, D.J. Freshly Thawed and Continuously Cultured Human Bone Marrow-Derived Mesenchymal Stromal Cells Comparably Ameliorate Allergic Airways Inflammation in Immunocompetent Mice. Stem Cells Transl. Med. 2015, 4, 615–624. [Google Scholar] [CrossRef] [PubMed]
- Ivanovska, A.; Grolli, S.; Borghetti, P.; Ravanetti, F.; Conti, V.; De Angelis, E.; Macchi, F.; Ramoni, R.; Martelli, P.; Gazza, F.; et al. Immunophenotypical Characterization of Canine Mesenchymal Stem Cells from Perivisceral and Subcutaneous Adipose Tissue by a Species-Specific Panel of Antibodies. Res. Vet. Sci. 2017, 114, 51–58. [Google Scholar] [CrossRef] [PubMed]
- Suelzu, C.M.; Conti, V.; Khalidy, Y.; Montagna, S.; Strusi, G.; Di Lecce, R.; Berni, P.; Basini, G.; Ramoni, R.; Grolli, S. Xenobiotic-Free Medium Guarantees Expansion of Adipose Tissue-Derived Canine Mesenchymal Stem Cells Both in 3D Fibrin-Based Matrices and in 2D Plastic Surface Cultures. Cells 2020, 9, 2578. [Google Scholar] [CrossRef] [PubMed]
- Arzi, B.; Webb, T.L.; Koch, T.G.; Volk, S.W.; Betts, D.H.; Watts, A.; Goodrich, L.; Kallos, M.S.; Kol, A. Cell Therapy in Veterinary Medicine as a Proof-of-Concept for Human Therapies: Perspectives from the North American Veterinary Regenerative Medicine Association. Front. Vet. Sci. 2021, 8, 779109. [Google Scholar] [CrossRef] [PubMed]
- Ariyarathna, H.; Thomson, N.; Aberdein, D.; Munday, J.S. Chemokine Gene Expression Influences Metastasis and Survival Time of Female Dogs with Mammary Carcinoma. Vet. Immunol. Immunopathol. 2020, 227, 110075. [Google Scholar] [CrossRef]
- Song, W.-J.; Li, Q.; Ryu, M.-O.; Ahn, J.-O.; Bhang, D.H.; Jung, Y.C.; Youn, H.-Y. TSG-6 Released from Intraperitoneally Injected Canine Adipose Tissue-Derived Mesenchymal Stem Cells Ameliorate Inflammatory Bowel Disease by Inducing M2 Macrophage Switch in Mice. Stem Cell Res. Ther. 2018, 9, 91. [Google Scholar] [CrossRef]
- Mercati, F.; Pascucci, L.; Curina, G.; Scocco, P.; Tardella, F.M.; Dall’Aglio, C.; Marini, C.; Ceccarelli, P. Evaluation of Storage Conditions on Equine Adipose Tissue-Derived Multipotent Mesenchymal Stromal Cells. Vet. J. 2014, 200, 339–342. [Google Scholar] [CrossRef]
- Garvican, E.R.; Cree, S.; Bull, L.; Smith, R.K.; Dudhia, J. Viability of Equine Mesenchymal Stem Cells during Transport and Implantation. Stem Cell Res. Ther. 2014, 5, 1. [Google Scholar] [CrossRef]
- Espina, M.; Jülke, H.; Brehm, W.; Ribitsch, I.; Winter, K.; Delling, U. Evaluation of Transport Conditions for Autologous Bone Marrow-Derived Mesenchymal Stromal Cells for Therapeutic Application in Horses. PeerJ 2016, 4, e1773. [Google Scholar] [CrossRef] [PubMed]
- Iacono, E.; Lanci, A.; Gugole, P.; Merlo, B. Shipping Temperature, Time and Media Effects on Equine Wharton’s Jelly and Adipose Tissue Derived Mesenchymal Stromal Cells Characteristics. Animals 2022, 12, 1967. [Google Scholar] [CrossRef] [PubMed]
- Pilgrim, C.R.; McCahill, K.A.; Rops, J.G.; Dufour, J.M.; Russell, K.A.; Koch, T.G. A Review of Fetal Bovine Serum in the Culture of Mesenchymal Stromal Cells and Potential Alternatives for Veterinary Medicine. Front. Vet. Sci. 2022, 9, 859025. [Google Scholar] [CrossRef] [PubMed]
- Duarte Rojas, J.M.; Restrepo Múnera, L.M.; Estrada Mira, S. Comparison between Platelet Lysate, Platelet Lysate Serum, and Fetal Bovine Serum as Supplements for Cell Culture, Expansion, and Cryopreservation. Biomedicines 2024, 12, 140. [Google Scholar] [CrossRef] [PubMed]
- Guest, D.J.; Dudhia, J.; Smith, R.K.W.; Roberts, S.J.; Conzemius, M.; Innes, J.F.; Fortier, L.A.; Meeson, R.L. Position Statement: Minimal Criteria for Reporting Veterinary and Animal Medicine Research for Mesenchymal Stromal/Stem Cells in Orthopedic Applications. Front. Vet. Sci. 2022, 9, 817041. [Google Scholar] [CrossRef] [PubMed]
- Lv, Z.; Cai, X.; Bian, Y.; Wei, Z.; Zhu, W.; Zhao, X.; Weng, X. Advances in Mesenchymal Stem Cell Therapy for Osteoarthritis: From Preclinical and Clinical Perspectives. Bioengineering 2023, 10, 195. [Google Scholar] [CrossRef]
- Bartosh, T.J.; Ylöstalo, J.H.; Bazhanov, N.; Kuhlman, J.; Prockop, D.J. Dynamic Compaction of Human Mesenchymal Stem/Precursor Cells into Spheres Self-Activates Caspase-Dependent IL1 Signaling to Enhance Secretion of Modulators of Inflammation and Immunity (PGE2, TSG6, and STC1). Stem Cells 2013, 31, 2443–2456. [Google Scholar] [CrossRef]
- Shahsavari, A.; Weeratunga, P.; Ovchinnikov, D.A.; Whitworth, D.J. Pluripotency and Immunomodulatory Signatures of Canine Induced Pluripotent Stem Cell-Derived Mesenchymal Stromal Cells Are Similar to Harvested Mesenchymal Stromal Cells. Sci. Rep. 2021, 11, 3486. [Google Scholar] [CrossRef]
- Ling, L.; Hou, J.; Liu, D.; Tang, D.; Zhang, Y.; Zeng, Q.; Pan, H.; Fan, L. Important Role of the SDF-1/CXCR4 Axis in the Homing of Systemically Transplanted Human Amnion-Derived Mesenchymal Stem Cells (hAD-MSCs) to Ovaries in Rats with Chemotherapy-Induced Premature Ovarian Insufficiency (POI). Stem Cell Res. Ther. 2022, 13, 79. [Google Scholar] [CrossRef]
- Wang, J.; Liu, Y.; Ding, H.; Shi, X.; Ren, H. Mesenchymal Stem Cell-Secreted Prostaglandin E2 Ameliorates Acute Liver Failure via Attenuation of Cell Death and Regulation of Macrophage Polarization. Stem Cell Res. Ther. 2021, 12, 15. [Google Scholar] [CrossRef]
- Hayashi, Y.; Murakami, M.; Kawamura, R.; Ishizaka, R.; Fukuta, O.; Nakashima, M. CXCL14 and MCP1 Are Potent Trophic Factors Associated with Cell Migration and Angiogenesis Leading to Higher Regenerative Potential of Dental Pulp Side Population Cells. Stem Cell Res. Ther. 2015, 6, 111. [Google Scholar] [CrossRef] [PubMed]
- Carp, D.M.; Liang, Y. Universal or Personalized Mesenchymal Stem Cell Therapies: Impact of Age, Sex, and Biological Source. Cells 2022, 11, 2077. [Google Scholar] [CrossRef] [PubMed]
- Piccinini, F.; Tesei, A.; Arienti, C.; Bevilacqua, A. Cell Counting and Viability Assessment of 2D and 3D Cell Cultures: Expected Reliability of the Trypan Blue Assay. Biol. Proced. Online 2017, 19, 8. [Google Scholar] [CrossRef] [PubMed]
- Maeda, S.; Ohno, K.; Nakamura, K.; Uchida, K.; Nakashima, K.; Fukushima, K.; Tsukamoto, A.; Goto-Koshino, Y.; Fujino, Y.; Tsujimoto, H. Mucosal Imbalance of Interleukin-1β and Interleukin-1 Receptor Antagonist in Canine Inflammatory Bowel Disease. Vet. J. 2012, 194, 66–70. [Google Scholar] [CrossRef] [PubMed]
- Klopfleisch, R.; Gruber, A.D. Derlin-1 and Stanniocalcin-1 Are Differentially Regulated in Metastasizing Canine Mammary Adenocarcinomas. J. Comp. Pathol. 2009, 141, 113–120. [Google Scholar] [CrossRef] [PubMed]
- Yamazaki, A.; Edamura, K.; Tomo, Y.; Seki, M.; Asano, K. Variations in Gene Expression Levels with Severity of Synovitis in Dogs with Naturally Occurring Stifle Osteoarthritis. PLoS ONE 2021, 16, e0246188. [Google Scholar] [CrossRef] [PubMed]
- Hashimoto, K.; Kobatake, Y.; Asahina, R.; Yamato, O.; Islam, M.S.; Sakai, H.; Nishida, H.; Maeda, S.; Kamishina, H. Up-Regulated Inflammatory Signatures of the Spinal Cord in Canine Degenerative Myelopathy. Res. Vet. Sci. 2021, 135, 442–449. [Google Scholar] [CrossRef]
- Benzie, I.F.F.; Strain, J.J. The Ferric Reducing Ability of Plasma (FRAP) as a Measure of “Antioxidant Power”: The FRAP Assay. Anal. Biochem. 1996, 239, 70–76. [Google Scholar] [CrossRef]








| Cell Preparations | Vehicles | Total Cell Number | Temperature | Time | Tests | 
|---|---|---|---|---|---|
| fMSCs, tMSCs | sPPP, sPRP, RLS, PS, DMEM (ctrl) | 1 × 106 (in 1 mL) | RT | 2 h, 4 h | Trypan blue exclusion test, MTT assay | 
| Cell Preparation | Vehicles | Total Cell Number | Temperature | Time | Assay | 
|---|---|---|---|---|---|
| fMSCs | RLS, sPRP, DMEM (ctrl) | 1 × 106 (in 1 mL), 4 × 106 (in 4 mL) | RT | 24 h | Trypan blue dye, MTT assay, cell growth | 
| Markers | Accession Number | Primers | Amplicon Size | Reference | 
|---|---|---|---|---|
| CD 13 | NM_001146034.1 | Fw: GGTCCTTACCATCACCTGGC Rv: CCTAAGGCCATCCATCGTCC | 335 bp | [26] | 
| CD 29 | XM_005616949.1 | Fw: AGGATGTTGACGACTGCTGG Rv: ACCTTTGCATTCAGTGTTGTGC | 356 bp | [26] | 
| CD 31 | XM_848326 | Fw: GCCCGAAGTTCACTCTCAAG Rv: CACTCCTTTGACCCACACCT | 410 bp | [26] | 
| CD 34 | NM_001003341.1 | Fw: GAGATCACCCTAACGCCTGG Rv: GGCTCCTTCTCACACAGGAC | 383 bp | [26] | 
| CD 44 | NM_001197022.1 | Fw: CCCATTACCAAAGACCACGA Rv: TTCTCGAGGTTCCGTGTCTC | 408 bp | [26] | 
| CD 45 | XM_005622282.1 | Fw: TGTTTCCAGTTCTGTTTCCCCA Rv: TCAGGTACAAAGCCTTCCCA | 432 bp | [26] | 
| CD 73 | XM_532221.4 | Fw: GATGGGAAAGGCAAGAGGCT Rv: TTCCTGGCATCTTGCTACGG | 317 bp | [26] | 
| CD 90 | NM_001287129.1 | Fw: AAGCCAGGATTGGGGATGTG Rv: TGTGGCAGAGAAAGCTCCTG | 285 bp | [26] | 
| CD 105 | XM_005625330.4 | Fw: GGTTCACTGCATCAACATGG Rv: AAGCTGAAGCGCACATCACC | 279 bp | [27] | 
| Oct-4 | XM_538830.1 | Fw: AAGCCTGCAGAAAGACCTG Rv: GTTCGCTTTCTCTTTCGGGC | 286 bp | [26] | 
| GAPDH | NM_001003142.2 | Fw: TTCACCACCATGGAGAAGGC Rv: ACTGATACATTGGGGGTGGG | 422 bp | [27] | 
| Markers | Accession Number | Primers | Amplicon Size | Reference | 
|---|---|---|---|---|
| TSG-6 | XM_533354.7 | Fw: AATCGGATTTCACGTCTGCG Rv: CACCACACTCCTTTGCATGT | 182 bp | Generated by: GENE CARDS | 
| SDF-1 | NM_001308461.1 | Fw: GCCGATTCTTCGAGAGCCAC Rv: TCTGCCATACGCTGTTAGCTT | 240 bp | [27] | 
| IL-1-RA | AF216526 | Fw: GAAGAGACCTTGCAGGATGC Rv: GACGGGCACCACATCTAACT | 141 bp | [46] | 
| STC-1 | XM_543238 | Fw: CACTTCTCCAACAGATACT Rv: CATGTTGGGCCCAATTTTC | 210 bp | [47] | 
| COX-2 | NM_001003354.1 | Fw: GATCATAAGCGAGGACCAGCTTTC Rv: GGCGCAGTTTATGTTGTCTATCCA | 100 bp | [48] | 
| PGES | NM_001122854.1 | Fw: GTATTGCCGGAGTGACCAGGA Rv: AGTGCATCTGGGCGATGAAAG | 136 bp | [48] | 
| CCL-2 | NM_001003297.1 | Fw: TCCTCTGCCTGCTGCTCATAG Rv: GCAGCAGGTGACTGGAGAAATAA | 86 bp | [49] | 
| CXCR-4 | NM_001048026.1 | Fw: GAGCGGTTACCATGGAAGAG Rv: CGGTTGAAGTGAGCATTTTCC | 108 bp | [29] | 
| GAPDH | NM_001003142.2 | Fw: GATGGGCGTGAACCATGAGA Rv: AGTGGTCATGGATGACTTTGGCTA | 107 bp | [48] | 
| Disclaimer/Publisher’s Note: The statements, opinions and data contained in all publications are solely those of the individual author(s) and contributor(s) and not of MDPI and/or the editor(s). MDPI and/or the editor(s) disclaim responsibility for any injury to people or property resulting from any ideas, methods, instructions or products referred to in the content. | 
© 2024 by the authors. Licensee MDPI, Basel, Switzerland. This article is an open access article distributed under the terms and conditions of the Creative Commons Attribution (CC BY) license (https://creativecommons.org/licenses/by/4.0/).
Share and Cite
Andreoli, V.; Berni, P.; Conti, V.; Ramoni, R.; Basini, G.; Grolli, S. Mesenchymal Stromal Cells Derived from Canine Adipose Tissue: Evaluation of the Effect of Different Shipping Vehicles Used for Clinical Administration. Int. J. Mol. Sci. 2024, 25, 3426. https://doi.org/10.3390/ijms25063426
Andreoli V, Berni P, Conti V, Ramoni R, Basini G, Grolli S. Mesenchymal Stromal Cells Derived from Canine Adipose Tissue: Evaluation of the Effect of Different Shipping Vehicles Used for Clinical Administration. International Journal of Molecular Sciences. 2024; 25(6):3426. https://doi.org/10.3390/ijms25063426
Chicago/Turabian StyleAndreoli, Valentina, Priscilla Berni, Virna Conti, Roberto Ramoni, Giuseppina Basini, and Stefano Grolli. 2024. "Mesenchymal Stromal Cells Derived from Canine Adipose Tissue: Evaluation of the Effect of Different Shipping Vehicles Used for Clinical Administration" International Journal of Molecular Sciences 25, no. 6: 3426. https://doi.org/10.3390/ijms25063426
APA StyleAndreoli, V., Berni, P., Conti, V., Ramoni, R., Basini, G., & Grolli, S. (2024). Mesenchymal Stromal Cells Derived from Canine Adipose Tissue: Evaluation of the Effect of Different Shipping Vehicles Used for Clinical Administration. International Journal of Molecular Sciences, 25(6), 3426. https://doi.org/10.3390/ijms25063426
 
        



 
                         
       