Clinical Characteristics and Local Histopathological Modulators of Endometriosis and Its Progression
Abstract
1. Introduction
1.1. Clinical Features, Pathogenesis and Risk Factors
1.2. Morphological Characteristics of Endometriosis and Adenomyosis
1.3. Diagnosis and Treatment of Endometriosis and Adenomyosis
1.4. Objectives
2. Results
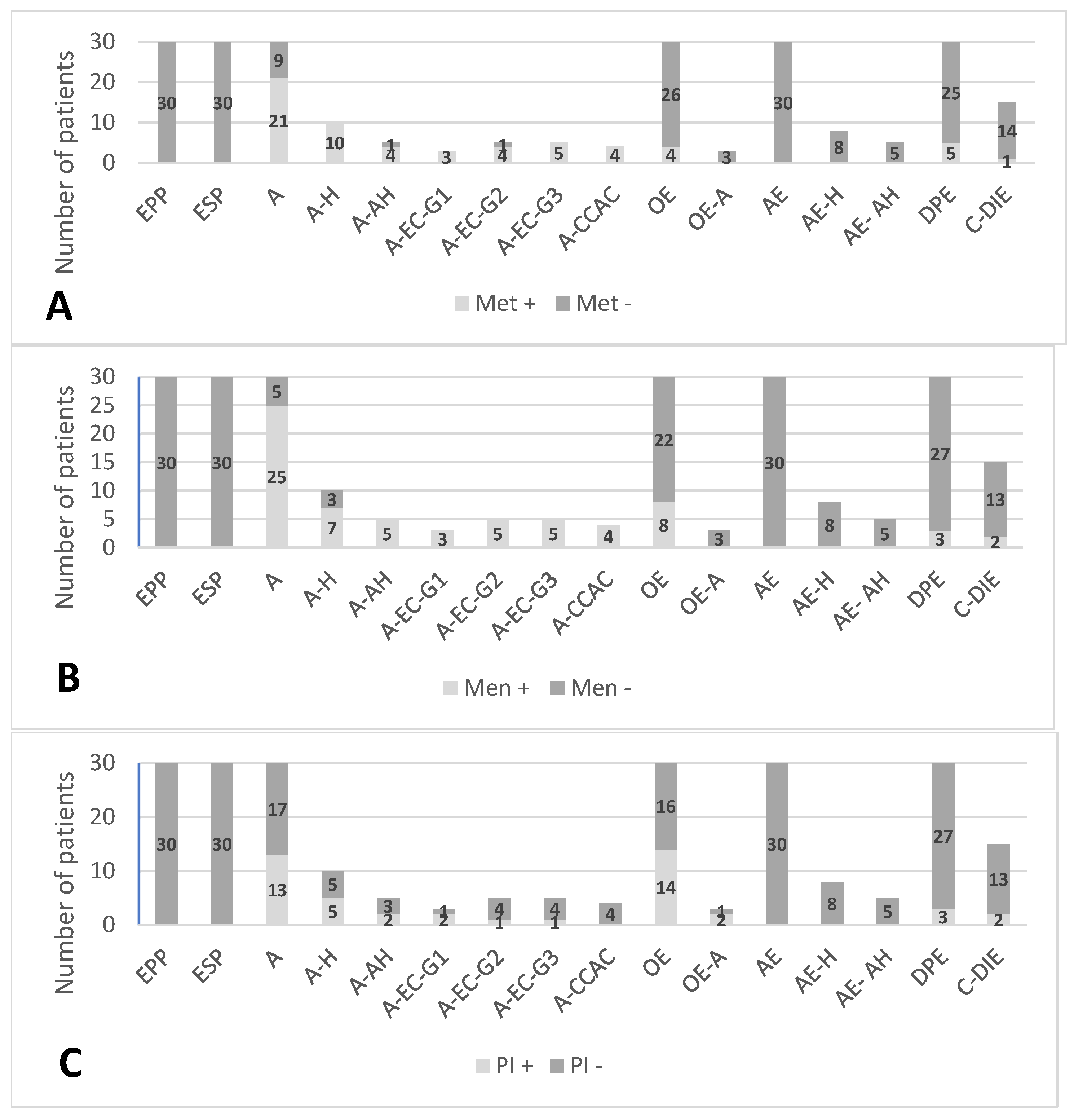
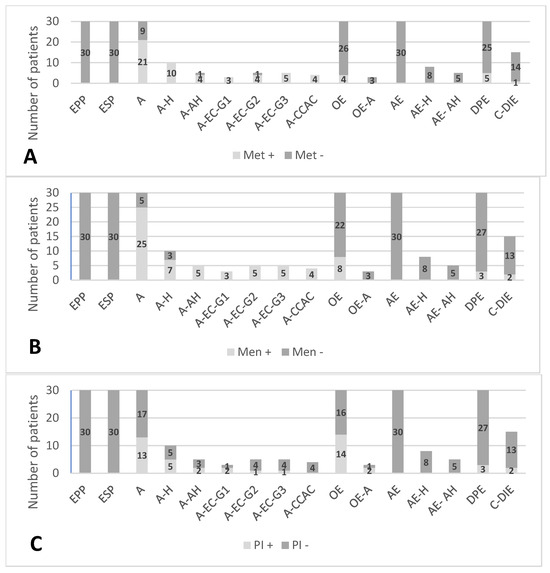
2.1. Associated Symptoms Analysis: Pain, Infertility, Vaginal Bleeding and Bowel Disorders
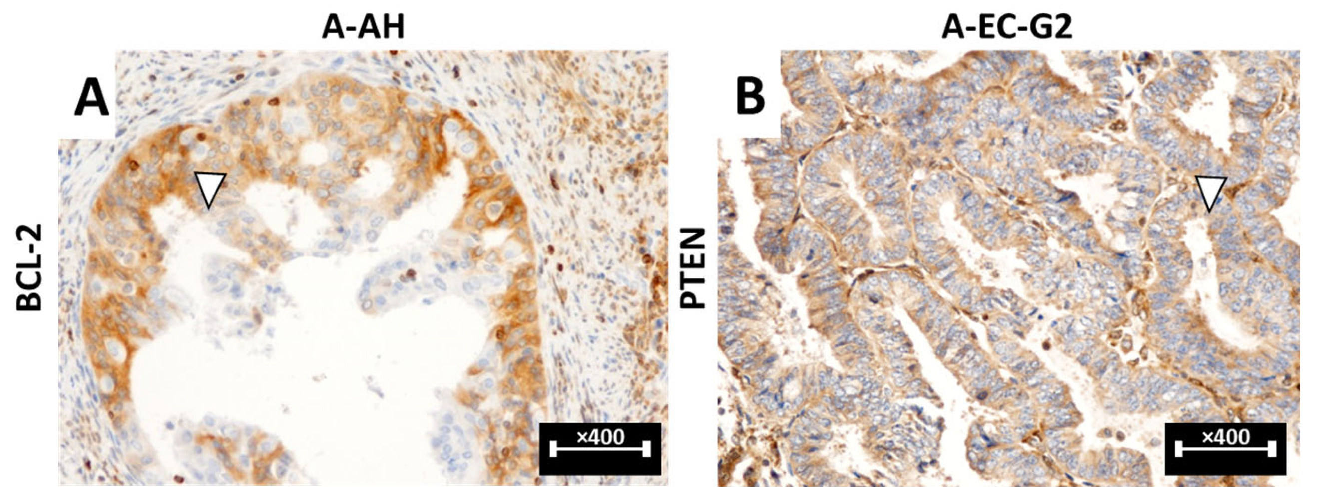
2.2. Microscopic Characteristics Involved in the Development and Transformation of E and A Foci
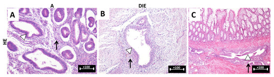
2.2.1. Microscopic Characteristics in Classical Staining
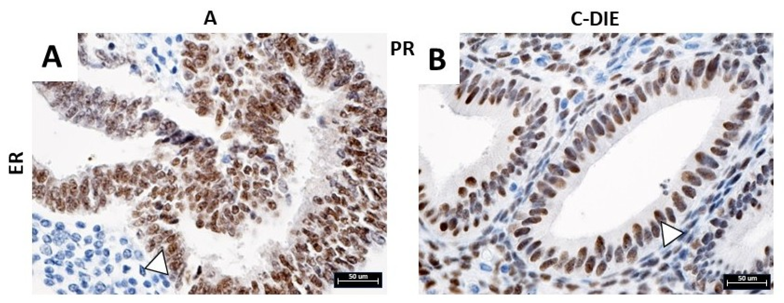
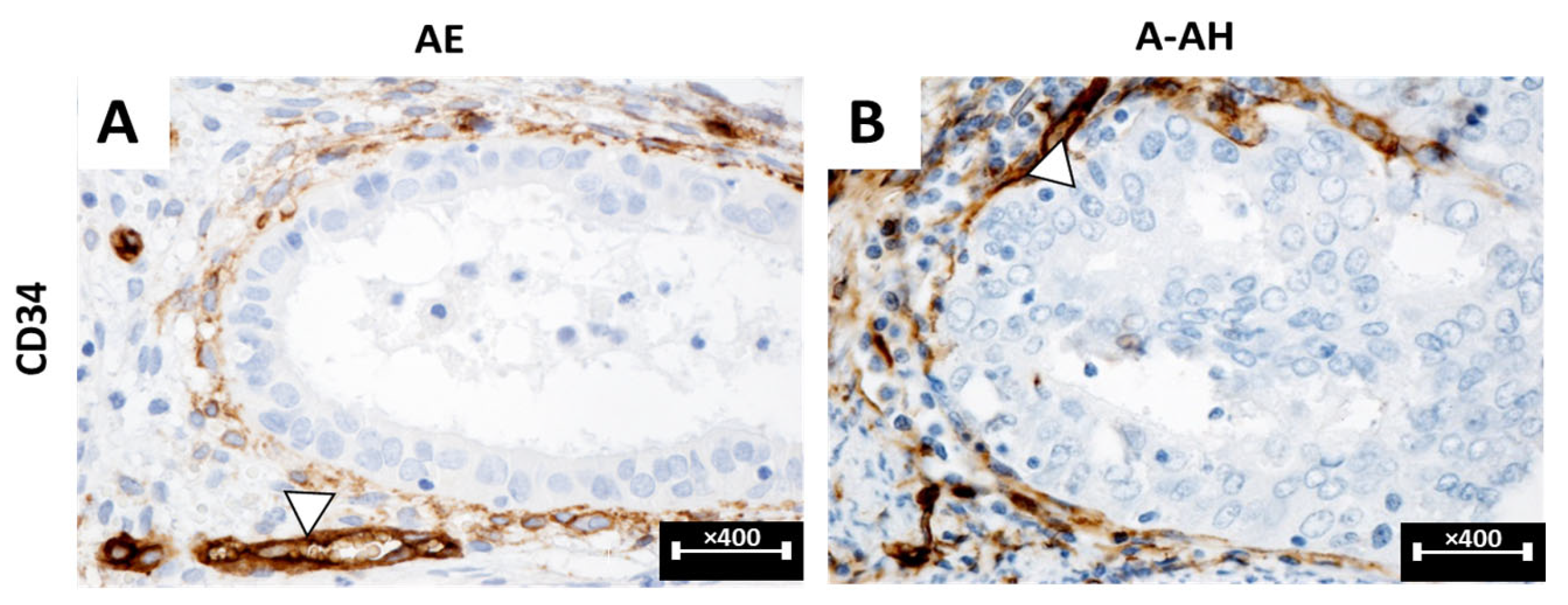
2.2.2. Microscopic Characteristics in Immunohistochemical Staining
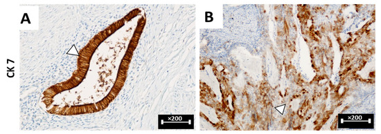
Cytokeratin Reactivity Analysis
Hormone Receptor Reactivity Analysis
Aspects of Endometrial Stroma at Ectopic Sites of E
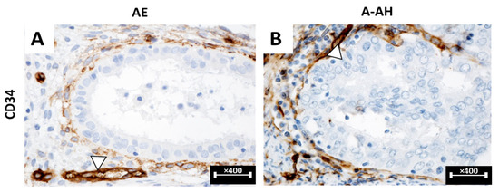
Adjacent Stromal Vascularization Analysis
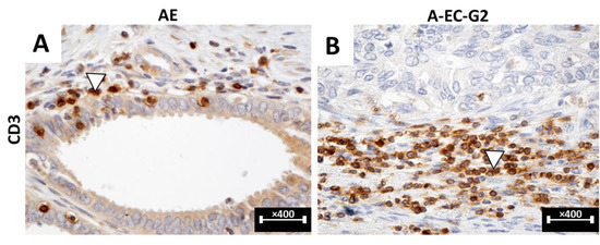
Analysis of Adjacent Stromal Inflammatory Changes
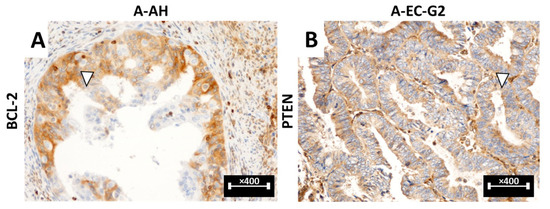
Analysis of Cell Proliferation and Involvement of Tumor Proteins
Reported Trends between Symptomatology and Immunohistochemical Aspects
3. Discussion
3.1. Symptoms Involved in the Diagnosis of E and A
3.2. Microscopic Characteristics of A and E, Local and Glandular Factors Involved in Their Transformation
3.2.1. The Role of Cytokeratin
3.2.2. The Role of Hormone Receptors
3.2.3. The Role of Perilesional Vascularization
3.2.4. Expression of Endometrial Stromal Cells
3.2.5. The Role of Tumor Proteins in E/A Transformations and Their Contribution to Cell Proliferation
3.2.6. Involvement of the Perilesional Inflammatory Process
4. Materials and Methods
4.1. Analysis of Patient Symptoms and Infertility
4.2. Histopathological Analysis
4.3. Method of Analysis
5. Conclusions
Author Contributions
Funding
Institutional Review Board Statement
Informed Consent Statement
Data Availability Statement
Conflicts of Interest
References
- Schorage, J.O.; Schaffer, J.J.; Halvorson, L.M.; Hoffman, B.L.; Bradshaw, K.D.; Cunningham, F.G. Williams Gynecology; McGraw Hill Medical: New York, NY, USA, 2008. [Google Scholar]
- Zhai, J.; Vannuccini, S.; Petraglia, F.; Giudice, L.C. Adenomyosis: Mechanisms and Pathogenesis. Semin. Reprod. Med. 2020, 38, 129–143. [Google Scholar] [CrossRef]
- Ibrahim, M.G.; Chiantera, V.; Frangini, S.; Younes, S.; Köhler, C.; Taube, E.T.; Plendl, J.; Mechsner, S. Ultramicro-Trauma in the Endometrial-Myometrial Junctional Zone and Pale Cell Migration in Adenomyosis. Fertil. Steril. 2015, 104, 1475–1483.e1-3. [Google Scholar] [CrossRef]
- Leyendecker, G.; Herbertz, M.; Kunz, G.; Mall, G. Endometriosis Results from the Dislocation of Basal Endometrium. Hum. Reprod. 2002, 17, 2725–2736. [Google Scholar] [CrossRef]
- Struble, J.; Reid, S.; Bedaiwy, M.A. Adenomyosis: A Clinical Review of a Challenging Gynecologic Condition. J. Minim. Invasive Gynecol. 2016, 23, 164–185. [Google Scholar] [CrossRef] [PubMed]
- Yu, O.; Schulze-Rath, R.; Grafton, J.; Hansen, K.; Scholes, D.; Reed, S.D. Adenomyosis Incidence, Prevalence and Treatment: United States Population-Based Study 2006–2015. Am. J. Obstet. Gynecol. 2020, 223, 94.e1–94.e10. [Google Scholar] [CrossRef] [PubMed]
- Berceanu, C.; Istrate-Ofiteru, A.-M.; Voicu, N.L.; Capitanescu, R.; Berceanu, S. Endometriosis; University Medical Publishing House: Craiova, Romania, 2018. [Google Scholar]
- Shafrir, A.L.; Farland, L.V.; Shah, D.K.; Harris, H.R.; Kvaskoff, M.; Zondervan, K.; Missmer, S.A. Risk for and Consequences of Endometriosis: A Critical Epidemiologic Review. Best Pract. Res. Clin. Obstet. Gynaecol. 2018, 51, 1–15. [Google Scholar] [CrossRef] [PubMed]
- Lazzeri, L.; Di Giovanni, A.; Exacoustos, C.; Tosti, C.; Pinzauti, S.; Malzoni, M.; Petraglia, F.; Zupi, E. Preoperative and Postoperative Clinical and Transvaginal Ultrasound Findings of Adenomyosis in Patients with Deep Infiltrating Endometriosis. Reprod. Sci. 2014, 21, 1027–1033. [Google Scholar] [CrossRef]
- Genazzani, A.R.; Nisolle, M.; Petraglia, F.; Taylor, R.N. (Eds.) Endometriosis Pathogenesis, Clinical Impact and Management: Volume 9: Frontiers in Gynecological Endocrinology; ISGE Series; Springer International Publishing: Cham, Switzerland, 2021; ISBN 978-3-030-57865-7. [Google Scholar]
- Overton, C.; Shaw, R.W. (Eds.) Atlas of Endometriosis, 3rd ed.; Taylor & Francis: New York, NY, USA; Available online: https://www.routledge.com/Atlas-of-Endometriosis/Overton-Shaw-McMillan-Davis/p/book/9780415395731 (accessed on 10 September 2023).
- Gupta, S.; Harlev, A.; Agarwal, A.; Pandithurai, E. Predisposing and Protective Factors of Endometriosis. In Endometriosis; SpringerBriefs in Reproductive Biology; Springer International Publishing: Cham, Switzerland, 2015; pp. 7–15. ISBN 978-3-319-18307-7. [Google Scholar]
- A Comănescu, M.; Potecă, A.; Comănescu, A. Anatomopathological aspects in endometriosis Chapter 3. In Endometriosis; Berceanu, C., Brătilă, E., Cîrstoiu, M.M., Medehinţu, C., Eds.; Craiova University Medical Publishing House: Craiova, Romania, 2018; pp. 59–61. [Google Scholar]
- Istrate-Ofiţeru, A.-M.; Berbecaru, E.-I.-A.; Zorilă, G.-L.; Roşu, G.-C.; Dîră, L.M.; Comănescu, C.M.; Drăguşin, R.C.; Ruican, D.; Nagy, R.D.; Iliescu, D.G.; et al. Specific Local Predictors That Reflect the Tropism of Endometriosis-A Multiple Immunohistochemistry Technique. Int. J. Mol. Sci. 2022, 23, 5614. [Google Scholar] [CrossRef] [PubMed]
- Kvaskoff, M.; Mu, F.; Terry, K.L.; Harris, H.R.; Poole, E.M.; Farland, L.; Missmer, S.A. Endometriosis: A High-Risk Population for Major Chronic Diseases? Hum. Reprod. Update 2015, 21, 500–516. [Google Scholar] [CrossRef] [PubMed]
- Zondervan, K.T.; Becker, C.M.; Missmer, S.A. Endometriosis. N. Engl. J. Med. 2020, 382, 1244–1256. [Google Scholar] [CrossRef] [PubMed]
- Anglesio, M.S.; Bashashati, A.; Wang, Y.K.; Senz, J.; Ha, G.; Yang, W.; Aniba, M.R.; Prentice, L.M.; Farahani, H.; Li Chang, H.; et al. Multifocal Endometriotic Lesions Associated with Cancer Are Clonal and Carry a High Mutation Burden. J. Pathol. 2015, 236, 201–209. [Google Scholar] [CrossRef] [PubMed]
- Baba, A.; Yamazoe, S.; Dogru, M.; Ogawa, M.; Takamatsu, K.; Miyauchi, J. Clear Cell Adenocarcinoma Arising from Adenomyotic Cyst: A Case Report and Literature Review. J. Obstet. Gynaecol. Res. 2016, 42, 217–223. [Google Scholar] [CrossRef] [PubMed]
- Provendier, A.; Angeles, M.A.; Meyrignac, O.; Illac, C.; Ducassou, A.; Martínez-Gómez, C.; Gladieff, L.; Martinez, A.; Ferron, G. Clear Cell Adenocarcinoma Arising from the Abdominal Wall after Cesarean Section in a Patient with Uterine Adenomyosis. J. Surg. Case Rep. 2020, 2020, rjaa070. [Google Scholar] [CrossRef] [PubMed]
- Caramelo, O.; Marinho, C.; Rebelo, T.; Amaral, N.; Mota, F.; Xavier da Cunha, F.; Torgal, I. A Case of Endometrial Stromal Sarcoma with Synchronous Bilateral Adenocarcinoma of Ovary. Case Rep. Obstet. Gynecol. 2012, 2012, 687510. [Google Scholar] [CrossRef][Green Version]
- Wang, J.; Wang, Q.; Wang, W.; Yang, J.; Xia, J.; Wei, Y. Endometrioid Adenocarcinoma Arising in Adenomyosis in a Patient with Pelvic Organ Prolapse-Case Report. BMC Womens Health 2023, 23, 150. [Google Scholar] [CrossRef]
- Vannuccini, S.; Petraglia, F. Recent Advances in Understanding and Managing Adenomyosis. F1000Res 2019, 8, 283. [Google Scholar] [CrossRef] [PubMed]
- Becker, C.M.; Bokor, A.; Heikinheimo, O.; Horne, A.; Jansen, F.; Kiesel, L.; King, K.; Kvaskoff, M.; Nap, A.; ESHRE Endometriosis Guideline Group; et al. ESHRE guideline: Endometriosis. Hum. Reprod. Open 2022, 2022, hoac009. [Google Scholar] [CrossRef]
- Kuznetsov, L.; Dworzynski, K.; Davies, M.; Overton, C. Guideline Committee. Diagnosis and management of endometriosis: Summary of NICE guidance. BMJ 2017, 358, j3935. [Google Scholar] [CrossRef]
- Brătilă, E.; Ionescu, O.M.; Badiu, D.C.; Berceanu, C.; Vlădăreanu, S.; Pop, D.M.; MehedinŢu, C. Umbilical Hernia Masking Primary Umbilical Endometriosis—A Case Report. Rom. J. Morphol. Embryol. 2016, 57, 825–829. [Google Scholar]
- Gomel, V. Chronic pelvic pain: A challenge. J. Minim. Invasive Gynecol. 2007, 14, 521–526. [Google Scholar] [CrossRef]
- Vercellini, P.; Viganò, P.; Somigliana, E.; Fedele, L. Endometriosis: Pathogenesis and Treatment. Nat. Rev. Endocrinol. 2014, 10, 261–275. [Google Scholar] [CrossRef]
- Stucky, C.L.; Gold, M.S.; Zhang, X. Mechanisms of Pain. Proc. Natl. Acad. Sci. USA 2001, 98, 11845–11846. [Google Scholar] [CrossRef]
- Anaf, V.; Simon, P.; El Nakadi, I.; Fayt, I.; Buxant, F.; Simonart, T.; Peny, M.O.; Noel, J.C. Relationship between Endometriotic Foci and Nerves in Rectovaginal Endometriotic Nodules. Hum. Reprod. 2000, 15, 1744–1750. [Google Scholar] [CrossRef]
- Anaf, V.; Simon, P.; El Nakadi, I.; Fayt, I.; Simonart, T.; Buxant, F.; Noel, J.-C. Hyperalgesia, Nerve Infiltration and Nerve Growth Factor Expression in Deep Adenomyotic Nodules, Peritoneal and Ovarian Endometriosis. Hum. Reprod. 2002, 17, 1895–1900. [Google Scholar] [CrossRef] [PubMed]
- Wang, G.; Tokushige, N.; Russell, P.; Dubinovsky, S.; Markham, R.; Fraser, I.S. Hyperinnervation in Intestinal Deep Infiltrating Endometriosis. J. Minim. Invasive Gynecol. 2009, 16, 713–719. [Google Scholar] [CrossRef] [PubMed]
- Wang, G.; Tokushige, N.; Markham, R.; Fraser, I.S. Rich Innervation of Deep Infiltrating Endometriosis. Hum. Reprod. 2009, 24, 827–834. [Google Scholar] [CrossRef] [PubMed]
- McKinnon, B.; Bersinger, N.A.; Wotzkow, C.; Mueller, M.D. Endometriosis-Associated Nerve Fibers, Peritoneal Fluid Cytokine Concentrations, and Pain in Endometriotic Lesions from Different Locations. Fertil. Steril. 2012, 97, 373–380. [Google Scholar] [CrossRef] [PubMed]
- Zhang, X.; Lu, B.; Huang, X.; Xu, H.; Zhou, C.; Lin, J. Endometrial Nerve Fibers in Women with Endometriosis, Adenomyosis, and Uterine Fibroids. Fertil. Steril. 2009, 92, 1799–1801. [Google Scholar] [CrossRef] [PubMed]
- Ferrari, A.; Conte, E.; Troccoli, M.L.; Nobili, F.; Marziani, R.; Roberti, C.; Mossa, B.; Mazzucconi, M.; Lukic, A.; Moscarini, M. Acquired Haemophilia in Severe Pelvic Endometriosis: A New Association? Haemophilia 2012, 18, e31–e32. [Google Scholar] [CrossRef] [PubMed]
- Endometriosis and Abnormal Bleeding. Available online: https://centerforendo.com/endo-and-abnormal-bleeding (accessed on 10 September 2023).
- Barbara, G.; Stanghellini, V.; De Giorgio, R.; Cremon, C.; Cottrell, G.S.; Santini, D.; Pasquinelli, G.; Morselli-Labate, A.M.; Grady, E.F.; Bunnett, N.W.; et al. Activated Mast Cells in Proximity to Colonic Nerves Correlate with Abdominal Pain in Irritable Bowel Syndrome. Gastroenterology 2004, 126, 693–702. [Google Scholar] [CrossRef]
- Issa, B.; Onon, T.S.; Agrawal, A.; Shekhar, C.; Morris, J.; Hamdy, S.; Whorwell, P.J. Visceral Hypersensitivity in Endometriosis: A New Target for Treatment? Gut 2012, 61, 367–372. [Google Scholar] [CrossRef]
- Lee, D.; Kim, S.K.; Lee, J.R.; Jee, B.C. Management of endometriosis-related infertility: Considerations and treatment options. Clin. Exp. Reprod. Med. 2020, 47, 1–11. [Google Scholar] [CrossRef] [PubMed]
- Harada, T.; Taniguchi, F.; Amano, H.; Kurozawa, Y.; Ideno, Y.; Hayashi, K.; Harada, T. Japan Environment and Children’s Study Group Adverse Obstetrical Outcomes for Women with Endometriosis and Adenomyosis: A Large Cohort of the Japan Environment and Children’s Study. PLoS ONE 2019, 14, e0220256. [Google Scholar] [CrossRef] [PubMed]
- Imudia, A.N.; Kumar, S.; Saed, G.M.; Diamond, M.P. Pathogenesis of Intra-Abdominal and Pelvic Adhesion Development. Semin. Reprod. Med. 2008, 26, 289–297. [Google Scholar] [CrossRef] [PubMed]
- Santulli, P.; Marcellin, L.; Menard, S.; Thubert, T.; Khoshnood, B.; Gayet, V.; Goffinet, F.; Ancel, P.-Y.; Chapron, C. Increased rate of spontaneous miscarriages in endometriosis-affected women. Hum. Reprod. 2016, 31, 1014–1023. [Google Scholar] [CrossRef] [PubMed]
- Zullo, F.; Spagnolo, E.; Saccone, G.; Acunzo, M.; Xodo, S.; Ceccaroni, M.; Berghella, V. Endometriosis and obstetrics complications: A systematic review and meta-analysis. Fertil. Steril. 2017, 108, 667–672.e5. [Google Scholar] [CrossRef] [PubMed]
- Horton, J.; Sterrenburg, M.; Lane, S.; Maheshwari, A.; Li, T.C.; Cheong, Y. Reproductive, obstetric, and perinatal outcomes of women with adenomyosis and endometriosis: A systematic review and meta-analysis. Hum. Reprod. Update 2019, 25, 593–633. [Google Scholar] [CrossRef] [PubMed]
- Bulun, S.E. Endometriosis. N. Engl. J. Med. 2009, 360, 268–279. [Google Scholar] [CrossRef] [PubMed]
- Fuldeore, M.J.; Soliman, A.M. Prevalence and Symptomatic Burden of Diagnosed Endometriosis in the United States: National Estimates from a Cross-Sectional Survey of 59,411 Women. Gynecol. Obstet. Investig. 2017, 82, 453–461. [Google Scholar] [CrossRef]
- Brătilă, E.; Comandaşu, D.E.; Coroleucă, C.; Cîrstoiu, M.M.; Berceanu, C.; Mehedintu, C.; Bratila, P.; Vladareanu, S. Diagnosis of Endometriotic Lesions by Sonovaginography with Ultrasound Gel. Med. Ultrason. 2016, 18, 469. [Google Scholar] [CrossRef]
- Istrate-Ofiţeru, A.M.; Pirici, D.; Niculescu, M.; Berceanu, C.; Berceanu, S.; Voicu, N.L.; Piringă, G.D.; Roşu, G.C.; Iovan, L.; Căpitănescu, R.G.; et al. Clinical, Morphological and Immunohistochemical Survey in Different Types of Endometriosis. Rom. J. Morphol. Embryol. 2018, 59, 1133–1153. [Google Scholar]
- Stefanko, D.P.; Eskander, R.; Aisagbonhi, O. Disseminated Endometriosis and Low-Grade Endometrioid Stromal Sarcoma in a Patient with a History of Uterine Morcellation for Adenomyosis. Case. Rep. Obstet. Gynecol. 2020, 2020, 7201930. [Google Scholar] [CrossRef]
- Machida, H.; Maeda, M.; Cahoon, S.S.; Scannell, C.A.; Garcia-Sayre, J.; Roman, L.D.; Matsuo, K. Endometrial Cancer Arising in Adenomyosis versus Endometrial Cancer Coexisting with Adenomyosis: Are These Two Different Entities? Arch. Gynecol. Obstet. 2017, 295, 1459–1468. [Google Scholar] [CrossRef]
- Modesitt, S.C.; Tortolero-Luna, G.; Robinson, J.B.; Gershenson, D.M.; Wolf, J.K. Ovarian and Extraovarian Endometriosis-Associated Cancer. Obstet. Gynecol. 2002, 100, 788–795. [Google Scholar] [CrossRef]
- Săndulescu, M.S.; Văduva, C.C.; Siminel, M.A.; Dijmărescu, A.L.; Vrabie, S.C.; Camen, I.V.; Tache, D.E.; Neamţu, S.D.; Nagy, R.D.; Carp-Velişcu, A.; et al. Impact of COVID-19 on Fertility and Assisted Reproductive Technology (ART): A Systematic Review. Rom. J. Morphol. Embryol. 2022, 63, 503–510. [Google Scholar] [CrossRef] [PubMed]
- Albu, D.F.; Albu, C.C.; Văduva, C.C.; Niculescu, M.; Edu, A. Diagnosis Problems in a Case of Ovarian Tumor-Case Presentation. Rom. J. Morphol. Embryol. 2016, 57, 1437–1442. [Google Scholar]
- Ismiil, N.D.; Rasty, G.; Ghorab, Z.; Nofech-Mozes, S.; Bernardini, M.; Thomas, G.; Ackerman, I.; Covens, A.; Khalifa, M.A. Adenomyosis Is Associated with Myometrial Invasion by FIGO 1 Endometrial Adenocarcinoma. Int. J. Gynecol. Pathol. 2007, 26, 278–283. [Google Scholar] [CrossRef] [PubMed]
- Motohara, K.; Tashiro, H.; Ohtake, H.; Saito, F.; Ohba, T.; Katabuchi, H. Endometrioid Adenocarcinoma Arising in Adenomyosis: Elucidation by Periodic Magnetic Resonance Imaging Evaluations. Int. J. Clin. Oncol. 2008, 13, 266–270. [Google Scholar] [CrossRef]
- Abdelsamea, M.M.; Zidan, U.; Senousy, Z.; Gaber, M.M.; Rakha, E.; Ilyas, M. A Survey on Artificial Intelligence in Histopathology Image Analysis. WIREs Data Min. Knowl. Discov. 2022, 12, e1474. [Google Scholar] [CrossRef]
- Cifci, D.; Foersch, S.; Kather, J.N. Artificial Intelligence to Identify Genetic Alterations in Conventional Histopathology. J. Pathol. 2022, 257, 430–444. [Google Scholar] [CrossRef] [PubMed]
- Ofiteru, A.M.I.; Berceanu, S.; Paitici, S.; Rosu, G.C.; Iovan, L.; Voicu, N.L.; Pirici, D.; Mogoanta, L.; Vladareanu, R.; Mehedintu, C.; et al. Endometriosis of the Abdominal Wall-Clinical, Histopathological and Immunohistochemical Aspects. Rev. Chim. 2019, 70, 2860–2865. [Google Scholar] [CrossRef]
- Koike, N.; Tsunemi, T.; Uekuri, C.; Akasaka, J.; Ito, F.; Shigemitsu, A.; Kobayashi, H. Pathogenesis and Malignant Transformation of Adenomyosis (Review). Oncol. Rep. 2013, 29, 861–867. [Google Scholar] [CrossRef]
- Schweizer, J.; Bowden, P.E.; Coulombe, P.A.; Langbein, L.; Lane, E.B.; Magin, T.M.; Maltais, L.; Omary, M.B.; Parry, D.A.D.; Rogers, M.A.; et al. New Consensus Nomenclature for Mammalian Keratins. J. Cell Biol. 2006, 174, 169–174. [Google Scholar] [CrossRef]
- Jasani, B. Manual of Diagnostic Antibodies for Immunohistology. Mol. Pathol. 2000, 53, 53. [Google Scholar] [CrossRef]
- Apostolou, G.; Apostolou, N.; Biteli, M.; Kavantzas, N.; Patsouris, E.; Athanassiadou, P. Utility of Ki-67, P53, Bcl-2, and Cox-2 Biomarkers for Low-Grade Endometrial Cancer and Disordered Proliferative/Benign Hyperplastic Endometrium by Imprint Cytology. Diagn. Cytopathol. 2014, 42, 134–142. [Google Scholar] [CrossRef]
- Gargiulo, A.R.; Strauss, J.F.; Barbieri, R.L. Yen & Jaffe’s Reproductive Endocrinology E-Book: Physiology, Pathophysiology, and Clinical Management, 8th ed.; Elsevier: Amsterdam, The Netherlands, 2019; pp. 609–642. [Google Scholar]
- Suzawa, K.; Kobayashi, M.; Sakai, Y.; Hoshino, H.; Watanabe, M.; Harada, O.; Ohtani, H.; Fukuda, M.; Nakayama, J. Preferential Induction of Peripheral Lymph Node Addressin on High Endothelial Venule-Like Vessels in the Active Phase of Ulcerative Colitis. Am. J. Gastroenterol. 2007, 102, 1499–1509. [Google Scholar] [CrossRef] [PubMed]
- Drew, E.; Merzaban, J.S.; Seo, W.; Ziltener, H.J.; McNagny, K.M. CD34 and CD43 Inhibit Mast Cell Adhesion and Are Required for Optimal Mast Cell Reconstitution. Immunity 2005, 22, 43–57. [Google Scholar] [CrossRef] [PubMed]
- Strilić, B.; Kučera, T.; Eglinger, J.; Hughes, M.R.; McNagny, K.M.; Tsukita, S.; Dejana, E.; Ferrara, N.; Lammert, E. The Molecular Basis of Vascular Lumen Formation in the Developing Mouse Aorta. Dev. Cell 2009, 17, 505–515. [Google Scholar] [CrossRef] [PubMed]
- Atiya, H.; Orellana, T.; Coffman, L.G. Role of CD10 Expression in Endometriosis-Associated Mesenchymal Stem Cells on the Progression of Endometriosis-Associated Carcinoma. J. Clin. Oncol. 2021, 39, 5561. [Google Scholar] [CrossRef]
- Surget, S.; Khoury, M.P.; Bourdon, J.-C. Uncovering the Role of P53 Splice Variants in Human Malignancy: A Clinical Perspective. Onco Targets Ther. 2013, 7, 57–68. [Google Scholar] [CrossRef]
- Suvarna, V.; Singh, V.; Murahari, M. Current Overview on the Clinical Update of Bcl-2 Anti-Apoptotic Inhibitors for Cancer Therapy. Eur. J. Pharmacol. 2019, 862, 172655. [Google Scholar] [CrossRef]
- Wu, M.-Y.; Ho, H.-N. The Role of Cytokines in Endometriosis. Am. J. Reprod. Immunol. 2003, 49, 285–296. [Google Scholar] [CrossRef]
- Chu, E.C.; Tarnawski, A.S. PTEN Regulatory Functions in Tumor Suppression and Cell Biology. Med. Sci. Monit. 2004, 10, RA235-41. [Google Scholar]
- Bullwinkel, J.; Baron-Lühr, B.; Lüdemann, A.; Wohlenberg, C.; Gerdes, J.; Scholzen, T. Ki-67 Protein Is Associated with Ribosomal RNA Transcription in Quiescent and Proliferating Cells. J. Cell. Physiol. 2006, 206, 624–635. [Google Scholar] [CrossRef]
- Scholzen, T.; Gerdes, J. The Ki-67 Protein: From the Known and the Unknown. J. Cell. Physiol. 2000, 182, 311–322. [Google Scholar] [CrossRef]
- Cuylen, S.; Blaukopf, C.; Politi, A.Z.; Müller-Reichert, T.; Neumann, B.; Poser, I.; Ellenberg, J.; Hyman, A.A.; Gerlich, D.W. Ki-67 Acts as a Biological Surfactant to Disperse Mitotic Chromosomes. Nature 2016, 535, 308–312. [Google Scholar] [CrossRef]
- Fang, D.; Nguyen, T.K.; Leishear, K.; Finko, R.; Kulp, A.N.; Hotz, S.; Van Belle, P.A.; Xu, X.; Elder, D.E.; Herlyn, M. A Tumorigenic Subpopulation with Stem Cell Properties in Melanomas. Cancer Res. 2005, 65, 9328–9337. [Google Scholar] [CrossRef]
- Brătilă, E.; Brătilă, C.P.; Comandaşu, D.-E.; Bauşic, V.; Vlădescu, C.T.; Mehedinţu, C.; Berceanu, C.; Cîrstoiu, M.M.; Mitroi, G.; Stănculescu, R. The Assessment of Immunohistochemical Profile of Endometriosis Implants, a Practical Method to Appreciate the Aggressiveness and Recurrence Risk of Endometriosis. Rom. J. Morphol. Embryol. 2015, 56, 1301–1307. [Google Scholar]
- Pavlasova, G.; Borsky, M.; Seda, V.; Cerna, K.; Osickova, J.; Doubek, M.; Mayer, J.; Calogero, R.; Trbusek, M.; Pospisilova, S.; et al. Ibrutinib Inhibits CD20 Upregulation on CLL B Cells Mediated by the CXCR4/SDF-1 Axis. Blood 2016, 128, 1609–1613. [Google Scholar] [CrossRef]
- Lebovic, D.I.; Mueller, M.D.; Taylor, R.N. Immunobiology of Endometriosis. Fertil. Steril. 2001, 75, 1–10. [Google Scholar] [CrossRef]
- Hever, A.; Roth, R.B.; Hevezi, P.; Marin, M.E.; Acosta, J.A.; Acosta, H.; Rojas, J.; Herrera, R.; Grigoriadis, D.; White, E.; et al. Human Endometriosis Is Associated with Plasma Cells and Overexpression of B Lymphocyte Stimulator. Proc. Natl. Acad. Sci. USA 2007, 104, 12451–12456. [Google Scholar] [CrossRef]
- Taylor, R.N.; Lebovic, D.I.; Mueller, M.D. Angiogenic Factors in Endometriosis. Ann. N. Y. Acad. Sci. 2002, 955, 89–100; discussion 118, 396–406. [Google Scholar] [CrossRef]
- Kyama, C.M.; Debrock, S.; Mwenda, J.M.; D’Hooghe, T.M. Potential Involvement of the Immune System in the Development of Endometriosis. Reprod. Biol. Endocrinol. 2003, 1, 123. [Google Scholar] [CrossRef]
- Canli, Ö.; Nicolas, A.M.; Gupta, J.; Finkelmeier, F.; Goncharova, O.; Pesic, M.; Neumann, T.; Horst, D.; Löwer, M.; Sahin, U.; et al. Myeloid Cell-Derived Reactive Oxygen Species Induce Epithelial Mutagenesis. Cancer Cell 2017, 32, 869–883.e5. [Google Scholar] [CrossRef]
- Chang, W.-C.L.; Coudry, R.A.; Clapper, M.L.; Zhang, X.; Williams, K.-L.; Spittle, C.S.; Li, T.; Cooper, H.S. Loss of P53 Enhances the Induction of Colitis-Associated Neoplasia by Dextran Sulfate Sodium. Carcinogenesis 2007, 28, 2375–2381. [Google Scholar] [CrossRef]
- Hussain, S.P.; Hofseth, L.J.; Harris, C.C. Radical Causes of Cancer. Nat. Rev. Cancer 2003, 3, 276–285. [Google Scholar] [CrossRef]
- Robles, A.I.; Traverso, G.; Zhang, M.; Roberts, N.J.; Khan, M.A.; Joseph, C.; Lauwers, G.Y.; Selaru, F.M.; Popoli, M.; Pittman, M.E.; et al. Whole-Exome Sequencing Analyses of Inflammatory Bowel Disease−Associated Colorectal Cancers. Gastroenterology 2016, 150, 931–943. [Google Scholar] [CrossRef]
- Meira, L.B.; Bugni, J.M.; Green, S.L.; Lee, C.-W.; Pang, B.; Borenshtein, D.; Rickman, B.H.; Rogers, A.B.; Moroski-Erkul, C.A.; McFaline, J.L.; et al. DNA Damage Induced by Chronic Inflammation Contributes to Colon Carcinogenesis in Mice. J. Clin. Investig. 2008, 118, 2516–2525. [Google Scholar] [CrossRef]
- Grivennikov, S.I. Inflammation and Colorectal Cancer: Colitis-Associated Neoplasia. Semin. Immunopathol. 2013, 35, 229–244. [Google Scholar] [CrossRef]
- Khan, K.N.; Masuzaki, H.; Fujishita, A.; Kitajima, M.; Sekine, I.; Ishimaru, T. Differential Macrophage Infiltration in Early and Advanced Endometriosis and Adjacent Peritoneum. Fertil. Steril. 2004, 81, 652–661. [Google Scholar] [CrossRef]
- Zhihong, N.; Yun, F.; Pinggui, Z.; Sulian, Z.; Zhang, A. Cytokine Profiling in the Eutopic Endometrium of Adenomyosis During the Implantation Window After Ovarian Stimulation. Reprod. Sci. 2016, 23, 124–133. [Google Scholar] [CrossRef] [PubMed]
- Salamonsen, L.A.; Lathbury, L.J. Endometrial Leukocytes and Menstruation. Hum. Reprod. Update 2000, 6, 16–27. [Google Scholar] [CrossRef] [PubMed]
- Yang, J.-H.; Wu, M.-Y.; Chang, D.-Y.; Chang, C.-H.; Yang, Y.-S.; Ho, H.-N. Increased Interleukin-6 Messenger RNA Expression in Macrophage-Cocultured Endometrial Stromal Cells in Adenomyosis. Am. J. Reprod. Immunol. 2006, 55, 181–187. [Google Scholar] [CrossRef] [PubMed]
- An, M.; Li, D.; Yuan, M.; Li, Q.; Zhang, L.; Wang, G. Interaction of Macrophages and Endometrial Cells Induces Epithelial-Mesenchymal Transition-like Processes in Adenomyosis. Biol. Reprod. 2017, 96, 46–57. [Google Scholar] [CrossRef] [PubMed][Green Version]
- Harvima, I.T.; Schechter, N.M.; Harvima, R.J.; Fräki, J.E. Human Skin Tryptase: Purification, Partial Characterization and Comparison with Human Lung Tryptase. Biochim. Biophys. Acta 1988, 957, 71–80. [Google Scholar] [CrossRef]
- Iwabe, T.; Harada, T.; Tsudo, T.; Nagano, Y.; Yoshida, S.; Tanikawa, M.; Terakawa, N. Tumor Necrosis Factor-α Promotes Proliferation of Endometriotic Stromal Cells by Inducing Interleukin-8 Gene and Protein Expression. J. Clin. Endocrinol. Metab. 2000, 85, 824–829. [Google Scholar] [CrossRef]
- Arici, A.; Matalliotakis, I.; Goumenou, A.; Koumantakis, G.; Vassiliadis, S.; Mahutte, N.G. Altered Expression of Interleukin-18 in the Peritoneal Fluid of Women with Endometriosis. Fertil. Steril. 2003, 80, 889–894. [Google Scholar] [CrossRef]
- Istrate-Ofiţeru, A.M.; Pîrvan, I.C.; Pirici, D.; Roşu, G.C.; Niculescu, M.; Berceanu, S.; Manolea, M.M.; Comănescu, M.V.; Voicu, N.L.; Iovan, L.; et al. Triple Immunohistochemistry for Assessing the Inflammatory, Vascular and Progression of Adenomyosis. Rom. J. Morphol. Embryol. 2019, 60, 419–428. [Google Scholar]
















| Total Cases (243) | Number and Percentage of Cases from the Study Group | ||
|---|---|---|---|
| Control group (CG) 60 (24.7%) | Endometrium proliferative phase (EPP) | 30 (12.35%) | |
| Endometrium secretory phase (ESP) | 30 (12.35%) | ||
| Pathological group 183 (75.3%) | Uterine (intramyometrial) location 62 (25.51%) | Adenomyosis (A) | 30 (12.34%) |
| Adenomyosis with hyperplasia without atypia (A-H) | 10 (4.12%) | ||
| Adenomyosis with hyperplasia with atypia (A-AH) | 5 (2.06%) | ||
| Adenomyosis associated with endometrioid carcinoma G1 (A-EC-G1) | 3 (1.23%) | ||
| Adenomyosis associated with endometrioid carcinoma G2 (A-EC-G2) | 5 (2.06%) | ||
| Adenomyosis associated with endometrioid carcinoma G3 (A-EC-G3) | 5 (2.06%) | ||
| Adenomyosis associated with clear cell adenocarcinoma (A-CCAC) | 4 (1.65%) | ||
| Ovarian sites 33 (13.58%) | Ovarian endometriosis (OE) | 30 (12.35%) | |
| Ovarian endometriosis with cell atypia (OE-A) | 3 (1.23%) | ||
| Parietal sites (in the structure of the rectus abdominis muscles +/− in the structure of their fascia) 43 (17.70%) | Abdominal wall endometriosis (AE) | 30 (12.35%) | |
| Abdominal hyperplastic endometriosis without atypia (AE-H) | 8 (3.29%) | ||
| Abdominal hyperplastic endometriosis with atypia (AE-AH) | 5 (2.06%) | ||
| Peritoneal sites (all ectopic foci with peritoneal implantation) | Deep infiltrative endometriosis (DIE) | 30 (12.35%) | |
| Intestinal sites | Colorectal DIE (C-DIE) | 15 (6.17%) | |
| Localization | No Pain (VAS 0->1) | Mild (VAS 2->3) | Moderate (VAS 4->5) | Severe (VAS 6->7) | Very Severe (VAS 8->10) |
|---|---|---|---|---|---|
| EPP | 7 (23.33%) | 20 (66.67%) | 1 (3.33%) | 1 (3.33%) | 1 (3.33%) |
| ESP | 8 (26.67%) | 17 (56.67%) | 5 (16.67%) | 0 (0.00%) | 0 (0.00%) |
| A | 0 (0.00%) | 0 (0.00%) | 10 (33.33%) | 13 (43.33%) | 7 (23.33%) |
| A-H | 0 (0.00%) | 2 (20.00%) | 4 (40.00%) | 3 (30.00%) | 1 (10.00%) |
| A-AH | 1 (20.00%) | 0 (0.00%) | 0 (0.00%) | 4 (80.00%) | 0 (0.00%) |
| A-EC-G1 | 0 (0.00%) | 0 (0.00%) | 0 (0.00%) | 2 (66.67%) | 1 (33.33%) |
| A-EC-G2 | 0 (0.00%) | 0 (0.00%) | 0 (0.00%) | 4 (80.00%) | 1 (20.00%) |
| A-EC-G3 | 0 (0.00%) | 0 (0.00%) | 0 (0.00%) | 4 (80.00%) | 1 (20.00%) |
| A-CCAC | 0 (0.00%) | 0 (0.00%) | 0 (0.00%) | 3 (75.00%) | 1 (25.00%) |
| OE | 0 (0.00%) | 7 (23.33%) | 12 (40.00%) | 8 (26.67%) | 3 (10.00%) |
| OE-A | 0 (0.00%) | 0 (0.00%) | 2 (66.67%) | 1 (33.33%) | 0 (0.00%) |
| AE | 1 (3.33%) | 14 (46.67%) | 11 (36.67%) | 3 (10.00%) | 1 (3.33%) |
| AE-H | 0 (0.00%) | 1 (12.50%) | 4 (50.00%) | 2 (25.00%) | 1 (12.50%) |
| AE-AH | 0 (0.00%) | 1 (20.00%) | 2 (40.00%) | 2 (40.00%) | 0 (0.00%) |
| DPE | 0 (0.00%) | 0 (0.00%) | 5 (16.67%) | 13 (43.33%) | 12 (40.00%) |
| C-DIE | 0 (0.00%) | 0 (0.00%) | 0 (0.00%) | 6 (40.00%) | 9 (60.00%) |
| Localization | CK7+++ | CK7++ | CK7+ | CK7−−− | CK20+++ | CK20−−− |
|---|---|---|---|---|---|---|
| EPP | 100.00% | - | - | - | - | 100.00% |
| ESP | 100.00% | - | - | - | - | 100.00% |
| A | 100.00% | - | - | - | - | 100.00% |
| A-H | - | 100.00% | - | - | - | 100.00% |
| A-AH | - | 100.00% | - | - | - | 100.00% |
| A-EC-G1 | - | - | 100.00% | - | - | 100.00% |
| A-EC-G2 | - | 20.00% | 80.00% | - | - | 100.00% |
| A-EC-G3 | - | 20.00% | 80.00% | - | - | 100.00% |
| A-CCAC | - | 25.00% | 75.00% | - | - | 100.00% |
| OE | 100.00% | - | - | - | - | 100.00% |
| OE-A | 66.67% | 33.33% | - | - | - | 100.00% |
| AE | 100.00% | - | - | - | - | 100.00% |
| AE-H | - | 87.50% | 12.50% | - | - | 100.00% |
| AE-AH | - | 80.00% | 20.00% | - | - | 100.00% |
| DPE | 100.00% | - | - | - | - | 100.00% |
| C-DIE | 100.00% | - | - | - | 100.00% | - |
| Localization | ER+++ | PR+++ |
|---|---|---|
| EPP | 100.00% | - |
| ESP | 100.00% | - |
| A | 86.67% | 13.33% |
| A-H | 100.00% | - |
| A-AH | 100.00% | - |
| A-EC-G1 | 100.00% | - |
| A-EC-G2 | 100.00% | - |
| A-EC-G3 | 100.00% | - |
| A-CCAC | 100.00% | - |
| OE | 100.00% | - |
| OE-A | 100.00% | - |
| AE | 100.00% | - |
| AE-H | 100.00% | - |
| AE-AH | 100.00% | - |
| DPE | 100.00% | - |
| C-DIE | 100.00% | - |
| Localization | Mean Vascular Density of CD34/mm2 | SD | Tukey HSD Test | Cases Where the Statistical Tests Showed p > 0.05 |
|---|---|---|---|---|
| EPP | 648.42 | ±77.95 | p < 0.05 | EPP |
| ESP | 738.39 | ±60.92 | p < 0.05 | C-DIE |
| A | 522.33 | ±104.91 | p < 0.05 | - |
| UE-H | 863.57 | ±82.80 | p < 0.05 | - |
| UE-AH | 1072.73 | ±116.09 | p < 0.05 | UE-EC-G2, AE |
| UE-EC-G1 | 1240.24 | ±58.71 | p < 0.05 | UE-AH, UE-EC-G1, UE-EC-G2, AE-H, AE-AH |
| UE-EC-G2 | 1321.23 | ±116.09 | p < 0.05 | UE-EC-G1, UE-EC-G2, UE-EC-G3, AE-H, AE-AH |
| UE-EC-G3 | 1348.85 | ±116.09 | p < 0.05 | UE-EC-G1, UE-EC-G2, UE-EC-G3, AE-H, AE-AH |
| UE-CACC | 1513.48 | ±115.15 | p < 0.05 | UE-EC-G2, UE-EC-G3, AE-AH |
| OE | 78.46 | ±15.11 | p < 0.05 | OE-A, DIE |
| OE-A | 149.57 | ±24.24 | p < 0.05 | OE, DIE |
| AE | 1033.84 | ±100.36 | p < 0.05 | UE-H |
| AE-H | 1296.90 | ±76.29 | p < 0.05 | UE-EC-G1, UE-EC-G2, UE-EC-G3, AE-AH |
| AE-AH | 1333.66 | ±73.44 | p < 0.05 | UE-EC-G1, UE-EC-G2, UE-EC-G3, UE-CACC, AE-H |
| DIE | 112.98 | ±30.84 | p < 0.05 | OE, OE-A |
| C-DIE | 720.67 | ±78.44 | p < 0.05 | EPP, ESP |
| Localization | Mean Cellular Density of CD3 Cells/mm2 | SD | Tukey HSD Test | Cases Where the Statistical Tests Showed p > 0.05 |
|---|---|---|---|---|
| EPP | 372.76 | ±55.85 | p < 0.05 | ESP, OE, OE-A, DIE, C-DIE |
| ESP | 432.36 | ±52.49 | p < 0.05 | EPP, OE, OE-A, DIE, C-DIE |
| A | 1822.62 | ±114.83 | p < 0.05 | - |
| A-H | 2230.36 | ±198.35 | p < 0.05 | UE-AH |
| A-AH | 2434.00 | ±122.38 | p < 0.05 | UE-H, UE-EC-G1 |
| A-EC-G1 | 2712.88 | ±124.45 | p < 0.05 | UE-AH, UE-EC-G1 |
| A-EC-G2 | 2842.66 | ±76.78 | p < 0.05 | UE-EC-G1 |
| A-EC-G3 | 3096.69 | ±161.34 | p < 0.05 | UE-EC-G2, AE |
| A-CACC | 3413.53 | ±64.88 | p < 0.05 | UE-EC-G3, AE, AE-H |
| OE | 364.13 | ±81.94 | p < 0.05 | EPP, ESP, OE-A, DIE, C-DIE |
| OE-A | 375.06 | ±80.01 | p < 0.05 | EPP, ESP, OE, DIE, C-DIE |
| AE | 3189.42 | ±156.09 | p < 0.05 | UE-EC-G3, UE-CACC |
| AE-H | 3406.63 | ±279.67 | p < 0.05 | - |
| AE-AH | 3762.14 | ±230.50 | p < 0.05 | - |
| DIE | 362.41 | ±41.05 | p < 0.05 | ESP, EPP, OE, OE-A, C-DIE |
| C-DIE | 361.26 | ±27.32 | p < 0.05 | EPP, ESP, OE, OE-A, DIE |
| Localization | Mean Cellular Density of CD20 Cells/mm2 | SD | Tukey HSD Test | Cases Where the Statistical Tests Showed p > 0.05 |
|---|---|---|---|---|
| EPP | 63.28 | ±32.13 | p < 0.05 | UE-EC-G2, OE, OE-A |
| ESP | 129.09 | ±78.94 | p < 0.05 | UE-EC-G2, OE-A |
| A | 273.82 | ±61.96 | p < 0.05 | UE-H, UE-AH, UE-EC-G1/G2/G3/CACC |
| A-H | 345.15 | ±29.65 | p < 0.05 | A, UE-AH, UE-EC-G1/G3/CACC, DIE, C-DIE |
| A-AH | 338.25 | ±6.90 | p < 0.05 | A, UE-H, UE-AH, UE-EC-G3/CACC, DIE, C-DIE |
| A-EC-G1 | 356.66 | ±10.54 | p < 0.05 | A, UE-H, UE-AH, UE-EC-G2/G3/CACC, DIE, C-DIE |
| A-EC-G2 | 178.10 | ±80.12 | p < 0.05 | ESP, EPP, A, UE-EC-G1, OE-A |
| A-EC-G3 | 387.95 | ±5.78 | p < 0.05 | A, UE-H, UE-AH, UE-EC-G1/CACC |
| A-CACC | 400.37 | ±9.76 | p < 0.05 | A, UE-H, UE-AH, UE-EC-G1/G3, DIE, C-DIE |
| OE | 55.68 | ±11.02 | p < 0.05 | ESP, OE-A |
| OE-A | 71.33 | ±22.19 | p < 0.05 | ESP, EPP, UE-EC-G1, OE |
| AE | 954.22 | ±103.42 | p < 0.05 | AE-H |
| AE-H | 1039.76 | ±100.50 | p < 0.05 | AE, AE-AH |
| AE-AH | 1100.34 | ±103.61 | p < 0.05 | AE-H |
| DIE | 408.20 | ±31.33 | p < 0.05 | UE-H, UE-AH, UE-EC-G1/G3/CACC, C-DIE |
| C-DIE | 420.62 | ±18.90 | p < 0.05 | UE-H, UE-AH, UE-EC-G1/G3/CACC, DPE |
| Localization | Mean Cellular Density of CD68 Cells/mm2 | SD | Tukey HSD Test | Cases Where the Statistical Tests Showed p > 0.05 |
|---|---|---|---|---|
| EPP | 282.33 | ±32.70 | p < 0.05 | ESP, OE, OE-A, DIE, C-DIE |
| ESP | 340.78 | ±45.48 | p < 0.05 | EPP, OE, OE-A, DIE, C-DIE |
| A | 1782.12 | ±266.71 | p < 0.05 | UE-H, UE-AH, UE-CACC, AE-H, AE-AH |
| A-H | 1846.55 | ±199.07 | p < 0.05 | A, UE-AH, UE-EC-G1/G2/CACC, AE-H, AE-AH |
| A-AH | 1993.59 | ±180.37 | p < 0.05 | A, UE-H, UE-EC-G1/G2/G3/CACC, DIE, C-DIE |
| A-EC-G1 | 2156.04 | ±85.76 | p < 0.05 | UE-H, UE-AH, UE-EC-G2/G3/CACC, AE-AH |
| A-EC-G2 | 2142.69 | ±160.97 | p < 0.05 | UE-H, UE-AH, UE-EC-G3/CACC, AE-AH |
| A-EC-G3 | 2235.19 | ±98.88 | p < 0.05 | UE-AH, UE-EC-G1/G2/CACC, AE-AH |
| A-CACC | 2027.76 | ±143.96 | p < 0.05 | A, UE-H, UE-AH, UE-EC-G1/G2/G3, AE-H, AE-AH |
| OE | 324.67 | ±38.86 | p < 0.05 | EPP, ESP, OE-A, DIE, C-DIE |
| OE-A | 462.50 | ±66.57 | p < 0.05 | EPP, ESP, OE, DIE, C-DIE |
| AE | 1558.93 | ±218.55 | p < 0.05 | AE-H |
| AE-H | 1697.28 | ±239.65 | p < 0.05 | A, UE-H, UE-AH, UE-EC-CACC, AE, AE-AH |
| AE-AH | 1932.84 | ±116.33 | p < 0.05 | A, UE-H, UE-AH, UE-EC-G1/G2/G3/CACC, AE-H |
| DIE | 323.52 | ±410.04 | p < 0.05 | EPP, ESP, OE, OE-A, C-DIE |
| C-DIE | 33.02 | ±22.26 | p < 0.05 | EPP, ESP, OE, OE-A, DIE |
| Localization | Mean Cellular Density of Tryptase Cells/mm2 | SD | Tukey HSD Test | Cases Where the Statistical Tests Showed p > 0.05 |
|---|---|---|---|---|
| EPP | 77.77 | ±18.48 | p < 0.05 | ESP, OE, OE-A, C-DIE |
| ESP | 111.83 | ±33.15 | p < 0.05 | EPP, OE, OE-A, DIE, C-DIE |
| A | 533.14 | ±55.92 | p < 0.05 | UE-H, AE, AE-H, AE-AH |
| A-H | 579.16 | ±43.59 | p < 0.05 | A, UE-AH, AE, AE-H, AE-AH |
| A-AH | 641.98 | ±40.25 | p < 0.05 | UE-H, UE-EC-G1/G2/G3/CACC, AE-H, AE-AH |
| A-EC-G1 | 736.32 | ±40.45 | p < 0.05 | UE-AH, UE-EC-G2/G3/CACC |
| A-EC-G2 | 697.20 | ±97.13 | p < 0.05 | UE-AH, UE-EC-G1/G3/CACC |
| A-EC-G3 | 730.34 | ±65.74 | p < 0.05 | UE-AH, UE-EC-G1/G2/CACC |
| A-CACC | 729.99 | ±22.10 | p < 0.05 | UE-AH, UE-EC-G1/G2/G3 |
| OE | 97.79 | ±19.53 | p < 0.05 | EPP, ESP, OE-A, DIE, C-DIE |
| OE-A | 140.36 | ±21.09 | p < 0.05 | EPP, ESP, OE, DIE, C-DIE |
| AE | 537.97 | ±78.03 | p < 0.05 | A, UE-H, AE-H, AE-AH |
| AE-H | 586.76 | ±68.24 | p < 0.05 | UE-H, UE-AH, AE, AE-AH |
| AE-AH | 570.19 | ±19.89 | p < 0.05 | A, UE-AH, AE, AE-AH |
| DIE | 129.55 | ±25.68 | p < 0.05 | ESP, OE, OE-A, C-DIE |
| C-DIE | 113.67 | ±16.88 | p < 0.05 | EPP, ESP, OE, OE-A, DIE |
| Localization | % Ki67+ Dividing Cells/mm2 | Tukey HSD Test | Cases Where the Statistical Tests Showed p > 0.05 |
|---|---|---|---|
| EPP | 0.84% | p < 0.05 | ESP, A, UE-H, UE-AH, DPE |
| ESP | 0.83% | p < 0.05 | EPP, A, UE-H, UE-AH, DIE |
| A | 0.77% | p < 0.05 | EPP, ESP, UE-H, UE-AH, DIE |
| A-H | 0.83% | p < 0.05 | EPP, ESP, A, UE-AH |
| A-AH | 1.33% | p < 0.05 | EPP, ESP, A, UE-H, OE, OE-A |
| A-EC-G1 | 6.8% | p < 0.05 | - |
| A-EC-G2 | 3.16% | p < 0.05 | - |
| A-EC-G3 | 3.71% | p < 0.05 | UE-EC-CACC |
| A-CACC | 4.55% | p < 0.05 | UE-EC-G3 |
| OE | 2.82% | p < 0.05 | UE-AH, OE-A, C-DIE |
| OE-A | 3.45% | p < 0.05 | UE-AH, OE, C- DIE |
| AE | 12.04% | p < 0.05 | - |
| AE-H | 13.45% | p < 0.05 | AE-AH |
| AE-AH | 14.36% | p < 0.05 | AE-H |
| DIE | 0.7% | p < 0.05 | EPP, ESP, A, UE-H, UE-AH |
| C-DIE | 3.77% | p < 0.05 | OE, OE-A |
| Localization | % p53+ Cells/mm2 | Tukey HSD Test | Cases Where the Statistical Tests Showed p > 0.05 |
|---|---|---|---|
| EPP | 0% | p < 0.05 | - |
| ESP | 0% | p < 0.05 | - |
| A | 0% | p < 0.05 | - |
| A-H | 0.76% | p < 0.05 | OE-A, AE-H |
| A-AH | 2.61% | p < 0.05 | UE-EC-G1/G2, AE-AH |
| A-EC-G1 | 2.22% | p < 0.05 | UE-EC-G2, OE-A, AE-H, AE-AH |
| A-EC-G2 | 3.16% | p < 0.05 | AE-AH, UE-EC-G1/G3 |
| A-EC-G3 | 3.71% | p < 0.05 | UE-EC-G2, UE-EC-CACC |
| A-CACC | 4.55% | p < 0.05 | UE-H, UE-EC-G1, AE-H, AE-AH |
| OE | 0% | p < 0.05 | - |
| OE-A | 1.03% | p < 0.05 | - |
| AE | 0% | p < 0.05 | - |
| AE-H | 1.1% | p < 0.05 | UE-EC-G1, OE-A, AE-AH |
| AE-AH | 1.97% | p < 0.05 | AE-AH, UE-EC-G1, OE-A, AE-H |
| DIE | 0% | p < 0.05 | - |
| C-DIE | 0% | p < 0.05 | - |
| Localization of BCL-2 Cells/mm2 | Negative (−−−) | Weakly Positive (+) | Moderately Positive (++) | Strongly Positive (+++) |
|---|---|---|---|---|
| EPP | 100% | |||
| ESP | 92% | 8% | ||
| A | 86.67% | 13.33% | ||
| A-H | 80% | 20% | ||
| A-AH | 40% | 60% | ||
| A-EC-G1 | 33.33% | 66.67% | ||
| A-EC-G2 | 40% | 60% | ||
| A-EC-G3 | 100% | |||
| A-CACC | 25% | 75% | ||
| OE | 86.67% | 13.33% | ||
| OE-A | 33.33% | 66.67% | ||
| AE | 63.33% | 36.67% | ||
| AE-H | 37.5% | 12.5% | 50% | |
| AE-AH | 40% | 60% | ||
| DIE | 76.67% | 23.33% | ||
| C-DIE | 53.33% | 26.67% | 20% |
| Localization of PTEN Cells/mm2 | Negative (−−−) | Weakly Positive (+) | Moderately Positive (++) | Strongly Positive (+++) |
|---|---|---|---|---|
| EPP | 100% | |||
| ESP | 100% | |||
| A | 76.67% | 23.33% | ||
| A-H | 80% | 20% | ||
| A-AH | 60% | 40% | ||
| A-EC-G1 | 100% | |||
| A-EC-G2 | 20% | 80% | ||
| A-EC-G3 | 20% | 80% | ||
| A-CACC | 50% | 50% | ||
| OE | 73.33% | 26.67% | ||
| OE-A | 33.33% | 66.67% | ||
| AE | 56.67% | 43.33% | ||
| AE-H | 12.5% | |||
| AE-AH | 20% | 20% | 60% | 12.5% |
| DIE | ||||
| C-DIE | 40% |
| Antibody | Company | Clone | Antigenic Retrieval | Dilution | Target |
|---|---|---|---|---|---|
| Anti-CK7 | Dako | OV-TL 12/30 | Citrate, pH 6 | 1:50 | Glandular epithelium |
| Anti-CK20 | Dako | Ks20.8 | Citrate, pH 6 | 1:25 | Cellular proteins present in enterocytes and goblet cells |
| Anti-ERα | Dako | 1D5 | EDTA, pH 9 | 1:50 | Estrogen receptor α |
| Anti-PR | Dako | PgR 636 | EDTA, pH 9 | 1:50 | Progesterone receptor |
| Anti-CD34 | Dako | QBE nd 10 | Citrate, pH 6 | 1:50 | Capillary endothelial cells |
| Anti-Ki67 | Dako | MIB-1 | EDTA, pH 9 | 1:50 | Cells dividing in G1, S, G2 and M phases |
| Anti-p53 | Dako | DO-7 | EDTA, pH 9 | 1:50 | Nuclear marker |
| Anti-BCL2 | Dako | 124 | EDTA, pH 9 | 1:50 | B-cell lymphoma 2 |
| Anti-PTEN | Abcam | ab31392 | Citrate, pH 6 | 1:50 | Tumor suppressor gene |
| Anti- CD3 | Dako | - | Citrate, pH 6 | 1:50 | T lymphocytes |
| Anti-CD20 | Dako | L26 | Citrate, pH 6 | 1:50 | B lymphocytes |
| Anti-CD68 | Dako | KP1 | Citrate, pH 6 | 1:100 | Macrophages |
| Anti-Tryptase | Dako | AA1 | Citrate, pH 6 | 1:500 | Mast cells |
Disclaimer/Publisher’s Note: The statements, opinions and data contained in all publications are solely those of the individual author(s) and contributor(s) and not of MDPI and/or the editor(s). MDPI and/or the editor(s) disclaim responsibility for any injury to people or property resulting from any ideas, methods, instructions or products referred to in the content. |
© 2024 by the authors. Licensee MDPI, Basel, Switzerland. This article is an open access article distributed under the terms and conditions of the Creative Commons Attribution (CC BY) license (https://creativecommons.org/licenses/by/4.0/).
Share and Cite
Istrate-Ofiţeru, A.-M.; Mogoantă, C.A.; Zorilă, G.-L.; Roşu, G.-C.; Drăguşin, R.C.; Berbecaru, E.-I.-A.; Zorilă, M.V.; Comănescu, C.M.; Mogoantă, S.-Ș.; Vaduva, C.-C.; et al. Clinical Characteristics and Local Histopathological Modulators of Endometriosis and Its Progression. Int. J. Mol. Sci. 2024, 25, 1789. https://doi.org/10.3390/ijms25031789
Istrate-Ofiţeru A-M, Mogoantă CA, Zorilă G-L, Roşu G-C, Drăguşin RC, Berbecaru E-I-A, Zorilă MV, Comănescu CM, Mogoantă S-Ș, Vaduva C-C, et al. Clinical Characteristics and Local Histopathological Modulators of Endometriosis and Its Progression. International Journal of Molecular Sciences. 2024; 25(3):1789. https://doi.org/10.3390/ijms25031789
Chicago/Turabian StyleIstrate-Ofiţeru, Anca-Maria, Carmen Aurelia Mogoantă, George-Lucian Zorilă, Gabriela-Camelia Roşu, Roxana Cristina Drăguşin, Elena-Iuliana-Anamaria Berbecaru, Marian Valentin Zorilă, Cristina Maria Comănescu, Stelian-Ștefăniță Mogoantă, Constantin-Cristian Vaduva, and et al. 2024. "Clinical Characteristics and Local Histopathological Modulators of Endometriosis and Its Progression" International Journal of Molecular Sciences 25, no. 3: 1789. https://doi.org/10.3390/ijms25031789
APA StyleIstrate-Ofiţeru, A.-M., Mogoantă, C. A., Zorilă, G.-L., Roşu, G.-C., Drăguşin, R. C., Berbecaru, E.-I.-A., Zorilă, M. V., Comănescu, C. M., Mogoantă, S.-Ș., Vaduva, C.-C., Brătilă, E., & Iliescu, D. G. (2024). Clinical Characteristics and Local Histopathological Modulators of Endometriosis and Its Progression. International Journal of Molecular Sciences, 25(3), 1789. https://doi.org/10.3390/ijms25031789

