Biallelic Germline BRCA1 Frameshift Mutations Associated with Isolated Diminished Ovarian Reserve
Abstract
1. Introduction
2. Results
2.1. Case Presentation
2.2. Identification of the BRCA1 Mutations
2.3. Cytogenetic and Growth Studies of Patient’s Cells
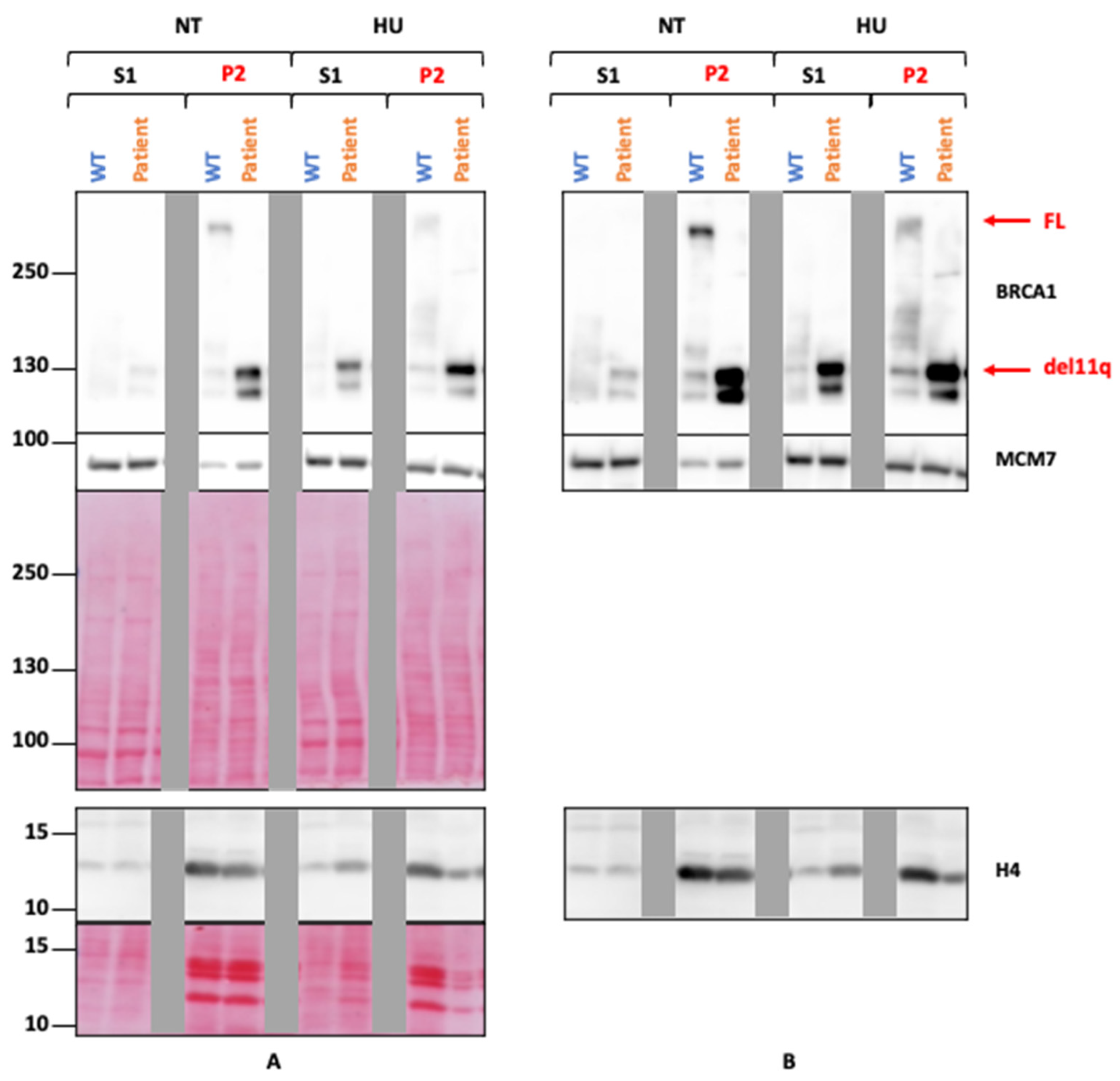
2.4. BRCA1 Transcripts and Proteins Produced by the Mutated Patient’s Alleles
2.5. DNA Damage Response (DDR) Activation After Genotoxic Agents
3. Discussion
4. Materials and Methods
4.1. Genetics Studies
4.2. Chromosomal Analysis
4.3. Cell Culture
4.4. Drugs Treatments on Cell Cultures
4.5. Survival Test
4.6. Transcripts Analysis
4.7. Protein Analysis by Western-Blot
4.8. Chromatin Extracts
4.9. Cell Cycle Studies
Author Contributions
Funding
Institutional Review Board Statement
Informed Consent Statement
Data Availability Statement
Acknowledgments
Conflicts of Interest
References
- World Health Organization. Infertility Prevalence Estimates, 1990–2021; WHO: Geneva, Switzerland, 2023. [Google Scholar]
- Webber, L.; Davies, M.; Anderson, R.; Bartlett, J.; Braat, D.; Cartwright, B.; Cifkova, V.; de Muinck Keizer-Schrama, S.; Hogervorst, E.; Janse, F.; et al. ESHRE Guideline: Management of Women with Premature Ovarian Insufficiency. Hum. Reprod. 2016, 31, 926–937. [Google Scholar] [CrossRef] [PubMed]
- Huhtaniemi, I.; Hovatta, O.; La Marca, A.; Livera, G.; Monniaux, D.; Persani, L.; Heddar, A.; Jarzabek, K.; Laisk-Podar, T.; Salumets, A.; et al. Advances in the Molecular Pathophysiology, Genetics, and Treatment of Primary Ovarian Insufficiency. Trends Endocrinol. Metab. 2018, 29, 400–419. [Google Scholar] [CrossRef] [PubMed]
- Bidet, M.; Bachelot, A.; Bissauge, E.; Golmard, J.L.; Gricourt, S.; Dulon, J.; Coussieu, C.; Badachi, Y.; Touraine, P. Resumption of Ovarian Function and Pregnancies in 358 Patients with Premature Ovarian Failure. J. Clin. Endocrinol. Metab. 2011, 96, 3864–3872. [Google Scholar] [CrossRef] [PubMed]
- Alviggi, C.; Andersen, C.Y.; Buehler, K.; Conforti, A.; De Placido, G.; Esteves, S.C.; Fischer, R.; Galliano, D.; Polyzos, N.P.; Sunkara, S.K.; et al. A New More Detailed Stratification of Low Responders to Ovarian Stimulation: From a Poor Ovarian Response to a Low Prognosis Concept. Fertil. Steril. 2016, 105, 1452–1453. [Google Scholar] [CrossRef]
- Richards, S.; Aziz, N.; Bale, S.; Bick, D.; Das, S.; Gastier-Foster, J.; Grody, W.W.; Hegde, M.; Lyon, E.; Spector, E.; et al. Standards and Guidelines for the Interpretation of Sequence Variants: A Joint Consensus Recommendation of the American College of Medical Genetics and Genomics and the Association for Molecular Pathology. Genet. Med. 2015, 17, 405–424. [Google Scholar] [CrossRef]
- Heddar, A.; Ogur, C.; Da Costa, S.; Braham, I.; Billaud-Rist, L.; Findikli, N.; Beneteau, C.; Reynaud, R.; Mahmoud, K.; Legrand, S.; et al. Genetic Landscape of a Large Cohort of Primary Ovarian Insufficiency: New Genes and Pathways and Implications for Personalized Medicine. eBioMedicine 2022, 84, 104246. [Google Scholar] [CrossRef]
- Veitia, R.A. Primary Ovarian Insufficiency, Meiosis and DNA Repair. Biomed. J. 2020, 43, 115–123. [Google Scholar] [CrossRef]
- Caburet, S.; Heddar, A.; Dardillac, E.; Creux, H.; Lambert, M.; Messiaen, S.; Tourpin, S.; Livera, G.; Lopez, B.S.; Misrahi, M. Homozygous Hypomorphic BRCA2 Variant in Primary Ovarian Insufficiency without Cancer or Fanconi Anaemia Trait. J. Med. Genet. 2021, 58, 125–134. [Google Scholar] [CrossRef]
- Alter, B.P.; Rosenberg, P.S.; Brody, L.C. Clinical and Molecular Features Associated with Biallelic Mutations in FANCD1/BRCA2. J. Med. Genet. 2006, 44, 1–9. [Google Scholar] [CrossRef]
- Bogliolo, M.; Surrallés, J. Fanconi Anemia: A Model Disease for Studies on Human Genetics and Advanced Therapeutics. Curr. Opin. Genet. Dev. 2015, 33, 32–40. [Google Scholar] [CrossRef]
- Niraj, J.; Färkkilä, A.; D’Andrea, A.D. The Fanconi Anemia Pathway in Cancer. Annu. Rev. Cancer Biol. 2019, 3, 457–478. [Google Scholar] [CrossRef] [PubMed]
- Fiesco-Roa, M.O.; Giri, N.; McReynolds, L.J.; Best, A.F.; Alter, B.P. Genotype-Phenotype Associations in Fanconi Anemia: A Literature Review. Blood Rev. 2019, 37, 100589. [Google Scholar] [CrossRef] [PubMed]
- Gueiderikh, A.; Maczkowiak-Chartois, F.; Rouvet, G.; Souquère-Besse, S.; Apcher, S.; Diaz, J.-J.; Rosselli, F. Fanconi Anemia A Protein Participates in Nucleolar Homeostasis Maintenance and Ribosome Biogenesis. Sci. Adv. 2021, 7, eabb5414. [Google Scholar] [CrossRef] [PubMed]
- Tsui, V.; Crismani, W. The Fanconi Anemia Pathway and Fertility. Trends Genet. 2019, 35, 199–214. [Google Scholar] [CrossRef] [PubMed]
- Fouquet, B.; Pawlikowska, P.; Caburet, S.; Guigon, C.; Mäkinen, M.; Tanner, L.; Hietala, M.; Urbanska, K.; Bellutti, L.; Legois, B.; et al. A homozygousFANCMmutation Underlies a Familial Case of Non-Syndromic Primary Ovarian Insufficiency. eLife 2017, 6, e30490. [Google Scholar] [CrossRef]
- Weinberg-Shukron, A.; Rachmiel, M.; Renbaum, P.; Gulsuner, S.; Walsh, T.; Lobel, O.; Dreifuss, A.; Ben-Moshe, A.; Zeligson, S.; Segel, R.; et al. Essential Role of BRCA2 in Ovarian Development and Function. N. Engl. J. Med. 2018, 379, 1042–1049. [Google Scholar] [CrossRef]
- Qin, Y.; Zhang, F.; Chen, Z.-J. BRCA2 in Ovarian Development and Function. N. Engl. J. Med. 2019, 380, 1086–1087. [Google Scholar] [CrossRef]
- Turchetti, D.; Zuntini, R.; Tricarico, R.; Bellacosa, A. BRCA2 in Ovarian Development and Function. N. Engl. J. Med. 2019, 380, 1086–1087, Erratum in N. Engl. J. Med. 2019, 381, 690; Bellacosa, Alfonso [added]. [Google Scholar] [CrossRef] [PubMed]
- Hu, K.-L.; Wang, S.; Ye, X.; Zhang, D. Effects of BRCA Gene Mutation on Female Reproductive Potential: A Systematic Review. Maturitas 2020, 137, 11–17. [Google Scholar] [CrossRef]
- Vanni, V.S.; Campo, G.; Cioffi, R.; Papaleo, E.; Salonia, A.; Vigano, P.; Lambertini, M.; Candiani, M.; Meirow, D.; Orvieto, R. The Neglected Members of the Family: Non-BRCA Mutations in the Fanconi Anemia/BRCA Pathway and Reproduction. Hum. Reprod. Update 2022, 28, 296–311. [Google Scholar] [CrossRef]
- Scully, R.; Chen, J.; Plug, A.; Xiao, Y.; Weaver, D.; Feunteun, J.; Ashley, T.; Livingston, D.M. Association of BRCA1 with Rad51 in Mitotic and Meiotic Cells. Cell 1997, 88, 265–275. [Google Scholar] [CrossRef] [PubMed]
- Baz, M.; Gondran-Teiller, V.; Bressac, B.; Cabaret, O.; Fievet, A.; Dimaria, M.; Goldbarg, V.; Colas, C.; Bonnet-Dupeyron, M.N.; Tinat, J.; et al. The Frequency of Germline BRCA and Non-BRCA HR-Gene-Variants in a Cohort of Pancreatic Cancer Patients. Dig. Dis. Sci. 2023, 68, 1525–1528. [Google Scholar] [CrossRef] [PubMed]
- Tang, N.L.S. Prevalence of Mutations in the BRCA1 Gene Among Chinese Patients With Breast Cancer. J. Natl. Cancer Inst. 1999, 91, 882–885. [Google Scholar] [CrossRef] [PubMed]
- de la Hoya, M.; Pérez-Segura, P.; Van Orsouw, N.; Diaz-Rubio, E.; Caldés, T. Spanish Family Study on Hereditary Breast and/or Ovarian Cancer: Analysis of theBRCA1 Gene. Int. J. Cancer 2001, 91, 137–140. [Google Scholar] [CrossRef] [PubMed]
- Vega, A.; Torres, M.; Martínez, J.I.; Ruiz-Ponte, C.; Barros, F.; Carracedo, A. Analysis of BRCA1 and BRCA2 in Breast and Breast/Ovarian Cancer Families Shows Population Substructure in the Iberian Peninsula. Ann. Hum. Genet. 2002, 66, 29–36. [Google Scholar] [CrossRef]
- Fernandes, G.C.; Michelli, R.A.D.; Galvão, H.C.R.; Paula, A.E.; Pereira, R.; Andrade, C.E.; Felicio, P.S.; Souza, C.P.; Mendes, D.R.P.; Volc, S.; et al. Prevalence of BRCA1/BRCA2 Mutations in a Brazilian Population Sample at-Risk for Hereditary Breast Cancer and Characterization of Its Genetic Ancestry. Oncotarget 2016, 7, 80465–80481. [Google Scholar] [CrossRef]
- Rebbeck, T.R.; Friebel, T.M.; Friedman, E.; Hamann, U.; Huo, D.; Kwong, A.; Olah, E.; Olopade, O.I.; Solano, A.R.; Teo, S.-H.; et al. Mutational Spectrum in a Worldwide Study of 29,700 Families with BRCA1 or BRCA2 Mutations. Hum. Mutat. 2018, 39, 593–620. [Google Scholar] [CrossRef]
- Oostra, A.B.; Nieuwint, A.W.M.; Joenje, H.; de Winter, J.P. Diagnosis of Fanconi Anemia: Chromosomal Breakage Analysis. Anemia 2012, 2012, 238731. [Google Scholar] [CrossRef]
- Lord, C.J.; Ashworth, A. PARP Inhibitors: Synthetic Lethality in the Clinic. Science 2017, 355, 1152–1158. [Google Scholar] [CrossRef]
- Michl, J.; Zimmer, J.; Tarsounas, M. Interplay between Fanconi Anemia and Homologous Recombination Pathways in Genome Integrity. EMBO J. 2016, 35, 909–923. [Google Scholar] [CrossRef]
- Portier, L.; Desterke, C.; Chaker, D.; Oudrhiri, N.; Asgarova, A.; Dkhissi, F.; Turhan, A.G.; Bennaceur-Griscelli, A.; Griscelli, F. iPSC-Derived Hereditary Breast Cancer Model Reveals the BRCA1-Deleted Tumor Niche as a New Culprit in Disease Progression. Int. J. Mol. Sci. 2021, 22, 1227. [Google Scholar] [CrossRef] [PubMed]
- Li, D.; Harlan-Williams, L.M.; Kumaraswamy, E.; Jensen, R.A. BRCA1—No Matter How You Splice It. Cancer Res. 2019, 79, 2091–2098. [Google Scholar] [CrossRef] [PubMed]
- Raponi, M.; Douglas, A.G.L.; Tammaro, C.; Wilson, D.I.; Baralle, D. Evolutionary Constraint Helps Unmask a Splicing Regulatory Region in BRCA1 Exon 11. PLoS ONE 2012, 7, e37255. [Google Scholar] [CrossRef] [PubMed]
- Wang, Y.; Bernhardy, A.J.; Cruz, C.; Krais, J.J.; Nacson, J.; Nicolas, E.; Peri, S.; Van Der Gulden, H.; Van Der Heijden, I.; O’Brien, S.W.; et al. The BRCA1-Δ11q Alternative Splice Isoform Bypasses Germline Mutations and Promotes Therapeutic Resistance to PARP Inhibition and Cisplatin. Cancer Res. 2016, 76, 2778–2790. [Google Scholar] [CrossRef] [PubMed]
- Seo, A.; Steinberg-Shemer, O.; Unal, S.; Casadei, S.; Walsh, T.; Gumruk, F.; Shalev, S.; Shimamura, A.; Akarsu, N.A.; Tamary, H.; et al. Mechanism for Survival of Homozygous Nonsense Mutations in the Tumor Suppressor Gene BRCA1. Proc. Natl. Acad. Sci. USA 2018, 115, 5241–5246. [Google Scholar] [CrossRef]
- Renaudin, X.; Rosselli, F. The FANC/BRCA Pathway Releases Replication Blockades by Eliminating DNA Interstrand Cross-Links. Genes 2020, 11, 585. [Google Scholar] [CrossRef]
- Helbling-Leclerc, A.; Garcin, C.; Rosselli, F. Beyond DNA Repair and Chromosome Instability—Fanconi Anaemia as a Cellular Senescence-Associated Syndrome. Cell Death Differ. 2021, 28, 1159–1173. [Google Scholar] [CrossRef]
- Leem, J.; Kim, J.S.; Oh, J.S. Oocytes Can Repair DNA Damage during Meiosis via a Microtubule-Dependent Recruitment of CIP2A–MDC1–TOPBP1 Complex from Spindle Pole to Chromosomes. Nucleic Acids Res. 2023, 51, 4899–4913. [Google Scholar] [CrossRef]
- Xiong, B.; Li, S.; Ai, J.-S.; Yin, S.; OuYang, Y.-C.; Sun, S.-C.; Chen, D.-Y.; Sun, Q.-Y. BRCA1 Is Required for Meiotic Spindle Assembly and Spindle Assembly Checkpoint Activation in Mouse Oocytes1. Biol. Reprod. 2008, 79, 718–726. [Google Scholar] [CrossRef][Green Version]
- Gowen, L.C.; Johnson, B.L.; Latour, A.M.; Sulik, K.K.; Koller, B.H. Brca1 Deficiency Results in Early Embryonic Lethality Characterized by Neuroepithelial Abnormalities. Nat. Genet. 1996, 12, 191–194. [Google Scholar] [CrossRef]
- Hohenstein, P.; Kielman, M.F.; Breukel, C.; Bennett, L.M.; Wiseman, R.; Krimpenfort, P.; Cornelisse, C.; Van Ommen, G.-J.; Devilee, P.; Fodde, R. A Targeted Mouse Brca1 Mutation Removing the Last BRCT Repeat Results in Apoptosis and Embryonic Lethality at the Headfold Stage. Oncogene 2001, 20, 2544–2550. [Google Scholar] [CrossRef]
- Domchek, S.M.; Tang, J.; Stopfer, J.; Lilli, D.R.; Hamel, N.; Tischkowitz, M.; Monteiro, A.N.A.; Messick, T.E.; Powers, J.; Yonker, A.; et al. Biallelic Deleterious BRCA1 Mutations in a Woman with Early-Onset Ovarian Cancer. Cancer Discov. 2013, 3, 399–405. [Google Scholar] [CrossRef]
- Sawyer, S.L.; Tian, L.; Kähkönen, M.; Schwartzentruber, J.; Kircher, M.; University of Washington Centre for Mendelian Genomics; FORGE Canada Consortium; Majewski, J.; Dyment, D.A.; Innes, A.M.; et al. Biallelic Mutations in BRCA1 Cause a New Fanconi Anemia Subtype. Cancer Discov. 2015, 5, 135–142. [Google Scholar] [CrossRef]
- Freire, B.L.; Homma, T.K.; Funari, M.F.A.; Lerario, A.M.; Leal, A.M.; Velloso, E.D.R.P.; Malaquias, A.C.; Jorge, A.A.L. Homozygous Loss of Function BRCA1 Variant Causing a Fanconi-Anemia-like Phenotype, a Clinical Report and Review of Previous Patients. Eur. J. Med. Genet. 2018, 61, 130–133. [Google Scholar] [CrossRef]
- Chirita-Emandi, A.; Andreescu, N.; Popa, C.; Mihailescu, A.; Riza, A.-L.; Plesea, R.; Ioana, M.; Arghirescu, S.; Puiu, M. Biallelic Variants in BRCA1 Gene Cause a Recognisable Phenotype within Chromosomal Instability Syndromes Reframed as BRCA1 Deficiency. J. Med. Genet. 2021, 58, 648–652. [Google Scholar] [CrossRef]
- Keupp, K.; Hampp, S.; Hübbel, A.; Maringa, M.; Kostezka, S.; Rhiem, K.; Waha, A.; Wappenschmidt, B.; Pujol, R.; Surrallés, J.; et al. Biallelic Germline BRCA1 Mutations in a Patient with Early Onset Breast Cancer, Mild Fanconi Anemia-like Phenotype, and No Chromosome Fragility. Mol. Genet. Genom. Med. 2019, 7, e863. [Google Scholar] [CrossRef]
- Byrjalsen, A.; Steffensen, A.Y.; Hansen, T.v.O.; Wadt, K.; Gerdes, A.-M. Classification of the Spliceogenic BRCA1 c.4096+3A>G Variant as Likely Benign Based on Cosegregation Data and Identification of a Healthy Homozygous Carrier. Clin. Case Rep. 2017, 5, 876–879. [Google Scholar] [CrossRef]
- Arason, A.; Agnarsson, B.A.; Johannesdottir, G.; Johannsson, O.T.; Hilmarsdottir, B.; Reynisdottir, I.; Barkardottir, R. The BRCA1 c.4096+3A>G Variant Displays Classical Characteristics of Pathogenic BRCA1 Mutations in Hereditary Breast and Ovarian Cancers, But Still Allows Homozygous Viability. Genes 2019, 10, 882. [Google Scholar] [CrossRef]
- Davide, B.; Francesca, M.; Valeria, P.; Irene, F.; Bernardo, B. BRCA1 Homozygous Unclassified Variant in a Patient with Non-Fanconi Anemia: A Case Report. Oncol. Lett. 2018, 15, 3329–3332. [Google Scholar] [CrossRef]
- Kwong, A.; Ho, C.Y.S.; Shin, V.Y.; Au, C.H.; Chan, T.L.; Ma, E.S.K. A Case Report of Germline Compound Heterozygous Mutations in the BRCA1 Gene of an Ovarian and Breast Cancer Patient. Int. J. Mol. Sci. 2021, 22, 889. [Google Scholar] [CrossRef]
- Takaoka, M.; Miki, Y. BRCA1 Gene: Function and Deficiency. Int. J. Clin. Oncol. 2018, 23, 36–44. [Google Scholar] [CrossRef]
- Witus, S.R.; Stewart, M.D.; Klevit, R.E. The BRCA1/BARD1 Ubiquitin Ligase and Its Substrates. Biochem. J. 2021, 478, 3467–3483. [Google Scholar] [CrossRef]
- Witus, S.R.; Zhao, W.; Brzovic, P.S.; Klevit, R.E. BRCA1/BARD1 Is a Nucleosome Reader and Writer. Trends Biochem. Sci. 2022, 47, 582–595. [Google Scholar] [CrossRef]
- Berthel, E.; Vincent, A.; Eberst, L.; Torres, A.G.; Dacheux, E.; Rey, C.; Marcel, V.; Paraqindes, H.; Lachuer, J.; Catez, F.; et al. Uncovering the Translational Regulatory Activity of the Tumor Suppressor BRCA1. Cells 2020, 9, 941. [Google Scholar] [CrossRef]
- Jackson, L.; Weedon, M.N.; Green, H.D.; Mallabar-Rimmer, B.; Harrison, J.W.; Wood, A.R.; Ruth, K.S.; Tyrrell, J.; Wright, C.F. Influence of Family History on Penetrance of Hereditary Cancers in a Population Setting. EClinicalMedicine 2023, 64, 102159. [Google Scholar] [CrossRef]
- Downs, B.; Sherman, S.; Cui, J.; Kim, Y.C.; Snyder, C.; Christensen, M.; Luo, J.; Lynch, H.; Wang, S.M. Common Genetic Variants Contribute to Incomplete Penetrance: Evidence from Cancer-Free BRCA1 Mutation Carriers. Eur. J. Cancer 2019, 107, 68–78. [Google Scholar] [CrossRef]
- Coignard, J.; Lush, M.; Beesley, J.; O’Mara, T.A.; Dennis, J.; Tyrer, J.P.; Barnes, D.R.; McGuffog, L.; Leslie, G.; Bolla, M.K.; et al. A Case-Only Study to Identify Genetic Modifiers of Breast Cancer Risk for BRCA1/BRCA2 Mutation Carriers. Nat. Commun. 2021, 12, 1078. [Google Scholar] [CrossRef]
- Malric, A.; Defachelles, A.; Leblanc, T.; Lescoeur, B.; Lacour, B.; Peuchmaur, M.; Maurage, C.; Pierron, G.; Guillemot, D.; d’Enghien, C.D.; et al. Fanconi Anemia and Solid Malignancies in Childhood: A National Retrospective Study. Pediatr. Blood Cancer 2015, 62, 463–470. [Google Scholar] [CrossRef]
- Walsh, M.F.; Chang, V.Y.; Kohlmann, W.K.; Scott, H.S.; Cunniff, C.; Bourdeaut, F.; Molenaar, J.J.; Porter, C.C.; Sandlund, J.T.; Plon, S.E.; et al. Recommendations for Childhood Cancer Screening and Surveillance in DNA Repair Disorders. Clin. Cancer Res. 2017, 23, e23–e31. [Google Scholar] [CrossRef]
- Heddar, A.; Dessen, P.; Flatters, D.; Misrahi, M. Novel STAG3 Mutations in a Caucasian Family with Primary Ovarian Insufficiency. Mol. Genet. Genom. 2019, 294, 1527–1534. [Google Scholar] [CrossRef]
- Heddar, A.; Beckers, D.; Fouquet, B.; Roland, D.; Misrahi, M. A Novel Phenotype Combining Primary Ovarian Insufficiency Growth Retardation and Pilomatricomas With MCM8 Mutation. J. Clin. Endocrinol. Metab. 2020, 105, 1973–1982. [Google Scholar] [CrossRef]









| Age | 14 yr 3 m | 15 yr | 15 yr 1 m | 16 yr 8 m to 17 yr | 17 yr 4 m | 18 yr | 18 yr 3 m | 18 yr 6 m | 18 yr 6 m to 18 yrs 10 m |
|---|---|---|---|---|---|---|---|---|---|
| Menses | Secondary amenorrhea due to an adrenal corticotrop adenoma | Spontaneous regular menses (Day 3 of the cycle) | Amenorrhea, hot flushes | Day 3 bleeding induced by progestin | Spontaneous regular menses (Day 3 of the cycle cycle) | Frequent menstrual bleeding every 2 weeks before spontaneous pregnancy | |||
| FSH UI/L | 0.1 | 11.2 | 9.3 | 49 | 25 | 9.4 | 7.3 | 10.5 | NP |
| LH UI/L | 0.1 | 12.8 | 2.9 | 14 | 8.4 | 3.9 | 5.2 | 8.9 | NP |
| Estradiol pg/mL | 38 | 96 | 30 | NP | 52 | 57.7 | 31 | 45.5 | NP |
| AMH ng/mL | 0.10 | 0.10 | NP | 0.1 | 0.22 | 0.15 | 0.3 | NP | NP |
| Testosterone nmol/L | 23 | 0.99 | NP | NP | 0.91 | NP | NP | 0.59 | NP |
| Aberrant Metaphases | Radial Figures | Breaks/Metaphase | ||||
|---|---|---|---|---|---|---|
| Untreated | MMC (150 nM) | Untreated | MMC (150 nM) | Untreated | MMC (150 nM) | |
| Patient | 4/50 (8%) | 48/50 (96%) | 0/50 (0%) | Numerous | 0.08 | 8.74 |
| WT 1 | 0/50 (0%) | 1/50 (2%) | 0/50 (0%) | 0/50 (0%) | 0 | 0.02 |
| WT 2 | 0/50 (0%) | 7/50 (14%) | 0/50 (0%) | 2/50 (4%) | 0 | 0.24 |
| WES Metrics | The Patient |
|---|---|
| Gbases | 5.19 |
| Number of reads (millions) | 25.94 |
| % Alignment | 97.97 |
| % Mismatch Rate R1 | 0.28 |
| % Mismatch Rate R2 | 0.58 |
| % ≥Q30 bases | 96.2 |
| Mean Quality Score | 36 |
| Mean Depth (X) | 59.17 |
| % of bases covered at 25× | 97.7 |
Disclaimer/Publisher’s Note: The statements, opinions and data contained in all publications are solely those of the individual author(s) and contributor(s) and not of MDPI and/or the editor(s). MDPI and/or the editor(s) disclaim responsibility for any injury to people or property resulting from any ideas, methods, instructions or products referred to in the content. |
© 2024 by the authors. Licensee MDPI, Basel, Switzerland. This article is an open access article distributed under the terms and conditions of the Creative Commons Attribution (CC BY) license (https://creativecommons.org/licenses/by/4.0/).
Share and Cite
Helbling-Leclerc, A.; Falampin, M.; Heddar, A.; Guerrini-Rousseau, L.; Marchand, M.; Cavadias, I.; Auger, N.; Bressac-de Paillerets, B.; Brugieres, L.; Lopez, B.S.; et al. Biallelic Germline BRCA1 Frameshift Mutations Associated with Isolated Diminished Ovarian Reserve. Int. J. Mol. Sci. 2024, 25, 12460. https://doi.org/10.3390/ijms252212460
Helbling-Leclerc A, Falampin M, Heddar A, Guerrini-Rousseau L, Marchand M, Cavadias I, Auger N, Bressac-de Paillerets B, Brugieres L, Lopez BS, et al. Biallelic Germline BRCA1 Frameshift Mutations Associated with Isolated Diminished Ovarian Reserve. International Journal of Molecular Sciences. 2024; 25(22):12460. https://doi.org/10.3390/ijms252212460
Chicago/Turabian StyleHelbling-Leclerc, Anne, Marie Falampin, Abdelkader Heddar, Léa Guerrini-Rousseau, Maud Marchand, Iphigenie Cavadias, Nathalie Auger, Brigitte Bressac-de Paillerets, Laurence Brugieres, Bernard S. Lopez, and et al. 2024. "Biallelic Germline BRCA1 Frameshift Mutations Associated with Isolated Diminished Ovarian Reserve" International Journal of Molecular Sciences 25, no. 22: 12460. https://doi.org/10.3390/ijms252212460
APA StyleHelbling-Leclerc, A., Falampin, M., Heddar, A., Guerrini-Rousseau, L., Marchand, M., Cavadias, I., Auger, N., Bressac-de Paillerets, B., Brugieres, L., Lopez, B. S., Polak, M., Rosselli, F., & Misrahi, M. (2024). Biallelic Germline BRCA1 Frameshift Mutations Associated with Isolated Diminished Ovarian Reserve. International Journal of Molecular Sciences, 25(22), 12460. https://doi.org/10.3390/ijms252212460

