Sulforaphane Is Protective against Warm Ischemia/Reperfusion Injury and Partial Hepatectomy in Rats
Abstract
1. Introduction
2. Results
2.1. SFN Decreases Pathological Changes in Liver Injury
2.2. SFN Attenuates Cell Damage in the Livers of HIRI + PH-Treated Rats
2.3. SFN Affects Inflammation-, Apoptosis-, and Liver Generation-Related Gene Expression in HIRI + PH-Treated Rats
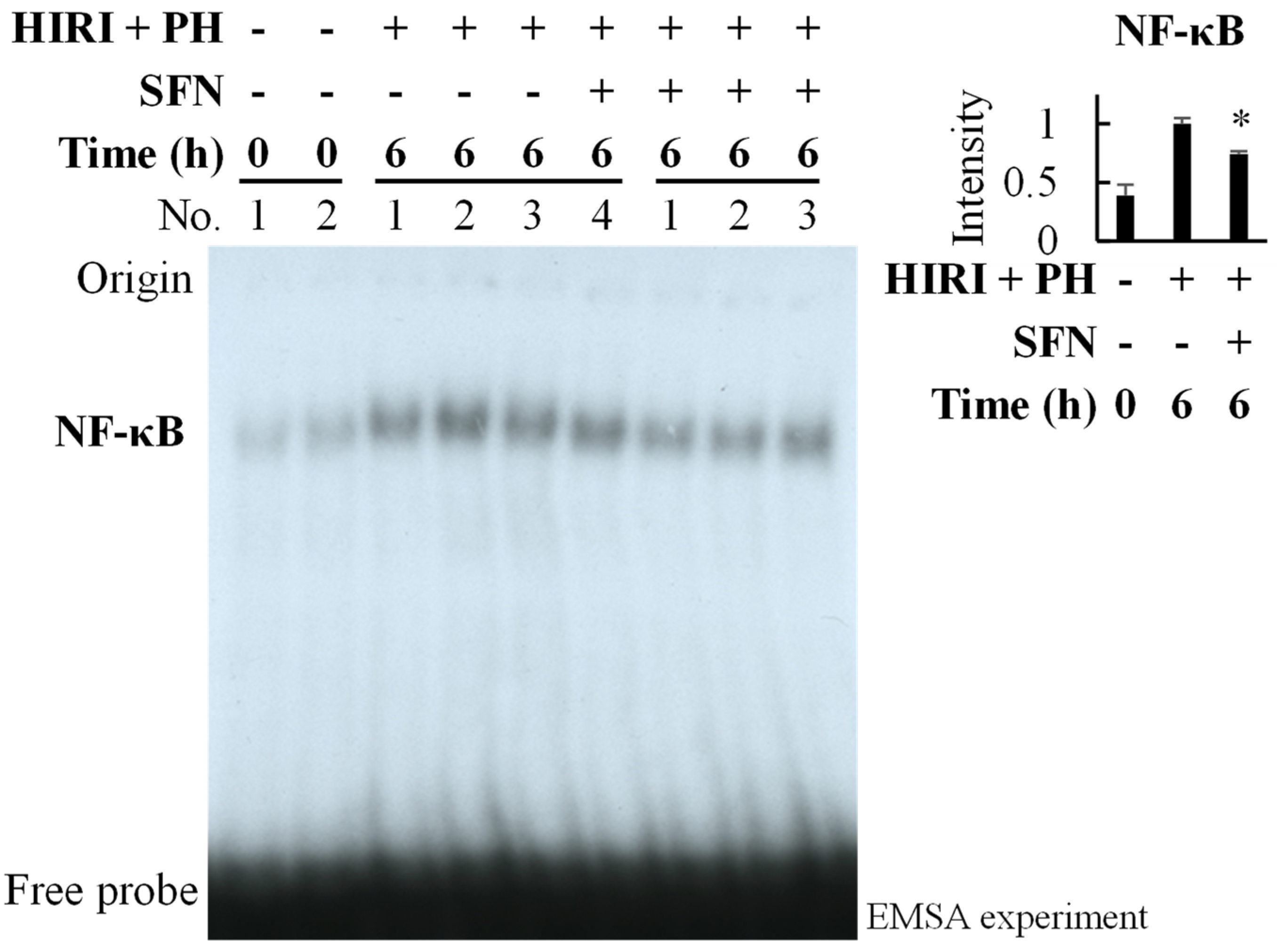
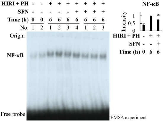
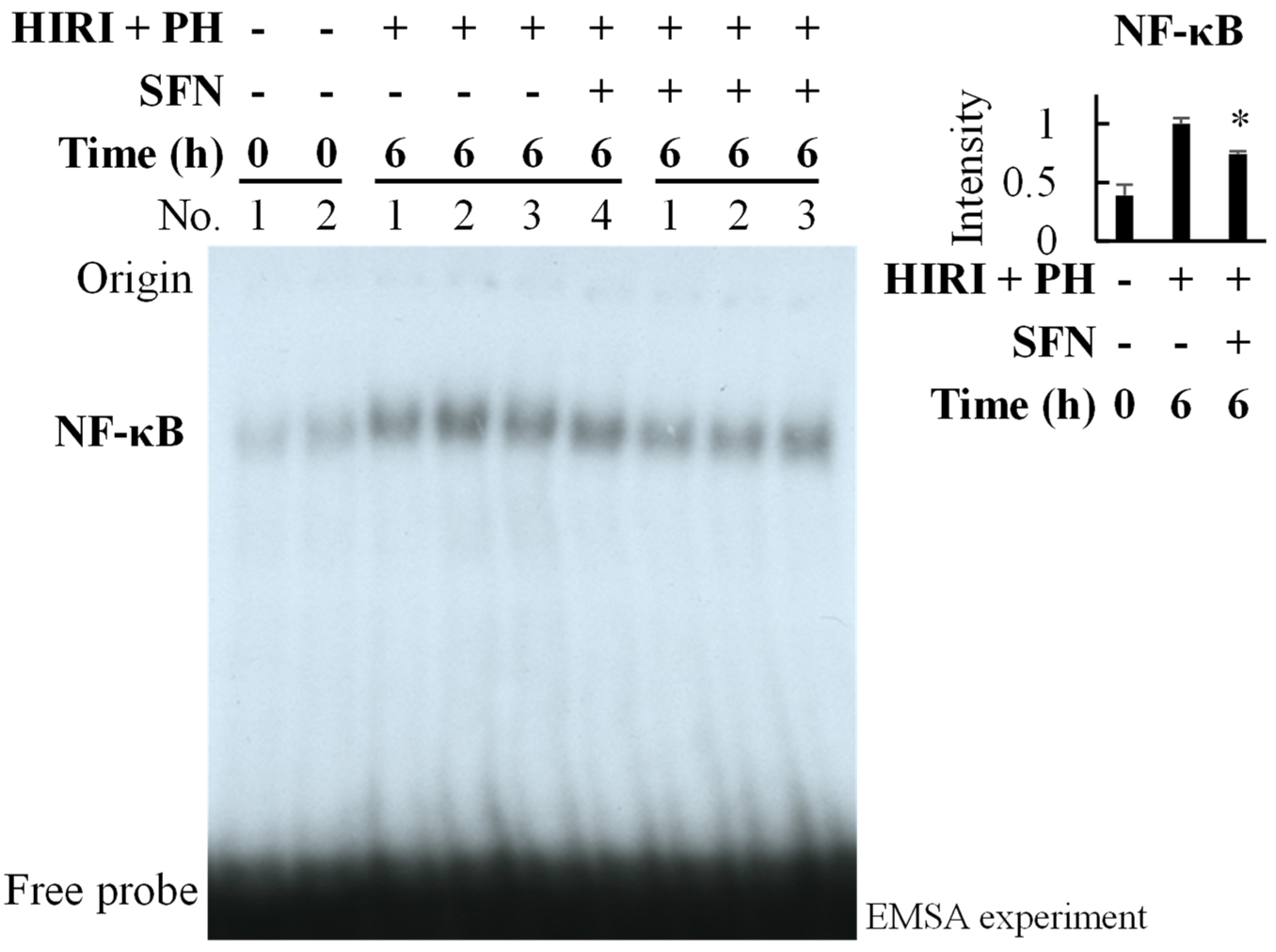
2.4. SFN Decreases NF-κB Activation in HIRI + PH-Treated Rats
2.5. SFN Decreases Mortality in Prolonged HIRI + PH-Treated Rats
2.6. SFN Inhibits Inflammation-Related Gene Expression and Blocks NF-κB Activation in Cultured Hepatocytes
3. Discussion
4. Materials and Methods
4.1. Materials
4.2. Induction of Hepatic Warm Ischemia/Reperfusion Injury and Partial Hepatectomy in Rats
4.3. Culture of Primary Rat Hepatocytes
4.4. Histopathological Analysis of the In Vivo Rat Model
4.5. Serum Biochemical Analysis of the In Vivo Rat Model
4.6. Reverse Transcriptase Polymerase Chain Reaction (RT-PCR) of the Cultured Hepatocytes and the In Vivo Rat Model
4.7. EMSA of the Nuclear Extracts
4.8. Determination of Nitric Oxide Concentration and LDH Activity in the Cultured Hepatocytes
4.9. Statistical Analyses
5. Conclusions
Supplementary Materials
Author Contributions
Funding
Institutional Review Board Statement
Informed Consent Statement
Data Availability Statement
Acknowledgments
Conflicts of Interest
References
- Teoh, N.C. Hepatic ischemia reperfusion injury: Contemporary perspectives on pathogenic mechanisms and basis for hepatoprotection-the good, bad and deadly. J. Gastroenterol. Hepatol. 2011, 26 (Suppl. 1), 180–187. [Google Scholar] [CrossRef] [PubMed]
- van Wagensveld, B.A.; van Gulik, T.M.; Gelderblom, H.C.; Scheepers, J.J.; Bosma, A.; Endert, E.; Obertop, H.; Gouma, D.J. Continuous or intermittent vascular clamping during hemihepatectomy in pigs: Hyaluronic acid kinetics in the assessment of early microvascular liver damage. Eur. J. Surg. 2000, 166, 255–261. [Google Scholar] [CrossRef] [PubMed]
- Delva, E.; Camus, Y.; Nordlinger, B.; Hannoun, L.; Parc, R.; Deriaz, H.; Lienhart, A.; Huguet, C. Vascular occlusions for liver resections. Operative management and tolerance to hepatic ischemia: 142 cases. Ann. Surg. 1989, 209, 211–218. [Google Scholar] [CrossRef] [PubMed]
- Gao, L.; Chen, X.M.; Peng, T.; Yang, D.; Wang, Q.; Lv, Z.P.; Shen, J.G. Caveolin-1 protects against hepatic ischemia/reperfusion injury through ameliorating peroxynitrite-mediated cell death. Free Radicl Biol. Med. 2016, 95, 209–215. [Google Scholar] [CrossRef] [PubMed]
- Zhang, Y.; Lei, X.; Li, W.; Ding, X.; Bai, J.; Wang, J.; Wu, G. TNIP1 alleviates hepatic ischemia/reperfusion injury via the TLR2-Myd88 pathway. Biochem. Biophys. Res. Commun. 2018, 501, 186–192. [Google Scholar] [CrossRef] [PubMed]
- Robinson, S.M.; Mann, D.A. Role of nuclear factor kappaB in liver health and disease. Clin. Sci. 2010, 118, 691–705. [Google Scholar] [CrossRef] [PubMed]
- Luan, X.; Liu, Y.; Li, M. The role of CD14 and Toll-like receptor 4 of Kupffer cells in hepatic ischemia-reperfusion injury in rats. Transplant. Proc. 2012, 44, 937–941. [Google Scholar] [CrossRef]
- Chandel, N.S.; Trzyna, W.C.; McClintock, D.S.; Schumacker, P.T. Role of oxidants in NF-kappa B activation and TNF-alpha gene transcription induced by hypoxia and endotoxin. J. Immunol. 2000, 165, 1013–1021. [Google Scholar] [CrossRef]
- Ghosh, S.; May, M.J.; Kopp, E.B. NF-kappa B and Rel proteins: Evolutionarily conserved mediators of immune responses. Annu. Rev. Immunol. 1998, 16, 225–260. [Google Scholar] [CrossRef]
- Qin, J.J.; Mao, W.; Wang, X.; Sun, P.; Cheng, D.; Tian, S.; Zhu, X.Y.; Yang, L.; Huang, Z.; Li, H. Caspase recruitment domain 6 protects against hepatic ischemia/reperfusion injury by suppressing ASK1. J. Hepatol. 2018, 69, 1110–1122. [Google Scholar] [CrossRef]
- Chung, F.L.; Conaway, C.C.; Rao, C.V.; Reddy, B.S. Chemoprevention of colonic aberrant crypt foci in Fischer rats by sulforaphane and phenethyl isothiocyanate. Carcinogenesis 2000, 21, 2287–2291. [Google Scholar] [CrossRef] [PubMed]
- Guerrero-Beltran, C.E.; Calderon-Oliver, M.; Pedraza-Chaverri, J.; Chirino, Y.I. Protective effect of sulforaphane against oxidative stress: Recent advances. Exp. Toxicol. Pathol. 2012, 64, 503–508. [Google Scholar] [CrossRef] [PubMed]
- Juge, N.; Mithen, R.F.; Traka, M. Molecular basis for chemoprevention by sulforaphane: A comprehensive review. Cell. Mol. Life Sci. 2007, 64, 1105–1127. [Google Scholar] [CrossRef] [PubMed]
- Baird, L.; Dinkova-Kostova, A.T. The cytoprotective role of the Keap1-Nrf2 pathway. Arch. Toxicol. 2011, 85, 241–272. [Google Scholar] [CrossRef] [PubMed]
- Gerhauser, C. Cancer chemoprevention and nutriepigenetics: State of the art and future challenges. Top. Curr. Chem. 2013, 329, 73–132. [Google Scholar] [CrossRef] [PubMed]
- Gaona-Gaona, L.; Molina-Jijon, E.; Tapia, E.; Zazueta, C.; Hernandez-Pando, R.; Calderon-Oliver, M.; Zarco-Marquez, G.; Pinzon, E.; Pedraza-Chaverri, J. Protective effect of sulforaphane pretreatment against cisplatin-induced liver and mitochondrial oxidant damage in rats. Toxicology 2011, 286, 20–27. [Google Scholar] [CrossRef] [PubMed]
- Sun, X.; Mi, L.; Liu, J.; Song, L.; Chung, F.L.; Gan, N. Sulforaphane prevents microcystin-LR-induced oxidative damage and apoptosis in BALB/c mice. Toxicol. Appl. Pharmacol. 2011, 255, 9–17. [Google Scholar] [CrossRef] [PubMed]
- Baek, S.H.; Park, M.; Suh, J.H.; Choi, H.S. Protective effects of an extract of young radish (Raphanus sativus L.) cultivated with sulfur (sulfur-radish extract) and of sulforaphane on carbon tetrachloride-induced hepatotoxicity. Biosci. Biotechnol. Biochem. 2008, 72, 1176–1182. [Google Scholar] [CrossRef]
- Thangapandiyan, S.; Ramesh, M.; Hema, T.; Miltonprabu, S.; Uddin, M.S.; Nandhini, V.; Bavithra Jothi, G. Sulforaphane Potentially Ameliorates Arsenic Induced Hepatotoxicity in Albino Wistar Rats: Implication of PI3K/Akt/Nrf2 Signaling Pathway. Cell Physiol. Biochem. 2019, 52, 1203–1222. [Google Scholar] [CrossRef]
- Sayed, R.H.; Khalil, W.K.; Salem, H.A.; Kenawy, S.A.; El-Sayeh, B.M. Sulforaphane increases the survival rate in rats with fulminant hepatic failure induced by D-galactosamine and lipopolysaccharide. Nutr. Res. 2014, 34, 982–989. [Google Scholar] [CrossRef]
- Zhou, R.; Lin, J.; Wu, D. Sulforaphane induces Nrf2 and protects against CYP2E1-dependent binge alcohol-induced liver steatosis. Biochim. Biophys. Acta 2014, 1840, 209–218. [Google Scholar] [CrossRef] [PubMed]
- Choi, K.M.; Lee, Y.S.; Kim, W.; Kim, S.J.; Shin, K.O.; Yu, J.Y.; Lee, M.K.; Lee, Y.M.; Hong, J.T.; Yun, Y.P.; et al. Sulforaphane attenuates obesity by inhibiting adipogenesis and activating the AMPK pathway in obese mice. J. Nutr. Biochem. 2014, 25, 201–207. [Google Scholar] [CrossRef] [PubMed]
- Kay, H.Y.; Kim, W.D.; Hwang, S.J.; Choi, H.S.; Gilroy, R.K.; Wan, Y.J.; Kim, S.G. Nrf2 inhibits LXRalpha-dependent hepatic lipogenesis by competing with FXR for acetylase binding. Antioxid. Redox Signal 2011, 15, 2135–2146. [Google Scholar] [CrossRef] [PubMed]
- Heiss, E.; Herhaus, C.; Klimo, K.; Bartsch, H.; Gerhauser, C. Nuclear factor kappa B is a molecular target for sulforaphane-mediated anti-inflammatory mechanisms. J. Biol. Chem. 2001, 276, 32008–32015. [Google Scholar] [CrossRef] [PubMed]
- Kawanishi, S.; Hiraku, Y.; Pinlaor, S.; Ma, N. Oxidative and nitrative DNA damage in animals and patients with inflammatory diseases in relation to inflammation-related carcinogenesis. Biol. Chem. 2006, 387, 365–372. [Google Scholar] [CrossRef]
- Goossens, L.; Pommery, N.; Henichart, J.P. COX-2/5-LOX dual acting anti-inflammatory drugs in cancer chemotherapy. Curr. Top. Med. Chem. 2007, 7, 283–296. [Google Scholar] [CrossRef] [PubMed]
- Takimoto, Y.; Qian, H.Y.; Yoshigai, E.; Okumura, T.; Ikeya, Y.; Nishizawa, M. Gomisin N in the herbal drug gomishi (Schisandra chinensis) suppresses inducible nitric oxide synthase gene via C/EBPbeta and NF-kappaB in rat hepatocytes. Nitric Oxide 2013, 28, 47–56. [Google Scholar] [CrossRef] [PubMed]
- Fujii, A.; Okuyama, T.; Wakame, K.; Okumura, T.; Ikeya, Y.; Nishizawa, M. Identification of anti-inflammatory constituents in Phellodendri Cortex and Coptidis Rhizoma by monitoring the suppression of nitric oxide production. J. Nat. Med. 2017, 71, 745–756. [Google Scholar] [CrossRef]
- Ozaki, H.; Nishidono, Y.; Fujii, A.; Okuyama, T.; Nakamura, K.; Maesako, T.; Shirako, S.; Nakatake, R.; Tanaka, K.; Ikeya, Y.; et al. Identification of Anti-Inflammatory Compounds from Peucedanum praeruptorum Roots by Using Nitric Oxide-Producing Rat Hepatocytes Stimulated by Interleukin 1beta. Molecules 2023, 28, 5076. [Google Scholar] [CrossRef]
- Kotsuka, M.; Hashimoto, Y.; Nakatake, R.; Okuyama, T.; Hatta, M.; Yoshida, T.; Okumura, T.; Nishizawa, M.; Kaibori, M.; Sekimoto, M. Omeprazole Increases Survival Through the Inhibition of Inflammatory Mediaters in Two Rat Sepsis Models. Shock 2022, 57, 444–456. [Google Scholar] [CrossRef]
- Ningsih, F.N.; Okuyama, T.; To, S.; Nishidono, Y.; Okumura, T.; Tanaka, K.; Ikeya, Y.; Nishizawa, M. Comparative Analysis of Anti-inflammatory Activity of the Constituents of the Rhizome of Cnidium officinale Using Rat Hepatocytes. Biol. Pharm. Bull. 2020, 43, 1867–1875. [Google Scholar] [CrossRef] [PubMed]
- Nakatake, R.; Hishikawa, H.; Kotsuka, M.; Ishizaki, M.; Matsui, K.; Nishizawa, M.; Yoshizawa, K.; Kaibori, M.; Okumura, T. The Proton Pump Inhibitor Lansoprazole Has Hepatoprotective Effects in In Vitro and In Vivo Rat Models of Acute Liver Injury. Dig. Dis. Sci. 2019, 64, 2854–2866. [Google Scholar] [CrossRef] [PubMed]
- Qiao, Y.L.; Qian, J.M.; Wang, F.R.; Ma, Z.Y.; Wang, Q.W. Butyrate protects liver against ischemia reperfusion injury by inhibiting nuclear factor kappa B activation in Kupffer cells. J. Surg. Res. 2014, 187, 653–659. [Google Scholar] [CrossRef] [PubMed]
- Ikeda, T.; Yanaga, K.; Kishikawa, K.; Kakizoe, S.; Shimada, M.; Sugimachi, K. Ischemic injury in liver transplantation: Difference in injury sites between warm and cold ischemia in rats. Hepatology 1992, 16, 454–461. [Google Scholar] [CrossRef] [PubMed]
- Ishizaki, M.; Kaibori, M.; Uchida, Y.; Tanaka, H.; Ozaki, T.; Saito, T.; Matsui, K.; Kamiyama, Y.; Nishizawa, M.; Okumura, T. Protective effect of FR183998, a Na+/H+ exchanger inhibitor, and its inhibition of inducible nitric oxide synthase induction in hepatic ischemia-reperfusion injury in rats. Am. J. Transplant. 2008, 8, 496. [Google Scholar]
- Tanaka, H.; Uchida, Y.; Kaibori, M.; Hijikawa, T.; Ishizaki, M.; Yamada, M.; Matsui, K.; Ozaki, T.; Tokuhara, K.; Kamiyama, Y.; et al. Na+/H+ exchanger inhibitor, FR183998, has protective effect in lethal acute liver failure and prevents iNOS induction in rats. J. Hepatol. 2008, 48, 289–299. [Google Scholar] [CrossRef]
- Matsui, K.; Kawaguchi, Y.; Ozaki, T.; Tokuhara, K.; Tanaka, H.; Kaibori, M.; Matsui, Y.; Kamiyama, Y.; Wakame, K.; Miura, T.; et al. Effect of active hexose correlated compound on the production of nitric oxide in hepatocytes. J. Parenter. Enteral Nutr. 2007, 31, 373–380. [Google Scholar] [CrossRef]
- Nakatake, R.; Tanaka, Y.; Ueyama, Y.; Miki, H.; Ishizaki, M.; Matsui, K.; Kaibori, M.; Okumura, T.; Nishizawa, M.; Kon, M. Protective effects of active hexose correlated compound in a rat model of liver injury after hepatectomy. Funct. Foods Health D 2016, 6, 702–717. [Google Scholar] [CrossRef]
- Panesar, N.; Tolman, K.; Mazuski, J.E. Endotoxin stimulates hepatocyte interleukin-6 production. J. Surg. Res. 1999, 85, 251–258. [Google Scholar] [CrossRef]
- Su, L.; Li, N.; Tang, H.; Lou, Z.; Chong, X.; Zhang, C.; Su, J.; Dong, X. Kupffer cell-derived TNF-alpha promotes hepatocytes to produce CXCL1 and mobilize neutrophils in response to necrotic cells. Cell Death Dis. 2018, 9, 323. [Google Scholar] [CrossRef]
- Pomfret, E.A.; Pomposelli, J.J.; Jenkins, R.L. Live donor liver transplantation. J. Hepatol. 2001, 34, 613–624. [Google Scholar] [CrossRef] [PubMed]
- Wang, G.; Zhao, C.; Chen, S.; Li, X.; Zhang, L.; Chang, C.; Xu, C. A preliminary in vivo study of the effects of OPN on rat liver regeneration induced by partial hepatectomy. Mol. Biol. Rep. 2016, 43, 1371–1382. [Google Scholar] [CrossRef] [PubMed]
- Iwasaki, J.; Afify, M.; Bleilevens, C.; Klinge, U.; Weiskirchen, R.; Steitz, J.; Vogt, M.; Yagi, S.; Nagai, K.; Uemoto, S.; et al. The Impact of a Nitric Oxide Synthase Inhibitor (L-NAME) on Ischemia-Reperfusion Injury of Cholestatic Livers by Pringle Maneuver and Liver Resection after Bile Duct Ligation in Rats. Int. J. Mol. Sci. 2019, 20, 2114. [Google Scholar] [CrossRef] [PubMed]
- Chan, B.K.Y.; Elmasry, M.; Forootan, S.S.; Russomanno, G.; Bunday, T.M.; Zhang, F.; Brillant, N.; Starkey Lewis, P.J.; Aird, R.; Ricci, E.; et al. Pharmacological Activation of Nrf2 Enhances Functional Liver Regeneration. Hepatology 2021, 74, 973–986. [Google Scholar] [CrossRef] [PubMed]
- Houghton, C.A.; Fassett, R.G.; Coombes, J.S. Sulforaphane and Other Nutrigenomic Nrf2 Activators: Can the Clinician’s Expectation Be Matched by the Reality? Oxid. Med. Cell Longev. 2016, 2016, 7857186. [Google Scholar] [CrossRef] [PubMed]
- Kanemaki, T.; Kitade, H.; Hiramatsu, Y.; Kamiyama, Y.; Okumura, T. Stimulation of glycogen degradation by prostaglandin E2 in primary cultured rat hepatocytes. Prostaglandins 1993, 45, 459–474. [Google Scholar] [CrossRef]
- Inaba, H.; Yoshigai, E.; Okuyama, T.; Murakoshi, M.; Sugiyama, K.; Nishino, H.; Nishizawa, M. Antipyretic analgesic drugs have different mechanisms for regulation of the expression of inducible nitric oxide synthase in hepatocytes and macrophages. Nitric Oxide 2015, 44, 61–70. [Google Scholar] [CrossRef] [PubMed]
- Matsui, K.; Ozaki, T.; Oishi, M.; Tanaka, Y.; Kaibori, M.; Nishizawa, M.; Okumura, T.; Kwon, A.H. Active Hexose Correlated Compound Inhibits the Expression of Proinflammatory Biomarker iNOS in Hepatocytes. Eur. Surg. Res. 2011, 47, 274–283. [Google Scholar] [CrossRef]
- Oda, M.; Sakitani, K.; Kaibori, M.; Inoue, T.; Kamiyama, Y.; Okumura, T. Vicinal dithiol-binding agent, phenylarsine oxide, inhibits inducible nitric-oxide synthase gene expression at a step of nuclear factor-kappa B DNA binding in hepatocytes. J. Biol. Chem. 2000, 275, 4369–4373. [Google Scholar] [CrossRef]
- Kilkenny, C.; Browne, W.J.; Cuthill, I.C.; Emerson, M.; Altman, D.G. Improving bioscience research reporting: The ARRIVE guidelines for reporting animal research. PLoS Biol. 2010, 8, e1000412. [Google Scholar] [CrossRef]
- Smith, A.J.; Clutton, R.E.; Lilley, E.; Hansen, K.E.A.; Brattelid, T. PREPARE: Guidelines for planning animal research and testing. Lab. Anim. 2018, 52, 135–141. [Google Scholar] [CrossRef] [PubMed]
- Kawai, K.; Yokoyama, Y.; Kokuryo, T.; Watanabe, K.; Kitagawa, T.; Nagino, M. Inchinkoto, an herbal medicine, exerts beneficial effects in the rat liver under stress with hepatic ischemia-reperfusion and subsequent hepatectomy. Ann. Surg. 2010, 251, 692–700. [Google Scholar] [CrossRef] [PubMed]
- Bachelerie, F.; Ben-Baruch, A.; Burkhardt, A.M.; Combadiere, C.; Farber, J.M.; Graham, G.J.; Horuk, R.; Sparre-Ulrich, A.H.; Locati, M.; Luster, A.D.; et al. International Union of Basic and Clinical Pharmacology. LXXXIX. Update on the extended family of chemokine receptors and introducing a new nomenclature for atypical chemokine receptors. Pharmacol. Rev. 2014, 66, 1–79. [Google Scholar] [CrossRef] [PubMed]
- Kanzler, S.; Rix, A.; Czigany, Z.; Tanaka, H.; Fukushima, K.; Kögel, B.; Pawlowsky, K.; Tolba, R.H. Recommendation for severity assessment following liver resection and liver transplantation in rats: Part I. Lab. Anim. 2016, 50, 459–467. [Google Scholar] [CrossRef] [PubMed]
- Seglen, P.O. Preparation of isolated rat liver cells. Methods Cell Biol. 1976, 13, 29–83. [Google Scholar]
- Suzuki, S.; Nakamura, S.; Koizumi, T.; Sakaguchi, S.; Baba, S.; Muro, H.; Fujise, Y. The beneficial effect of a prostaglandin I2 analog on ischemic rat liver. Transplantation 1991, 52, 979–983. [Google Scholar] [CrossRef]
- Nishizawa, M.; Nakajima, T.; Yasuda, K.; Kanzaki, H.; Sasaguri, Y.; Watanabe, K.; Ito, S. Close kinship of human 20alpha-hydroxysteroid dehydrogenase gene with three aldo-keto reductase genes. Genes Cells 2000, 5, 111–125. [Google Scholar] [CrossRef]
- Green, L.C.; Wagner, D.A.; Glogowski, J.; Skipper, P.L.; Wishnok, J.S.; Tannenbaum, S.R. Analysis of nitrate, nitrite, and [15N]nitrate in biological fluids. Anal. Biochem. 1982, 126, 131–138. [Google Scholar] [CrossRef]









Disclaimer/Publisher’s Note: The statements, opinions and data contained in all publications are solely those of the individual author(s) and contributor(s) and not of MDPI and/or the editor(s). MDPI and/or the editor(s) disclaim responsibility for any injury to people or property resulting from any ideas, methods, instructions or products referred to in the content. |
© 2024 by the authors. Licensee MDPI, Basel, Switzerland. This article is an open access article distributed under the terms and conditions of the Creative Commons Attribution (CC BY) license (https://creativecommons.org/licenses/by/4.0/).
Share and Cite
Nakatake, R.; Okuyama, T.; Hashimoto, Y.; Ishizaki, M.; Yanagida, H.; Kitade, H.; Yoshizawa, K.; Nishizawa, M.; Sekimoto, M. Sulforaphane Is Protective against Warm Ischemia/Reperfusion Injury and Partial Hepatectomy in Rats. Int. J. Mol. Sci. 2024, 25, 579. https://doi.org/10.3390/ijms25010579
Nakatake R, Okuyama T, Hashimoto Y, Ishizaki M, Yanagida H, Kitade H, Yoshizawa K, Nishizawa M, Sekimoto M. Sulforaphane Is Protective against Warm Ischemia/Reperfusion Injury and Partial Hepatectomy in Rats. International Journal of Molecular Sciences. 2024; 25(1):579. https://doi.org/10.3390/ijms25010579
Chicago/Turabian StyleNakatake, Richi, Tetsuya Okuyama, Yuki Hashimoto, Morihiko Ishizaki, Hidesuke Yanagida, Hiroaki Kitade, Katsuhiko Yoshizawa, Mikio Nishizawa, and Mitsugu Sekimoto. 2024. "Sulforaphane Is Protective against Warm Ischemia/Reperfusion Injury and Partial Hepatectomy in Rats" International Journal of Molecular Sciences 25, no. 1: 579. https://doi.org/10.3390/ijms25010579
APA StyleNakatake, R., Okuyama, T., Hashimoto, Y., Ishizaki, M., Yanagida, H., Kitade, H., Yoshizawa, K., Nishizawa, M., & Sekimoto, M. (2024). Sulforaphane Is Protective against Warm Ischemia/Reperfusion Injury and Partial Hepatectomy in Rats. International Journal of Molecular Sciences, 25(1), 579. https://doi.org/10.3390/ijms25010579

