Abstract
Kimura’s disease (KD) is a rare lymphoproliferative fibroinflammatory disorder that commonly affects the subcutaneous tissue and lymph nodes of the head and neck. The condition is a reactive process involving T helper type 2 cytokines. Concurrent malignancies have not been described. Differential diagnosis with lymphoma can be challenging without tissue biopsy. Here, we present the first reported case of coexisting KD and eosinophilic nodular sclerosis Hodgkin lymphoma of the right cervical lymphatics in a 72-year-old Taiwanese man.
1. Introduction
Kimura’s disease (KD) is a rare, chronic lymphoproliferative fibroinflammatory disorder associated with type 1 hypersensitivity and T helper (Th) type 2 cytokines [1]. The entity was first described by Kimm and Szeto [2] in 1937, and later characterized by Kimura et al. [3] in 1948. The patients affected are classically young to middle-aged males of Asian descent. The clinical presentation typically involves one to multiple painless, slow-growing subcutaneous nodules of the head and neck. Cervical lymphadenopathy is common and can be the only presenting symptom. Less commonly is the involvement of the axillary or inguinal lymph nodes. Further workup characteristically reveals a disease process affecting the subcutaneous tissue, lymph nodes, and salivary glands. Peripheral blood eosinophilia and elevated serum immunoglobulin E (IgE) levels are variably present. Patients with KD can have comorbid Th2 and/or eosinophilic conditions, including atopy and eosinophilic infiltration of various tissues or organs. Visceral involvement constitutes the most significant morbidity and can develop years after the onset of soft tissue disease. The kidneys are the most frequently involved. KD is believed to be benign. Concurrent malignancies have not been described.
2. Case Report
A 72-year-old Taiwanese man was referred to our hematology clinic after a right cervical lymph node biopsy that was suspicious of lymphoid malignancies. The patient reported a one-month history of multiple swollen neck masses and an unintentional four kilogram body weight loss within three months. No obvious prodrome was observed before the onset of lymphadenopathy. The swollen lymph nodes were non-tender, with no associated fever or night sweats. According to the patient, he was healthy before the current episode. He had not been exposed to any immunosuppressive agents or vaccinations prior to the disease onset.
The patient’s past medical and personal histories were unremarkable with no documentation of recent medications in his medical chart. He had no family history of allergies, T helper (Th) type 2 conditions, or lymphoid neoplasms. He was retired with no recent travel or contact history. A physical examination revealed numerous one to four centimeters. Laboratory examination showed mildly elevated eosinophils (6.0%, reference range: 0%–5%) and monocytes (13.0%, reference range: 0%–12%), presence of atypical lymphocytes (0.5%), and elevated level of β2-microglobulin (3653.0 ng/mL, reference range: ≤2366 ng/mL). Plasma Epstein–Barr virus (EBV) DNA titre was undetectable. Screening for HBV and HCV infections also showed negative results.
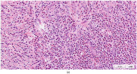
Histopathological examination of the resected lymph node showed follicular hyperplasia with well-formed germinal centers, interfollicular dense eosinophilic infiltrate with eosinophilic microabscesses, vascular proliferation, and prominent interstitial fibrosis, all of which are characteristics of KD (Figure 1). No signs of malignancy were seen. Due to the patient’s unusual demographic feature (old age) and suspicious history (recent body weight loss), the initial biopsied specimen from his previous healthcare provider was obtained. The sample was then re-examined by our specialists with additional immunochemical studies. The lesion was characterized by a thick fibrous capsule, focal nodular sclerosis, near-total nodal structure effacement, and increased vascularity. Scattered Hodgkin-like and Reed–Sternberg-like cells were identified in a background of small lymphocytes, plasma cells, neutrophils, histiocytes, and an excess of eosinophils (Figure 2). Immunohistochemical studies (Figure 3) further characterized the Reed–Sternberg-like cells as CD3 (−), CD20 (+), CD30 (+), CD15 (−), and PAX5 (+/−), consistent with nodular sclerosis classical Hodgkin lymphoma (NSHL). To differentiate the lesion from non-Hodgkin lymphomas, additional staining of BCL2, BCL6, GCET1, MUM-1, OCT-2, CD5, and FOXP1 was performed. The results were all negative. Specifically, the absence of OCT-2 differentiated the lesion from common mimickers, such as grey zone lymphoma or EBV-positive diffuse large B-cell lymphoma. Staining of CD10, CXCL13, and CD21 also showed negative results, ruling out the angioimmunoblastic T-cell lymphoma. The series of workup confirmed the pathological diagnosis of eosinophilic NSHL with coexisting KD.

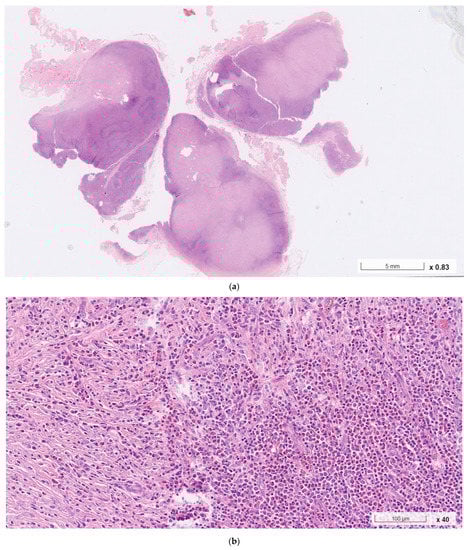
Figure 1.
Histopathological examination of an enlarged right cervical lymph node; collected via complete surgical resection at our institution. (a–c): Hematoxylin–eosin staining showed the follicular hyperplasia of the lymphoid tissue with well-formed germinal centers, interfollicular dense eosinophilic infiltrates, eosinophilic microabscesses, vascular proliferation, and prominent interstitial fibrosis.

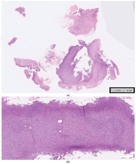
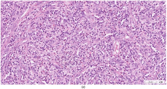
Figure 2.
Histopathological examination of enlarged right cervical lymph node; obtained from his previous healthcare provider. (a–c): Hematoxylin–eosin staining demonstrated a thick fibrous capsule, focal nodular sclerosis, near-total nodal structure effacement, and increased vascularity. Scattered Hodgkin-like and Reed–Sternberg-like cells were seen in the background of small lymphocytes, plasma cells, neutrophils, histiocytes, and an excess of eosinophils.

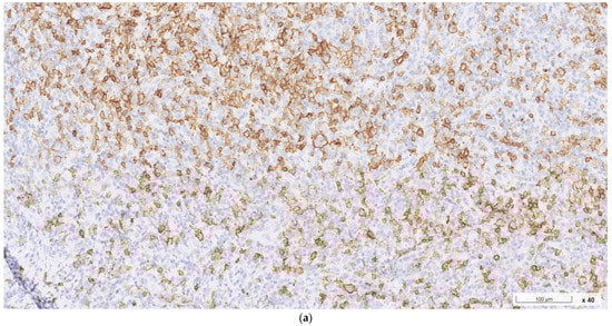
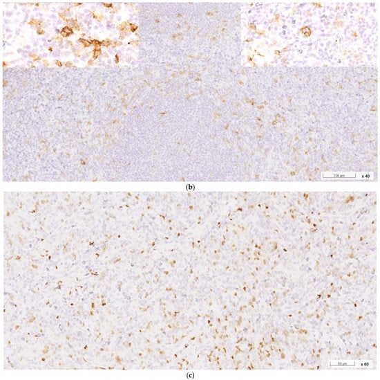
Figure 3.
Immunohistochemical studies of an enlarged right cervical lymph node; obtained from his previous healthcare provider. (a–c): The Reed–Sternberg-like cells were positive for CD20, CD30, and PAX5, respectively.
With the diagnosis of Hodgkin lymphoma, bone marrow examination and whole-body positron emission tomography-computed tomography (PET-CT) were subsequently arranged for staging and treatment planning. Interestingly, bone marrow eosinophilia (6.5% of total neutrophil count with a bone marrow cellularity of 40%; reference range <5.0%) was noted by the hematologists. Whole-body PET-CT revealed malignant involvement of the right cervical level III and V and supraclavicular lymph nodes (Figure 4), consistent with the clinical diagnosis of stage I Hodgkin lymphoma according to the Ann Arbor staging system.

Figure 4.
(a,b): Whole-body positron emission tomography-computed tomography revealed malignant involvement of the right cervical level III and V and supraclavicular lymph nodes. The uptake of radiation was elevated to standardized uptake value (SUV) 9.19, 3.79, and 10.15, respectively, corresponding to a score of 4 (high probability of malignancy).
Under the impression of stage I NSHL involving the right neck lymph nodes with old age and an Eastern Cooperative Oncology Group performance score of 0, the patient received four cycles of chemotherapy with the ABVD regimen (doxorubicin [25 mg/m2], bleomycin [10 mg/m2], vinblastine [6 mg/m2], and dacarbazine [375 mg/m2]), followed by consolidative local radiation therapy (RT) (3060 centigrays [cGy] in 17 fractions) of the right neck lymphatics. The site of the completely resected KD lesion and its surrounding area were included in the clinical target volume of the RT. The patient tolerated and responded well to the surgery, chemotherapy, and RT without the occurrence of any clinically significant adverse event. Subsequent laboratory and imaging monitoring performed at 6-month intervals showed complete remission of both NSHL and KD. Neither NSHL nor KD recurred at 9 years.
3. Discussion
To the best of our knowledge, our report represents the first documented case of concurrent lymphoma and KD occurring in close proximity in the same patient. The histopathological diagnoses were unequivocal for both lesions, representing classical KD and eosinophilic NSHL, respectively.
The etiology of KD is incompletely understood. It is believed to be a reactive process. This is corroborated by the histopathological features exhibiting exuberant follicular hyperplasia, inter- and intra-follicular dense eosinophilic and lymphoplasmacytic infiltration, eosinophilic microabscesses (sometimes with Charcot-Leyden crystals), proliferation of small blood vessels, and significant stromal fibrosis. Proliferation of postcapillary venules is especially prominent. Architectural distortion of germinal centers is uncharacteristic and should prompt further evaluation for mimickers such as immunoglobulin G4-related disease [4]. However, replacement of normal germinal centers with IgE or eosinophilic deposits, necrosis, and Warthin–Finkeldey-type giant cells (polykaryocytes) may be present [4,5]. In some patients, there is accompanying inflammatory infiltration of nerve fibers, which might explain the clinical symptoms of skin irritation and pruritus [6].
The development of KD is presumed to be caused by immunologic dysregulation. Triggering factors, including allergies, infections, endocrine disorders, and autoimmunity, have been proposed in association with a phenotype involving both IgE-mediated type 1 hypersensitivity and Th2 cytokines [7,8,9,10]. The Th2 signatures were supported by the observation of elevated interleukin (IL)-4, IL-5, and IL-13 mRNA expression in the peripheral blood mononuclear cells of patients with KD [11]. Local infiltration of IL-4+ and IL-5+ mast cells and T cells has also been demonstrated [12]. Furthermore, the levels of eotaxin+ and C–C motif ligand 5 (CCL5; also known as regulated upon activation, normal T cell expressed, and presumably secreted [RANTES])+ mast cells, T cells, and eosinophils were also elevated in KD lesions [12]. We recently published an updated pathogenesis of KD incorporating the concept of “allergic fibrosis” [1]. This was extrapolated from an innovative comparative study of follicular T helper cells participating in KD and IgG4-related disease, in which the researchers differentiated between “allergic fibrosis” (Th2-driven) and “inflammatory fibrosis” (driven by cytotoxic T cells) based on the differential infiltrating follicular T helper cell subtypes [13]. Further transcriptomic studies would hopefully help elucidate the pathophysiological process of KD.
Differentiating between KD and lymphomas can be challenging. An early distinction between the two is crucial, as delayed diagnosis of lymphoid neoplasms can adversely affect the disease prognosis. Constitutional symptoms and features of local invasion are generally unusual in patients with KD. However, some exceptions may exist. One patient with KD-associated generalized lymphadenopathy was reported to suffer from compressive symptoms causing dysphagia [14], mimicking malignant lymphomas. Previous studies have attempted to distinguish the two processes via imaging studies. In a case series of 13 patients, it was suggested that given the highly variable computed tomography (CT) imaging characteristics, KD lesions should be viewed on a continuum from relatively well-defined, homogeneously enhancing acute lesions (type 1) to ill-defined, poorly enhancing chronic lesions (type 2) [15]. Another study of seven patients characterized subcutaneous head and neck KD lesions as exhibiting gradual upward enhancement on dynamic contrast-enhanced magnetic resonance imaging (MRI) and a lack of high intensity on diffusion-weighted images [16]. Nevertheless, imaging studies, including CT, MRI, and PET, were often inadept in guiding clinical decisions in practice, as many KD lesions with active inflammation demonstrate features virtually indistinguishable from that expected with lymphomas [17]. Wang et al. presented a case of KD-associated generalized lymphadenopathy with 18F-fluorodeoxyglucose-PET imaging features closely resembling lymphomas or nodal metastases [18]. Recently, a rare case of inguinal KD was reported, in which both MRI and 18F-fluorodeoxyglucose-PET-CT imaging studies suggested malignancy [19]. Alternatively, the possible evolution of KD lesions into peripheral T-cell lymphomas has been described in earlier reports [20,21]. However, evidence on the presence of clonal T-cell expansion in KD is scarce and conflicted [22,23], and the validity of malignant transformation remains inconclusive. The bottom line is that KD and lymphomas can be virtually indistinguishable clinically. Tissue biopsy remains the gold standard, especially when there is clinical suspicion of more aggressive processes. Moreover, a lower threshold for tissue biopsy should probably be considered for older and even younger patients with risk factors for lymphoid malignancy development. Our patient’s post-operative PET-CT study indicated malignant involvement of the right cervical levels III and V and supraclavicular lymph nodes. Given the existing evidence, the nature of these atypical lymph nodes could not be definitely determined without tissue proof. However, they were prudently considered an NSHL involvement. Moreover, the contiguous pattern of the affected lymph nodes was compatible with Hodgkin lymphoma.
Historically, the treatment of KD comprises of surgical resection, RT, and medical immunomodulation, including corticosteroids, cyclosporine, mycophenolate mofetil or mycophenolic acid, leflunomide, mepolizumab, and tacrolimus. However, the recurrence is high with either surgical resection or RT alone [24]. Currently, surgical resection remains the mainstay for treating local KD lesions. RT or immunosuppressive agents are considered adjuvants as part of the salvage therapy or prevention of recurrence. A recently proposed treatment algorithm stratified patients according to lesion size, disease duration, and laboratory results [25]. The researchers found that patients with larger tumors (>3 cm in diameter), longer disease duration (above five years), higher peripheral eosinophil counts (>20%), or higher levels of serum IgE (more than 10,000 international units [IU]/milliliter) were more prone to post-operative relapses or KD recurrences [25]. For our patient, the KD lesion was resected. The subsequent RT for the NSHL, with a clinical target volume comprising the right neck lymphatics, aided KD control. There was no recurrence.
Initial assessment and subsequent monitoring of renal involvement constitute an important aspect of clinical care for patients with KD. Unfortunately, despite the established association, routine screening and long-term follow-up for renal involvement are often overlooked and under-emphasized in clinical practice [1]. In our case, the initial urinalysis was unremarkable. Subsequent laboratory monitoring consistently showed normal estimated glomerular filtration rates. However, renal involvement in KD commonly manifests as asymptomatic proteinuria, microscopic hematuria, and hypertension, which are not readily detectable via blood work alone [26,27]. The onset of renal disease can be insidious or fulminant. Temporary hemodialysis is sometimes required. The histologic phenotypes range from minimal change disease, membranous nephropathy, focal segmental glomerulosclerosis, mesangial proliferative glomerulonephritis, and IgA nephropathy to acute tubular injury [26,27]. Interestingly, the myriad of renal manifestations of KD are unrestricted to eosinophilic processes, suggesting a currently unknown additional pathological mechanism. Most patients respond well to systemic corticosteroids. However, progression to end-stage renal disease is common [26,27]. Therefore, it is worth noting that in addition to blood work, routine urinalysis and blood pressure monitoring are crucial components of care for patients with KD, as renal involvement is an important cause of morbidity in this relatively benign condition.
Classical Hodgkin lymphoma is a distinctive immunohistological unit characterized by Hodgkin Reed–Sternberg cells with overexpression of programmed death-ligand 1 (PD-L1), a surface ligand crucial for tumor immune evasion [28]. Classical Hodgkin lymphoma has been described as a highly fatal disease in the past, leading to deaths of young patients within months of onset. With the advent of modern therapy, first with RT and later with the addition of the ABVD regimen, the prognosis of the early-stage disease is now excellent [29]. Compared with Western countries, the phenotype is relatively rare in the Asian population, with non-Hodgkin lymphomas representing the majority. It was reported that only 6.09% of all lymphoid neoplasms in Taiwan were Hodgkin lymphomas [30], with an incidence of 1–2/100,000 [31]. NSHL constitutes the most classical Hodgkin lymphoma, with a higher frequency in younger patients. An inflammatory infiltrate rich in eosinophils is not rare in NSHL [32]. Eosinophils possess the biological role of upregulating the expression of PD-L1 via NLR Family CARD Domain Containing 4 (NLRC4) inflammasome-mediated action and promoting the secretion of a proliferation-inducing ligand (APRIL) [33,34] (Supplemental Figure S1). Given the significant eosinophilic infiltrates in the patient’s lymphoma tissue and his predilection for generalized eosinophilia, a shared pathophysiological link between the two coexisting conditions is plausible. Both KD and NSHL are uncommon diseases, and the significance of their coexistence in close proximity in the same patient remains unelucidated. Likewise, whether therapeutic manipulation of eosinophils can be of use in our patient’s predicament remains unanswered. In practice, a review of the system focusing on comorbid Th2 and eosinophilic conditions is warranted in all patients with KD, as these patients might benefit from additional systemic immunotherapy. Antagonism of the Th2 axis and/or eosinophils may be justified for those who show a generalized tendency to associated Th2-skewed comorbidities. In our case, the patient showed excellent response to conventional management of both KD and classical Hodgkin lymphoma without requiring additional immunomodulation.
4. Conclusions
We presented the first documented case of pathologically proven coexisting KD and eosinophilic NSHL in the same patient. Additional workup is warranted in older patients with KD, especially for those with atypical presentation.
Supplementary Materials
The following supporting information can be downloaded at: https://www.mdpi.com/article/10.3390/ijms24087666/s1.
Author Contributions
Conceptualization, C.-C.L. and T.-M.C.; validation, C.-C.L. and T.-M.C.; formal analysis, T.-M.C.; investigation, T.-M.C., S.-Y.C., W.-C.T., C.-H.L. and C.-J.W.; resources, T.-M.C.; data curation, T.-M.C., C.-C.L., S.-Y.C., W.-C.T. and C.-J.W.; writing—original draft preparation, C.-C.L. and T.-M.C.; writing—review and editing, C.-C.L., T.-M.C. and S.-W.H.; visualization, T.-M.C.; supervision, T.-M.C., C.-E.W. and K.-H.Y.; project administration, T.-M.C.; funding acquisition, T.-M.C. All authors have read and agreed to the published version of the manuscript.
Funding
This research was funded by the Center for Big Data Analytics and Statistics, Chang Gung Memorial Hospital, Linkou and Chang Gung Research Database. (Project No.: CGRPG3M0021 and CGRPG3M0041).
Institutional Review Board Statement
This study was approved by the Institutional Review Board of Chang Gung Memorial Hospital (202100959B0 and 202201725B0).
Informed Consent Statement
The study was approved by the Institutional Review Board of Chang Gung Memorial Hospital (202100959B0). Informed consent was waived in accordance with local IRB regulations. The retrospective chart review involved no more than minimal risk of harm for the subject. The waiver of informed consent will not adversely affect the rights and welfare of the subject.
Data Availability Statement
Not applicable.
Acknowledgments
We would like to express our deepest gratitude to the medical and nursing teams at Chang Gung Memorial Hospital, particularly in the departments of Pathology and Hematology-Oncology, for providing exceptional care to the patients. We would also like to thank Chang Gung Memorial Hospital. This work was funded by the Center for Big Data Analytics and Statistics, Chang Gung Memorial Hospital, Linkou and we would like to thank Chang Gung Research Database(Project No.: CGRPG3M0021 and CGRPG3M0041).
Conflicts of Interest
The authors declare no conflict of interest.
References
- Lee, C.-C.; Yu, K.-H.; Chan, T.-M. Kimura’s disease: A clinicopathological study of 23 cases. Front. Med. 2022, 9, 1069102. [Google Scholar] [CrossRef] [PubMed]
- Kimm, H.T.; Szeto, C. Eosinophilic hyperplastic lymphogranuloma, comparison with Mikulicz’s disease. Chin. Med. J. 1937, 23, 670–699. [Google Scholar]
- Kimura, T.; Yoshimura, S.; Ishikawa, E. On the unusual granulation combined with hyperplastic changes of lymphatic tissues. Trans. Soc. Pathol. Jpn. 1948, 37, 179–180. [Google Scholar]
- Wang, X.; Ng, C.S.; Yin, W. A comparative study of Kimura’s disease and IgG4-related disease: Similarities, differences and overlapping features. Histopathology 2021, 79, 801–809. [Google Scholar] [CrossRef]
- King, R.L.; Tan, B.; Craig, F.E.; George, T.I.; Horny, H.P.; Kelemen, K.; Orazi, A.; Reichard, K.K.; Rimsza, L.M.; Wang, S.A.; et al. Reactive eosinophil proliferations in tissue and the lymphocytic variant of hypereosin-ophilic syndrome, 2019 Society for Hematopathology/European association for haematopathology workshop report. Am. J. Clin. Pathol. 2020, 155, 211–238. [Google Scholar] [CrossRef]
- Gao, Y.; Chen, Y.; Yu, G.Y. Clinicopathologic study of parotid involvement in 21 cases of eosinophilic hyperplastic lym-phogranuloma (Kimura’s disease). Oral Surg. Oral Med. Oral Pathol. Oral Radiol. Endod. 2006, 102, 651–658. [Google Scholar] [CrossRef]
- Hashida, Y.; Higuchi, T.; Nakajima, K.; Ujihara, T.; Murakami, I.; Fujieda, M.; Sano, S.; Daibata, M. Human polyomavirus 6 with the Asian–Japanese Genotype in Cases of Kimura disease and angiolymphoid hyperplasia with eosinophilia. J. Investig. Dermatol. 2020, 140, 1650–1653.e1654. [Google Scholar] [CrossRef]
- Kottler, D.; Barète, S.; Quéreux, G.; Ingen-Housz-Oro, S.; Fraitag, S.; Ortonne, N.; Deschamps, L.; Rybojad, M.; Flageul, B.; Crickx, B.; et al. Retrospective Multicentric Study of 25 Kimura Disease Patients: Emphasis on Therapeutics and Shared Features with Cutaneous IgG4-Related Disease. Dermatology 2015, 231, 367–377. [Google Scholar] [CrossRef]
- Sato, R.; Bandoh, N.; Goto, T.; Ichikawa, H.; Uemura, A.; Suzuki, S.; Yamaguchi, T.; Aimono, E.; Nishihara, H.; Katada, A.; et al. Kimura disease presenting with buccal mass: A case report and literature review. Head Neck Pathol. 2020, 15, 657–662. [Google Scholar] [CrossRef]
- Zhang, G.; Li, X.; Sun, G.; Cao, Y.; Gao, N.; Qi, W. Clinical analysis of Kimura’s disease in 24 cases from China. BMC Surg. 2020, 20, 1. [Google Scholar] [CrossRef]
- Katagiri, K.; Itami, S.; Hatano, Y.; Yamaguchi, T.; Takayasu, S. In vivo expression of IL-4, IL-5, IL-13 and IFN-γ mRNAs in peripheral blood mononuclear cells and effect of cyclosporin A in a patient with Kimura’s disease. Br. J. Dermatol. 1997, 137, 972–977. [Google Scholar] [CrossRef] [PubMed]
- Kimura, Y.; Pawankar, R.; Aoki, M.; Niimi, Y.; Kawana, S. Mast cells and T cells in Kimura’s disease express increased levels of interleukin-4, interleukin-5, eotaxin and RANTES. Clin. Exp. Allergy 2002, 32, 1787–1793. [Google Scholar] [CrossRef] [PubMed]
- Munemura, R.; Maehara, T.; Murakami, Y.; Koga, R.; Aoyagi, R.; Kaneko, N.; Doi, A.; Perugino, C.A.; Della-Torre, E.; Saeki, T.; et al. Distinct disease-specific Tfh cell populations in 2 different fibrotic diseases: IgG4-related disease and Kimura disease. J. Allergy Clin. Immunol. 2022, 150, 440–455.e17. [Google Scholar] [CrossRef] [PubMed]
- Arul, J.; Senthil, N.; Marappa, L. Unusual and rare case of generalised lymphadenopathy: Kimura’s disease. BMJ Case Rep. 2018, 2018, 225020. [Google Scholar] [CrossRef]
- Gopinathan, A.; Tan, T. Kimura’s disease: Imaging patterns on computed tomography. Clin. Radiol. 2009, 64, 994–999. [Google Scholar] [CrossRef]
- Horikoshi, T.; Motoori, K.; Ueda, T.; Shimofusa, R.; Hanazawa, T.; Okamoto, Y.; Ito, H. Head and neck MRI of Kimura disease. Br. J. Radiol. 2011, 84, 800–804. [Google Scholar] [CrossRef]
- O’Malley, D.P.; Grimm, K.E. Reactive lymphadenopathies that mimic lymphoma: Entities of unknown etiology. Semin. Diagn. Pathol. 2013, 30, 137–145. [Google Scholar] [CrossRef]
- Wang, T.-F.; Liu, S.-H.; Kao, C.-H.K.; Chu, S.-C.; Kao, R.-H.; Li, C.-C. Kimura’s Disease with Generalized LymphadenopathyDemonstrated by Positron Emission Tomography Scan. Intern. Med. 2006, 45, 775–778. [Google Scholar] [CrossRef]
- Yu, M.; Wang, Z.; Zhao, J.; Wu, F. Lymphadenopathy Due to Kimura’s Disease Mimicking Lymphoma on FDG PET/CT. Clin. Nucl. Med. 2019, 44, 299–300. [Google Scholar] [CrossRef]
- Beyazit, Y.; Haznedaroglu, I.C.; Aksu, S.; Kekilli, M.; Uner, A.; Agbaht, K.; Sungur, A.; Koca, E.; Goker, H.; Ozcebe, O.I. Changing clinical manifestations of a T-peripheral lymphoma: From hypereosinophilic syndrome to questionable Kimura’s disease resulting in parotid mass. Leuk. Lymphoma 2006, 47, 357–360. [Google Scholar] [CrossRef]
- Kojima, M.; Yokoo, H.; Yoshida, T.; Jinbo, T.; Nakamura, S. Peripheral T-cell lymphoma resembling Kimura’s disease. Letter to the editor. Apmis 2008, 116, 212–214. [Google Scholar] [CrossRef] [PubMed]
- Chim, C.S.; Fung, A.; Shek, T.W.H.; Liang, R.; Ho, W.K.; Kwong, Y.L. Analysis of Clonality in Kimura’s Disease. Am. J. Surg. Pathol. 2002, 26, 1083–1086. [Google Scholar] [CrossRef] [PubMed]
- Jang, K.-A.; Ahn, S.-J.; Choi, J.-H.; Sung, K.-J.; Moon, K.-C.; Koh, J.-K.; Shim, Y.-H. Polymerase chain reaction (PCR) for human herpesvirus 8 and heteroduplex PCR for clonality assessment in angiolymphoid hyperplasia with eosinophilia and Kimura’s disease. J. Cutan. Pathol. 2001, 28, 363–367. [Google Scholar] [CrossRef] [PubMed]
- Ye, P.; Wei, T.; Yu, G.-Y.; Wu, L.-L.; Peng, X. Comparison of Local Recurrence Rate of Three Treatment Modalities for Kimura Disease. J. Craniofacial Surg. 2016, 27, 170–174. [Google Scholar] [CrossRef] [PubMed]
- Lee, C.-C.; Feng, I.-J.; Chen, Y.-T.; Weng, S.-F.; Chan, L.-P.; Lai, C.-S.; Lin, S.-D.; Kuo, Y.-R. Treatment algorithm for Kimura’s disease: A systematic review and meta-analysis of treatment modalities and prognostic predictors. Int. J. Surg. 2022, 100, 106591. [Google Scholar] [CrossRef]
- Chen, Y.; Wang, J.; Xu, F.; Zeng, C.; Liu, Z. Clinicopathological features and prognosis of Kimura’s disease with renal involvement in Chinese patients. Clin. Nephrol. 2016, 85, 332–339. [Google Scholar] [CrossRef]
- Ren, S.; Li, X.Y.; Wang, F.; Zhang, P.; Zhang, Y.; Li, G.S.; Wang, L.; Zhong, X. Nephrotic syndrome associated with Kimura’s disease: A case report and literature review. BMC Nephrol. 2018, 19, 316. [Google Scholar] [CrossRef]
- Brice, P.; de Kerviler, E.; Friedberg, J.W. Classical Hodgkin lymphoma. Lancet 2021, 398, 1518–1527. [Google Scholar] [CrossRef]
- Piris, M.A.; Medeiros, L.J.; Chang, K.-C. Hodgkin lymphoma: A review of pathological features and recent advances in pathogenesis. Pathology 2019, 52, 154–165. [Google Scholar] [CrossRef]
- Chuang, S.-S.; Chen, S.-W.; Chang, S.-T.; Kuo, Y.-T. Lymphoma in Taiwan: Review of 1347 neoplasms from a single institution according to the 2016 Revision of the World Health Organization Classification. J. Formos. Med. Assoc. 2017, 116, 620–625. [Google Scholar] [CrossRef]
- Health Promotion Administration Ministry of Health and Welfare Taiwan (n.d.). Cancer Registry Annual Report 2020. Available online: https://www.hpa.gov.tw/File/Attach/16434/File_20339.pdf (accessed on 19 February 2023).
- Akkaya, I.; Oylumlu, E.; Ozel, I.; Uzel, G.; Durmus, L.; Ciraci, C. NLRC4 Inflammasome-Mediated Regulation of Eosinophilic Functions. Immune Netw. 2021, 21, e42. [Google Scholar] [CrossRef] [PubMed]
- Driscoll, J.; Aslam, I.; Malek, E. Eosinophils upregulate PD-L1 and PD-L2 expression to enhance the immunosuppressive microenvironment in multiple myeloma. Blood 2017, 130, 4417. [Google Scholar]
- An, G.; Acharya, C.; Feng, X.; Wen, K.; Zhong, M.; Zhang, L.; Munshi, N.C.; Qiu, L.; Tai, Y.T.; Anderson, K.C. Osteoclasts promote immune suppressive microenvironment in multiple myeloma: Therapeutic implication. Blood 2016, 128, 1590–1603. [Google Scholar] [CrossRef] [PubMed]
Disclaimer/Publisher’s Note: The statements, opinions and data contained in all publications are solely those of the individual author(s) and contributor(s) and not of MDPI and/or the editor(s). MDPI and/or the editor(s) disclaim responsibility for any injury to people or property resulting from any ideas, methods, instructions or products referred to in the content. |
© 2023 by the authors. Licensee MDPI, Basel, Switzerland. This article is an open access article distributed under the terms and conditions of the Creative Commons Attribution (CC BY) license (https://creativecommons.org/licenses/by/4.0/).