Clinical and Histopathological Effects of Intracameral Ranibizumab in Experimental Trabeculectomy
Abstract
1. Introduction
2. Results
2.1. Clinical Parameters
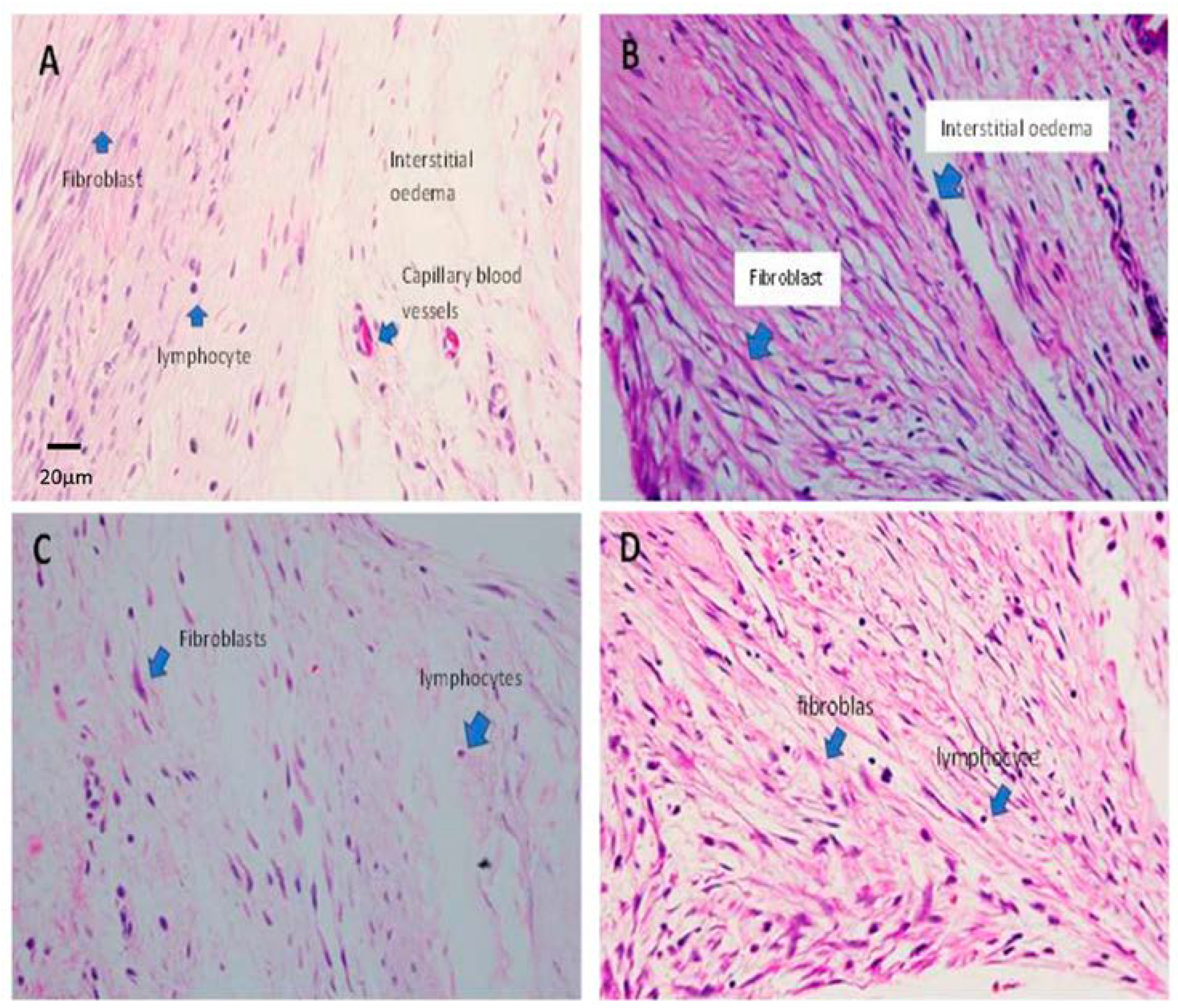
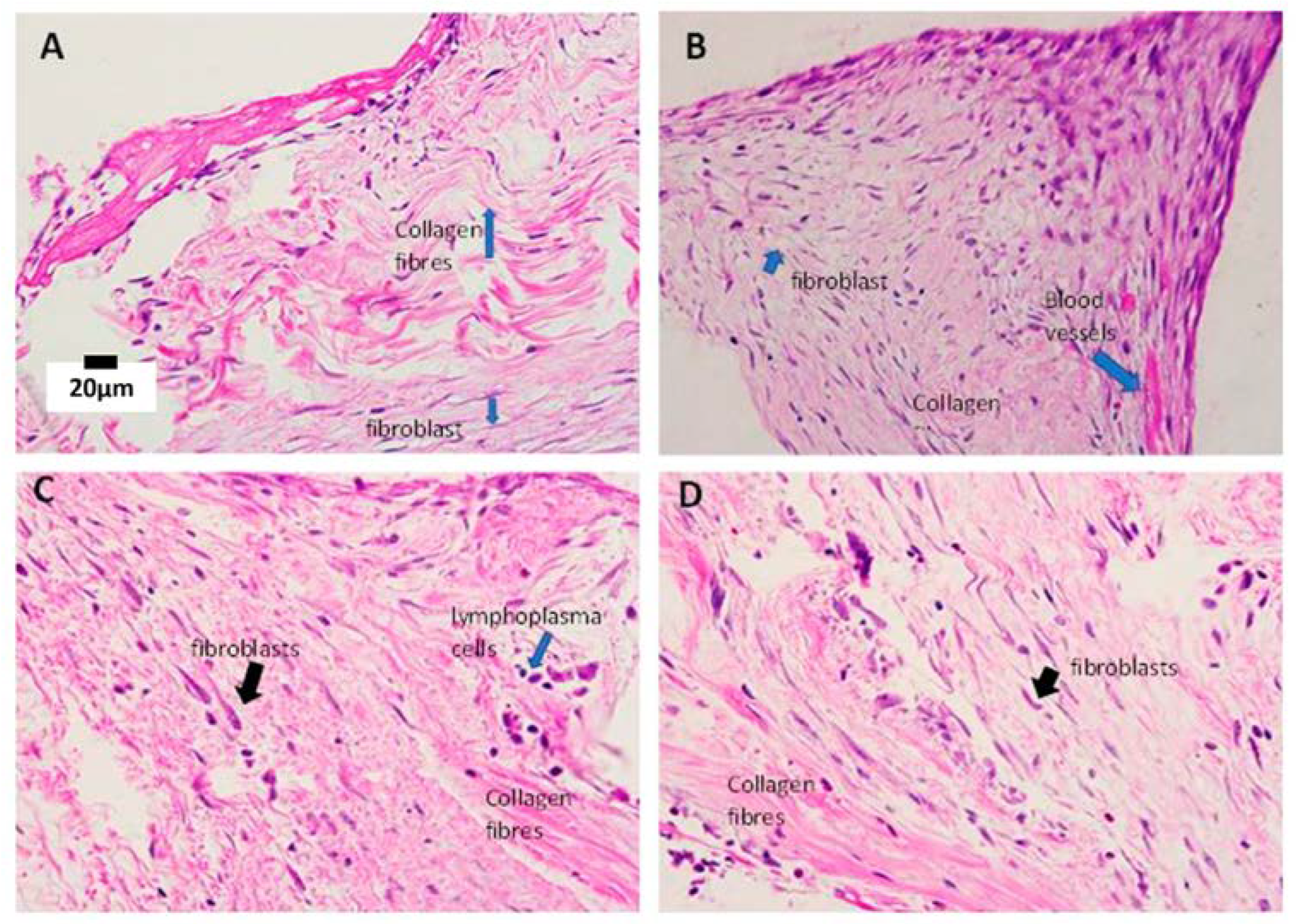
2.2. Histopathological Findings
3. Discussion
4. Materials and Methods
4.1. Animals
4.2. Anaesthesia
4.3. Technique of Surgery
4.4. Clinical Evaluation
4.5. Histopathological Evaluation
4.6. Statistical Analysis
4.7. Animal Ethical Approval
5. Conclusions
Author Contributions
Funding
Institutional Review Board Statement
Informed Consent Statement
Acknowledgments
Conflicts of Interest
References
- Siriwardena, D.; Khaw, P.T.; Donaldson, M.L.; King, A.J.; Migdal, C.; Cordeiro, M.F. A randomised placebo-controlled trial of human anti-TGF beta (2) monoclonal antibody (CAT-152): A new modulator of wound healing following trabeculectomy. Investig. Ophth. Vis. Sci. 2000, 41, S744. [Google Scholar]
- De Fendi, L.I.; Arruda, G.V.; Scott, I.U.; Paula, J.S. Mitomycin C versus 5-fluorouracil as an adjunctive treatment for trabeculectomy: A meta-analysis of randomized clinical trials. Clin. Exp. Ophthalmol. 2013, 41, 798–806. [Google Scholar] [CrossRef]
- Mandal, A.K.; Prasad, K.; Naduvilath, T.J. Surgical results and complications of mitomycin C-augmented trabeculectomy in refractory developmental glaucoma. Ophthalmic Surg. Lasers Imaging Retin. 1999, 30, 473–480. [Google Scholar] [CrossRef]
- Chen, Y.; Wiesmann, C.; Fuh, G.; Li, B.; Christinger, H.W.; McKay, P.; De Vos, A.M.; Lowman, H.B. Selection and analysis of an optimized anti-VEGF antibody: Crystal structure of an affinity-matured fab in complex with antigen. J. Mol. Biol. 1999, 293, 865–881. [Google Scholar] [CrossRef]
- Wilgus, T.A. Vascular Endothelial Growth Factor and Cutaneous Scarring. Adv. Wound Care 2019, 8, 671–678. [Google Scholar] [CrossRef]
- Fong, A.H.C.; Lai, T.Y.Y. Long-term effectiveness of ranibizumab for age-related macular degeneration and diabetic macular edema. Clin. Interv. Aging 2013, 8, 467–483. [Google Scholar] [CrossRef]
- Kahook, M.Y. Bleb morphology and vascularity after trabeculectomy with intravitreal ranibizumab: A pilot study. Am. J. Ophthalmol. 2010, 150, 399–403. [Google Scholar] [CrossRef]
- Chen, J.J.; Ebmeier, S.E.; Sutherland, W.M.; Ghazi, N.G. Potential penetration of topical ranibizumab (Lucentis) in the rabbit eye. Eye 2011, 25, 1504–1511. [Google Scholar] [CrossRef]
- Bakri, S.J.; Snyder, M.R.; Reid, J.M.; Pulido, J.S.; Ezzat, M.K.; Singh, R.J. Pharmacokinetics of Intravitreal Ranibizumab (Lucentis). Ophthalmology 2007, 114, 2179–2182. [Google Scholar] [CrossRef]
- Danzmann, L.; Pielen, A.; Bajor, A. Anti-VEGF Therapy for Retinal Vein Occlusion. Int. J. Ophthalmic Res. 2016, 2, 110–116. Available online: http://www.ghrnet.org/index.php/ijor/article/view/1498 (accessed on 28 February 2021).
- Khanna, A. Bevacizumab in Glaucoma: Where do We Stand? J. Curr. Glaucoma Pr. 2012, 6, 75–78. [Google Scholar] [CrossRef] [PubMed]
- Grewal, D.S.; Jain, R.; Kumar, H.; Grewal, S.P.S. Evaluation of Subconjunctival Bevacizumab as an Adjunct to Trabeculectomy: A Pilot Study. Ophthalmology 2008, 115, 2141–2145. [Google Scholar] [CrossRef]
- Nilforushan, N.; Yadgari, M.; Kish, S.K.; Nassiri, N. Subconjunctival bevacizumab versus mitomycin C adjunctive to trabeculectomy. Am. J. Ophthalmol. 2012, 153, 352–357.e1. [Google Scholar] [CrossRef] [PubMed]
- Pro, M.J.; Freidl, K.B.; Neylan, C.J.; Sawchyn, A.K.; Wizov, S.S.; Moster, M.R. Ranibizumab versus mitomycin c in primary trabeculectomy-a pilot study. Curr. Eye Res. 2015, 40, 510–515. [Google Scholar] [CrossRef]
- Katsanos, A.; Gorgoli, K.; Mikropoulos, D.G.; Arranz-Marquez, E.; Athanasopoulos, G.P.; Teus, M.A.; Konstas, A.G. Assessing the role of ranibizumab in improving the outcome of glaucoma filtering surgery and neovascular glaucoma. Expert Opin. Biol. Ther. 2018, 18, 719–724. [Google Scholar] [CrossRef] [PubMed]
- Sun, C.-Y.; Liu, C.; Zhou, J.; Wang, H. Efficacy of anti-VEGF combined with compound trabeculectomy in the treatment of neovascular glaucoma. Int. Eye Sci. 2020, 12, 1583–1586. [Google Scholar]
- Duch, S.; Buchacra, O.; Milla, E.; Andreu, D.; Tellez, J. Intracameral bevacizumab (avastin) for neovascular glaucoma: A pilot study in 6 patients. J. Glaucoma 2009, 18, 140–143. [Google Scholar] [CrossRef]
- Grisanti, S.; Biester, S.; Peters, S.; Tatar, O.; Ziemssen, F.; Bartz-Schmidt, K.U. Intracameral Bevacizumab for Iris Rubeosis. Am. J. Ophthalmol. 2006, 142, 158–160. [Google Scholar] [CrossRef]
- Grover, S.; Gupta, S.; Sharma, R.; Brar, V.S.; Chalam, K.V. Intracameral bevacizumab effectively reduces aqueous vascular endothelial growth factor concentrations in neovascular glaucoma. Br. J. Ophthalmol. 2009, 93, 273–274. [Google Scholar] [CrossRef] [PubMed]
- Lüke, J.; Nassar, K.; Lüke, M.; Grisanti, S. Ranibizumab as adjuvant in the treatment of rubeosis iridis and neovascular glaucoma—Results from a prospective interventional case series. Graefe’s Arch. Clin. Exp. Ophthalmol. 2013, 251, 2403–2413. [Google Scholar] [CrossRef]
- Soohoo, J.R.; Seibold, L.K.; Pantcheva, M.B.; Kahook, M.Y. Aflibercept for the treatment of neovascular glaucoma. Clin. Exp. Ophthalmol. 2015, 43, 803–807. [Google Scholar] [CrossRef] [PubMed]
- Tang, M.; Fu, Y.; Wang, Y.; Zheng, Z.; Fan, Y.; Sun, X.; Xu, X. Efficacy of intravitreal ranibizumab combined with Ahmed glaucoma valve implantation for the treatment of neovascular glaucoma Glaucoma. BMC Ophthalmol. 2016, 16, 7. [Google Scholar] [CrossRef] [PubMed]
- Cordeiro, M.F.; Constable, P.H.; Alexander, R.A.; Bhattacharya, S.S.; Khaw, P.T. Effect of varying the mitomycin-C treatment area in glaucoma filtration surgery in the rabbit. Investig. Ophthalmol. Vis. Sci. 1997, 38, 1639–1646. [Google Scholar]






| Rabbits’ Eyes, n = 40 | ||
|---|---|---|
| Comparison (Day 1, 2, 3 and 7) | Mean Difference (95% CI) | p-value * |
| Group A vs. Group B | 1.60 (0.23, 2.97) | 0.015 |
| Group A vs. Group C | 1.55 (0.18, 2.92) | 0.019 |
| Group A vs. Group D | 1.55 (0.18, 2.92) | 0.019 |
| Group B vs. Group C | −0.05 (−1.42, 1.32) | >0.999 |
| Group B vs. Group D | −0.05 (−1.42, 1.32) | >0.999 |
| Group C vs. Group D | 0.00 (−1.37, 1.37) | >0.999 |
| Rabbits’ eyes, n = 20 | ||
| Comparison (Day 1, 2, 3, 7, 14 and 21) | Mean Difference (95% CI) | p-value * |
| Group A vs. Group B | 1.77 (−0.01, 3.55) | 0.052 |
| Group A vs. Group C | 2.57 (0.79, 4.35) | 0.003 |
| Group A vs. Group D | 2.17 (0.39, 3.95) | 0.013 |
| Group B vs. Group C | 0.80 (−0.98, 2.58) | >0.999 |
| Group B vs. Group D | 0.04 (−1.38, 2.18) | >0.999 |
| Group C vs. Group D | −0.40 (−2.18, 1.38) | >0.999 |
| Grade n (%) | Grade 0 n (%) | Grade 1 n (%) | Grade 2 n (%) | χ2-Stat | p-Value * | |
|---|---|---|---|---|---|---|
| Bleb Status | ||||||
| Day 7 | Group A | 0 (0.0) | 5 (62.5) | 0 (0.00) | 14.21 | 0.001 |
| Group B | 0 (0.0) | 3 (37.5) | 2 (16.7) | |||
| Group C | 0 (0.0) | 0 (0.0) | 5 (41.7) | |||
| Group D | 0 (0.0) | 0 (0.0) | 5 (41.7) | |||
| Day 21 | Group A | 1 (100.0) | 3 (33.3) | 1 (10.0) | 15.20 | 0.002 |
| Group B | 0 (0.0) | 5 (55.6) | 0 (0.0) | |||
| Group C | 0 (0.0) | 1 (11.1) | 4 (40.0) | |||
| Group D | 0 (0.0) | 0 (0.0) | 5 (50.0) | |||
| Conjunctiva Inflammation | ||||||
| Day 7 | Group A | 0 (0.0) | 5 (55.6) | 0 (0.0) | 11.47 | 0.008 |
| Group B | 2 (18.2) | 3 (33.3) | 0 (0.0) | |||
| Group C | 5 (45.5) | 0 (0.0) | 0 (0.0) | |||
| Group D | 4 (36.4) | 1 (11.1) | 0 (0.0) | |||
| Day 21 | Group A | 2 (15.4) | 3 (42.9) | 0 (0.0) | 7.77 | 0.063 |
| Group B | 1 (7.7) | 4 (57.1) | 0 (0.0) | |||
| Group C | 5 (38.5) | 0 (0.0) | 0 (0.0) | |||
| Group D | 4 (38.5) | 1 (0.0) | 0 (0.0) | |||
| Anterior Chamber Activity | ||||||
| Day 7 | Group A | 1 (7.1) | 3 (60.0) | 1 (100.0) | 10.42 | 0.030 |
| Group B | 5 (35.7) | 0 (0.0) | 0 (0.0) | |||
| Group C | 3 (21.4) | 2 (40.0) | 0 (0.0) | |||
| Group D | 5 (35.7) | 0 (0.0) | 0 (0.0) | |||
| Day 21 | Group A | 4 (16.67) | 1 (100.0) | 0 (0.00) | 2.96 | >0.999 |
| Group B | 5 (27.78) | 0 (0.0) | 0 (0.00) | |||
| Group C | 5 (27.78) | 0 (0.0) | 0 (0.00) | |||
| Group D | 5 (27.78) | 0 (0.0) | 0 (0.00) | |||
| Anterior Chamber depth | ||||||
| Day 7 | Group A | 0 (0.0) | 1 (50.0) | 4 (22.2) | 2.32 | >0.999 |
| Group B | 0 (0.0) | 1 (50.0) | 4 (22.2) | |||
| Group C | 0 (0.0) | 0 (0.0) | 5 (27.8) | |||
| Group D | 0 (0.0) | 0 (0.0) | 5 (27.8) | |||
| Day 21 | Group A | 0 (0.00) | 0 (0.00) | 5 (25.0) | - | - |
| Group B | 0 (0.00) | 0 (0.00) | 5 (25.0) | |||
| Group C | 0 (0.00) | 0 (0.00) | 5 (25.0) | |||
| Group D | 0 (0.00) | 0 (0.00) | 5 (25.0) | |||
| Day | Group | Grading n (%) | ||||
|---|---|---|---|---|---|---|
| Grade 0 n (%) | Grade 1 n (%) | Grade 2 n (%) | Grade 3 n (%) | p-Value * | ||
| Inflammatory cells | ||||||
| Day 7 | Group A | 0 (0.00) | 0 (0.00) | 3 (37.50) | 2 (100.00) | <0.001 |
| Group B | 5 (100.0) | 0 (0.00) | 0 (0.00) | 0 (0.00) | ||
| Group C | 0 (0.00) | 0 (0.00) | 5 (100.00) | 0 (0.00) | ||
| Group D | 0 (0.00) | 5 (100.00) | 0 (0.00) | 0 (0.00) | ||
| Day 21 | Group A | 0 (0.00) | 5 (50.00) | 0 (0.00) | 0 (0.00) | 0.004 |
| Group B | 0 (0.00) | 1(10.00) | 4 (57.10) | 0 (0.00) | ||
| Group C | 0 (0.00) | 2 (20.00) | 3 (42.90) | 0 (0.00) | ||
| Group D | 3 (100.00) | 2 (20.00) | 0 (0.00) | 0 (0.00) | ||
| Fibrosis activity | ||||||
| Day 7 | Group A | 0 (0.00) | 0 (0.00) | 5 (100.00) | 0 (0.00) | <0.001 |
| Group B | 0 (0.00) | 5 (71.4) | 0 (0.00) | 0 (0.00) | ||
| Group C | 5 (62.5) | 0 (0.00) | 0 (0.00) | 0 (0.00) | ||
| Group D | 3 (37.5) | 2 (28.6) | 0 (0.00) | 0 (0.00) | ||
| Day 21 | Group A | 0 (0.00) | 0 (0.00) | 5 (45.50) | 0 (0.00) | 0.009 |
| Group B | 0 (0.00) | 2 (50.00) | 3 (27.30) | 0 (0.00) | ||
| Group C | 2 (100.00) | 2 (50.00) | 0 (0.00) | 1 (33.33) | ||
| Group D | 0 (0.00) | 0 (0.00) | 3 (27.3) | 2 (66.67) | ||
| Interstitial oedema | ||||||
| Day 7 | Group A | 0 (0.00) | 5 (100.00) | 0 (0.00) | 0 (0.00) | <0.001 |
| Group B | 5 (50.00) | 0 (0.00) | 0 (0.00) | 0 (0.00) | ||
| Group C | 0 (0.00) | 0 (0.00) | 0 (0.00) | 5 (100.00) | ||
| Group D | 5 (50.00) | 0 (0.00) | 0 (0.00) | 0 (0.00) | ||
| Day 21 | Group A | 0 (0.00) | 0 (0.00) | 5 (50.00) | 0 (0.00) | 0.33 |
| Group B | 1 (50.00) | 3 (75.00) | 0 (0.00) | 1 (25.5) | ||
| Group C | 0 (0.00) | 1 (25.00) | 2 (50.00) | 2 (50.00) | ||
| Group D | 1 (50.00) | 0 (0.00) | 3 (30.00) | 1 (25.00) | ||
| New vessels formation | ||||||
| Day 7 | Group A | 0 (0.00) | 2(28.60) | 3 (100.00) | <0.001 | |
| Group B | 5 (50.00) | 0 (0.00) | 0 (0.00) | |||
| Group C | 0 (0.00) | 5 (71.40) | 0 (0.00) | |||
| Group D | 5 (50.00) | 0 (0.00) | 0 (0.00) | |||
| Day 21 | Group A | 0 (0.00) | 5 (35.70) | 0 (0.00) | 0.007 | |
| Group B | 0 (0.00) | 5 (35.70) | 0 (0.00) | |||
| Group C | 1 (20.00) | 3 (21.40) | 1 (100.00) | |||
| Group D | 4 (80.00) | 1 (7.10) | 0 (0.00) | |||
Disclaimer/Publisher’s Note: The statements, opinions and data contained in all publications are solely those of the individual author(s) and contributor(s) and not of MDPI and/or the editor(s). MDPI and/or the editor(s) disclaim responsibility for any injury to people or property resulting from any ideas, methods, instructions or products referred to in the content. |
© 2023 by the authors. Licensee MDPI, Basel, Switzerland. This article is an open access article distributed under the terms and conditions of the Creative Commons Attribution (CC BY) license (https://creativecommons.org/licenses/by/4.0/).
Share and Cite
Azhany, Y.; Rahman, W.F.W.A.; Jaafar, H.; Low, J.H.; Yusuf, W.N.W.; Liza-Sharmini, A.-T.; Che Hamzah, J. Clinical and Histopathological Effects of Intracameral Ranibizumab in Experimental Trabeculectomy. Int. J. Mol. Sci. 2023, 24, 7372. https://doi.org/10.3390/ijms24087372
Azhany Y, Rahman WFWA, Jaafar H, Low JH, Yusuf WNW, Liza-Sharmini A-T, Che Hamzah J. Clinical and Histopathological Effects of Intracameral Ranibizumab in Experimental Trabeculectomy. International Journal of Molecular Sciences. 2023; 24(8):7372. https://doi.org/10.3390/ijms24087372
Chicago/Turabian StyleAzhany, Yaakub, Wan Faiziah Wan Abdul Rahman, Hasnan Jaafar, Jen Hou Low, Wan Nazirah Wan Yusuf, Ahmad-Tajudin Liza-Sharmini, and Jemaima Che Hamzah. 2023. "Clinical and Histopathological Effects of Intracameral Ranibizumab in Experimental Trabeculectomy" International Journal of Molecular Sciences 24, no. 8: 7372. https://doi.org/10.3390/ijms24087372
APA StyleAzhany, Y., Rahman, W. F. W. A., Jaafar, H., Low, J. H., Yusuf, W. N. W., Liza-Sharmini, A.-T., & Che Hamzah, J. (2023). Clinical and Histopathological Effects of Intracameral Ranibizumab in Experimental Trabeculectomy. International Journal of Molecular Sciences, 24(8), 7372. https://doi.org/10.3390/ijms24087372

