Modulation of GCN2/eIF2α/ATF4 Pathway in the Liver and Induction of FGF21 in Young Goats Fed a Protein- and/or Phosphorus-Reduced Diet
Abstract
:1. Introduction
2. Results
2.1. Intake, Body Weight, and Daily Weight Gain
2.2. Plasma Concentration of Urea, Pi, and Calcium (Ca), Concentration of FGF21 in Serum, and Glucose Concentration in Whole Blood
2.3. Concentration of Essential and Non-Essential Amino Acids
2.4. Hepatic Expression of GCN2, ATF4, FGF21-mRNA
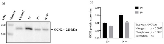
2.5. Hepatic Expression of GCN2—Protein
3. Discussion
3.1. Amino Acids and Amino Acid Response Pathway
3.2. Amino Acids and FGF21
3.3. Interaction of Low N and Low P Diet
4. Materials and Methods
4.1. Animals, Feeding Regimen
4.2. Diets
4.3. Blood and Tissue Sampling
4.4. Biochemical Determinations
4.5. RNA Isolation and Reverse Transcription
4.6. Hepatic Expression of GCN2, ATF4 and FGF21-mRNA
4.7. Hepatic Expression of GCN2—Protein
4.8. Statistical Analysis
5. Conclusions
Supplementary Materials
Author Contributions
Funding
Institutional Review Board Statement
Informed Consent Statement
Data Availability Statement
Acknowledgments
Conflicts of Interest
References
- Zhang, X.X.; Li, Y.X.; Tang, Z.R.; Sun, W.Z.; Wu, L.T.; An, R.; Chen, H.Y.; Wan, K.; Sun, Z.H. Reducing protein content in the diet of growing goats: Implications for nitrogen balance, intestinal nutrient digestion and absorption, and rumen microbiota. Animal 2020, 14, 2063–2073. [Google Scholar] [CrossRef] [PubMed]
- Zhu, W.; Xu, W.; Wei, C.; Zhang, Z.; Jiang, C.; Chen, X. Effects of Decreasing Dietary Crude Protein Level on Growth Performance, Nutrient Digestion, Serum Metabolites, and Nitrogen Utilization in Growing Goat Kids (Capra hircus). Animals 2020, 10, 151. [Google Scholar] [CrossRef] [PubMed] [Green Version]
- Zhang, B.; Wang, C.; Wei, Z.H.; Sun, H.Z.; Xu, G.Z.; Liu, J.X.; Liu, H.Y. The Effects of Dietary Phosphorus on the Growth Performance and Phosphorus Excretion of Dairy Heifers. Asian-Australas. J. Anim. Sci. 2016, 29, 960–964. [Google Scholar] [CrossRef] [PubMed] [Green Version]
- Horst, R.L. Regulation of calcium and phosphorus homeostasis in the dairy cow. J. Dairy Sci. 1986, 69, 604–616. [Google Scholar] [CrossRef] [PubMed]
- Puggaard, L.; Kristensen, N.B.; Sehested, J. Effect of decreasing dietary phosphorus supply on net recycling of inorganic phosphate in lactating dairy cows. J. Dairy Sci. 2011, 94, 1420–1429. [Google Scholar] [CrossRef] [Green Version]
- Sarraseca, A.; Milne, E.; Metcalf, M.J.; Lobley, G.E. Urea recycling in sheep: Effects of intake. Br. J. Nutr. 1998, 79, 79–88. [Google Scholar] [CrossRef] [Green Version]
- Leng, R.A.; Nolan, J.V. Nitrogen metabolism in the rumen. J. Dairy Sci. 1984, 67, 1072–1089. [Google Scholar] [CrossRef]
- Clark, J.H.; Klusmeyer, T.H.; Cameron, M.R. Microbial protein synthesis and flows of nitrogen fractions to the duodenum of dairy cows. J. Dairy Sci. 1992, 75, 2304–2323. [Google Scholar] [CrossRef]
- Harding, H.P.; Novoa, I.; Zhang, Y.; Zeng, H.; Wek, R.; Schapira, M.; Ron, D. Regulated translation initiation controls stress-induced gene expression in mammalian cells. Mol. Cell 2000, 6, 1099–1108. [Google Scholar] [CrossRef]
- Dever, T.E.; Feng, L.; Wek, R.C.; Cigan, A.M.; Donahue, T.F.; Hinnebusch, A.G. Phosphorylation of initiation factor 2 alpha by protein kinase GCN2 mediates gene-specific translational control of GCN4 in yeast. Cell 1992, 68, 585–596. [Google Scholar] [CrossRef]
- Kilberg, M.S.; Balasubramanian, M.; Fu, L.; Shan, J. The transcription factor network associated with the amino acid response in mammalian cells. Adv. Nutr. 2012, 3, 295–306. [Google Scholar] [CrossRef] [PubMed] [Green Version]
- Harding, H.P.; Zhang, Y.; Zeng, H.; Novoa, I.; Lu, P.D.; Calfon, M.; Sadri, N.; Yun, C.; Popko, B.; Paules, R.; et al. An integrated stress response regulates amino acid metabolism and resistance to oxidative stress. Mol. Cell 2003, 11, 619–633. [Google Scholar] [CrossRef] [PubMed]
- De Sousa-Coelho, A.L.; Marrero, P.F.; Haro, D. Activating transcription factor 4-dependent induction of FGF21 during amino acid deprivation. Biochem. J. 2012, 443, 165–171. [Google Scholar] [CrossRef] [PubMed] [Green Version]
- Fon Tacer, K.; Bookout, A.L.; Ding, X.; Kurosu, H.; John, G.B.; Wang, L.; Goetz, R.; Mohammadi, M.; Kuro-o, M.; Mangelsdorf, D.J.; et al. Research resource: Comprehensive expression atlas of the fibroblast growth factor system in adult mouse. Mol. Endocrinol. 2010, 24, 2050–2064. [Google Scholar] [CrossRef] [PubMed] [Green Version]
- Markan, K.R.; Naber, M.C.; Ameka, M.K.; Anderegg, M.D.; Mangelsdorf, D.J.; Kliewer, S.A.; Mohammadi, M.; Potthoff, M.J. Circulating FGF21 is liver derived and enhances glucose uptake during refeeding and overfeeding. Diabetes 2014, 63, 4057–4063. [Google Scholar] [CrossRef] [Green Version]
- Liu, M.; Cao, H.; Hou, Y.; Sun, G.; Li, D.; Wang, W. Liver Plays a Major Role in FGF-21 Mediated Glucose Homeostasis. Cell. Physiol. Biochem. 2018, 45, 1423–1433. [Google Scholar] [CrossRef]
- Inagaki, T.; Dutchak, P.; Zhao, G.; Ding, X.; Gautron, L.; Parameswara, V.; Li, Y.; Goetz, R.; Mohammadi, M.; Esser, V.; et al. Endocrine regulation of the fasting response by PPARalpha-mediated induction of fibroblast growth factor 21. Cell Metab. 2007, 5, 415–425. [Google Scholar] [CrossRef] [Green Version]
- Perez-Marti, A.; Garcia-Guasch, M.; Tresserra-Rimbau, A.; Carrilho-Do-Rosario, A.; Estruch, R.; Salas-Salvado, J.; Martinez-Gonzalez, M.A.; Lamuela-Raventos, R.; Marrero, P.F.; Haro, D.; et al. A low-protein diet induces body weight loss and browning of subcutaneous white adipose tissue through enhanced expression of hepatic fibroblast growth factor 21 (FGF21). Mol. Nutr. Food Res. 2017, 61, 1600725. [Google Scholar] [CrossRef]
- Firmenich, C.S.; Schnepel, N.; Hansen, K.; Schmicke, M.; Muscher-Banse, A.S. Modulation of growth hormone receptor-insulin-like growth factor 1 axis by dietary protein in young ruminants. Br. J. Nutr. 2020, 123, 652–663. [Google Scholar] [CrossRef] [Green Version]
- Bonora, M.; Patergnani, S.; Rimessi, A.; De Marchi, E.; Suski, J.M.; Bononi, A.; Giorgi, C.; Marchi, S.; Missiroli, S.; Poletti, F.; et al. ATP synthesis and storage. Purinergic Signal. 2012, 8, 343–357. [Google Scholar] [CrossRef] [Green Version]
- Behrens, J.L.; Schnepel, N.; Hansen, K.; Hustedt, K.; Burmester, M.; Klinger, S.; Breves, G.; Muscher-Banse, A.S. Modulation of Intestinal Phosphate Transport in Young Goats Fed a Low Phosphorus Diet. Int. J. Mol. Sci. 2021, 22, 866. [Google Scholar] [CrossRef] [PubMed]
- Council, N.R. Nutrient Requirements of Small Ruminants: Sheep, Goats, Cervids, and New World Camelids; The National Academies Press: Washington, DC, USA, 2007; p. 384. [Google Scholar]
- Lapierre, H.; Pacheco, D.; Berthiaume, R.; Ouellet, D.R.; Schwab, C.G.; Dubreuil, P.; Holtrop, G.; Lobley, G.E. What is the true supply of amino acids for a dairy cow? J. Dairy Sci. 2006, 89 (Suppl. 1), E1–E14. [Google Scholar] [CrossRef] [PubMed] [Green Version]
- Dai, Z.L.; Wu, G.; Zhu, W.Y. Amino acid metabolism in intestinal bacteria: Links between gut ecology and host health. Front. Biosci. (Landmark Ed.) 2011, 16, 1768–1786. [Google Scholar] [CrossRef] [PubMed] [Green Version]
- Reynolds, C.K.; Kristensen, N.B. Nitrogen recycling through the gut and the nitrogen economy of ruminants: An asynchronous symbiosis. J. Anim. Sci. 2008, 86, E293–E305. [Google Scholar] [CrossRef] [Green Version]
- Reeds, P.J. Dispensable and indispensable amino acids for humans. J. Nutr. 2000, 130, 1835S–1840S. [Google Scholar] [CrossRef] [Green Version]
- Hou, Y.; Yin, Y.; Wu, G. Dietary essentiality of “nutritionally non-essential amino acids” for animals and humans. Exp. Biol. Med. 2015, 240, 997–1007. [Google Scholar] [CrossRef] [Green Version]
- Young, V.R.; Scrimshaw, N.S. Endogenous nitrogen metabolism and plasma free amino acids in young adults given a ‘protein-free’ diet. Br. J. Nutr. 1968, 22, 9–20. [Google Scholar] [CrossRef] [Green Version]
- Fujita, Y.; Yoshimura, Y.; Inoue, G. Effect of low-protein diets on free amino acids in plasma of young men: Effect of protein quality with maintenance or excess energy intake. J. Nutr. Sci. Vitaminol. 1978, 24, 297–309. [Google Scholar] [CrossRef]
- Filho, J.C.; Hazel, S.J.; Anderstam, B.; Bergstrom, J.; Lewitt, M.; Hall, K. Effect of protein intake on plasma and erythrocyte free amino acids and serum IGF-I and IGFBP-1 levels in rats. Am. J. Physiol. 1999, 277, E693–E701. [Google Scholar] [CrossRef]
- Laeger, T.; Henagan, T.M.; Albarado, D.C.; Redman, L.M.; Bray, G.A.; Noland, R.C.; Munzberg, H.; Hutson, S.M.; Gettys, T.W.; Schwartz, M.W.; et al. FGF21 is an endocrine signal of protein restriction. J. Clin. Investig. 2014, 124, 3913–3922. [Google Scholar] [CrossRef] [Green Version]
- Gebeyew, K.; Chen, W.; Yan, Q.; He, Z.; Tan, Z. Growth of Pancreas and Intestinal Enzyme Activities in Growing Goats: Influence of a Low-Protein Diet. Agriculture 2021, 11, 1155. [Google Scholar] [CrossRef]
- Labuschagne, C.F.; van den Broek, N.J.; Mackay, G.M.; Vousden, K.H.; Maddocks, O.D. Serine, but not glycine, supports one-carbon metabolism and proliferation of cancer cells. Cell Rep. 2014, 7, 1248–1258. [Google Scholar] [CrossRef] [Green Version]
- Leung, P.M.; Rogers, Q.R.; Harper, A.E. Effect of amino acid imbalance on plasma and tissue free amino acids in the rat. J. Nutr. 1968, 96, 303–318. [Google Scholar] [CrossRef] [PubMed]
- Wek, S.A.; Zhu, S.; Wek, R.C. The histidyl-tRNA synthetase-related sequence in the eIF-2 alpha protein kinase GCN2 interacts with tRNA and is required for activation in response to starvation for different amino acids. Mol. Cell. Biol. 1995, 15, 4497–4506. [Google Scholar] [CrossRef] [Green Version]
- Wanders, D.; Stone, K.P.; Dille, K.; Simon, J.; Pierse, A.; Gettys, T.W. Metabolic responses to dietary leucine restriction involve remodeling of adipose tissue and enhanced hepatic insulin signaling. Biofactors 2015, 41, 391–402. [Google Scholar] [CrossRef] [PubMed] [Green Version]
- Guo, F.; Cavener, D.R. The GCN2 eIF2alpha kinase regulates fatty-acid homeostasis in the liver during deprivation of an essential amino acid. Cell Metab. 2007, 5, 103–114. [Google Scholar] [CrossRef] [Green Version]
- De Sousa-Coelho, A.L.; Relat, J.; Hondares, E.; Perez-Marti, A.; Ribas, F.; Villarroya, F.; Marrero, P.F.; Haro, D. FGF21 mediates the lipid metabolism response to amino acid starvation. J. Lipid Res. 2013, 54, 1786–1797. [Google Scholar] [CrossRef] [Green Version]
- Anthony, T.G.; McDaniel, B.J.; Byerley, R.L.; McGrath, B.C.; Cavener, D.R.; McNurlan, M.A.; Wek, R.C. Preservation of liver protein synthesis during dietary leucine deprivation occurs at the expense of skeletal muscle mass in mice deleted for eIF2 kinase GCN2. J. Biol. Chem. 2004, 279, 36553–36561. [Google Scholar] [CrossRef] [Green Version]
- Lee, J.I.; Dominy, J.E., Jr.; Sikalidis, A.K.; Hirschberger, L.L.; Wang, W.; Stipanuk, M.H. HepG2/C3A cells respond to cysteine deprivation by induction of the amino acid deprivation/integrated stress response pathway. Physiol. Genom. 2008, 33, 218–229. [Google Scholar] [CrossRef] [Green Version]
- Selvarajah, B.; Azuelos, I.; Plate, M.; Guillotin, D.; Forty, E.J.; Contento, G.; Woodcock, H.V.; Redding, M.; Taylor, A.; Brunori, G.; et al. mTORC1 amplifies the ATF4-dependent de novo serine-glycine pathway to supply glycine during TGF-beta(1)-induced collagen biosynthesis. Sci. Signal. 2019, 12, eaav3048. [Google Scholar] [CrossRef]
- Noguchi, Y.; Shikata, N.; Furuhata, Y.; Kimura, T.; Takahashi, M. Characterization of dietary protein-dependent amino acid metabolism by linking free amino acids with transcriptional profiles through analysis of correlation. Physiol. Genom. 2008, 34, 315–326. [Google Scholar] [CrossRef] [PubMed] [Green Version]
- Gao, X.; Lee, K.; Reid, M.A.; Sanderson, S.M.; Qiu, C.; Li, S.; Liu, J.; Locasale, J.W. Serine Availability Influences Mitochondrial Dynamics and Function through Lipid Metabolism. Cell Rep. 2018, 22, 3507–3520. [Google Scholar] [CrossRef] [PubMed] [Green Version]
- Salgado, M.C.; Meton, I.; Anemaet, I.G.; Baanante, I.V. Activating transcription factor 4 mediates up-regulation of alanine aminotransferase 2 gene expression under metabolic stress. Biochim. Biophys. Acta 2014, 1839, 288–296. [Google Scholar] [CrossRef] [PubMed]
- Kaufman, S. Metabolism of the phenylalanine hydroxylation cofactor. J. Biol. Chem. 1967, 242, 3934–3943. [Google Scholar] [CrossRef] [PubMed]
- Ma, W.; Wang, C.; Li, R.; Han, Z.; Jiang, Y.; Zhang, X.; Divisi, D.; Capobianco, E.; Zhang, L.; Dong, W. PTS is activated by ATF4 and promotes lung adenocarcinoma development via the Wnt pathway. Transl. Lung Cancer Res. 2022, 11, 1912–1925. [Google Scholar] [CrossRef]
- Phang, J.M. Proline Metabolism in Cell Regulation and Cancer Biology: Recent Advances and Hypotheses. Antioxid. Redox Signal. 2019, 30, 635–649. [Google Scholar] [CrossRef] [Green Version]
- Tan, B.S.; Lonic, A.; Morris, M.B.; Rathjen, P.D.; Rathjen, J. The amino acid transporter SNAT2 mediates L-proline-induced differentiation of ES cells. Am. J. Physiol. Cell Physiol. 2011, 300, C1270–C1279. [Google Scholar] [CrossRef] [Green Version]
- Kilberg, M.S.; Terada, N.; Shan, J. Influence of Amino Acid Metabolism on Embryonic Stem Cell Function and Differentiation. Adv. Nutr. 2016, 7, 780S–789S. [Google Scholar] [CrossRef] [Green Version]
- Laeger, T.; Albarado, D.C.; Burke, S.J.; Trosclair, L.; Hedgepeth, J.W.; Berthoud, H.R.; Gettys, T.W.; Collier, J.J.; Munzberg, H.; Morrison, C.D. Metabolic Responses to Dietary Protein Restriction Require an Increase in FGF21 that Is Delayed by the Absence of GCN2. Cell Rep. 2016, 16, 707–716. [Google Scholar] [CrossRef] [Green Version]
- Maida, A.; Zota, A.; Sjoberg, K.A.; Schumacher, J.; Sijmonsma, T.P.; Pfenninger, A.; Christensen, M.M.; Gantert, T.; Fuhrmeister, J.; Rothermel, U.; et al. A liver stress-endocrine nexus promotes metabolic integrity during dietary protein dilution. J. Clin. Investig. 2016, 126, 3263–3278. [Google Scholar] [CrossRef] [Green Version]
- Bergen, W.G. Free amino acids in blood of ruminants--physiological and nutritional regulation. J. Anim. Sci. 1979, 49, 1577–1589. [Google Scholar] [CrossRef] [PubMed]
- Almeida, A.M. Plasma free amino acid profiles of Boer goat bucks as influenced by two feeding regimens. S. Afr. J. Anim. Sci. 2006, 36, 14–17. [Google Scholar] [CrossRef]
- Hettleman, B.D.; Sabina, R.L.; Drezner, M.K.; Holmes, E.W.; Swain, J.L. Defective adenosine triphosphate synthesis. An explanation for skeletal muscle dysfunction in phosphate-deficient mice. J. Clin. Investig. 1983, 72, 582–589. [Google Scholar] [CrossRef] [PubMed] [Green Version]
- Fischbeck, K.H. Effects of ATP depletion and protein synthesis inhibition on muscle plasma membrane orthogonal arrays. Exp. Neurol. 1984, 83, 577–588. [Google Scholar] [CrossRef] [PubMed]
- Bode, J.C.; Zelder, O.; Rumpelt, H.J.; Wittkamp, U. Depletion of liver adenosine phosphates and metabolic effects of intravenous infusion of fructose or sorbitol in man and in the rat. Eur. J. Clin. Investig. 1973, 3, 436–441. [Google Scholar] [CrossRef] [PubMed]
- Panksepp, J.; Booth, D. Decreased Feeding after Injections of Amino-acids into the Hypothalamus. Nature 1971, 233, 341–342. [Google Scholar] [CrossRef]
- Fernstrom, J.D. Branched-chain amino acids and brain function. J. Nutr. 2005, 135, 1539S–1546S. [Google Scholar] [CrossRef] [PubMed] [Green Version]
- Call, J.W.; Butcher, J.E.; Shupe, J.L.; Lamb, R.C.; Boman, R.L.; Olson, A.E. Clinical effects of low dietary phosphorus concentrations in feed given to lactating dairy cows. Am. J. Vet. Res. 1987, 48, 133–136. [Google Scholar]
- Valk, H.; Sebek, L.B.; Van’t Klooster, A.T.; Jongbloed, A.W. Clinical effects of feeding low dietary phosphorus levels to high yielding dairy cows. Vet. Rec. 1999, 145, 673–674. [Google Scholar]
- Yap, Y.W.; Rusu, P.M.; Chan, A.Y.; Fam, B.C.; Jungmann, A.; Solon-Biet, S.M.; Barlow, C.K.; Creek, D.J.; Huang, C.; Schittenhelm, R.B.; et al. Restriction of essential amino acids dictates the systemic metabolic response to dietary protein dilution. Nat. Commun. 2020, 11, 2894. [Google Scholar] [CrossRef]
- Van Soest, P.J.; Robertson, J.B.; Lewis, B.A. Methods for dietary fiber, neutral detergent fiber, and nonstarch polysaccharides in relation to animal nutrition. J. Dairy Sci. 1991, 74, 3583–3597. [Google Scholar] [CrossRef] [PubMed]
- Drochner, W. Recommendations for the Supply of Energy and Nutrients to Goats; DLG-Verlags-GmbH: Frankfurt, Germany, 2003. [Google Scholar]
- Schnier, S.; Middendorf, L.; Janssen, H.; Bruning, C.; Rohn, K.; Visscher, C. Immunocrit, serum amino acid concentrations and growth performance in light and heavy piglets depending on sow’s farrowing system. Porc. Health Manag. 2019, 5, 14. [Google Scholar] [CrossRef] [PubMed]
- Wilkens, M.R.; Kunert-Keil, C.; Brinkmeier, H.; Schroder, B. Expression of calcium channel TRPV6 in ovine epithelial tissue. Vet. J. 2009, 182, 294–300. [Google Scholar] [CrossRef] [PubMed]
- Schulze, F.; Malhan, D.; El Khassawna, T.; Heiss, C.; Seckinger, A.; Hose, D.; Rosen-Wolff, A. A tissue-based approach to selection of reference genes for quantitative real-time PCR in a sheep osteoporosis model. BMC Genom. 2017, 18, 975. [Google Scholar] [CrossRef] [PubMed] [Green Version]
- Sacco, R.E.; Nonnecke, B.J.; Palmer, M.V.; Waters, W.R.; Lippolis, J.D.; Reinhardt, T.A. Differential expression of cytokines in response to respiratory syncytial virus infection of calves with high or low circulating 25-hydroxyvitamin D3. PLoS ONE 2012, 7, e33074. [Google Scholar] [CrossRef] [PubMed] [Green Version]








| Items | N+/P+ | N−/P+ | N+/P− | N−/P− | p-Value | ||
|---|---|---|---|---|---|---|---|
| N-Reduction | P-Reduction | Interaction | |||||
| DM intake (g/d) | 614 ± 10 a | 594 ± 6 a,b | 528 ± 25 b | 534 ± 25 b | 0.707 | 0.001 | 0.485 |
| Concentrate intake (g/d) | 555 ± 12 a | 537 ± 7 a,b | 469 ± 29 b | 475 ± 28 a,b | 0.799 | 0.002 | 0.581 |
| N intake (g/d) | 13.39 ± 0.27 a | 6.76 ± 0.09 b | 11.64 ± 0.68 c | 5.87 ± 0.33 b | <0.0001 | 0.003 | 0.308 |
| P intake (g/d) | 2.40 ± 0.05 a | 2.49 ± 0.03 a | 0.53 ± 0.03 b | 0.54 ± 0.03 b | 0.189 | <0.0001 | 0.282 |
| Ca intake (g/d) | 6.50 ± 0.13 a | 6.20 ± 0.08 a,b | 5.42 ± 0.31 b,c | 5.22 ± 0.29 c | 0.274 | 0.0001 | 0.827 |
| Items | N+/P+ | N−/P+ | N+/P− | N−/P− | p-Value | ||
|---|---|---|---|---|---|---|---|
| N-Reduction | P-Reduction | Interaction | |||||
| Initial body weight (kg) * | 19.21 ± 0.75 | 18.86 ± 0.57 | 18.93 ± 1.09 | 19.14 ± 1.01 | 0.936 | >0.9999 | 0.749 |
| Final body weight (kg) † | 25.29 ± 0.74 a | 24.21 ± 0.32 a,b | 20.21 ± 0.93 c | 21.14 ± 1.22 b,c | 0.935 | <0.0001 | 0.261 |
| Body weight gain (kg/d) | 0.14 ± 0.01 a | 0.12 ± 0.02 a | 0.03 ± 0.01 b | 0.05 ± 0.01 b | 0.907 | <0.0001 | 0.091 |
| Feed efficiency (kg/kg DM) | 0.23 ± 0.02 a | 0.21 ± 0.02 a | 0.05 ± 0.02 b | 0.09 ± 0.02 b | 0.822 | <0.0001 | 0.118 |
| Items | N+/P+ | N−/P+ | N+/P− | N−/P− | p-Value | ||
|---|---|---|---|---|---|---|---|
| N-Reduction | P-Reduction | Interaction | |||||
| Urea (mmol/L) | 6.76 ± 0.46 a | 1.16 ± 0.09 b | 6.85 ± 0.18 a | 2.22 ± 0.66 b,c | <0.0001 | 0.180 | 0.250 |
| Pi (mmol/L) | 2.09 ± 0.12 a | 2.00 ± 0.21 a | 0.70 ± 0.04 b | 1.06 ± 0.09 b,c | 0.301 | <0.0001 | 0.099 |
| Ca (mmol/L) | 3.16 ± 0.09 a | 3.11 ± 0.09 a | 4.34 ± 0.17 b | 3.55 ± 0.12 a,c | 0.002 | <0.0001 | 0.005 |
| Glucose (mg/dL) | 68.00 ± 2.66 | 67.86 ± 1.10 | 67.43 ± 1.67 | 66.57 ± 2.55 | 0.814 | 0.662 | 0.866 |
| FGF21 (mmol/L) | 29.14 ± 16.43 a | 195.3 ± 50.51 b | 44.51 ± 25.16 a | 63.53 ± 20.86 a | 0.007 | 0.074 | 0.027 |
| Items | N+/P+ | N−/P+ | N+/P− | N−/P− | p-Value | ||
|---|---|---|---|---|---|---|---|
| N-Reduction | P-Reduction | Interaction | |||||
| Threonine (mg/dL) | 1.13 ± 0.08 a | 0.85 ± 0.04 b | 1.12 ± 0.05 a | 1.13 ± 0.03 a | 0.022 | 0.026 | 0.018 |
| Valine (mg/dL) | 3.50 ± 0.22 a | 2.63 ± 0.16 b | 3.45 ± 0.26 a | 2.98 ± 0.11 a,b | 0.002 | 0.447 | 0.325 |
| Methionine (mg/dL) | 0.66 ± 0.03 | 0.66 ± 0.04 | 0.62 ± 0.03 | 0.59 ± 0.04 | 0.734 | 0.130 | 0.679 |
| Isoleucine (mg/dL) | 1.34 ± 0.10 | 1.18 ± 0.09 | 1.37 ± 0.07 | 1.26 ± 0.04 | 0.105 | 0.504 | 0.766 |
| Leucine (mg/dL) | 1.49 ± 0.13 a,c | 1.18 ± 0.11 a | 1.78 ± 0.11 c | 1.24 ± 0.06 a | 0.0005 | 0.111 | 0.299 |
| Phenylalanine (mg/dL) | 0.71 ± 0.03 a | 0.99 ± 0.08 b | 0.78 ± 0.03 a,c | 0.96 ± 0.06 b,c | 0.0003 | 0.754 | 0.414 |
| Lysine (mg/dL) | 3.54 ± 0.36 a | 2.34 ± 0.24 b | 3.42 ± 0.23 a | 2.64 ± 0.19 a,b | 0.0009 | 0.739 | 0.428 |
| Histidine (mg/dL) | 0.78 ± 0.04 a,b | 0.79 ± 0.06 a,b | 0.75 ± 0.03 b | 0.93 ± 0.04 a | 0.218 | 0.056 | 0.065 |
| Total EAA † (mg/dL) | 1.65 ± 0.16 | 1.33 ± 0.10 | 1.66 ± 0.15 | 1.47 ± 0.11 | 0.058 | 0.566 | 0.650 |
| Items | N+/P+ | N−/P+ | N+/P− | N−/P− | p-Value | ||
|---|---|---|---|---|---|---|---|
| N-Reduction | P-Reduction | Interaction | |||||
| Arginine (mg/dL) | 4.50 ± 0.26 | 3.57 ± 0.18 | 4.61 ± 0.39 | 4.53 ± 0.24 | 0.081 | 0.063 | 0.138 |
| Serine (mg/dL) | 0.83 ± 0.10 | 0.97 ± 0.03 | 0.78 ± 0.07 | 0.89 ± 0.06 | 0.089 | 0.378 | 0.919 |
| Asparagine (mg/dL) | 0.68 ± 0.06 | 0.63 ± 0.06 | 0.58 ± 0.05 | 0.63 ± 0.04 | 0.960 | 0.330 | 0.321 |
| Glutamic acid (mg/dL) | 1.53 ± 0.22 a,b | 2.19 ± 0.22 b | 1.25 ± 0.09 a | 1.36 ± 0.12 a | 0.035 | 0.004 | 0.126 |
| Glutamine (mg/dL) | 5.29 ± 0.28 a | 4.38 ± 0.35 a,b | 4.31 ± 0.16 b | 4.29 ± 0.14 b | 0.074 | 0.043 | 0.085 |
| Glycine (mg/dL) | 7.24 ± 0.46 a | 10.28 ± 0.86 b,c | 6.72 ± 0.47 a | 9.31 ± 0.93 a,c | 0.0006 | 0.303 | 0.754 |
| Alanine (mg/dL) | 2.09 ± 0.10 a,c | 4.00 ± 0.30 b | 1.87 ± 0.21 c | 2.94 ± 0.30 a | <0.0001 | 0.014 | 0.097 |
| Tyrosine (mg/dL) | 1.09 ± 0.05 a | 1.63 ± 0.09 b | 1.05 ± 0.09 a | 1.51 ± 0.11 b | <0.0001 | 0.352 | 0.675 |
| Proline (mg/dL) | 1.50 ± 0.23 a,c | 2.11 ± 0.13 a,b | 1.36 ± 0.18 c | 2.67 ± 0.09 b | <0.0001 | 0.215 | 0.047 |
| Total NEAA † (mg/dL) | 2.75 ± 0.29 | 3.31 ± 0.37 | 2.50 ± 0.27 | 3.13 ± 0.34 | 0.066 | 0.504 | 0.914 |
| Items | N+/P+ | N−/P+ | N+/P− | N−/P− | p-Value | ||
|---|---|---|---|---|---|---|---|
| N-Reduction | P-Reduction | Interaction | |||||
| GCN2 | 3.86 × 104 ± 0.32 × 104 a | 5.50 × 104 ± 0.64 × 104 b | 3.55 × 104 ± 0.20 × 104 a | 3.89 × 104 ± 0.36 × 104 a,b | 0.025 | 0.029 | 0.129 |
| ATF4 | 9.21 × 106 ± 0.48 × 106 a | 15.15 × 106 ± 1.15 × 106 b | 10.15 × 106 ± 1.14 × 106 a | 11.74 × 106 ± 1.30 × 106 a,b | 0.002 | 0.259 | 0.052 |
| FGF21 | 4.92 × 104 ± 2.14 × 104 a | 29.03 × 104 ± 4.74 × 104 b | 2.21 × 104 ± 0.91 × 104 a | 6.82 × 104 ± 1.25 × 104 a | <0.0001 | 0.0001 | 0.002 |
| Items | N+/P+ | N−/P+ | N+/P− | N−/P− | p-Value | ||
|---|---|---|---|---|---|---|---|
| N-Reduction | P-Reduction | Interaction | |||||
| GCN2 | 3.96 × 10−2 ± 0.32 × 10−2 a | 6.04 × 10−2 ± 0.55 × 10−2 b | 3.23 × 10−2 ± 0.23 × 10−2 a | 4.13 × 10−2 ± 0.21 × 10−2 a,b | 0.025 | 0.029 | 0.129 |
| Items | Wheat Straw | Control | N-Reduction | P-Reduction | N- and P-Reduction |
|---|---|---|---|---|---|
| Components (g/kg) | |||||
| Soybean meal | 68.0 | 57.0 | 68.0 | 57.0 | |
| Urea | 24.5 | - | 24.5 | - | |
| Wheat starch | 378 | 385 | 379 | 390 | |
| Beet pulp | 399 | 415 | 399 | 410 | |
| Mineral-vitamin premix † | 10.0 | 10.0 | 10.0 | 10.0 | |
| MgHPO4·3H2O | 9.3 | 9.3 | - | - | |
| MgO | - | - | 2.2 | 2.2 | |
| NaH2PO4·2H2O | 9.7 | 10.0 | 0.4 | 0.9 | |
| NaCl | 1.4 | 1.2 | 1.4 | 1.2 | |
| NaHCO3 | - | - | 5.0 | 5.0 | |
| CaCO3 | 14.3 | 14.2 | 14.3 | 14.2 | |
| Sipernat 22S ‡ | 41.8 | 58.1 | 52.3 | 69.5 | |
| Molasses | 10.0 | 10.0 | 10.0 | 10.0 | |
| Soybean oil | 34.0 | 30.0 | 34.0 | 30.0 | |
| Composition * | |||||
| DM (g/kg) | 904 | 880 | 874 | 884 | 875 |
| Nutrients (g/kg DM) | |||||
| Crude ash | 39.8 | 100 | 112 | 101 | 115 |
| Crude protein | 25.4 | 165 | 83.5 | 169 | 81.1 |
| ADFom | 579 | 87.5 | 96.1 | 87.1 | 84.6 |
| aNDFom | 855 | 157 | 169 | 179 | 173 |
| Crude fat | 24.3 | 43.2 | 49.2 | 47.5 | 43.4 |
| Urea | BDL | 27.8 | BDL | 31.1 | BDL |
| Ca | 2.8 | 12.6 | 12.5 | 12.3 | 11.8 |
| P | BDL | 4.8 | 5.1 | 1.1 | 1.1 |
| Vitamin D3 (IU/kg DM) | BDL | 1000 | 1144 | 1075 | 1051 |
| ME (MJ/kg DM) | 8.3 | 12.8 | 12.4 | 12.9 | 12.5 |
| Genes | Primers and Probes (5′ → 3′) | Accession Number | Reference |
|---|---|---|---|
| 18s | Forward: AAAAATAACAATACAGGACTCTTTCG Reverse: GCTATTGGAGCTGGAATTACCG FAM-TGGAATGAGTCCACTTTAAATCCTTCCGC-BBQ | AM711869.1 | [65] |
| Genes | Primers and Probes (5′ → 3′) | Accession Number | Reference |
|---|---|---|---|
| GCN2 | Forward: GAGACACCATTGACCAGGGG Reverse: TAGATGGTCGGTGGCCAAAC | XM_018054468.1 and XM_018054469.1 | This study |
| ATF4 | Forward: GTTCTCCTGCGACAAGGCTA Reverse: TGGCATGGTTTCCAGGTCAT | XM_018048794.1 | This study |
| FGF21 | Forward: CCTCTACACGGATGATGCCC Reverse: GCTTTGGGGTCAAAGTGCAG | XM_005692688.3 | [19] |
| RPL19 | Forward: AGCCTGTGACTGTCCATTCC Reverse: ACGTTACCTTCTCGGGCATT | XM_005693740.3 | [66] |
| B2M | Forward: CCTTGGTCCTTCTCGGGCTG Reverse: TCTGGCGGGTGTCTTGAGTAT | XM_018053818.1 | [66] |
| RPS9 | Forward: CGCCTCGACCAAGAGCTGAAG Reverse: CTCCAGACCTCACGTTTGTTCC | XM_018063497.1 | [67] |
| TBP | Forward: AGAAGGCCTTGTGCTAACCC Reverse: AGCAGCCATTACGTCGTCTT | XM_018053502.1 and XM_018053503.1 | This study |
Disclaimer/Publisher’s Note: The statements, opinions and data contained in all publications are solely those of the individual author(s) and contributor(s) and not of MDPI and/or the editor(s). MDPI and/or the editor(s) disclaim responsibility for any injury to people or property resulting from any ideas, methods, instructions or products referred to in the content. |
© 2023 by the authors. Licensee MDPI, Basel, Switzerland. This article is an open access article distributed under the terms and conditions of the Creative Commons Attribution (CC BY) license (https://creativecommons.org/licenses/by/4.0/).
Share and Cite
Weber, S.L.; Hustedt, K.; Schnepel, N.; Visscher, C.; Muscher-Banse, A.S. Modulation of GCN2/eIF2α/ATF4 Pathway in the Liver and Induction of FGF21 in Young Goats Fed a Protein- and/or Phosphorus-Reduced Diet. Int. J. Mol. Sci. 2023, 24, 7153. https://doi.org/10.3390/ijms24087153
Weber SL, Hustedt K, Schnepel N, Visscher C, Muscher-Banse AS. Modulation of GCN2/eIF2α/ATF4 Pathway in the Liver and Induction of FGF21 in Young Goats Fed a Protein- and/or Phosphorus-Reduced Diet. International Journal of Molecular Sciences. 2023; 24(8):7153. https://doi.org/10.3390/ijms24087153
Chicago/Turabian StyleWeber, Sarah L., Karin Hustedt, Nadine Schnepel, Christian Visscher, and Alexandra S. Muscher-Banse. 2023. "Modulation of GCN2/eIF2α/ATF4 Pathway in the Liver and Induction of FGF21 in Young Goats Fed a Protein- and/or Phosphorus-Reduced Diet" International Journal of Molecular Sciences 24, no. 8: 7153. https://doi.org/10.3390/ijms24087153
APA StyleWeber, S. L., Hustedt, K., Schnepel, N., Visscher, C., & Muscher-Banse, A. S. (2023). Modulation of GCN2/eIF2α/ATF4 Pathway in the Liver and Induction of FGF21 in Young Goats Fed a Protein- and/or Phosphorus-Reduced Diet. International Journal of Molecular Sciences, 24(8), 7153. https://doi.org/10.3390/ijms24087153

