Selective Hepatic Cbs Knockout Aggravates Liver Damage, Endothelial Dysfunction and ROS Stress in Mice Fed a Western Diet
Abstract
1. Introduction
2. Results
2.1. Model and Confirmation of Selective Deletion of CBS in Liver
2.2. Main Animal Characteristics
2.3. LiCKO Mice Have Mild to Severe HHCy
2.4. LiCKO Mice on HFC Exhibit Elevated Circulating ROS and Hepatic ROS Damage
2.5. LiCKO Mice on HFC Exhibit Elevated Circulating ALAT on HFC
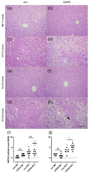
2.6. Liver Histology Shows Aggravated Pathology in LiCKO Mice on HFC
2.7. Liver Triglyceride and Cholesterol Levels Confirm Aggrevated Steatosis in LiCKO Fed a HFC
2.8. Dyslipidemia Is Not Aggrevated in LiCKO Mice Fed an HFC Diet
2.9. LiCKO Mice Have Decreased L-Carnitine Levels in the Liver
2.10. LiCKO Mice Do Not Show Signs of Impaired Fatty Acid Metabolism
2.11. HFC Causes Vascular and Renal Endothelial Dysfunction in LiCKO Mice
2.12. Systemic Oxidative State Is Correlated with Liver, Vascular, and Renal Damage
3. Discussion
4. Materials and Methods
4.1. Generation of a Liver-Specific Cbs Knockout Mouse Model
4.2. Animal Care and Experimental Protocol
4.3. Mulvany Myography of the Mouse Aorta
4.4. Plasma Homocysteine, ALAT and Serum H2O2 Measurement
4.5. Cholesterol and Triglyceride Analysis in Plasma and Liver
4.6. Acylcarnitines and Amino Acids in Livers
4.7. Urinary Measurements
4.8. Measurement of H2S Production
4.9. SDS-Page and Slot-Blot Immunoblotting
4.10. Histology and Hematoxylin and Eosin Staining (HE)
4.11. Data Analysis and Statistics
Supplementary Materials
Author Contributions
Funding
Institutional Review Board Statement
Informed Consent Statement
Data Availability Statement
Conflicts of Interest
References
- Akahoshi, N.; Kobayashi, C.; Ishizaki, Y.; Izumi, T.; Himi, T.; Suematsu, M.; Ishii, I. Genetic Background Conversion Ameliorates Semi-Lethality and Permits Behavioral Analyses in Cystathionine β-Synthase-Deficient Mice, an Animal Model for Hyperhomocysteinemia. Hum. Mol. Genet. 2008, 17, 1994–2005. [Google Scholar] [CrossRef] [PubMed]
- Boushey, C.J.; Beresford, S.A.; Omenn, G.S.; Motulsky, A.G. A Quantitative Assessment of Plasma Homocysteine as a Risk Factor for Vascular Disease. Probable Benefits of Increasing Folic Acid Intakes. JAMA 1995, 274, 1049–1057. [Google Scholar] [CrossRef]
- Ganguly, P.; Alam, S.F. Role of Homocysteine in the Development of Cardiovascular Disease. Nutr. J. 2015, 14, 6. [Google Scholar] [CrossRef] [PubMed]
- Karmin, O.; Siow, Y.L. Metabolic Imbalance of Homocysteine and Hydrogen Sulfide in Kidney Disease. Curr. Med. Chem. 2018, 25, 367–377. [Google Scholar] [CrossRef]
- Beyer, K.; Lao, J.I.; Carrato, C.; Rodriguez-Vila, A.; Latorre, P.; Mataró, M.; Llopis, M.A.; Mate, J.L.; Ariza, A. Cystathionine Beta Synthase as a Risk Factor for Alzheimer Disease. Curr. Alzheimer Res. 2004, 1, 127–133. [Google Scholar] [CrossRef]
- Dai, Y.; Zhu, J.; Meng, D.; Yu, C.; Li, Y. Association of Homocysteine Level with Biopsy-Proven Non-Alcoholic Fatty Liver Disease: A Meta-Analysis. J. Clin. Biochem. Nutr. 2016, 58, 76–83. [Google Scholar] [CrossRef]
- Fan, R.; Zhang, A.; Zhong, F. Association between Homocysteine Levels and All-Cause Mortality: A Dose-Response Meta-Analysis of Prospective Studies. Sci. Rep. 2017, 7, 4769. [Google Scholar] [CrossRef]
- Weber Hoss, G.R.; Sperb-Ludwig, F.; Schwartz, I.V.D.; Blom, H.J. Classical Homocystinuria: A Common Inborn Error of Metabolism? An Epidemiological Study Based on Genetic Databases. Mol. Genet. Genom. Med. 2020, 8, e1214. [Google Scholar] [CrossRef]
- Zaric, B.L.; Obradovic, M.; Bajic, V.; Haidara, M.A.; Jovanovic, M.; Isenovic, E.R. Homocysteine and Hyperhomocysteinaemia. Curr. Med. Chem. 2019, 26, 2948–2961. [Google Scholar] [CrossRef]
- Zuhra, K.; Augsburger, F.; Majtan, T.; Szabo, C. Cystathionine-β-Synthase: Molecular Regulation and Pharmacological Inhibition. Biomolecules 2020, 10, 697. [Google Scholar] [CrossRef]
- Robert, K.; Nehmé, J.; Bourdon, E.; Pivert, G.; Friguet, B.; Delcayre, C.; Delabar, J.-M.; Janel, N. Cystathionine Beta Synthase Deficiency Promotes Oxidative Stress, Fibrosis, and Steatosis in Mice Liver. Gastroenterology 2005, 128, 1405–1415. [Google Scholar] [CrossRef]
- Cruciani-Guglielmacci, C.; Meneyrol, K.; Denom, J.; Kassis, N.; Rachdi, L.; Makaci, F.; Migrenne-Li, S.; Daubigney, F.; Georgiadou, E.; Denis, R.G.; et al. Homocysteine Metabolism Pathway Is Involved in the Control of Glucose Homeostasis: A Cystathionine Beta Synthase Deficiency Study in Mouse. Cells 2022, 11, 1737. [Google Scholar] [CrossRef]
- Jacobs, R.L.; Jiang, H.; Kennelly, J.P.; Orlicky, D.J.; Allen, R.H.; Stabler, S.P.; Maclean, K.N. Cystathionine Beta-Synthase Deficiency Alters Hepatic Phospholipid and Choline Metabolism: Post-Translational Repression of Phosphatidylethanolamine N-Methyltransferase Is a Consequence Rather than a Cause of Liver Injury in Homocystinuria. Mol. Genet. Metab. 2017, 120, 325–336. [Google Scholar] [CrossRef]
- Rao, G.; Murphy, B.; Dey, A.; Dwivedi, S.K.D.; Zhang, Y.; Roy, R.V.; Chakraborty, P.; Bhattacharya, R.; Mukherjee, P. Cystathionine Beta Synthase Regulates Mitochondrial Dynamics and Function in Endothelial Cells. FASEB J. 2020, 34, 9372–9392. [Google Scholar] [CrossRef]
- Tyagi, N.; Qipshidze, N.; Sen, U.; Rodriguez, W.; Ovechkin, A.; Tyagi, S.C. Cystathionine Beta Synthase Gene Dose Dependent Vascular Remodeling in Murine Model of Hyperhomocysteinemia. Int. J. Physiol. Pathophysiol. Pharmacol. 2011, 3, 210–222. [Google Scholar]
- Watanabe, M.; Osada, J.; Aratani, Y.; Kluckman, K.; Reddick, R.; Malinow, M.R.; Maeda, N. Mice Deficient in Cystathionine Beta-Synthase: Animal Models for Mild and Severe Homocyst(e)Inemia. Proc. Natl. Acad. Sci. USA 1995, 92, 1585–1589. [Google Scholar] [CrossRef]
- Gupta, S.; Kühnisch, J.; Mustafa, A.; Lhotak, S.; Schlachterman, A.; Slifker, M.J.; Klein-Szanto, A.; High, K.A.; Austin, R.C.; Kruger, W.D. Mouse Models of Cystathionine Beta-Synthase Deficiency Reveal Significant Threshold Effects of Hyperhomocysteinemia. FASEB J. 2009, 23, 883–893. [Google Scholar] [CrossRef]
- Maclean, K.N.; Sikora, J.; Kožich, V.; Jiang, H.; Greiner, L.S.; Kraus, E.; Krijt, J.; Overdier, K.H.; Collard, R.; Brodsky, G.L.; et al. A Novel Transgenic Mouse Model of CBS-Deficient Homocystinuria Does Not Incur Hepatic Steatosis or Fibrosis and Exhibits a Hypercoagulative Phenotype That Is Ameliorated by Betaine Treatment. Mol. Genet. Metab. 2010, 101, 153–162. [Google Scholar] [CrossRef]
- Nakladal, D.; Lambooy, S.P.H.; Mišúth, S.; Čepcová, D.; Joschko, C.P.; van Buiten, A.; Goris, M.; Hoogstra-Berends, F.; Kloosterhuis, N.J.; Huijkman, N.; et al. Homozygous Whole Body Cbs Knockout in Adult Mice Features Minimal Pathology during Ageing despite Severe Homocysteinemia. FASEB J. 2022, 36, e22260. [Google Scholar] [CrossRef]
- Mendes, F.D.; Suzuki, A.; Sanderson, S.O.; Lindor, K.D.; Angulo, P. Prevalence and Indicators of Portal Hypertension in Patients With Nonalcoholic Fatty Liver Disease. Clin. Gastroenterol. Hepatol. 2012, 10, 1028–1033.e2. [Google Scholar] [CrossRef]
- Ruiz-Argüelles, G.J.; Velazquez-Sanchez-De-Cima, S.; Zamora-Ortiz, G.; Hernandez-Reyes, J.; Ruiz-Delgado, G.J. Nonalcoholic Fatty Liver Disease May Cause Thrombocytopenia. AHA 2014, 132, 159–162. [Google Scholar] [CrossRef] [PubMed]
- Rios, R.; Sangro, B.; Herrero, I.; Quiroga, J.; Prieto, J. The Role of Thrombopoietin in the Thrombocytopenia of Patients with Liver Cirrhosis. Am. J. Gastroenterol. 2005, 100, 1311–1316. [Google Scholar] [CrossRef] [PubMed]
- Jie, Y.; Gong, J.; Xiao, C.; Zhu, S.; Zhou, W.; Luo, J.; Chong, Y.; Hu, B. Low Platelet to White Blood Cell Ratio Indicates Poor Prognosis for Acute-On-Chronic Liver Failure. Biomed. Res. Int. 2018, 2018, 7394904. [Google Scholar] [CrossRef] [PubMed]
- Li, Y.; Liu, L.; Wang, B.; Wang, J.; Chen, D. Hematocrit Is Associated with Fibrosis in Patients with Nonalcoholic Steatohepatitis. Eur. J. Gastroenterol. Hepatol. 2014, 26, 332. [Google Scholar] [CrossRef] [PubMed]
- Li, G.; Hu, H.; Shi, W.; Li, Y.; Liu, L.; Chen, Y.; Hu, X.; Wang, J.; Gao, J.; Yin, D. Elevated Hematocrit in Nonalcoholic Fatty Liver Disease: A Potential Cause for the Increased Risk of Cardiovascular Disease? Clin. Hemorheol. Microcirc. 2012, 51, 59–68. [Google Scholar] [CrossRef]
- Giangregorio, N.; Tonazzi, A.; Console, L.; Lorusso, I.; De Palma, A.; Indiveri, C. The Mitochondrial Carnitine/Acylcarnitine Carrier Is Regulated by Hydrogen Sulfide via Interaction with C136 and C155. Biochim. Biophys. Acta 2016, 1860, 20–27. [Google Scholar] [CrossRef]
- Somi, M.H.; Fatahi, E.; Panahi, J.; Havasian, M.R.; Judaki, A. Data from a Randomized and Controlled Trial of LCarnitine Prescription for the Treatment for Non- Alcoholic Fatty Liver Disease. Bioinformation 2014, 10, 575–579. [Google Scholar] [CrossRef]
- Bae, J.C.; Lee, W.Y.; Yoon, K.H.; Park, J.Y.; Son, H.S.; Han, K.A.; Lee, K.W.; Woo, J.T.; Ju, Y.C.; Lee, W.J.; et al. Improvement of Nonalcoholic Fatty Liver Disease with Carnitine-Orotate Complex in Type 2 Diabetes (CORONA): A Randomized Controlled Trial. Diabetes Care 2015, 38, 1245–1252. [Google Scholar] [CrossRef]
- Selimoglu, M.A.; Aydogdu, S.; Yagci, R.V.; Huseyinov, A. Plasma and Liver Carnitine Status of Children with Chronic Liver Disease and Cirrhosis. Pediatr. Int. 2001, 43, 391–395. [Google Scholar] [CrossRef]
- James, S.J.; Melnyk, S.; Pogribna, M.; Pogribny, I.P.; Caudill, M.A. Elevation in S-Adenosylhomocysteine and DNA Hypomethylation: Potential Epigenetic Mechanism for Homocysteine-Related Pathology. J. Nutr. 2002, 132, 2361S–2366S. [Google Scholar] [CrossRef]
- Montesano, A.; Senesi, P.; Vacante, F.; Mollica, G.; Benedini, S.; Mariotti, M.; Luzi, L.; Terruzzi, I. L-Carnitine Counteracts in Vitro Fructose-Induced Hepatic Steatosis through Targeting Oxidative Stress Markers. J. Endocrinol. Investig. 2020, 43, 493–503. [Google Scholar] [CrossRef]
- Gupta, S.; Kruger, W.D. Cystathionine Beta-Synthase Deficiency Causes Fat Loss in Mice. PLoS ONE 2011, 6, e27598. [Google Scholar] [CrossRef]
- Liu, Z.; Han, Y.; Li, L.; Lu, H.; Meng, G.; Li, X.; Shirhan, M.; Peh, M.T.; Xie, L.; Zhou, S.; et al. The Hydrogen Sulfide Donor, GYY4137, Exhibits Anti-Atherosclerotic Activity in High Fat Fed Apolipoprotein E(-/-) Mice. Br. J. Pharmacol. 2013, 169, 1795–1809. [Google Scholar] [CrossRef]
- Zhao, S.; Song, T.; Gu, Y.; Zhang, Y.; Cao, S.; Miao, Q.; Zhang, X.; Chen, H.; Gao, Y.; Zhang, L.; et al. Hydrogen Sulfide Alleviates Liver Injury Through the S-Sulfhydrated-Kelch-Like ECH-Associated Protein 1/Nuclear Erythroid 2-Related Factor 2/Low-Density Lipoprotein Receptor-Related Protein 1 Pathway. Hepatology 2021, 73, 282–302. [Google Scholar] [CrossRef]
- Robert, K.; Vialard, F.; Thiery, E.; Toyama, K.; Sinet, P.-M.; Janel, N.; London, J. Expression of the Cystathionine Beta Synthase (CBS) Gene during Mouse Development and Immunolocalization in Adult Brain. J. Histochem. Cytochem. 2003, 51, 363–371. [Google Scholar] [CrossRef]
- Dutchak, P.A.; Laxman, S.; Estill, S.J.; Wang, C.; Wang, Y.; Wang, Y.; Bulut, G.B.; Gao, J.; Huang, L.J.; Tu, B.P. Regulation of Hematopoiesis and Methionine Homeostasis by MTORC1 Inhibitor NPRL2. Cell. Rep. 2015, 12, 371–379. [Google Scholar] [CrossRef]
- Serls, A.E.; Doherty, S.; Parvatiyar, P.; Wells, J.M.; Deutsch, G.H. Different Thresholds of Fibroblast Growth Factors Pattern the Ventral Foregut into Liver and Lung. Development 2005, 132, 35–47. [Google Scholar] [CrossRef]
- Makita, T.; Hernandez-Hoyos, G.; Chen, T.H.; Wu, H.; Rothenberg, E.V.; Sucov, H.M. A Developmental Transition in Definitive Erythropoiesis: Erythropoietin Expression is Sequentially Regulated by Retinoic Acid Receptors and HNF4. Genes Dev. 2001, 15, 889–901. [Google Scholar] [CrossRef]
- Weisend, C.M.; Kundert, J.A.; Suvorova, E.S.; Prigge, J.R.; Schmidt, E.E. Cre activity in fetal albCre mouse hepatocytes: Utility for developmental studies. Genesis 2009, 47, 789–792. [Google Scholar] [CrossRef]
- Heida, A.; Gruben, N.; Catrysse, L.; Koehorst, M.; Koster, M.; Kloosterhuis, N.J.; Gerding, A.; Havinga, R.; Bloks, V.W.; Bongiovanni, L.; et al. The Hepatocyte IKK:NF-ΚB Axis Promotes Liver Steatosis by Stimulating de Novo Lipogenesis and Cholesterol Synthesis. Mol. Metab. 2021, 54, 101349. [Google Scholar] [CrossRef]
- Derks, T.G.J.; Boer, T.S.; van Assen, A.; Bos, T.; Ruiter, J.; Waterham, H.R.; Niezen-Koning, K.E.; Wanders, R.J.A.; Rondeel, J.M.M.; Loeber, J.G.; et al. Neonatal Screening for Medium-Chain Acyl-CoA Dehydrogenase (MCAD) Deficiency in The Netherlands: The Importance of Enzyme Analysis to Ascertain True MCAD Deficiency. J. Inherit. Metab. Dis. 2008, 31, 88–96. [Google Scholar] [CrossRef] [PubMed]
- Harduf, Z.; Bielorai, R.; Alumot, E. Norleucine—An Internal Standard for the Basic Column Used in Physiological Amino Acid Analysis. J. Chromatogr. A 1977, 139, 215–217. [Google Scholar] [CrossRef] [PubMed]
- Gruben, N.; Vergara, M.A.; Kloosterhuis, N.J.; van der Molen, H.; Stoelwinder, S.; Youssef, S.; de Bruin, A.; Delsing, D.J.; Kuivenhoven, J.A.; van de Sluis, B.; et al. Chemokine-Like Receptor 1 Deficiency Does Not Affect the Development of Insulin Resistance and Nonalcoholic Fatty Liver Disease in Mice. PLoS ONE 2014, 9, e96345. [Google Scholar] [CrossRef] [PubMed]








| 12 Weeks of Diet | 20 Weeks of Diet | |||||||
|---|---|---|---|---|---|---|---|---|
| Parameter | con ND | LiCKO ND | con HFC | LiCKO HFC | con ND | LiCKO ND | con HFC | LiCKO HFC |
| Body weight (g) | 29 ± 0.4 | 31.8 ± 0.8 * | 38.8 ± 2.1 † | 39.2 ± 1.8 † | 29.3 ± 1 | 32.7 ± 0.9 * | 40.2 ± 0.6 † | 40.9 ± 2 † |
| Heart (mg) | 156.1 ± 3 | 178.4 ± 6.5 * | 145.7 ± 8.6 | 147.2 ± 2.4 † | 170.6 ± 14.4 | 164.4 ± 2.3 | 154.6 ± 7.5 | 173.6 ± 5.3 |
| Left kidney (mg) | 182.6 ± 5.4 | 191.9 ± 4.3 | 189 ± 6.8 | 181.9 ± 6.8 | 186.4 ± 14 | 197.5 ± 4.5 | 204.8 ± 15.9 | 191.1 ± 5.4 |
| Right kidney (mg) | 185.4 ± 5.7 | 201.6 ± 4.7 | 198.9 ± 5.6 | 193.7 ± 6.6 | 201 ± 13.6 | 209.9 ± 4.8 | 222 ± 6.8 | 214.2 ± 5.3 |
| Spleen (mg) | 75.7 ± 2.9 | 85.6 ± 4.5 | 83.8 ± 6.5 | 81.4 ± 4 | 77.6 ± 6.2 | 77.1 ± 2.4 | 94.2 ± 12.6 | 107.1 ± 17.9 |
| Liver (mg) | 1496 ± 29 | 1449 ± 38 | 1567 ± 125 | 1817 ± 149 † | 1290 ± 63 | 1421 ± 38 | 1401 ± 89 | 2167 ± 205 *† |
| Brain (mg) | 469.9 ± 4.2 | 483.2 ± 7.6 | 456.3 ± 9.7 | 463.4 ± 4.7 | 470.4 ± 7.7 | 469.4 ± 11.8 | 468.8 ± 12.3 | 469.5 ± 6.5 |
| Glucose (mM) | 13.4 ± 0.3 | 13.1 ± 0.4 | 13.6 ± 0.6 | 14 ± 0.4 | 13.5 ± 0.6 | 14.5 ± 0.7 | 13.6 ± 0.8 | 13.6 ± 0.7 |
| WBC (×109/L) | 4.5 ± 0.4 | 4.7 ± 0.4 | 4.4 ± 0.5 | 5.3 ± 1 | 4 ± 0.5 | 3.5 ± 0.7 | 2.9 ± 0.5 | 6 ± 0.6 *† |
| RBC (×1012/L) | 10.2 ± 0.5 | 9.8 ± 0.5 | 10.8 ± 0.6 | 11.1 ± 0.5 | 9.8 ± 0.4 | 9.7 ± 0.4 | 9.8 ± 0.1 | 11.7 ± 0.4 *† |
| HGB (mM) | 9 ± 0.5 | 8.8 ± 0.4 | 9.4 ± 0.4 | 9.9 ± 0.4 † | 8.7 ± 0.3 | 8.7 ± 0.4 | 8.8 ± 0.1 | 10.2 ± 0.4 *† |
| HCT (l/l) | 0.51 ± 0.02 | 0.50 ± 0.02 | 0.54 ± 0.03 | 0.55 ± 0.02 | 0.48 ± 0.02 | 0.49 ± 0.02 | 0.49 ± 0.00 | 0.59 ± 0.02 *† |
| MCV (Fl) | 49.7 ± 0.2 | 50.8 ± 0.5 | 49.5 ± 0.4 | 49.8 ± 0.3 | 49.2 ± 0.6 | 51.1 ± 0.3 * | 50.1 ± 0.2 | 51 ± 0.3 |
| MCH (amol) | 883.3 ± 9.2 | 896.9 ± 8.8 * | 872.4 ± 11.5 | 899.4 ± 10.8 | 893.2 ± 9.9 | 899.5 ± 4.5 | 895.8 ± 7.7 | 876.2 ± 6.8 † |
| MCHC (mM) | 17.8 ± 0.2 | 17.7 ± 0.2 | 17.6 ± 0.3 | 18.1 ± 0.3 | 18.1 ± 0.2 | 17.6 ± 0.1 * | 17.9 ± 0.2 | 17.2 ± 0.1 *† |
| PLT (×109/L) | 1116 ± 88 | 1151 ± 88 | 1216 ± 195 | 920 ± 72 † | 1224 ± 102 | 1258 ± 102 | 1161 ± 108 | 856 ± 70 *† |
Disclaimer/Publisher’s Note: The statements, opinions and data contained in all publications are solely those of the individual author(s) and contributor(s) and not of MDPI and/or the editor(s). MDPI and/or the editor(s) disclaim responsibility for any injury to people or property resulting from any ideas, methods, instructions or products referred to in the content. |
© 2023 by the authors. Licensee MDPI, Basel, Switzerland. This article is an open access article distributed under the terms and conditions of the Creative Commons Attribution (CC BY) license (https://creativecommons.org/licenses/by/4.0/).
Share and Cite
Lambooy, S.; Heida, A.; Joschko, C.; Nakladal, D.; van Buiten, A.; Kloosterhuis, N.; Huijkman, N.; Gerding, A.; van de Sluis, B.; Henning, R.; et al. Selective Hepatic Cbs Knockout Aggravates Liver Damage, Endothelial Dysfunction and ROS Stress in Mice Fed a Western Diet. Int. J. Mol. Sci. 2023, 24, 7019. https://doi.org/10.3390/ijms24087019
Lambooy S, Heida A, Joschko C, Nakladal D, van Buiten A, Kloosterhuis N, Huijkman N, Gerding A, van de Sluis B, Henning R, et al. Selective Hepatic Cbs Knockout Aggravates Liver Damage, Endothelial Dysfunction and ROS Stress in Mice Fed a Western Diet. International Journal of Molecular Sciences. 2023; 24(8):7019. https://doi.org/10.3390/ijms24087019
Chicago/Turabian StyleLambooy, Sebastiaan, Andries Heida, Christian Joschko, Dalibor Nakladal, Azuwerus van Buiten, Niels Kloosterhuis, Nicolette Huijkman, Albert Gerding, Bart van de Sluis, Robert Henning, and et al. 2023. "Selective Hepatic Cbs Knockout Aggravates Liver Damage, Endothelial Dysfunction and ROS Stress in Mice Fed a Western Diet" International Journal of Molecular Sciences 24, no. 8: 7019. https://doi.org/10.3390/ijms24087019
APA StyleLambooy, S., Heida, A., Joschko, C., Nakladal, D., van Buiten, A., Kloosterhuis, N., Huijkman, N., Gerding, A., van de Sluis, B., Henning, R., & Deelman, L. (2023). Selective Hepatic Cbs Knockout Aggravates Liver Damage, Endothelial Dysfunction and ROS Stress in Mice Fed a Western Diet. International Journal of Molecular Sciences, 24(8), 7019. https://doi.org/10.3390/ijms24087019

