The Two-Track Investigation of Fibronectin Binding Protein A of Staphylococcus aureus from Bovine Mastitis as a Potential Candidate for Immunodiagnosis: A Pilot Study
Abstract
1. Introduction
2. Results
2.1. Bioinformatic Analysis
2.2. Gene Detection
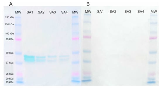
2.3. SDS-PAGE and Immunoblotting
3. Discussion
4. Materials and Methods
4.1. Materials
4.2. Bioinformatic Analysis
4.3. Bacterial Cultivation
4.4. DNA Isolation
4.5. fnbA Gene Detection
4.6. Protein Isolation
4.7. SDS-PAGE and Immunoblotting
5. Patents
Supplementary Materials
Author Contributions
Funding
Institutional Review Board Statement
Informed Consent Statement
Data Availability Statement
Acknowledgments
Conflicts of Interest
References
- Hogeveen, H.; Huijps, K.; Lam, T.J.G.M. Economic Aspects of Mastitis: New Developments. N. Z. Vet. J. 2011, 59, 16–23. [Google Scholar] [CrossRef] [PubMed]
- Kalińska, A.; Wójcik, A.; Slósarz, J.; Kruzińska, B.; Michalczuk, M.; Jaworski, S.; Wierzbicki, M.; Gołębiewski, M. Occurrence and Aetiology of Staphylococcal Mastitis—A Review. Anim Sci. Pap Rep. 2018, 36, 263–273. [Google Scholar]
- van Soest, F.J.S.; Santman-Berends, I.M.G.A.; Lam, T.J.G.M.; Hogeveen, H. Failure and Preventive Costs of Mastitis on Dutch Dairy Farms. J. Dairy Sci. 2016, 99, 8365–8374. [Google Scholar] [CrossRef] [PubMed]
- Dufour, S.; Labrie, J.; Jacques, M.; Rasko, D.; Roy, J.-P. The Mastitis Pathogens Culture Collection. Microbiol. Resour. Announc. 2019, 8, 133–152. [Google Scholar] [CrossRef] [PubMed]
- Lassa, H.; Kubiak, J.; Małkińska-Horodyska, M. Antibiotic Susceptibility of the Bacteria Most Often Isolated from Clinical Mastitis in Cows. Życie Weter. 2013, 88, 651–653. [Google Scholar]
- Rushton, J.; Vosough Ahmadi, B.; Henrique Hildebrand Grisi-Filho, J.; de São Paulo, U.; Alexis Delabouglise, B.; Romero, J.; Benavides, E.; Meza, C. Assessing Financial Impacts of Subclinical Mastitis on Colombian Dairy Farms. Front. Vet. Sci 2018, 5, 273. [Google Scholar] [CrossRef]
- Naif Alhussien, M.; Kumar Dang, A. Milk Somatic Cells, Factors Influencing Their Release, Future Prospects, and Practical Utility in Dairy Animals: An Overview. Vet. World 2018, 11, 562–577. [Google Scholar] [CrossRef]
- Oliver, S.P.; Murinda, S.E. Antimicrobial Resistance of Mastitis Pathogens. Vet. Clin. North Am. Food Anim. Pract. 2012, 28, 165–185. [Google Scholar] [CrossRef]
- Koskinen, M.T.; Wellenberg, G.J.; Sampimon, O.C.; Holopainen, J.; Rothkamp, A.; Salmikivi, L.; van Haeringen, W.A.; Lam, T.J.G.M.; Pyörälä, S. Field Comparison of Real-Time Polymerase Chain Reaction and Bacterial Culture for Identification of Bovine Mastitis Bacteria. J. Dairy Sci. 2010, 93, 5707–5715. [Google Scholar] [CrossRef]
- Kano, R.; Sato, A.; Sobukawa, H.; Sato, Y.; Ito, T.; Suzuki, K.; Hasegawa, A.; Kamata, H. Short Communication: ELISA System for Screening of Bovine Mastitis Caused by Prototheca Zopfii. J. Dairy Sci. 2016, 99, 6590–6593. [Google Scholar] [CrossRef]
- Koczula, K.M.; Gallotta, A. Lateral Flow Assays. Essays Biochem. 2016, 60, 111–120. [Google Scholar] [CrossRef]
- Yang, P.M.; Chou, C.J.; Tseng, S.H.; Hung, C.F. Bioinformatics and in Vitro Experimental Analyses Identify the Selective Therapeutic Potential of Interferon Gamma and Apigenin against Cervical Squamous Cell Carcinoma and Adenocarcinoma. Oncotarget 2017, 8, 46145–46162. [Google Scholar] [CrossRef]
- Dandekar, T.; Leo, J.C.; Speziale, P.; Pietrocola, G. The Multivalent Role of Fibronectin-Binding Proteins A and B (FnBPA and FnBPB) of Staphylococcus Aureus in Host Infections. Front. Microbiol. 2020, 11, 2054. [Google Scholar] [CrossRef]
- Foster, T.J.; Geoghegan, J.A.; Ganesh, V.K.; Höök, M. Adhesion, Invasion and Evasion: The Many Functions of the Surface Proteins of Staphylococcus Aureus. Nat. Rev. Microbiol. 2014, 12, 49–62. [Google Scholar] [CrossRef]
- Li, J.N.; Wang, H.; Han, Y.X.; Zhao, Y.T.; Zhou, H.H.; Xu, J.; Li, L. Novel Peptides Screened by Phage Display Peptide Library Can Mimic Epitopes of the FnBPA-A Protein and Induce Protective Immunity against Staphylococcus Aureus in Mice. Microbiologyopen 2019, 8, e910. [Google Scholar] [CrossRef]
- Casolini, F.; Visai, L.; Joh, D.; Conaldi, P.G.; Toniolo, A.; Höök, M.; Speziale, P. Antibody Response to Fibronectin-Binding Adhesin FnbpA in Patients with Staphylococcus Aureus Infections. Infect. Immun. 1998, 66, 5433–5442. [Google Scholar] [CrossRef]
- Huesca, M.; Sun, Q.; Peralta, R.; Shivji, G.M.; Sauder, D.N.; Mcgavin, M.J. Synthetic Peptide Immunogens Elicit Polyclonal and Monoclonal Antibodies Specific for Linear Epitopes in the D Motifs of Staphylococcus Aureus Fibronectin-Binding Protein, Which Are Composed of Amino Acids That Are Essential for Fibronectin Binding. Infect. Immun. 2000, 68, 1156–1163. [Google Scholar] [CrossRef]
- Narita, K.; Asano, K.; Nakane, A. IL-17A Plays an Important Role in Protection Induced by Vaccination with Fibronectin-Binding Domain of Fibronectin-Binding Protein A against Staphylococcus Aureus Infection. Med. Microbiol. Immunol. 2017, 206, 225–234. [Google Scholar] [CrossRef]
- Camussone, C.M.; Reidel, I.G.; Molineri, A.I.; Cicotello, J.; Miotti, C.; Suarez Archilla, G.A.; Curti, C.C.; Veaute, C.; Calvinho, L.F. Efficacy of Immunization with a Recombinant S. Aureus Vaccine Formulated with Liposomes and ODN-CpG against Natural S. Aureus Intramammary Infections in Heifers and Cows. Res. Vet. Sci. 2022, 145, 177–187. [Google Scholar] [CrossRef]
- Lammers, A.; Nuijten, P.J.M.; Smith, H.E. The Fibronectin Binding Proteins of Staphylococcus Aureus Are Required for Adhesion to and Invasion of Bovine Mammary Gland Cells. FEMS Microbiol. Lett. 1999, 180, 103–109. [Google Scholar] [CrossRef]
- Sutra, L.; Poutrel, B. Virulence Factors Involved in the Pathogenesis of Bovine Intramammary Infections Due to Staphylococcus Aureus. J. Med. Microbiol. 1994, 40, 79–89. [Google Scholar] [CrossRef] [PubMed]
- Casillas-Ituarte, N.N.; DiBartola, A.C.; Broughton, M.J.; Pérez-Guzmán, L.; Wheeler, R.M.; Ibaraki, M.; Lower, B.A.; Dunn, J.A.; Lower, B.H.; Fowler, V.G.; et al. Fibrinogen Binding Is Affected by Amino Acid Substitutions in C-Terminal Repeat Region of Fibronectin Binding Protein A. Sci. Rep. 2019, 9, 11619. [Google Scholar] [CrossRef] [PubMed]
- Gudding, R.; McDonald, J.S.; Cheville, N.F. Pathogenesis of Staphylococcus Aureus Mastitis: Bacteriologic, Histologic, and Ultrastructural Pathologic Findings. Am. J. Vet. Res. 1984, 45, 2525–2531. [Google Scholar] [PubMed]
- Greene, C.; McDevitt, D.; Francois, P.; Vaudaux, P.E.; Lew, D.P.; Poster, T.J. Adhesion Properties of Mutants of Staphylococcus Aureus Defective in Fibronectin-binding Proteins and Studies on the Expression of Fnb Genes. Mol. Microbiol. 1995, 17, 1143–1152. [Google Scholar] [CrossRef] [PubMed]
- Novick, R.P.; Ross, H.F.; Projan, S.J.; Kornblum, J.; Kreiswirth, B.; Moghazeh, S. Synthesis of Staphylococcal Virulence Factors Is Controlled by a Regulatory RNA Molecule. EMBO J. 1993, 12, 3967–3975. [Google Scholar] [CrossRef]
- Ganesh, V.K.; Liang, X.; Geoghegan, J.A.; Cohen, A.L.V.; Venugopalan, N.; Foster, T.J.; Hook, M. Lessons from the Crystal Structure of the S. Aureus Surface Protein Clumping Factor A in Complex with Tefibazumab, an Inhibiting Monoclonal Antibody. EBioMedicine 2016, 13, 328–338. [Google Scholar] [CrossRef]
- Stemberk, V.; Jones, R.P.O.; Moroz, O.; Atkin, K.E.; Edwards, A.M.; Turkenburg, J.P.; Leech, A.P.; Massey, R.C.; Potts, J.R. Evidence for Steric Regulation of Fibrinogen Binding to Staphylococcus Aureus Fibronectin-Binding Protein a(FnBPA). J. Biol. Chem. 2014, 289, 12842–12851. [Google Scholar] [CrossRef]
- Ma, J.; Wei, Y.; Zhang, L.; Wang, X.; Yao, D.; Liu, D.; Liu, W.; Yu, S.; Yu, Y.; Wu, Z.; et al. Identification of a Novel Linear B-Cell Epitope as a Vaccine Candidate in the N2N3 Subdomain of Staphylococcus Aureus Fibronectin-Binding Protein A. J. Med. Microbiol. 2018, 67, 423–431. [Google Scholar] [CrossRef]
- Zuo, Q.F.; Cai, C.Z.; Ding, H.L.; Wu, Y.; Yang, L.Y.; Feng, Q.; Yang, H.J.; Wei, Z.B.; Zeng, H.; Zou, Q.M. Identification of the Immunodominant Regions of Staphylococcus Aureus Fibronectin-Binding Protein A. PLoS ONE 2014, 9, e95338. [Google Scholar] [CrossRef]
- Zhai, S.-L.; Naif Alhussien, M.; Díaz-Dinamarca, D.A.; Suvorov, A.; Wu, P.; Chen, C.; Ma, Z.; Yin, X.; Hu, R.; Wang, Y.; et al. The Recombinant Expression Proteins FnBP and ClfA from Staphylococcus Aureus in Addition to GapC and Sip from Streptococcus Agalactiae Can Protect BALB/c Mice from Bacterial Infection. Front. Vet. Sci. 2021, 1, 666098. [Google Scholar] [CrossRef]
- Mamo, W.; Jonsson, P.; Flock, J.I.; Lindberg, M.; Müller, H.P.; Wadström, T.; Nelson, L. Vaccination against Staphylococcus Aureus Mastitis: Immunological Response of Mice Vaccinated with Fibronectin-Binding Protein (FnBP-A) to Challenge with S. Aureus. Vaccine 1994, 12, 988–992. [Google Scholar] [CrossRef]
- Zhou, H.; Xiong, Z.Y.; Li, H.P.; Zheng, Y.L.; Jiang, Y.Q. An Immunogenicity Study of a Newly Fusion Protein Cna-FnBP Vaccinated against Staphylococcus Aureus Infections in a Mice Model. Vaccine 2006, 24, 4830–4837. [Google Scholar] [CrossRef]
- Shkreta, L.; Talbot, B.G.; Diarra, M.S.; Lacasse, P. Immune Responses to a DNA/Protein Vaccination Strategy against Staphylococcus Aureus Induced Mastitis in Dairy Cows. Vaccine 2004, 23, 114–126. [Google Scholar] [CrossRef]
- Dobrut, A.; Wójcik-Grzybek, D.; Młodzińska, A.; Pietras-Ożga, D.; Michalak, K.; Tabacki, A.; Mroczkowska, U.; Brzychczy-Włoch, M. Detection of Immunoreactive Proteins of Escherichia Coli, Streptococcus Uberis, and Streptococcus Agalactiae Isolated from Cows with Diagnosed Mastitis. Front. Cell. Infect. Microbiol. 2023, 13, 987842. [Google Scholar] [CrossRef]
- Kersey, P.J.; Lawson, D.; Birney, E.; Derwent, P.S.; Haimel, M.; Herrero, J.; Keenan, S.; Kerhornou, A.; Koscielny, G.; Kähäri, A.; et al. Ensembl Genomes: Extending Ensembl across the Taxonomic Space. Nucleic Acids Res. 2009, 38, D563–D569. [Google Scholar] [CrossRef]
- The UniProt Consortium. UniProt: A Hub for Protein Information The UniProt Consortium. Nucleic Acids Res. 2015, 43, D204–D212. [Google Scholar] [CrossRef]
- Fu, L.; Niu, B.; Zhu, Z.; Wu, S.; Li, W. Sequence Analysis CD-HIT: Accelerated for Clustering the next-Generation Sequencing Data. Bioinformatics 2012, 28, 3150–3152. [Google Scholar] [CrossRef]
- Yu, N.Y.; Wagner, J.R.; Laird, M.R.; Melli, G.; Rey, S.; Lo, R.; Dao, P.; Sahinalp, S.C.; Ester, M.; Foster, L.J.; et al. Sequence Analysis PSORTb 3.0: Improved Protein Subcellular Localization Prediction with Refined Localization Subcategories and Predictive Capabilities for All Prokaryotes. Bioinformatics 2010, 26, 1608–1615. [Google Scholar] [CrossRef]
- Johnson, M.; Zaretskaya, I.; Raytselis, Y.; Merezhuk, Y.; Mcginnis, S.; Madden, T.L. NCBI BLAST: A Better Web Interface. Nucleic Acids Res. 2008, 36, 5–9. [Google Scholar] [CrossRef]
- Bagos, P.G.; Tsirigos, K.D.; Liakopoulos, T.D.; Hamodrakas, S.J. Prediction of Lipoprotein Signal Peptides in Gram-Positive Bacteria with a Hidden Markov Model. J. Proteome Res. 2008, 7, 5082–5093. [Google Scholar] [CrossRef]
- Almagro Armenteros, J.J.; Tsirigos, K.D.; Sønderby, C.K.; Petersen, T.N.; Winther, O.; Brunak, S.; von Heijne, G.; Nielsen, H. SignalP 5.0 Improves Signal Peptide Predictions Using Deep Neural Networks. Nat. Biotechnol. 2019, 37, 420–423. [Google Scholar] [CrossRef] [PubMed]
- Doytchinova, I.A.; Flower, D.R. VaxiJen: A Server for Prediction of Protective Antigens, Tumour Antigens and Subunit Vaccines. BMC Bioinform. 2007, 8, 4. [Google Scholar] [CrossRef] [PubMed]
- Vita, R.; Overton, J.A.; Greenbaum, J.A.; Ponomarenko, J.; Clark, J.D.; Cantrell, J.R.; Wheeler, D.K.; Gabbard, J.L.; Hix, D.; Sette, A.; et al. The Immune Epitope Database (IEDB) 3.0. Nucleic Acids Res. 2015, 43, D405–D412. [Google Scholar] [CrossRef] [PubMed]
- Ponomarenko, J.; Bui, H.H.; Li, W.; Fusseder, N.; Bourne, P.E.; Sette, A.; Peters, B. ElliPro: A New Structure-Based Tool for the Prediction of Antibody Epitopes. BMC Bioinform. 2008, 9, 514. [Google Scholar] [CrossRef]
- Tristan, A.; Ying, L.; Bes, M.; Etienne, J.; Vandenesch, F.; Lina, G. Use of Multiplex PCR to Identify Staphylococcus Aureus Adhesins Involved in Human Hematogenous Infections. J. Clin. Microbiol. 2003, 41, 4465–4467. [Google Scholar] [CrossRef]
- Kasela, M.; Grzegorczyk, A.; Nowakowicz-Dębek, B.; Malm, A. The Prevalence of Virulence Determinants and Antibiotic Resistance Patterns in Methicillin-Resistant Staphylococcus Aureus in a Nursing Home in Poland. Pathogens 2021, 10, 427. [Google Scholar] [CrossRef]
- Banner, M.A.; Cunniffe, J.G.; Macintosh, R.L.; Foster, T.J.; Rohde, H.; Mack, D.; Hoyes, E.; Derrick, J.; Upton, M.; Handley, P.S. Localized Tufts of Fibrils on Staphylococcus Epidermidis NCTC 11047 Are Comprised of the Accumulation-Associated Protein. J. Bacteriol. 2007, 189, 2793–2804. [Google Scholar] [CrossRef]
- Laemmli, U.K. Cleavage of Structural Proteins during the Assembly of the Head of Bacteriophage T4. Nature 1970, 227, 680–685. [Google Scholar] [CrossRef]




Disclaimer/Publisher’s Note: The statements, opinions and data contained in all publications are solely those of the individual author(s) and contributor(s) and not of MDPI and/or the editor(s). MDPI and/or the editor(s) disclaim responsibility for any injury to people or property resulting from any ideas, methods, instructions or products referred to in the content. |
© 2023 by the authors. Licensee MDPI, Basel, Switzerland. This article is an open access article distributed under the terms and conditions of the Creative Commons Attribution (CC BY) license (https://creativecommons.org/licenses/by/4.0/).
Share and Cite
Dobrut, A.; Młodzińska, A.; Drożdż, K.; Wójcik-Grzybek, D.; Michalak, K.; Pietras-Ożga, D.; Karakulska, J.; Biegun, K.; Brzychczy-Włoch, M. The Two-Track Investigation of Fibronectin Binding Protein A of Staphylococcus aureus from Bovine Mastitis as a Potential Candidate for Immunodiagnosis: A Pilot Study. Int. J. Mol. Sci. 2023, 24, 6569. https://doi.org/10.3390/ijms24076569
Dobrut A, Młodzińska A, Drożdż K, Wójcik-Grzybek D, Michalak K, Pietras-Ożga D, Karakulska J, Biegun K, Brzychczy-Włoch M. The Two-Track Investigation of Fibronectin Binding Protein A of Staphylococcus aureus from Bovine Mastitis as a Potential Candidate for Immunodiagnosis: A Pilot Study. International Journal of Molecular Sciences. 2023; 24(7):6569. https://doi.org/10.3390/ijms24076569
Chicago/Turabian StyleDobrut, Anna, Agata Młodzińska, Kamil Drożdż, Dagmara Wójcik-Grzybek, Katarzyna Michalak, Dorota Pietras-Ożga, Jolanta Karakulska, Katarzyna Biegun, and Monika Brzychczy-Włoch. 2023. "The Two-Track Investigation of Fibronectin Binding Protein A of Staphylococcus aureus from Bovine Mastitis as a Potential Candidate for Immunodiagnosis: A Pilot Study" International Journal of Molecular Sciences 24, no. 7: 6569. https://doi.org/10.3390/ijms24076569
APA StyleDobrut, A., Młodzińska, A., Drożdż, K., Wójcik-Grzybek, D., Michalak, K., Pietras-Ożga, D., Karakulska, J., Biegun, K., & Brzychczy-Włoch, M. (2023). The Two-Track Investigation of Fibronectin Binding Protein A of Staphylococcus aureus from Bovine Mastitis as a Potential Candidate for Immunodiagnosis: A Pilot Study. International Journal of Molecular Sciences, 24(7), 6569. https://doi.org/10.3390/ijms24076569

