pilE G-Quadruplex Is Recognized and Preferentially Bound but Not Processed by the MutL Endonuclease from Neisseria gonorrhoeae Mismatch Repair Pathway
Abstract
1. Introduction
2. Results
2.1. Polymorphism Analysis of the ngmutS and ngmutL Genes in the Neisseria Genome Population
2.2. Correlation between N. gonorrhoeae MMR Deficiency and Frequency of Pilin Antigenic Variation
2.3. The Secondary Structure of the Engineered Single- and Double-Stranded DNA Models
2.4. Comparative Binding of ngMutL to Single-Stranded DNA Fragments of Different Lengths Containing pilE G4 and Its Double-Stranded Analogues
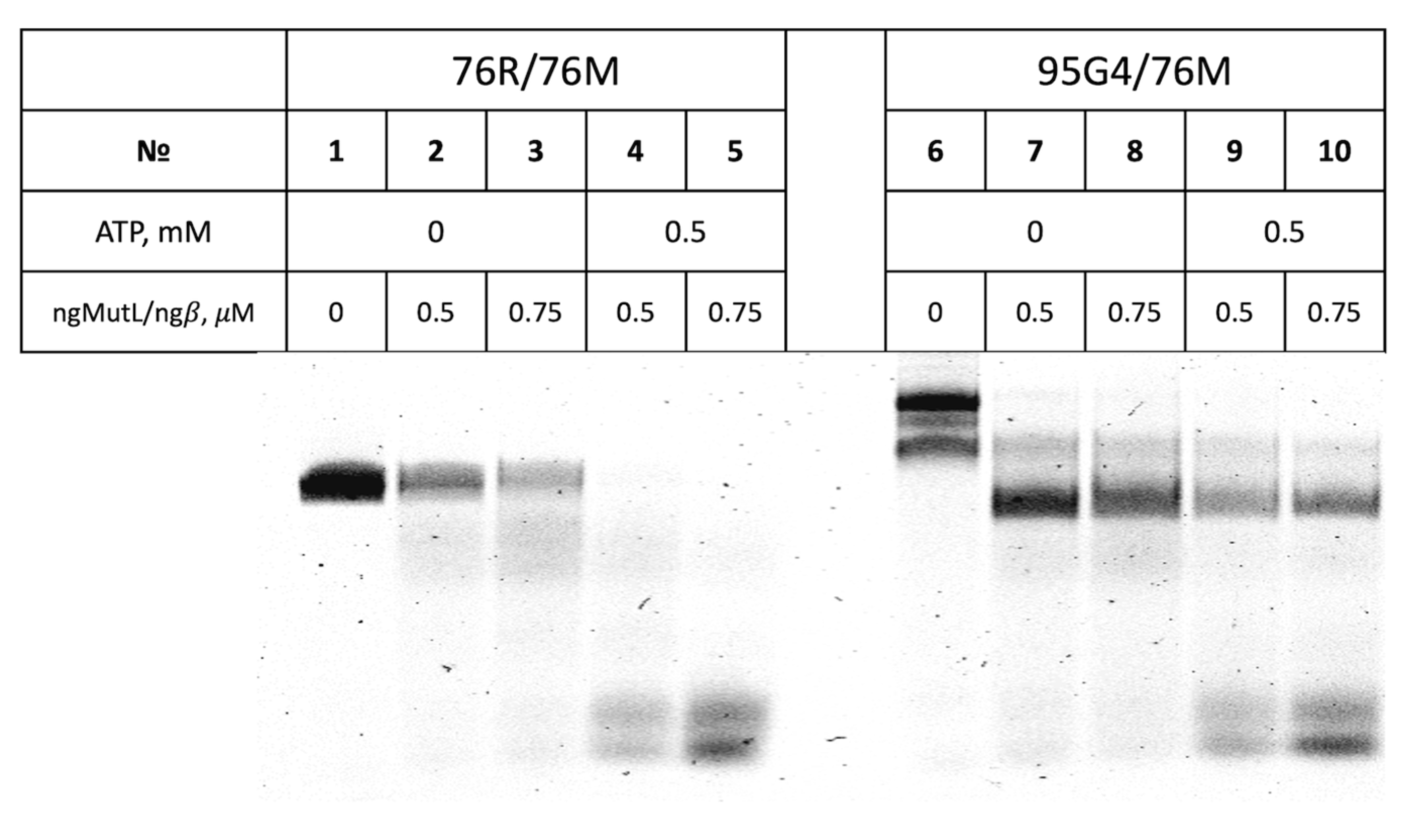
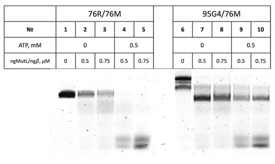
2.5. ngMutL-Mediated Cleavage of the G4-Containing Double-Stranded DNA Substrate
3. Discussion
4. Materials and Methods
4.1. Bioinformatic Analysis of the Correlation between N. gonorrhoeae MMR Deficiency and the Frequency of Pilin Antigenic Variation
4.1.1. Allele Mining of ngmutS and ngmutL
4.1.2. Gene Presence Analysis
4.1.3. The Effect of the N. gonorrhoeae MMR Deficiency on the Frequency of Pilin Antigenic Variation
4.1.4. Antigen Polymorphism Structural Mapping
4.2. Oligodeoxyribonucleotides
4.3. Preparation of Intramolecular G4 Structures and DNA Duplexes
4.4. Purification of Recombinant Proteins
4.5. Circular Dichroism Measurements
4.6. DNA-Binding Activity of ngMutL
4.7. Hydrolysis of DNA by ngMutL
5. Conclusions
Supplementary Materials
Author Contributions
Funding
Institutional Review Board Statement
Informed Consent Statement
Data Availability Statement
Acknowledgments
Conflicts of Interest
References
- Mlynarczyk-Bonikowska, B.; Kowalewski, C.; Krolak-Ulinska, A.; Marusza, W. Molecular mechanisms of drug resistance and epidemiology of multidrug-resistant variants of Neisseria gonorrhoeae. Int. J. Mol. Sci. 2022, 23, 10499. [Google Scholar] [CrossRef]
- Mitchev, N.; Singh, R.; Ramsuran, V.; Ismail, A.; Allam, M.; Kwenda, S.; Mnyameni, F.; Garrett, N.; Swe Swe-Han, K.; Niehaus, A.J.; et al. Assessment of antibiotic resistance and efflux pump gene expression in Neisseria gonorrhoeae isolates from South Africa by quantitative real-time PCR and regression analysis. Int. J. Microbiol. 2022, 2022, 7318325. [Google Scholar] [CrossRef] [PubMed]
- Quillin, S.J.; Seifert, H.S. Neisseria gonorrhoeae host adaptation and pathogenesis. Nat. Rev. Microbiol. 2018, 16, 226–240. [Google Scholar] [CrossRef] [PubMed]
- Cohen, M.S.; Cannon, J.G. Human experimentation with Neisseria gonorrhoeae: Progress and goals. J. Infect. Dis. 1999, 179, S375–S379. [Google Scholar] [CrossRef] [PubMed]
- Swanson, J.; Kraus, S.J.; Gotschlich, E.C. Studies on gonococcus infection. J. Exp. Med. 1971, 134, 886–906. [Google Scholar] [CrossRef] [PubMed]
- He, Y.; Zhang, S.; Zhang, Y.; Wu, B.; Xue, Y.; Ye, C.; Li, Q.; Olivia, A.N.; Tembo, J.M.; Chen, H.; et al. Distinct Patterns of Host Adherence by Neisseria gonorrhoeae Isolated from Experimental Gonorrhea. Can. J. Infect. Dis. Med. Microbiol. 2021, 2021, 7865405. [Google Scholar] [CrossRef] [PubMed]
- Moxon, E.R.; Rainey, P.B.; Nowak, M.A.; Lenski, R.E. Adaptive evolution of highly mutable loci in pathogenic bacteria. Curr. Biol. 1994, 4, 24–33. [Google Scholar] [CrossRef]
- Meyer, T.F.; Billyard, E.; Haas, R.; Storzbach, S.; So, M. Pilus genes of Neisseria gonorrheae: Chromosomal organization and DNA sequence. Proc. Natl. Acad. Sci. USA 1984, 81, 6110–6114. [Google Scholar] [CrossRef]
- Haas, R.; Meyer, T.F. The repertoire of silent pilus genes in Neisseria gonorrhoeae: Evidence for gene conversion. Cell 1986, 44, 107–115. [Google Scholar] [CrossRef]
- Hamrick, T.S.; Dempsey, J.A.F.; Cohen, M.S.; Cannon, J.G. Antigenic variation of gonococcal pilin expression in vivo: Analysis of the strain FA1090 pilin repertoire and identification of the pilS gene copies recombining with pilE during experimental human infection. The GenBank accession numbers for the sequences. Microbiology 2001, 147, 839–849. [Google Scholar] [CrossRef]
- Sechman, E.V.; Rohrer, M.S.; Seifert, H.S. A genetic screen identifies genes and sites involved in pilin antigenic variation in Neisseria gonorrhoeae. Mol. Microbiol. 2005, 57, 468–483. [Google Scholar] [CrossRef] [PubMed]
- Hagblom, P.; Segal, E.; Billyard, E.; So, M. Intragenic recombination leads to pilus antigenic variation in Neisseria gonorrhoeae. Nature 1985, 315, 156–158. [Google Scholar] [CrossRef] [PubMed]
- Segal, E.; Hagblom, P.; Seifert, H.S.; So, M. Antigenic variation of gonococcal pilus involves assembly of separated silent gene segments. Proc. Natl. Acad. Sci. USA 1986, 83, 2177–2181. [Google Scholar] [CrossRef] [PubMed]
- Kline, K.A.; Criss, A.K.; Wallace, A.; Seifert, H.S. Transposon mutagenesis identifies sites upstream of the Neisseria gonorrhoeae pilE gene that modulate pilin antigenic variation. J. Bacteriol. 2007, 189, 3462–3470. [Google Scholar] [CrossRef] [PubMed]
- Cahoon, L.A.; Seifert, H.S. An alternative DNA structure is necessary for pilin antigenic variation in Neisseria gonorrhoeae. Science 2009, 325, 764–767. [Google Scholar] [CrossRef] [PubMed]
- Yadav, P.; Kim, N.; Kumari, M.; Verma, S.; Sharma, T.K.; Yadav, V.; Kumar, A. G-Quadruplex structures in bacteria: Biological relevance and potential as an antimicrobial target. J. Bacteriol. 2021, 203, e0057720. [Google Scholar] [CrossRef]
- Cahoon, L.A.; Seifert, H.S. Transcription of a cis-acting, moncoding, small RNA is required for pilin antigenic variation in Neisseria gonorrhoeae. PLoS Pathog. 2013, 9, e1003074. [Google Scholar] [CrossRef]
- Prister, L.L.; Ozer, E.A.; Cahoon, L.A.; Seifert, H.S. Transcriptional initiation of a small RNA, not R-loop stability, dictates the frequency of pilin antigenic variation in Neisseria gonorrhoeae. Mol. Microbiol. 2019, 112, 1219–1234. [Google Scholar] [CrossRef]
- Criss, A.K.; Bonney, K.M.; Chang, R.A.; Duffin, P.M.; LeCuyer, B.E.; Seifert, H.S. Mismatch correction modulates mutation frequency and pilus phase and antigenic variation in Neisseria gonorrhoeae. J. Bacteriol. 2010, 192, 316–325. [Google Scholar] [CrossRef]
- Savitskaya, V.Y.; Monakhova, M.V.; Iakushkina, I.V.; Borovikova, I.I.; Kubareva, E.A. Neisseria gonorrhoeae: DNA repair systems and their role in pathogenesis. Biochemistry 2022, 87, 965–982. [Google Scholar] [CrossRef]
- Płaczkiewicz, J.; Adamczyk-Popławska, M.; Lasek, R.; Bącal, P.; Kwiatek, A. Inactivation of Genes Encoding MutL and MutS Proteins Influences Adhesion and Biofilm Formation by Neisseria gonorrhoeae. Microorganisms 2019, 7, 647. [Google Scholar] [CrossRef] [PubMed]
- Rotman, E.; Seifert, H.S. Neisseria gonorrhoeae MutS affects pilin antigenic variation through mismatch correction and not by pilE guanine quartet binding. J. Bacteriol. 2015, 197, 1828–1838. [Google Scholar] [CrossRef] [PubMed]
- Nirwal, S.; Kulkarni, D.S.; Sharma, A.; Rao, D.N.; Nair, D.T. Mechanism of formation of a toroid around DNA by the mismatch sensor protein. Nucleic Acids Res. 2018, 46, 256–266. [Google Scholar] [CrossRef] [PubMed]
- Pavlova, A.V.; Monakhova, M.V.; Ogloblina, A.M.; Andreeva, N.A.; Laptev, G.Y.; Polshakov, V.I.; Gromova, E.S.; Zvereva, M.I.; Yakubovskaya, M.G.; Oretskaya, T.S.; et al. Responses of DNA mismatch repair proteins to a stable G-quadruplex embedded into a DNA duplex structure. Int. J. Mol. Sci. 2020, 21, 8773. [Google Scholar] [CrossRef]
- Duppatla, V.; Bodda, C.; Urbanke, C.; Friedhoff, P.; Rao, D.N. The C-terminal domain is sufficient for endonuclease activity of Neisseria gonorrhoeae MutL. Biochem. J. 2009, 423, 265–277. [Google Scholar] [CrossRef]
- Monakhova, M.V.; Milakina, M.A.; Savitskaia, V.Y.; Romanova, E.A.; Rao, D.N.; Kubareva, E.A. MutL Protein from the Neisseria gonorrhoeae mismatch repair system: Interaction with ATP and DNA. Mol. Biol. 2021, 55, 252–266. [Google Scholar] [CrossRef]
- Monakhova, M.V.; Penkina, A.I.; Pavlova, A.V.; Lyaschuk, A.M.; Kucherenko, V.V.; Alexeevski, A.V.; Lunin, V.G.; Friedhoff, P.; Klug, G.; Oretskaya, T.S.; et al. Endonuclease activity of MutL protein of the Rhodobacter sphaeroides mismatch repair system. Biochemistry 2018, 83, 281–293. [Google Scholar] [CrossRef]
- Putnam, C.D. Strand discrimination in DNA mismatch repair. DNA Repair 2021, 105, 103161. [Google Scholar] [CrossRef]
- Pavlova, A.V.; Savitskaya, V.Y.; Dolinnaya, N.G.; Monakhova, M.V.; Litvinova, A.V.; Kubareva, E.A.; Zvereva, M.I. G-quadruplex formed by the promoter region of the hTERT gene: Structure-driven effects on DNA mismatch repair functions. Biomedicines 2022, 10, 1871. [Google Scholar] [CrossRef]
- Jolley, K.A.; Bray, J.E.; Maiden, M.C.J. Open-access bacterial population genomics: BIGSdb software, the PubMLST.org website and their applications. Wellcome Open Res. 2018, 3, 124. [Google Scholar] [CrossRef]
- Baarda, B.I.; Zielke, R.A.; Nicholas, R.A.; Sikora, A.E. PubMLST for antigen allele mining to inform development of gonorrhea protein-based vaccines. Front. Microbiol. 2018, 9, 2971. [Google Scholar] [CrossRef] [PubMed]
- Parge, H.E.; Forest, K.T.; Hickey, M.J.; Christensen, D.A.; Getzoff, E.D.; Tainer, J.A. Structure of the fibre-forming protein pilin at 2.6 Å resolution. Nature 1995, 378, 32–38. [Google Scholar] [CrossRef] [PubMed]
- Craig, L.; Volkmann, N.; Arvai, A.S.; Pique, M.E.; Yeager, M.; Egelman, E.H.; Tainer, J.A. Type IV pilus structure by cryo-electron microscopy and crystallography: Implications for pilus assembly and functions. Mol. Cell 2006, 23, 651–662. [Google Scholar] [CrossRef] [PubMed]
- Bende, S.M.; Grafström, R.H. The DNA binding properties of the MutL protein isolated from Escherichia coli. Nucleic Acids Res. 1991, 19, 1549–1555. [Google Scholar] [CrossRef] [PubMed]
- Hall, M.C.; Wang, H.; Erie, D.A.; Kunkel, T.A. High affinity cooperative DNA binding by the yeast Mlh1-Pms1 heterodimer. J. Mol. Biol. 2001, 312, 637–647. [Google Scholar] [CrossRef]
- Kreig, A.; Calvert, J.; Sanoica, J.; Cullum, E.; Tipanna, R.; Myong, S. G-quadruplex formation in double strand DNA probed by NMM and CV fluorescence. Nucleic Acids Res. 2015, 43, 7961–7970. [Google Scholar] [CrossRef]
- Namadurai, S.; Jain, D.; Kulkarni, D.S.; Tabib, C.R.; Friedhoff, P.; Rao, D.N.; Nair, D.T. The C-terminal domain of the MutL homolog from Neisseria gonorrhoeae forms an inverted homodimer. PLoS ONE 2010, 5, e13726. [Google Scholar] [CrossRef]
- Pillon, M.C.; Babu, V.M.P.; Randall, J.R.; Cai, J.; Simmons, L.A.; Sutton, M.D.; Guarné, A. The sliding clamp tethers the endonuclease domain of MutL to DNA. Nucleic Acids Res. 2015, 43, 10746–10759. [Google Scholar] [CrossRef]
- Correa, E.M.E.; Martina, M.A.; De Tullio, L.; Argaraña, C.E.; Barra, J.L. Some amino acids of the Pseudomonas aeruginosa MutL D(Q/M)HA(X)2E(X)4E conserved motif are essential for the in vivo function of the protein but not for the in vitro endonuclease activity. DNA Repair 2011, 10, 1106–1113. [Google Scholar] [CrossRef]
- Fukui, K.; Nishida, M.; Nakagawa, N.; Masui, R.; Kuramitsu, S. Bound nucleotide controls the endonuclease activity of mismatch repair enzyme MutL. J. Biol. Chem. 2008, 283, 12136–12145. [Google Scholar] [CrossRef]
- Iino, H.; Kim, K.; Shimada, A.; Masui, R.; Kuramitsu, S.; Fukui, K. Characterization of C- and N-terminal domains of Aquifex aeolicus MutL endonuclease: N-terminal domain stimulates the endonuclease activity of C-terminal domain in a zinc-dependent manner. Biosci. Rep. 2011, 31, 309–322. [Google Scholar] [CrossRef] [PubMed]
- Pillon, M.C.; Lorenowicz, J.J.; Uckelmann, M.; Klocko, A.D.; Mitchell, R.R.; Chung, Y.S.; Modrich, P.; Walker, G.C.; Simmons, L.A.; Friedhoff, P.; et al. Structure of the endonuclease domain of MutL: Unlicensed to cut. Mol. Cell 2010, 39, 145–151. [Google Scholar] [CrossRef] [PubMed]
- Ban, C.; Yang, W. Crystal structure and ATPase activity of MutL: Implications for DNA repair and mutagenesis. Cell 1998, 95, 541–552. [Google Scholar] [CrossRef] [PubMed]
- Singh, P.K.; Little, J.; Donnenberg, M.S. Landmark discoveries and recent advances in type IV pilus research. Microbiol. Mol. Biol. Rev. 2022, 86, e00076-22. [Google Scholar] [CrossRef] [PubMed]
- Sparling, P.F.; Cannon, J.G.; So, M. Phase and antigenic variation of pili and outer membrane protein II of Neisseria gonorrhoeae. J. Infect. Dis. 1986, 153, 196–201. [Google Scholar] [CrossRef] [PubMed]
- Dolinnaya, N.G.; Ogloblina, A.M.; Yakubovskaya, M.G. Structure, properties, and biological relevance of the DNA and RNA G-quadruplexes: Overview 50 years after their discovery. Biochemistry 2016, 81, 1602–1649. [Google Scholar] [CrossRef] [PubMed]
- Monsen, R.C.; DeLeeuw, L.W.; Dean, W.L.; Gray, R.D.; Chakravarthy, S.; Hopkins, J.B.; Chaires, J.B.; Trent, J.O. Long promoter sequences form higher-order G-quadruplexes: An integrative structural biology study of c-Myc, k-Ras and c-Kit promoter sequences. Nucleic Acids Res. 2022, 50, 4127–4147. [Google Scholar] [CrossRef]
- Pavlova, A.V.; Kubareva, E.A.; Monakhova, M.V.; Zvereva, M.I.; Dolinnaya, N.G. Impact of G-quadruplexes on the regulation of genome integrity, DNA damage and repair. Biomolecules 2021, 11, 1284. [Google Scholar] [CrossRef]
- Sarkies, P.; Reams, C.; Simpson, L.J.; Sale, J.E. Epigenetic instability due to defective replication of structured DNA. Mol. Cell 2010, 40, 703–713. [Google Scholar] [CrossRef]
- Clynes, D.; Gibbons, R.J. ATRX and the replication of structured DNA. Curr. Opin. Genet. Dev. 2013, 23, 289–294. [Google Scholar] [CrossRef]
- Livingstone, C.D.; Barton, G.J. Protein sequence alignments: A strategy for the hierarchical analysis of residue conservation. Bioinformatics 1993, 9, 745–756. [Google Scholar] [CrossRef] [PubMed]
- Pillon, M.C.; Miller, J.H.; Guarné, A. The endonuclease domain of MutL interacts with the β sliding clamp. DNA Repair 2011, 10, 87–93. [Google Scholar] [CrossRef] [PubMed]









| Oligonucleotide | Sequence (5′-3′) |
|---|---|
| 19pilG4 | AGGGTGGGTTGGGTGGGGA-TAMRA * |
| 19T ** | AGTGTGTGTTGTGTGTGGA-TAMRA |
| 19M_A | TCCACACACAACACACACT |
| 41pilG4 | ACGCGTTAGAATAGGGTGGGTTGGGTGGGGAATTTTCTATT-TAMRA |
| 41M | AATAGAAAATTCCCCACCCAACCCACCCTATTCTAACGCGT |
| 76R | ATAGGACGCTGACACTGGTGCTTGGCAGCTGAGCCATATGCTCGAGTAACGCTCATAGGATCCAAGCGCGAAAGGA-TAMRA |
| 76M | TCCTTTCGCGCTTGGATCCTATGAGCGTTACTCGAGCATATGGCTCAGCTGCCAAGCACCAGTGTCAGCGTCCTAT |
| 95G4 *** | ATAGGACGCTGACACTGGTGCTTGGCAGCTGAGCCATATTTGGGTGGGTGGGTGGGTTGCTCGAGTAACGCTCATAGGATCCAAGCGCGAAAGGA-TAMRA |
| 95pilG4 | GTCGGAATTTGAGATTTTTGAATTTACGCGTTAGAATAGGGTGGGTTGGGTGGGGAATTTTCTATTTTTTAAAAAGCTCCGTTTTCTTGGAAAGC-TAMRA |
| 95M | GCTTTCCAAGAAAACGGAGCTTTTTAAAAAATAGAAAATTCCCCACCCAACCCACCCTATTCTAACGCGTAAATTCAAAAATCTCAAATTCCGAC |
Disclaimer/Publisher’s Note: The statements, opinions and data contained in all publications are solely those of the individual author(s) and contributor(s) and not of MDPI and/or the editor(s). MDPI and/or the editor(s) disclaim responsibility for any injury to people or property resulting from any ideas, methods, instructions or products referred to in the content. |
© 2023 by the authors. Licensee MDPI, Basel, Switzerland. This article is an open access article distributed under the terms and conditions of the Creative Commons Attribution (CC BY) license (https://creativecommons.org/licenses/by/4.0/).
Share and Cite
Savitskaya, V.Y.; Strekalovskikh, V.V.; Snyga, V.G.; Monakhova, M.V.; Arutyunyan, A.M.; Dolinnaya, N.G.; Kubareva, E.A. pilE G-Quadruplex Is Recognized and Preferentially Bound but Not Processed by the MutL Endonuclease from Neisseria gonorrhoeae Mismatch Repair Pathway. Int. J. Mol. Sci. 2023, 24, 6167. https://doi.org/10.3390/ijms24076167
Savitskaya VY, Strekalovskikh VV, Snyga VG, Monakhova MV, Arutyunyan AM, Dolinnaya NG, Kubareva EA. pilE G-Quadruplex Is Recognized and Preferentially Bound but Not Processed by the MutL Endonuclease from Neisseria gonorrhoeae Mismatch Repair Pathway. International Journal of Molecular Sciences. 2023; 24(7):6167. https://doi.org/10.3390/ijms24076167
Chicago/Turabian StyleSavitskaya, Viktoriia Yu., Vadim V. Strekalovskikh, Viktoriia G. Snyga, Mayya V. Monakhova, Alexander M. Arutyunyan, Nina G. Dolinnaya, and Elena A. Kubareva. 2023. "pilE G-Quadruplex Is Recognized and Preferentially Bound but Not Processed by the MutL Endonuclease from Neisseria gonorrhoeae Mismatch Repair Pathway" International Journal of Molecular Sciences 24, no. 7: 6167. https://doi.org/10.3390/ijms24076167
APA StyleSavitskaya, V. Y., Strekalovskikh, V. V., Snyga, V. G., Monakhova, M. V., Arutyunyan, A. M., Dolinnaya, N. G., & Kubareva, E. A. (2023). pilE G-Quadruplex Is Recognized and Preferentially Bound but Not Processed by the MutL Endonuclease from Neisseria gonorrhoeae Mismatch Repair Pathway. International Journal of Molecular Sciences, 24(7), 6167. https://doi.org/10.3390/ijms24076167

