Statins as Potential Preventative Treatment of ETX and Multiple Pore-Forming Toxin-Induced Diseases
Abstract
1. Introduction
2. Results
2.1. ZA Reduced Toxicity of ETX on MDCK Cells
2.2. ETX Binds to MDCK Cells Exposed to ZA
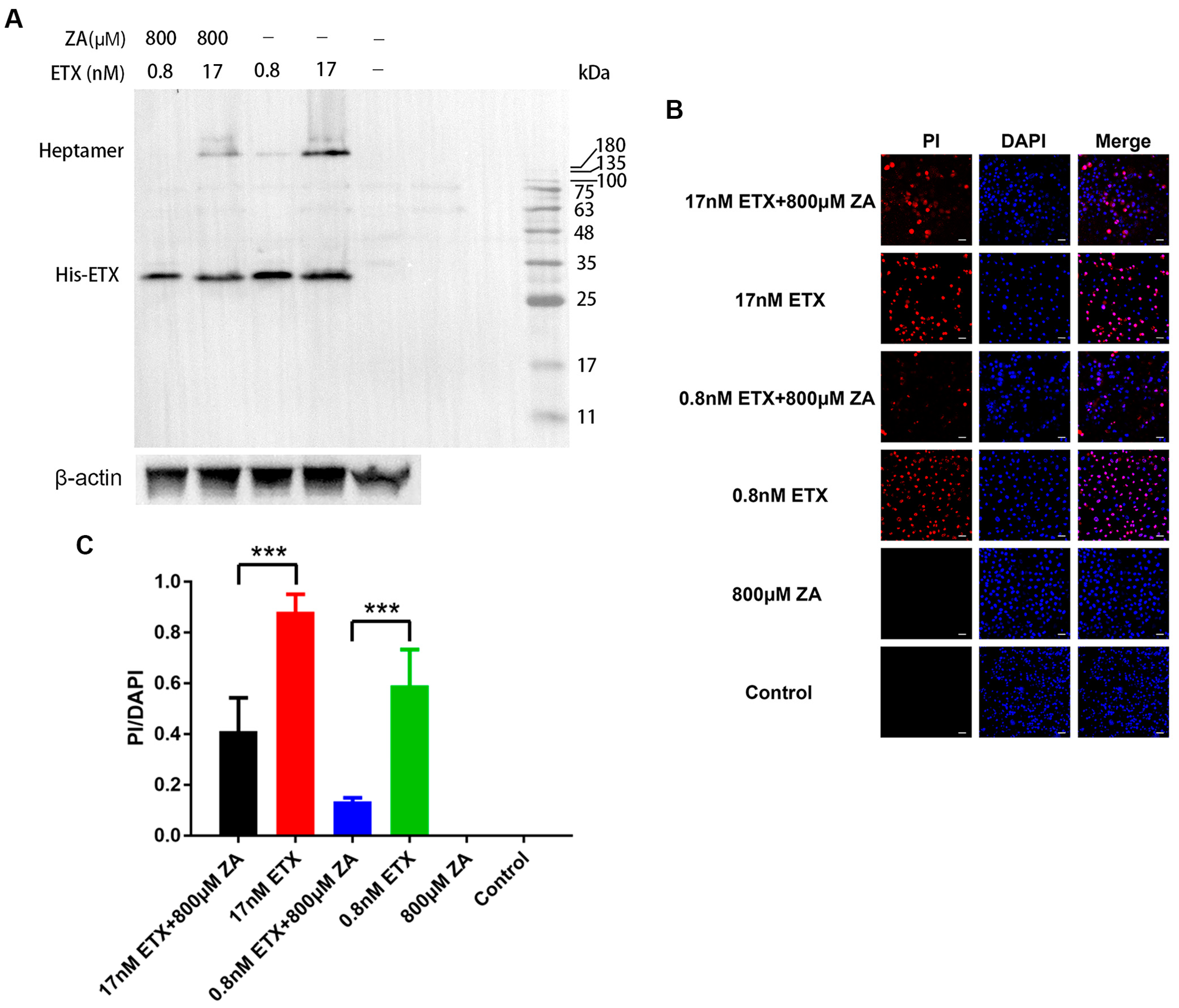
2.3. ZA Reduces the Heptamer Formation on MDCK Cells
2.4. ZA Inhibits the ETX-Induced Pore Formation on MDCK Cells
2.5. ZA Prevents Toxin-Induced Phosphatidylserine Exposure
2.6. ZA Strengthens Ca2+ Influx of MDCK Cells Treated with ETX
2.7. ZA Protects Mice from Death by ETX
2.8. ZA Inhibits the Synthesis of Cholesterol and Disrupts Lipid Rafts
2.9. Other Statin Medicine Inhibits the Toxicity of ETX
2.10. ZA Inhibits the Toxicity of Other Pore-Forming Toxins
3. Discussion
4. Materials and Methods
4.1. Recombinant Toxins and Reagents
4.2. Cell Culture and Animals
4.3. Cytotoxicity Assay
4.4. Binding of Recombinant Proteins to MDCK Cells
4.5. Heptameric Oligomerization
4.6. Pore-forming Assay
4.7. LDH Assay
4.8. Flow Cytometry
4.9. Animal Experiments
4.10. Density Gradient Centrifugation
4.11. Cholesterol Assay
4.12. Statistical Analysis
5. Conclusions
Supplementary Materials
Author Contributions
Funding
Institutional Review Board Statement
Informed Consent Statement
Data Availability Statement
Acknowledgments
Conflicts of Interest
References
- Uzal, F.A.; Giannitti, F.; Finnie, J.W.; Garcia, J. Diseases Produced by Clostridium perfringens Type D; Wiley Blackwell: Ames, IA, USA, 2016; pp. 157–172. [Google Scholar]
- Ramachandran, G. Gram-positive and gram-negative bacterial toxins in sepsis: A brief review. Virulence 2014, 5, 213–218. [Google Scholar] [CrossRef] [PubMed]
- Navarro, M.A.; McClane, B.A.-O.; Uzal, F.A. Mechanisms of Action and Cell Death Associated with Clostridium perfringens Toxins. Toxins 2018, 10, 212. [Google Scholar] [CrossRef]
- Rood, J.I.; Adams, V.; Lacey, J.; Lyras, D.; McClane, B.A.; Melville, S.B.; Moore, R.J.; Popoff, M.R.; Sarker, M.R.; Songer Jg Fau-Uzal, F.A.; et al. Expansion of the Clostridium perfringens toxin-based typing scheme. Anaerobe 2018, 53, 5–10. [Google Scholar] [CrossRef] [PubMed]
- Minami, J.; Katayama, S.; Matsushita, O.; Matsushita, C.; Okabe, A. Lambda-toxin of Clostridium perfringens activates the precursor of epsilon-toxin by releasing its N- and C-terminal peptides. Microbiol. Immunol. 1997, 41, 527–535. [Google Scholar] [CrossRef] [PubMed]
- Yao, W.; Kang, L.; Gao, S.; Zhuang, X.; Zhang, T.; Yang, H.; Ji, B.; Xin, W.; Wang, J. Amino acid residue Y196E substitution and C-terminal peptide synergistically alleviate the toxicity of Clostridium perfringens epsilon toxin. Toxicon 2015, 100, 46–52. [Google Scholar] [CrossRef] [PubMed]
- Mathur, D.D.; Deshmukh, S.; Kaushik, H.; Garg, L.C. Functional and structural characterization of soluble recombinant epsilon toxin of Clostridium perfringens D, causative agent of enterotoxaemia. Appl. Microbiol. Biotechnol. 2010, 88, 877–884. [Google Scholar] [CrossRef] [PubMed]
- Gil, C.; Dorca-Arevalo, J.; Blasi, J. Clostridium perfringens Epsilon Toxin Binds to Membrane Lipids and Its Cytotoxic Action Depends on Sulfatide. PLoS ONE 2015, 10, e0140321. [Google Scholar] [CrossRef] [PubMed]
- Blanch, M.; Dorca-Arévalo, J.; Not, A.; Cases, M.; Gómez de Aranda, I.; Martínez-Yélamos, A.; Martínez-Yélamos, S.; Solsona, C.; Blasi, J.A.-O. The Cytotoxicity of Epsilon Toxin from Clostridium perfringens on Lymphocytes Is Mediated by MAL Protein Expression. Mol. Cell. Biol. 2018, 38, e00086-18. [Google Scholar] [CrossRef]
- Li, Q.; Xin, W.; Gao, S.; Kang, L.; Wang, J. A low-toxic site-directed mutant of Clostridium perfringens epsilon-toxin as a potential candidate vaccine against enterotoxemia. Hum. Vaccin Immunother. 2013, 9, 2386–2392. [Google Scholar] [CrossRef]
- Alves, G.G.; de Ávila, R.A.M.; Chávez-Olórtegui, C.D.; Lobato, F.C. Clostridium perfringens epsilon toxin: The third most potent bacterial toxin known. Anaerobe 2014, 30, 102–107. [Google Scholar] [CrossRef]
- Lindsay, C.D.; Hambrook, J.L.; Upshall, D.G. Examination of toxicity of Clostridium perfringens-toxin in the MDCK cell line. Toxicol. Vitr. 1995, 9, 213–218. [Google Scholar] [CrossRef] [PubMed]
- Chassin, C.; Bens, M.; de Barry, J.; Courjaret, R.; Bossu, J.L.; Cluzeaud, F.; Ben Mkaddem, S.; Gibert, M.; Poulain, B.; Popoff, M.R.; et al. Pore-forming epsilon toxin causes membrane permeabilization and rapid ATP depletion-mediated cell death in renal collecting duct cells. Am. J. Physiol. Ren. Physiol. 2007, 293, F927–F937. [Google Scholar] [CrossRef] [PubMed]
- Shortt, S.J.; Titball, R.W.; Lindsay, C.D. An assessment of the in vitro toxicology of Clostridium perfringens type D epsilon-toxin in human and animal cells. Hum. Exp. Toxicol. 2000, 19, 108–116. [Google Scholar] [CrossRef]
- Dorca-Arévalo, J.; Blanch, M.; Pradas, M.; Blasi, J. Epsilon toxin from Clostridium perfringens induces cytotoxicity in FRT thyroid epithelial cells. Anaerobe 2018, 53, 43–49. [Google Scholar] [CrossRef]
- Rumah, K.R.; Ma, Y.; Linden, J.R.; Oo, M.L.; Anrather, J.; Schaeren-Wiemers, N.; Alonso, M.A.; Fischetti, V.A.; McClain, M.S.; Vartanian, T. The Myelin and Lymphocyte Protein MAL Is Required for Binding and Activity of Clostridium perfringens ε-Toxin. PLoS Pathog. 2015, 11, e1004896. [Google Scholar] [CrossRef]
- Linden, J.R.; Ma, Y.; Zhao, B.; Harris, J.M.; Rumah, K.R.; Schaeren-Wiemers, N.; Vartanian, T. Clostridium perfringens Epsilon Toxin Causes Selective Death of Mature Oligodendrocytes and Central Nervous System Demyelination. mBio 2015, 6, e02513. [Google Scholar] [CrossRef]
- Soletti, R.C.; Alves, T.; Vernal, J.; Terenzi, H.; Anderluh, G.; Borges, H.L.; Gabilan, N.H.; Moura-Neto, V. Inhibition of MAPK/ERK, PKC and CaMKII signaling blocks cytolysin-induced human glioma cell death. Anticancer Res. 2010, 30, 1209–1215. [Google Scholar]
- Kang, J.; Gao, J.; Yao, W.; Kang, L.; Gao, S.; Yang, H.; Ji, B.; Li, P.; Liu, J.; Yao, J.; et al. F199E substitution reduced toxicity of Clostridium perfringens epsilon toxin by depriving the receptor binding capability. Hum. Vaccines Immunother. 2017, 13, 1598–1608. [Google Scholar] [CrossRef]
- Petit, L.; Gibert, M.; Gillet, D.; Laurent-Winter, C.; Boquet, P.; Popoff, M.R. Clostridium perfringens epsilon-toxin acts on MDCK cells by forming a large membrane complex. J. Bacteriol. 1997, 179, 6480–6487. [Google Scholar] [CrossRef] [PubMed]
- Payne, D.W.; Williamson, E.D.; Havard, H.; Modi, N.; Brown, J. Evaluation of a new cytotoxicity assay for Clostridium perfringens type D epsilon toxin. FEMS Microbiol. Lett. 1994, 116, 161–167. [Google Scholar] [CrossRef]
- Miyata, S.; Minami, J.; Tamai, E.; Matsushita, O.; Shimamoto, S.; Okabe, A. Clostridium perfringens epsilon-toxin forms a heptameric pore within the detergent-insoluble microdomains of Madin-Darby canine kidney cells and rat synaptosomes. J. Biol. Chem. 2002, 277, 39463–39468. [Google Scholar] [CrossRef]
- Nagahama, M.; Itohayashi, Y.; Hara, H.; Higashihara, M.; Fukatani, Y.; Takagishi, T.; Oda, M.; Kobayashi, K.; Nakagawa, I.; Sakurai, J. Cellular vacuolation induced by Clostridium perfringens epsilon-toxin. FEBS J. 2011, 278, 3395–3407. [Google Scholar] [CrossRef]
- Yao, W.; Kang, J.; Kang, L.; Gao, S.; Yang, H.; Ji, B.; Li, P.; Liu, J.; Xin, W.; Wang, J. Immunization with a novel Clostridium perfringens epsilon toxin mutant rETX(Y196E)-C confers strong protection in mice. Sci. Rep. 2016, 6, 24162. [Google Scholar] [CrossRef]
- Zhao, L.; Guo, Z.; Liu, J.; Wang, Z.; Wang, R.; Li, Y.; Wang, L.; Xu, Y.; Tang, L.; Qiao, X. Recombinant Lactobacillus casei expressing Clostridium perfringens toxoids alpha, beta2, epsilon and beta1 gives protection against Clostridium perfringens in rabbits. Vaccine 2017, 35, 4010–4021. [Google Scholar] [CrossRef]
- McClain, M.S.; Cover, T.L. Functional analysis of neutralizing antibodies against Clostridium perfringens epsilon-toxin. Infect Immun. 2007, 75, 1785–1793. [Google Scholar] [CrossRef] [PubMed]
- Lewis, M.; Weaver, C.D.; McClain, M.S. Identification of Small Molecule Inhibitors of Clostridium perfringens epsilon-Toxin Cytotoxicity Using a Cell-Based High-Throughput Screen. Toxins 2010, 2, 1825–1847. [Google Scholar] [CrossRef] [PubMed]
- Xin, W.; Wang, J. Clostridium perfringens epsilon toxin: Toxic effects and mechanisms of action. Biosaf. Health 2019, 1, 71–75. [Google Scholar] [CrossRef]
- García-Fernández, E.; Koch, G.; Wagner, R.M.; Fekete, A.; Stengel, S.T.; Schneider, J.; Mielich-Süss, B.; Geibel, S.; Markert, S.M.; Stigloher, C.; et al. Membrane Microdomain Disassembly Inhibits MRSA Antibiotic Resistance. Cell 2017, 171, 1354–1367. [Google Scholar] [CrossRef]
- Bokori-Brown, M.; Kokkinidou, M.C.; Savva, C.G.; Fernandes da Costa, S.; Naylor, C.E.; Cole, A.R.; Moss, D.S.; Basak, A.K.; Titball, R.W. Clostridium perfringens epsilon toxin H149A mutant as a platform for receptor binding studies. Protein Sci. 2013, 22, 650–659. [Google Scholar] [CrossRef]
- Petit, L.; Maier, E.; Gibert, M.; Popoff, M.R.; Benz, R. Clostridium perfringens epsilon toxin induces a rapid change of cell membrane permeability to ions and forms channels in artificial lipid bilayers. J. Biol. Chem. 2001, 276, 15736–15740. [Google Scholar] [CrossRef]
- Geng, Z.; Huang, J.; Kang, L.; Gao, S.; Yuan, Y.; Li, Y.; Wang, J.; Xin, W.; Wang, J. Clostridium perfringens epsilon toxin binds to erythrocyte MAL receptors and triggers phosphatidylserine exposure. J. Cell. Mol. Med. 2020, 24, 7341–7352. [Google Scholar] [CrossRef]
- Savva, C.G.; Clark, A.R.; Naylor, C.E.; Popoff, M.R.; Moss, D.S.; Basak, A.K.; Titball, R.W.; Bokori-Brown, M. The pore structure of Clostridium perfringens epsilon toxin. Nat. Commun. 2019, 10, 2641. [Google Scholar] [CrossRef] [PubMed]
- Nagata, S.; Suzuki, J.; Segawa, K.; Fujii, T. Exposure of phosphatidylserine on the cell surface. Cell Death Differ. 2016, 23, 952–961. [Google Scholar] [CrossRef]
- Munksgaard, P.S.; Vorup-Jensen, T.; Reinholdt, J.; Söderström, C.M.; Poulsen, K.; Leipziger, J.; Praetorius, H.A.; Skals, M. Leukotoxin from Aggregatibacter actinomycetemcomitans causes shrinkage and P2X receptor-dependent lysis of human erythrocytes. Cell. Microbiol. 2012, 14, 1904–1920. [Google Scholar] [CrossRef]
- Amulic, B.; Cazalet, C.; Hayes, G.L.; Metzler, K.D.; Zychlinsky, A. Neutrophil function: From mechanisms to disease. Annu. Rev. Immunol. 2012, 30, 459–489. [Google Scholar] [CrossRef]
- Zhong, G.; Wan, F.; Wu, S.; Jiang, X.; Tang, Z.; Zhang, X.; Huang, R.; Hu, L. Arsenic or/and antimony induced mitophagy and apoptosis associated with metabolic abnormalities and oxidative stress in the liver of mice. Sci. Total Environ. 2021, 777, 146082. [Google Scholar] [CrossRef] [PubMed]
- Petrides, A.S.; Vogt, C.; Schulze-Berge, D.; Matthews, D.; Strohmeyer, G. Pathogenesis of glucose intolerance and diabetes mellitus in cirrhosis. Hepatology 1994, 19, 616–627. [Google Scholar] [CrossRef]
- Mendes, R.S.; Soares, M.; Valente, C.; Suassuna, J.H.; Rocha, E.; Maccariello, E.R. Predialysis hypernatremia is a prognostic marker in acute kidney injury in need of renal replacement therapy. J. Crit. Care 2015, 30, 982–987. [Google Scholar] [CrossRef] [PubMed]
- Woitok, B.K.; Funk, G.C.; Walter, P.; Schwarz, C.; Ravioli, S.; Lindner, G. Dysnatremias in emergency patients with acute kidney injury: A cross-sectional analysis. Am. J. Emerg. Med. 2020, 38, 2602–2606. [Google Scholar] [CrossRef]
- Moysés-Neto, M.; Guimarães, F.M.; Ayoub, F.H.; Vieira-Neto, O.M.; Costa, J.A.; Dantas, M. Acute renal failure and hypercalcemia. Ren. Fail. 2006, 28, 153–159. [Google Scholar] [CrossRef]
- Yifan, Z.; Benxiang, N.; Zheng, X.; Luwei, X.; Liuhua, Z.; Yuzheng, G.; Ruipeng, J. Ceftriaxone Calcium Crystals Induce Acute Kidney Injury by NLRP3-Mediated Inflammation and Oxidative Stress Injury. Oxidative Med. Cell. Longev. 2020, 2020, 6428498. [Google Scholar] [CrossRef] [PubMed]
- Zhi, D.; Lin, J.; Dong, L.; Ji, X.; Zhuang, H.; Liu, Z.; Liu, J.; Duan, M. Risk predictive role of hypernatremia for occurrence of sepsis-induced acute kidney injury. Ann. Palliat. Med. 2021, 10, 4705–4715. [Google Scholar] [CrossRef]
- Simons, K.; Ehehalt, R. Cholesterol, lipid rafts, and disease. J. Clin. Investig. 2002, 110, 597–603. [Google Scholar] [CrossRef] [PubMed]
- Van der Goot, F.G.; Harder, T. Raft membrane domains: From a liquid-ordered membrane phase to a site of pathogen attack. Semin. Immunol. 2001, 13, 89–97. [Google Scholar] [CrossRef] [PubMed]
- Bakillah, A.A.-O.; Hejji, F.A.; Almasaud, A.; Jami, H.A.; Hawwari, A.; Qarni, A.A.-O.; Iqbal, J.A.-O.; Alharbi, N.A.-O. Lipid Raft Integrity and Cellular Cholesterol Homeostasis Are Critical for SARS-CoV-2 Entry into Cells. Nutrients 2022, 14, 3417. [Google Scholar] [CrossRef]
- Pospiech, M.; Owens, S.E.; Miller, D.J.; Austin-Muttitt, K.; Mullins, J.G.L.; Cronin, J.G.; Allemann, R.K.; Sheldon, I.M. Bisphosphonate inhibitors of squalene synthase protect cells against cholesterol-dependent cytolysins. FASEB J. 2021, 35, e21640. [Google Scholar] [CrossRef] [PubMed]
- Griffin, S.; Healey, G.D.; Sheldon, I.M. Isoprenoids increase bovine endometrial stromal cell tolerance to the cholesterol-dependent cytolysin from Trueperella pyogenes. Biol. Reprod. 2018, 99, 749–760. [Google Scholar] [CrossRef]
- Nagahama, M.; Hara, H.; Fernandez-Miyakawa, M.; Itohayashi, Y.; Sakurai, J. Oligomerization of Clostridium perfringens epsilon-toxin is dependent upon membrane fluidity in liposomes. Biochemistry 2006, 45, 296–302. [Google Scholar] [CrossRef]
- Bailey, J.M.I. Factors Affecting Cholesterol Uptake. Lipid Metab. Cult. Cells 1961, 107, 30–35. [Google Scholar]
- Wang, Y.; Xie, Y.; Ma, J.; Gong, R.; Yan, Z.; Wang, W.; Wang, Y.; Xu, B.; Li, X. Lovastatin induces apoptosis of HepG-2 cells by activating ROS-dependent mitochondrial and ER stress pathways. Int. Clin. Exp. Pathol. 2017, 10, 11480–11488. [Google Scholar]
- Bergstrom, J.D.; Kurtz, M.M.; Rew, D.J.; Amend, A.M.; Karkas, J.D.; Bostedor, R.G.; Bansal, V.S.; Dufresne, C.; VanMiddlesworth, F.L.; Hensens, O.D. Zaragozic acids: A family of fungal metabolites that are picomolar competitive inhibitors of squalene synthase. Proc. Natl. Acad. Sci. USA 1993, 90, 80–84. [Google Scholar] [CrossRef] [PubMed]
- Griffin, S.; Preta, G.; Sheldon, I.M. Inhibiting mevalonate pathway enzymes increases stromal cell resilience to a cholesterol-dependent cytolysin. Sci. Rep. 2017, 7, 17050. [Google Scholar] [CrossRef] [PubMed]
- Gao, J.; Xin, W.; Huang, J.; Ji, B.; Gao, S.; Chen, L.; Kang, L.; Yang, H.; Shen, X.; Zhao, B.; et al. Hemolysis in human erythrocytes by Clostridium perfringens epsilon toxin requires activation of P2 receptors. Virulence 2018, 9, 1601–1614. [Google Scholar] [CrossRef] [PubMed]









| Groups | Control | 1 Injection of ZA | 2 Injections of ZA | 3 Injections of ZA | Challenged with ETX |
|---|---|---|---|---|---|
| WBC (109/L) | 1.53 ± 0.60 | 2.39 ± 1.10 | 2.07 ± 0.41 | 1.78 ± 0.80 | 3.42 ± 0.97 |
| LYM (109/L) | 1.12 ± 0.37 | 1.62 ± 0.22 | 1.51 ± 0.26 | 1.13 ± 0.47 | 1.94 ± 0.59 |
| LYM (%) | 74.00 ± 7.16 | 64.20 ± 2.54 | 72.80 ± 2.04 | 72.62 ± 7.13 | 46.90 ± 9.85 |
| BASO (%) | 0.85 ± 0.23 | 1.50 ± 0.88 | 0.77 ± 0.41 | 0.50 ± 0.11 | 1.82 ± 0.77 |
| NEU (109/L) | 0.33 ± 0.23 | 0.47 ± 0.12 | 0.41 ± 0.14 | 0.56 ± 0.30 | 1.54 ± 0.49 |
| NEU (%) | 19.60 ± 7.19 | 30.37 ± 3.34 | 24.73 ± 2.13 | 19.76 ± 4.08 | 46.21 ± 11.82 |
| MON (109/L) | 0.04 ± 0.03 | 0.05 ± 0.03 | 0.04 ± 0.01 | 0.03 ± 0.01 | 0.10 ± 0.03 |
| ALP (U/L) | 2.39 ± 0.51 | 1.77 ± 0.46 | 1.86 ± 0.53 | 1.79 ± 0.38 | 3.17 ± 0.27 |
| GLU (mM) | 7.79 ± 1.33 | 8.01 ± 1.51 | 7.87 ± 1.31 | 7.72 ± 1.72 | 13.51 ± 2.28 |
| BUN (mM) | 11.81 ± 1.28 | 12.38 ± 0.95 | 14.52 ± 0.87 | 13.63 ± 1.26 | 6.77 ± 1.70 |
| Cre (μM) | 7.14 ± 0.72 | 6.78 ± 1.61 | 7.38 ± 1.59 | 7.84 ± 1.45 | 5.75 ± 0.70 |
| Ca (mM) | 0.076 ± 0.011 | 0.075 ± 0.005 | 0.086 ± 0.01 | 0.075 ± 0.005 | 0.100 ± 0.01 |
| Na (mM) | 230.60 ± 3.28 | 225.00 ± 6.21 | 242.50 ± 9.19 | 235.20 ± 7.50 | 265.50 ± 19.05 |
| Toxin | EC50 (μM) |
|---|---|
| ETX | 151.80 |
| Net B | 72.42 |
| Hla | 38.20 |
| CPB | 430.5 |
Disclaimer/Publisher’s Note: The statements, opinions and data contained in all publications are solely those of the individual author(s) and contributor(s) and not of MDPI and/or the editor(s). MDPI and/or the editor(s) disclaim responsibility for any injury to people or property resulting from any ideas, methods, instructions or products referred to in the content. |
© 2023 by the authors. Licensee MDPI, Basel, Switzerland. This article is an open access article distributed under the terms and conditions of the Creative Commons Attribution (CC BY) license (https://creativecommons.org/licenses/by/4.0/).
Share and Cite
Huang, J.; Zhao, B.; Liu, T.; Kang, L.; Li, J.; Guo, Z.; Chen, M.; Gao, S.; Wang, J.; Li, Y.; et al. Statins as Potential Preventative Treatment of ETX and Multiple Pore-Forming Toxin-Induced Diseases. Int. J. Mol. Sci. 2023, 24, 5414. https://doi.org/10.3390/ijms24065414
Huang J, Zhao B, Liu T, Kang L, Li J, Guo Z, Chen M, Gao S, Wang J, Li Y, et al. Statins as Potential Preventative Treatment of ETX and Multiple Pore-Forming Toxin-Induced Diseases. International Journal of Molecular Sciences. 2023; 24(6):5414. https://doi.org/10.3390/ijms24065414
Chicago/Turabian StyleHuang, Jing, Baohua Zhao, Tingting Liu, Lin Kang, Jiaxin Li, Zishuo Guo, Ming Chen, Shan Gao, Jing Wang, Yanwei Li, and et al. 2023. "Statins as Potential Preventative Treatment of ETX and Multiple Pore-Forming Toxin-Induced Diseases" International Journal of Molecular Sciences 24, no. 6: 5414. https://doi.org/10.3390/ijms24065414
APA StyleHuang, J., Zhao, B., Liu, T., Kang, L., Li, J., Guo, Z., Chen, M., Gao, S., Wang, J., Li, Y., Wang, J., & Xin, W. (2023). Statins as Potential Preventative Treatment of ETX and Multiple Pore-Forming Toxin-Induced Diseases. International Journal of Molecular Sciences, 24(6), 5414. https://doi.org/10.3390/ijms24065414

