Synergic Action of Insulin-like Growth Factor-2 and miRNA-483 in Pterygium Pathogenesis
Abstract
1. Introduction
2. Results
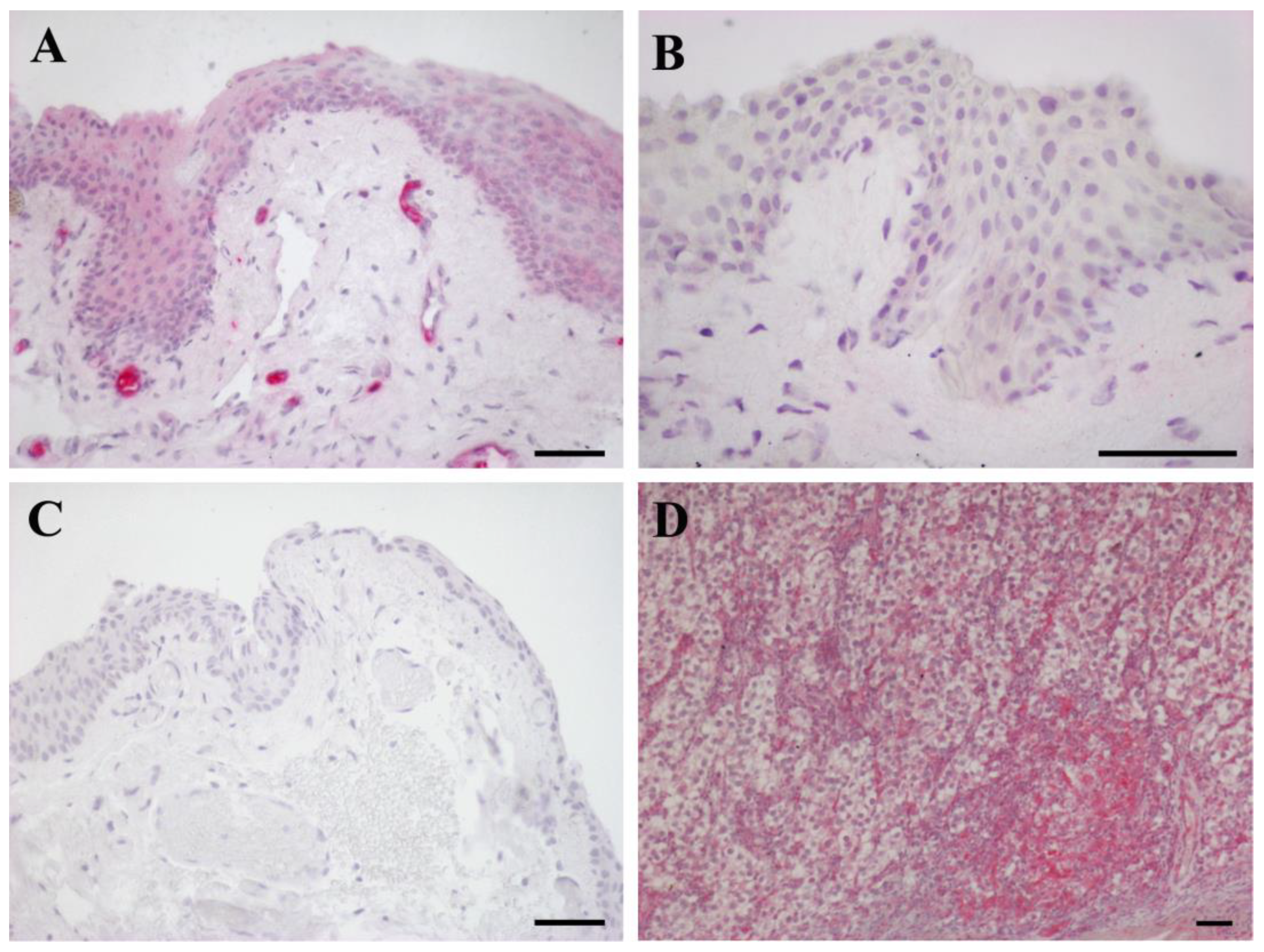
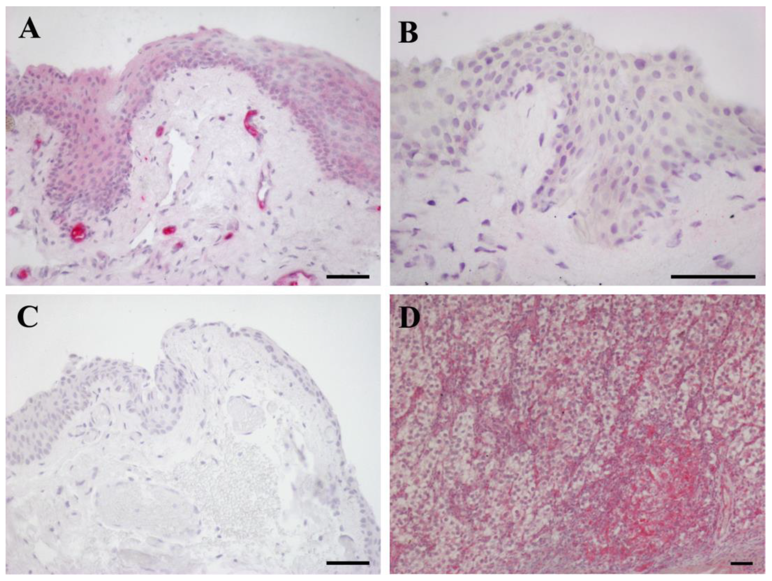
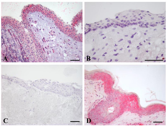
2.1. IGF-2 Immunoistochemical (IHC) Expression
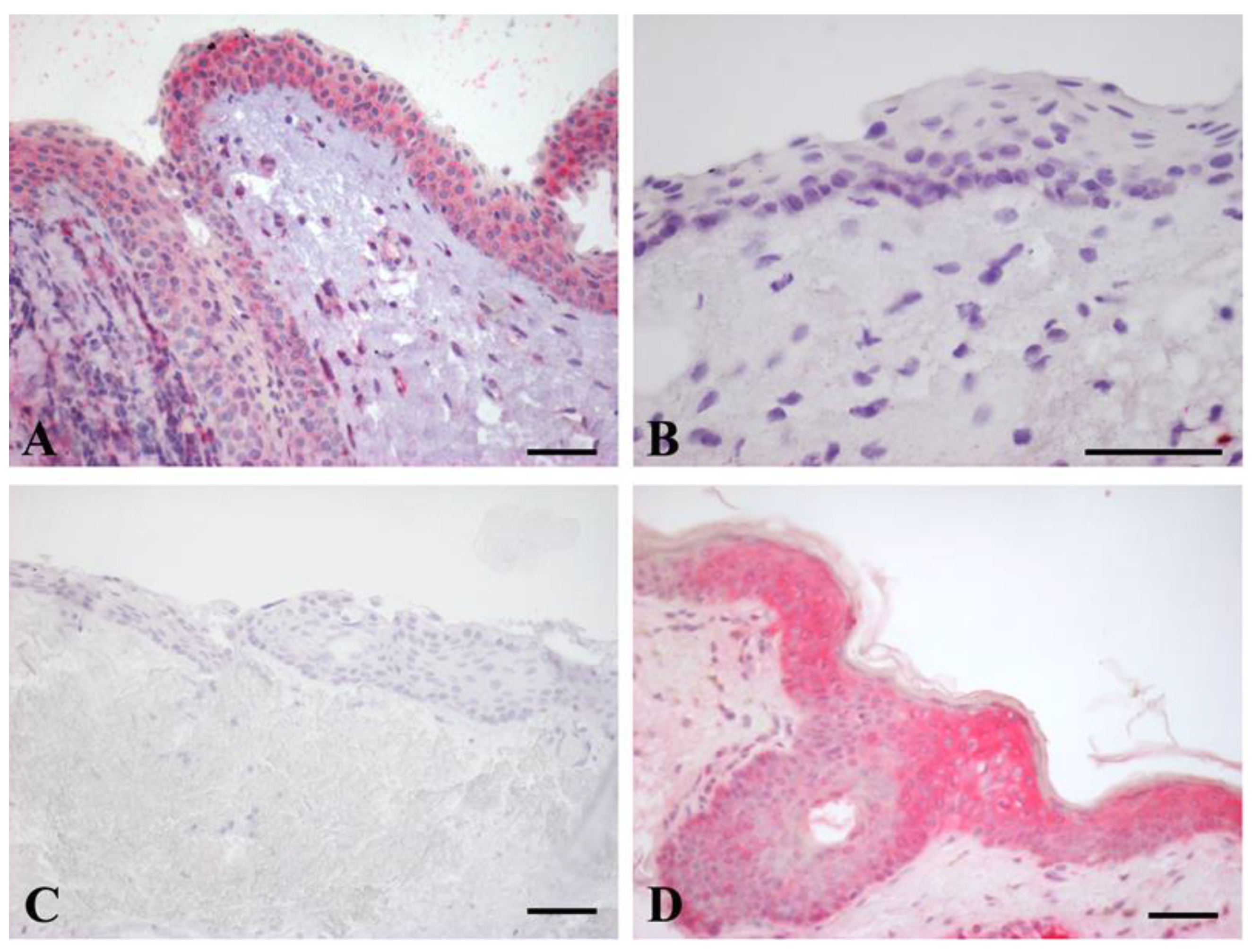
2.2. IGF-1R IHC Expression
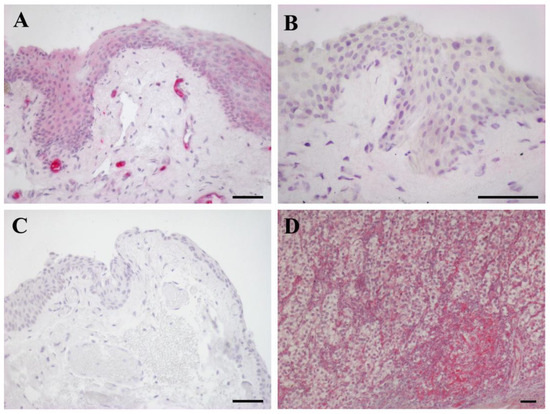
2.3. Relationship between IGF-2 and IGF-1R Expression
2.4. Molecular Analysis
3. Discussion
4. Materials and Methods
4.1. Patients and Study Design
4.2. Immunohistochemical (IHC) Analysis
4.3. Scoring
4.4. Double Immunofluorescence (IF)
4.5. Statistical Analysis
4.6. Molecular Analysis
4.6.1. RNA Extraction
4.6.2. Gene Expression
4.6.3. Quantitative RT-PCR Procedure
Author Contributions
Funding
Institutional Review Board Statement
Informed Consent Statement
Data Availability Statement
Acknowledgments
Conflicts of Interest
References
- Coroneo, M.T.; Di Girolamo, N.; Wakefield, D. The pathogenesis of pterygia. Curr. Opin. Ophthalmol. 1999, 10, 282–288. [Google Scholar] [CrossRef]
- Perra, M.T.; Colombari, R.; Maxia, C.; Zucca, I.; Piras, F.; Corbu, A.; Bravo, S.; Scarpa, A.; Sirigu, P. Finding of conjunctival melanocytic pigmented lesions within pterygium. Histopathology 2006, 48, 387–393. [Google Scholar] [CrossRef]
- Chui, J.; Coroneo, M.T.; Tat, L.T.; Crouch, R.; Wakefield, D.; Di Girolamo, N. Ophthalmic pterygium: A stem cell disorder with premalignant features. Am. J. Pathol. 2011, 178, 817–827. [Google Scholar] [CrossRef]
- Coster, D. Pterygium--An ophthalmic enigma. Br. J. Ophthalmol. 1995, 79, 304–305. [Google Scholar] [CrossRef]
- Perra, M.T.; Maxia, C.; Zucca, I.; Piras, F.; Sirigu, P. Immunohistochemical study of human pterygium. Histol. Histopathol. 2002, 17, 139–149. [Google Scholar] [CrossRef]
- Di Girolamo, N.; Kumar, R.K.; Coroneo, M.T.; Wakefield, D. UVB-Mediated induction of interleukin-6 and -8 in pterygia and cultured human pterygium epithelial cells. Invest. Ophthalmol. Vis. Sci. 2002, 43, 3430–3437. [Google Scholar]
- Maxia, C.; Murtas, D.; Isola, M.; Tamma, R.; Zucca, I.; Piras, F.; Ribatti, D.; Diana, A.; Perra, M.T. Immunophenotypic characterization of telocyte-like cells in pterygium. Mol. Vis. 2018, 24, 853–866. [Google Scholar]
- Tan, D.T.; Tang, W.Y.; Liu, Y.P.; Goh, H.S.; Smith, D.R. Apoptosis and apoptosis related gene expression in normal conjunctiva and pterygium. Br. J. Ophthalmol. 2000, 84, 212–216. [Google Scholar] [CrossRef]
- Kase, S.; Takahashi, S.; Sato, I.; Nakanishi, K.; Yoshida, K.; Ohno, S. Expression of p27(KIP1) and cyclin D1, and cell proliferation in human pterygium. Br. J. Ophthalmol. 2007, 91, 958–961. [Google Scholar] [CrossRef]
- Ribatti, D.; Nico, B.; Perra, M.T.; Maxia, C.; Piras, F.; Murtas, D.; Crivellato, E.; Sirigu, P. Correlation between NGF/TrkA and microvascular density in human pterygium. Int. J. Exp. Pathol. 2009, 90, 615–620. [Google Scholar] [CrossRef]
- Dong, S.; Wu, X.; Xu, Y.; Yang, G.; Yan, M. Immunohistochemical study of STAT3, HIF-1α and VEGF in pterygium and normal conjunctiva: Experimental research and literature review. Mol. Vis. 2020, 26, 510–516. [Google Scholar]
- Tsai, Y.Y.; Cheng, Y.W.; Lee, H.; Tsai, F.J.; Tseng, S.H.; Lin, C.L.; Chang, K.C. Oxidative DNA damage in pterygium. Mol. Vis. 2005, 11, 71–75. [Google Scholar]
- Kim, K.W.; Ha, H.S.; Kim, J.C. Ischemic tissue injury and progenitor cell tropism: Significant contributors to the pathogenesis of pterygium. Histol. Histopathol. 2015, 30, 311–320. [Google Scholar] [CrossRef]
- Woods, M.; Chow, S.; Heng, B.; Glenn, W.; Whitaker, N.; Waring, D.; Iwasenko, J.; Rawlinson, W.; Coroneo, M.T.; Wakefield, D.; et al. Detecting human papillomavirus in ocular surface diseases. Invest. Ophthalmol. Vis. Sci. 2013, 54, 8069–8078. [Google Scholar] [CrossRef]
- de Guimarães, J.A.; Hounpke, B.W.; Duarte, B.; Boso, A.; Viturino, M.; de Carvalho Baptista, L.; de Melo, M.B.; Alves, M. Transcriptomics and network analysis highlight potential pathways in the pathogenesis of pterygium. Sci. Rep. 2022, 12, 286. [Google Scholar] [CrossRef]
- Coroneo, M.T. Pterygium as an early indicator of ultraviolet insolation: A hypothesis. Br. J. Ophthalmol. 1993, 77, 734–739. [Google Scholar] [CrossRef]
- Kau, H.C.; Tsai, C.C.; Lee, C.F.; Kao, S.C.; Hsu, W.M.; Liu, J.H.; Wei, Y.H. Increased oxidative DNA damage, 8-hydroxydeoxy- guanosine, in human pterygium. Eye 2006, 20, 826–831. [Google Scholar] [CrossRef]
- Perra, M.T.; Maxia, C.; Corbu, A.; Minerba, L.; Demurtas, P.; Colombari, R.; Murtas, D.; Bravo, S.; Piras, F.; Sirigu, P. Oxidative stress in pterygium: Relationship between p53 and 8-hydroxydeoxyguanosine. Mol. Vis. 2006, 12, 1136–1142. [Google Scholar]
- Bergman, D.; Halje, M.; Nordin, M.; Engström, W. Insulin-like growth factor 2 in development and disease: A mini-review. Gerontology 2013, 59, 240–249. [Google Scholar] [CrossRef]
- Blyth, A.J.; Kirk, N.S.; Forbes, B.E. Understanding IGF-II Action through Insights into Receptor Binding and Activation. Cells 2020, 9, 2276. [Google Scholar] [CrossRef]
- Engström, W.; Shokrai, A.; Otte, K.; Granérus, M.; Gessbo, A.; Bierke, P.; Madej, A.; Sjölund, M.; Ward, A. Transcriptional regulation and biological significance of the insulin like growth factor II gene. Cell Prolif. 1998, 31, 173–189. [Google Scholar] [CrossRef]
- Kasprzak, A.; Adamek, A. Insulin-Like Growth Factor 2 (IGF2) Signaling in Colorectal Cancer-From Basic Research to Potential Clinical Applications. Int. J. Mol. Sci. 2019, 20, 4915. [Google Scholar] [CrossRef]
- Andersen, M.; Nørgaard-Pedersen, D.; Brandt, J.; Pettersson, I.; Slaaby, R. IGF1 and IGF2 specificities to the two insulin receptor isoforms are determined by insulin receptor amino acid 718. PLoS ONE 2017, 12, e0178885. [Google Scholar] [CrossRef]
- Belfiore, A.; Malaguarnera, R.; Vella, V.; Lawrence, M.C.; Sciacca, L.; Frasca, F.; Morrione, A.; Vigneri, R. Insulin Receptor Isoforms in Physiology and Disease: An Updated View. Endocr. Rev. 2017, 38, 379–431. [Google Scholar] [CrossRef]
- Chao, W.; D’Amore, P.A. IGF2: Epigenetic regulation and role in development and disease. Cytokine Growth Factor Rev. 2008, 19, 111–120. [Google Scholar] [CrossRef]
- Han, S.; Chen, Y.; Gao, Y.; Sun, B.; Kong, Y. MicroRNA-218-5p inhibit the migration and proliferation of pterygium epithelial cells by targeting EGFR via PI3K/Akt/mTOR signaling pathway. Exp. Eye Res. 2019, 178, 37–45. [Google Scholar] [CrossRef]
- Gailhouste, L.; Liew, L.C.; Yasukawa, K.; Hatada, I.; Tanaka, Y.; Kato, T.; Nakagama, H.; Ochiya, T. MEG3-derived miR-493-5p overcomes the oncogenic feature of IGF2-miR-483 loss of imprinting in hepatic cancer cells. Cell Death Dis. 2019, 10, 553. [Google Scholar] [CrossRef]
- Sun, X.; Li, K.; Wang, H.; Xia, Y.; Meng, P.; Leng, X. MiR-483 Promotes Colorectal Cancer Cell Biological Progression by Directly Targeting NDRG2 through Regulation of the PI3K/AKT Signaling Pathway and Epithelial-to-Mesenchymal. Transition. J. Healthc. Eng. 2022, 2022, 4574027. [Google Scholar] [CrossRef]
- Tang, S.; Chen, Y.; Feng, S.; Yi, T.; Liu, X.; Li, Q.; Liu, Z.; Zhu, C.; Hu, J.; Yu, X.; et al. MiR-483-5p promotes IGF-II transcription and is associated with poor prognosis of hepatocellular carcinoma. Oncotarget 2017, 8, 99871–99888. [Google Scholar] [CrossRef]
- Van Dyck, F.; Scroyen, I.; Declercq, J.; Sciot, R.; Kahn, B.; Lijnen, R.; Van de Ven, W.J. aP2-Cre-mediated expression activation of an oncogenic PLAG1 transgene results in cavernous angiomatosis in mice. Int. J. Oncol. 2008, 32, 33–40. [Google Scholar] [CrossRef]
- Andersson, M.K.; Åman, P.; Stenman, G. IGF2/IGF1R Signaling as a Therapeutic Target in MYB-Positive Adenoid Cystic Carcinomas and Other Fusion Gene-Driven Tumors. Cells 2019, 8, 913. [Google Scholar] [CrossRef]
- Arcaro, A. Targeting the insulin-like growth factor-1 receptor in human cancer. Front. Pharmacol. 2013, 4, 30. [Google Scholar] [CrossRef]
- Harris, L.K.; Westwood, M. Biology and significance of signaling pathways activated by IGF-II. Growth Factors 2012, 30, 1–12. [Google Scholar] [CrossRef]
- Kas, K. Molecular techniques lead to the first insights into the pathophysiology of salivary gland adenomas. Verh. K Acad. Geneeskd Belg 2001, 63, 35–40. [Google Scholar]
- Manta, L.; Suciu, N.; Toader, O.; Purcărea, R.M.; Constantin, A.; Popa, F. The etiopathogenesis of uterine fibromatosis. J. Med. Life 2016, 9, 39–45. [Google Scholar]
- Angelousi, A.; Kyriakopoulos, G.; Nasiri-Ansari, N.; Karageorgou, M.; Kassi, E. The role of epithelial growth factors and insulin growth factors in the adrenal neoplasms. Ann. Transl. Med. 2018, 6, 253. [Google Scholar] [CrossRef]
- Yang, B.; Wagner, J.; Damaschke, N.; Yao, T.; Wuerzberger-Davis, S.M.; Lee, M.H.; Svaren, J.; Miyamoto, S.; Jarrard, D.F. A novel pathway links oxidative stress to loss of insulin growth factor-2 (IGF2) imprinting through NF-κB activation. PLoS ONE 2014, 9, e88052. [Google Scholar] [CrossRef]
- D’Ignazio, L.; Batie, M.; Rocha, S. Hypoxia and Inflammation in Cancer, Focus on HIF and NF-κB. Biomedicines 2017, 5, 21. [Google Scholar] [CrossRef]
- Srivastava, S.K.; Ramana, K.V. Focus on molecules: Nuclear factor-kappaB. Exp. Eye Res. 2009, 88, 2–3. [Google Scholar] [CrossRef]
- Lan, W.; Petznick, A.; Heryati, S.; Rifada, M.; Tong, L. Nuclear Factor-κB: Central regulator in ocular surface inflammation and diseases. Ocul. Surf. 2012, 10, 137–148. [Google Scholar] [CrossRef]
- Baba, Y.; Nosho, K.; Shima, K.; Huttenhower, C.; Tanaka, N.; Hazra, A.; Giovannucci, E.L.; Fuchs, C.S.; Ogino, S. Hypomethylation of the IGF2 DMR in colorectal tumors, detected by bisulfite pyrosequencing, is associated with poor prognosis. Gastroenterology 2010, 139, 1855–1864. [Google Scholar] [CrossRef] [PubMed]
- Cui, H.; Liu, Y.; Jiang, J.; Liu, Y.; Yang, Z.; Wu, S.; Cao, W.; Cui, I.H.; Yu, C. IGF2-Derived miR-483 mediated oncofunction by suppressing DLC-1 and associated with colorectal cancer. Oncotarget 2016, 7, 48456–48466. [Google Scholar] [CrossRef] [PubMed]
- Zhang, Z.; Ge, S.; Wang, X.; Yuan, Q.; Yan, Q.; Ye, H.; Che, Y.; Lin, Y.; Zhang, J.; Liu, P. Serum miR-483-5p as a potential biomarker to detect hepatocellular carcinoma. Hepatol. Int. 2013, 7, 199–207. [Google Scholar] [CrossRef] [PubMed]
- Liu, M.; Roth, A.; Yu, M.; Morris, R.; Bersani, F.; Rivera, M.N.; Lu, J.; Shioda, T.; Vasudevan, S.; Ramaswamy, S.; et al. The IGF2 intronic miR-483 selectively enhances transcription from IGF2 fetal promoters and enhances tumorigenesis. Genes Dev. 2013, 27, 2543–2548. [Google Scholar] [CrossRef] [PubMed]
- Stavast, C.J.; Erkeland, S.J. The Non-Canonical Aspects of MicroRNAs: Many Roads to Gene Regulation. Cells 2019, 8, 1465. [Google Scholar] [CrossRef]
- Nakano, K.; Vousden, K.H. PUMA, a novel proapoptotic gene, is induced by p53. Mol. Cell 2001, 7, 683–694. [Google Scholar] [CrossRef]
- Liang, K.; Jiang, Z.; Ding, B.Q.; Cheng, P.; Huang, D.K.; Tao, L.M. Expression of cell proliferation and apoptosis biomarkers in pterygia and normal conjunctiva. Mol. Vis. 2011, 17, 1687–1693. [Google Scholar]
- Turan, M.; Turan, G. Bcl-2, p53, and Ki-67 expression in pterygium and normal conjunctiva and their relationship with pterygium recurrence. Eur. J. Ophthalmol. 2020, 30, 1232–1237. [Google Scholar] [CrossRef]
- Sell, C.; Rubini, M.; Rubin, R.; Liu, J.P.; Efstratiadis, A.; Baserga, R. Simian virus 40 large tumor antigen is unable to transform mouse embryonic fibroblasts lacking type 1 insulin-like growth factor receptor. Proc. Natl. Acad. Sci. USA 1993, 90, 11217–11221. [Google Scholar] [CrossRef]
- Meng, X.; Wielockx, B.; Rauner, M.; Bozec, A. Hypoxia-Inducible Factors Regulate Osteoclasts in Health and Disease. Front. Cell Dev. Biol. 2021, 9, 658893. [Google Scholar] [CrossRef]
- Masoud, G.N.; Li, W. HIF-1α pathway: Role, regulation and intervention for cancer therapy. Acta Pharm Sin B 2015, 5, 378–389. [Google Scholar] [CrossRef] [PubMed]
- Somers, G.R.; Ho, M.; Pienkowska, M.; Shlien, A.; Malkin, D.; Ackerley, C.; Zielenska, M. IGF2 is highly expressed in pediatric undifferentiated sarcomas and reveals two distinct cytoplasmic trafficking patterns. Pediatr. Dev. Pathol. 2010, 13, 169–177. [Google Scholar] [CrossRef] [PubMed]
- Maxia, C.; Murtas, D.; Corrias, M.; Zucca, I.; Minerba, L.; Piras, F.; Marinelli, C.; Perra, M.T. Vitamin D and vitamin D receptor in patients with ophthalmic pterygium. Eur. J. Histochem 2017, 61, 2837. [Google Scholar] [CrossRef] [PubMed]
- Bandrowski, A.; Brush, M.; Grethe, J.S.; Haendel, M.A.; Kennedy, D.N.; Hill, S.; Hof, P.R.; Martone, M.E.; Pols, M.; Tan, S.C.; et al. RINL Resource Identification Initiative. The Resource Identification Initiative: A cultural shift in publishing. Brain Behav. 2015, 6, e00417. [Google Scholar] [CrossRef]
- Murtas, D.; Piras, F.; Minerba, L.; Maxia, C.; Ferreli, C.; Demurtas, P.; Lai, S.; Mura, E.; Corrias, M.; Sirigu, P.; et al. Activated Notch1 expression is associated with angiogenesis in cutaneous melanoma. Clin. Exp. Med. 2015, 15, 351–360. [Google Scholar] [CrossRef]
- Livak, K.J.; Schmittgen, T.D. Analysis of relative gene expression data using real-time quantitative PCR and the 2(-Delta Delta C(T)). Method Methods 2001, 25, 402–408. [Google Scholar] [CrossRef]
- Casula, E.; Contu, M.P.; Demontis, C.; Coghe, F.; Steri, G.C.; Scano, A.; Ferrando, M.L.; Orrù, G. Changes in the oral status and periodontal pathogens in a Sardinian rural community from pre-industrial to modern time. Sci. Rep. 2022, 12, 15895. [Google Scholar] [CrossRef]
- Orrù, G.; Scano, A.; Fais, S.; Loddo, M.; Carta, M.G.; Steri, G.C.; Santus, S.; Cappai, R.; Ferrando, M.L.; Coghe, F. Evaluation of “Caterina assay”: An Alternative Tool to the Commercialized Kits Used for Severe Acute Respiratory Syndrome Coronavirus 2 (SARS-CoV-2) Identification. Pathogens 2021, 10, 325. [Google Scholar] [CrossRef]






| IGF-1R+ | IGF-1R- | Total | |
|---|---|---|---|
| IGF-2+ | 34 | 11 | 45 |
| IGF-2- | 0 | 3 | 3 |
| Total | 34 | 14 | 48 |
| p = 0.021 |
| Patients’ Information | Pterygium (n. 52) | Conjunctiva (n. 15) | |
|---|---|---|---|
| Mean age (yrs) | 56.5 | 38.87 | |
| Age range (yrs) | 36–80 | 13–77 | |
| Sex (%) | Male | 42 (81%) | 9 (60%) |
| Female | 10 (19%) | 6 (40%) | |
| Location of the lesion (%) | Nasal side | 33 (63%) | |
| Temporal side | 19 (37%) | ||
| Grade (%) | Atrophic | 14 (27%) | |
| Intermediate | 29 (56%) | ||
| Fleshy | 9 (17%) | ||
| Disease stage (%) | Inflamed | 33 (63%) | |
| Quiescent | 19 (37%) |
| Target | Primary Antibody | Biotinylated Secondary Antibody | |||||
|---|---|---|---|---|---|---|---|
| Vendor | Origin | Dilution | Incubation | Antigen Retrieval | RRID * | ||
| IGF-2 | Thermo Fisher Scientific | Mouse (mc) (clone 8H1) | 1:200 | 1 h RT | HIER | AB_2538567 | Horse anti-mouse IgG 1 |
| IGF-1R | Abcam | Rabbit (pc) | 1:100 | 1 h RT | n.r. | AB_731541 | Goat anti-rabbit IgG 1 |
| Oligo/Probe Name | Sequence 5′ → 3′ | Position | Length/Tm °C |
|---|---|---|---|
| miR-483 gene expression a | |||
| OG 686 Mir-483-F | GAGGGGGAAGACGGGAGG | 32001 | 18/54.0 |
| OG 687 Mir-483-R | GAGAGGAGAAGACGGGAGGA | 32057 | 20/50.7 |
| OG 688 TaqMan Mir-483 Probe | Fam-GGCGTGATGGAACCACTCCCT-BHQ-1 | 32024 | 21/58.3 |
| IGF-2 gene expression a | |||
| OG689 (IGF-2) F | GGACAACTTCCCCAGATACCCC | 1696 | 22/56 |
| OG690 (IGF-2) R | TCACTTCCGATTGCTGGCCA | 1914 | 20/57.2 |
| SYBR Green Probe | |||
| Housekeeping gene (β-actin) b | |||
| OG650(Beta-act) F | GCATGGGTCAGAAGG | 221 | 15/51.8 |
| OG651(Beta-act) R | AGGCGTACAGGGATAG | 502 | 16/51.2 |
| SYBR Green Probe |
Disclaimer/Publisher’s Note: The statements, opinions and data contained in all publications are solely those of the individual author(s) and contributor(s) and not of MDPI and/or the editor(s). MDPI and/or the editor(s) disclaim responsibility for any injury to people or property resulting from any ideas, methods, instructions or products referred to in the content. |
© 2023 by the authors. Licensee MDPI, Basel, Switzerland. This article is an open access article distributed under the terms and conditions of the Creative Commons Attribution (CC BY) license (https://creativecommons.org/licenses/by/4.0/).
Share and Cite
Maxia, C.; Isola, M.; Grecu, E.; Cuccu, A.; Scano, A.; Orrù, G.; Di Girolamo, N.; Diana, A.; Murtas, D. Synergic Action of Insulin-like Growth Factor-2 and miRNA-483 in Pterygium Pathogenesis. Int. J. Mol. Sci. 2023, 24, 4329. https://doi.org/10.3390/ijms24054329
Maxia C, Isola M, Grecu E, Cuccu A, Scano A, Orrù G, Di Girolamo N, Diana A, Murtas D. Synergic Action of Insulin-like Growth Factor-2 and miRNA-483 in Pterygium Pathogenesis. International Journal of Molecular Sciences. 2023; 24(5):4329. https://doi.org/10.3390/ijms24054329
Chicago/Turabian StyleMaxia, Cristina, Michela Isola, Eleonora Grecu, Alberto Cuccu, Alessandra Scano, Germano Orrù, Nick Di Girolamo, Andrea Diana, and Daniela Murtas. 2023. "Synergic Action of Insulin-like Growth Factor-2 and miRNA-483 in Pterygium Pathogenesis" International Journal of Molecular Sciences 24, no. 5: 4329. https://doi.org/10.3390/ijms24054329
APA StyleMaxia, C., Isola, M., Grecu, E., Cuccu, A., Scano, A., Orrù, G., Di Girolamo, N., Diana, A., & Murtas, D. (2023). Synergic Action of Insulin-like Growth Factor-2 and miRNA-483 in Pterygium Pathogenesis. International Journal of Molecular Sciences, 24(5), 4329. https://doi.org/10.3390/ijms24054329

