The Plant Derived 3-3′-Diindolylmethane (DIM) Behaves as CB2 Receptor Agonist in Prostate Cancer Cellular Models
Abstract
1. Introduction
2. Results
2.1. DIM Is a CB2 Receptor Agonist in Both PC3 and LNCaP Cells
2.2. DIM Induces an Antiproliferative Effect through CB2 Receptor Stimulation Only in PC3 Cells
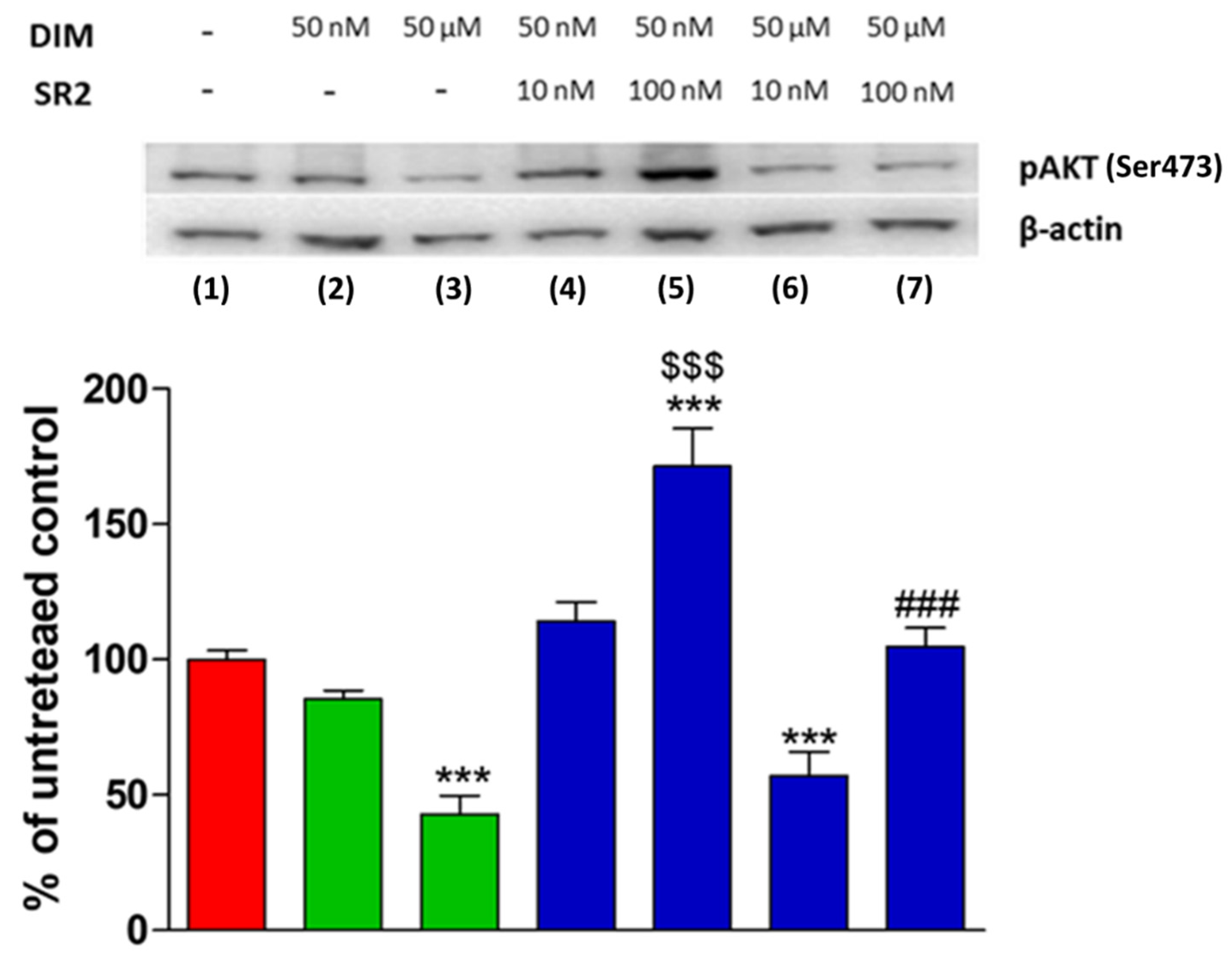
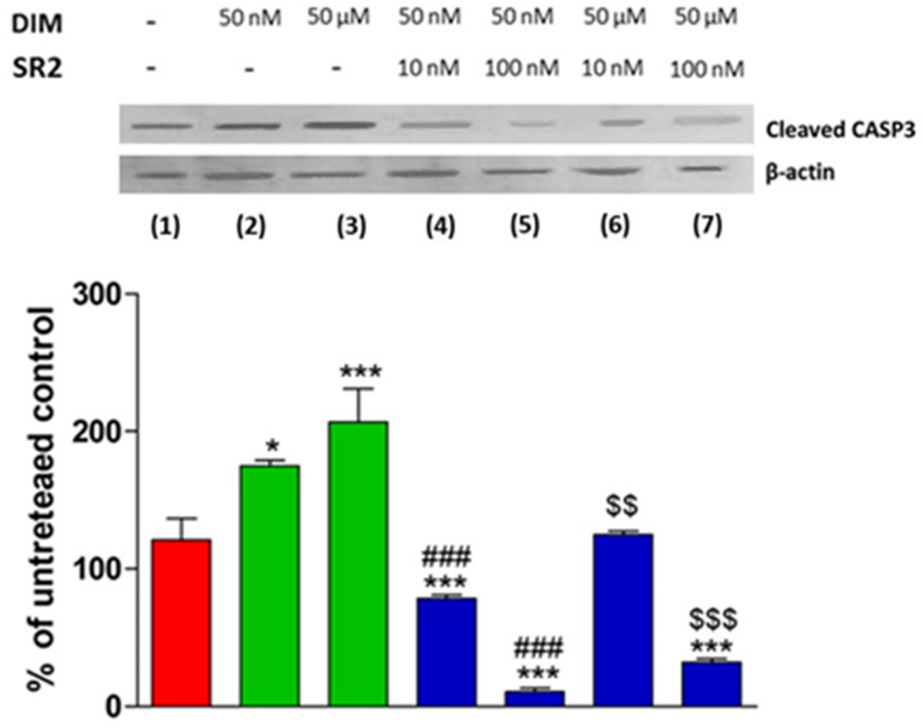
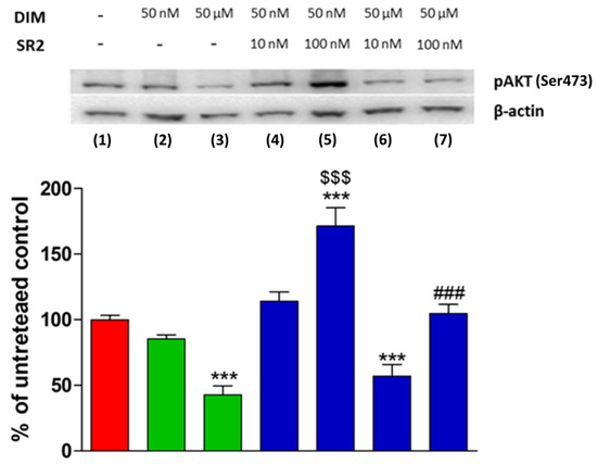
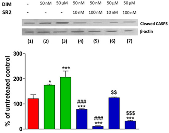
2.3. DIM Induces Changes in pAKT (Reduction) and Cleaved-CASP-3 (Increase) Levels through CB2 Receptor Stimulation in PC3 Cell Line
3. Discussion
4. Materials and Methods
4.1. Culturing and Treatment of Cells
4.2. Biochemical Reagents
4.3. Membrane Preparation
4.4. [35S]GTPγS-Binding Assays
4.5. Cyclic AMP Assay
4.6. Cell Viability Assay
4.7. Protein Analysis
4.8. Data Analysis
5. Conclusions
Author Contributions
Funding
Informed Consent Statement
Data Availability Statement
Acknowledgments
Conflicts of Interest
References
- Tucci, P.; Bove, M.; Sikora, V.; Dimonte, S.; Morgese, M.G.; Schiavone, S.; Di Cesare Mannelli, L.; Ghelardini, C.; Trabace, L. Glucoraphanin Triggers Rapid Antidepressant Responses in a Rat Model of Beta Amyloid-Induced Depressive-like Behaviour. Pharmaceuticals 2022, 15, 1054. [Google Scholar] [CrossRef]
- Ibrahim, N.; Allart-Simon, I.; De Nicola, G.R.; Iori, R.; Renault, J.-H.; Rollin, P.; Nuzillard, J.-M. Advanced NMR-Based Structural Investigation of Glucosinolates and Desulfoglucosinolates. J. Nat. Prod. 2018, 81, 323–334. [Google Scholar] [CrossRef]
- Fuentes, F.; Paredes-Gonzalez, X.; Kong, A.-N.T. Dietary Glucosinolates Sulforaphane, Phenethyl Isothiocyanate, Indole-3-Carbinol/3,3’-Diindolylmethane: Anti-Oxidative Stress/Inflammation, Nrf2, Epigenetics/Epigenomics and In Vivo Cancer Chemopreventive Efficacy. Curr. Pharmacol. Rep. 2015, 1, 179–196. [Google Scholar] [CrossRef] [PubMed]
- Armeli, F.; Bonucci, A.; Maggi, E.; Pinto, A.; Businaro, R. Mediterranean Diet and Neurodegenerative Diseases: The Neglected Role of Nutrition in the Modulation of the Endocannabinoid System. Biomolecules 2021, 11, 790. [Google Scholar] [CrossRef]
- Vang, O. Chemopreventive Potential of Compounds in Cruciferous Vegetables. In Carcinogenic and Anticarcinogenic Food Components; Baer-Dubowska, W., Bartoszek, A., Malejka-Giganti, D., Eds.; CRC Press: Boca Raton, FL, USA, 2005; pp. 303–328. ISBN 978-0-8493-2096-5. [Google Scholar]
- Licznerska, B.; Baer-Dubowska, W. Indole-3-Carbinol and Its Role in Chronic Diseases. In Anti-inflammatory Nutraceuticals and Chronic Diseases; Gupta, S.C., Prasad, S., Aggarwal, B.B., Eds.; Advances in Experimental Medicine and Biology; Springer International Publishing: Cham, Switzerland, 2016; Volume 928, pp. 131–154. ISBN 978-3-319-41332-7. [Google Scholar]
- Anderton, M.J.; Manson, M.M.; Verschoyle, R.D.; Gescher, A.; Lamb, J.H.; Farmer, P.B.; Steward, W.P.; Williams, M.L. Pharmacokinetics and Tissue Disposition of Indole-3-Carbinol and Its Acid Condensation Products after Oral Administration to Mice. Clin. Cancer Res. 2004, 10, 5233–5241. [Google Scholar] [CrossRef]
- Anderton, M.J.; Manson, M.M.; Verschoyle, R.; Gescher, A.; Steward, W.P.; Williams, M.L.; Mager, D.E. Physiological Modeling of Formulated and Crystalline 3,3’-Diindolylmethane Pharmacokinetics Following Oral Administration in Mice. Drug Metab. Dispos. 2004, 32, 632–638. [Google Scholar] [CrossRef] [PubMed]
- Fujioka, N.; Ainslie-Waldman, C.E.; Upadhyaya, P.; Carmella, S.G.; Fritz, V.A.; Rohwer, C.; Fan, Y.; Rauch, D.; Le, C.; Hatsukami, D.K.; et al. Urinary 3,3’-Diindolylmethane: A Biomarker of Glucobrassicin Exposure and Indole-3-Carbinol Uptake in Humans. Cancer Epidemiol Biomarkers Prev 2014, 23, 282–287. [Google Scholar] [CrossRef] [PubMed]
- Reed, G.A.; Arneson, D.W.; Putnam, W.C.; Smith, H.J.; Gray, J.C.; Sullivan, D.K.; Mayo, M.S.; Crowell, J.A.; Hurwitz, A. Single-Dose and Multiple-Dose Administration of Indole-3-Carbinol to Women: Pharmacokinetics Based on 3,3’-Diindolylmethane. Cancer Epidemiol. Biomarkers Prev. 2006, 15, 2477–2481. [Google Scholar] [CrossRef]
- Zhang, W.W.; Feng, Z.; Narod, S.A. Multiple Therapeutic and Preventive Effects of 3,3’-Diindolylmethane on Cancers Including Prostate Cancer and High Grade Prostatic Intraepithelial Neoplasia. J. Biomed. Res. 2014, 28, 339–348. [Google Scholar] [CrossRef]
- Wang, S.; Cheng, L.; Liu, Y.; Wang, J.; Jiang, W. Indole-3-Carbinol (I3C) and Its Major Derivatives: Their Pharmacokinetics and Important Roles in Hepatic Protection. Curr. Drug Metab. 2016, 17, 401–409. [Google Scholar] [CrossRef]
- Li, Y.; Kong, D.; Ahmad, A.; Bao, B.; Sarkar, F.H. Antioxidant Function of Isoflavone and 3,3’-Diindolylmethane: Are They Important for Cancer Prevention and Therapy? Antioxid. Redox Signal. 2013, 19, 139–150. [Google Scholar] [CrossRef]
- Hayes, J.D.; Kelleher, M.O.; Eggleston, I.M. The Cancer Chemopreventive Actions of Phytochemicals Derived from Glucosinolates. Eur. J. Nutr. 2008, 47 (Suppl. 2), 73–88. [Google Scholar] [CrossRef] [PubMed]
- Jemal, A.; Bray, F.; Center, M.M.; Ferlay, J.; Ward, E.; Forman, D. Global Cancer Statistics. CA Cancer J. Clin. 2011, 61, 69–90. [Google Scholar] [CrossRef]
- Tannock, I.F. Improving Treatment for Advanced Prostate Cancer. N. Engl. J. Med. 2019, 381, 176–177. [Google Scholar] [CrossRef]
- Le, H.T.; Schaldach, C.M.; Firestone, G.L.; Bjeldanes, L.F. Plant-Derived 3,3’-Diindolylmethane Is a Strong Androgen Antagonist in Human Prostate Cancer Cells. J. Biol. Chem. 2003, 278, 21136–21145. [Google Scholar] [CrossRef]
- Chen, I.; Safe, S.; Bjeldanes, L. Indole-3-Carbinol and Diindolylmethane as Aryl Hydrocarbon (Ah) Receptor Agonists and Antagonists in T47D Human Breast Cancer Cells. Biochem. Pharmacol. 1996, 51, 1069–1076. [Google Scholar] [CrossRef]
- Chen, I.; McDougal, A.; Wang, F.; Safe, S. Aryl Hydrocarbon Receptor-Mediated Antiestrogenic and Antitumorigenic Activity of Diindolylmethane. Carcinogenesis 1998, 19, 1631–1639. [Google Scholar] [CrossRef] [PubMed]
- Li, Y.; Li, X.; Sarkar, F.H. Gene Expression Profiles of I3C- and DIM-Treated PC3 Human Prostate Cancer Cells Determined by CDNA Microarray Analysis. J. Nutr. 2003, 133, 1011–1019. [Google Scholar] [CrossRef] [PubMed]
- Paltsev, M.; Kiselev, V.; Drukh, V.; Muyzhnek, E.; Kuznetsov, I.; Andrianova, E.; Baranovskiy, P. First Results of the Double-Blind Randomized Placebo-Controlled Multicenter Clinical Trial of DIM-Based Therapy Designed as Personalized Approach to Reverse Prostatic Intraepithelial Neoplasia (PIN). EPMA J. 2016, 7, 5. [Google Scholar] [CrossRef]
- Yin, H.; Chu, A.; Li, W.; Wang, B.; Shelton, F.; Otero, F.; Nguyen, D.G.; Caldwell, J.S.; Chen, Y.A. Lipid G Protein-Coupled Receptor Ligand Identification Using Beta-Arrestin PathHunter Assay. J. Biol. Chem. 2009, 284, 12328–12338. [Google Scholar] [CrossRef]
- Ramer, R.; Schwarz, R.; Hinz, B. Modulation of the Endocannabinoid System as a Potential Anticancer Strategy. Front. Pharmacol. 2019, 10, 430. [Google Scholar] [CrossRef] [PubMed]
- Schmid, P.C.; Wold, L.E.; Krebsbach, R.J.; Berdyshev, E.V.; Schmid, H.H.O. Anandamide and Other N-Acylethanolamines in Human Tumors. Lipids 2002, 37, 907–912. [Google Scholar] [CrossRef]
- Pagano, C.; Navarra, G.; Coppola, L.; Bifulco, M.; Laezza, C. Molecular Mechanism of Cannabinoids in Cancer Progression. Int. J. Mol. Sci. 2021, 22, 3680. [Google Scholar] [CrossRef] [PubMed]
- Díaz-Laviada, I. The Endocannabinoid System in Prostate Cancer. Nat. Rev. Urol. 2011, 8, 553–561. [Google Scholar] [CrossRef]
- Singh, K.; Nassar, N.; Bachari, A.; Schanknecht, E.; Telukutla, S.; Zomer, R.; Piva, T.J.; Mantri, N. The Pathophysiology and the Therapeutic Potential of Cannabinoids in Prostate Cancer. Cancers 2021, 13, 4107. [Google Scholar] [CrossRef] [PubMed]
- Orellana-Serradell, O.; Poblete, C.E.; Sanchez, C.; Castellón, E.A.; Gallegos, I.; Huidobro, C.; Llanos, M.N.; Contreras, H.R. Proapoptotic Effect of Endocannabinoids in Prostate Cancer Cells. Oncol. Rep. 2015, 33, 1599–1608. [Google Scholar] [CrossRef]
- Sampson, N.; Neuwirt, H.; Puhr, M.; Klocker, H.; Eder, I.E. In Vitro Model Systems to Study Androgen Receptor Signaling in Prostate Cancer. Endocr.-Relat. Cancer 2013, 20, R49–R64. [Google Scholar] [CrossRef]
- Brown, I.; Cascio, M.G.; Wahle, K.W.J.; Smoum, R.; Mechoulam, R.; Ross, R.A.; Pertwee, R.G.; Heys, S.D. Cannabinoid Receptor-Dependent and -Independent Anti-Proliferative Effects of Omega-3 Ethanolamides in Androgen Receptor-Positive and -Negative Prostate Cancer Cell Lines. Carcinogenesis 2010, 31, 1584–1591. [Google Scholar] [CrossRef]
- Bolognini, D.; Cascio, M.G.; Parolaro, D.; Pertwee, R.G. AM630 Behaves as a Protean Ligand at the Human Cannabinoid CB2 Receptor. Br. J. Pharmacol. 2012, 165, 2561–2574. [Google Scholar] [CrossRef]
- Marini, P.; Cascio, M.-G.; King, A.; Pertwee, R.G.; Ross, R.A. Characterization of Cannabinoid Receptor Ligands in Tissues Natively Expressing Cannabinoid CB2 Receptors. Br. J. Pharmacol. 2013, 169, 887–899. [Google Scholar] [CrossRef]
- Fong, T.M. Measurement of Inverse Agonism of the Cannabinoid Receptors. In Methods in Enzymology; Elsevier: Amsterdam, The Netherlands, 2010; Volume 485, pp. 139–145. ISBN 978-0-12-381296-4. [Google Scholar]
- Shorning, B.Y.; Dass, M.S.; Smalley, M.J.; Pearson, H.B. The PI3K-AKT-MTOR Pathway and Prostate Cancer: At the Crossroads of AR, MAPK, and WNT Signaling. Int. J. Mol. Sci. 2020, 21, 4507. [Google Scholar] [CrossRef]
- Wang, J.; Xu, J.; Peng, Y.; Xiao, Y.; Zhu, H.; Ding, Z.-M.; Hua, H. Phosphorylation of Extracellular Signal-Regulated Kinase as a Biomarker for Cannabinoid Receptor 2 Activation. Heliyon 2018, 4, e00909. [Google Scholar] [CrossRef] [PubMed]
- Louka, S.; Neophytou, C.; Constantinou, A. Abstract 4030: Synthetic Cannabinoids AM-251 and AM-1241 Induce Cell Death in Prostate Cancer Cells. Cancer Res. 2020, 80, 4030. [Google Scholar] [CrossRef]
- Marques, R.B.; Aghai, A.; de Ridder, C.M.A.; Stuurman, D.; Hoeben, S.; Boer, A.; Ellston, R.P.; Barry, S.T.; Davies, B.R.; Trapman, J.; et al. High Efficacy of Combination Therapy Using PI3K/AKT Inhibitors with Androgen Deprivation in Prostate Cancer Preclinical Models. Eur. Urol. 2015, 67, 1177–1185. [Google Scholar] [CrossRef] [PubMed]
- Lotan, T.L.; Gurel, B.; Sutcliffe, S.; Esopi, D.; Liu, W.; Xu, J.; Hicks, J.L.; Park, B.H.; Humphreys, E.; Partin, A.W.; et al. PTEN Protein Loss by Immunostaining: Analytic Validation and Prognostic Indicator for a High Risk Surgical Cohort of Prostate Cancer Patients. Clin. Cancer Res. 2011, 17, 6563–6573. [Google Scholar] [CrossRef] [PubMed]
- Wang, X.; Zhao, Y.; Yu, M.; Xu, Y. PTEN/Akt Signaling-Mediated Activation of the Mitochondrial Pathway Contributes to the 3,3′-Diindolylmethane-Mediated Antitumor Effect in Malignant Melanoma Cells. J. Med. Food 2020, 23, 1248–1258. [Google Scholar] [CrossRef]
- Mulholland, D.J.; Tran, L.M.; Li, Y.; Cai, H.; Morim, A.; Wang, S.; Plaisier, S.; Garraway, I.P.; Huang, J.; Graeber, T.G.; et al. Cell Autonomous Role of PTEN in Regulating Castration-Resistant Prostate Cancer Growth. Cancer Cell 2011, 19, 792–804. [Google Scholar] [CrossRef]
- Carver, B.S.; Chapinski, C.; Wongvipat, J.; Hieronymus, H.; Chen, Y.; Chandarlapaty, S.; Arora, V.K.; Le, C.; Koutcher, J.; Scher, H.; et al. Reciprocal Feedback Regulation of PI3K and Androgen Receptor Signaling in PTEN-Deficient Prostate Cancer. Cancer Cell 2011, 19, 575–586. [Google Scholar] [CrossRef]
- Sailer, V.; von Amsberg, G.; Duensing, S.; Kirfel, J.; Lieb, V.; Metzger, E.; Offermann, A.; Pantel, K.; Schuele, R.; Taubert, H.; et al. Experimental in Vitro, Ex Vivo and in Vivo Models in Prostate Cancer Research. Nat. Rev. Urol. 2022; Online ahead of print. [Google Scholar] [CrossRef]
- Savino, J.A.; Evans, J.F.; Rabinowitz, D.; Auborn, K.J.; Carter, T.H. Multiple, Disparate Roles for Calcium Signaling in Apoptosis of Human Prostate and Cervical Cancer Cells Exposed to Diindolylmethane. Mol. Cancer Ther. 2006, 5, 556–563. [Google Scholar] [CrossRef]
- Chen, D.; Banerjee, S.; Cui, Q.C.; Kong, D.; Sarkar, F.H.; Dou, Q.P. Activation of AMP-Activated Protein Kinase by 3,3′-Diindolylmethane (DIM) Is Associated with Human Prostate Cancer Cell Death In Vitro and In Vivo. PLoS ONE 2012, 7, e47186. [Google Scholar] [CrossRef]
- Sarfaraz, S.; Afaq, F.; Adhami, V.M.; Mukhtar, H. Cannabinoid Receptor as a Novel Target for the Treatment of Prostate Cancer. Cancer Res. 2005, 65, 1635–1641. [Google Scholar] [CrossRef] [PubMed]
- Olea-Herrero, N.; Vara, D.; Malagarie-Cazenave, S.; Díaz-Laviada, I. Inhibition of Human Tumour Prostate PC-3 Cell Growth by Cannabinoids R(+)-Methanandamide and JWH-015: Involvement of CB2. Br. J. Cancer 2009, 101, 940–950. [Google Scholar] [CrossRef]
- Guzmán, M.; Galve-Roperh, I.; Sánchez, C. Ceramide: A New Second Messenger of Cannabinoid Action. Trends Pharmacol. Sci. 2001, 22, 19–22. [Google Scholar] [CrossRef]
- Nachshon-Kedmi, M.; Yannai, S.; Fares, F.A. Induction of Apoptosis in Human Prostate Cancer Cell Line, PC3, by 3,3′-Diindolylmethane through the Mitochondrial Pathway. Br. J. Cancer 2004, 91, 1358–1363. [Google Scholar] [CrossRef]
- Zhang, R.; Xie, X. Tools for GPCR Drug Discovery. Acta Pharmacol. Sin. 2012, 33, 372–384. [Google Scholar] [CrossRef]
- Park, S.; Kim, Y.S.; Kim, D.Y.; So, I.; Jeon, J.-H. PI3K Pathway in Prostate Cancer: All Resistant Roads Lead to PI3K. Biochim. Biophys. Acta (BBA) Rev. Cancer 2018, 1870, 198–206. [Google Scholar] [CrossRef] [PubMed]
- Trapika, I.G.M.G.S.C.; Liu, X.T.; Chung, L.H.; Lai, F.; Xie, C.; Zhao, Y.; Cui, S.; Chen, J.; Tran, C.; Wang, Q.; et al. Ceramide Regulates Anti-Tumor Mechanisms of Erianin in Androgen-Sensitive and Castration-Resistant Prostate Cancers. Front. Oncol. 2021, 11, 738078. [Google Scholar] [CrossRef]
- Patel, A.R.; Spencer, S.D.; Chougule, M.B.; Safe, S.; Singh, M. Pharmacokinetic Evaluation and In Vitro–In Vivo Correlation (IVIVC) of Novel Methylene-Substituted 3,3′ Diindolylmethane (DIM). Eur. J. Pharm. Sci. 2012, 46, 8–16. [Google Scholar] [CrossRef] [PubMed]
- Ross, R.A.; Brockie, H.C.; Stevenson, L.A.; Murphy, V.L.; Templeton, F.; Makriyannis, A.; Pertwee, R.G. Agonist-Inverse Agonist Characterization at CB1 and CB2 Cannabinoid Receptors of L759633, L759656, and AM630. Br. J. Pharmacol. 1999, 126, 665–672. [Google Scholar] [CrossRef] [PubMed]
- Thomas, A.; Ross, R.A.; Saha, B.; Mahadevan, A.; Razdan, R.K.; Pertwee, R.G. 6″-Azidohex-2″-Yne-Cannabidiol: A Potential Neutral, Competitive Cannabinoid CB1 Receptor Antagonist. Eur. J. Pharmacol. 2004, 487, 213–221. [Google Scholar] [CrossRef] [PubMed]
- Kurkinen, K.M.; Koistinaho, J.; Laitinen, J.T. [Gamma-35S]GTP Autoradiography Allows Region-Specific Detection of Muscarinic Receptor-Dependent G-Protein Activation in the Chick Optic Tectum. Brain Res. 1997, 769, 21–28. [Google Scholar] [CrossRef] [PubMed]
- Breivogel, C.S.; Griffin, G.; Di Marzo, V.; Martin, B.R. Evidence for a New G Protein-Coupled Cannabinoid Receptor in Mouse Brain. Mol. Pharmacol. 2001, 60, 155–163. [Google Scholar] [CrossRef]
- Marini, P.; Cascio, M.G.; Pertwee, R.G. The Cyclic AMP Assay Using Human Cannabinoid CB2 Receptor-Transfected Cells. Methods Mol. Biol. 2016, 1412, 85–93. [Google Scholar] [CrossRef] [PubMed]
- Tai, S.; Sun, Y.; Squires, J.M.; Zhang, H.; Oh, W.K.; Liang, C.-Z.; Huang, J. PC3 Is a Cell Line Characteristic of Prostatic Small Cell Carcinoma. Prostate 2011, 71, 1668–1679. [Google Scholar] [CrossRef]
- Formaggio, N.; Rubin, M.A.; Theurillat, J.-P. Loss and Revival of Androgen Receptor Signaling in Advanced Prostate Cancer. Oncogene 2021, 40, 1205–1216. [Google Scholar] [CrossRef]
- Chang, X.; Firestone, G.L.; Bjeldanes, L.F. Inhibition of Growth Factor-Induced Ras Signaling in Vascular Endothelial Cells and Angiogenesis by 3,3’-Diindolylmethane. Carcinogenesis 2006, 27, 541–550. [Google Scholar] [CrossRef]






Disclaimer/Publisher’s Note: The statements, opinions and data contained in all publications are solely those of the individual author(s) and contributor(s) and not of MDPI and/or the editor(s). MDPI and/or the editor(s) disclaim responsibility for any injury to people or property resulting from any ideas, methods, instructions or products referred to in the content. |
© 2023 by the authors. Licensee MDPI, Basel, Switzerland. This article is an open access article distributed under the terms and conditions of the Creative Commons Attribution (CC BY) license (https://creativecommons.org/licenses/by/4.0/).
Share and Cite
Tucci, P.; Brown, I.; Bewick, G.S.; Pertwee, R.G.; Marini, P. The Plant Derived 3-3′-Diindolylmethane (DIM) Behaves as CB2 Receptor Agonist in Prostate Cancer Cellular Models. Int. J. Mol. Sci. 2023, 24, 3620. https://doi.org/10.3390/ijms24043620
Tucci P, Brown I, Bewick GS, Pertwee RG, Marini P. The Plant Derived 3-3′-Diindolylmethane (DIM) Behaves as CB2 Receptor Agonist in Prostate Cancer Cellular Models. International Journal of Molecular Sciences. 2023; 24(4):3620. https://doi.org/10.3390/ijms24043620
Chicago/Turabian StyleTucci, Paolo, Iain Brown, Guy S. Bewick, Roger G. Pertwee, and Pietro Marini. 2023. "The Plant Derived 3-3′-Diindolylmethane (DIM) Behaves as CB2 Receptor Agonist in Prostate Cancer Cellular Models" International Journal of Molecular Sciences 24, no. 4: 3620. https://doi.org/10.3390/ijms24043620
APA StyleTucci, P., Brown, I., Bewick, G. S., Pertwee, R. G., & Marini, P. (2023). The Plant Derived 3-3′-Diindolylmethane (DIM) Behaves as CB2 Receptor Agonist in Prostate Cancer Cellular Models. International Journal of Molecular Sciences, 24(4), 3620. https://doi.org/10.3390/ijms24043620

