Constitutive Androstane Receptor Agonist, TCPOBOP: Maternal Exposure Impairs the Growth and Development of Female Offspring in Mice
Abstract
1. Introduction
2. Results
2.1. Maternal TC Exposure Lowers Body Weight and Reproductive Organ Weight in F1 Offspring Females
2.2. Maternal TC Exposure Increases the Expression of Hepatic Drug-Metabolizing Enzymes in Female Offspring Mice
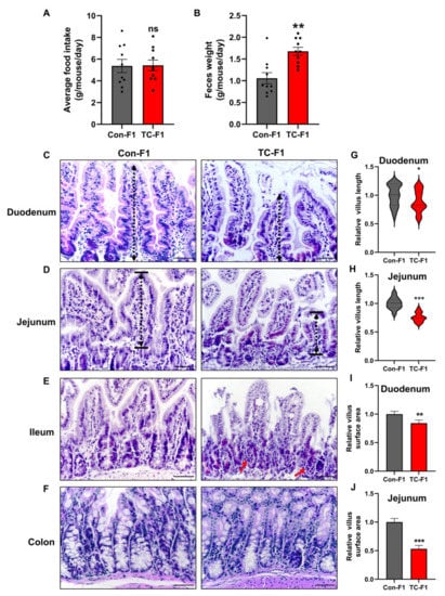
2.3. Maternal TC Exposure Leads to Nutrient Malabsorption in Offspring
2.4. Maternal TC Exposure Compromises the Intestinal Mucosal Barrier of Offspring
2.5. Maternal TC Exposure Impairs Lipid Absorption within the Small Intestine of Offspring
2.6. Maternal TC Exposure Triggers Intestinal Inflammation and Oxidative Stress in Offspring
3. Discussion
4. Materials and Methods
4.1. Animals and Experimental Design
4.2. Serum Biochemical Analysis
4.3. Antioxidant Activity Assay
4.4. Plasma Fluorescent Measurement
4.5. Urine D-Xylose Content Assay
4.6. Histological Analysis
4.7. Gene Expression Analysis
4.8. Western Blot Analysis
4.9. Statistical Analysis
5. Conclusions
Supplementary Materials
Author Contributions
Funding
Institutional Review Board Statement
Informed Consent Statement
Data Availability Statement
Acknowledgments
Conflicts of Interest
References
- Brown, A.S. The environment and susceptibility to schizophrenia. Prog. Neurobiol. 2011, 93, 23–58. [Google Scholar] [CrossRef] [PubMed]
- Kruk, M.E.; Gage, A.D.; Arsenault, C.; Jordan, K.; Leslie, H.H.; Roder-DeWan, S.; Adeyi, O.; Barker, P.; Daelmans, B.; Doubova, S.V.; et al. High-quality health systems in the Sustainable Development Goals era: Time for a revolution. Lancet Glob. Health 2018, 6, e1196–e1252. [Google Scholar] [CrossRef] [PubMed]
- Lauriola, P.; Crabbe, H.; Behbod, B.; Yip, F.; Medina, S.; Semenza, J.C.; Vardoulakis, S.; Kass, D.; Zeka, A.; Khonelidze, I.; et al. Advancing Global Health through Environmental and Public Health Tracking. Int. J. Environ. Res. Public Health 2020, 17, 1976. [Google Scholar] [CrossRef] [PubMed]
- Manisalidis, I.; Stavropoulou, E.; Stavropoulos, A.; Bezirtzoglou, E. Environmental and Health Impacts of Air Pollution: A Review. Front. Public Health 2020, 8, 14. [Google Scholar] [CrossRef] [PubMed]
- Orru, H.; Ebi, K.L.; Forsberg, B. The Interplay of Climate Change and Air Pollution on Health. Curr. Environ. Health Rep. 2017, 4, 504–513. [Google Scholar] [CrossRef]
- American College of Obstetricians and Gynecologists; Committee on Obstetric Practice. Reducing Prenatal Exposure to Toxic Environmental Agents: ACOG Committee Opinion Summary, Number 832. Obstet. Gynecol. 2021, 138, 170–171. [Google Scholar] [CrossRef]
- No, A.C.O. Exposure to toxic environmental agents. Fertil. Steril. 2013, 100, 931–934. [Google Scholar]
- El Hajj, N.; Schneider, E.; Lehnen, H.; Haaf, T. Epigenetics and life-long consequences of an adverse nutritional and diabetic intrauterine environment. Reproduction 2014, 148, R111–R120. [Google Scholar] [CrossRef]
- Kubota, T.; Miyake, K.; Hirasawa, T. Epigenetic understanding of gene-environment interactions in psychiatric disorders: A new concept of clinical genetics. Clin. Epigenet. 2012, 4, 1. [Google Scholar] [CrossRef]
- Liu, L.; Li, Y.; Tollefsbol, T.O. Gene-environment interactions and epigenetic basis of human diseases. Curr. Issues Mol. Biol. 2008, 10, 25–36. [Google Scholar]
- Trerotola, M.; Relli, V.; Simeone, P.; Alberti, S. Epigenetic inheritance and the missing heritability. Hum. Genom. 2015, 9, 17. [Google Scholar] [CrossRef]
- Schulman, I.G. Nuclear receptors as drug targets for metabolic disease. Adv. Drug Deliv. Rev. 2010, 62, 1307–1315. [Google Scholar] [CrossRef]
- Swanson, H.I.; Wada, T.; Xie, W.; Renga, B.; Zampella, A.; Distrutti, E.; Fiorucci, S.; Kong, B.; Thomas, A.M.; Guo, G.L.; et al. Role of nuclear receptors in lipid dysfunction and obesity-related diseases. Drug Metab. Dispos. 2013, 41, 1–11. [Google Scholar] [CrossRef]
- Ashrap, P.; Zheng, G.M.; Wan, Y.; Li, T.; Hu, W.X.; Li, W.J.; Zhang, H.; Zhang, Z.B.; Hu, J.Y. Discovery of a widespread metabolic pathway within and among phenolic xenobiotics. Proc. Natl. Acad. Sci. USA 2017, 114, 6062–6067. [Google Scholar] [CrossRef]
- Baldwin, W.S.; Roling, J.A. A Concentration Addition Model for the Activation of the Constitutive Androstane Receptor by Xenobiotic Mixtures. Toxicol. Sci. 2009, 107, 93–105. [Google Scholar] [CrossRef]
- Chang, T.K.H.; Waxman, D.J. Synthetic drugs and natural products as modulators of constitutive androstane receptor (CAR) and pregnane X receptor (PXR). Drug Metab. Rev. 2006, 38, 51–73. [Google Scholar] [CrossRef]
- DeKeyser, J.G.; Laurenzana, E.M.; Peterson, E.C.; Chen, T.; Omiecinski, C.J. Selective Phthalate Activation of Naturally Occurring Human Constitutive Androstane Receptor Splice Variants and the Pregnane X Receptor. Toxicol. Sci. 2011, 120, 381–391. [Google Scholar] [CrossRef]
- Ito, Y.; Nakamura, T.; Yanagiba, Y.; Ramdhan, D.H.; Yamagishi, N.; Naito, H.; Kamijima, M.; Gonzalez, F.J.; Nakajima, T. Plasticizers May Activate Human Hepatic Peroxisome Proliferator-Activated Receptor alpha Less Than That of a Mouse but May Activate Constitutive Androstane Receptor in Liver. PPAR Res. 2012, 2012, 201284. [Google Scholar] [CrossRef]
- Laurenzana, E.M.; Coslo, D.M.; Vigilar, M.V.; Roman, A.M.; Omiecinski, C.J. Activation of the Constitutive Androstane Receptor by Monophthalates. Chem. Res. Toxicol. 2016, 29, 1651–1661. [Google Scholar] [CrossRef]
- Oshida, K.; Vasani, N.; Jones, C.; Moore, T.; Hester, S.; Nesnow, S.; Auerbach, S.; Geter, D.R.; Aleksunes, L.M.; Thomas, R.S.; et al. Identification of chemical modulators of the constitutive activated receptor (CAR) in a gene expression compendium. Nucl. Recept. Signal 2015, 13, e002. [Google Scholar] [CrossRef]
- Ren, H.; Aleksunes, L.M.; Wood, C.; Vallanat, B.; George, M.H.; Klaassen, C.D.; Corton, J.C. Characterization of peroxisome proliferator-activated receptor alpha--independent effects of PPARalpha activators in the rodent liver: Di-(2-ethylhexyl) phthalate also activates the constitutive-activated receptor. Toxicol. Sci. 2010, 113, 45–59. [Google Scholar] [CrossRef] [PubMed]
- Rooney, J.P.; Oshida, K.; Kumar, R.; Baldwin, W.S.; Corton, J.C. Chemical Activation of the Constitutive Androstane Receptor Leads to Activation of Oxidant-Induced Nrf2. Toxicol. Sci. 2019, 167, 172–189. [Google Scholar] [CrossRef] [PubMed]
- Dong, B.; Saha, P.K.; Huang, W.D.; Chen, W.L.; Abu-Elheiga, L.A.; Wakil, S.J.; Stevens, R.D.; Ilkayeva, O.; Newgard, C.B.; Chan, L.; et al. Activation of nuclear receptor CAR ameliorates diabetes and fatty liver disease. Proc. Natl. Acad. Sci. USA 2009, 106, 18831–18836. [Google Scholar] [CrossRef] [PubMed]
- Gao, J.; He, J.H.; Zhai, Y.G.; Wada, T.R.; Xie, W. The Constitutive Androstane Receptor Is an Anti-obesity Nuclear Receptor That Improves Insulin Sensitivity. J. Biol. Chem. 2009, 284, 25984–25992. [Google Scholar] [CrossRef] [PubMed]
- Marmugi, A.; Lukowicz, C.; Lasserre, F.; Montagner, A.; Polizzi, A.; Ducheix, S.; Goron, A.; Gamet-Payrastre, L.; Gerbal-Chaloin, S.; Pascussi, J.M.; et al. Activation of the Constitutive Androstane Receptor induces hepatic lipogenesis and regulates Pnpla3 gene expression in a LXR-independent way. Toxicol. Appl. Pharm. 2016, 303, 90–100. [Google Scholar] [CrossRef]
- Rezen, T.; Viola, T.; Lovgren-Sandblom, A.; Bjorkhem, I.; Meyer, U.A.; Rozman, D. Effect of CAR activation on selected metabolic pathways in normal and hyperlipidemic mouse livers. BMC Genom. 2009, 10, 384. [Google Scholar] [CrossRef]
- Cai, X.; Feng, Y.; Xu, M.; Yu, C.; Xie, W. Gadd45b is required in part for the anti-obesity effect of constitutive androstane receptor (CAR). Acta Pharm. Sin. B 2021, 11, 434–441. [Google Scholar] [CrossRef]
- Hudson, G.M.; Flannigan, K.L.; Erickson, S.L.; Vicentini, F.A.; Zamponi, A.; Hirota, C.L.; Alston, L.; Altier, C.; Ghosh, S.; Rioux, K.P.; et al. Constitutive androstane receptor regulates the intestinal mucosal response to injury. Br. J. Pharmacol. 2017, 174, 1857–1871. [Google Scholar] [CrossRef]
- Uehara, D.; Tojima, H.; Kakizaki, S.; Yamazaki, Y.; Horiguchi, N.; Takizawa, D.; Sato, K.; Yamada, M.; Uraoka, T. Constitutive androstane receptor and pregnane X receptor cooperatively ameliorate DSS-induced colitis. Digest. Liver Dis. 2019, 51, 226–235. [Google Scholar] [CrossRef]
- Bhushan, B.; Stoops, J.W.; Mars, W.M.; Orr, A.; Bowen, W.C.; Paranjpe, S.; Michalopoulos, G.K. TCPOBOP-Induced Hepatomegaly and Hepatocyte Proliferation are Attenuated by Combined Disruption of MET and EGFR Signaling. Hepatology 2019, 69, 1702–1718. [Google Scholar] [CrossRef]
- Donthamsetty, S.; Bhave, V.S.; Kliment, C.S.; Bowen, W.C.; Mars, W.M.; Bell, A.W.; Stewart, R.E.; Orr, A.; Wu, C.Y.; Michalopoulos, G.K. Excessive Hepatomegaly of Mice with Hepatocyte-Targeted Elimination of Integrin Linked Kinase Following Treatment with 1,4-Bis [2-(3,5-Dichaloropyridyloxy)] Benzene. Hepatology 2011, 53, 587–595. [Google Scholar] [CrossRef]
- Gao, Y.; Fan, S.C.; Li, H.; Jiang, Y.M.; Yao, X.P.; Zhu, S.G.; Yang, X.; Wang, R.M.; Tian, J.N.; Gonzalez, F.J.; et al. Constitutive androstane receptor induced-hepatomegaly and liver regeneration is partially via yes-associated protein activation. Acta Pharm. Sin. B 2021, 11, 727–737. [Google Scholar] [CrossRef]
- Takizawa, D.; Kakizaki, S.; Horiguchi, N.; Yamazaki, Y.; Tojima, H.; Mori, M. Constitutive active/androstane receptor promotes hepatocarcinogenesis in a mouse model of non-alcoholic steatohepatitis. Carcinogenesis 2011, 32, 576–583. [Google Scholar] [CrossRef]
- Krucken, J.; Delic, D.; Pauen, H.; Wojtalla, A.; El-Khadragy, M.; Dkhil, M.A.; Mossmann, H.; Wunderlich, F. Augmented particle trapping and attenuated inflammation in the liver by protective vaccination against Plasmodium chabaudi malaria. Malar. J. 2009, 8, 54. [Google Scholar] [CrossRef]
- Dragani, T.A.; Manenti, G.; Galliani, G.; Della Porta, G. Promoting effects of 1,4-bis [2-(3,5-dichloropyridyloxy)] benzene in mouse hepatocarcinogenesis. Carcinogenesis 1985, 6, 225–228. [Google Scholar] [CrossRef]
- Lai, B.C.; Xie, X.Y.; Li, F.; Cui, Q.; Dang, E.L.; Luo, W.H.; Wang, N.; Zheng, Y.; Wang, G.; Xiao, L.; et al. Xenobiotic Receptor CAR Is Highly Induced in Psoriasis and Promotes Keratinocyte Proliferation. J. Investig. Dermatol. 2021, 141, 2895–2907.e7. [Google Scholar] [CrossRef]
- Pan, S.; Guo, Y.; Yu, W.; Hong, F.; Qiao, X.; Zhang, J.; Xu, P.; Zhai, Y. Environmental chemical TCPOBOP disrupts milk lipid homeostasis during pregnancy and lactation. Ecotoxicol. Environ. Saf. 2023, 249, 114463. [Google Scholar] [CrossRef]
- Dietrich, K.; Baumgart, J.; Eshkind, L.; Reuter, L.; Godtel-Armbrust, U.; Butt, E.; Musheev, M.; Marini, F.; More, P.; Grosser, T.; et al. Health-Relevant Phenotypes in the Offspring of Mice Given CAR Activators Prior to Pregnancy. Drug Metab. Dispos. 2018, 46, 1827–1835. [Google Scholar] [CrossRef]
- Pozo, K.; Oyola, G.; Estellano, V.H.; Harner, T.; Rudolph, A.; Prybilova, P.; Kukucka, P.; Audi, O.; Klanova, J.; Metzdorff, A.; et al. Persistent Organic Pollutants (POPs) in the atmosphere of three Chilean cities using passive air samplers. Sci. Total Environ. 2017, 586, 107–114. [Google Scholar] [CrossRef]
- Schecter, A.; Colacino, J.; Haffner, D.; Patel, K.; Opel, M.; Papke, O.; Birnbaum, L. Perfluorinated compounds, polychlorinated biphenyls, and organochlorine pesticide contamination in composite food samples from Dallas, Texas, USA. Environ. Health Perspect. 2010, 118, 796–802. [Google Scholar] [CrossRef]
- Whitehead, T.P.; Ward, M.H.; Colt, J.S.; Nishioka, M.G.; Buffler, P.A.; Rappaport, S.M.; Metayer, C. Determinants of polychlorinated biphenyls in dust from homes in California, USA. Environ. Sci. Process Impacts 2013, 15, 339–346. [Google Scholar] [CrossRef] [PubMed]
- Chen, W.D.; Fu, X.; Dong, B.; Wang, Y.D.; Shiah, S.; Moore, D.D.; Huang, W. Neonatal activation of the nuclear receptor CAR results in epigenetic memory and permanent change of drug metabolism in mouse liver. Hepatology 2012, 56, 1499–1509. [Google Scholar] [CrossRef] [PubMed]
- Li, C.Y.; Cheng, S.L.; Bammler, T.K.; Cui, J.Y. Editor’s Highlight: Neonatal Activation of the Xenobiotic-Sensors PXR and CAR Results in Acute and Persistent Down-regulation of PPARalpha-Signaling in Mouse Liver. Toxicol. Sci. 2016, 153, 282–302. [Google Scholar] [CrossRef] [PubMed]
- Tien, Y.C.; Liu, K.; Pope, C.; Wang, P.; Ma, X.; Zhong, X.B. Dose of Phenobarbital and Age of Treatment at Early Life are Two Key Factors for the Persistent Induction of Cytochrome P450 Enzymes in Adult Mouse Liver. Drug Metab. Dispos. 2015, 43, 1938–1945. [Google Scholar] [CrossRef] [PubMed]
- Fu, Z.D.; Selwyn, F.P.; Cui, J.Y.; Klaassen, C.D. RNA Sequencing Quantification of Xenobiotic-Processing Genes in Various Sections of the Intestine in Comparison to the Liver of Male Mice. Drug Metab. Dispos. 2016, 44, 842–856. [Google Scholar] [CrossRef]
- Baillie, T.A.; Rettie, A.E. Role of biotransformation in drug-induced toxicity: Influence of intra- and inter-species differences in drug metabolism. Drug Metab. Pharmacokinet. 2011, 26, 15–29. [Google Scholar] [CrossRef]
- Serras, A.S.; Rodrigues, J.S.; Cipriano, M.; Rodrigues, A.V.; Oliveira, N.G.; Miranda, J.P. A Critical Perspective on 3D Liver Models for Drug Metabolism and Toxicology Studies. Front. Cell Dev. Biol. 2021, 9, 626805. [Google Scholar] [CrossRef]
- Sun, Y.; Zhang, J.; Song, W.; Shan, A. Vitamin E alleviates phoxim-induced toxic effects on intestinal oxidative stress, barrier function, and morphological changes in rats. Environ. Sci. Pollut. Res. Int. 2018, 25, 26682–26692. [Google Scholar] [CrossRef]
- Vismaya; Rajini, P.S. Oral exposure to the organophosphorus insecticide, Monocrotophos induces intestinal dysfunction in rats. Food Chem. Toxicol. 2014, 71, 236–243. [Google Scholar] [CrossRef]
- Soderholm, J.D.; Perdue, M.H. Stress and gastrointestinal tract. II. Stress and intestinal barrier function. Am. J. Physiol. Gastrointest. Liver Physiol. 2001, 280, G7–G13. [Google Scholar] [CrossRef]
- Suo, Y.; Li, E.; Li, T.; Jia, Y.; Qin, J.G.; Gu, Z.; Chen, L. Response of gut health and microbiota to sulfide exposure in Pacific white shrimp Litopenaeus vannamei. Fish Shellfish Immunol. 2017, 63, 87–96. [Google Scholar] [CrossRef]
- Silveira, P.P.; Portella, A.K.; Goldani, M.Z.; Barbieri, M.A. Developmental origins of health and disease (DOHaD). J. Pediatr. 2007, 83, 494–504. [Google Scholar] [CrossRef]
- Hernandez, J.P.; Mota, L.C.; Huang, W.; Moore, D.D.; Baldwin, W.S. Sexually dimorphic regulation and induction of P450s by the constitutive androstane receptor (CAR). Toxicology 2009, 256, 53–64. [Google Scholar] [CrossRef]
- Lodato, N.J.; Melia, T.; Rampersaud, A.; Waxman, D.J. Sex-Differential Responses of Tumor Promotion-Associated Genes and Dysregulation of Novel Long Noncoding RNAs in Constitutive Androstane Receptor-Activated Mouse Liver. Toxicol. Sci. 2017, 159, 25–41. [Google Scholar] [CrossRef]
- Klurfeld, D.M. Nutritional regulation of gastrointestinal growth. Front. Biosci. 1999, 4, D299–D302. [Google Scholar] [CrossRef]
- Halpern, M.D.; Denning, P.W. The role of intestinal epithelial barrier function in the development of NEC. Tissue Barriers 2015, 3, e1000707. [Google Scholar] [CrossRef]
- Rios-Arce, N.D.; Collins, F.L.; Schepper, J.D.; Steury, M.D.; Raehtz, S.; Mallin, H.; Schoenherr, D.T.; Parameswaran, N.; McCabe, L.R. Epithelial Barrier Function in Gut-Bone Signaling. Adv. Exp. Med. Biol. 2017, 1033, 151–183. [Google Scholar]
- Awada, M.; Soulage, C.O.; Meynier, A.; Debard, C.; Plaisancie, P.; Benoit, B.; Picard, G.; Loizon, E.; Chauvin, M.A.; Estienne, M.; et al. Dietary oxidized n-3 PUFA induce oxidative stress and inflammation: Role of intestinal absorption of 4-HHE and reactivity in intestinal cells. J. Lipid Res. 2012, 53, 2069–2080. [Google Scholar] [CrossRef]
- Bhattacharyya, A.; Chattopadhyay, R.; Mitra, S.; Crowe, S.E. Oxidative stress: An essential factor in the pathogenesis of gastrointestinal mucosal diseases. Physiol. Rev. 2014, 94, 329–354. [Google Scholar] [CrossRef]
- Lauridsen, C. From oxidative stress to inflammation: Redox balance and immune system. Poult. Sci. 2019, 98, 4240–4246. [Google Scholar] [CrossRef]
- Lauridsen, C. Effects of dietary fatty acids on gut health and function of pigs pre- and post-weaning. J. Anim. Sci. 2020, 98, skaa086. [Google Scholar] [CrossRef] [PubMed]
- Sane, A.; Ahmarani, L.; Delvin, E.; Auclair, N.; Spahis, S.; Levy, E. SAR1B GTPase is necessary to protect intestinal cells from disorders of lipid homeostasis, oxidative stress, and inflammation. J. Lipid Res. 2019, 60, 1755–1764. [Google Scholar] [CrossRef] [PubMed]
- Yan, J.; Zhao, Z.; Xia, M.; Chen, S.; Wan, X.; He, A.; Daniel Sheng, G.; Wang, X.; Qian, Q.; Wang, H. Induction of lipid metabolism dysfunction, oxidative stress and inflammation response by tris (1-chloro-2-propyl) phosphate in larval/adult zebrafish. Environ. Int. 2022, 160, 107081. [Google Scholar] [CrossRef] [PubMed]
- Cheng, Y.; Zan, J.; Song, Y.; Yang, G.; Shang, H.; Zhao, W. Evaluation of intestinal injury, inflammatory response and oxidative stress following intracerebral hemorrhage in mice. Int. J. Mol. Med. 2018, 42, 2120–2128. [Google Scholar] [CrossRef]
- Ozacmak, H.S.; Ozacmak, V.H.; Barut, F.; Arasli, M.; Ucan, B.H. Pretreatment with mineralocorticoid receptor blocker reduces intestinal injury induced by ischemia and reperfusion: Involvement of inhibition of inflammatory response, oxidative stress, nuclear factor kappaB, and inducible nitric oxide synthase. J. Surg. Res. 2014, 191, 350–361. [Google Scholar] [CrossRef]
- Qin, N.; Huang, L.; Dong, R.; Li, F.; Tang, X.; Zeng, Z.; Wang, X.; Yang, H. Polydatin improves intestinal barrier injury after traumatic brain injury in rats by reducing oxidative stress and inflammatory response via activating SIRT1-mediated deacetylation of SOD2 and HMGB1. J. South Med. Univ. 2022, 42, 93–100. [Google Scholar]
- Turan, I.; Ozacmak, H.S.; Ozacmak, V.H.; Barut, F.; Arasli, M. Agmatine attenuates intestinal ischemia and reperfusion injury by reducing oxidative stress and inflammatory reaction in rats. Life Sci. 2017, 189, 23–28. [Google Scholar] [CrossRef]
- Wang, F.; Liu, J.; Hu, X.; Zhong, Y.; Wen, F.; Tang, X.; Yang, S.; Zhong, S.; Zhou, Z.; Yuan, X.; et al. The influence on oxidative stress markers, inflammatory factors and intestinal injury-related molecules in Wahui pigeon induced by lipopolysaccharide. PLoS ONE 2021, 16, e0251462. [Google Scholar] [CrossRef]
- Zhou, B.; Te, B.; Wang, L.; Gao, Y.; He, Q.; Yan, Z.; Wang, H.; Shen, G. Combination of sodium butyrate and probiotics ameliorates severe burn-induced intestinal injury by inhibiting oxidative stress and inflammatory response. Burns 2022, 48, 1213–1220. [Google Scholar] [CrossRef]
- Guo, H.; Sun, J.; Li, D.; Hu, Y.; Yu, X.; Hua, H.; Jing, X.; Chen, F.; Jia, Z.; Xu, J. Shikonin attenuates acetaminophen-induced acute liver injury via inhibition of oxidative stress and inflammation. Biomed. Pharmacother. 2019, 112, 108704. [Google Scholar] [CrossRef]
- Lv, H.; Hong, L.; Tian, Y.; Yin, C.; Zhu, C.; Feng, H. Corilagin alleviates acetaminophen-induced hepatotoxicity via enhancing the AMPK/GSK3beta-Nrf2 signaling pathway. Cell Commun. Signal 2019, 17, 2. [Google Scholar] [CrossRef]
- Xu, L.; Yu, Y.; Sang, R.; Li, J.; Ge, B.; Zhang, X. Protective Effects of Taraxasterol against Ethanol-Induced Liver Injury by Regulating CYP2E1/Nrf2/HO-1 and NF-kappaB Signaling Pathways in Mice. Oxid. Med. Cell Longev. 2018, 2018, 8284107. [Google Scholar] [CrossRef]
- Xu, P.; Hong, F.; Wang, J.; Dai, S.; Wang, J.; Zhai, Y. The CAR agonist TCPOBOP inhibits lipogenesis and promotes fibrosis in the mammary gland of adolescent female mice. Toxicol. Lett. 2018, 290, 29–35. [Google Scholar] [CrossRef]
- Ledda-Columbano, G.M.; Pibiri, M.; Concas, D.; Molotzu, F.; Simbula, G.; Cossu, C.; Columbano, A. Sex difference in the proliferative response of mouse hepatocytes to treatment with the CAR ligand, TCPOBOP. Carcinogenesis 2003, 24, 1059–1065. [Google Scholar] [CrossRef]
- Kawamoto, T.; Kakizaki, S.; Yoshinari, K.; Negishi, M. Estrogen activation of the nuclear orphan receptor CAR (constitutive active receptor) in induction of the mouse Cyp2b10 gene. Mol. Endocrinol. 2000, 14, 1897–1905. [Google Scholar] [CrossRef]
- Petrick, J.S.; Klaassen, C.D. Importance of hepatic induction of constitutive androstane receptor and other transcription factors that regulate xenobiotic metabolism and transport. Drug Metab. Dispos. 2007, 35, 1806–1815. [Google Scholar] [CrossRef]
- Martinez-Guryn, K.; Hubert, N.; Frazier, K.; Urlass, S.; Musch, M.W.; Ojeda, P.; Pierre, J.F.; Miyoshi, J.; Sontag, T.J.; Cham, C.M.; et al. Small Intestine Microbiota Regulate Host Digestive and Absorptive Adaptive Responses to Dietary Lipids. Cell Host Microbe 2018, 23, 458–469.e5. [Google Scholar] [CrossRef]
- Fakhoury, M.; Negrulj, R.; Mooranian, A.; Al-Salami, H. Inflammatory bowel disease: Clinical aspects and treatments. J. Inflamm. Res. 2014, 7, 113–120. [Google Scholar] [CrossRef]
- Moon, J.S. Clinical aspects and treatments for pediatric inflammatory bowel disease. Intest. Res. 2019, 17, 17–23. [Google Scholar] [CrossRef]
- Wang, B.; Wu, Z.; Ji, Y.; Sun, K.; Dai, Z.; Wu, G. L-Glutamine Enhances Tight Junction Integrity by Activating CaMK Kinase 2-AMP-Activated Protein Kinase Signaling in Intestinal Porcine Epithelial Cells. J. Nutr. 2016, 146, 501–508. [Google Scholar] [CrossRef]
- Hamada, K.; Shitara, Y.; Sekine, S.; Horie, T. Zonula Occludens-1 alterations and enhanced intestinal permeability in methotrexate-treated rats. Cancer Chemother. Pharmacol. 2010, 66, 1031–1038. [Google Scholar] [CrossRef] [PubMed]
- Li, Q.; Zhang, Q.; Wang, C.; Liu, X.; Qu, L.; Gu, L.; Li, N.; Li, J. Altered distribution of tight junction proteins after intestinal ischaemia/reperfusion injury in rats. J. Cell Mol. Med. 2009, 13, 4061–4076. [Google Scholar] [CrossRef] [PubMed]
- Omiecinski, C.J.; Coslo, D.M.; Chen, T.; Laurenzana, E.M.; Peffer, R.C. Multi-species analyses of direct activators of the constitutive androstane receptor. Toxicol. Sci. 2011, 123, 550–562. [Google Scholar] [CrossRef] [PubMed]
- Braeuning, A.; Henderson, C.J.; Wolf, C.R.; Schwarz, M. Model Systems for Understanding Mechanisms of Nongenotoxic Carcinogenesis: Response. Toxicol. Sci. 2015, 147, 299–300. [Google Scholar]
- Yamada, T.; Cohen, S.M.; Lake, B.G. The Mode of Action for Phenobarbital-Induced Rodent Liver Tumor Formation Is not Relevant for Humans: Recent Studies with Humanized Mice. Toxicol. Sci. 2015, 147, 298–299. [Google Scholar]
- Pan, S.; Hong, F.; Li, L.; Guo, Y.; Qiao, X.; Zhang, J.; Xu, P.; Zhai, Y. Melatonin Attenuates Dextran Sodium Sulfate Induced Colitis in Obese Mice. Pharmaceuticals 2021, 14, 822. [Google Scholar] [CrossRef]







| Parameter | Con-F1 | TC-F1 |
|---|---|---|
| TG (mmol/L) | 1.59 ± 0.10 | 0.84 ± 0.06 *** |
| TC (mmol/L) | 2.68 ± 0.14 | 2.94 ± 0.33 |
| ALT (U/L) | 48.03 ± 4.26 | 112.95 ± 5.03 *** |
| AST (U/L) | 184.23 ± 10.78 | 213.09 ± 14.92 |
| CREA (μmol/L) | 37.00 ± 0.64 | 37.53 ± 0.96 |
| UREA (mmol/L) | 13.75 ± 0.37 | 13.18 ± 0.25 |
| UA (μmol/L) | 91.91 ± 16.04 | 103.09 ± 8.66 |
| γ-GT (U/L) | 70.50 ± 3.67 | 64.27 ± 4.01 |
Disclaimer/Publisher’s Note: The statements, opinions and data contained in all publications are solely those of the individual author(s) and contributor(s) and not of MDPI and/or the editor(s). MDPI and/or the editor(s) disclaim responsibility for any injury to people or property resulting from any ideas, methods, instructions or products referred to in the content. |
© 2023 by the authors. Licensee MDPI, Basel, Switzerland. This article is an open access article distributed under the terms and conditions of the Creative Commons Attribution (CC BY) license (https://creativecommons.org/licenses/by/4.0/).
Share and Cite
Pan, S.; Guo, Y.; Yu, W.; Zhang, J.; Qiao, X.; Li, L.; Xu, P.; Zhai, Y. Constitutive Androstane Receptor Agonist, TCPOBOP: Maternal Exposure Impairs the Growth and Development of Female Offspring in Mice. Int. J. Mol. Sci. 2023, 24, 2602. https://doi.org/10.3390/ijms24032602
Pan S, Guo Y, Yu W, Zhang J, Qiao X, Li L, Xu P, Zhai Y. Constitutive Androstane Receptor Agonist, TCPOBOP: Maternal Exposure Impairs the Growth and Development of Female Offspring in Mice. International Journal of Molecular Sciences. 2023; 24(3):2602. https://doi.org/10.3390/ijms24032602
Chicago/Turabian StylePan, Shijia, Yuan Guo, Wen Yu, Jia Zhang, Xiaoxiao Qiao, Letong Li, Pengfei Xu, and Yonggong Zhai. 2023. "Constitutive Androstane Receptor Agonist, TCPOBOP: Maternal Exposure Impairs the Growth and Development of Female Offspring in Mice" International Journal of Molecular Sciences 24, no. 3: 2602. https://doi.org/10.3390/ijms24032602
APA StylePan, S., Guo, Y., Yu, W., Zhang, J., Qiao, X., Li, L., Xu, P., & Zhai, Y. (2023). Constitutive Androstane Receptor Agonist, TCPOBOP: Maternal Exposure Impairs the Growth and Development of Female Offspring in Mice. International Journal of Molecular Sciences, 24(3), 2602. https://doi.org/10.3390/ijms24032602

