Photodynamic Therapy of Aluminum Phthalocyanine Tetra Sodium 2-Mercaptoacetate Linked to PEGylated Copper–Gold Bimetallic Nanoparticles on Colon Cancer Cells
Abstract
1. Introduction
2. Results
2.1. Synthesis of AlClPcTS41
2.2. Characterization of Nanoparticles and Conjugates
2.2.1. FTIR

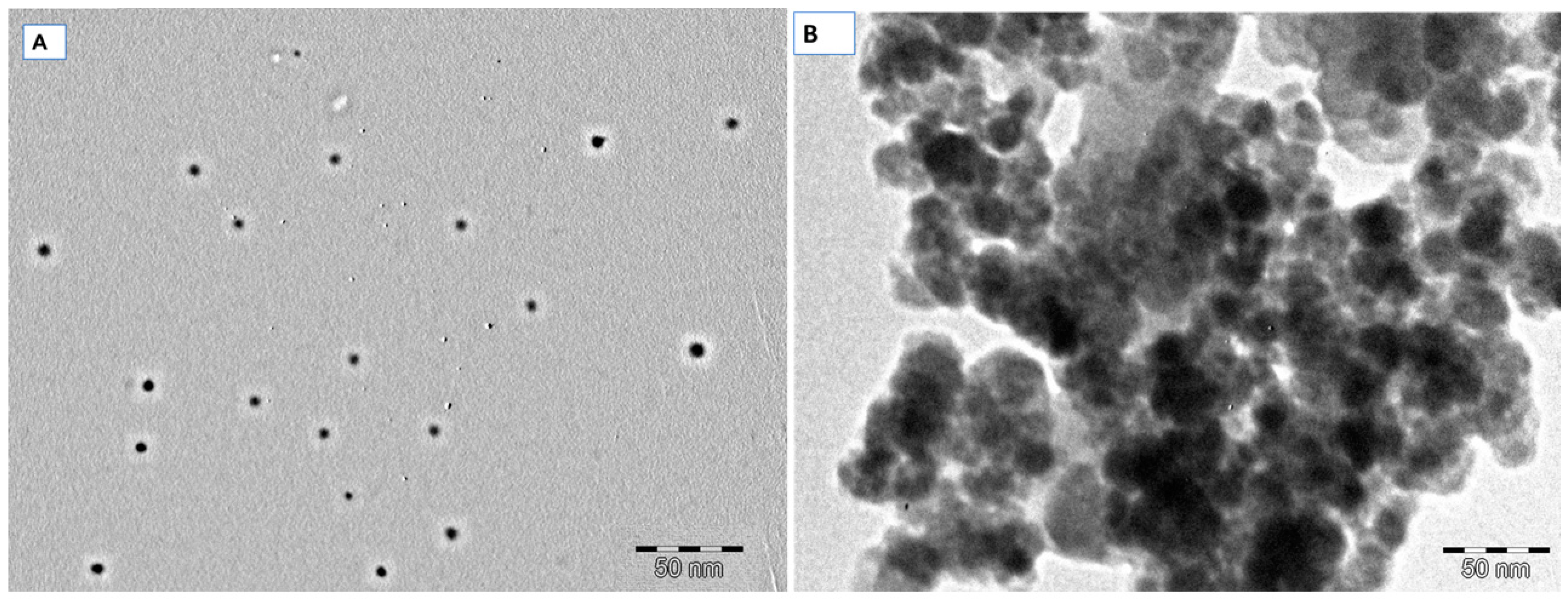
2.2.2. TEM
2.2.3. XRD
2.2.4. DLS
2.2.5. UV–VIS
2.3. Photodynamic Therapy Dose Response
2.3.1. Morphology
2.3.2. Viability
2.3.3. Cytotoxicity
2.4. Cellular Localization of AlClPcTS41 and AlClPcTS41-PEG-CuAuNPs Nanoconjugates
2.5. AlClPcTS41 and AlClPcTS41-PEG-CuAuNPs-Mediated PDT
2.5.1. Morphology
2.5.2. Cytotoxicity
2.5.3. Proliferation
2.5.4. Cell Death Mechanism Analysis
2.5.5. Determination of Intracellular ROS Levels
3. Discussion
4. Materials and Methods
4.1. Materials
4.2. Synthesis of AlClPcTS41 and AlClPcTS41-PEG-CuAuNPs
4.2.1. Synthesis of Aluminum (II) Chloride 2(3), 9(10), 16(17), 23(24)-Tetrakis-(sodium 2-Mercaptoacetate) Phthalocyanine
4.2.2. Synthesis of PEGylated Copper–Gold Bimetallic Nanoparticles
4.2.3. Conjugation of AlClPcTS41 to PEG-CuAuNPs
4.3. Cell Culture
4.4. Photodynamic Therapy
PDT Dose Response
4.5. AlClPcTS41 and AlClPcTS41-PEG-CuAuNPs Subcellular Localization Studies
4.6. AlClPcTS41 and AlClPcTS41-PEG-CuAuNPs-Mediated PDT
4.6.1. Morphology Assessment
4.6.2. Cytotoxicity
4.6.3. Proliferation
4.6.4. Cell Death Assay
4.6.5. Intracellular Assessment of Reactive Oxygen Species
4.7. Statistical Analysis
5. Conclusions
Supplementary Materials
Author Contributions
Funding
Institutional Review Board Statement
Informed Consent Statement
Data Availability Statement
Conflicts of Interest
References
- Xi, Y.; Xu, P. Global colorectal cancer burden in 2020 and projections to 2040. Transl. Oncol. 2021, 14, 101174. [Google Scholar] [CrossRef] [PubMed]
- Montaseri, H.; Simelane, N.W.N.; Abrahamse, H. Zinc Phthalocyanine Tetrasulfonate-Loaded Ag@mSiO2 Nanoparticles for Active Targeted Photodynamic Therapy of Colorectal Cancer. Front. Nanotechnol. 2022, 4, 928010. [Google Scholar] [CrossRef]
- Sun, B.; Li, W.; Liu, N. Curative effect of the recent photofrin photodynamic adjuvant treatment on young patients with advanced colorectal cancer. Oncol. Lett. 2016, 11, 2071–2074. [Google Scholar] [CrossRef] [PubMed]
- Nkune, N.W.; Kruger, C.A.; Abrahamse, H. Synthesis of a novel nanobioconjugate for targeted photodynamic therapy of colon cancer enhanced with cannabidiol. Oncotarget 2022, 13, 156–172. [Google Scholar] [CrossRef] [PubMed]
- Nyokong, T.; Antunes, E. Photochemical and photophysical properties of metallophthalocyanines. In The handbook of Pophyrin Science; Kadish, K., Smith, K., Guilard, R., Eds.; Academic Press: New York, NY, USA, 2010; Volume 7, p. 2010. [Google Scholar]
- Stuchinskaya, T.; Moreno, M.; Cook, M.J.; Edwards, D.R.; Russell, D.A. Targeted photodynamic therapy of breast cancer cells using antibody-phthalocyanine-gold nanoparticle conjugates. Photochem. Photobiol. Sci. 2011, 10, 822–831. [Google Scholar] [CrossRef]
- Mitsunaga, M.; Ogawa, M.; Kosaka, N.; Rosenblum, L.T.; Choyke, P.L.; Kobayashi, H. Cancer cell-selective in vivo Near Infrared Photoimmunotherapy targeting specific membrane molecules. Nat. Med. 2011, 17, 1685–1692. [Google Scholar] [CrossRef]
- Drzewiecka-Matuszek, A.; Skania, A.; Karocki, A.; Stochel, G.; Fiedor, L. Effects of heavy central metal on the ground and excited states of chlorophyll. J. Biol. Inorg. Chem. 2005, 10, 453–462. [Google Scholar] [CrossRef]
- Matlou, G.G.; Oluwole, D.O.; Nyokong, T. Evaluation of the photosensitizing properties of zinc and indium tetra cinnamic acid phthalocyanines linked to magnetic nanoparticles on human breast adenocarcinoma cells. J. Lumin. 2019, 205, 385–392. [Google Scholar] [CrossRef]
- Sindelo, A.; Kobayashi, N.; Kimura, M.; Nyokong, T. Physicochemical and photodynamic antimicrobial chemotherapy activity of morpholine-substituted phthalocyanines: Effect of point of substitution and central metal. J. Photochem. Photobiol. A Chem. 2019, 374, 58–67. [Google Scholar] [CrossRef]
- Wang, A.; Long, L.; Zhang, C. Synthesis of unsymmetrical phthalocyanines: A brief overview. Tetrahedron 2012, 68, 2433–2451. [Google Scholar] [CrossRef]
- Ke, M.R.; Huang, J.D.; Weng, S.M. Comparison between non-peripherally and peripherally tetra-substituted zinc (II) phthalocyanines as photosensitizers: Synthesis, spectroscopic, photochemical and photobiological properties. J. Photochem. Photobiol. A Chem. 2009, 201, 23–31. [Google Scholar] [CrossRef]
- Tillo, A.; Stolarska, M.; Kryjewski, M.; Popenda, L.; Sobotta, L.; Jurga, S.; Mielcarek, J.; Goslinski, T. Phthalocyanines with bulky substituents at non-peripheral positions—Synthesis and physico-chemical properties. Dye. Pigment. 2016, 127, 110–115. [Google Scholar] [CrossRef]
- Montaseri, H.; Nkune, N.W.; Abrahamse, H. Active targeted photodynamic therapeutic effect of silver-based nanohybrids on melanoma cancer cells. J. Photochem. Photobiol. 2022, 11, 100136–100147. [Google Scholar] [CrossRef]
- Chizenga, E.P.; Chandran, R.; Abrahamse, H. Photodynamic therapy of cervical cancer by eradication of cervical cancer cells and cervical cancer stem cells. Oncotarget 2019, 10, 4380–4396. [Google Scholar] [CrossRef] [PubMed]
- Alonso, L.; Sampaio, R.N.; Souza, T.F.M.; Silva, R.C.; Neto, N.M.B.; Ribeiro, A.O.; Alonso, A.; Gonçalves, P.J. Photodynamic evaluation of tetracarboxy-phthalocyanines in model systems. J. Photochem. Photobiol. B Biol. 2016, 161, 100–107. [Google Scholar] [CrossRef] [PubMed]
- Hodgkinson, N.; Kruger, C.A.; Abrahamse, H. Targeted photodynamic therapy as potential treatment modality for the eradication of colon cancer and colon cancer stem cells. Tumor Biol. 2017, 39, 1010428317734691. [Google Scholar] [CrossRef] [PubMed]
- Honors, C.N.; Kruger, C.A.; Abrahamse, H. Photodynamic therapy for metastatic melanoma treatment: A review. Technol. Cancer Res. Treat. 2018, 17, 1533033818791795. [Google Scholar] [CrossRef]
- Crous, A.; Abrahamse, H. Effective gold nanoparticle-antibody-mediated drug delivery for photodynamic therapy of lung cancer stem cells. Int. J. Mol. Sci. 2020, 21, 3742. [Google Scholar] [CrossRef]
- Li, G.; Zhang, W.; Luo, N.; Xue, Z.; Hu, Q.; Zeng, W.; Xu, J. Bimetallic nanocrystals: Structure, controllable synthesis and applications in catalysis, energy and sensing. Nanomaterials 2021, 11, 1926. [Google Scholar] [CrossRef]
- Kruger, C.A.; Abrahamse, H. Utilisation of targeted nanoparticle photosensitiser drug delivery systems for the enhancement of photodynamic therapy. Molecules 2018, 23, 2628. [Google Scholar] [CrossRef]
- Liao, Z.; Wong, S.W.; Yeo, H.L.; Zhao, Y. Smart nanocarriers for cancer treatment: Clinical impact and safety. NanoImpact 2020, 20, 100253. [Google Scholar] [CrossRef]
- Caro, C.; Avasthi, A.; Paez-Muñoz, J.M.; Pernia Leal, M.; Garcia-Martin, M.L. Passive targeting of high-grade gliomas: Via the EPR effect: A closed path for metallic nanoparticles? Biomater. Sci. 2021, 9, 7984–7995. [Google Scholar] [CrossRef] [PubMed]
- Nichols, J.W.; Bae, Y.H. EPR: Evidence and fallacy. J. Control. Release 2014, 190, 451–464. [Google Scholar] [CrossRef] [PubMed]
- Kolate, A.; Baradia, D.; Patil, S.; Vhora, I.; Kore, G.; Misra, A. PEG—A versatile conjugating ligand for drugs and drug delivery systems. J. Control. Release 2014, 192, 67–81. [Google Scholar] [CrossRef]
- Caro, C.; Dalmases, M.; Figuerola, A.; García-Martín, M.L.; Leal, M.P. Highly water-stable rare ternary Ag-Au-Se nanocomposites as long blood circulation time X-ray computed tomography contrast agents. Nanoscale 2017, 9, 7242–7251. [Google Scholar] [CrossRef] [PubMed]
- Matlou, G.G.; Kobayashi, N.; Kimura, M.; Nyokong, T. Synthesis and photophysical studies of asymmetric zinc phthalocyanine–magnetic nanoparticle conjugates. New J. Chem. 2017, 41, 12309–12318. [Google Scholar] [CrossRef]
- Wöhrle, D.; Schnurpfeil, G.; Knothe, G. Efficient synthesis of phthalocyanines and related macrocyclic compounds in the presence of organic bases. Dye. Pigment. 1992, 18, 91–102. [Google Scholar] [CrossRef]
- Nemykina, V.N.; Lukyanets, E.A. Synthesis of substituted phthalocyanines. Arkivoc 2010, 2010, 136–208. [Google Scholar] [CrossRef]
- Bilgiçli, A.T.; Günsel, A.; Kandaz, M.; Özkaya, A.R. Highly selective thioalcohol modified phthalocyanine sensors for Ag(i) and Pd(ii) based on target induced J- and H-type aggregations: Synthesis, electrochemistry and peripheral metal ion binding studies. Dalton Trans. 2012, 41, 7047. [Google Scholar] [CrossRef]
- Stillman, M.J.; Nyokong, T. Phthalocyanines-Properties and Applications; Leznoff, C.C., Lever, B., Eds.; VCH Publications: New York, NY, USA, 1989; pp. 133–290. [Google Scholar]
- Matlou, G.G.; Managa, M.; Nyokong, T. Effect of symmetry and metal nanoparticles on the photophysicochemical and photodynamic therapy properties of cinnamic acid zinc phthalocyanine. Spectrochim. Acta Part A Mol. Biomol. Spectrosc. 2019, 214, 49–57. [Google Scholar] [CrossRef]
- Nwahara, N.; Achadu, O.J.; Nyokong, T. In-situ synthesis of gold nanoparticles on graphene quantum dots-phthalocyanine nanoplatforms: First description of the photophysical and surface enhanced Raman scattering behaviour. J. Photochem. Photobiol. A Chem. 2018, 359, 131–144. [Google Scholar] [CrossRef]
- Snow, A.W.; Griffith, J.R.; Marullo, N.P. Syntheses and characterization of heteroatom-bridged metal-free phthalocyanine network polymers and model compounds. Macromolecules 1984, 17, 1614–1624. [Google Scholar] [CrossRef]
- Jenkins, R.; Synder, R. Introduction to X-ray Diffractometry; Wiley and Sons: New York, NY, USA, 1998. [Google Scholar]
- Danaei, M.; Dehghankhold, M.; Ataei, S.; Hasanzadeh Davarani, F.; Javanmard, R.; Dokhani, A.; Khorasani, S.; Mozafari, M.R. Impact of particle size and polydispersity index on the clinical applications of lipidic nanocarrier systems. Pharmaceutics 2018, 10, 57. [Google Scholar] [CrossRef] [PubMed]
- Hoo, M.C.; Starostin, N.; West, P.; Mecartney, M.L. A comparison of atomic force microscopy (AFM) and dynamic light scattering (DLS) methods to characterize nanoparticle size distributions. J. Nanopart. Res. 2008, 10, 89–96. [Google Scholar] [CrossRef]
- Mack, J.; Stillman, M.J. Photochemical formation of the anion radical of zinc phthalocyanine and analysis of the absorption and magnetic circular dichroism spectral data. Assignment of the opticla spectrum of [ZnPc(-3)]-. J. Am. Chem. Soc. 1994, 116, 1292–1304. [Google Scholar] [CrossRef]
- Lamoen, D.; Parrinello, M. Geometry and electronic structure of porphyrins and porphyrazines. Chem. Phys. Lett. 1996, 248, 309–315. [Google Scholar] [CrossRef]
- Durmuş, M.; Nyokong, T. Synthesis and solvent effects on the electronic absorption and fluorescence spectral properties of substituted zinc phthalocyanines. Polyhedron 2007, 26, 2767–2776. [Google Scholar] [CrossRef]
- Brown, S.B.; Brown, E.A.; Walker, I. The present and future role of photodynamic therapy in cancer treatment. Lancet Oncol. 2004, 5, 497–508. [Google Scholar] [CrossRef]
- Zhang, J.; Jiang, C.; Figueiró Longo, J.P.; Azevedo, R.B.; Zhang, H.; Muehlmann, L.A. An updated overview on the development of new photosensitizers for anticancer photodynamic therapy. Acta Pharm. Sin. B 2018, 8, 137–146. [Google Scholar] [CrossRef]
- Dos Santos, A.F.; De Almeida, D.R.Q.; Terra, L.F.; Baptista, M.S.; Labriola, L. Photodynamic therapy in cancer treatment—An update review. J. Cancer Metastasis Treat. 2019, 5, 83–103. [Google Scholar] [CrossRef]
- Matlou, G.G.; Abrahamse, H. Metallic Core-Shell Nanoparticles as Drug Delivery Vehicles in Targeted Photodynamic Therapy of Cancer. In Handbook of Oxidative Stress in Cancer: Therapeutic Aspects; Chakraborti, S., Ed.; Springler Nature: Singapore, 2022; pp. 1245–1260. [Google Scholar]
- Matlou, G.G.; Abrahamse, H. Hybrid inorganic-organic core-shell nanodrug systems in targeted photodynamic therapy of cancer. Pharmaceutics 2021, 13, 1773. [Google Scholar] [CrossRef] [PubMed]
- Al-Hakkani, M.F. Biogenic copper nanoparticles and their applications: A review. SN Appl. Sci. 2020, 2, 505. [Google Scholar] [CrossRef]
- Gunaydin, G.; Gedik, M.E.; Ayan, S. Photodynamic Therapy—Current Limitations and Novel Approaches. Front. Chem. 2021, 9, 691697. [Google Scholar] [CrossRef] [PubMed]
- Mokoena, D.R.; Blassan, G.P.; Abrahamse, H. Photodynamic Therapy Induced Cell Death Mechanisms in Breast Cancer. Int. J. Mol. Sci. 2021, 22, 10506. [Google Scholar] [CrossRef] [PubMed]
- Abrahamse, H.; Hamblin, M.R. New photosensitizers for photodynamic therapy. Biochemistry 2016, 473, 347–364. [Google Scholar] [CrossRef] [PubMed]
- Sekhejane, P.R.; Houreld, N.N.; Abrahamse, H. Multiorganelle localization of metallated phthalocyanine photosensitizer in colorectal cancer cells (DLD-1 and CaCo-2) enhances efficacy of photodynamic therapy. Int. J. Photoenergy 2014, 2014, 383027–383037. [Google Scholar] [CrossRef]
- Mfouo-Tynga, I.; Abrahamse, H. Cell death pathways and phthalocyanine as an efficient agent for photodynamic cancer therapy. Int. J. Mol. Sci. 2015, 16, 10228–10241. [Google Scholar] [CrossRef]
- Nkune, N.W.; Matlou, G.G.; Abrahamse, H. Photodynamic Therapy Efficacy of Novel Zinc Phthalocyanine Tetra Sodium 2-Mercaptoacetate Combined with Cannabidiol on Metastatic Melanoma. Pharmaceutics 2022, 14, 2418. [Google Scholar] [CrossRef]
- Wu, S.H.; Chen, D.H. Synthesis of high-concentration Cu nanoparticles in aqueous CTAB solutions. J. Colloid Interface Sci. 2004, 273, 165–169. [Google Scholar] [CrossRef]
- Larios, E.; Molina, Z.; Maldonado, A.; Tanori, J. Synthesis and Characterization of Bimetallic Copper-Gold Nanoparticles. J. Dispers. Sci. Technol. 2012, 33, 719–723. [Google Scholar] [CrossRef]

















| Nanoparticles | TEM | XRD | DLS | PDI |
|---|---|---|---|---|
| PEG-CuAuNPs | 13.23 nm | 12.76 nm | 18.71 nm | 0.214 |
| AlClPcTS41-PEG-CuAuNPs | 19.36 nm | 18.12 nm | 24.83 nm | 0.258 |
Disclaimer/Publisher’s Note: The statements, opinions and data contained in all publications are solely those of the individual author(s) and contributor(s) and not of MDPI and/or the editor(s). MDPI and/or the editor(s) disclaim responsibility for any injury to people or property resulting from any ideas, methods, instructions or products referred to in the content. |
© 2023 by the authors. Licensee MDPI, Basel, Switzerland. This article is an open access article distributed under the terms and conditions of the Creative Commons Attribution (CC BY) license (https://creativecommons.org/licenses/by/4.0/).
Share and Cite
Simelane, N.W.N.; Matlou, G.G.; Abrahamse, H. Photodynamic Therapy of Aluminum Phthalocyanine Tetra Sodium 2-Mercaptoacetate Linked to PEGylated Copper–Gold Bimetallic Nanoparticles on Colon Cancer Cells. Int. J. Mol. Sci. 2023, 24, 1902. https://doi.org/10.3390/ijms24031902
Simelane NWN, Matlou GG, Abrahamse H. Photodynamic Therapy of Aluminum Phthalocyanine Tetra Sodium 2-Mercaptoacetate Linked to PEGylated Copper–Gold Bimetallic Nanoparticles on Colon Cancer Cells. International Journal of Molecular Sciences. 2023; 24(3):1902. https://doi.org/10.3390/ijms24031902
Chicago/Turabian StyleSimelane, Nokuphila Winifred Nompumelelo, Gauta Gold Matlou, and Heidi Abrahamse. 2023. "Photodynamic Therapy of Aluminum Phthalocyanine Tetra Sodium 2-Mercaptoacetate Linked to PEGylated Copper–Gold Bimetallic Nanoparticles on Colon Cancer Cells" International Journal of Molecular Sciences 24, no. 3: 1902. https://doi.org/10.3390/ijms24031902
APA StyleSimelane, N. W. N., Matlou, G. G., & Abrahamse, H. (2023). Photodynamic Therapy of Aluminum Phthalocyanine Tetra Sodium 2-Mercaptoacetate Linked to PEGylated Copper–Gold Bimetallic Nanoparticles on Colon Cancer Cells. International Journal of Molecular Sciences, 24(3), 1902. https://doi.org/10.3390/ijms24031902

