Depolymerized Chitosan-g-[Poly(MMA-co-HEMA-cl-EGDMA)] Based Nanogels for Controlled Local Release of Bupivacaine
Abstract
:1. Introduction
2. Results and Discussion
2.1. Characterization
2.1.1. FTIR
2.1.2. Thermo-Gravimetric Analysis (TGA)
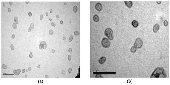
2.1.3. Morphology
2.2. Computational Study
2.3. Cytotoxicity Test
2.4. BPV Encapsulation and Release Studies
3. Materials and Methods
3.1. Materials
3.2. Controlled De-Polymerization of Cs
3.3. Nanogels Fabrication
3.4. Characterizations
3.4.1. Fourier Transform Infrared (FTIR)
3.4.2. Thermal Gravimetric Analysis (TGA)
3.4.3. Dynamic Light Scattering (DLS)
3.4.4. Electron Microscopy
3.4.5. Computational Study
3.4.6. Cytotoxicity Test
3.4.7. Drug Loading, Delivery, and Model Fitting
4. Conclusions
Author Contributions
Funding
Institutional Review Board Statement
Informed Consent Statement
Data Availability Statement
Conflicts of Interest
References
- Hyland, S.J.; Brockhaus, K.K.; Vincent, W.R.; Spence, N.Z.; Lucki, M.M.; Howkins, M.J.; Cleary, R.K. Perioperative pain management and opioid stewardship: A practical guide. Healthcare 2021, 9, 333. [Google Scholar] [CrossRef]
- Bonnet, F.; Marret, E. Postoperative pain management and outcome after surgery. Best Pract. Res. Clin. Anaesthesiol. 2007, 21, 99–107. [Google Scholar] [CrossRef]
- Devilliers, M.; Busserolles, J.; Lolignier, S.; Deval, E.; Pereira, V.; Alloui, A.; Christin, M.; Mazet, B.; Delmas, P.; Noel, J.; et al. Activation of trek-1 by morphine results in analgesia without adverse side effects. Nat. Commun. 2013, 4, 2941. [Google Scholar] [CrossRef]
- Leppert, W.; Malec-Milewska, M.; Zajaczkowska, R.; Wordliczek, J. Transdermal and topical drug administration in the treatment of pain. Molecules 2018, 23, 681. [Google Scholar] [CrossRef]
- Nagpal, A.S.; Zhao, Z.; Miller, D.C.; McCormick, Z.L.; Duszynski, B.; Benrud, J.; Chow, R.; Travnicek, K.; Schuster, N.M. Best practices for interventional pain procedures in the setting of a local anesthetic shortage: A practice advisory from the spine intervention society. Interv. Pain Med. 2023, 2, 100177. [Google Scholar] [CrossRef]
- Park, S.-Y.; Kang, J.; Yoon, J.-Y.; Chung, I. Synthesis and characterization of polyfumarateurethane nanoparticles for sustained release of bupivacaine. Pharmaceutics 2020, 12, 281. [Google Scholar] [CrossRef]
- Herdiana, Y.; Wathoni, N.; Shamsuddin, S.; Muchtaridi, M. Drug release study of the chitosan-based nanoparticles. Heliyon 2022, 8, e08674. [Google Scholar] [CrossRef]
- Hu, X.; Liu, G.; Li, Y.; Wang, X.; Liu, S. Cell-penetrating hyperbranched polyprodrug amphiphiles for synergistic reductive milieu-triggered drug release and enhanced magnetic resonance signals. J. Am. Chem. Soc. 2015, 137, 362–368. [Google Scholar] [CrossRef]
- Barnes, A.R.; Nash, S. Stability of bupivacaine hydrochloride with diamorphine hydrochloride in an epidural infusion. Pharm. World Sci. 1995, 17, 87–92. [Google Scholar] [CrossRef]
- Robinson, J.; Fernando, R.; Sun, W.W.Y.S.; Reynolds, F. Chemical stability of bupivacaine, lidocaine and epinephrine in pH-adjusted solutions. Anaesthesia 2000, 55, 853–858. [Google Scholar] [CrossRef]
- Joshi, G.; Patou, G.; Kharitonov, V. The safety of liposome bupivacaine following various routes of administration in animals. J. Pain Res. 2015, 8, 781–789. [Google Scholar] [CrossRef]
- Koczmara, C.; Hyland, S.; Cheng, R. Epidural medications given intravenously may result in death. Dynamics 2007, 18, 34–36. [Google Scholar]
- Carvalho, B.; Clark, D.J.; Yeomans, D.C.; Angst, M.S. Continuous subcutaneous instillation of bupivacaine compared to saline reduces interleukin 10 and increases substance p in surgical wounds after cesarean delivery. Anesth. Analg. 2010, 111, 1452–1459. [Google Scholar] [CrossRef]
- Shuo, Z.; Yishu, W.; Shuai, Z.; Chengqi, H.; Qiyang, D.; Ji, X.; Daocheng, W.; Wei, G. Emerging Anesthetic Nanomedicines: Current State and Challenges. Int. J. Nanomed. 2023, 18, 3913–3935. [Google Scholar]
- Steverink, J.G.; van Tol, F.R.; Oosterman, B.J.; Vermonden, T.; Verlaan, J.J.; Malda, J.; Piluso, S. Robust gelatin hydrogels for local sustained release of bupivacaine following spinal surgery. Acta Biomater. 2022, 146, 145–158. [Google Scholar] [CrossRef]
- Vargason, A.M.; Anselmo, A.C.; Mitragotri, S. The evolution of commercial drug delivery technologies. Nat. Biomed. Eng. 2021, 5, 951–967. [Google Scholar] [CrossRef]
- Bhatt, P.; Kumar, V.; Subramaniyan, V.; Nagarajan, K.; Sekar, M.; Chinni, S.V.; Ramachawolran, G. Plasma modification techniques for natural polymer-based drug delivery systems. Pharmaceutics 2023, 15, 2066. [Google Scholar] [CrossRef] [PubMed]
- Bhattarai, N.; Gunn, J.; Zhang, M. Chitosan-based hydrogels for controlled, localized drug delivery. Adv. Drug Deliv. Rev. 2010, 62, 83–99. [Google Scholar] [CrossRef]
- Shen, L.; Ji, H.-F. The pharmacology of curcumin: Is it the degradation products? Trends Mol. Med. 2012, 18, 138–144. [Google Scholar] [CrossRef]
- Price, G.; Devan, A.P. StatPearls. Drug Bioavailability. Available online: https://www.ncbi.nlm.nih.gov/books/NBK557852/ (accessed on 23 June 2022).
- Mondal, A.; Nayak, A.K.; Chakraborty, P.; Banerjee, S.; Nandy, B.C. Natural polymeric nanobiocomposites for anti-cancer drug delivery therapeutics: A recent update. Pharmaceutics 2023, 15, 2064. [Google Scholar] [CrossRef]
- Tewabe, A.; Abate, A.; Tamrie, M.; Seyfu, A.; Abdela Siraj, E. Targeted drug delivery—From magic bullet to nanomedicine: Principles, challenges, and future perspectives. J. Multidiscip. Healthc. 2021, 14, 1711–1724. [Google Scholar] [CrossRef]
- Siavashy, S.; Soltani, M.; Ghorbani-Bidkorbeh, F.; Fallah, N.; Farnam, G.; Mortazavi, S.A.; Shirazi, F.H.; Tehrani, M.H.H.; Hamedi, M.H. Microfluidic platform for synthesis and optimization of chitosan-coated magnetic nanoparticles in cisplatin delivery. Carbohydr. Polym. 2021, 265, 118027. [Google Scholar] [CrossRef]
- Isabel, O.S.; Teresa, A.; Miriam, A.; Carlos, B.A.; Gracia, M.; Vanesa, A.; Silvia, I.; Victor, S.; Manuel, A. Cleavable and thermo-responsive hybrid nanoparticles for on-demand drug delivery. J. Colloid Interface Sci. 2019, 533, 171–181. [Google Scholar]
- Nadri, S.; Mahmoudvand, H.; Eatemadi, A. Magnetic nanogel polymer of bupivacaine for ankle block in rats. J. Microencapsul. 2016, 33, 656–662. [Google Scholar] [CrossRef]
- Todd, H.; Brian, P.T.; Jesus, S.; Gerardo, F.G.; Silvia, I.; Samantha, L.; Cristina, F.S.; Debora, L.; Robert, L.; Daniel, S.K. Magnetically Triggered Nanocomposite Membranes: A Versatile Platform for Triggered Drug Release. Nano Lett. 2011, 11, 1395–1400. [Google Scholar]
- Gupta, R.; Chen, Y.; Xie, H. In vitro dissolution considerations associated with nano drug delivery systems. Wiley Interdiscip. Rev. Nanomed. Nanobiotechnol. 2021, 13, e1732. [Google Scholar] [CrossRef]
- Wallace, S.J.; Li, J.; Nation, R.L.; Boyd, B.J. Drug release from nanomedicines: Selection of appropriate encapsulation and release methodology. Drug Deliv. Transl. Res. 2012, 2, 284–292. [Google Scholar] [CrossRef]
- Shen, J.; Burgess, D.J. In Vitro Dissolution Testing Strategies for Nanoparticulate Drug Delivery Systems: Recent Developments and Challenges. Drug Deliv. Transl. Res. 2013, 3, 409–415. [Google Scholar] [CrossRef]
- Oh, J.K.; Lee, D.K.; Park, J.M. Biopolymer-based microgels/nanogels for drug delivery applications. Prog. Polym. Sci. 2009, 34, 1261–1282. [Google Scholar] [CrossRef]
- Tilahun, A.D.; Shewaye, L.M.; Tsai, H.-C. Polysaccharide based nanogels in the drug delivery system: Application as the carrier of pharmaceutical agents. Mater. Sci. Eng. C 2016, 68, 964–981. [Google Scholar]
- Park, S.-Y.; Yun, Y.H.; Park, B.-J.; Seo, H.-I.; Chung, I. Fabrication and Biological Activities of Plasmid DNA Gene Carrier Nanoparticles Based on Biodegradable l-Tyrosine Polyurethane. Pharmaceuticals 2022, 15, 17. [Google Scholar] [CrossRef]
- Sarfraz, R.M.; Khan, M.U.; Mahmood, A.; Akram, M.R.; Minhas, M.U.; Qaisar, M.N.; Ali, M.R.; Ahmad, H.; Zaman, M. Synthesis of co-polymeric network of carbopol-g-methacrylic acid nanogels drug carrier system for gastro-protective delivery of ketoprofen and its evaluation. Polym. Plast. Tech. Mater. 2020, 59, 1109–1123. [Google Scholar] [CrossRef]
- Chiang, W.-H.; Ho, V.T.; Huang, W.-C.; Huang, Y.-F.; Chern, C.-S.; Chiu, H.-C. Dual Stimuli-Responsive Polymeric Hollow Nanogels Designed as Carriers for Intracellular Triggered Drug Release. Langmuir 2012, 28, 15056–15064. [Google Scholar] [CrossRef]
- Piroonpan, T.; Rimdusit, P.; Taechutrakul, S.; Pasanphan, W. pH-Responsive Water-Soluble Chitosan Amphiphilic Core–Shell Nanoparticles: Radiation-Assisted Green Synthesis and Drug-Controlled Release Studies. Pharmaceutics 2023, 15, 847. [Google Scholar] [CrossRef]
- Eswaramma, S.; Reddy, N.S.; Rao, K.S.V.K. Carbohydrate polymer based ph-sensitive ipn microgels: Synthesis, characterization and drug release characteristics. Mater. Chem. Phys. 2017, 195, 176–186. [Google Scholar] [CrossRef]
- Kummari, S.V.K.R.; Kummara, M.R.; Palem, R.R.; Nagellea, S.R.; Shchipunov, Y.; Ha, C.-S. Chitosan–poly(aminopropyl/phenylsilsesquioxane) hybrid nanocomposite membranes for antibacterial and drug delivery applications. Polym. Int. 2015, 64, 293–302. [Google Scholar] [CrossRef]
- Mao, S.; Shuai, X.; Unger, F.; Simon, M.; Bi, D.; Kissel, T. The depolymerization of chitosan: Effects on physicochemical and biological properties. Int. J. Pharm. 2004, 281, 45–54. [Google Scholar] [CrossRef]
- Jia, L.; Li, Z.; Zhang, D.; Zhang, Q.; Shen, J.; Guo, H.; Tian, X.; Liu, G.; Zheng, D.; Qi, L. Redox-responsive catiomer based on PEG-ss-chitosan oligosaccharide-ss-polyethylenimine copolymer for effective gene delivery. Polym. Chem. 2013, 4, 156–165. [Google Scholar] [CrossRef]
- Elvira, C.; San Román, J. Synthesis and stereochemistry of isomeric methacrylic polymers derived from 4- and 5-aminosalicylic acids. Polymer 1997, 38, 4743–4750. [Google Scholar] [CrossRef]
- Martins, M.L.; Eckert, J.; Jacobsen, H.; dos Santos, E.C.; Ignazzi, R.; de Araujo, D.R.; Bellissent-Funel, M.-C.; Natali, F.; Marek Koza, M.; Matic, A.; et al. Raman and infrared spectroscopies and x-ray diffraction data on bupivacaine and ropivacaine complexed with 2-hydroxypropyl−β−cyclodextrin. Data Brief 2017, 15, 25–29. [Google Scholar] [CrossRef]
- Frisch, M.J.; Trucks, G.W.; Schlegel, H.B.; Scuseria, G.E.; Robb, M.A.; Cheeseman, J.R.; Scalmani, G.; Barone, V.; Petersson, G.A.; Nakatsuji, H.; et al. Gaussian 16, Revision b.01. 2016; Gaussian Inc.: Wallingford, CT, USA, 2016. [Google Scholar]
- Zhao, Y.; Truhlar, D.G. The m06 suite of density functionals for main group thermochemistry, thermochemical kinetics, noncovalent interactions, excited states, and transition elements: Two new functionals and systematic testing of four m06-class functionals and 12 other functionals. Theor. Chem. Acc. 2008, 120, 215–241. [Google Scholar]
- Senthilkumaran, M.; Maruthanayagam, K.; Vigneshkumar, G.; Chitumalla, R.K.; Jang, J.; Muthu Mareeswaran, P. Spectral, electrochemical and computational investigations of binding of n-(4-hydroxyphenyl)-imidazole with p-sulfonatocalix [4]arene. J. Fluoresc. 2017, 27, 2159–2168. [Google Scholar] [CrossRef] [PubMed]
- Chitumalla, R.K.; Kim, K.; Gao, X.; Jang, J. A density functional theory study on the underwater adhesion of catechol onto a graphite surface. Phys. Chem. Chem. Phys. 2021, 23, 1031–1037. [Google Scholar] [CrossRef]
- Purohit, P.; Bhatt, A.; Mittal, R.K.; Abdellattif, M.H.; Farghaly, T.A. Polymer grafting and its chemical reactions. Front. Bioeng. Biotechnol. 2023, 10, 1044927. [Google Scholar] [CrossRef]
- Bang, K.-T.; Kim, H.; Kang, S.-Y.; Bhaumik, A.; Ahn, S.; Yun, N.; Choi, T.-L. Constructing a library of doubly grafted polymers by a one-shot cu-catalyzed multicomponent grafting strategy. Macromolecules 2021, 54, 5539–5548. [Google Scholar] [CrossRef]
- Mao, J.; Kondu, S.; Ji, H.-F.; McShane, M.J. Study of the near-neutral ph-sensitivity of chitosan/gelatin hydrogels by turbidimetry and microcantilever deflection. Biotechnol. Bioeng. 2006, 95, 333–341. [Google Scholar] [CrossRef]
- Ghosal, K.; Chandra, A.; Rajabalaya, R.; Chakraborty, S.; Nanda, A. Mathematical modeling of drug release profiles for modified hydrophobic hpmc based gels. Pharmazie 2012, 67, 147–155. [Google Scholar]
- Schlachet, I.; Trousil, J.; Rak, D.; Knudsen, K.D.; Pavlova, E.; Nyström, B.; Sosnik, A. Chitosan-graft-poly(methyl methacrylate) amphiphilic nanoparticles: Self-association and physicochemical characterization. Carbohydr. Polym. 2019, 212, 412–420. [Google Scholar] [CrossRef] [PubMed]
- Shantha, K.L.; Bala, U.; Panduranga, K.R. Tailormade chitosan for drug delivery. Eur. Polym. J. 1995, 31, 377–382. [Google Scholar] [CrossRef]
- Reddy, P.R.S.; Rao, K.K.; Rao, K.M.; Reddy, N.S.; Eswaramma, S. pH sensitive poly(methyl methacrylate-co-acryloyl phenylalanine) nanogels and their silver nanocomposites for biomedical applications. J. Drug Deliv. Sci. Technol. 2015, 29, 181–188. [Google Scholar] [CrossRef]
- Varma, M.V.S.; Kaushal, A.M.; Garg, A.; Garg, S. Factors affecting mechanism and kinetics of drug release from matrix-based oral controlled drug delivery systems. Am. J. Drug Deliv. 2004, 2, 43–57. [Google Scholar] [CrossRef]
- Trucillo, P. Drug carriers: A review on the most used mathematical models for drug release. Processes 2022, 10, 1094. [Google Scholar] [CrossRef]











| Sample Name | Frequencies (cm−1) | Functional Group Assignment |
|---|---|---|
| BPV.HCl | 3510 | –O–H stretch (adsorbed moisture) |
| 3321, 3249 | –N–H stretch (amide) | |
| 2960 | –CH3 stretch | |
| 2700–2500 | –N–H–Cl stretch | |
| 1685 | –C=C stretch | |
| 1657 | Amide 1 stretch (C=O) | |
| 1560 | Amide II bend (N–H) | |
| 1474, 1441 | –CH2 bend | |
| 1374 | –CH3 bend | |
| CsPMH nanogels | 3518 | –O–H stretch |
| 3434 | –N–H stretch | |
| 2952 | –CH3 stretch | |
| 1728 | –C=O stretch (COOR) | |
| 1705, 1640 | Amide 1 Stretch (–C=O), Amide II bend (–N–H) of partially de-acetylated acetylated chitosan | |
| 1483, 1445 | –CH2 bend | |
| 1380 | –CH3 bend | |
| 1152 | –C–O–H stretch | |
| 1073 | C–O–C stretch | |
| BPV loaded CsPMH nanogels | 3426 | –N–H Stretch & –O–H stretch merged |
| 2947 | –CH3 stretch | |
| 1728 | –C=O stretch (COOR) | |
| 1705, 1638 | Amide 1 Stretch (–C=O), Amide II bend (–N–H) of partially de-acetylated acetylated chitosan | |
| 1560–1530 (broad) | Amide II bend (–N–H) of BPV | |
| 1478, 1452 | –CH2 bend | |
| 1385 | –CH3 bend | |
| 1148 | –C–O–H stretch | |
| 1073 | C–O–C stretch |
| Material | Weight Loss Steps (°C) | Weight Loss (%) | Weight Loss Assignment |
|---|---|---|---|
| CsPMH | 30–80 | 1.28 | Water loss from the nanogels |
| 204–375 | 72.44 | Thermal degradation of polymer side chains and chitosan | |
| 375–519 | 15.24 | Decomposition of pre-resulted polymer network | |
| BPV.HCl | 30–115 | 5.22 | Water loss from the nanogels |
| 150–283 | 93.96 | Thermal decomposition of BPV | |
| BPV loaded CsPMH | 118–227 | 27.56 | Thermal decomposition of BPV |
| 227–400 | 61.80 | Thermal degradation of polymer side chains and chitosan | |
| 400–516 | 5.80 | Decomposition of pre-resulted polymer network |
| CsPMH | Size (nm) | PDI | Zeta Potential (mV) | % EE | % DLC |
|---|---|---|---|---|---|
| 1 | 323.8 | 0.32 | +29.8 | 77.86 | 18.4 |
| 2 | 290.6 | 0.47 | +27.8 | 72.67 | 16.4 |
| 3 | 271.7 | 0.43 | +37.8 | 64.88 | 14.3 |
| 4 | 237.7 | 0.51 | +26.6 | 80.25 | 19.5 |
| 5 | 236.4 | 0.47 | +29.0 | 91.77 | 20.8 |
| 6 | 358.5 | 0.26 | +31.9 | 43.20 | 12.4 |
| 7 | 224.4 | 0.46 | +33.4 | 54.51 | 14.4 |
| CsPMH | Cs (mg) | MMA (mg) | HEMA (mg) | EGDMA (mg) | CAN (mg) |
|---|---|---|---|---|---|
| 1 | 400 | 0 | 400 | 100 | 40 |
| 2 | 400 | 100 | 300 | 100 | 40 |
| 3 | 400 | 200 | 200 | 100 | 40 |
| 4 | 400 | 300 | 100 | 100 | 40 |
| 5 | 400 | 400 | 0 | 100 | 40 |
| 6 | 400 | 200 | 200 | 100 | 20 |
| 7 | 400 | 200 | 200 | 100 | 80 |
| B. No/ Model Name | Higuchi * | Hixson –Crowell * | 0 Order * | First Order * | ||||
|---|---|---|---|---|---|---|---|---|
| r2 | kH | r2 | kHC | r2 | k0 | r2 | k1 | |
| 1 | 0.9974 | 28.98 | 0.9827 | 0.1574 | 0.9629 | 11.82 | 0.9897 | 0.0715 |
| 2 | 0.9962 | 20.985 | 0.9844 | 0.8835 | 0.9729 | 8.7566 | 0.9889 | 0.0477 |
| 3 | 0.9926 | 20.518 | 0.9957 | 0.128 | 0.9764 | 8.2211 | 0.9901 | 0.044 |
| 4 | 0.9953 | 18.18 | 0.9834 | 0.1125 | 0.9742 | 7.3228 | 0.9873 | 0.0382 |
| 5 | 0.9823 | 14.063 | 0.9835 | 0.2378 | 0.9757 | 6.5338 | 0.9870 | 0.0333 |
| 6 | 0.9962 | 30.339 | 0.9880 | 0.1754 | 0.9706 | 12.252 | 0.9809 | 0.0658 |
| 7 | 0.9956 | 25.127 | 0.9932 | 0.2275 | 0.9732 | 10.141 | 0.9912 | 0.0578 |
| B. No/ Model Name | Korsmeyer–Peppas pH 7.4 | Korsmeyer–Peppas pH 1.2 | ||||
|---|---|---|---|---|---|---|
| r2 | n | kkp | r2 | n | kkp | |
| 1 | 0.9870 | 0.7061 | 19.1293 | 0.9840 | 0.2983 | 41.9759 |
| 2 | 0.9829 | 0.7273 | 13.5581 | 0.9038 | 0.3209 | 32.1440 |
| 3 | 0.9901 | 0.7445 | 12.3851 | 0.9144 | 0.3311 | 28.8470 |
| 4 | 0.9897 | 0.7305 | 11.2642 | 0.9148 | 0.3354 | 23.8232 |
| 5 | 0.9897 | 0.7402 | 9.9083 | 0.9756 | 0.3891 | 19.8061 |
| 6 | 0.9873 | 0.7281 | 19.0458 | 0.8984 | 0.3186 | 37.4111 |
| 7 | 0.9899 | 0.7254 | 15.7290 | 0.9484 | 0.3857 | 45.6142 |
Disclaimer/Publisher’s Note: The statements, opinions and data contained in all publications are solely those of the individual author(s) and contributor(s) and not of MDPI and/or the editor(s). MDPI and/or the editor(s) disclaim responsibility for any injury to people or property resulting from any ideas, methods, instructions or products referred to in the content. |
© 2023 by the authors. Licensee MDPI, Basel, Switzerland. This article is an open access article distributed under the terms and conditions of the Creative Commons Attribution (CC BY) license (https://creativecommons.org/licenses/by/4.0/).
Share and Cite
Nagella, S.R.; Choi, S.; Park, S.-Y.; Ha, C.-S.; Jung, Y.; Chitumalla, R.K.; Jang, J.; Yoon, J.-Y.; Chung, I. Depolymerized Chitosan-g-[Poly(MMA-co-HEMA-cl-EGDMA)] Based Nanogels for Controlled Local Release of Bupivacaine. Int. J. Mol. Sci. 2023, 24, 16470. https://doi.org/10.3390/ijms242216470
Nagella SR, Choi S, Park S-Y, Ha C-S, Jung Y, Chitumalla RK, Jang J, Yoon J-Y, Chung I. Depolymerized Chitosan-g-[Poly(MMA-co-HEMA-cl-EGDMA)] Based Nanogels for Controlled Local Release of Bupivacaine. International Journal of Molecular Sciences. 2023; 24(22):16470. https://doi.org/10.3390/ijms242216470
Chicago/Turabian StyleNagella, Sivagangi Reddy, Soojeong Choi, Soo-Yong Park, Chang-Sik Ha, Youngmi Jung, Ramesh Kumar Chitumalla, Joonkyung Jang, Ji-Young Yoon, and Ildoo Chung. 2023. "Depolymerized Chitosan-g-[Poly(MMA-co-HEMA-cl-EGDMA)] Based Nanogels for Controlled Local Release of Bupivacaine" International Journal of Molecular Sciences 24, no. 22: 16470. https://doi.org/10.3390/ijms242216470
APA StyleNagella, S. R., Choi, S., Park, S.-Y., Ha, C.-S., Jung, Y., Chitumalla, R. K., Jang, J., Yoon, J.-Y., & Chung, I. (2023). Depolymerized Chitosan-g-[Poly(MMA-co-HEMA-cl-EGDMA)] Based Nanogels for Controlled Local Release of Bupivacaine. International Journal of Molecular Sciences, 24(22), 16470. https://doi.org/10.3390/ijms242216470

